Tension Pneumocephalus Caused by Ethmoidal Roof Fracture: Emergent Surgical Decompression
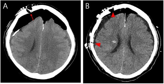
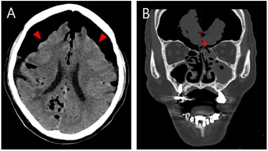
Abstract




Author Contributions
Funding
Institutional Review Board Statement
Informed Consent Statement
Data Availability Statement
Conflicts of Interest
References
- Chang, C.Y.; Hung, C.C.; Liu, J.M.; Chiu, C.D. Tension pneumocephalus following endoscopic resection of a mediastinal thoracic spinal tumor: A case report. World J. Clin. Cases 2022, 10, 725–732. [Google Scholar] [CrossRef] [PubMed]
- Huh, J.S. Barotrauma-Induced Pneumocephalus Experienced by a High Risk Patient after Commercial Air Travel. J. Korean Neurosurg. Soc. 2013, 54, 142–144. [Google Scholar] [CrossRef] [PubMed]
- Park, J.Y.; Kim, H.S.; Jung, T.S.; Kim, J.K. Delayed Tension Pneumocephalus Following Intraoperative Cerebrospinal Fluid Leakage Repair. Korean J. Otorhinolaryngol.-Head Neck Surg. 2021, 64, 820–824. [Google Scholar] [CrossRef]
- Tsau, J.; Mangal, R.; Ganti, L.; Amico, K. Spontaneous Resolution of Tension Pneumocephalus Following Blunt Head Trauma. Cureus 2019, 11, e5027. [Google Scholar] [CrossRef] [PubMed]
- Kankane, V.K.; Jaiswal, G.; Gupta, T.K. Posttraumatic delayed tension pneumocephalus: Rare case with review of literature. Asian J. Neurosurg. 2016, 11, 343–347. [Google Scholar] [CrossRef] [PubMed]
- Michel, S.J. The Mount Fugi sign. Radiology 2004, 232, 449–450. [Google Scholar] [CrossRef] [PubMed]
- Paiva, W.S.; de Andrade, A.F.; Figueiredo, E.G.; Amorim, R.L.; Prudente, M.; Teixeira, M.J. Effects of hyperbaric oxygenation therapy on symptomatic pneumocephalus. Ther. Clin. Risk Manag. 2014, 10, 769–773. [Google Scholar] [CrossRef] [PubMed]
- Kwon, J.W.; Rha, H.K.; Park, H.K.; Chough, C.K.; Joo, W.I.; Cho, S.H.; Gu, W.; Moon, W.; Han, J. Proper Management of Posttraumatic Tension Pneumocephalus. Korean J. Neurotrauma 2017, 13, 158–161. [Google Scholar] [CrossRef] [PubMed]
Disclaimer/Publisher’s Note: The statements, opinions and data contained in all publications are solely those of the individual author(s) and contributor(s) and not of MDPI and/or the editor(s). MDPI and/or the editor(s) disclaim responsibility for any injury to people or property resulting from any ideas, methods, instructions or products referred to in the content. |
© 2022 by the authors. Licensee MDPI, Basel, Switzerland. This article is an open access article distributed under the terms and conditions of the Creative Commons Attribution (CC BY) license (https://creativecommons.org/licenses/by/4.0/).
Share and Cite
Kim, H.S.; Kim, J.H.; Kim, D.K.; Ha, S.W. Tension Pneumocephalus Caused by Ethmoidal Roof Fracture: Emergent Surgical Decompression. Diagnostics 2023, 13, 92. https://doi.org/10.3390/diagnostics13010092
Kim HS, Kim JH, Kim DK, Ha SW. Tension Pneumocephalus Caused by Ethmoidal Roof Fracture: Emergent Surgical Decompression. Diagnostics. 2023; 13(1):92. https://doi.org/10.3390/diagnostics13010092
Chicago/Turabian StyleKim, Hak Sung, Jae Ho Kim, Dae Kyun Kim, and Sang Woo Ha. 2023. "Tension Pneumocephalus Caused by Ethmoidal Roof Fracture: Emergent Surgical Decompression" Diagnostics 13, no. 1: 92. https://doi.org/10.3390/diagnostics13010092
APA StyleKim, H. S., Kim, J. H., Kim, D. K., & Ha, S. W. (2023). Tension Pneumocephalus Caused by Ethmoidal Roof Fracture: Emergent Surgical Decompression. Diagnostics, 13(1), 92. https://doi.org/10.3390/diagnostics13010092

