Interobserver Variability in the Assessment of Tumor Budding in pT 3/4 Colon Cancer: Improvement by Supporting Immunohistochemistry?
Abstract
1. Introduction
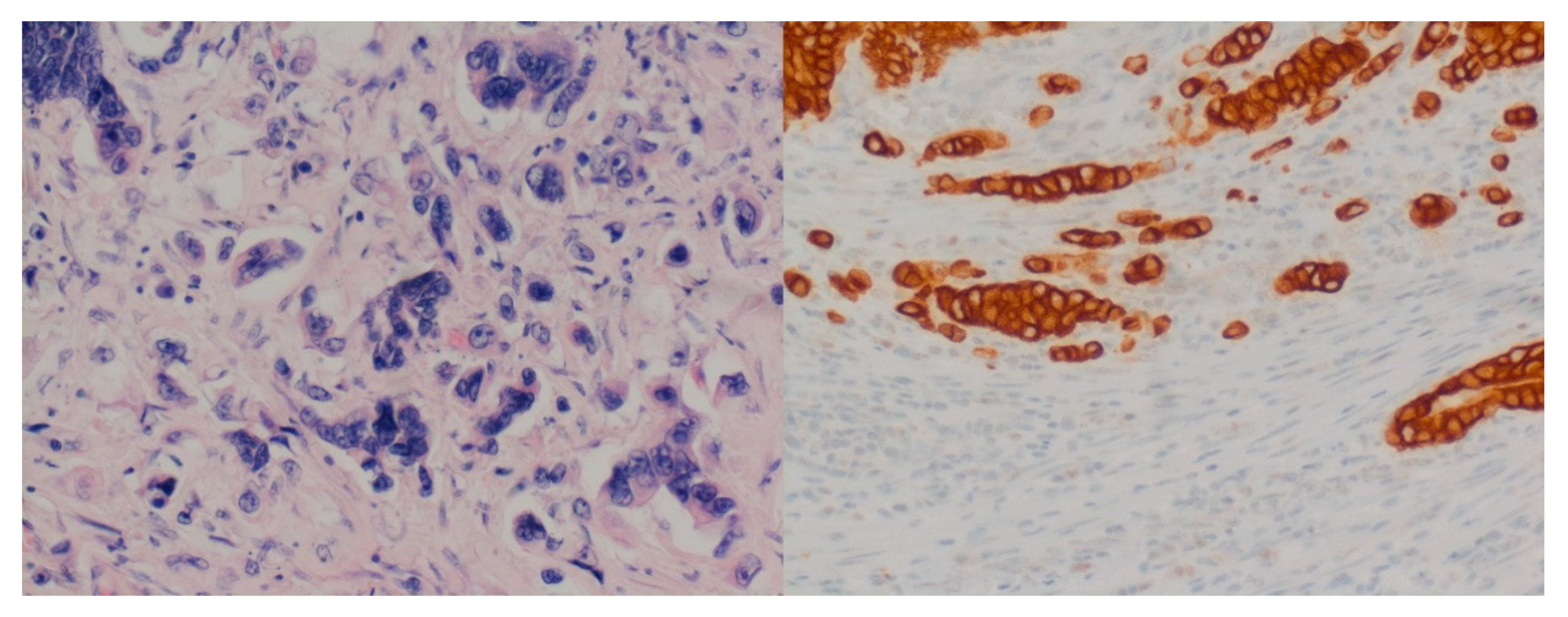
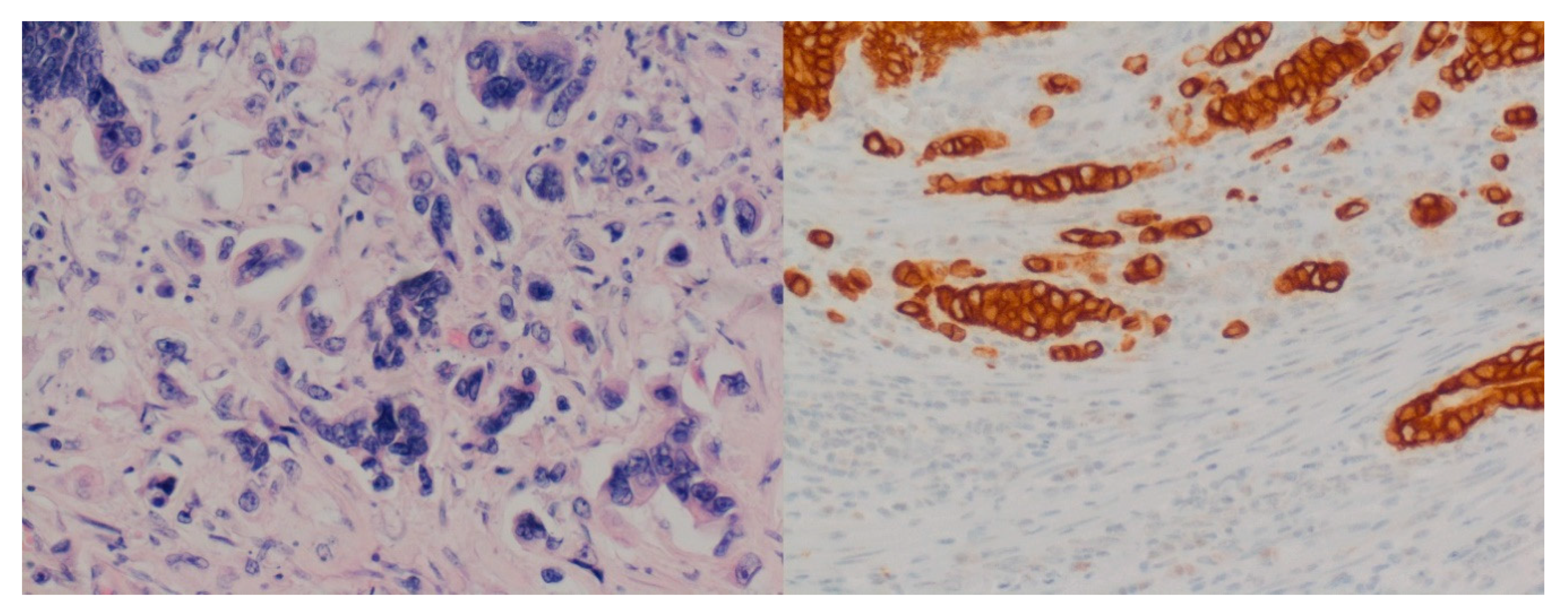
2. Material and Methods
Statistical Analysis
3. Results
3.1. Rating Results
3.2. Prognostic Analyses
4. Discussion
5. Conclusions
Authors Contributions
Funding
Conflicts of Interest
References
- Lugli, A.; Kirsch, R.; Ajioka, Y.; Bosman, F.; Cathomas, G.; Dawson, H.; El Zimaity, H.; Fléjou, J.-F.; Hansen, T.P.; Hartmann, A.; et al. Recommendations for reporting tumor budding in colorectal cancer based on the International Tumor Budding Consensus Conference (ITBCC) 2016. Mod. Pathol. 2017, 30, 1299–1311. [Google Scholar] [CrossRef] [PubMed]
- Dawson, H.; Assarzadegan, N.; Riddell, R.; Kirsch, R.; Blank, A.; Zlobec, I.; Lugli, A. Tumor budding is a strong predictor of disease-free survival in stage II colorectal cancer: Validation study based on the International Tumor Budding Consensus Conference (ITBCC) recommendations. J. Clin. Oncol. 2017, 35, 594. [Google Scholar] [CrossRef]
- Ueno, H.; Ishiguro, M.; Nakatani, E.; Ishikawa, T.; Uetake, H.; Matsuda, C.; Nakamoto, Y.; Kotake, M.; Kurachi, K.; Egawa, T.; et al. Prospective Multicenter Study on the Prognostic and Predictive Impact of Tumor Budding in Stage II Colon Cancer: Results From the SACURA Trial. J. Clin. Oncol. 2019, 37, 1886–1894. [Google Scholar] [CrossRef] [PubMed]
- Cho, S.-J.; Kakar, S. Tumor Budding in Colorectal Carcinoma: Translating a Morphologic Score into Clinically Meaningful Results. Arch. Pathol. Lab. Med. 2018, 142, 952–957. [Google Scholar] [CrossRef] [PubMed]
- Martin, B.; Schäfer, E.; Jakubowicz, E.; Mayr, P.; Ihringer, R.; Anthuber, M.; Schenkirsch, G.; Schaller, T.; Märkl, B. Interobserver variability in the H&E-based assessment of tumor budding in pT3/4 colon cancer: Does it affect the prognostic relevance? Virchows Arch. 2018, 473, 189–197. [Google Scholar] [CrossRef] [PubMed]
- Martin, B.; Schäfer, E.; Jakubowicz, E.; Mayr, P.; Ihringer, R.; Anthuber, M.; Schenkirsch, G.; Schaller, T.; Märkl, B. Level of interobserver variability estimation as a valuable tool: Assessment of tumour budding in colon cancer. Histopathology 2018, 73, 864–868. [Google Scholar] [CrossRef] [PubMed]
