Multiple Retinal Anomalies in Wfs1-Deficient Mice
Abstract
1. Introduction
2. Material and Methods
2.1. Animals
2.2. Histopathological Examination
2.3. Immunohistochemistry
2.4. Statistical Analysis
3. Results
3.1. Morphometric Analysis of Mice Retinal Thickness and Morphology
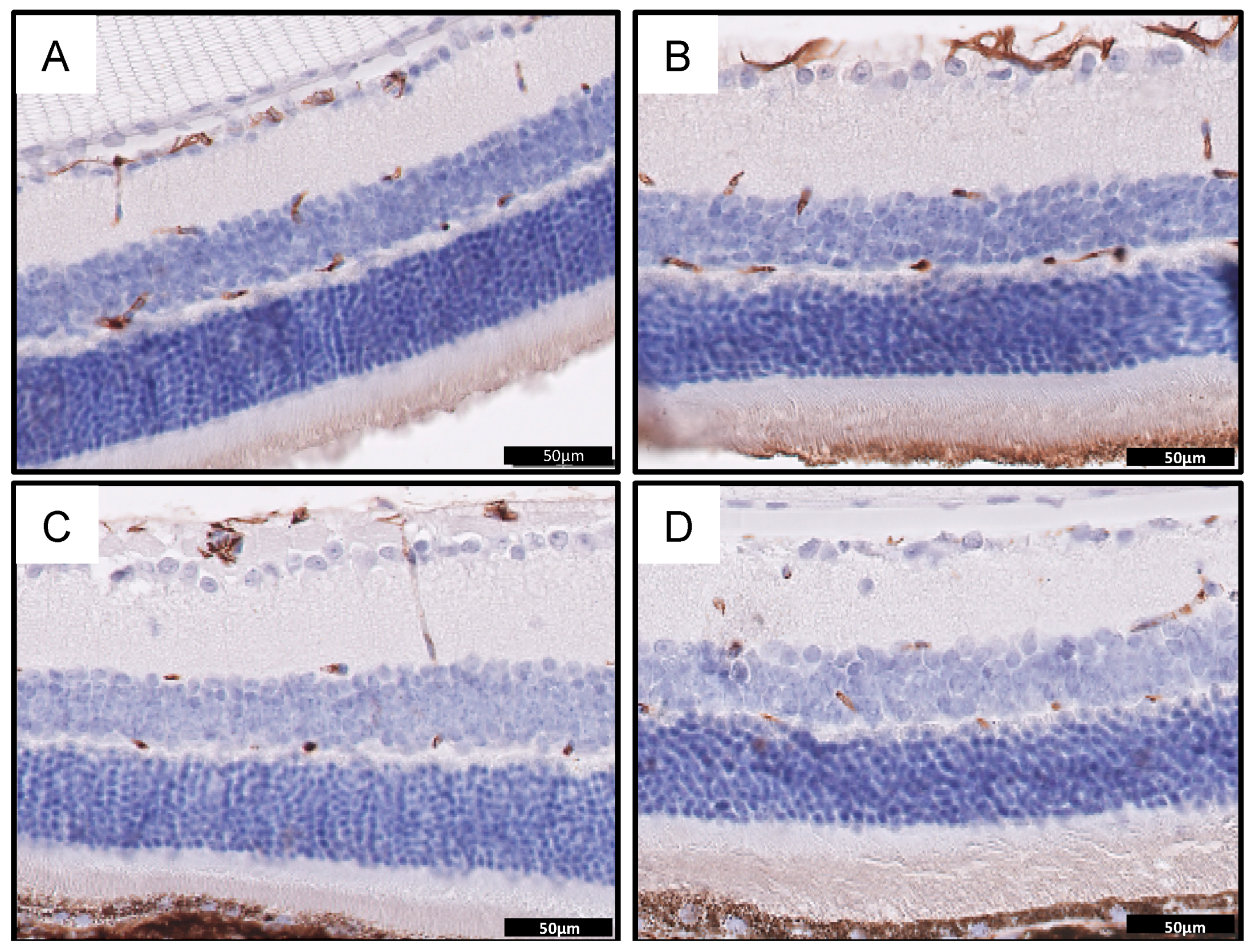
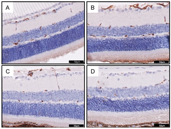
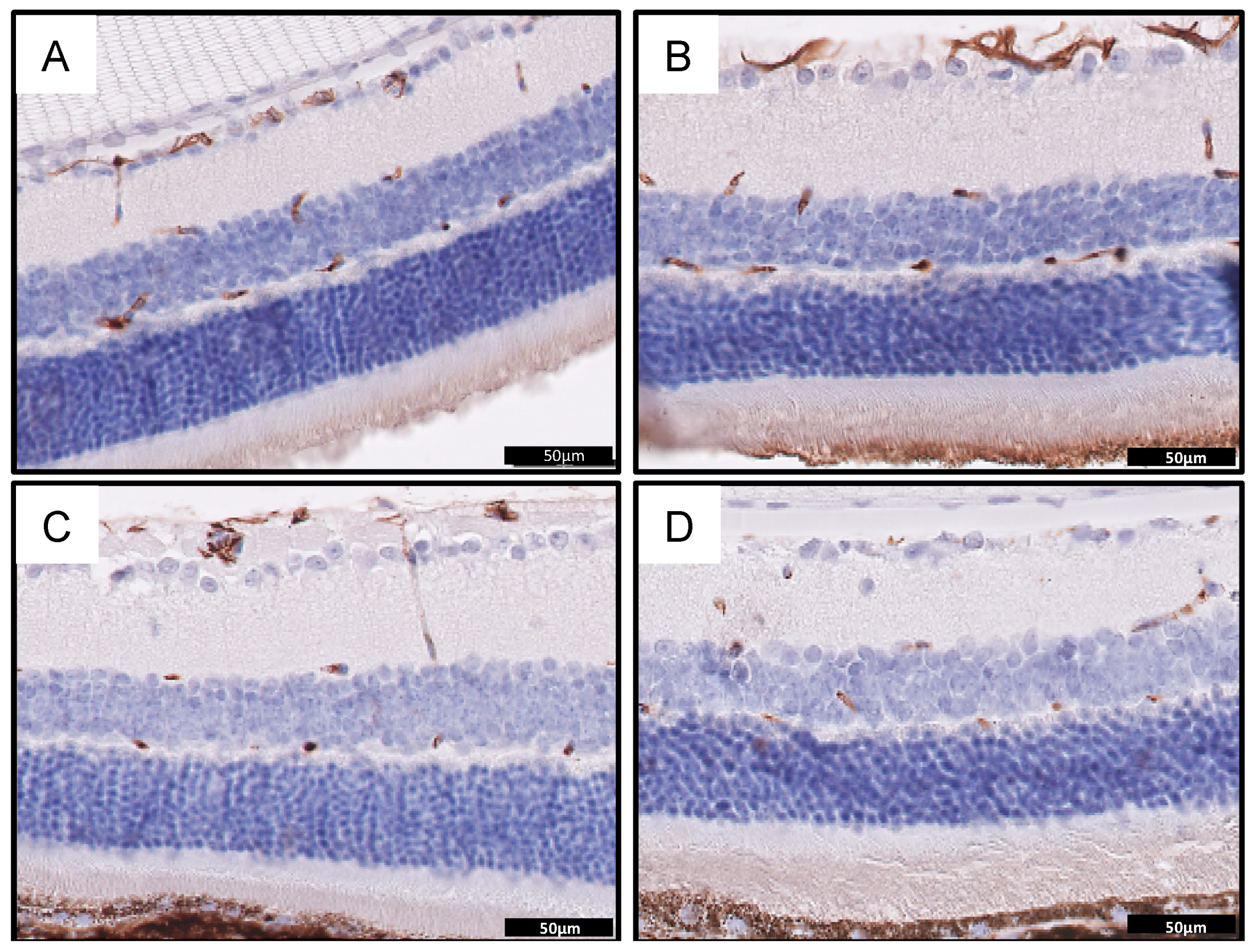
3.2. Immunohistochemistry Analysis
4. Discussion
Author Contributions
Funding
Acknowledgments
Conflicts of Interest
References
- Barrett, T.G.; Bundey, S.; MacLeod, A. Neurodegeneration and diabetes: UK nationwide study of Wolfram (DIDMOAD) syndrome. Lancet 1995, 346, 1458–1463. [Google Scholar] [CrossRef]
- Zmyslowska, A.; Fendler, W.; Waszczykowska, A.; Niwald, A.; Borowiec, M.; Jurowski, P.; Mlynarski, W. Retinal thickness as a marker of disease progression in longitudinal observation of patients with Wolfram syndrome. Acta Diabetol. 2017, 54, 1019–1024. [Google Scholar] [CrossRef] [PubMed]
- Ishihara, H.; Takeda, S.; Tamura, A.; Takahashi, R.; Yamaguchi, S.; Takei, D.; Yamada, T.; Inoue, H.; Soga, H.; Katagiri, H.; et al. Disruption of the WFS1 gene in mice causes progressive -cell loss and impaired stimulus-secretion coupling in insulin secretion. Hum. Mol. Genet. 2004, 13, 1159–1170. [Google Scholar] [CrossRef] [PubMed]
- Luuk, H.; Kõks, S.; Plaas, M.; Hannibal, J.; Rehfeld, J.F.; Vasar, E. Distribution of Wfs1 protein in the central nervous system of the mouse and its relation to clinical symptoms of the Wolfram syndrome. J. Comp. Neurol. 2008, 509, 642–660. [Google Scholar] [CrossRef]
- Riggs, A.C.; Bernal-Mizrachi, E.; Ohsugi, M.; Wasson, J.; Fatrai, S.; Welling, C.; Murray, J.; Schmidt, R.E.; Herrera, P.L.; Permutt, M.A. Mice conditionally lacking the Wolfram gene in pancreatic islet beta cells exhibit diabetes as a result of enhanced endoplasmic reticulum stress and apoptosis. Diabetologia 2005, 48, 2313–2321. [Google Scholar] [CrossRef]
