Primary Effusion Lymphoma: A Timely Review on the Association with HIV, HHV8, and EBV
Abstract
1. Background
2. The Association of Immunodeficiency with PEL
3. The Clinical Spectrum of Immunodeficiency States Associated with PEL
3.1. HIV
3.2. Iatrogenic Immunodeficiency
3.3. Immunosenescence
4. The Association of Viral Infection with PEL
4.1. HHV8/KSHV Infection
4.2. The Association of EBV with PEL
5. The Association of Underlying Medical Conditions in Patients with PEL
6. What Is Effusion-Based Lymphoma (EBL)?
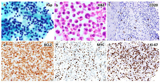
7. Classification of PEL: Morphology and Immunophenotype
8. Diagnostic Approach for PEL
9. The Differences of PEL between Western and East Asian Populations
10. Conclusions
Supplementary Materials
Author Contributions
Funding
Institutional Review Board Statement
Informed Consent Statement
Data Availability Statement
Acknowledgments
Conflicts of Interest
References
- Das, D.K. Serous effusions in malignant lymphomas: A review. Diagn. Cytopathol. 2006, 34, 335–347. [Google Scholar] [CrossRef] [PubMed]
- Dunphy, C.H. Combined cytomorphologic and immunophenotypic approach to evaluation of effusions for lymphomatous involvement. Diagn. Cytopathol. 1996, 15, 427–430. [Google Scholar] [CrossRef]
- Das, D.K.; Al-Juwaiser, A.; George, S.S.; Francis, I.M.; Sathar, S.S.; Sheikh, Z.A.; Shaheen, A.; Pathan, S.K.; Haji, B.E.; George, J.; et al. Cytomorphological and immunocytochemical study of non-Hodgkin’s lymphoma in pleural effusion and ascitic fluid. Cytopathology 2007, 18, 157–167. [Google Scholar] [CrossRef] [PubMed]
- Wang, R.C.; Chen, Y.H.; Chen, B.J.; Chuang, S.S. The cytopathological spectrum of lymphomas in effusions in a tertiary center in Taiwan. Diagn. Cytopathol. 2021, 49, 232–240. [Google Scholar] [CrossRef] [PubMed]
- Pereira, T.C.; Saad, R.S.; Liu, Y.; Silverman, J.F. The diagnosis of malignancy in effusion cytology: A pattern recognition approach. Adv. Anat. Pathol. 2006, 13, 174–184. [Google Scholar] [CrossRef]
- Knowles, D.M.; Inghirami, G.; Ubriaco, A.; Dalla-Favera, R. Molecular genetic analysis of three AIDS-associated neoplasms of uncertain lineage demonstrates their B-cell derivation and the possible pathogenetic role of the Epstein-Barr virus. Blood 1989, 73, 792–799. [Google Scholar] [CrossRef] [PubMed]
- Nador, R.G.; Cesarman, E.; Chadburn, A.; Dawson, D.B.; Ansari, M.Q.; Sald, J.; Knowles, D.M. Primary effusion lymphoma: A distinct clinicopathologic entity associated with the Kaposi’s sarcoma-associated herpes virus. Blood 1996, 88, 645–656. [Google Scholar] [CrossRef] [PubMed]
- Said, J.; Cesarman, E. Primary effusion lymphoma. In WHO Classification of Tumours of Haematopoietic and Lymphoid Tissues, revised 4th ed.; International Agency for Research on Cancer: Lyon, France, 2017; pp. 323–324. [Google Scholar]
- Hu, Z.; Pan, Z.; Chen, W.; Shi, Y.; Wang, W.; Yuan, J.; Wang, E.; Zhang, S.; Kurt, H.; Mai, B.; et al. Primary Effusion Lymphoma: A Clinicopathological Study of 70 Cases. Cancers 2021, 13, 878. [Google Scholar] [CrossRef]
- Chen, B.J.; Wang, R.C.; Ho, C.H.; Yuan, C.T.; Huang, W.T.; Yang, S.F.; Hsieh, P.P.; Yung, Y.C.; Lin, S.Y.; Hsu, C.F.; et al. Primary effusion lymphoma in Taiwan shows two distinctive clinicopathological subtypes with rare human immunodeficiency virus association. Histopathology 2018, 72, 930–944. [Google Scholar] [CrossRef]
- Xiao, J.; Selvaggi, S.M.; Leith, C.P.; Fitzgerald, S.A.; Stewart, J., 3rd. Kaposi sarcoma herpesvirus/human herpesvirus-8-negative effusion-based lymphoma: Report of 3 cases and review of the literature. Cancer Cytopathol. 2013, 121, 661–669. [Google Scholar] [CrossRef][Green Version]
- Wu, W.; Youm, W.; Rezk, S.A.; Zhao, X. Human herpesvirus 8-unrelated primary effusion lymphoma-like lymphoma: Report of a rare case and review of 54 cases in the literature. Am. J. Clin. Pathol. 2013, 140, 258–273. [Google Scholar] [CrossRef] [PubMed]
