Evaluation of the Usefulness of CO-RADS for Chest CT in Patients Suspected of Having COVID-19
Abstract
1. Introduction
2. Material and Methods
2.1. Patients
2.2. Chest Computed Tomography (CT) Imaging
2.3. CO-RADS, the Coronavirus Disease 2019 (COVID-19) Reporting and Data System
- CO-RADS 0 is chosen if none of the five categories can be assigned because of incomplete scans or poor quality.
- CO-RADS 1 means a very low level of suspicion for pulmonary lesion resulting from COVID-19, based on either a normal CT or CT findings of unequivocal non-infectious etiology. Mild or severe emphysema, perifissural nodules, lung tumors, or fibrosis characterize CO-RADS 1.
- CO-RADS 2 means a low level of suspicion for pulmonary lesion resulting from COVID-19, based on CT findings in the lungs typical of etiology indicative of infections other than COVID-19, including bronchitis, infectious bronchiolitis, bronchopneumonia, lobar pneumonia, and pulmonary abscess. Findings include a tree-in-bud sign, a centrilobular nodular pattern, lobar or segmental consolidation, and lung cavitation.
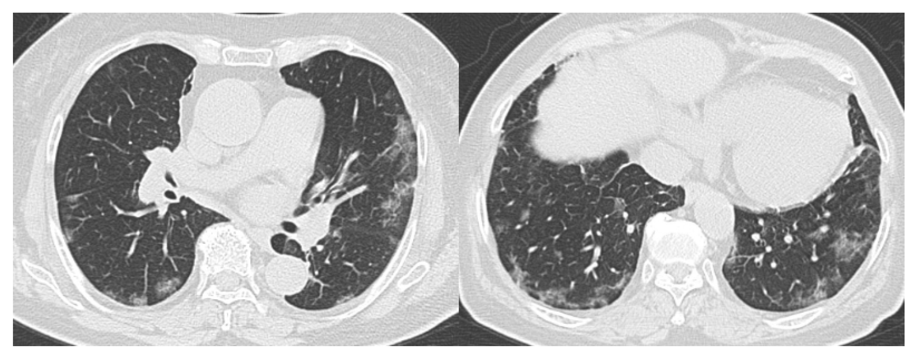
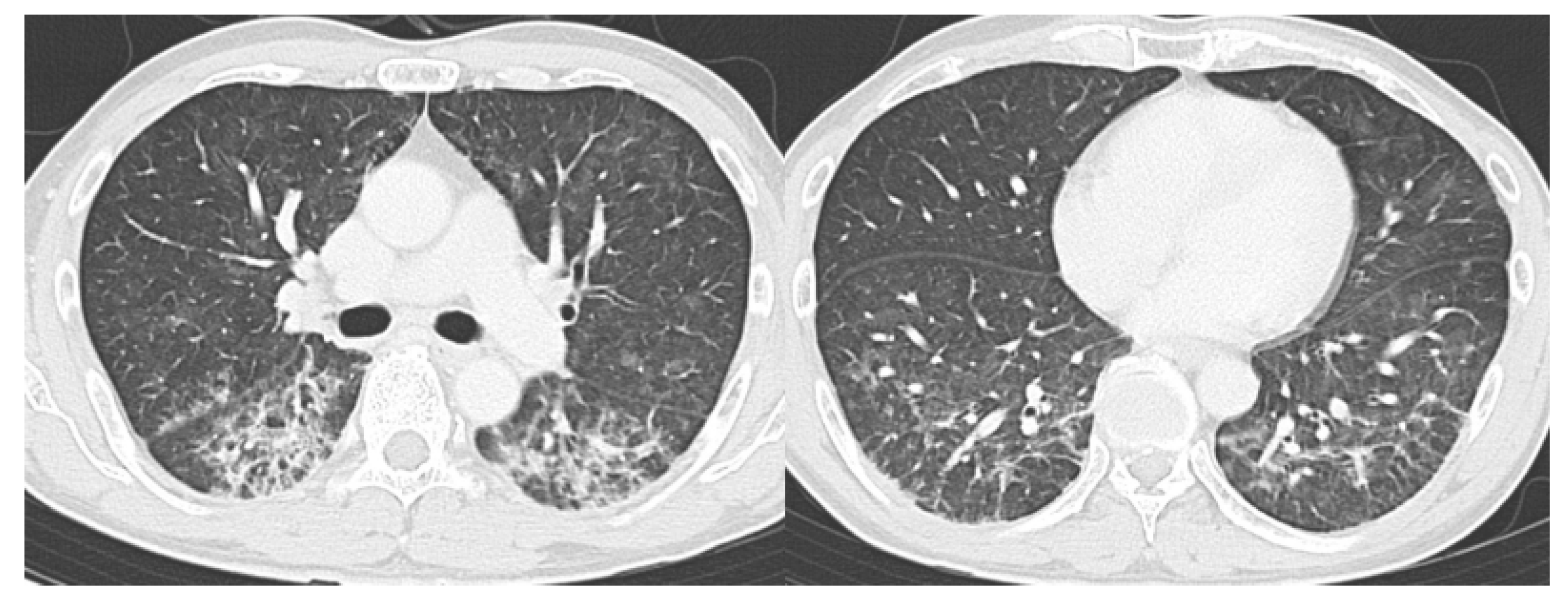
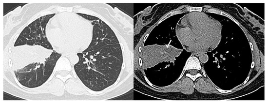
- CO-RADS 3 means CT findings equivocal for pulmonary involvement of COVID-19 that can also be seen in other types of viral pneumonia or non-infectious etiologies. Findings include perihilar ground-glass, homogenous extensive ground-glass with or without sparing of some secondary pulmonary lobules, or ground-glass together with smooth interlobular septal thickening with or without pleural effusion in the absence of other typical CT findings.
