A Multi-Stage Approach to Breast Cancer Classification Using Histopathology Images
Abstract
1. Introduction
- We aimed to increase the image-level breast histopathology classification accuracy using a patch-level classification.
- We designed an efficient patch-level training model that is computationally fast. We fine-tuned a pre-trained model (pre-trained on the ImageNet dataset) with convolution, max pooling, and dense layers at the end. We obtained the patch features from this model.
- We introduce a two-stage model using a neural network to map the patch-level information to image-level prediction into two classes (cancerous and non-cancerous) and four classes (normal, benign, in situ, and invasive).
- We evaluated our model on a publicly available BACH histopathological dataset and achieved state-of-the-art classification accuracy of 97.50% for four classes and 98.6% for two classes.
2. Materials and Methods
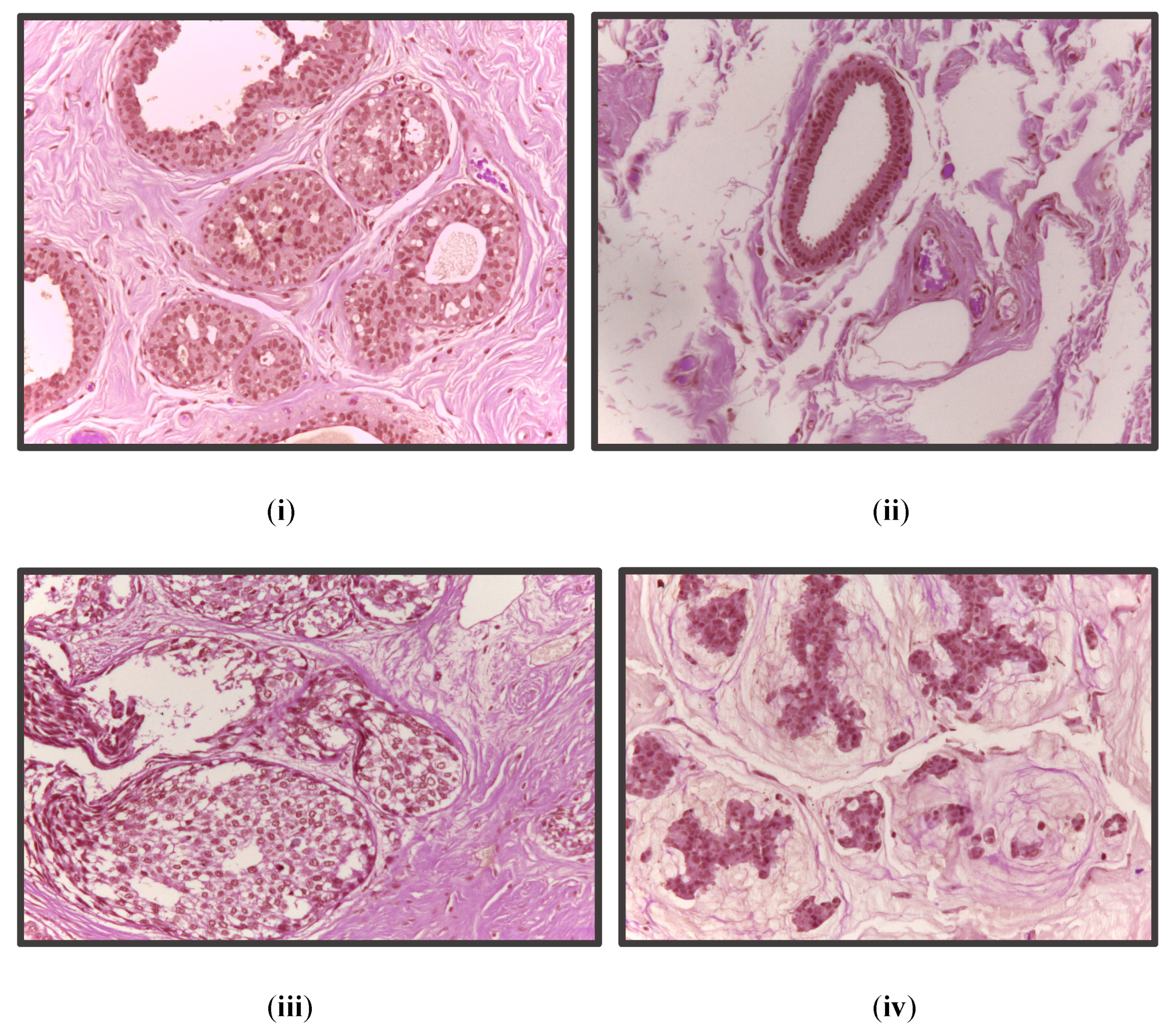
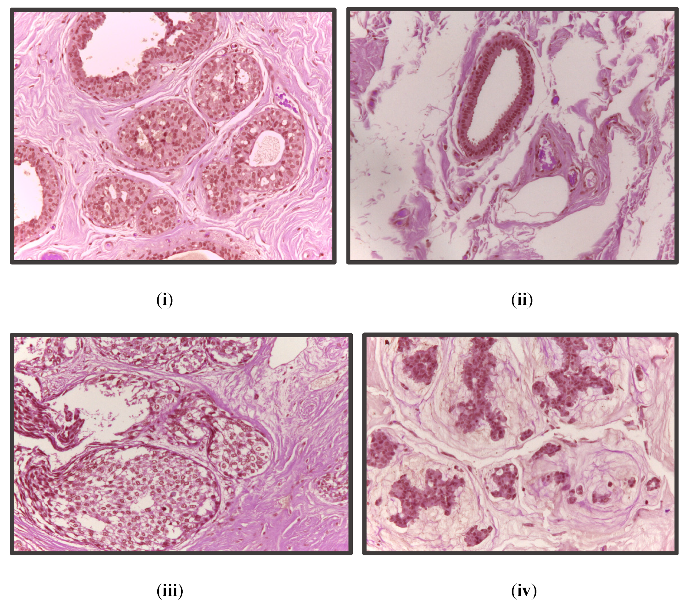
2.1. Dataset Description
- Color model: RGB;
- Size: 1536 × 2048 pixels;
- Pixel scale: 0.42 µm × 0.42 µm;
- Memory space: 10–20 MB (approx.);
- Type of label: image-wise.
2.2. Methodology
- Dividing the dataset into training, testing, and validation sets.
- Patch segmentation and labelling.
- Pre-processing the image using a stain normalization technique and an image augmentation model.