- Alexanian, S.; Said, J.; Lones, M.; Pullarkat, S.T. KSHV/HHV8-negative effusion-based lymphoma, a distinct entity associated with fluid overload states. Am. J. Surg. Pathol. 2013, 37, 241–249. [Google Scholar] [CrossRef] [PubMed]
- Usmani, A.; Walts, A.E.; Patel, S.; Alkan, S.; Kitahara, S. HHV8-negative effusion based lymphoma: A series of 17 cases at a single institution. J. Am. Soc. Cytopathol. 2015, 4, 37–43. [Google Scholar] [CrossRef] [PubMed]
- Chen, B.J.; Chen, D.Y.; Kuo, C.C.; Chuang, S.S. EBV-associated but HHV8-unrelated double-hit effusion-based lymphoma. Diagn. Cytopathol. 2017, 45, 257–261. [Google Scholar] [CrossRef] [PubMed]
- Kaji, D.; Ota, Y.; Sato, Y.; Nagafuji, K.; Ueda, Y.; Okamoto, M.; Terasaki, Y.; Tsuyama, N.; Matsue, K.; Kinoshita, T.; et al. Primary human herpesvirus 8-negative effusion-based lymphoma: A large B-cell lymphoma with favorable prognosis. Blood. Adv. 2020, 4, 4442–4450. [Google Scholar] [CrossRef]
- Fiori, S.; Todisco, E.; Ramadan, S.; Gigli, F.; Falco, P.; Iurlo, A.; Rampinelli, C.; Croci, G.; Pileri, S.A.; Tarella, C. HHV8-Negative Effusion-Based Large B Cell Lymphoma Arising in Chronic Myeloid Leukemia Patients under Dasatinib Treatment: A Report of Two Cases. Biology 2021, 10, 152. [Google Scholar] [CrossRef] [PubMed]
- Carbone, A.; Gloghini, A. PEL and HHV8-unrelated effusion lymphomas: Classification and diagnosis. Cancer 2008, 114, 225–227. [Google Scholar] [CrossRef]
- Rossi, G.; Cozzi, I.; Della Starza, I.; De Novi, L.A.; De Propris, M.S.; Gaeta, A.; Petrucci, L.; Pulsoni, A.; Pulvirenti, F.; Ascoli, V. Human herpesvirus-8-positive primary effusion lymphoma in HIV-negative patients: Single institution case series with a multidisciplinary characterization. Cancer Cytopathol. 2021, 129, 62–74. [Google Scholar] [CrossRef] [PubMed]
- Yuan, L.; Cook, J.R.; Elsheikh, T.M. Primary effusion lymphoma in human immune deficiency (HIV)-negative non-organ transplant immunocompetent patients. Diagn. Cytopathol. 2020, 48, 380–385. [Google Scholar] [CrossRef]
- Nicola, M.; Onorati, M.; Bianchi, C.L.; Pepe, G.; Bellone, S.; Di Nuovo, F. Primary Effusion Lymphoma: Cytological Diagnosis of a Rare Entity--Report of Two Cases in HIV-Uninfected Patients from a Single Institution. Acta Cytol. 2015, 59, 425–428. [Google Scholar] [CrossRef]
- Baidoun, F.; Moustafa, M.A.; Tun, H.W.; Hill, B.T. Clinical Characteristics and Survival Outcomes of Primary Effusion Lymphoma: A National Cancer Database Study. Clin. Lymphoma Myeloma Leuk. 2022. [Google Scholar] [CrossRef] [PubMed]
- Swerdlow, S.H.; Campo, E.; Harris, N.L.; Jaffe, E.S.; Pileri, S.; Stein, H.; Thiele, J.; Organizacja, Z.S.; International Agency for Research on Cancer. WHO Classification of Tumours of Haematopoietic and Lymphoid Tissues; International Agency for Research on Cancer: Lyon, France, 2017. [Google Scholar]
- Shimada, K.; Hayakawa, F.; Kiyoi, H. Biology and management of primary effusion lymphoma. Blood 2018, 132, 1879–1888. [Google Scholar] [CrossRef] [PubMed]
- Karcher, D.S. From HIV to Coronavirus Disease 2019 (COVID-19): Hematologic Complications in Viral Pandemics. Arch. Pathol. Lab. Med. 2021. [Google Scholar] [CrossRef]
- Fajgenbaum, D.C.; June, C.H. Cytokine Storm. N. Engl. J. Med. 2020, 383, 2255–2273. [Google Scholar] [CrossRef]
- Mehta, P.; Fajgenbaum, D.C. Is severe COVID-19 a cytokine storm syndrome: A hyperinflammatory debate. Curr. Opin. Rheumatol. 2021, 33, 419–430. [Google Scholar] [CrossRef]
- Zanza, C.; Romenskaya, T.; Manetti, A.C.; Franceschi, F.; La Russa, R.; Bertozzi, G.; Maiese, A.; Savioli, G.; Volonnino, G.; Longhitano, Y. Cytokine Storm in COVID-19: Immunopathogenesis and Therapy. Medicina 2022, 58, 144. [Google Scholar] [CrossRef]
- Dolcetti, R.; Gloghini, A.; Caruso, A.; Carbone, A. A lymphomagenic role for HIV beyond immune suppression? Blood 2016, 127, 1403–1409. [Google Scholar] [CrossRef] [PubMed]
- Momose, S.; Tamaru, J.I. Iatrogenic immunodeficiency-associated lymphoproliferative disorders of B-cell type that develop in patients receiving immunosuppressive drugs other than in the post-transplant setting. J. Clin. Exp. Hematop. 2019, 59, 48–55. [Google Scholar] [CrossRef]