- Kõks, S.; Soomets, U.; Payá-Cano, J.L.; Fernandes, C.; Luuk, H.; Plaas, M.; Terasmaa, A.; Tillmann, V.; Noormets, K.; Vasar, E.; et al. Wfs1 gene deletion causes growth retardation in mice and interferes with the growth hormone pathway. Physiol. Genom. 2009, 37, 249–259. [Google Scholar] [CrossRef]
- Waszczykowska, A.; Zmysłowska, A.; Braun, M.; Zielonka, E.; Ivask, M.; Koks, S.; Jurowski, P.; Młynarski, W. Corneal Abnormalities Are Novel Clinical Feature in Wolfram Syndrome. Am. J. Ophthalmol. 2020, 217, 140–151. [Google Scholar] [CrossRef]
- Zmysłowska, A.; Fendler, W.; Niwald, A.; Ludwikowska-Pawlowska, M.; Borowiec, M.; Antosik, K.; Szadkowska, A.; Młynarski, W. Retinal Thinning as a Marker of Disease Progression in Patients With Wolfram Syndrome. Diabetes Care 2015, 38, 36–37. [Google Scholar] [CrossRef]
- Zmysłowska, A.; Waszczykowska, A.; Baranska, D.; Stawiski, K.; Borowiec, M.; Jurowski, P.; Fendler, W.; Mlynarski, W. Optical coherence tomography and magnetic resonance imaging visual pathway evaluation in Wolfram syndrome. Dev. Med. Child Neurol. 2018, 61, 359–365. [Google Scholar] [CrossRef]
- Dutta, S.; Sengupta, P. Men and mice: Relating their ages. Life Sci. 2016, 152, 244–248. [Google Scholar] [CrossRef]
- Söker, T.; Dalke, C.; Puk, O.; Floss, T.; Becker, L.; Bolle, I.; Favor, J.; Hans, W.; Hölter, S.M.; Horsch, M.; et al. Pleiotropic effects in Eya3 knockout mice. BMC Dev. Biol. 2008, 8, 118. [Google Scholar] [CrossRef]
- Jun, A.S.; Meng, H.; Ramanan, N.; Matthaei, M.; Chakravarti, S.; Bonshek, R.; Black, G.C.; Grebe, R.; Kimos, M. An alpha 2 collagen VIII transgenic knock-in mouse model of Fuchs endothelial corneal dystrophy shows early endothelial cell unfolded protein response and apoptosis. Hum. Mol. Genet. 2011, 21, 384–393. [Google Scholar] [CrossRef] [PubMed]
- Zhu, L.; Shen, J.; Zhang, C.; Park, C.Y.; Kohanim, S.; Yew, M.; Parker, J.S.; Chuck, R.S. Inflammatory cytokine expression on the ocular surface in the Botulium toxin B induced murine dry eye model. Mol. Vis. 2009, 15, 250–258. [Google Scholar] [PubMed]
- Cole, N.; Hume, E.B.; Jalbert, I.; Vijay, A.K.; Krishnan, R.; Willcox, M.D. Effects of topical administration of 12-methyl tetradecanoic acid (12-MTA) on the development of corneal angiogenesis. Angiogenesis 2007, 10, 47–54. [Google Scholar] [CrossRef] [PubMed]
