Investigating the Hepatic Response to Orlistat and White Tea in Rats on a High-Fat Diet
Abstract
1. Introduction
2. Materials and Methods
2.1. Experimental Animals
2.2. Chemicals and Drugs
2.3. Preparation of White Tea Extract
2.4. Tissue Homogenization
2.5. Malondialdehyde (MDA) Analysis Procedure (TBARS Assay)
2.6. Total Thiol (TT) Analysis Procedure
2.7. Histopathological Analyses
2.8. IHC Staining Protocol
2.9. Semiquantitative Analysis
2.10. Statistical Analysis
3. Results
3.1. Biochemical Results
3.1.1. TBARS Results
3.1.2. Total Thiol (TT) Tissue Level Results
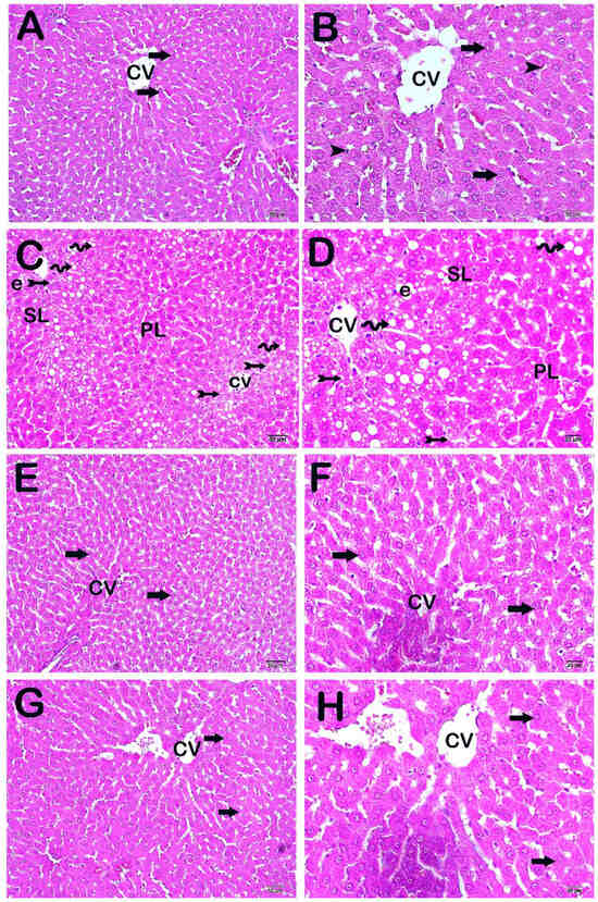
3.2. Histopathological Results
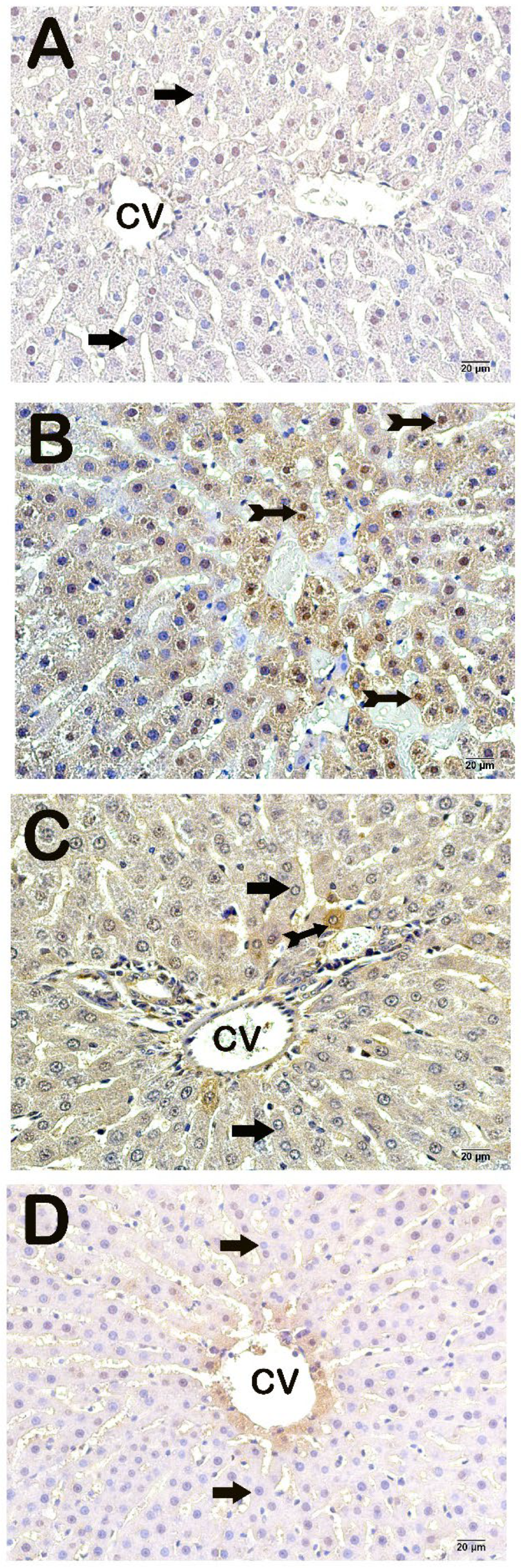
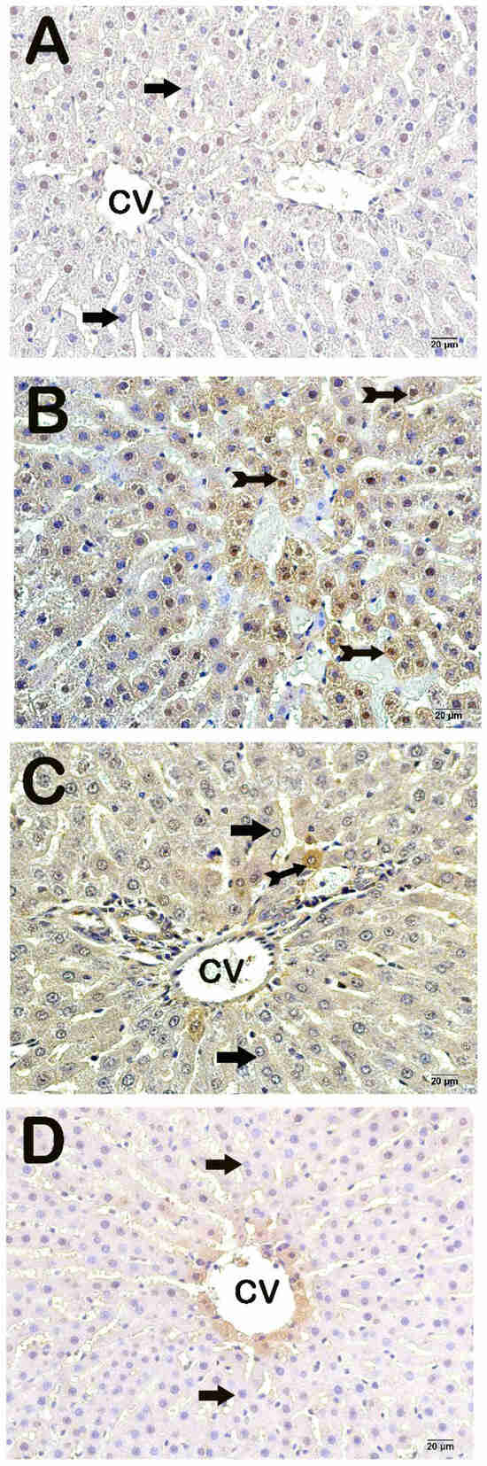
3.3. Immunohistochemical Results
NF-kβ/p65 Primary Antibodies
4. Discussion
5. Conclusions
Supplementary Materials
Author Contributions
Funding
Institutional Review Board Statement
Informed Consent Statement
Data Availability Statement
Conflicts of Interest
References
- Pan, Q.; Fan, J.G.; Yilmaz, Y. Pathogenetic Pathways in Nonalcoholic Fatty Liver Disease: An Incomplete Jigsaw Puzzle. Clin. Liver Dis. 2023, 27, 317–332. [Google Scholar] [CrossRef] [PubMed]
- Rinella, M.E.; Lazarus, J.V.; Ratziu, V.; Francque, S.M.; Sanyal, A.J.; Kanwal, F.; Romero, D.; Abdelmalek, M.F.; Anstee, Q.M.; Arab, J.P.; et al. A Multi-Society Delphi Consensus Statement on New Fatty Liver Disease Nomenclature. Hepatology 2023, 78, 1966–1986. [Google Scholar] [PubMed]
- Polyzos, S.A.; Kountouras, J.; Mantzoros, C.S. Obesity and Nonalcoholic Fatty Liver Disease: From Pathophysiology to Therapeutics. Metabolism 2019, 92, 82–97. [Google Scholar] [CrossRef]
- Erman, H.; Beydogan, E.; Cetin, S.I.; Boyuk, B. Endocan: A Biomarker for Hepatosteatosis in Patients with Metabolic Syndrome. Mediat. Inflamm. 2020, 2020, 3534042. [Google Scholar] [CrossRef] [PubMed]
- Lee, E.S.; Kwon, M.H.; Kim, H.M.; Woo, H.B.; Ahn, C.M.; Chung, C.H. Curcumin Analog CUR5–8 Ameliorates Nonalcoholic Fatty Liver Disease in Mice with High-Fat Diet-Induced Obesity. Metabolism 2020, 103, 154015. [Google Scholar] [CrossRef] [PubMed]