- Swerdlow, S.H.; Webber, S.A.; Chadburn, A.; Ferry, J.A. Post-transplant lymphoproliferative disorders. In WHO Classification of Tumours of Haematopoietic and Lymphoid Tissues; International Agency for Research on Cancer: Lyon, France, 2017; pp. 453–462. [Google Scholar]
- Jones, D.; Ballestas, M.E.; Kaye, K.M.; Gulizia, J.M.; Winters, G.L.; Fletcher, J.; Scadden, D.T.; Aster, J.C. Primary-effusion lymphoma and Kaposi’s sarcoma in a cardiac-transplant recipient. N. Engl. J. Med. 1998, 339, 444–449. [Google Scholar] [CrossRef]
- Zanelli, M.; Sanguedolce, F.; Zizzo, M.; Palicelli, A.; Bassi, M.C.; Santandrea, G.; Martino, G.; Soriano, A.; Caprera, C.; Corsi, M.; et al. Primary effusion lymphoma occurring in the setting of transplanted patients: A systematic review of a rare, life-threatening post-transplantation occurrence. BMC Cancer 2021, 21, 468. [Google Scholar] [CrossRef]
- Boulanger, E.; Afonso, P.V.; Yahiaoui, Y.; Adle-Biassette, H.; Gabarre, J.; Agbalika, F. Human herpesvirus-8 (HHV-8)-associated primary effusion lymphoma in two renal transplant recipients receiving rapamycin. Am. J. Transplant. 2008, 8, 707–710. [Google Scholar] [CrossRef] [PubMed]
- Riva, G.; Luppi, M.; Barozzi, P.; Forghieri, F.; Potenza, L. How I treat HHV8/KSHV-related diseases in posttransplant patients. Blood 2012, 120, 4150–4159. [Google Scholar] [CrossRef] [PubMed]
- Perier, A.; Savey, L.; Marcelin, A.G.; Serve, P.; Saadoun, D.; Barete, S. De Novo Human Herpesvirus 8 Tumors Induced by Rituximab in Autoimmune or Inflammatory Systemic Diseases. Arthritis Rheumatol. 2017, 69, 2241–2246. [Google Scholar] [CrossRef] [PubMed]
- Okada, K.; Asakura, S.; Yano, T.; Kishimoto, T. EBV-positive PEL-like lymphoma that developed in the course of antisynthetase syndrome treated with tacrolimus. Int. J. Hematol. 2018, 108, 329–334. [Google Scholar] [CrossRef] [PubMed]
- Kim, M.; An, J.; Yoon, S.O.; Yong, S.H.; Kim, J.S.; Yang, W.I.; Leem, A.Y. Human herpesvirus 8-negative effusion-based lymphoma with indolent clinical behavior in an elderly patient: A case report and literature review. Oncol. Lett. 2020, 20, 343. [Google Scholar] [CrossRef] [PubMed]
- Mancuso, S.; Carlisi, M.; Santoro, M.; Napolitano, M.; Raso, S.; Siragusa, S. Immunosenescence and lymphomagenesis. Immun. Ageing. 2018, 15, 22. [Google Scholar] [CrossRef] [PubMed]
- Sarkozy, C.; Salles, G.; Falandry, C. The biology of aging and lymphoma: A complex interplay. Curr. Oncol. Rep. 2015, 17, 32. [Google Scholar] [CrossRef] [PubMed]
- Zanelli, M.; Zizzo, M.; Bisagni, A.; Froio, E.; De Marco, L.; Valli, R.; Filosa, A.; Luminari, S.; Martino, G.; Massaro, F.; et al. Germinotropic lymphoproliferative disorder: A systematic review. Ann. Hematol. 2020, 99, 2243–2253. [Google Scholar] [CrossRef]
- Gonzalez-Farre, B.; Martinez, D.; Lopez-Guerra, M.; Xipell, M.; Monclus, E.; Rovira, J.; Garcia, F.; Lopez-Guillermo, A.; Colomo, L.; Campo, E.; et al. HHV8-related lymphoid proliferations: A broad spectrum of lesions from reactive lymphoid hyperplasia to overt lymphoma. Mod. Pathol. 2017, 30, 745–760. [Google Scholar] [CrossRef]
- Verga, L.; Leni, D.; Cazzaniga, G.; Crosta, S.; Seminati, D.; Rossi, M.; L’Imperio, V.; Pagni, F. The spectrum of the cytopathological features of primary effusion lymphoma and human herpes virus 8-related lymphoproliferative disorders. Cytopathology 2020, 31, 541–546. [Google Scholar] [CrossRef]
- Carbone, A.; Gloghini, A. KSHV/HHV8-associated lymphomas. Br. J. Haematol. 2008, 140, 13–24. [Google Scholar] [CrossRef] [PubMed]
- Vega, F.; Miranda, R.N.; Medeiros, L.J. KSHV/HHV8-positive large B-cell lymphomas and associated diseases: A heterogeneous group of lymphoproliferative processes with significant clinicopathological overlap. Mod. Pathol. 2020, 33, 18–28. [Google Scholar] [CrossRef] [PubMed]