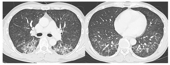
- CO-RADS 4 means a high level of suspicion for pulmonary lesion resulting from COVID-19, based on typical CT findings but exhibiting some overlap with other types of (viral) pneumonia. Findings are not located in contact with the visceral pleura or are located strictly unilaterally, have a predominantly peribronchial distribution, or overlap with severe diffuse preexisting pulmonary abnormalities.
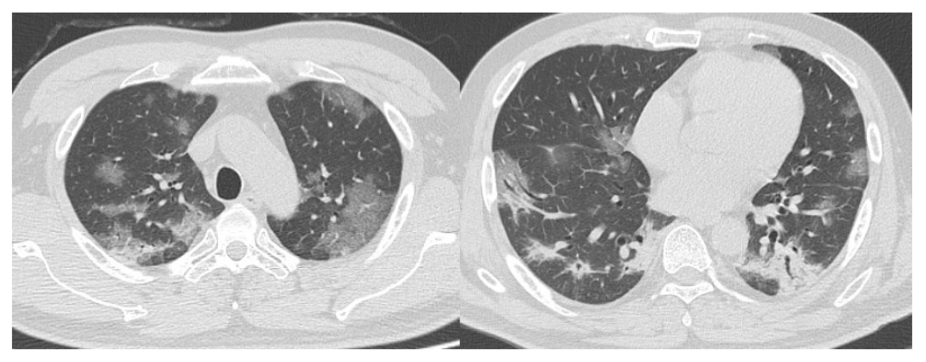
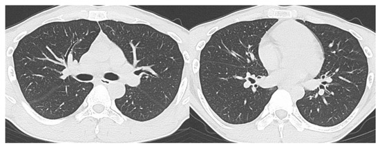
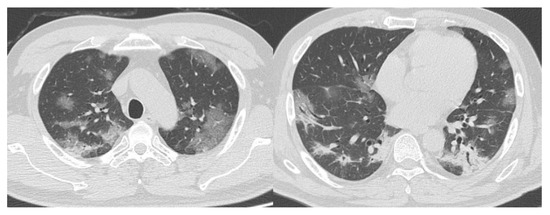
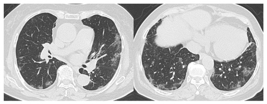
- CO-RADS 5 means a very high level of suspicion for pulmonary lesion resulting from COVID-19, based on typical CT findings. Obligatory features are ground-glass opacities, with or without consolidations, close to visceral pleural surfaces, including the fissures, and a multifocal bilateral distribution.
2.4. Readout
2.5. Statistical Analysis
3. Results
4. Discussion
5. Conclusions
Author Contributions
Funding
Conflicts of Interest
References
- Zhu, N.; Zhang, D.; Wang, W.; Li, X.; Yang, B.; Song, J.; Zhao, X.; Huang, B.; Shi, W.; Lu, R.; et al. A novel coronavirus from patients with pneumonia in China, 2019. N. Engl. J. Med. 2020, 382, 727–733. [Google Scholar] [CrossRef] [PubMed]
- Novel Coronavirus (2019-nCoV) Situation Reports. Available online: https://www.who.int/emergencies/diseases/novel-coronavirus-2019/situation-reports (accessed on 10 August 2020).