- Dias, T.R.; Alves, M.G.; Rato, L.; Casal, S.; Silva, B.M.; Oliveira, P.F. White Tea Intake Prevents Prediabetes-Induced Metabolic Dysfunctions in Testis and Epididymis Preserving Sperm Quality. J. Nutr. Biochem. 2016, 37, 83–93. [Google Scholar] [CrossRef]
- Saral, S.; Dokumacioglu, E.; Mercantepe, T.; Atak, M.; Cinar, S.; Saral, O.; Yildiz, L.; Iskender, H.; Tumkaya, L. The Effect of White Tea on Serum TNF-α/NF-ΚB and Immunohistochemical Parameters in Cisplatin-Related Renal Dysfunction in Female Rats. Biomed. Pharmacother. 2019, 112, 108604. [Google Scholar] [CrossRef]
- Dias, T.R.; Alves, M.G.; Silva, J.; Barros, A.; Sousa, M.; Casal, S.; Silva, B.M.; Oliveira, P.F. Implications of Epigallocatechin-3-Gallate in Cultured Human Sertoli Cells Glycolytic and Oxidative Profile. Toxicol. Vitr. 2017, 41, 214–222. [Google Scholar] [CrossRef]
- Mansour-Ghanaei, F.; Hadi, A.; Pourmasoumi, M.; Joukar, F.; Golpour, S.; Najafgholizadeh, A. Green Tea as a Safe Alternative Approach for Nonalcoholic Fatty Liver Treatment: A Systematic Review and Meta-Analysis of Clinical Trials. Phyther. Res. 2018, 32, 1876–1884. [Google Scholar] [CrossRef]
- Li, B.; Mao, Q.; Xiong, R.; Zhou, D.; Huang, S.; Saimaiti, A.; Shang, A.; Luo, M.; Li, H.; Li, H.; et al. Preventive Effects of Different Black and Dark Teas on Obesity and Non-Alcoholic Fatty Liver Disease and Modulate Gut Microbiota in High-Fat Diet Fed Mice. Foods 2022, 11, 3457. [Google Scholar] [CrossRef]
- Li, J.; Sapper, T.N.; Mah, E.; Moller, M.V.; Kim, J.B.; Chitchumroonchokchai, C.; McDonald, J.D.; Bruno, R.S. Green Tea Extract Treatment Reduces NFκB Activation in Mice with Diet-Induced Nonalcoholic Steatohepatitis by Lowering TNFR1 and TLR4 Expression and Ligand Availability. J. Nutr. Biochem. 2017, 41, 34–41. [Google Scholar] [CrossRef] [PubMed]
- VanSaun, M.N.; In, K.L.; Washington, M.K.; Matrisian, L.; Gorden, D.L. High Fat Diet Induced Hepatic Steatosis Establishes a Permissive Microenvironment for Colorectal Metastases and Promotes Primary Dysplasia in a Murine Model. Am. J. Pathol. 2009, 175, 355–364. [Google Scholar] [CrossRef] [PubMed]
- Saunders, K.H.; Umashanker, D.; Igel, L.I.; Kumar, R.B.; Aronne, L.J. Obesity Pharmacotherapy. Med. Clin. N. Am. 2018, 102, 135–148. [Google Scholar] [CrossRef] [PubMed]