- Shin, J.; Lee, J.O.; Choe, J.Y.; Bang, S.M.; Lee, J.S. Human Herpesvirus 8-Unrelated Primary Effusion Lymphoma-Like Lymphoma in an Elderly Korean Patient with a Good Response to Rituximab Plus Cyclophosphamide, Doxorubicin, Vincristine, and Prednisolone. Cancer Res. Treat. 2017, 49, 274–278. [Google Scholar] [CrossRef] [PubMed]
- Choi, J.W.; Kim, Y.; Lee, J.H.; Kim, Y.S. Human Herpesvirus 8-Negative and Epstein-Barr Virus-Positive Effusion-Based Lymphoma in a Patient with Human Immunodeficiency Virus. J. Pathol. Transl. Med. 2015, 49, 409–412. [Google Scholar] [CrossRef] [PubMed]
- Mohammad, F.; Siddique, M.N.; Siddiqui, F.; Popalzai, M.; Asgari, M.; Odaimi, M. A Unique Case of Malignant Pleuropericardial Effusion: HHV-8-Unrelated PEL-Like Lymphoma-A Case Report and Review of the Literature. Case Rep. Oncol. Med. 2014, 2014, 436821. [Google Scholar] [CrossRef] [PubMed][Green Version]
- Fan, H.B.; Yang, D.L.; Guo, Y.; Chen, A.S.; Zhou, M.X.; Wu, J.J.; Ma, X.J.; Li, Z. Human herpes virus 8-unrelated primary effusion lymphoma-like lymphoma in a patient with hepatitis B virus-related liver cirrhosis: A case report. J. Res. Med. Sci. 2014, 19, 190–192. [Google Scholar] [PubMed]
- Sumida, K.; Ubara, Y.; Takaichi, K.; Wake, A. Primary effusion lymphoma-like lymphoma with polycystic kidney disease. BMJ Case Rep. 2012, 2012, bcr0220125774. [Google Scholar] [CrossRef]
- Kim, K.H.; Lee, J.H.; Jeong, H.C.; Kim, G.W.; Song, S.H.; Jung, S.Y.; Kim, G.I.; Kim, E.K. A case of human herpes virus-8 unrelated primary effusion lymphoma-like lymphoma presented as pleural effusion. Tuberc. Respir. Dis. 2012, 73, 336–341. [Google Scholar] [CrossRef]
- Wang, T.; Nava, V.E.; Schechter, G.P.; Lichy, J.H.; Liu, M.L. Human herpes virus 8-unrelated primary effusion lymphoma-like lymphoma: A patient successfully treated with pleurodesis. J. Clin. Oncol. 2011, 29, e747–e750. [Google Scholar] [CrossRef]
- Terasaki, Y.; Yamamoto, H.; Kiyokawa, H.; Okumura, H.; Saito, K.; Ichinohasama, R.; Ishida, Y. Disappearance of malignant cells by effusion drainage alone in two patients with HHV-8-unrelated HIV-negative primary effusion lymphoma-like lymphoma. Int. J. Hematol. 2011, 94, 279–284. [Google Scholar] [CrossRef]
- Kagoya, Y.; Takahashi, T.; Yoshimoto, T.; Ichikawa, M.; Hangaishi, A.; Fukayama, M.; Kurokawa, M. Recurrent pericardial effusion after treatment for primary effusion lymphoma-like lymphoma: An autopsied case. Ann. Hematol. 2011, 90, 219–220. [Google Scholar] [CrossRef] [PubMed]
- Takahashi, T.; Hangaishi, A.; Yamamoto, G.; Ichikawa, M.; Imai, Y.; Kurokawa, M. HIV-negative, HHV-8-unrelated primary effusion lymphoma-like lymphoma: Report of two cases. Am. J. Hematol. 2010, 85, 85–87. [Google Scholar] [CrossRef] [PubMed]
- Cooper, A.R.; Burack, W.R.; Allerton, J.P. A case of Kaposi sarcoma-associated herpesvirus/human herpesvirus 8-unrelated but Epstein-Barr virus-positive primary effusion lymphoma-like lymphoma in the setting of human immunodeficiency virus and hepatitis C virus infection. Leuk. Lymphoma 2010, 51, 2303–2305. [Google Scholar] [CrossRef] [PubMed]
- Tsagarakis, N.J.; Argyrou, A.; Gortzolidis, G.; Kentrou, N.; Papadhimitriou, S.I.; Tzanetou, K.; Kakiopoulos, G.; Papadimitriou, K.A.; Skoumi, D.; Paterakis, G. Report of an HIV and HHV-8 negative case of primary effusion lymphoma with idiopathic T4 lymphocytopenia. Int. J. Hematol. 2009, 90, 94–98. [Google Scholar] [CrossRef] [PubMed]
- De Filippi, R.; Iaccarino, G.; Frigeri, F.; Di Francia, R.; Crisci, S.; Capobianco, G.; Arcamone, M.; Becchimanzi, C.; Amoroso, B.; De Chiara, A.; et al. Elevation of clonal serum free light chains in patients with HIV-negative primary effusion lymphoma (PEL) and PEL-like lymphoma. Br. J. Haematol. 2009, 147, 405–408. [Google Scholar] [CrossRef]
- Adiguzel, C.; Bozkurt, S.U.; Kaygusuz, I.; Uzay, A.; Tecimer, T.; Bayik, M. Human herpes virus 8-unrelated primary effusion lymphoma-like lymphoma: Report of a rare case and review of the literature. APMIS 2009, 117, 222–229. [Google Scholar] [CrossRef]
