Pregnancy in a Non-Communicating Rudimentary Horn of Unicornuate Uterus
Abstract
1. Introduction
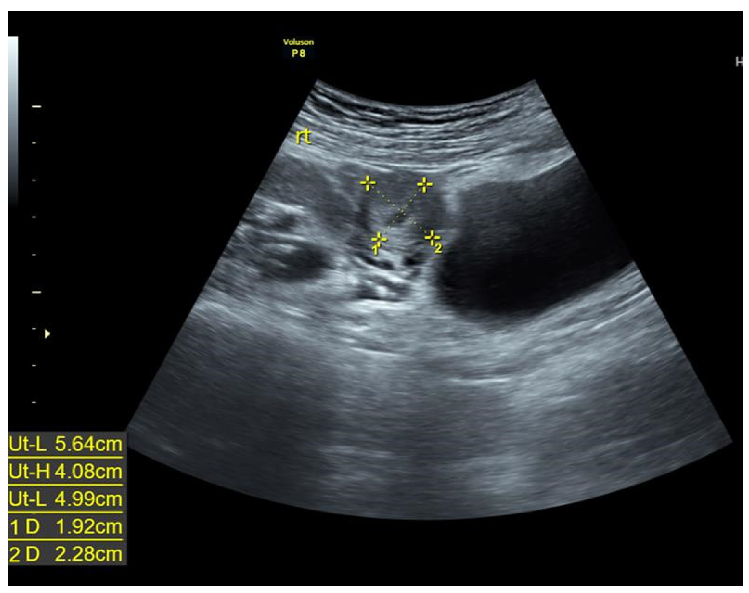
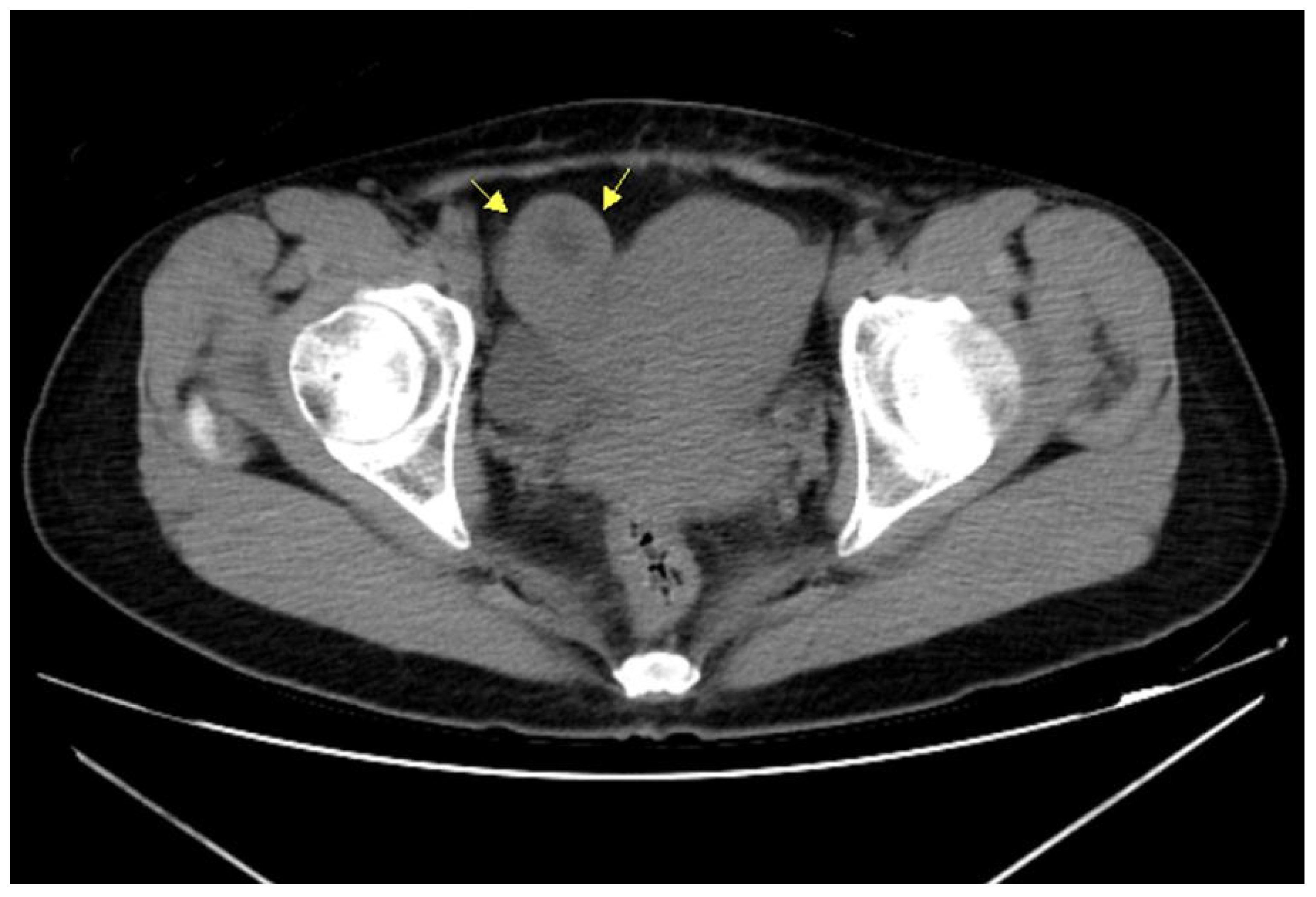
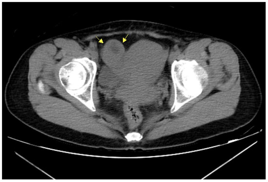
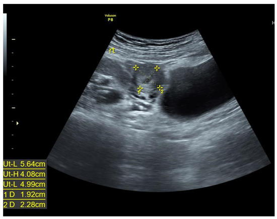
2. Case Report
3. Discussion
Author Contributions
Funding
Institutional Review Board Statement
Informed Consent Statement
Conflicts of Interest
References
- Li, X.; Peng, P.; Liu, X.; Chen, W.; Liu, J.; Yang, J.; Bian, X. The pregnancy outcomes of patients with rudimentary uterine horn: A 30-year experience. PLoS ONE 2019, 14, e0210788. [Google Scholar] [CrossRef] [PubMed]
- Jayasinghe, Y.; Rane, A.; Stalewski, H.; Grover, S. The presentation and early diagnosis of the rudimentary uterine horn. Obstet. Gynecol. 2005, 105, 1456–1467. [Google Scholar] [CrossRef] [PubMed]
- Grimbizis, G.F.; Gordts, S.; Di Spiezio Sardo, A.; Brucker, S.; Angelis, C.D.; Gergolet, M.; Li, T.-C.; Tanos, V.; Brölmann, H.; Gianaroli, L.; et al. The ESHRE/ESGE consensus on the classification of female genital tract congenital anomalies. Hum. Reprod. 2013, 28, 2031–2044. [Google Scholar] [CrossRef] [PubMed]
- Yassin, A.; Munaza, S.; Mohammed, A. Tale of rudimentary horn pregnancy: Case reports and literature review. J. Matern. Fetal Neonatal Med. 2019, 32, 671–676. [Google Scholar] [CrossRef] [PubMed]
- Chatziioannidou, K.; Fehlmann, A.; Dubuisson, J. Case Report: Laparoscopic Management of an Ectopic Pregnancy in a Rudimentary Non-communicating Uterine Horn. Front. Surg. 2020, 7, 582954. [Google Scholar] [CrossRef] [PubMed]
