Photoacoustic Imaging for Assessing Tissue Oxygenation Changes in Rat Hepatic Fibrosis
Abstract
1. Introduction
2. Materials and Methods
2.1. Animals
2.2. Photoacoustic Imaging and Analysis
- sO2 average (sO2Av)—the average blood oxygen saturation, which is the sum of all oxygenated pixels within the region of interest (ROI), divided by the oxygenated and deoxygenated pixels. Thus sO2Av measures the average percentage of oxygen saturation of the pixels with PA signal within the ROI.
- sO2 average total (sO2AvT)—the average value calculated from all pixels within the ROI, representing the percent oxygenation of the total tissue within the ROI.
- HbT—the average hemoglobin concentration calculated from the pixels with hemoglobin signal within the ROI.
- HbT average (HbTAv)—the total hemoglobin concentration calculated from all pixels within the ROI.
2.3. Sonographic Imaging and Analysis
- echogenicity (brightness level)—the first-order global distribution of intensity values in the grayscale images
- heterogeneity (variance)—a measure of how far from the mean the gray-level values in the image are distributed
- contrast—how much difference, or definition, there is between gray-level values of different objects in the image
- entropy—measures the randomness or inhomogeneity of the pixel distribution with respect to length or orientation, with a higher value for a more random distribution; it measures disorderliness in the image
- run length—a matrix that records runs of adjacent pixels having the same gray-level value, over multiple directions
- absolute gradient—measures the gradient-based features from each pixel compared with the neighborhood pixels. The absolute gradient of an image computes the spatial variation of gray-level values across the image
2.4. Histochemical Staining and Analysis
2.5. Statistical Analysis
3. Results
3.1. Photoacoustic Imaging
3.2. Sonographic Imaging of Liver Tissue and Assessment of Texture Features
3.3. Sonographic Imaging of Hepatorenal Interface and Assessment of HRI
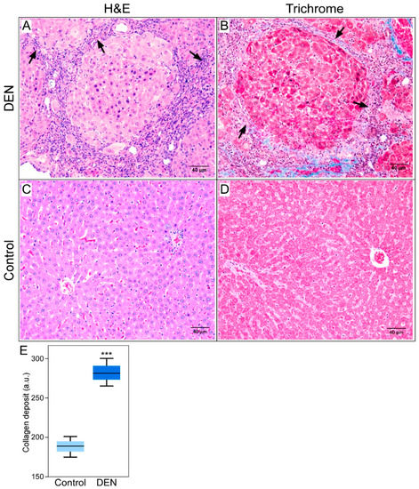
3.4. Histochemical Findings
4. Discussion
5. Conclusions
Supplementary Materials
Author Contributions
Funding
Acknowledgments
Conflicts of Interest
References
- Koyama, Y.; Brenner, D.A. Liver inflammation and fibrosis. J. Clin. Investig. 2017, 127, 55–64. [Google Scholar] [CrossRef] [PubMed]
- Bataller, R.; Brenner, D.A. Liver fibrosis. J. Clin. Investig. 2005, 115, 209–218. [Google Scholar] [CrossRef] [PubMed]
- Pinzani, M. Hepatic Fibrosis: A Global Clinical Problem. In Stellate Cells in Health; Gandhi, C., Pinzani, M., Eds.; Academic Press: Boston, MA, USA, 2015; pp. 29–39. [Google Scholar]
- Mendes, L.C.; Stucchi, R.S.; Vigani, A.G. Diagnosis and staging of fibrosis in patients with chronic hepatitis C: Comparison and critical overview of current strategies. Hepatic Med. Evid. Res. 2018, 10, 13–22. [Google Scholar] [CrossRef] [PubMed]
- D’Souza, J.C.; Sultan, L.R.; Hunt, S.J.; Schultz, S.M.; Brice, A.K.; Wood, A.K.W.; Sehgal, C.M. B-mode ultrasound for the assessment of hepatic fibrosis: A quantitative multiparametric analysis for a radiomics approach. Sci. Rep. 2019, 9, 8708. [Google Scholar] [CrossRef]
- Spycher, C.; Zimmermann, A.; Reichen, J. The diagnostic value of liver biopsy. BMC Gastroenterol. 2001, 1, 12. [Google Scholar] [CrossRef]
- Sanai, F.M.; Keeffe, E.B. Liver biopsy for histological assessment: The case against. Saudi J. Gastroenterol. Off. J. Saudi Gastroenterol. Assoc. 2010, 16, 124–132. [Google Scholar] [CrossRef]
- Jiang, H.Y.; Chen, J.; Xia, C.C.; Cao, L.K.; Duan, T.; Song, B. Noninvasive imaging of hepatocellular carcinoma: From diagnosis to prognosis. World J. Gastroenterol. 2018, 24, 2348–2362. [Google Scholar] [CrossRef]
- Beddy, P.; Black, R.; Mannelli, L.; Joubert, I.; Priest, A.; Lomas, D. Assessment of liver oxygenation with BOLD MRI at 3T. Feasibility Study. 2019. Available online: https://www.academia.edu/26060810/Assessment_of_liver_oxygenation_with_BOLD_MRI_at_3T_Feasibility_study (accessed on 17 September 2020).