- Landis, J.R.; Koch, G.G. The measurement of observer agreement for categorical data. Biometrics 1977, 33, 159–174. [Google Scholar] [CrossRef] [PubMed]
- Kai, K.; Aishima, S.; Aoki, S.; Takase, Y.; Uchihashi, K.; Masuda, M.; Nishijima-Matsunobu, A.; Yamamoto, M.; Ide, K.; Nakayama, A.; et al. Cytokeratin immunohistochemistry improves interobserver variability between unskilled pathologists in the evaluation of tumor budding in T1 colorectal cancer. Pathol. Int. 2016, 66, 75–82. [Google Scholar] [CrossRef] [PubMed]
- Mitrovic, B.; Schaeffer, D.F.; Riddell, R.H.; Kirsch, R. Tumor budding in colorectal carcinoma: Time to take notice. Mod. Pathol. 2012, 25, 1315–1325. [Google Scholar] [CrossRef] [PubMed]
- Koelzer, V.H.; Zlobec, I.; Berger, M.D.; Cathomas, G.; Dawson, H.; Dirschmid, K.; Hädrich, M.; Inderbitzin, D.; Offner, F.; Puppa, G.; et al. Tumor budding in colorectal cancer revisited: Results of a multicenter interobserver study. Virchows Arch. 2015, 466, 485–493. [Google Scholar] [CrossRef] [PubMed]
- Ohtsuki, K.; Koyama, F.; Tamura, T.; Enomoto, Y.; Fujii, H.; Mukogawa, T.; Nakagawa, T.; Uchimoto, K.; Nakamura, S.; Nonomura, A.; et al. Prognostic value of immunohistochemical analysis of tumor budding in colorectal carcinoma. Anticancer Res. 2008, 28, 1831–1836. [Google Scholar] [PubMed]
- Okamura, T.; Shimada, Y.; Nogami, H.; Kameyama, H.; Kobayashi, T.; Kosugi, S.; Wakai, T.; Ajioka, Y. Tumor Budding Detection by Immunohistochemical Staining is Not Superior to Hematoxylin and Eosin Staining for Predicting Lymph Node Metastasis in pT1 Colorectal Cancer. Dis. Colon Rectum 2016, 59, 396–402. [Google Scholar] [CrossRef] [PubMed]
- Yamadera, M.; Shinto, E.; Kajiwara, Y.; Mochizuki, S.; Okamoto, K.; Shimazaki, H.; Hase, K.; Ueno, H. Differential clinical impacts of tumour budding evaluated by the use of immunohistochemical and haematoxylin and eosin staining in stage II colorectal cancer. Histopathology 2019, 74, 1005–1013. [Google Scholar] [CrossRef] [PubMed]