- Feature extraction from patches using concatenation of features from different DL models.
- Patch classification using an ensemble of machine learning classifiers.
- Image classification using the patch classification results, where a two-stage neural network has been applied.

2.2.1. Image Splitting
2.2.2. Patch Segmentation and Labelling
2.2.3. Image Augmentation and Pre-Processing
- Horizontal and vertical flips randomly;
- Rotates by a random angle given as a parameter;
- Translates by a random fraction.

2.2.4. Patch-Level Feature Extraction
- A dropout value of 0.4 produced the best results.
- Learning rate: the learning rate was varied as lr = lr0/ (1 + decay rate) after each epoch. Lr0 was chosen as 0.008.
- Decay of learning rate: (lr0/number of epochs) is chosen.
- Momentum of the optimizer: any value between 0.5 and 0.9.
- Number of neurons in the dense layer: 64 neurons give the best result.
2.2.5. Patch Classification
- KNN.
- SVM.
- Random forest.
- Adaboost.
- XGB.
2.2.6. Ensemble Techniques
- The average of probability values is taken for each patch across the five classifiers, i.e.,
- Multiplication technique:
- Maximum technique:

2.2.7. Image Classification: Part 1
2.2.8. Image Classification: Part 2
3. Results and Discussion
3.1. Experimental Setup
3.2. Performance Evaluation Metrics
- True positive = number of images correctly classified as that class.
