IgE-Crosslinking-Induced Luciferase Expression Test as a Sensitive Indicator of Anisakis Allergy
Abstract
1. Introduction
2. Materials and Methods
2.1. Preparation of Anisakis Worm Proteins
2.2. Analysis of Serum Samples
2.3. IgE Immunoblotting
2.4. Luciferase Assay
2.5. Statistical Analysis
3. Results
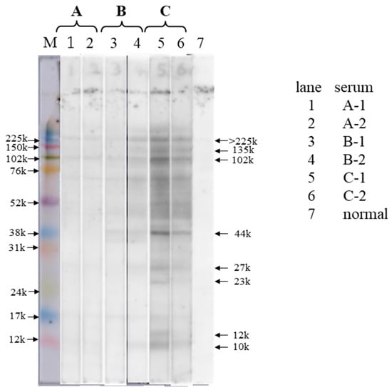
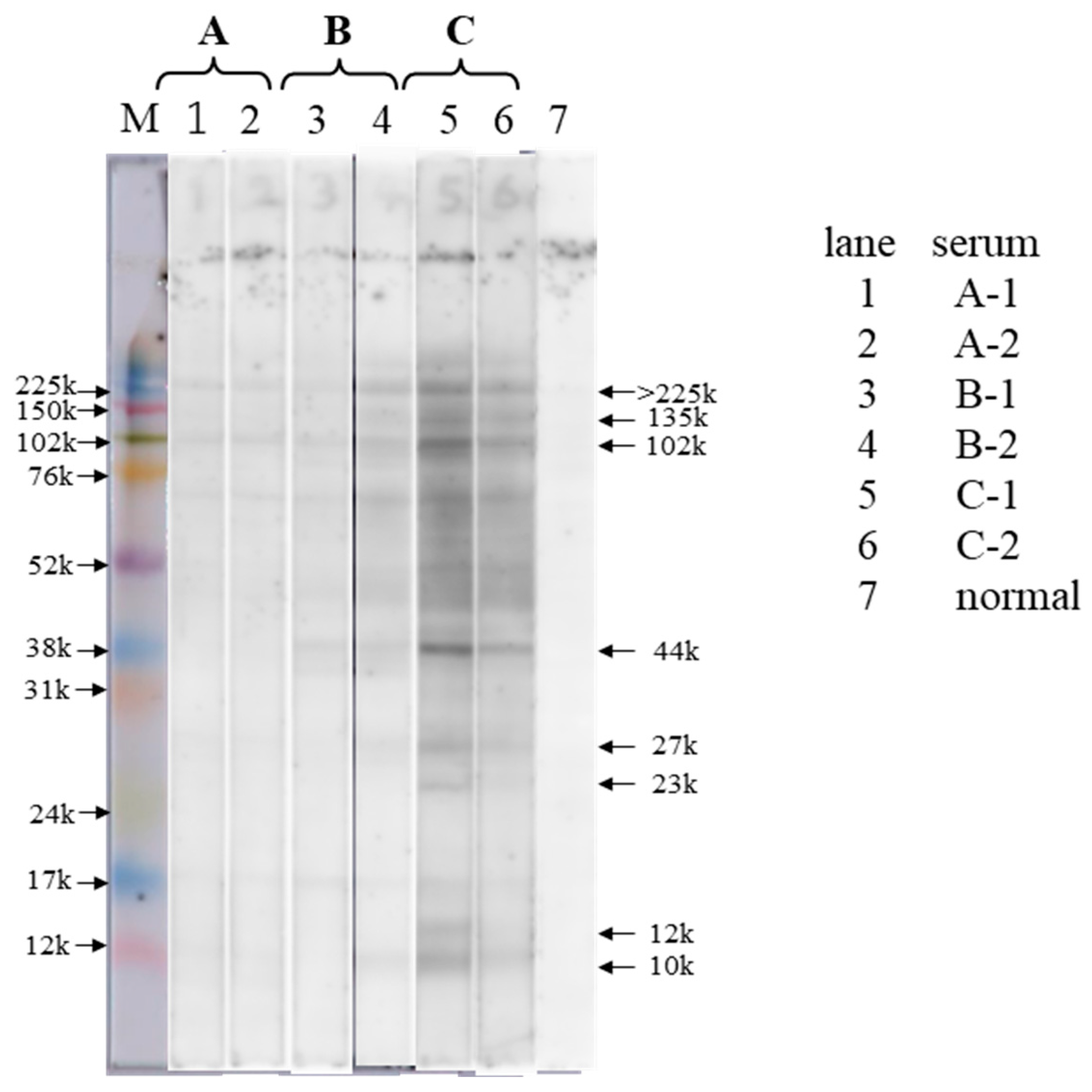
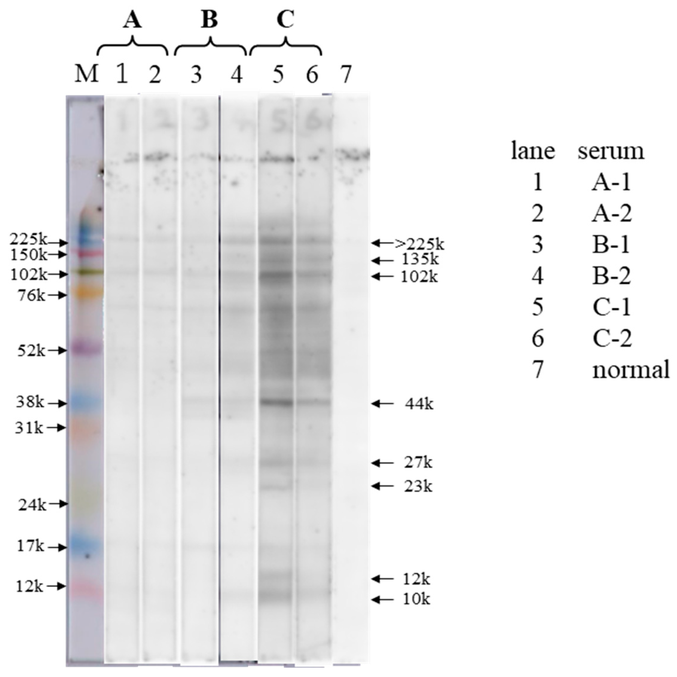
3.1. IgE Immunoblotting
3.2. Luciferase Assay
4. Discussion
Author Contributions
Funding
Institutional Review Board Statement
Informed Concent Statement
Data Availability Statement
Conflicts of Interest
Abbreviations
| CAP-FEIA | CAP–fluorescence enzyme immunoassay |
| IgE | Immunoglobulin E |
| HRP | Horseradish peroxidase |
| PBS | Phosphate-buffered saline |
| SDS | Sodium dodecyl sulfate |
| CBB | Coomassie Brilliant Blue |
| SD | Standard deviation |
References
- Nieuwenhuizen, N.E.; Lopata, A.L. Anisakis—A food-borne parasite that triggers allergic host defences. Int. J. Parasitol. 2013, 43, 1047–1057. [Google Scholar] [CrossRef] [PubMed]
- Van Thiel, P.H. Anisakiasis. Parasitology 1962, 52, 16–17. [Google Scholar]
- Kasuya, S.; Hamano, H.; Izumi, S. Mackerel-induced urticaria and anisakis. Lancet 1990, 335, 665. [Google Scholar] [CrossRef] [PubMed]
- Fernandez de Corres, L.; Audicana, M.; Del Pozo, M.D.; Munoz, D.; Fernandez, E.; Navarro, J.A.; Garcia, M.; Diez, J.J. Anisakis simplex induces not only anisakiasis: Report on 28 cases of allergy caused by this nematode. J. Investig. Allergol. Clin. Immunol. 1996, 6, 315–319. [Google Scholar]
- Hamada, Y.; Nakatani, E.; Watai, K.; Iwata, M.; Nakamura, Y.; Ryu, K.; Kamide, Y.; Sekiya, K.; Fukutomi, Y. Effects of raw seafood on the risk of hypersensitivity reaction recurrence in patients with an Anisakis allergy: A retrospective observational study in Japan. Allergol. Int. 2024, 73, 171–173. [Google Scholar] [CrossRef]
- Ivanovic, J.; Baltic, M.Z.; Boskovic, M.; Kilibarda, N.; Dokmanovic, M.; Markovix, R.; Janjic, J.; Baltic, B. Anisakis allergy in human. Trends Food Sci. Technol. 2017, 59, 25–29. [Google Scholar] [CrossRef]
- EFSA Panel on Biological Hazards. Scientific opinion of April 2010 on risk assessment of parasites in fishery products. EFSA J. 2010, 8, 1543. [Google Scholar]
- Aibinu, I.E.; Smooker, P.M.; Lopata, A.L. Anisakis nematodes in fish and shellfish—From infection to allergies. IJP Parasites Wildl. 2019, 9, 384–393. [Google Scholar] [CrossRef]