- Gorgojo-Martínez, J.J.; Basagoiti-Carreño, B.; Sanz-Velasco, A.; Serrano-Moreno, C.; Almodóvar-Ruiz, F. Effectiveness and Tolerability of Orlistat and Liraglutide in Patients with Obesity in a Real-World Setting: The XENSOR Study. Int. J. Clin. Pract. 2019, 73, e13399. [Google Scholar] [CrossRef] [PubMed]
- Wang, H.; Wang, L.; Cheng, Y.; Xia, Z.; Liao, Y.; Cao, J. Efficacy of Orlistat in Non-Alcoholic Fatty Liver Disease: A Systematic Review and Meta-Analysis. Biomed. Rep. 2018, 9, 90–96. [Google Scholar] [CrossRef] [PubMed]
- Wu, J.; Miyasaka, K.; Yamada, W.; Takeda, S.; Shimizu, N.; Shimoda, H. The Anti-Adiposity Mechanisms of Ampelopsin and Vine Tea Extract in High Fat Diet and Alcohol-Induced Fatty Liver Mouse Models. Molecules 2022, 27, 607. [Google Scholar] [CrossRef]
- Yilmaz, B.; Acar-Tek, N. White tea: Its history, composition, and potential effects on body weight management. eFood 2023, 4, e89. [Google Scholar] [CrossRef]
- Tang, G.Y.; Meng, X.; Gan, R.Y.; Zhao, C.N.; Liu, Q.; Feng, Y.B.; Li, S.; Wei, X.L.; Atanasov, A.G.; Corke, H.; et al. Health Functions and Related Molecular Mechanisms of Tea Components: An Update Review. Int. J. Mol. Sci. 2019, 20, 6196. [Google Scholar] [CrossRef]
- Liu, C.; Guo, Y.; Sun, L.; Lai, X.; Li, Q.; Zhang, W.; Xiang, L.; Sun, S.; Cao, F. Six Types of Tea Reduce High-Fat-Diet-Induced Fat Accumulation in Mice by Increasing Lipid Metabolism and Suppressing Inflammation. Food Funct. 2019, 10, 2061–2074. [Google Scholar] [CrossRef]
- Dashwood, W.M.; Orner, G.A.; Dashwood, R.H. Inhibition of β-Catenin/Tcf Activity by White Tea, Green Tea, and Epigallocatechin-3-Gallate (EGCG): Minor Contribution of H2O2 at Physiologically Relevant EGCG Concentrations. Biochem. Biophys. Res. Commun. 2002, 296, 584–588. [Google Scholar] [CrossRef]
- Berilli, P.; Fanaro, G.B.; Santos, J.P.; Reyes Reyes, F.G.; Iglesias, A.H.; Reis, M.; Cazarin, C.B.B.; Maróstica Junior, M.R. White Tea Modulates Antioxidant Defense of Endurance-Trained Rats. Curr. Res. Physiol. 2022, 5, 256–264. [Google Scholar] [CrossRef] [PubMed]
- Dhatwalia, S.K.; Kumar, M.; Bhardwaj, P.; Dhawan, D.K. White Tea—A Cost Effective Alternative to EGCG in Fight against Benzo(a)Pyrene (BaP) Induced Lung Toxicity in SD Rats. Food Chem. Toxicol. 2019, 131, 110551. [Google Scholar] [CrossRef] [PubMed]