- Terasaki, Y.; Okumura, H.; Saito, K.; Sato, Y.; Yoshino, T.; Ichinohasama, R.; Ishida, Y. HHV-8/KSHV-negative and CD20-positive primary effusion lymphoma successfully treated by pleural drainage followed by chemotherapy containing rituximab. Intern. Med. 2008, 47, 2175–2178. [Google Scholar] [CrossRef][Green Version]
- Niino, D.; Tsukasaki, K.; Torii, K.; Imanishi, D.; Tsuchiya, T.; Onimaru, Y.; Tsushima, H.; Yoshida, S.; Yamada, Y.; Kamihira, S.; et al. Human herpes virus 8-negative primary effusion lymphoma with BCL6 rearrangement in a patient with idiopathic CD4 positive T-lymphocytopenia. Haematologica 2008, 93, e21–e23. [Google Scholar] [CrossRef][Green Version]
- Kobayashi, Y.; Kamitsuji, Y.; Kuroda, J.; Tsunoda, S.; Uoshima, N.; Kimura, S.; Wada, K.; Matsumoto, Y.; Nomura, K.; Horiike, S.; et al. Comparison of human herpes virus 8 related primary effusion lymphoma with human herpes virus 8 unrelated primary effusion lymphoma-like lymphoma on the basis of HIV: Report of 2 cases and review of 212 cases in the literature. Acta Haematol. 2007, 117, 132–144. [Google Scholar] [CrossRef] [PubMed]
- Youngster, I.; Vaisben, E.; Cohen, H.; Nassar, F. An unusual cause of pleural effusion. Age Ageing 2006, 35, 94–96. [Google Scholar] [CrossRef] [PubMed]
- Venizelos, I.; Tamiolakis, D.; Lambropoulou, M.; Nikolaidou, S.; Bolioti, S.; Papadopoulos, H.; Papadopoulos, N. An unusual case of posttransplant peritoneal primary effusion lymphoma with T-cell phenotype in a HIV-negative female, not associated with HHV-8. Pathol. Oncol. Res. 2005, 11, 178–181. [Google Scholar] [CrossRef] [PubMed]
- Matsumoto, Y.; Nomura, K.; Ueda, K.; Satoh, K.; Yasuda, N.; Taki, T.; Yokota, S.; Horiike, S.; Okanoue, T.; Taniwaki, M. Human herpesvirus 8-negative malignant effusion lymphoma: A distinct clinical entity and successful treatment with rituximab. Leuk. Lymphoma 2005, 46, 415–419. [Google Scholar] [CrossRef] [PubMed]
- Jenkins, C.; Sorour, Y.; Blake, E.; Elliot, R.; Al-Sabah, A.I.; Green, J. Human-immunodeficiency-virus-negative, human-herpes-virus-8-negative abdominal cavity primary effusion lymphoma. Clin. Oncol. 2005, 17, 636–638. [Google Scholar] [CrossRef] [PubMed]
- Fujiwara, T.; Ichinohasama, R.; Miura, I.; Sugawara, T.; Harigae, H.; Yokoyama, H.; Takahashi, S.; Tomiya, Y.; Yamada, M.; Ishizawa, K.; et al. Primary effusion lymphoma of the pericardial cavity carrying t(1;22)(q21;q11) and t(14;17)(q32;q23). Cancer Genet. Cytogenet. 2005, 156, 49–53. [Google Scholar] [CrossRef] [PubMed]
- Takao, T.; Kobayashi, Y.; Kuroda, J.; Omoto, A.; Nishimura, T.; Kamitsuji, Y.; Fukiya, E.; Nakamura, C.; Kimura, S.; Yoshikawa, T. Rituximab is effective for human herpesvirus-8-negative primary effusion lymphoma with CD20 phenotype associated hepatitis C virus-related liver cirrhosis. Am. J. Hematol. 2004, 77, 419–420. [Google Scholar] [CrossRef] [PubMed]
- Nonami, A.; Yokoyama, T.; Takeshita, M.; Ohshima, K.; Kubota, A.; Okamura, S. Human herpes virus 8-negative primary effusion lymphoma (PEL) in a patient after repeated chylous ascites and chylothorax. Intern. Med. 2004, 43, 236–242. [Google Scholar] [CrossRef]
- Inoue, Y.; Tsukasaki, K.; Nagai, K.; Soda, H.; Tomonaga, M. Durable remission by sobuzoxane in an HIV-seronegative patient with human herpesvirus 8-negative primary effusion lymphoma. Int. J. Hematol. 2004, 79, 271–275. [Google Scholar] [CrossRef]
- Shimazaki, M.; Fujita, M.; Tsukamoto, K.; Matsuki, T.; Iwata, M.; Takahashi, H.; Doi, A.; Hyakkoku, M.; Yamauchi, K.; Genda, S.; et al. An unusual case of primary effusion lymphoma in a HIV-negative patient not pathogenetically associated with HHV8. Eur. J. Haematol. 2003, 71, 62–67. [Google Scholar] [CrossRef]
- Paner, G.P.; Jensen, J.; Foreman, K.E.; Reyes, C.V. HIV and HHV-8 negative primary effusion lymphoma in a patient with hepatitis C virus-related liver cirrhosis. Leuk. Lymphoma 2003, 44, 1811–1814. [Google Scholar] [CrossRef]
- Nakamura, Y.; Tajima, F.; Omura, H.; Ishiga, K.; Kawatani, T.; Murawaki, Y. Primary effusion lymphoma of the left scrotum. Intern. Med. 2003, 42, 351–353. [Google Scholar] [CrossRef]