- Riccò, M.; Ferraro, P.; Gualerzi, G.; Ranzieri, S.; Henry, B.M.; Said, Y.B.; Pyatigorskaya, N.V.; Nevolina, E.; Wu, J.; Bragazzi, N.L.; et al. Point-of-care diagnostic tests for detecting SARS-CoV-2 antibodies: A systematic review and meta-analysis of real-world data. J. Clin. Med. 2020, 9, 1515. [Google Scholar] [CrossRef] [PubMed]
- Fang, Y.; Zhang, H.; Xie, J.; Lin, M.; Ying, L.; Pang, P.; Ji, W. Sensitivity of chest CT for COVID-19: Comparison to RT-PCR. Radiology 2020, 200432. [Google Scholar] [CrossRef] [PubMed]
- Ai, T.; Yang, Z.; Hou, H.; Zhan, C.; Chen, C.; Lv, W.; Tao, Q.; Sun, Z.; Xia, L. Correlation of chest CT and RT-PCR testing in coronavirus disease 2019 (COVID-19) in China: A report of 1014 cases. Radiology 2020, 200642. [Google Scholar] [CrossRef] [PubMed]
- Ojha, V.; Mani, A.; Pandey, N.N.; Sharma, S.; Kumar, S. CT in coronavirus disease 2019 (COVID-19): A systematic review of chest CT findings in 4410 adult patients. Eur. Radiol. 2020, 1–10. [Google Scholar] [CrossRef] [PubMed]
- Sun, Z.; Zhang, N.; Li, Y.; Xu, X. A systematic review of chest imaging findings in COVID-19. Quant. Imaging Med. Surg. 2020, 10, 1058–1079. [Google Scholar] [CrossRef] [PubMed]
- Prokop, M.; van Everdingen, W.; van Rees Vellinga, T.; Quarles van Ufford, J.; Stöger, L.; Beenen, L.; Geurts, B.; Gietema, H.; Krdzalic, J.; Schaefer-Prokop, C.; et al. CO-RADS-A categorical CT assessment scheme for patients with suspected COVID-19: Definition and. Radiology 2020, 201473. [Google Scholar] [CrossRef]
- Cellina, M.; Orsi, M.; Valenti Pittino, C.; Toluian, T.; Oliva, G. Chest computed tomography findings of COVID-19 pneumonia: Pictorial essay with literature. Jpn. J. Radiol. 2020, 1–8. [Google Scholar] [CrossRef] [PubMed]
- Bulut, C.; Kato, Y. Epidemiology of COVID-19. Turk. J. Med. Sci. 2020, 50, 563–570. [Google Scholar] [CrossRef] [PubMed]
- Landis, J.R.; Koch, G.G. The measurement of observer agreement for categorical data. Biometrics 1977, 33, 159–174. [Google Scholar] [CrossRef] [PubMed]
- Xiong, F.; Tang, H.; Liu, L.; Tu, C.; Tian, J.B.; Lei, C.T.; Liu, J.; Dong, J.W.; Chen, W.L.; Wang, X.H.; et al. Clinical characteristics of and medical interventions for COVID-19 in hemodialysis patients in Wuhan, China. J. Am. Soc. Nephrol. 2020, 31, 1387–1397. [Google Scholar] [CrossRef] [PubMed]
- Richardson, S.; Hirsch, J.S.; Narasimhan, M.; Crawford, J.M.; McGinn, T.; Davidson, K.W.; Barnaby, D.P.; Becker, L.B.; Chelico, J.D.; Cohen, S.L.; et al. Presenting characteristics, comorbidities, and outcomes among 5700 patients hospitalized With COVID-19 in the New York city area. JAMA 2020, 323, 2052–2059. [Google Scholar] [CrossRef] [PubMed]
- Kim, H.; Hong, H.; Yoon, S.H. Diagnostic performance of CT and reverse transcriptase-polymerase chain reaction for coronavirus disease 2019: A meta-analysis. Radiology 2020, 201343. [Google Scholar] [CrossRef]
- The Novel Coronavirus Pneumonia Emergency Response Epidemiology Team. The epidemiological characteristics of an outbreak of 2019 novel coronavirus diseases (COVID-19)—China, 2020. China CDC Wkly. 2020, 2, 113–122. [Google Scholar] [CrossRef]