- Oliveira, P.F.; Tomás, G.D.; Dias, T.R.; Martins, A.D.; Rato, L.; Alves, M.G.; Silva, B.M. White Tea Consumption Restores Sperm Quality in Prediabetic Rats Preventing Testicular Oxidative Damage. Reprod. Biomed. Online 2015, 31, 544–556. [Google Scholar] [CrossRef]
- Islam, M.S. Effects of the Aqueous Extract of White Tea (Camellia sinensis) in a Streptozotocin-Induced Diabetes Model of Rats. Phytomedicine 2011, 19, 25–31. [Google Scholar] [CrossRef]
- du Sert, N.P.; Ahluwalia, A.; Alam, S.; Avey, M.T.; Baker, M.; Browne, W.J.; Clark, A.; Cuthill, I.C.; Dirnagl, U.; Emerson, M.; et al. Reporting Animal Research: Explanation and Elaboration for the Arrive Guidelines 2.0. PLoS Biol. 2020, 18, e3000411. [Google Scholar]
- Charan, J.; Kantharia, N. How to Calculate Sample Size in Animal Studies? J. Pharmacol. Pharmacother. 2013, 4, 303–306. [Google Scholar] [CrossRef] [PubMed]
- Arifin, W.N.; Zahiruddin, W.M. Sample Size Calculation in Animal Studies Using Resource Equation Approach. Malays. J. Med. Sci. 2017, 24, 101–105. [Google Scholar] [CrossRef]
- Allgoewer, A.; Mayer, B. Sample Size Estimation for Pilot Animal Experiments by Using a Markov Chain Monte Carlo Approach. ATLA Altern. Lab. Anim. 2017, 45, 83–90. [Google Scholar] [CrossRef]
- Abdelwahab, S.; Ali, A.; Mahmoud, A. Effect of Orlistat on the Pancreas of the Female Albino Rat: Histological and Histochemical Study. J. Med. Histol. 2017, 1, 30–43. [Google Scholar] [CrossRef][Green Version]
- Caroline, O.B.; Ebuehi, O.A.T.; Cecilia, O.A.; Kayode, O.A. Effect of Allium Sativum Extract in Combination -with Orlistat on Insulin Resistance and Disrupted Metabolic Hormones in High Fat Diet Induced Obese Rats. Sci. Afr. 2021, 14, e00994. [Google Scholar] [CrossRef]
- Lee, H.S.; Lim, S.M.; Jung, J.I.; Kim, S.M.; Lee, J.K.; Kim, Y.H.; Cha, K.M.; Oh, T.K.; Moon, J.M.; Kim, T.Y.; et al. Gynostemma Pentaphyllum Extract Ameliorates High-Fat Diet-Induced Obesity in C57BL/6N Mice by Upregulating SIRT1. Nutrients 2019, 11, 2475. [Google Scholar] [CrossRef]
- Nijhawan, P.; Behl, T.; Chigurupati, S.; Sehgal, A.; Singh, S.; Sharma, N.; Sharma, A.; Ahmed, A.S.; Das, S.; Palnimuthu, V.R.; et al. Exploring the Effect of Crinum Latifolia in Obesity: Possible Role of Oxidative, Angiogenic, and Inflammatory Pathways. Environ. Sci. Pollut. Res. 2022, 29, 29130–29140. [Google Scholar] [CrossRef] [PubMed]