- Griffey, R.T.; Sodickson, A. Cumulative Radiation Exposure and Cancer Risk Estimates in Emergency Department Patients Undergoing Repeat or Multiple CT. Am. J. Roentgenol. 2009, 192, 887–892. [Google Scholar] [CrossRef]
- Moses, W.W. Fundamental Limits of Spatial Resolution in PET. Nuclear instruments & methods in physics research. Section A, Accelerators, spectrometers, detectors and associated equipment. 2011, 648 (Suppl. 1), S236–S240. [Google Scholar] [CrossRef]
- Schmidt, G.; Dinter, D.; Reiser, M.F.; Schoenberg, S.O. The uses and limitations of whole-body magnetic resonance imaging. Dtsch. Arztebl. Int. 2010, 107, 383–389. [Google Scholar] [CrossRef]
- Wang, L.V.; Yao, J. A practical guide to photoacoustic tomography in the life sciences. Nat. Methods 2016, 13, 627–638. [Google Scholar] [CrossRef] [PubMed]
- Gargiulo, S.; Albanese, S.; Mancini, M. State-of-the-Art Preclinical Photoacoustic Imaging in Oncology: Recent Advances in Cancer Theranostics. Contrast Media Mol. Imaging 2019, 2019, 5080267. [Google Scholar] [CrossRef]
- Mallidi, S.; Watanabe, K.; Timerman, D.; Schoenfeld, D.; Hasan, T. Prediction of tumor recurrence and therapy monitoring using ultrasound-guided photoacoustic imaging. Theranostics 2015, 5, 289–301. [Google Scholar] [CrossRef] [PubMed]
- Beard, P. Biomedical photoacoustic imaging. Interface Focus 2011, 1, 602–631. [Google Scholar] [CrossRef] [PubMed]
- Xia, J.; Yao, J.; Wang, L.V. Photoacoustic tomography: Principles and advances. Electromagn. Waves 2014, 147, 1–22. [Google Scholar] [CrossRef] [PubMed]
- Roth, K.J.; Copple, B.L. Role of Hypoxia-Inducible Factors in the Development of Liver Fibrosis. Cell. Mol. Gastroenterol. Hepatol. 2015, 1, 589–597. [Google Scholar] [CrossRef] [PubMed]
- Yamakawa, M.; Liu, L.X.; Date, T.; Belanger, A.J.; Vincent, K.A.; Akita, G.Y.; Kuriyama, T.; Cheng, S.H.; Gregory, R.J.; Jiang, C. Hypoxia-inducible factor-1 mediates activation of cultured vascular endothelial cells by inducing multiple angiogenic factors. Circ. Res. 2003, 93, 664–673. [Google Scholar] [CrossRef] [PubMed]
- Paternostro, C.; David, E.; Novo, E.; Parola, M. Hypoxia, angiogenesis and liver fibrogenesis in the progression of chronic liver diseases. World J. Gastroenterol. 2010, 16, 281–288. [Google Scholar] [CrossRef]
- Nicolau, C.; Bianchi, L.; Vilana, R. Gray-scale ultrasound in hepatic cirrhosis and chronic hepatitis: Diagnosis, screening, and intervention. Semin. Ultrasoundctand Mr 2002, 23, 3–18. [Google Scholar] [CrossRef]
- Lin, Y.S. Ultrasound Evaluation of Liver Fibrosis. J. Med. Ultrasound 2017, 25, 127–129. [Google Scholar] [CrossRef]