- Fujioka, T.; Kubota, K.; Mori, M.; Kikuchi, Y.; Katsuta, L.; Kasahara, M.; Oda, G.; Ishiba, T.; Nakagawa, T.; Tateishi, U. Distinction between benign and malignant breast masses at breast ultrasound using deep learning method with convolutional neural network. Jpn. J. Radiol. 2019, 37, 466–472. [Google Scholar] [CrossRef] [PubMed]
- Fujioka, T.; Mori, M.; Kubota, K.; Kikuchi, Y.; Katsuta, L.; Adachi, M.; Oda, G.; Nakagawa, T.; Kitazume, Y.; Tateishi, U. Breast ultrasound image synthesis using deep convolutional generative adversarial networks. Diagnostics 2019, 9, 176. [Google Scholar] [CrossRef] [PubMed]
- Adachi, M.; Fujioka, T.; Mori, M.; Kubota, K.; Kikuchi, Y.; Xiaotong, W.; Oyama, J.; Kimura, K.; Oda, G.; Nakagawa, T.; et al. Detection and diagnosis of breast cancer using artificial intelligence based assessment of maximum intensity projection dynamic contrast-enhanced magnetic resonance images. Diagnostics 2020, 10, 330. [Google Scholar] [CrossRef] [PubMed]
- Fujioka, T.; Kubota, K.; Mori, M.; Kikuchi, Y.; Katsuta, L.; Kimura, M.; Yamaga, E.; Adachi, M.; Oda, G.; Nakagawa, T.; et al. Efficient anomaly detection with generative adversarial network for breast ultrasound imaging. Diagnostics 2020, 10, 456. [Google Scholar] [CrossRef] [PubMed]
- Ni, Q.; Sun, Z.Y.; Qi, L.; Chen, W.; Yang, Y.; Wang, L.; Zhang, X.; Yang, L.; Fang, Y.; Xing, Z.; et al. A deep learning approach to characterize 2019 coronavirus disease (COVID-19) pneumonia in chest CT images. Eur. Radiol. 2020, 1–11. [Google Scholar] [CrossRef] [PubMed]
- Li, Y.; Yang, Z.; Ai, T.; Wu, S.; Xia, L. Association of “initial CT” findings with mortality in older patients with coronavirus disease 2019 (COVID-19). Eur. Radiol. 2020, 1–8. [Google Scholar] [CrossRef]








| Level of Suspicion for Pulmonary Involvement of COVID-19 | Summary | |
|---|---|---|
| CO-RADS 0 | Not interpretable | Scan technically insufficient for assigning a score |
| CO-RADS 1 | Very low | Normal or noninfectious |
| CO-RADS 2 | Low | Typical for other infection but not COVID-19 |
| CO-RADS 3 | Indeterminate | Features compatible with COVID-19, but also other diseases |
| CO-RADS 4 | High | Suspicious for COVID-19 |
| CO-RADS 5 | Very high | Typical COVID-19 |
| CO-RADS 6 | Proven | RT-PCR positive for SARS-CoV-2 |
| Parameter | COVID-19 Positive (76) | COVID-19 Negative (78) | All (144) | p COVID-19 Positive vs. Negative |
|---|---|---|---|---|
| Age (mean ± standard deviation (SD); range) | 57.1 ± 19.3 | 65.4 ± 17.5 | 61.3 ± 18.8 | 0.006 |
| 21–90 | 24–93 | 21–93 | ||
| Sex (n, % men) | 54, 71.1% | 47, 60.3% | 101, 70.1% | 0.215 |
| Comorbidities (n, %) | ||||
| Cancer | 9, 11.8% | 30, 38.5% | 39, 27.1% | <0.001 |
| Cardiovascular disease | 28, 36.8% | 24, 30.8% | 52, 36.1% | 0.531 |
| Lung disease | 12, 15.8% | 23, 29.5% | 35, 24.3% | 0.066 |
| Collagen disease | 5, 6.6% | 16, 20.5% | 21, 14.6% | 0.022 |
| Diabetes | 10, 13.2% | 7, 9.0% | 17, 11.8% | 0.568 |
| Pneumonia Other than COVID-19 | 36 |
|---|---|
| (Community-acquired pneumonia) | (29) |
| (Interstitial pneumonia) | (4) |
| (Drug-induced pneumonia) | (1) |
| (Eosinophilic pneumonia) | (1) |
| (Lung abscess) | (1) |
| Pulmonary edema | 5 |
| Atelectasis | 4 |
| Lung tumor | 3 |
| Pleuritis | 2 |
| Emphysema | 1 |
| Normal | 27 |
| Total | 78 |