- Jeon, C.-J.; Strettoi, E.; Masland, R.H. The Major Cell Populations of the Mouse Retina. J. Neurosci. 1998, 18, 8936–8946. [Google Scholar] [CrossRef]
- Remtulla, S.; Hallett, P. A schematic eye for the mouse, and comparisons with the rat. Vis. Res. 1985, 25, 21–31. [Google Scholar] [CrossRef]
- Bielska, M.; Borowiec, M.; Jesionek-Kupnicka, D.; Braun, M.; Bojo, M.; Pastorczak, A.; Kalinka-Warzocha, E.; Prochorec-Sobieszek, M.; Robak, T.; Warzocha, K.; et al. Polymorphism in IKZF1 gene affects clinical outcome in diffuse large B-cell lymphoma. Int. J. Hematol. 2017, 106, 794–800. [Google Scholar] [CrossRef]
- Jesionek-Kupnicka, R.; Braun, M.; Trąbska-Kluch, B.; Czech, J.; Szybka, M.; Szymańska, B.; Kulczycka-Wojdala, M.; Bieńkowski, M.; Kordek, R.; Zawlik, I. MiR-21, miR-34a, miR-125b, miR-181d and miR-648 levels inversely correlate with MGMT and TP53 expression in primary glioblastoma patients. Arch. Med Sci. 2017, 15, 504–512. [Google Scholar] [CrossRef]
- Wersinger, D.B.; Benkafadar, N.; Jagodzinska, J.; Hamel, C.; Tanizawa, Y.; Lenaers, G.; Delettre, C. Impairment of Visual Function and Retinal ER Stress Activation in Wfs1-Deficient Mice. PLoS ONE 2014, 9, e97222. [Google Scholar] [CrossRef]
- Hardy, C.; Khanim, F.; Torres, R.; Scott-Brown, M.; Seller, A.; Poulton, J.; Collier, D.; Kirk, J.; Polymeropoulos, M.; Latif, F.; et al. Clinical and Molecular Genetic Analysis of 19 Wolfram Syndrome Kindreds Demonstrating a Wide Spectrum of Mutations in WFS1. Am. J. Hum. Genet. 1999, 65, 1279–1290. [Google Scholar] [CrossRef]
- Tein, K.; Kasvandik, S.; Kõks, S.; Vasar, E.; Terasmaa, A. Prohormone convertase 2 activity is increased in the hippocampus of Wfs1 knockout mice. Front. Mol. Neurosci. 2015, 8, 45. [Google Scholar] [CrossRef][Green Version]
- Gupta, K.L.; Ghosh, A.K.; Jha, V.; Gupta, A.; Sakhuja, V. Wolfram (DIDMOAD) syndrome with diabetic retinopathy. J. Assoc. Physicians India 1994, 42, 831–832. [Google Scholar]