- Qiu, T.; Wang, H.; Song, J.; Ling, W.; Shi, Y.; Guo, G.; Luo, Y. Assessment of liver fibrosis by ultrasound elastography and contrast-enhanced ultrasound: A randomized prospective animal study. Exp. Anim. 2018, 67, 117–126. [Google Scholar] [CrossRef] [PubMed]
- Szczypiński, P.M.; Strzelecki, M.; Materka, A.; Klepaczko, A. MaZda—A software package for image texture analysis. Comput. Methods Programs Biomed. 2009, 94, 66–76. [Google Scholar] [CrossRef] [PubMed]
- Castellano, G.; Bonilha, L.; Li, L.M.; Cendes, F. Texture analysis of medical images. Clin. Radiol. 2004, 59, 1061–1069. [Google Scholar] [CrossRef] [PubMed]
- Bedossa, P.; Poynard, T. An algorithm for the grading of activity in chronic hepatitis C. The METAVIR Cooperative Study Group. Hepatology 1996, 24, 289–293. [Google Scholar] [CrossRef]
- Chen, Y.; Yu, Q.; Xu, C.-B. A convenient method for quantifying collagen fibers in atherosclerotic lesions by ImageJ software. Int J. Clin. Exp. Med. 2017, 10, 14927–14935. [Google Scholar]
- Dogra, S.; Jindal, R. Cutaneous manifestations of common liver diseases. J. Clin. Exp. Hepatol. 2011, 1, 177–184. [Google Scholar] [CrossRef][Green Version]
- Kominsky, D.J.; Campbell, E.L.; Colgan, S.P. Metabolic shifts in immunity and inflammation. J. Immunol. 2010, 184, 4062–4068. [Google Scholar] [CrossRef]
- Michiels, C. Physiological and pathological responses to hypoxia. Am. J. Pathol. 2004, 164, 1875–1882. [Google Scholar] [CrossRef]
- Ding, Y.F.; Wu, Z.H.; Wei, Y.J.; Shu, L.; Peng, Y.R. Hepatic inflammation-fibrosis-cancer axis in the rat hepatocellular carcinoma induced by diethylnitrosamine. J. Cancer Res. Clin. Oncol. 2017, 143, 821–834. [Google Scholar] [CrossRef]
- De Minicis, S.; Kisseleva, T.; Francis, H.; Baroni, G.S.; Benedetti, A.; Brenner, D.; Alvaro, D.; Alpini, G.; Marzioni, M. Liver carcinogenesis: Rodent models of hepatocarcinoma and cholangiocarcinoma. Dig. Liver Dis. Off. J. Ital. Soc. Gastroenterol. Ital. Assoc. Study Liver 2013, 45, 450–459. [Google Scholar] [CrossRef] [PubMed]
- Kang, J.S.; Wanibuchi, H.; Morimura, K.; Gonzalez, F.J.; Fukushima, S. Role of CYP2E1 in diethylnitrosamine-induced hepatocarcinogenesis in vivo. Cancer Res. 2007, 67, 11141–11146. [Google Scholar] [CrossRef] [PubMed]
- Ambade, A.; Satishchandran, A.; Saha, B.; Gyongyosi, B.; Lowe, P.; Kodys, K.; Catalano, D.; Szabo, G. Hepatocellular carcinoma is accelerated by NASH involving M2 macrophage polarization mediated by hif-1alphainduced IL-10. Oncoimmunology 2016, 5, e1221557. [Google Scholar] [CrossRef] [PubMed]