- Rahmati, A.R.; Kiani, B.; Afshari, A.; Moghaddas, E.; Williams, M.; Shamsi, S. World-wide prevalence of Anisakis larvae in fish and its relationship to human allergic anisakiasis.: A systematic review. Parasitol. Res. 2020, 119, 3585–3594. [Google Scholar] [CrossRef]
- Daschner, A.; Alonso-Gomez, A.; Cabanas, R.; Suarez-de-Parga, J.M.; Lopez-Serrano, M.C. Gastroallergic anisakiasis: Borderline between food allergy and parasitic disease—Clincal and allergologic evaluation of 20 patients with confirmed acute parasitism by Anisakis simplex. J. Allergy Clin. Immunol. 2000, 105, 176–181. [Google Scholar] [CrossRef]
- Daschner, A.; Cuellar, C. Progress in Anisakis allergy research: Milestones and reversals. Curr. Treat. Options Allergy 2020, 7, 457–470. [Google Scholar] [CrossRef]
- Nieuwenhuizen, N.; Lopata, A.L.; Jeebhay, M.F.; Herbert, D.R.; Robins, T.G.; Brombacher, F. Exposure to the fish parasite Anisakis causes allergic airway hyperreactivity and dermatitis. J. Allergy Clin. Immunol. 2006, 117, 1098–1105. [Google Scholar] [CrossRef] [PubMed]
- Baird, F.J.; Gasser, R.B.; Jabbar, A.; Lopata, A.L. Foodborne anisakiasis and allergy. Mol. Cell. Probes 2014, 28, 167–174. [Google Scholar] [CrossRef] [PubMed]
- Morishima, R.; Motojima, S.; Tsuneishi, D.; Kimura, T.; Nakashita, T.; Fudouji, J.; Ichikawa, S.; Ito, H.; Nishino, H. Anisakis is a major cause of anaphylaxis in seaside areas: An epidemiological study in Japan. Allergy 2020, 75, 441–444. [Google Scholar] [CrossRef]
- Hamada, Y.; Sugano, S.; Kamide, Y.; Sekiya, K.; Fukutomi, Y. Anisakis allergy versus gastric anisakiasis: A case of repeated Anisakis-assosiated symptoms. J. Allergy Clin. Immunol. Glob. 2024, 3, 100207. [Google Scholar] [CrossRef]
- Gonzalez-Munoz, M.; Luque, R.; Nauwelaers, F.; Moneo, I. Detection of Anisakis simplex-induced basophil activation by flow cytometry. Cytom. Part B 2005, 688, 31–36. [Google Scholar] [CrossRef]
- Akiyama, H.; Kurisaka, C.; Kumasaka, K.; Nakamura, R. Novel IgE crosslinking-induced luciferase expression method using human-rat chimeric IgE receptor-carrying mast cells. J. Immunol. Method 2024, 529, 113682. [Google Scholar] [CrossRef]
- Akiyama, H.; Kurisaka, C.; Muramatsu, D.; Takada, S.; Toyama, K.; Yoshioka, K.; Nakamura, R. Consideration of the EXiLE test for predicting anaphylaxis after diclofenac etalhyaluronate administration. J. Immunotox. 2024, 21, 2417758. [Google Scholar] [CrossRef]