- Gopal, S.; Sukhdeo, S.; Vallikannan, B.; Ponesakki, G. Lutein Ameliorates High-Fat Diet-Induced Obesity, Fatty Liver, and Glucose Intolerance in C57BL/6J Mice. Phytother. Res. 2023, 1, 329–341. [Google Scholar] [CrossRef]
- Espinosa, C.; González-Silvera, D.; Pérez-Llamas, F.; López-Jiménez, J.Á.; Zamora, S. Effect of Long Term Intake of White Tea on Acute Oxidative Stress in Rats. Nutr. Hosp. 2015, 32, 749–756. [Google Scholar] [CrossRef] [PubMed]
- Aydos, L.R.; Do Amaral, L.A.; de Souza, R.S.; Jacobowski, A.C.; Dos Santos, E.F.; Macedo, M.L.R. Nonalcoholic Fatty Liver Disease Induced by High-Fat Diet in C57BL/6 Models. Nutrients 2019, 11, 3067. [Google Scholar] [CrossRef]
- Zhang, X.Y.; Guo, C.C.; Yu, Y.X.; Xie, L.; Chang, C.Q. Establishment of High-Fat Diet-Induced Obesity and Insulin Resistance Model in Rats. Beijing Da Xue Xue Bao 2020, 52, 557–563. [Google Scholar] [CrossRef] [PubMed]
- Radford, K.D.; Park, T.Y.; Lee, B.H.; Moran, S.; Osborne, L.A.; Choi, K.H. Dose-Response Characteristics of Intravenous Ketamine on Dissociative Stereotypy, Locomotion, Sensorimotor Gating, and Nociception in Male Sprague-Dawley Rats. Pharmacol. Biochem. Behav. 2017, 153, 130–140. [Google Scholar] [CrossRef]
- Cakıroglu, S.; Mercantepe, T.; Tümkaya, L.; Uydu, H.A.; Topcu, A.; Atak, M. The Effects of White Tea (Camellia sinensis) and Infliximab Against Cisplatin-Induced Testicular Damage via Oxidative Stress and Apoptosis Efectos Del Té Blanco (Camellia sinensis) e Infliximab Contra El Daño Testicular Inducido Por Cisplatino a Través De. Int. J. Morphol 2023, 41, 1537–1549. [Google Scholar] [CrossRef]
- Kacar, B. Çay-Çay Bitkisi, Biyokimyası, Gübrelenmesi, İşleme Teknolojisi, 1st ed.; Nobel Yayın: Ankara, Turkey, 2010; ISBN 978-605-395-359-3. [Google Scholar]
- Yılmaz, H.K.; Türker, M.; Kutlu, E.Y.; Mercantepe, T.; Pınarbaş, E.; Tümkaya, L.; Atak, M. Investigation of the Effects of White Tea on Liver Fibrosis: An Experimental Animal Model. Food Sci. Nutr. 2024, 12, 2998–3006. [Google Scholar] [CrossRef]
- Ohkawa, H.; Ohishi, N.; Yagi, K. Assay for Lipid Peroxides in Animal Tissues by Thiobarbituric Acid Reaction. Anal. Biochem. 1979, 95, 351–358. [Google Scholar] [CrossRef]