- Bokhorst, J.M.; Blank, A.; Lugli, A.; Zlobec, I.; Dawson, H.; Vieth, M.; Rijstenberg, L.L.; Brockmoeller, S.; Urbanowicz, M.; Flejou, J.F.; et al. Assessment of individual tumor buds using keratin immunohistochemistry: Moderate interobserver agreement suggests a role for machine learning. Mod. Pathol. 2020, 33, 825–833. [Google Scholar] [CrossRef] [PubMed]
- Martinez-Ciarpaglini, C.; Fernandez-Sellers, C.; Tarazona, N.; Roselló, S.; Huerta, M.; Roda, D.; Mongort, C.; Ferrández, A.; Navarro, S.; Cervantes, A. Improving tumour budding evaluation in colon cancer by extending the assessment area in colectomy specimens. Histopathology 2019, 75, 517–525. [Google Scholar] [CrossRef] [PubMed]
- Takamatsu, M.; Kawachi, H.; Yamamoto, N.; Kobayashi, M.; Toyama, Y.; Maekawa, T.; Chino, A.; Saito, S.; Ueno, M.; Takazawa, Y.; et al. Immunohistochemical evaluation of tumor budding for stratifying T1 colorectal cancer: Optimal cut-off value and a novel computer-assisted semiautomatic method. Mod. Pathol. 2019, 32, 675–683. [Google Scholar] [CrossRef] [PubMed]
- Fauzi, M.F.A.; Chen, W.; Knight, D.; Hampel, H.; Frankel, W.L.; Gurcan, M.N. Tumor Budding Detection System in Whole Slide Pathology Images. J. Med. Syst. 2019, 44, 38. [Google Scholar] [CrossRef] [PubMed]
- Jepsen, R.K.; Klarskov, L.L.; Lippert, M.F.; Novotny, G.W.; Hansen, T.P.; Christensen, I.J.; Høgdall, E.; Riis, L.B. Digital image analysis of pan-cytokeratin stained tumor slides for evaluation of tumor budding in pT1/pT2 colorectal cancer: Results of a feasibility study. Pathol. Res. Pract. 2018, 214, 1273–1281. [Google Scholar] [CrossRef] [PubMed]
- Nearchou, I.P.; Lillard, K.; Gavriel, C.G.; Ueno, H.; Harrison, D.J.; Caie, P.D. Automated Analysis of Lymphocytic Infiltration, Tumor Budding, and Their Spatial Relationship Improves Prognostic Accuracy in Colorectal Cancer. Cancer Immunol. Res. 2019, 7, 609–620. [Google Scholar] [CrossRef] [PubMed]


| Agreement | 6 of 6 | 5 of 6 | 4 of 6 | 3 of 6 | 2 of 6 | ||
|---|---|---|---|---|---|---|---|
| n | 85 | 34 | 60 | 42 | 8 | ||
| % | 37% | 15% | 26% | 18% | 4% | ||
| Kappa values | |||||||
| R1 | R2 | R3 | R5 | R6 | R7 | Rcons (sCK) | |
| I1 | x | 0.27 | 0.18 | 0.29 | 0.31 | 0.45 | 0.5 |
| I2 | 0.27 | x | 0.17 | 0.25 | 0.2 | 0.29 | 0.39 |