- False positive = number of images incorrectly classified as that class.
- False negative = number of images in that class incorrectly classified as some other class.
3.3. Experimental Results
3.3.1. Patch Classification Results
3.3.2. Image Classification Results
4. Conclusions
Author Contributions
Funding
Institutional Review Board Statement
Informed Consent Statement
Data Availability Statement
Code Availability Statement
Acknowledgments
Conflicts of Interest
References
- Malvia, S.; Bagadi, S.A.; Dubey, U.S.; Saxena, S. Epidemiology of breast cancer in Indian women. Asia-Pac. J. Clin. Oncol. 2017, 13, 289–295. [Google Scholar] [CrossRef] [PubMed]
- Siegel, R.L.; Miller, K.D.; Jemal, A. Cancer statistics, 2018. CA Cancer J. Clin. 2018, 68, 7–30. [Google Scholar] [CrossRef] [PubMed]
- Wang, S.; Liu, Y.; Feng, Y.; Zhang, J.; Swinnen, J.; Li, Y.; Ni, Y. A Review on Curability of Cancers: More Efforts for Novel Therapeutic Options Are Needed. Cancers 2019, 11, 1782. [Google Scholar] [CrossRef]
- Society, A.C. Breast Cancer Facts & Figures 2019–2020; American Cancer Society, Inc.: Atlanta, GA, USA, 2019. [Google Scholar]
- Dheeba, J.; Singh, N.A.; Selvi, S.T. Computer-aided detection of breast cancer on mammograms: A swarm intelligence optimized wavelet neural network approach. J. Biomed. Inform. 2014, 49, 45–52. [Google Scholar] [CrossRef]
- Shen, R.; Yan, K.; Tian, K.; Jiang, C.; Zhou, K. Breast mass detection from the digitized X-ray mammograms based on the combination of deep active learning and self-paced learning. Futur. Gener. Comput. Syst. 2019, 101, 668–679. [Google Scholar] [CrossRef]
- Qi, X.; Zhang, L.; Chen, Y.; Pi, Y.; Chen, Y.; Lv, Q.; Yi, Z. Automated diagnosis of breast ultrasonography images using deep neural networks. Med. Image Anal. 2019, 52, 185–198. [Google Scholar] [CrossRef]
- Houssein, E.H.; Emam, M.M.; Ali, A.A.; Suganthan, P.N. Deep and machine learning techniques for medical imaging-based breast cancer: A comprehensive review. Expert Syst. Appl. 2020, 167, 114161. [Google Scholar] [CrossRef]
- Sudharshan, P.; Petitjean, C.; Spanhol, F.; Oliveira, L.E.; Heutte, L.; Honeine, P. Multiple instance learning for histopathological breast cancer image classification. Expert Syst. Appl. 2019, 117, 103–111. [Google Scholar] [CrossRef]
- Hekler, A.; Utikal, J.S.; Enk, A.H.; Solass, W.; Schmitt, M.; Klode, J.; Schadendorf, D.; Sondermann, W.; Franklin, C.; Bestvater, F.; et al. Deep learning outperformed 11 pathologists in the classification of histopathological melanoma images. Eur. J. Cancer 2019, 118, 91–96. [Google Scholar] [CrossRef]
- Comes, M.C.; Fucci, L.; Mele, F.; Bove, S.; Cristofaro, C.; De Risi, I.; Fanizzi, A.; Milella, M.; Strippoli, S.; Zito, A.; et al. A deep learning model based on whole slide images to predict disease-free survival in cutaneous melanoma patients. Sci. Rep. 2022, 12, 1–10. [Google Scholar] [CrossRef]
- Rajathi, G.M. Optimized radial basis neural network for classification of breast cancer images. J. Ambient. Intell. Humaniz. Comput. 2020, 17, 97–108. [Google Scholar] [CrossRef]