- Ellman, G.L. Tissue sulfhydryl groups. Arch. Biochem. Biophys. 1959, 82, 70–77. [Google Scholar] [CrossRef] [PubMed]
- Asgharpour, A.; Cazanave, S.C.; Pacana, T.; Seneshaw, M.; Vincent, R.; Banini, B.A.; Kumar, D.P.; Daita, K.; Min, H.K.; Mirshahi, F.; et al. A Diet-Induced Animal Model of Non-Alcoholic Fatty Liver Disease and Hepatocellular Cancer. J. Hepatol. 2016, 65, 579–588. [Google Scholar] [CrossRef] [PubMed]
- Aboubakr, M.; Farag, A.; Elfadadny, A.; Alkafafy, M.; Soliman, A.; Elbadawy, M. Antioxidant and Anti-Apoptotic Potency of Allicin and Lycopene against Methotrexate-Induced Cardiac Injury in Rats. Environ. Sci. Pollut. Res. 2023, 30, 88724–88733. [Google Scholar] [CrossRef]
- Minati, M.A.; Libert, M.; Dahou, H.; Jacquemin, P.; Assi, M. N-Acetylcysteine Reduces the pro-Oxidant and Inflammatory Responses during Pancreatitis and Pancreas Tumorigenesis. Antioxidants 2021, 10, 1107. [Google Scholar] [CrossRef]
- Li, T.; Bou-Dargham, M.J.; Fultang, N.; Li, X.; Pear, W.S.; Sun, H.; Chen, Y.H. C-Rel-Dependent Monocytes Are Potent Immune Suppressor Cells in Cancer. J. Leukoc. Biol. 2022, 112, 845–859. [Google Scholar] [CrossRef] [PubMed]
- Ezhilarasan, D.; Lakshmi, T. A Molecular Insight into the Role of Antioxidants in Nonalcoholic Fatty Liver Diseases. Oxid. Med. Cell. Longev. 2022, 2022, 9233650. [Google Scholar] [CrossRef]
- Kwon, Y.J.; Kwon, G.E.; Lee, H.S.; Choi, M.H.; Lee, J.W. The Effect of Orlistat on Sterol Metabolism in Obese Patients. Front. Endocrinol. 2022, 13, 824269. [Google Scholar] [CrossRef]
- Espinosa, C.; Pérez-Llamas, F.; Guardiola, F.A.; Esteban, M.A.; Arnao, M.B.; Zamora, S.; López-Jiménez, J.A. Molecular Mechanisms by Which White Tea Prevents Oxidative Stress. J. Physiol. Biochem. 2014, 70, 891–900. [Google Scholar] [CrossRef]
- Esmail, V.A.W.; Mohammed, M.O.; Al-Nimer, M.S.M. Short-Term Orlistat Therapy Improves Fatty Infiltration Indices and Liver Fibrosis Scores in Patients with Non-Alcoholic Fatty Liver Disease and Metabolic Syndrome. Arab J. Gastroenterol. 2021, 22, 1–5. [Google Scholar] [CrossRef]