| I3 | 0.18 | 0.17 | x | 0.14 | 0.19 | 0.22 | 0.36 |
| I5 | 0.29 | 0.25 | 0.14 | x | 0.21 | 0.39 | 0.53 |
| I6 | 0.31 | 0.2 | 0.19 | 0.21 | x | 0.35 | 0.54 |
| I7 | 0.45 | 0.29 | 0.22 | 0.39 | 0.35 | x | 0.67 |
| Rcons (sCK) | 0.5 | 0.39 | 0.36 | 0.53 | 0.54 | 0.67 | x |
| Mean Bud Count | Bd1 1 | Bd2 1 | Bd3 1 | p | |||||
|---|---|---|---|---|---|---|---|---|---|
| H & E 1 | CK | ||||||||
| 0.785 mm2 | 0.785 mm2 | n | % | n | % | n | % | ||
| Rcons (sCK) | 164 | 43 | 22 | ||||||
| Death | 60 | 37% | 21 | 49% | 12 | 55% | 0.22 | ||
| Cancer-specific death | 17 | 10% | 5 | 12% | 5 | 23% | 0.26 | ||
| Distant metastasis | 27 | 16% | 10 | 23% | 7 | 32% | 0.15 | ||
| Investigator 1 | 4.9 ± 5.8 | 11.2 ± 13.5 | 144 | 29 | 56 | ||||
| Death | 56 | 39% | 13 | 45% | 24 | 43% | 0.72 | ||
| Cancer-specific death | 12 | 8% | 5 | 17% | 10 | 18% | 0.22 | ||
| Distant metastasis | 21 | 15% | 6 | 21% | 17 | 30% | 0.15/0.05 * | ||
| Investigator 2 | 2.9 ± 3.1 | 7.0 ± 5.7 | 154 | 52 | 23 | ||||
| Death | 64 | 42% | 17 | 33% | 12 | 52% | 0.20 | ||
| Cancer-specific death | 17 | 11% | 4 | 8% | 6 | 26% | 0.02 | ||
| Distant metastasis | 31 | 20% | 6 | 12% | 7 | 30% | 0.13/0.04 ° | ||
| Investigator 3 | 2.8 ± 3.4 | 6.6 ± 6.7 | 176 | 48 | 5 | ||||
| Death | 62 | 35% | 29 | 60% | 2 | 40% | 0.01 | ||
| Cancer-specific death | 19 | 11% | 7 | 15% | 1 | 20% | 0.48 | ||
| Distant metastasis | 28 | 16% | 16 | 33% | 0 | 0% | 0.01 | ||
| Investigator 5 | 4.1 ± 4.4 | 11.1 ± 7.5 | 138 | 59 | 32 | ||||
| Death | 50 | 36% | 28 | 47% | 15 | 47% | 0.51 | ||
| Cancer-specific death | 10 | 7% | 10 | 17% | 7 | 22% | 0.05 | ||
| Distant metastasis | 21 | 15% | 11 | 19% | 12 | 38% | 0.01 | ||
| Investigator 6 | 2.7 ± 2.9 | 7.7 ± 5.8 | 167 | 48 | 14 | ||||
| Death | 68 | 41% | 19 | 40% | 6 | 43% | 0.94 | ||
| Cancer-specific death | 18 | 11% | 8 | 17% | 1 | 7% | 0.43 | ||
| Distant metastasis | 32 | 19% | 10 | 21% | 2 | 14% | 0.71 | ||
| Investigator 7 | 4.2 ± 9.5 | 10.1 ± 13.9 | 162 | 30 | 37 | ||||
| Death | 61 | 38% | 15 | 50% | 17 | 46% | 0.30 | ||
| Cancer-specific death | 16 | 10% | 6 | 20% | 5 | 14% | 0.18 | ||
| Distant metastasis | 28 | 17% | 9 | 30% | 7 | 19% | 0.19 | ||