- Roy, S.; Das, S.; Kar, D.; Schwenker, F.; Sarkar, R. Computer Aided Breast Cancer Detection Using Ensembling of Texture and Statistical Image Features. Sensors 2021, 21, 3628. [Google Scholar] [CrossRef] [PubMed]
- Basavanhally, A.; Yu, E.; Xu, J.; Ganesan, S.; Feldman, M.; Tomaszewski, J.; Madabhushi, A. Incorporating domain knowledge for tubule detection in breast histopathology using O’Callaghan neighborhoods. In Medical Imaging 2011: Computer- Aided Diagnosis; International Society for Optics and Photonics: Bellingham, WA, USA, 2011; Volume 7963, p. 796310. [Google Scholar]
- Dundar, M.M.; Badve, S.; Bilgin, G.; Raykar, V.; Jain, R.; Sertel, O.; Gurcan, M.N. Computerized classification of intraductal breast lesions using histopathological images. IEEE Trans. Biomed. Eng. 2011, 58, 1977–1984. [Google Scholar] [CrossRef]
- Melekoodappattu, J.G.; Dhas, A.S.; Kandathil, B.K.; Adarsh, K.S. Breast cancer detection in mammogram: Combining modified CNN and texture feature based approach. J. Ambient. Intell. Humaniz. Comput. 2022, 1–10. [Google Scholar] [CrossRef]
- Pramanik, P.; Mukhopadhyay, S.; Kaplun, D.; Sarkar, R. A Deep Feature Selection Method for Tumor Classification in Breast Ultrasound Images. In International Conference on Mathematics and Its Applications in New Computer Systems; Springer: Cham, Switzerland, 2022; pp. 241–252. [Google Scholar]
- Pramanik, P.; Mukhopadhyay, S.; Mirjalili, S.; Sarkar, R. Deep feature selection using local search embedded social ski-driver optimization algorithm for breast cancer detection in mammograms. Neural Comput. Appl. 2022, 1–21. [Google Scholar] [CrossRef]
- Majumdar, S.; Pramanik, P.; Sarkar, R. Gamma function based ensemble of CNN models for breast cancer detection in histopathology images. Expert Syst. Appl. 2023, 213, 119022. [Google Scholar] [CrossRef]
- Sanyal, R.; Jethanandani, M.; Sarkar, R. DAN: Breast Cancer Classification from High-Resolution Histology Images Using Deep Attention Network. In Innovations in Computational Intelligence and Computer Vision; Springer: Singapore, 2020; pp. 319–326. [Google Scholar] [CrossRef]
- Chattopadhyay, S.; Dey, A.; Singh, P.K.; Oliva, D.; Cuevas, E.; Sarkar, R. MTRRE-Net: A deep learning model for detection of breast cancer from histopathological images. Comput. Biol. Med. 2022, 150, 106155. [Google Scholar] [CrossRef]
- Chattopadhyay, S.; Dey, A.; Singh, P.K.; Sarkar, R. DRDA-Net: Dense residual dual-shuffle attention network for breast cancer classification using histopathological images. Comput. Biol. Med. 2022, 145, 105437. [Google Scholar] [CrossRef]
- Bhowal, P.; Sen, S.; Velasquez, J.D.; Sarkar, R. Fuzzy ensemble of deep learning models using choquet fuzzy integral, coalition game and information theory for breast cancer histology classification. Expert Syst. Appl. 2021, 190, 116167. [Google Scholar] [CrossRef]
- Melekoodappattu, J.G.; Subbian, P.S. Automated breast cancer detection using hybrid extreme learning machine classifier. J. Ambient. Intell. Humaniz. Comput. 2020, 1–10. [Google Scholar] [CrossRef]