- Nakamura, R.; Uchida, Y.; Higuchi, M.; Nakamura, R.; Tsuge, I.; Urisu, A.; Teshima, R. A convenient and sensitive allergy test: IgE crosslinking-induced luciferase expression in cultured mast cells. Allergy 2010, 65, 1266–1273. [Google Scholar] [CrossRef]
- Abe, Z.; Yagi, K. Identification of anisakinae larvae by diasnostic PCR. Seikatsu Eisei 2005, 49, 168–171. [Google Scholar]
- Carballeda-Sangiao, N.; Rodriguez-Mahillo, A.I.; Careche, M.; Navas, A.; Moneo, I.; Gonzalez-Munoz, M. Changes over time in IgE sensitization to allergens of the fish parasite Anisakis spp. PLoS Neglect. Trop. Dis. 2016, 10, e0004864. [Google Scholar] [CrossRef] [PubMed]
- Laemmli, U.K. Cleavage of structural proteins during the assembly of the head of bacteriophage T4. Nature 1970, 227, 680–685. [Google Scholar] [CrossRef] [PubMed]
- Rodriguez, E.; Anadon, A.M.; Garcia-Bodas, E.; Romaris, F.; Iglesias, R.; Garate, T.; Ubeira, F.M. Novel sequences and epitopes of diagnostic value derived from the Anisakis simplex Ani s 7 major allergen. Allergy 2008, 63, 219–225. [Google Scholar] [CrossRef] [PubMed]
- Perez-Perez, J.; Fernandez-Caldas, E.; Maranon, F.; Sastre, J.; Bernal, M.L.; Rodriguez, J.; Bedate, C.A. Molecular cloning of paramyosin, a new allergen of Anisakis simplex. Int. Arch. Allergy Immunol. 2000, 123, 120–129. [Google Scholar] [CrossRef]
- Asturias, J.A.; Eraso, E.; Martinez, A. Cloning and high level expression in Escherichia coli of an Anisakis simplex tropomyosin isoform. Mol. Biochem. Parasitol. 2000, 108, 263–267. [Google Scholar] [CrossRef]
- Tamura, M.; Shimakura, K.; Kobayashi, Y.; Yoshikawa, T.; Hashimoto, T.; Azuma, N.; Matsui, K. Component analysis of three anisakiasis allergy cases in our department—Including comparison with 10 existing reports. J. Soc. Allergol. 2023, 72, 1154–1157. [Google Scholar]
- Upton, J.E.M.; Bird, J.A. Oral food challenges. Ann. Allergy Asthma Imunol. 2020, 124, 451–458. [Google Scholar] [CrossRef]
- Sampson, H.A. Food Allergy. Part 2: Diagnosis and management. J. Allergy Clin. Immunol. 1999, 103, 981–989. [Google Scholar] [CrossRef]
- van Ree, R.; Aalberse, R.C. Specific IgE without clinical allergy. J. Allergy Clin. Immunol. 1999, 103, 1000–1001. [Google Scholar] [CrossRef]