- Hisamoto, A.; Yamane, H.; Hiraki, A.; Maeda, Y.; Fujii, N.; Sasaki, K.; Miyake, T.; Sasaki, T.; Nakamura, T.; Kiura, K.; et al. Human herpes virus-8-negative primary effusion lymphoma in a patient with common variable immunodeficiency. Leuk. Lymphoma 2003, 44, 2019–2022. [Google Scholar] [CrossRef] [PubMed]
- Chiba, H.; Matsunaga, T.; Kuribayashi, K.; Nikaido, T.; Shirao, S.; Murakami, K.; Hirayama, Y.; Sakamaki, S.; Ikeda, H.; Niitsu, Y. Autoimmune hemolytic anemia as a first manifestation of primary effusion lymphoma. Ann. Hematol. 2003, 82, 773–776. [Google Scholar] [CrossRef] [PubMed]
- Ohshima, K.; Ishiguro, M.; Yamasaki, S.; Miyagi, J.; Okamura, S.; Sugio, Y.; Muta, T.; Sasaki, H.; Tuchiya, T.; Kawasaki, C.; et al. Chromosomal and comparative genomic analyses of HHV-8-negative primary effusion lymphoma in five HIV-negative Japanese patients. Leuk. Lymphoma 2002, 43, 595–601. [Google Scholar] [CrossRef]
- Yamamoto, Y.; Kitajima, H.; Sakihana, H.; Shigeki, T.; Fukuhara, S. CD3+CD4-CD8-TCR-alphabeta+ T-cell lymphoma with clinical features of primary effusion lymphoma: An autopsy case. Int. J. Hematol. 2001, 74, 442–446. [Google Scholar] [CrossRef] [PubMed]
- Tanaka, S.; Katano, H.; Tsukamoto, K.; Jin, M.; Oikawa, S.; Nishihara, H.; Sawa, H.; Sawada, K.; Shimizu, M.; Sata, T.; et al. HHV8-negative primary effusion lymphoma of the peritoneal cavity presenting with a distinct immunohistochemical phenotype. Pathol. Int. 2001, 51, 293–300. [Google Scholar] [CrossRef]
- Rodriguez, J.; Romaguera, J.E.; Katz, R.L.; Said, J.; Cabanillas, F. Primary effusion lymphoma in an HIV-negative patient with no serologic evidence of Kaposi’s sarcoma virus. Leuk. Lymphoma. 2001, 41, 185–189. [Google Scholar] [CrossRef]
- Ohori, N.P.; Whisnant, R.E.; Nalesnik, M.A.; Swerdlow, S.H. Primary pleural effusion posttransplant lymphoproliferative disorder: Distinction from secondary involvement and effusion lymphoma. Diagn. Cytopathol. 2001, 25, 50–53. [Google Scholar] [CrossRef]
- Hara, T.; Nishi, S.; Horimoto, A.; Takenaka, S.; Ibata, Y.; Akamatsu, H. Primary effusion lymphoma in a patient with hepatitis C virus-related liver cirrhosis. J. Gastroenterol. Hepatol. 2001, 16, 948–949. [Google Scholar] [CrossRef]
- Ashihara, E.; Shimazaki, C.; Hirai, H.; Inaba, T.; Hasegawa, G.; Mori, S.; Nakagawa, M. Human herpes virus 8-negative primary effusion lymphoma in a patient with a ventriculoperitoneal shunt tube. Int. J. Hematol. 2001, 74, 327–332. [Google Scholar] [CrossRef]
- Ichinohasama, R.; Miura, I.; Kobayashi, N.; Saitoh, Y.; DeCoteau, J.F.; Saiki, Y.; Mori, S.; Kadin, M.E.; Ooya, K. Herpes virus type 8-negative primary effusion lymphoma associated with PAX-5 gene rearrangement and hepatitis C virus: A case report and review of the literature. Am. J. Surg. Pathol. 1998, 22, 1528–1537. [Google Scholar] [CrossRef]
- Carbone, A.; Cilia, A.M.; Gloghini, A.; Canzonieri, V.; Pastore, C.; Todesco, M.; Cozzi, M.; Perin, T.; Volpe, R.; Pinto, A.; et al. Establishment of HHV-8-positive and HHV-8-negative lymphoma cell lines from primary lymphomatous effusions. Int. J. Cancer 1997, 73, 562–569. [Google Scholar] [CrossRef]
- Ascoli, V.; Lo Coco, F.; Artini, M.; Levrero, M.; Fruscalzo, A.; Mecucci, C. Primary effusion Burkitt’s lymphoma with t(8;22) in a patient with hepatitis C virus-related cirrhosis. Hum. Pathol. 1997, 28, 101–104. [Google Scholar] [CrossRef]
- Hermine, O.; Michel, M.; Buzyn-Veil, A.; Gessain, A. Body-cavity-based lymphoma in an HIV-seronegative patient without Kaposi’s sarcoma-associated herpesvirus-like DNA sequences. N. Engl. J. Med. 1996, 334, 272–273. [Google Scholar] [CrossRef] [PubMed]
- Carbone, A.; Gloghini, A.; Vaccher, E.; Zagonel, V.; Pastore, C.; Dalla Palma, P.; Branz, F.; Saglio, G.; Volpe, R.; Tirelli, U.; et al. Kaposi’s sarcoma-associated herpesvirus DNA sequences in AIDS-related and AIDS-unrelated lymphomatous effusions. Br. J. Haematol. 1996, 94, 533–543. [Google Scholar] [CrossRef] [PubMed]