- Lo, R.C.; Kim, H. Histopathological evaluation of liver fibrosis and cirrhosis regression. Clin. Mol. Hepatol. 2017, 23, 302–307. [Google Scholar] [CrossRef] [PubMed]
- Lutz, H.H.; Gassler, N.; Tischendorf, F.W.; Trautwein, C.; Tischendorf, J.J.W. Doppler Ultrasound of Hepatic Blood Flow for Noninvasive Evaluation of Liver Fibrosis Compared with Liver Biopsy and Transient Elastography. Dig. Dis. Sci. 2012, 57, 2222–2230. [Google Scholar] [CrossRef]
- Foley, L.M.; Picot, P.; Thompson, R.T.; Yau, M.J.; Brauer, M. In vivo monitoring of hepatic oxygenation changes in chronically ethanol-treated rats by functional magnetic resonance imaging. Magn. Reson. Med. 2003, 50, 976–983. [Google Scholar] [CrossRef]
- Eisenbrey, J.R.; Merton, D.A.; Marshall, A.; Liu, J.B.; Fox, T.B.; Sridharan, A.; Forsberg, F. Comparison of photoacoustically derived hemoglobin and oxygenation measurements with contrast-enhanced ultrasound estimated vascularity and immunohistochemical staining in a breast cancer model. Ultrason. Imaging 2015, 37, 42–52. [Google Scholar] [CrossRef]
- Soresi, M.; Giannitrapani, L.; Cervello, M.; Licata, A.; Montalto, G. Non invasive tools for the diagnosis of liver cirrhosis. World J. Gastroenterol. 2014, 20, 18131–18150. [Google Scholar] [CrossRef]
- Vigano, M.; Visentin, S.; Aghemo, A.; Rumi, M.G.; Ronchi, G. US features of liver surface nodularity as a predictor of severe fibrosis in chronic hepatitis C. Radiology 2005, 234, 641. [Google Scholar] [CrossRef]
- Arriazu, E.; Ruiz de Galarreta, M.; Cubero, F.J.; Varela-Rey, M.; Perez de Obanos, M.P.; Leung, T.M.; Lopategi, A.; Benedicto, A.; Abraham-Enachescu, I.; Nieto, N. Extracellular matrix and liver disease. Antioxid. Redox Signal. 2014, 21, 1078–1097. [Google Scholar] [CrossRef]
- Chauhan, A.; Sultan, L.R.; Furth, E.E.; Jones, L.P.; Khungar, V.; Sehgal, C.M. Diagnostic accuracy of hepatorenal index in the detection and grading of hepatic steatosis. J. Clin. Ultrasound JCU 2016, 44, 580–586. [Google Scholar] [CrossRef]







| Groups | Baseline | 5 Weeks | 10 Weeks | 13 Weeks | |
|---|---|---|---|---|---|
| Control | sO2Av | 54.7 (± 0.9) | 55.5 (± 2.7) | 53.3 (± 1.3) | 54.3 (± 2.4) |
| sO2AvT | 1.1 (± 0.1) | 1.2 (± 0.1) | 1.2 (± 0.1) | 1.2 (± 0.1) | |
| HbTAv (×103) | 4.1 (± 0.1) | 4.2 (± 0.1) | 4.1 (± 0.1) | 4.1 (± 0.1) | |
| HbT (×106) | 315.1 (± 18.6) | 314.3 (± 21.4) | 311.2 (± 16.8) | 311.4 (± 18.2) | |
| DEN | sO2Av | 56.1 (± 0.8) | 60.6 (± 0.7) | 65.2 (± 0.7) ** | 59.2 (± 1.3) |
| sO2AvT | 1.1 (± 0.2) | 1.9 (± 0.2) * | 2.7 (± 0.3) ** | 1.8 (± 0.3) * | |