- Alonso, A.; Moreno-Ancillo, A.; Daschner, A.; Lopez-Serrano, M.C. Dietary assessment in five cases of allergic reactions due to gastroallergic anisakiasis. Allergy 1999, 54, 517–520. [Google Scholar] [CrossRef]
- Garcia, F.; Blanco, J.G.; Garces, M.; Juste, S.; Fuentes, M.; Herrero, D. Freezing protects against allergy to Anisakis simplex. J. Investig. Allergol. Clin. Immunol. 2001, 11, 49–52. [Google Scholar] [PubMed]
- Alonso-Gomez, A.; Morreno-Ancillo, A.; Lopez-Serrano, M.C.; Suarez-de-Parga, J.M.; Daschner, A.; Caballero, M.T.; Barranco, P.; Cabanas, R. Anisakis simplex only provokes allergic symptoms when the worm parasitises the gastrointestinal tract. Parasitol. Res. 2004, 93, 378–384. [Google Scholar] [CrossRef] [PubMed]
- Sastre, J.; Lluch-Bernal, M.; Quirce, S.; Arrieta, I.; Lahoz, C.; Del Amo, A.; Fernandez-Caldas, E.; Maranon, F. A double-blind, placebo-controlled oral challenge study with lyophilized larvae and antigen on the fish parasite, Anisakis simplex. Allergy 2000, 55, 560–564. [Google Scholar] [CrossRef] [PubMed]



| Serum Number # | Sex | Age on the Date of Serum Collection | Date of Onset | Date of Serum Collection | Total IgE (IU/mL) | Anisakis IgE * (UA/mL) | CAP-FEIA Class | Remarks |
|---|---|---|---|---|---|---|---|---|
| A-1 | M | 67 | March 2018 | October 2019 | 148 | 8.06 | 3 | |
| A-2 | 67 | October 2020 | 115 | 6.49 | 3 | |||
| B-1 | F | 53 | March 2016 | September 2019 | 137 | 27.6 | 4 | allergy symptoms recurred on March 2020. |
| B-2 | 53 | April 2020 | 329 | 48.1 | 4 | |||
| C-1 | M | 41 | March 2019 | July 2019 | 5040 | 2400 | 6 | |
| C-2 | 41 | Jan. 2020 | 872 | 87.5 | 5 |
| EXiLE Fold by AWP | ||||||||
|---|---|---|---|---|---|---|---|---|
| Serum No. | A-1 | A-2 | B-1 | B-2 | C-1 | C-2 | Normal | |
| AWP (ng/mL) | ||||||||
| 0.05 | 1.41 | 0.84 | 1.10 | 1.08 | 2.04 | 1.13 | 0.94 | |
| 0.22 | 1.14 | 0.98 | 1.13 | 1.18 | 5.10 | 1.46 | 1.15 | |
| 0.78 | 2.14 | 1.02 | 1.00 | 1.39 | 16.39 | 3.72 | 1.03 | |
| 2.72 | 2.10 | 1.17 | 1.55 | 2.02 | 57.73 | 12.76 | 0.72 | |
| 9.52 | 1.59 | 1.09 | 1.72 | 4.87 | 150.59 | 43.26 | 1.13 | |
| 33.3 | 1.98 | 1.78 | 1.80 | 12.21 | 304.23 | 100.30 | 1.10 | |
| 117 | 2.47 | 1.62 | 3.31 | 28.10 | 390.67 | 144.50 | 1.21 | |
| 408 | 3.26 | 2.22 | 5.14 | 54.83 | 426.67 | 173.91 | 1.25 | |
| 1429 | 2.93 | 1.88 | 7.87 | 65.18 | 435.44 | 190.95 | 1.42 | |
| 5000 | 3.44 | 2.22 | 12.93 | 72.99 | 423.67 | 192.86 | 1.81 | |
| Max EXiLE ** (fold) | 3.44 | 2.22 | 12.93 | 72.99 | 435.44 | 192.86 | 1.81 | |