- Kishimoto, K.; Kitamura, T.; Hirayama, Y.; Tate, G.; Mitsuya, T. Cytologic and immunocytochemical features of EBV negative primary effusion lymphoma: Report on seven Japanese cases. Diagn. Cytopathol. 2009, 37, 293–298. [Google Scholar] [CrossRef] [PubMed]
- Kim, Y.; Park, C.J.; Roh, J.; Huh, J. Current concepts in primary effusion lymphoma and other effusion-based lymphomas. Korean J. Pathol. 2014, 48, 81–90. [Google Scholar] [CrossRef] [PubMed]
- Wang, W.; Kanagal-Shamanna, R.; Medeiros, L.J. Lymphoproliferative disorders with concurrent HHV8 and EBV infection: Beyond primary effusion lymphoma and germinotropic lymphoproliferative disorder. Histopathology 2018, 72, 855–861. [Google Scholar] [CrossRef] [PubMed]
- Chen, B.J.; Chuang, S.S. Lymphoid Neoplasms with Plasmablastic Differentiation: A Comprehensive Review and Diagnostic Approaches. Adv. Anat. Pathol. 2020, 27, 61–74. [Google Scholar] [CrossRef]
- Chen, Y.B.; Rahemtullah, A.; Hochberg, E. Primary effusion lymphoma. Oncologist 2007, 12, 569–576. [Google Scholar] [CrossRef]
- Pan, Z.G.; Zhang, Q.Y.; Lu, Z.B.; Quinto, T.; Rozenvald, I.B.; Liu, L.T.; Wilson, D.; Reddy, V.; Huang, Q.; Wang, H.Y.; et al. Extracavitary KSHV-associated large B-Cell lymphoma: A distinct entity or a subtype of primary effusion lymphoma? Study of 9 cases and review of an additional 43 cases. Am. J. Surg. Pathol. 2012, 36, 1129–1140. [Google Scholar] [CrossRef]
- Banks, P.M.; Warnke, R.A. Primary effusion lymphoma. In WHO Classification of Tumours of Haematopoietic and Lymphoid Tissues; International Agency for Research on Cancer: Lyon, France, 2001; pp. 179–180. [Google Scholar]
- Liu, C.Y.; Chuang, S.S. A Simple and Practical Guide for Triaging Lymphocyte-rich Effusions for Ancillary Studies. Adv. Anat. Pathol. 2021, 28, 94–104. [Google Scholar] [CrossRef] [PubMed]
- Calvani, J.; Gerard, L.; Fadlallah, J.; Poullot, E.; Galicier, L.; Robe, C.; Garzaro, M.; Bertinchamp, R.; Boutboul, D.; Cuccuini, W.; et al. A Comprehensive Clinicopathologic and Molecular Study of 19 Primary Effusion Lymphomas in HIV-infected Patients. Am. J. Surg. Pathol. 2021. [Google Scholar] [CrossRef] [PubMed]
- Masir, N.; Marafioti, T.; Jones, M.; Natkunam, Y.; Rudiger, T.; Hansmann, M.L.; Mason, D.Y. Loss of CD19 expression in B-cell neoplasms. Histopathology 2006, 48, 239–246. [Google Scholar] [CrossRef] [PubMed]
- El-Fattah, M.A. Clinical characteristics and survival outcome of primary effusion lymphoma: A review of 105 patients. Hematol. Oncol. 2017, 35, 878–883. [Google Scholar] [CrossRef] [PubMed]
- Sasaki, Y.; Isegawa, T.; Shimabukuro, A.; Yonaha, T.; Yonaha, H. Primary Effusion Lymphoma in an Elderly HIV-Negative Patient with Hemodialysis: Importance of Evaluation for Pleural Effusion in Patients Receiving Hemodialysis. Case Rep. Nephrol. Urol. 2014, 4, 95–102. [Google Scholar] [CrossRef] [PubMed]




| HIV | HHV8 | EBV | Phenotype | References | ||
|---|---|---|---|---|---|---|
| Type I PEL (HHV8+) | Prototypic PEL by 2017 WHO | + | + | + (65–80%) | Plasmablastic | [8] |
| PEL | - | + | Mostly– (+ in 19–38%) | Plasmablastic | [9,62] | |
| Type II PEL (HHV8−) | EBL by WHO (with fluid overload) | Mostly– (+ in 4%) | - | Mostly– (+ in 29%) | B-cell (majority) | [10,13] |
| Without fluid overload | Mostly– (+ in 5%) | - | Mostly– (+ in 29%) | B-cell (majority) | [10,13] |
| WHO Classification (2017) | Mature B-Cell Neoplasms: Primary Effusion Lymphoma (HHV8-Related) | Effusion-Based Lymphoma (HHV8-Unrelated) | References |
|---|---|---|---|
| Classification by Chen et al. (2018) | Classic or type I PEL | Type II PEL | [10] |
| HHV8/KSHV | Positive | Negative | [8] |
| Prevalence | 66% of all PEL | 33% of all PEL | [10] |
| Clinical characteristics | Younger patients; HIV infection/immunodeficiency/organ transplantation | Elder patients; HIV-negative/ underlying medical conditions or fluid overload status | |
| Underlying immune status | Immunocompromised (both HIV-related or HIV-unrelated) | Mostly immunocompetent elder patients with immunosenescence | [9,10,19] |