| Sensitivity | Specificity | AUC [95% CI] | ICC [95% CI] | |
|---|---|---|---|---|
| Reader 1 | 80.3% | 84.6% | 0.847 [0.784–0.910] | 0.800 [0.735–0.850] |
| Reader 2 | 90.8% | 60.3% | 0.849 [0.787–0.911] | 0.874 [0.830–0.907] |
| Reader 3 | 85.9% | 69.2% | 0.904 [0.800–0.919] | 0.855 [0.806–0.893] |
| Reader 4 | 93.4% | 51.3% | 0.881 [0.826–0.935] | 0.829 [0.772–0.873] |
| Average of readers | 87.8% | 66.4% | 0.859 | 0.840 |
| No | Sex | Age | CO-RADS Category (Median of 4 Readers) | Diagnoses |
|---|---|---|---|---|
| False-positive | (Final diagnoses) | |||
| 1 | Male | 82 | 4 | Community-acquired pneumonia |
| 2 | Male | 59 | 4 | Community-acquired pneumonia |
| 3 | Male | 93 | 5 | Community-acquired pneumonia |
| 4 | Male | 73 | 4 | Community-acquired pneumonia |
| 5 | Female | 77 | 4 | Community-acquired pneumonia |
| 6 | Male | 77 | 4 | Interstitial pneumonia |
| 7 | Female | 54 | 4 | Drug-induced pneumonia |
| 8 | Male | 74 | 4 | Eosinophilic pneumonia |
| 9 | Female | 90 | 4 | Pulmonary edema |
| 10 | Female | 26 | 4 | Pleuritis |
| No | Sex | Age | CO-RADS Category (Median of 4 Readers) | Onset to CT Duration (days) | Finding on Chest CT | Symptoms | |||
|---|---|---|---|---|---|---|---|---|---|
| Fever | Fatigue | Cough | Dyspnea | ||||||
| 1 | Male | 25 | 2 | 9 | Atelectasis | P | P | P | P |
| 2 | Female | 24 | 1 | 19 | Without abnormal findings | N | N | P | P |
| 3 | Female | 25 | 1 | 11 | Without abnormal findings | N | N | P | N |
| 4 | Female | 30 | 1 | 26 | Without abnormal findings | N | N | P | N |
| 5 | Male | 90 | 1 | 5 | Without abnormal findings | P | N | N | P |
| 6 | Female | 25 | 1 | 25 | Without abnormal findings | P | N | N | P |
© 2020 by the authors. Licensee MDPI, Basel, Switzerland. This article is an open access article distributed under the terms and conditions of the Creative Commons Attribution (CC BY) license (http://creativecommons.org/licenses/by/4.0/).
Share and Cite
Fujioka, T.; Takahashi, M.; Mori, M.; Tsuchiya, J.; Yamaga, E.; Horii, T.; Yamada, H.; Kimura, M.; Kimura, K.; Kitazume, Y.; et al. Evaluation of the Usefulness of CO-RADS for Chest CT in Patients Suspected of Having COVID-19. Diagnostics 2020, 10, 608. https://doi.org/10.3390/diagnostics10090608
Fujioka T, Takahashi M, Mori M, Tsuchiya J, Yamaga E, Horii T, Yamada H, Kimura M, Kimura K, Kitazume Y, et al. Evaluation of the Usefulness of CO-RADS for Chest CT in Patients Suspected of Having COVID-19. Diagnostics. 2020; 10(9):608. https://doi.org/10.3390/diagnostics10090608
Chicago/Turabian StyleFujioka, Tomoyuki, Marie Takahashi, Mio Mori, Junichi Tsuchiya, Emi Yamaga, Toshihiro Horii, Hirofumi Yamada, Mizuki Kimura, Koichiro Kimura, Yoshio Kitazume, and et al. 2020. "Evaluation of the Usefulness of CO-RADS for Chest CT in Patients Suspected of Having COVID-19" Diagnostics 10, no. 9: 608. https://doi.org/10.3390/diagnostics10090608
APA StyleFujioka, T., Takahashi, M., Mori, M., Tsuchiya, J., Yamaga, E., Horii, T., Yamada, H., Kimura, M., Kimura, K., Kitazume, Y., Kishino, M., & Tateishi, U. (2020). Evaluation of the Usefulness of CO-RADS for Chest CT in Patients Suspected of Having COVID-19. Diagnostics, 10(9), 608. https://doi.org/10.3390/diagnostics10090608