| EXiLE score * | 1 | 0 | 2 | 3 | 4 | 4 | 0 | |
| Anti-IgE EXiLE (fold) | 22.30 | 25.34 | 20.54 | 52.23 | 88.56 | 84.77 | 16.16 | |
| Category | Method | Principle | Possible Application to Anisakis Allergy | Detection of Biological Activity |
|---|---|---|---|---|
| in vivo | Challenge test [27] (oral food challenge) | Direct challenge of allergen under the supervision of a physician | difficult * | (-) |
| Skin prick test [28] (SPT) | Introduction of a tiny amount of allergen into the skin | limited ** | + | |
| ex vivo | Basophile activation test (BAT) [28] | Activation of basophils collected from peripheral blood | limited *** | + |
| in vitro | CAP-FEIA [28,29] (ImmunoCAP) | Detection of allergen-binding IgE in the serum with second antibody | possible (commercially available) | − |
Disclaimer/Publisher’s Note: The statements, opinions and data contained in all publications are solely those of the individual author(s) and contributor(s) and not of MDPI and/or the editor(s). MDPI and/or the editor(s) disclaim responsibility for any injury to people or property resulting from any ideas, methods, instructions or products referred to in the content. |
© 2025 by the authors. Licensee MDPI, Basel, Switzerland. This article is an open access article distributed under the terms and conditions of the Creative Commons Attribution (CC BY) license (https://creativecommons.org/licenses/by/4.0/).
Share and Cite
Akiyama, H.; Niwa, M.; Kurisaka, C.; Hamada, Y.; Fukutomi, Y.; Teshima, R. IgE-Crosslinking-Induced Luciferase Expression Test as a Sensitive Indicator of Anisakis Allergy. Antibodies 2025, 14, 19. https://doi.org/10.3390/antib14010019
Akiyama H, Niwa M, Kurisaka C, Hamada Y, Fukutomi Y, Teshima R. IgE-Crosslinking-Induced Luciferase Expression Test as a Sensitive Indicator of Anisakis Allergy. Antibodies. 2025; 14(1):19. https://doi.org/10.3390/antib14010019
Chicago/Turabian StyleAkiyama, Haruyo, Masashi Niwa, Chisato Kurisaka, Yuto Hamada, Yuma Fukutomi, and Reiko Teshima. 2025. "IgE-Crosslinking-Induced Luciferase Expression Test as a Sensitive Indicator of Anisakis Allergy" Antibodies 14, no. 1: 19. https://doi.org/10.3390/antib14010019
APA StyleAkiyama, H., Niwa, M., Kurisaka, C., Hamada, Y., Fukutomi, Y., & Teshima, R. (2025). IgE-Crosslinking-Induced Luciferase Expression Test as a Sensitive Indicator of Anisakis Allergy. Antibodies, 14(1), 19. https://doi.org/10.3390/antib14010019