- Lim, M.C.; Thai, A.C. A Chinese family with Wolfram syndrome presenting with rapidly progressing diabetic retinopathy and renal failure. Ann. Acad. Med. Singap. 1990, 19, 548–555. [Google Scholar]
- Barrett, T.G.; Bundey, S.E.; Fielder, A.R.; Good, P.A. Optic atrophy in Wolfram (DIDMOAD) syndrome. Eye 1997, 11, 882–888. [Google Scholar] [CrossRef]
- Hofmann, S.; Philbrook, C.; Gerbitz, K.-D.; Bauer, M.F. Wolfram syndrome: Structural and functional analyses of mutant and wild-type wolframin, the WFS1 gene product. Hum. Mol. Genet. 2003, 12, 2003–2012. [Google Scholar] [CrossRef]
- Vähätupa, M.; Nättinen, J.; Jylhä, A.; Aapola, U.; Kataja, M.; Kööbi, P.; Järvinen, T.A.; Uusitalo, H.; Uusitalo-Järvinen, H. SWATH-MS Proteomic Analysis of Oxygen-Induced Retinopathy Reveals Novel Potential Therapeutic Targets. Investig. Opthalmol. Vis. Sci. 2018, 59, 3294–3306. [Google Scholar] [CrossRef]
- E Smith, L.; Wesolowski, E.; McLellan, A.; Kostyk, S.K.; D’Amato, R.; Sullivan, R.; A D’Amore, P. Oxygen-induced retinopathy in the mouse. Investig. Ophthalmol. Vis. Sci. 1994, 35, 101–111. [Google Scholar]
- Vessey, K.; Wilkinson-Berka, J.L.; Fletcher, E.L.; Wilkinson-Berka, J. Characterization of retinal function and glial cell response in a mouse model of oxygen-induced retinopathy. J. Comp. Neurol. 2010, 519, 506–527. [Google Scholar] [CrossRef]
- Xu, Y.; Lu, X.; Hu, Y.; Yang, B.; Tsui, C.-K.; Yu, S.; Lu, L.; Liang, X. Melatonin attenuated retinal neovascularization and neuroglial dysfunction by inhibition of HIF-1α-VEGF pathway in oxygen-induced retinopathy mice. J. Pineal Res. 2018, 64, e12473. [Google Scholar] [CrossRef]
- Karlstetter, M.; Scholz, R.; Rutar, M.; Wong, W.T.; Provis, J.A.N.M.; Langmann, T. Retinal microglia: Just bystander or target for therapy? Prog. Retin. Eye Res. 2015, 45, 30–57. [Google Scholar] [CrossRef]
- Davies, M.H.; Eubanks, J.P.; Powers, M.R. Microglia and macrophages are increased in response to ischemia-induced retinopathy in the mouse retina. Mol. Vis. 2006, 12, 467–477. [Google Scholar] [PubMed]
- Checchin, D.; Sennlaub, F.; Levavasseur, E.; LeDuc, M.; Chemtob, S. Potential Role of Microglia in Retinal Blood Vessel Formation. Investig. Opthalmol. Vis. Sci. 2006, 47, 3595–3602. [Google Scholar] [CrossRef] [PubMed]