| HbTAv (×103) | 4.2 (± 0.2) | 5.1 (± 0.2) ** | 5.8 (± 0.3) *** | 4.9 (± 0.3) * | |
| HbT (×106) | 313.8 (± 20.4) | 445.9 (± 19.8) ** | 516.3 (± 16.7) *** | 384.7 (± 22.5) ** |
| Features | Baseline | 5 Weeks | 10 Weeks | 13 Weeks | |
|---|---|---|---|---|---|
| Control | Echogenicity | 31.6 (± 2.4) | 32.2 (± 1.2) | 31.9 (± 2.5) | 33.1 (± 1.5) |
| Heterogeneity (×100) | 2.5 (± 0.2) | 2.5 (± 0.1) | 2.3 (± 0.3) | 2.6 (± 0.1) | |
| Contrast (×100) | 3.3 (± 0.3) | 3.2 (± 0.4) | 3.3 (± 0.3) | 3.2 (± 0.4) | |
| Entropy | 3.01 (± 0.02) | 3.02 (± 0.01) | 3.01 (± 0.02) | 3.01 (± 0.02) | |
| Run length (×1000) | 1.2 (± 0.03) | 1.1 (± 0.02) | 1.2 (± 0.03) | 1.1 (± 0.03) | |
| Absolute gradient | 19.1 (± 0.5) | 21.6 (± 0.7) | 24.6 (± 0.8) | 25.9 (± 0.7) | |
| DEN | Echogenicity | 34.7 (± 1.2) | 42.5 (± 2.2) | 53.1 (± 1.8) *** | 57.1 (± 2.8) *** |
| Heterogeneity (×100) | 2.5 (± 0.2) | 3.1 (± 0.2) | 3.9 (± 0.3) *** | 4.3 (± 0.3) *** | |
| Contrast (×100) | 3.4 (± 0.2) | 4.3 (± 0.2) | 5.4 (± 0.4) *** | 5.9 (± 0.3) *** | |
| Entropy | 3.07 (± 0.02) | 3.14 (± 0.02) | 3.19 (± 0.01) *** | 3.23 (± 0.02) *** | |
| Run length (×1000) | 1.1 (± 0.05) | 1.2 (± 0.02) | 1.3 (± 0.02) *** | 1.4 (± 0.04) *** | |
| Absolute gradient | 19.1 (± 0.5) | 21.6 (± 0.7) | 24.6 (± 0.8) *** | 25.9 (± 0.7) *** |
© 2020 by the authors. Licensee MDPI, Basel, Switzerland. This article is an open access article distributed under the terms and conditions of the Creative Commons Attribution (CC BY) license (http://creativecommons.org/licenses/by/4.0/).
Share and Cite
Karmacharya, M.B.; Sultan, L.R.; Kirkham, B.M.; Brice, A.K.; Wood, A.K.W.; Sehgal, C.M. Photoacoustic Imaging for Assessing Tissue Oxygenation Changes in Rat Hepatic Fibrosis. Diagnostics 2020, 10, 705. https://doi.org/10.3390/diagnostics10090705
Karmacharya MB, Sultan LR, Kirkham BM, Brice AK, Wood AKW, Sehgal CM. Photoacoustic Imaging for Assessing Tissue Oxygenation Changes in Rat Hepatic Fibrosis. Diagnostics. 2020; 10(9):705. https://doi.org/10.3390/diagnostics10090705
Chicago/Turabian StyleKarmacharya, Mrigendra B., Laith R. Sultan, Brooke M. Kirkham, Angela K. Brice, Andrew K.W. Wood, and Chandra M. Sehgal. 2020. "Photoacoustic Imaging for Assessing Tissue Oxygenation Changes in Rat Hepatic Fibrosis" Diagnostics 10, no. 9: 705. https://doi.org/10.3390/diagnostics10090705
APA StyleKarmacharya, M. B., Sultan, L. R., Kirkham, B. M., Brice, A. K., Wood, A. K. W., & Sehgal, C. M. (2020). Photoacoustic Imaging for Assessing Tissue Oxygenation Changes in Rat Hepatic Fibrosis. Diagnostics, 10(9), 705. https://doi.org/10.3390/diagnostics10090705