- Javed, M.; Ahmed, W.; Khan, A.; Rabbani, I. Comparison of Efficacy of Fermented Garlic and Orlistat (Lipase Inhibitor) in Obesity Management Using an Experimental Rodent Model. Foods 2023, 12, 3905. [Google Scholar] [CrossRef]
- Yen, W.J.; Chyau, C.C.; Lee, C.P.; Chu, H.L.; Chang, L.W.; Duh, P. Der Cytoprotective Effect of White Tea against H2O2-Induced Oxidative Stress in Vitro. Food Chem. 2013, 141, 4107–4114. [Google Scholar] [CrossRef] [PubMed]
- Pastoriza, S.; Mesías, M.; Cabrera, C.; Rufián-Henares, J.A. Healthy Properties of Green and White Teas: An Update. Food Funct. 2017, 8, 2650–2662. [Google Scholar] [CrossRef] [PubMed]
- Pérez-Llamas, F.; González, D.; Cabrera, L.; Espinosa, C.; López, J.A.; Larqué, E.; Almajano, M.P.; Zamora, S. White Tea Consumption Slightly Reduces Iron Absorption but Not Growth, Food Efficiency, Proteinutilization, or Calcium, Phosphorus, Magnesium, and Zinc Absorption in Rats. J. Physiol. Biochem. 2011, 67, 331–337. [Google Scholar] [CrossRef] [PubMed]
- Zhao, L.; La, V.D.; Grenier, D. Antibacterial, Antiadherence, Antiprotease, and Anti-Inflammatory Activities of Various Tea Extracts: Potential Benefits for Periodontal Diseases. J. Med. Food 2013, 16, 428–436. [Google Scholar] [CrossRef]
- Ramachandran, B.; Jayavelu, S.; Murhekar, K.; Rajkumar, T. Repeated Dose Studies with Pure Epigallocatechin-3-Gallate Demonstrated Dose and Route Dependant Hepatotoxicity with Associated Dyslipidemia. Toxicol. Rep. 2016, 3, 336–345. [Google Scholar] [CrossRef]


| - | % |
|---|---|
| Gallic acid | 2.87 |
| EGC | 0 |
| C | 0.93 |
| EC | 5.27 |
| EGCG | 74.68 |
| ECG | 16.25 |
| Total catechins (EGC + C + EC + EGCG + ECG) | 100 |
| Parameters | Control (Group 1) | HFD (Group 2) | HFD+Orlistat (Group 3) | HFD+WT (Group 4) | p |
|---|---|---|---|---|---|
| Total Thiols (nmol/g prt) | 744.72 ± 133.42 | 367.07 ± 93 | 850.62 ± 111.75 | 775 ± 194 | <0.001 * 1–2 < 0.001 2–3 < 0.001 2–4 < 0.001 |
| TBARS (nmol/g prt) | 2.28 ± 2.53 | 4.19 ± 1.43 | 1.4 ± 0.81 | 2.41 ± 0.52 | <0.001 * 1–2 < 0.001 * 1–3 < 0.001 * 2–3 = 0.004 * 3–4 = 0.004 * 2–4 = 0.048 |
| Groups | Degenerative Hepatocytes (with Cytoplasmic Lipid Vacuoles) | Degenerative Centrilobular Remark Codons (Consist of Degenerative Hepatocytes) | Degenerative PeriLobular Remark Codons (Consist of Regenerative Hepatocytes) | Edematous Areas | LHDS |