- Nirmala, G.; Kumar, P.S. RETRACTED ARTICLE: A novel bat optimized runlength networks (BORN) for an efficient classification of breast cancer. J. Ambient. Intell. Humaniz. Comput. 2020, 12, 4797–4808. [Google Scholar] [CrossRef]
- Kumar, D.; Batra, U. Breast Cancer Histopathology Image Classification Using Soft Voting Classifier. In Proceedings of the 3rd International Conference on Computing Informatics and Networks. Lecture Notes in Networks and Systems; Abraham, A., Castillo, O., Virmani, D., Eds.; Springer: Singapore, 2021; Volume 167. [Google Scholar] [CrossRef]
- Preetha, R.; Jinny, S.V. Retracted Article: Early diagnose breast cancer with PCA-LDA based FER and neuro-fuzzy classification system. J. Ambient. Intell. Humaniz. Comput. 2020, 12, 7195–7204. [Google Scholar] [CrossRef]
- Elmannai, H.; Hamdi, M.; AlGarni, A. Deep Learning Models Combining for Breast Cancer Histopathology Image Classification. Int. J. Comput. Intell. Syst. 2021, 14, 1003–1013. [Google Scholar] [CrossRef]
- Wang, Y.; Sun, L.; Ma, K.; Fang, J. Breast Cancer Microscope Image Classification Based on CNN with Image Deformation. In Proceedings of the International Conference on Image Analysis and Recognition, Póvoa de Varzim, Portugal, 27–29 June 2018; pp. 845–852. [Google Scholar] [CrossRef]
- Nazeri, K.; Aminpour, A.; Ebrahimi, M. Two-Stage Convolu- Tional Neural Network for Breast Cancer Histology Image Classifi- Cation, in International Conference Image Analysis and Recognition; Springer: Cham, Switzerland, 2018; pp. 717–726. [Google Scholar]
- Golatkar, A.; Anand, D.; Sethi, A. Classification of Breast Cancer Histology Using Deep Learning. In Image Analysis and Recognition. ICIAR 2018. Lecture Notes in Computer Science; Campilho, A., Karray, F., ter Haar Romeny, B., Eds.; Springer: Cham, Switzerland, 2018; Volume 10882. [Google Scholar] [CrossRef]
- Sanyal, R.; Kar, D.; Sarkar, R. Carcinoma Type Classification From High-Resolution Breast Microscopy Images Using a Hybrid Ensemble of Deep Convolutional Features and Gradient Boosting Trees Classifiers. IEEE/ACM Trans. Comput. Biol. Bioinform. 2021, 19, 2124–2136. [Google Scholar] [CrossRef] [PubMed]
- Zou, Y.; Zhang, J.; Huang, S.; Liu, B. Breast cancer histopathological image classification using attention high-order deep network. Int. J. Imaging Syst. Technol. 2021, 32, 266–279. [Google Scholar] [CrossRef]
- Vang, Y.S.; Chen, Z.; Xie, X. Deep Learning Framework for Multi-class Breast Cancer Histology Image Classification. In International Conference Image Analysis and Recognition; Springer: Cham, Switzerland, 2018; pp. 914–922. [Google Scholar] [CrossRef]
- Mohamed, A.; Amer, E.; Eldin, S.N.; Khaled, J.; Hossam, M.; Elmasry, N.; Adnan, G.T. The Impact of Data processing and Ensemble on Breast Cancer Detection Using Deep Learning. J. Comput. Commun. 2022, 1, 27–37. [Google Scholar] [CrossRef]
- Awan, R.; Koohbanani, N.A.; Shaban, M.; Lisowska, A.; Rajpoot, N. Context-Aware Learning Using Transferable Features for Classification of Breast Cancer Histology Images. In International Conference Image Analysis and Recognition; Springer: Cham, Switzerland, 2018; pp. 788–795. [Google Scholar] [CrossRef]