| Etiology | HHV8 infection (with possible synergistic effect of EBV) | Fluid overload/chronic inflammatory stimulation/underlying medical conditions (liver cirrhosis, renal dysfunction, or heart failure) | [10,11,12,13,16,38] |
| EBV association | High (65–80%) | Low (13–30%) | [9,12,13,16,62] |
| Morphology | Immunoblasts, plasmablastic, anaplastic, or binucleated and multinucleated cells resembling Reed-Sternberg cells | Immunoblastic, plasmablastic, anaplastic, or Burkitt like | |
| Phenotype | Plasmablastic; Positive for CD45/LCA (90%) and plasma cell-related markers such as CD38, CD138, Blimp-1, and VSc38, but negative for pan B-cell markers | B cell; Positive for CD19, CD20, CD79a, and PAX5, but negative for plasma cell-related markers | |
| Activation marker (CD30) | Positive (70–100%) | Negative (76–97%) | [9,12,16,44] |
| MYC rearrangement | 3% | 29% | [10] |
| Prognosis | Generally poor (median survival <6 months) | Better response to chemotherapy (one-year survival rate 47%) | [8], current study |
| Western Populations | East Asian Populations | p Value | Total Cases | |
|---|---|---|---|---|
| Fluid overload | 55% (22/40) | 36% (36/99) | 0.068 | 41.7% (58/139) |
| Underlying specific medical diseases | 68% (28/41) | 31% (27/88) | <0.001 * | 42.6% (55/129) |
| Liver cirrhosis | 24% (10/41) | 8% (7/88) | 0.022 * | 13.2% (17/129) |
| Renal dysfunction/ESRD | 5% (2/41) | 15% (13/88) | 0.142 | 11.6% (15/129) |
| Heart failure | 22% (9/41) | 5% (4/88) | 0.004 * | 10.1% (13/129) |
| Prior cancer/leukemia | 12% (5/41) | 3% (3/88) | 0.109 | 6.2% (8/129) |
| Post-transplantation | 5% (2/41) | 0% (0/88) | 0.099 | 1.6% (2/129) |
| Immunodeficiency Status | ||||
| HIV | 20% (6/30) | 2% (2/100) | 0.002 * | 6.2% (8/130) |
| Iatrogenic immunodeficiency | 12% (5/41) | 0% (0/88) | 0.003 * | 3.9% (5/129) |
| Congenital immunodeficiency | 0% (0/41) | 1% (1/88) | 1.000 | 0.8% (1/129) |
| EBV infection | 32% (15/47) | 16% (15/96) | 0.042 * | 21.0% (30/143) |
| Plasmablastic Lymphoma | Solid tumor, ALK−, EBV+/−, HHV8−, HIV+/− |
| Plasmablastic myeloma | Clonal bone marrow plasma cells ≥10% or plasmacytoma, CRAB+, ALK−, EBV−, HHV8−, HIV− |
| ALK-positive LBCL | Solid tumor, ALK+, EBV−, HHV8−, HIV− |
| HHV8-positive DLBCL, NOS | Solid tumor, ALK−, EBV−, HHV8+, HIV+/−, cytoplasmic IgM with lambda light chain restriction, CD20+/−, CD138−, IRF4/MUM1+ |
| Pyothorax-associated lymphoma | History of pyothorax resulting from artificial pneumothorax for treatment of pulmonary or pleural tuberculosis, ALK−, EBV+, HHV8−, HIV−, CD20+/−, IRF4/MUM1+/− |
| DLBCL, NOS | Solid tumor, ALK−, EBV−, HHV8−, HIV−, CD20+, CD138−/+ |
| EBV+ DLBCL, NOS | Solid tumor, ALK−, EBV+, HHV8−, HIV−, CD20+/−, IRF4/MUM1+ |
| HHV8-positive DLBCL, NOS | Solid tumor, ALK−, EBV−, HHV8+, HIV+/−, cytoplasmic IgM with lambda light chain restriction, CD20+/−, CD138−, IRF4/MUM1+ |
Publisher’s Note: MDPI stays neutral with regard to jurisdictional claims in published maps and institutional affiliations. |
© 2022 by the authors. Licensee MDPI, Basel, Switzerland. This article is an open access article distributed under the terms and conditions of the Creative Commons Attribution (CC BY) license (https://creativecommons.org/licenses/by/4.0/).
Share and Cite
Liu, C.-Y.; Chen, B.-J.; Chuang, S.-S. Primary Effusion Lymphoma: A Timely Review on the Association with HIV, HHV8, and EBV. Diagnostics 2022, 12, 713. https://doi.org/10.3390/diagnostics12030713
Liu C-Y, Chen B-J, Chuang S-S. Primary Effusion Lymphoma: A Timely Review on the Association with HIV, HHV8, and EBV. Diagnostics. 2022; 12(3):713. https://doi.org/10.3390/diagnostics12030713
Chicago/Turabian StyleLiu, Chih-Yi, Bo-Jung Chen, and Shih-Sung Chuang. 2022. "Primary Effusion Lymphoma: A Timely Review on the Association with HIV, HHV8, and EBV" Diagnostics 12, no. 3: 713. https://doi.org/10.3390/diagnostics12030713
APA StyleLiu, C.-Y., Chen, B.-J., & Chuang, S.-S. (2022). Primary Effusion Lymphoma: A Timely Review on the Association with HIV, HHV8, and EBV. Diagnostics, 12(3), 713. https://doi.org/10.3390/diagnostics12030713