| Range (Q1, Q3) of Bud Counts | ||||||||||
|---|---|---|---|---|---|---|---|---|---|---|
| H & E (0.785 mm2) | CK (0.785 mm2) | |||||||||
| Min | Q1 | Median | Q3 | Max | Min | Q1 | Median | Q3 | Max | |
| Investigator 1 | 0 | 0 | 2 | 9 | 33 | 0 | 2 | 7 | 17 | 76 |
| Investigator 2 | 0 | 0 | 3 | 4 | 12 | 0 | 3 | 6 | 10 | 20 |
| Investigator 3 | 0 | 0 | 2 | 4 | 17 | 0 | 0 | 5 | 10 | 25 |
| Investigator 5 | 0 | 1 | 2 | 6 | 22 | 0 | 5 | 10 | 17 | 26 |
| Investigator 6 | 0 | 0 | 2 | 4 | 12 | 0 | 4 | 6 | 12 | 33 |
| Investigator 7 | 0 | 0 | 0 | 5 | 83 | 0 | 0 | 4 | 17 | 83 |
© 2020 by the authors. Licensee MDPI, Basel, Switzerland. This article is an open access article distributed under the terms and conditions of the Creative Commons Attribution (CC BY) license (http://creativecommons.org/licenses/by/4.0/).
Share and Cite
Martin, B.; Mayr, P.; Ihringer, R.; Schäfer, E.-M.; Jakubowicz, E.; Anthuber, M.; Schenkirsch, G.; Schaller, T.; Märkl, B. Interobserver Variability in the Assessment of Tumor Budding in pT 3/4 Colon Cancer: Improvement by Supporting Immunohistochemistry? Diagnostics 2020, 10, 730. https://doi.org/10.3390/diagnostics10090730
Martin B, Mayr P, Ihringer R, Schäfer E-M, Jakubowicz E, Anthuber M, Schenkirsch G, Schaller T, Märkl B. Interobserver Variability in the Assessment of Tumor Budding in pT 3/4 Colon Cancer: Improvement by Supporting Immunohistochemistry? Diagnostics. 2020; 10(9):730. https://doi.org/10.3390/diagnostics10090730
Chicago/Turabian StyleMartin, Benedikt, Patrick Mayr, Regina Ihringer, Eva-Maria Schäfer, Elżbieta Jakubowicz, Matthias Anthuber, Gerhard Schenkirsch, Tina Schaller, and Bruno Märkl. 2020. "Interobserver Variability in the Assessment of Tumor Budding in pT 3/4 Colon Cancer: Improvement by Supporting Immunohistochemistry?" Diagnostics 10, no. 9: 730. https://doi.org/10.3390/diagnostics10090730
APA StyleMartin, B., Mayr, P., Ihringer, R., Schäfer, E.-M., Jakubowicz, E., Anthuber, M., Schenkirsch, G., Schaller, T., & Märkl, B. (2020). Interobserver Variability in the Assessment of Tumor Budding in pT 3/4 Colon Cancer: Improvement by Supporting Immunohistochemistry? Diagnostics, 10(9), 730. https://doi.org/10.3390/diagnostics10090730