- Rakhlin, A.; Shvets, A.; Iglovikov, V.I.; Kalinin, A.A. Deep Convolutional Neural Networks for Breast Cancer Histology Image Analysis. In International Conference Image Analysis and Recognition; Springer: Berlin, Germany, 2018; pp. 737–744. [Google Scholar]
- Aresta, G.; Araújo, T.; Kwok, S.; Chennamsetty, S.S.; Safwan, M.; Alex, V.; Marami, B.; Prastawa, M.; Chan, M.; Donovan, M.; et al. BACH: Grand challenge on breast cancer histology images. Med. Image Anal. 2019, 56, 122–139. [Google Scholar] [CrossRef]
- Macenko, M.; Niethammer, M.; Marron, J.S.; Borland, D.; Woosley, J.T.; Guan, X.; Schmitt, C.; Thomas, N.E. A method for normalizing histology slides for quantitative analysis. In Proceedings of the 2009 IEEE International Symposium on Biomedical Imaging: From Nano to Macro, Boston, MA, USA, 28 June–1 July 2009. [Google Scholar]
- Simonyan, K.; Zisserman, A. Very deep convolutional networks for large-scale image recognition. arXiv 2014, arXiv:1409.1556. [Google Scholar]
- Szegedy, C.; Ioffe, S.; Vanhoucke, V.; Alemi, A.A. Inception-v4, inception-resnet and the impact of residual connections on learning. In Proceedings of the Thirty-First AAAI Conference on Artificial Intelligence, San Francisco, CA, USA, 4–9 February 2017. [Google Scholar]
- Chollet, F. Xception: Deep learning with depthwise separable convolutions. In Proceedings of the IEEE Conference on Computer Vision and Pattern Recognition, Honolulu, HI, USA, 21–26 July 2017; pp. 1251–1258. [Google Scholar]
- He, K.; Zhang, X.; Ren, S.; Sun, J. Deep residual learning for image recognition. In Proceedings of the IEEE Conference on Computer Vision and Pattern Recognition, Las Vegas, NV, USA, 27–30 June 2016; pp. 770–778. [Google Scholar]
- Hands-On Machine Learning with Scikit-Learn, Keras, and TensorFlow by Aurélien Géron. Available online: https://www.knowledgeisle.com/wp-content/uploads/2019/12/2-Aur%C3%A9lien-G%C3%A9ron-Hands-On-Machine-Learning-with-Scikit-Learn-Keras-and-Tensorflow_-Concepts-Tools-and-Techniques-to-Build-Intelligent-Systems-O%E2%80%99Reilly-Media-2019.pdf (accessed on 13 November 2022).
- Guo, Y.; Dong, H.; Song, F.; Zhu, C.; Liu, J. Breast Cancer Histology Image Classification Based on Deep Neural Networks. In International Conference Image Analysis and Recognition; Springer: Cham, Switzerland, 2018; pp. 827–836. [Google Scholar] [CrossRef]
- Ferreira, C.A.; Melo, T.; Sousa, P.; Meyer, M.I.; Shakibapour, E.; Costa, P.; Campilho, A. Classification of Breast Cancer Histology Images Through Transfer Learning Using a Pre-trained Inception Resnet V2. In International Conference Image Analysis and Recognition; Springer: Cham, Switzerland, 2018; pp. 763–770. [Google Scholar] [CrossRef]










| Model | Train Accuracy (%) | Validation Accuracy (%) |
|---|---|---|
| VGG16 | 97 | 81.5 |
| Inception-resnet v2 | 96 | 79.5 |
| VGG19 | 95 | 80 |
| Xception | 92 | 70 |
| ResNet 50 | 93 | 72 |
