Pulmonary Histoplasmosis Mimicking Metastatic Lung Cancer: A Case Report
Abstract
1. Introduction
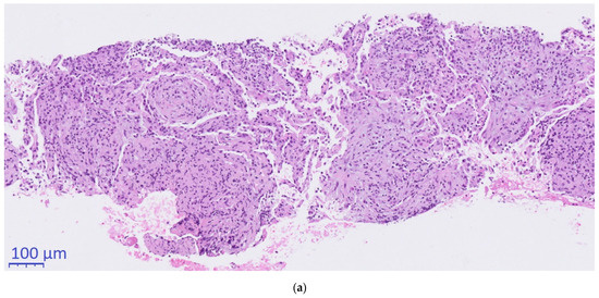
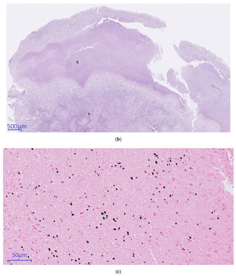
2. Case
3. Discussion
Author Contributions
Funding
Institutional Review Board Statement
Informed Consent Statement
Data Availability Statement
Acknowledgments
Conflicts of Interest
References
- Panackal, A.A.; Hajjeh, R.A.; Cetron, M.S.; Warnock, D.W. Fungal Infections among Returning Travelers. Clin. Infect. Dis. 2002, 35, 1088–1095. [Google Scholar] [CrossRef] [PubMed]
- Nagelschneider, A.A.; Broski, S.M.; Holland, W.P.; Midthun, D.E.; Sykes, A.-M.; Lowe, V.J.; Peller, P.J.; Johnson, G.B. The flip-flop fungus sign: An FDG PET/CT sign of benignity. Am. J. Nucl. Med. Mol. Imaging 2017, 7, 212–217. [Google Scholar] [PubMed]
- Benedict, K.; Mody, R.K. Epidemiology of Histoplasmosis Outbreaks, United States, 1938–2013. Emerg. Infect. Dis. 2016, 22, 370–378. [Google Scholar] [CrossRef] [PubMed]
- Assi, M.A.; Sandid, M.S.; Baddour, L.M.; Roberts, G.D.; Walker, R.C. Systemic Histoplasmosis. Med. 2007, 86, 162–169. [Google Scholar] [CrossRef] [PubMed]
- Goodwin, R.A.; Shapiro, J.L.; Thurman, G.H.; Thurman, S.S.; Prez, R.M.D. Disseminated histoplasmosis: Clinical and pathologic correlations. Medicine 1980, 59, 1–33. [Google Scholar] [CrossRef] [PubMed]
- Deepe, G.J. Histoplasma capsulatum. In Mandell, Douglas, and Bennett’s Prin-ciples and Practice of Infectious Diseases, 7th ed.; Bennett, J.L., Dolin, R., Blaser, M.J., Eds.; Churchill Livingstone Elsevier: Philadelphia, PA, USA, 2010; pp. 3305–3313. [Google Scholar]
- Kauffman, C.A. Histoplasmosis: A Clinical and Laboratory Update. Clin. Microbiol. Rev. 2007, 20, 115–132. [Google Scholar] [CrossRef] [PubMed]
- Ashbee, H.R.; Evans, E.G.V.; Viviani, M.A.; Dupont, B.; Chryssanthou, E.; Surmont, I.; Tomsikova, A.; Vachkov, P.; Ener, B.; Zala, J.; et al. Histoplasmosis in Europe: Report on an epidemiological survey from the European Confederation of Medical Mycology Working Group. Med. Mycol. 2008, 46, 57–65. [Google Scholar] [CrossRef] [PubMed]
- Wheat, L.J.; Freifeld, A.G.; Kleiman, M.B.; Baddley, J.W.; McKinsey, D.S.; Loyd, J.E.; Kauffman, C.A. Clinical Practice Guidelines for the Management of Patients with Histoplasmosis: 2007 Update by the Infectious Diseases Society of America. Clin. Infect. Dis. 2007, 45, 807–825. [Google Scholar] [CrossRef] [PubMed]
- Ost, D.; Fein, A.M.; Feinsilver, S.H. The Solitary Pulmonary Nodule. New Engl. J. Med. 2003, 348, 2535–2542. [Google Scholar] [CrossRef] [PubMed]
- Hage, C.A.; Ribes, J.A.; Wengenack, N.L.; Baddour, L.M.; Assi, M.; McKinsey, D.S.; Hammoud, K.; Alapat, D.; Babady, N.E.; Parker, M.; et al. A Multicenter Evaluation of Tests for Diagnosis of Histoplasmosis. Clin. Infect. Dis. 2011, 53, 448–454. [Google Scholar] [CrossRef] [PubMed]
- Hot, A.; Maunoury, C.; Poiree, S.; Lanternier, F.; Viard, J.P.; Loulergue, P.; Coignard, H.; Bougnoux, M.E.; Suarez, F.; Rubio, M.T.; et al. Diagnostic contribution of positron emission tomography with [18F]fluorodeoxyglucose for invasive fungal infections. Clin. Microbiol. Infect. 2011, 17, 409–417. [Google Scholar] [CrossRef] [PubMed]
- Figueroa, J.R.M.; Torres, O.L.V.; Hernández, I.; Vila, A. PET-CT scan positive pulmonary nodule revealing histoplasmosis: A case report. Bol. Asoc. Med. P. R. 2011, 102, 47–50. [Google Scholar]