- Edelman, A.B.; Jensen, J.T.; Lee, D.M.; Nichols, M.D. Successful medical abortion of a pregnancy within a noncommunicating rudimentary uterine horn. Am. J. Obstet. Gynecol. 2003, 189, 886–887. [Google Scholar] [CrossRef]
- Cutner, A.; Saridogan, E.; Hart, R.; Pandya, P.; Creighton, S. Laparoscopic management of pregnancies occurring in non-communicating accessory uterine horns. Eur. J. Obstet. Gynecol. Reprod. Biol. 2004, 113, 106–109. [Google Scholar] [CrossRef] [PubMed]
- Ansari, A.H.; Miller, E.S. Sperm transmigration as a cause of ectopic pregnancy. Arch. Androl. 1994, 32, 1–4. [Google Scholar] [CrossRef] [PubMed][Green Version]



Publisher’s Note: MDPI stays neutral with regard to jurisdictional claims in published maps and institutional affiliations. |
© 2022 by the authors. Licensee MDPI, Basel, Switzerland. This article is an open access article distributed under the terms and conditions of the Creative Commons Attribution (CC BY) license (https://creativecommons.org/licenses/by/4.0/).
Share and Cite
Ma, Y.-C.; Law, K.-S. Pregnancy in a Non-Communicating Rudimentary Horn of Unicornuate Uterus. Diagnostics 2022, 12, 759. https://doi.org/10.3390/diagnostics12030759
Ma Y-C, Law K-S. Pregnancy in a Non-Communicating Rudimentary Horn of Unicornuate Uterus. Diagnostics. 2022; 12(3):759. https://doi.org/10.3390/diagnostics12030759
Chicago/Turabian StyleMa, Yi-Cih, and Kim-Seng Law. 2022. "Pregnancy in a Non-Communicating Rudimentary Horn of Unicornuate Uterus" Diagnostics 12, no. 3: 759. https://doi.org/10.3390/diagnostics12030759
APA StyleMa, Y.-C., & Law, K.-S. (2022). Pregnancy in a Non-Communicating Rudimentary Horn of Unicornuate Uterus. Diagnostics, 12(3), 759. https://doi.org/10.3390/diagnostics12030759