| Characteristics | Wfs1KO Male Mice | Wfs1WT Male Mice | p-Level * |
|---|---|---|---|
| Analyzed eyeballs/animals | N = 6/N = 3 | N = 6/N = 3 | NA |
| Longitudinal diameter of eye (μm) | 2921 ± 125 | 2868 ± 63 | 0.376 |
| Lateral diameter of eye (μm) | 2616 ± 172 | 2608 ± 111 | 0.927 |
| Retinal thickness (μm) | 235.2 ± 8.0 | 243.7 ± 5.5 | 0.058 |
| Retinal thickness/longitudinal diameter ratio | 0.081 ± 0.003 | 0.085 ± 0.003 | 0.035 |
| Lateral retinal thickness (μm) | 125.8 ± 4.1 | 133.7 ± 11.5 | 0.135 |
| Lateral retinal thickness/lateral diameter ratio | 0.048 ± 0.003 | 0.051 ± 0.003 | 0.112 |
| Intra-retinal neovessels in ganglion cell layer | 4/3 | 0/6 | 0.110 |
| Vessel dilation or microaneurysms | 4/3 | 0/6 | 0.11 |
| GFAP positive cells in inner nuclear layer (cells/100 μm2) | 2.9 ± 0.3 | 3.8 ± 0.4 | 0.042 |
© 2020 by the authors. Licensee MDPI, Basel, Switzerland. This article is an open access article distributed under the terms and conditions of the Creative Commons Attribution (CC BY) license (http://creativecommons.org/licenses/by/4.0/).
Share and Cite
Waszczykowska, A.; Zmysłowska, A.; Braun, M.; Ivask, M.; Koks, S.; Jurowski, P.; Młynarski, W. Multiple Retinal Anomalies in Wfs1-Deficient Mice. Diagnostics 2020, 10, 607. https://doi.org/10.3390/diagnostics10090607
Waszczykowska A, Zmysłowska A, Braun M, Ivask M, Koks S, Jurowski P, Młynarski W. Multiple Retinal Anomalies in Wfs1-Deficient Mice. Diagnostics. 2020; 10(9):607. https://doi.org/10.3390/diagnostics10090607
Chicago/Turabian StyleWaszczykowska, Arleta, Agnieszka Zmysłowska, Marcin Braun, Marilin Ivask, Sulev Koks, Piotr Jurowski, and Wojciech Młynarski. 2020. "Multiple Retinal Anomalies in Wfs1-Deficient Mice" Diagnostics 10, no. 9: 607. https://doi.org/10.3390/diagnostics10090607
APA StyleWaszczykowska, A., Zmysłowska, A., Braun, M., Ivask, M., Koks, S., Jurowski, P., & Młynarski, W. (2020). Multiple Retinal Anomalies in Wfs1-Deficient Mice. Diagnostics, 10(9), 607. https://doi.org/10.3390/diagnostics10090607