- Montagnac, C.; Eldin, C.; Thouret, A.; Ranque, S.; Brouqui, P. Histoplamosis in an immunocompetent man returning from Brazil: A diagnostic challenge helped by 18 FDG PET CT. Travel Med. Infect. Dis. 2019, 27, 136–138. [Google Scholar] [CrossRef] [PubMed]
- Kadaria, D.; Freire, A.X.; SultanAli, I.; Zaman, M.K.; Archie, D.S.; Weiman, D.S. Dual Time Point Positron Emission Tomography/Computed Tomography Scan in Evaluation of Intrathoracic Lesions in an Area Endemic for Histoplasmosis and With High Prevalence of Sarcoidosis. Am. J. Med. Sci. 2013, 346, 358–362. [Google Scholar] [CrossRef] [PubMed]
- Lamps, L.W.; Molina, C.P.; West, A.B.; Haggitt, R.C.; Scott, M.A. The Pathologic Spectrum of Gastrointestinal and Hepatic Histoplasmosis. Am. J. Clin. Pathol. 2000, 113, 64–72. [Google Scholar] [CrossRef] [PubMed]
- Bavaa, J.; Troncosob, A.; Clausen, C.R. Giemsa and Grocott in the recognition of Histoplasma capsulatum in blood smears. Asian Pac. J. Trop. Biomed. 2013, 3, 418–420. [Google Scholar] [CrossRef]
- Rajeshwari, M.; Xess, I.; Sharma, M.C.; Jain, D. Acid-Fastness of Histoplasma in Surgical Pathology Practice. J. Pathol. Transl. Med. 2017, 51, 482–487. [Google Scholar] [CrossRef] [PubMed][Green Version]




| At least one pulmonary nodule is present | |
| Solid or part solid (not ground glass) | |
| 8–30 mm mean diameter | |
| Not necrotic, invasive, or calcified | |
| Any level of FDG activity data | |
| At least one FDG-avid draining lymph node is present | |
| SUVmax node > mediastinal blood pool | |
| Station 11 (ipsilateral), 4 (ipsilateral) or 7 | |
| At least one draining lymph node has ≥ SUVmax than the pulmonary nodule(s) | |
| Absence of FDG avid lesions worrisome for cancer | |
| No obvious extrathoracic malignancy | |
| FDG avid lesions in reticuloenthelial system (lymph nodes, spleen, liver) permitted | |
Publisher’s Note: MDPI stays neutral with regard to jurisdictional claims in published maps and institutional affiliations. |
© 2021 by the authors. Licensee MDPI, Basel, Switzerland. This article is an open access article distributed under the terms and conditions of the Creative Commons Attribution (CC BY) license (http://creativecommons.org/licenses/by/4.0/).
Share and Cite
Ruegg, G.; Zimmerli, S.; Trachsel, M.; Berezowska, S.; Engelbrecht, S.; Martin, Y.; Perrig, M. Pulmonary Histoplasmosis Mimicking Metastatic Lung Cancer: A Case Report. Diagnostics 2021, 11, 328. https://doi.org/10.3390/diagnostics11020328
Ruegg G, Zimmerli S, Trachsel M, Berezowska S, Engelbrecht S, Martin Y, Perrig M. Pulmonary Histoplasmosis Mimicking Metastatic Lung Cancer: A Case Report. Diagnostics. 2021; 11(2):328. https://doi.org/10.3390/diagnostics11020328
Chicago/Turabian StyleRuegg, Gion, Stefan Zimmerli, Maria Trachsel, Sabina Berezowska, Swantje Engelbrecht, Yonas Martin, and Martin Perrig. 2021. "Pulmonary Histoplasmosis Mimicking Metastatic Lung Cancer: A Case Report" Diagnostics 11, no. 2: 328. https://doi.org/10.3390/diagnostics11020328
APA StyleRuegg, G., Zimmerli, S., Trachsel, M., Berezowska, S., Engelbrecht, S., Martin, Y., & Perrig, M. (2021). Pulmonary Histoplasmosis Mimicking Metastatic Lung Cancer: A Case Report. Diagnostics, 11(2), 328. https://doi.org/10.3390/diagnostics11020328