|---|---|---|---|---|---|
| Control | 0 (0–0.5) | 0 (0–0) | 0 (0–0) | 0 (0–0) | 0 (0–0.5) |
| High-fat diet (HFD) | 2 (2–2) a | 2 (2–2) a | 1 (1–2) a | 2 (2–3) a | 7 (7–9) a |
| HFD+Orlistat | 0 (0–1) b | 0 (0–0.5) b | 0 (0–0.5) b | 0 (0–1) b | 1 (0–3) b |
| HFD+WT | 0 (0–1) b | 0 (0–1) b | 0 (0–1) b | 0 (0–1) b | 0.5 (0–3) b |
| Group | NF-kβ/p65 Positivity Score |
|---|---|
| Control | 0 (0–0) |
| High-fat diet (HFD) | 2.5 (2–3) a |
| HFD+Orlistat | 1 (0–1) b |
| HFD+WT | 0 (0–1) b |
Disclaimer/Publisher’s Note: The statements, opinions and data contained in all publications are solely those of the individual author(s) and contributor(s) and not of MDPI and/or the editor(s). MDPI and/or the editor(s) disclaim responsibility for any injury to people or property resulting from any ideas, methods, instructions or products referred to in the content. |
© 2024 by the authors. Licensee MDPI, Basel, Switzerland. This article is an open access article distributed under the terms and conditions of the Creative Commons Attribution (CC BY) license (https://creativecommons.org/licenses/by/4.0/).
Share and Cite
Ciftel, S.; Klisic, A.; Ciftel, E.; Mercantepe, T.; Yilmaz, A.; Ciftel, S.; Pinarbas, E.; Toraman, M.N.; Mercantepe, F. Investigating the Hepatic Response to Orlistat and White Tea in Rats on a High-Fat Diet. Life 2024, 14, 1283. https://doi.org/10.3390/life14101283
Ciftel S, Klisic A, Ciftel E, Mercantepe T, Yilmaz A, Ciftel S, Pinarbas E, Toraman MN, Mercantepe F. Investigating the Hepatic Response to Orlistat and White Tea in Rats on a High-Fat Diet. Life. 2024; 14(10):1283. https://doi.org/10.3390/life14101283
Chicago/Turabian StyleCiftel, Serpil, Aleksandra Klisic, Enver Ciftel, Tolga Mercantepe, Adnan Yilmaz, Sedat Ciftel, Esra Pinarbas, Merve Nur Toraman, and Filiz Mercantepe. 2024. "Investigating the Hepatic Response to Orlistat and White Tea in Rats on a High-Fat Diet" Life 14, no. 10: 1283. https://doi.org/10.3390/life14101283
APA StyleCiftel, S., Klisic, A., Ciftel, E., Mercantepe, T., Yilmaz, A., Ciftel, S., Pinarbas, E., Toraman, M. N., & Mercantepe, F. (2024). Investigating the Hepatic Response to Orlistat and White Tea in Rats on a High-Fat Diet. Life, 14(10), 1283. https://doi.org/10.3390/life14101283