| Train-Test Split | Train Accuracy (%) | Validation Accuracy (%) |
|---|---|---|
| 60-40 | 96 | 78 |
| 70-30 | 98 | 79.5 |
| 75-25 | 99 | 80.5 |
| 80-20 | 99 | 81.5 |
| 90-10 | 99 | 81 |
| Classification Algorithm | Training Accuracy (%) | Validation Accuracy (%) |
|---|---|---|
| KNN | 99.17 | 80.84 |
| SVM | 98.19 | 81.5 |
| Random Forest | 99.8 | 77.6 |
| Adaboost | 94.89 | 78.98 |
| XGB | 98.46 | 80 |
| Ensemble Classification | 99.5 | 82.5 |
| Class | Precision | Recall | F1 Score | Accuracy (%) |
|---|---|---|---|---|
| Benign | 0.88 | 0.78 | 0.82 | 82.5 |
| Normal | 0.75 | 0.84 | 0.79 | 79.5 |
| In situ | 0.70 | 0.87 | 0.77 | 79 |
| Invasive | 0.91 | 0.77 | 0.83 | 83 |
| Class | Precision | Recall | F1 Score | Accuracy (%) |
|---|---|---|---|---|
| Benign | 1.00 | 0.96 | 0.98 | 97 |
| Normal | 0.96 | 1.00 | 0.98 | 98 |
| In situ | 0.97 | 1.00 | 0.98 | 97 |
| Invasive | 1.00 | 0.95 | 0.97 | 98 |
| Method | Number of Classes | Patch Wise Accuracy (%) | Image Wise Accuracy (%) |
|---|---|---|---|
| Hela Elmannai et al. [28] | 4 | _ | 97.29 |
| Zou et al. [33] | 4 | _ | 85.00 |
| Wang et al. [29] | 4 | _ | 91.00 |
| Nazeri et al. [30] | 4 | 82.00 | 95.00 |
| Golatkar A. et al. [31] | 4 | _ | 85.00 |
| Golatkar A. et al. [31] | 2 | _ | 93.00 |
| Sanyal et al. [32] | 4 | 86.50 | 95.00 |
| Guo et al. [45] | 4 | _ | 87.50 |
| Vang et al. [34] | 4 | _ | 87.50 |
| Awan et al. [36] | 2 | _ | 87.00 |
| Awan et al. [36] | 4 | _ | 83.00 |
| Ferreira et al. [46] | 4 | _ | 90.00 |
| Mohamed et al. [35] | 4 | _ | 92.5 |
| Proposed method | 4 | 82.50 | 97.50 |
| Proposed method | 2 | _ | 98.60 |
Disclaimer/Publisher’s Note: The statements, opinions and data contained in all publications are solely those of the individual author(s) and contributor(s) and not of MDPI and/or the editor(s). MDPI and/or the editor(s) disclaim responsibility for any injury to people or property resulting from any ideas, methods, instructions or products referred to in the content. |
© 2022 by the authors. Licensee MDPI, Basel, Switzerland. This article is an open access article distributed under the terms and conditions of the Creative Commons Attribution (CC BY) license (https://creativecommons.org/licenses/by/4.0/).
Share and Cite
Bagchi, A.; Pramanik, P.; Sarkar, R. A Multi-Stage Approach to Breast Cancer Classification Using Histopathology Images. Diagnostics 2023, 13, 126. https://doi.org/10.3390/diagnostics13010126
Bagchi A, Pramanik P, Sarkar R. A Multi-Stage Approach to Breast Cancer Classification Using Histopathology Images. Diagnostics. 2023; 13(1):126. https://doi.org/10.3390/diagnostics13010126
Chicago/Turabian StyleBagchi, Arnab, Payel Pramanik, and Ram Sarkar. 2023. "A Multi-Stage Approach to Breast Cancer Classification Using Histopathology Images" Diagnostics 13, no. 1: 126. https://doi.org/10.3390/diagnostics13010126
APA StyleBagchi, A., Pramanik, P., & Sarkar, R. (2023). A Multi-Stage Approach to Breast Cancer Classification Using Histopathology Images. Diagnostics, 13(1), 126. https://doi.org/10.3390/diagnostics13010126

