Expanding the Genetic Spectrum in IMPG1 and IMPG2 Retinopathy
Abstract
1. Introduction
2. Materials and Methods
2.1. Patient Recruitment
2.2. Clinical Data
2.3. Molecular Genetics Analysis
3. Results
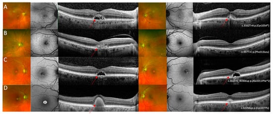
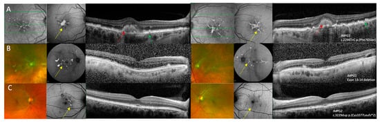
3.1. Clinical Characteristics and Phenotype
3.2. Genetic Analysis
3.3. Genotype–Phenotype Correlation
4. Discussion
5. Conclusions
Supplementary Materials
Author Contributions
Funding
Institutional Review Board Statement
Informed Consent Statement
Data Availability Statement
Acknowledgments
Conflicts of Interest
Abbreviations
| AVMD | Adult vitelliform macular dystrophy |
| AF | Autofluorescence |
| BCVA | Best corrected visual acuities |
| EZ | Ellipsoid zone |
| FAF | Fundus autofluorescence |
| IMPG | Interphotoreceptor matrix proteoglycan |
| IPM | Interphotoreceptor matrix |
| IRD | Inherited retinal disease |
| OCT | Optical coherence tomography |
| NGS | Next-generation sequencing |
| OD | Right eye |
| OS | Left eye |
| PD | Pattern dystrophy |
| RP | Retinitis pigmentosa |
| RPE | Retinal pigment epithelium |
| SPACR | Sialoprotein associated with cones and rods |
| SPACRCAN | Sialoprotein associated with cones and rods proteoglycans |
| SQSTM1 | Sequestosome 1 |
| VUS | Variant of unknown significance |
References
- Broadgate, S.; Yu, J.; Downes, S.M.; Halford, S. Unravelling the genetics of inherited retinal dystrophies: Past, present and future. Prog. Retin. Eye Res. 2017, 59, 53–96. [Google Scholar] [CrossRef]
- Liew, G.; Michaelides, M.; Bunce, C. A comparison of the causes of blindness certifications in England and Wales in working age adults (16–64 years), 1999–2000 with 2009–2010. BMJ Open 2014, 4, e004015. [Google Scholar] [CrossRef] [PubMed]
- Heath Jeffery, R.C.; Mukhtar, S.A.; McAllister, I.L.; Morgan, W.H.; Mackey, D.A.; Chen, F.K. Inherited retinal diseases are the most common cause of blindness in the working-age population in Australia. Ophthalmic Genet. 2021, 42, 431–439. [Google Scholar] [CrossRef]
- García Bohórquez, B.; Aller, E.; Rodríguez Muñoz, A.; Jaijo, T.; García García, G.; Millán, J.M. Updating the Genetic Landscape of Inherited Retinal Dystrophies. Front. Cell Dev. Biol. 2021, 9, 645600. [Google Scholar] [CrossRef]
- van Huet, R.A.; Collin, R.W.; Siemiatkowska, A.M.; Klaver, C.C.; Hoyng, C.B.; Simonelli, F.; Khan, M.I.; Qamar, R.; Banin, E.; Cremers, F.P.; et al. IMPG2-associated retinitis pigmentosa displays relatively early macular involvement. Invest. Ophthalmol. Vis. Sci. 2014, 55, 3939–3953. [Google Scholar] [CrossRef]
- Meunier, I.; Manes, G.; Bocquet, B.; Marquette, V.; Baudoin, C.; Puech, B.; Defoort-Dhellemmes, S.; Audo, I.; Verdet, R.; Arndt, C.; et al. Frequency and clinical pattern of vitelliform macular dystrophy caused by mutations of interphotoreceptor matrix IMPG1 and IMPG2 genes. Ophthalmology 2014, 121, 2406–2414. [Google Scholar] [CrossRef]
- Birtel, J.; Caswell, R.; De Silva, S.R.; Herrmann, P.; Rehman, S.; Lotery, A.J.; Mahroo, O.A.; Michaelides, M.; Webster, A.R.; MacLaren, R.E.; et al. IMPG2-Related Maculopathy. Am. J. Ophthalmol. 2024, 258, 32–42. [Google Scholar] [CrossRef]
- Brandl, C.; Schulz, H.L.; Charbel Issa, P.; Birtel, J.; Bergholz, R.; Lange, C.; Dahlke, C.; Zobor, D.; Weber, B.H.F.; Stöhr, H. Mutations in the Genes for Interphotoreceptor Matrix Proteoglycans, IMPG1 and IMPG2, in Patients with Vitelliform Macular Lesions. Genes 2017, 8, 170. [Google Scholar] [CrossRef] [PubMed]
- Lee, J.W.; Chen, Q.; Rayborn, M.E.; Shadrach, K.G.; Crabb, J.W.; Rodriguez, I.R.; Hollyfield, J.G. SPACR in the interphotoreceptor matrix of the mouse retina: Molecular, biochemical and immunohistochemical characterization. Exp. Eye Res. 2000, 71, 341–352. [Google Scholar] [CrossRef]
- Kuehn, M.H.; Hageman, G.S. Expression and characterization of the IPM 150 gene (IMPG1) product, a novel human photoreceptor cell-associated chondroitin-sulfate proteoglycan. Matrix Biol. 1999, 18, 509–518. [Google Scholar] [CrossRef] [PubMed]
- Kuehn, M.H.; Hageman, G.S. Molecular characterization and genomic mapping of human IPM 200, a second member of a novel family of proteoglycans. Mol. Cell Biol. Res. Commun. 1999, 2, 103–110. [Google Scholar] [CrossRef]
- Acharya, S.; Foletta, V.C.; Lee, J.W.; Rayborn, M.E.; Rodriguez, I.R.; Young, W.S., 3rd; Hollyfield, J.G. SPACRCAN, a novel human interphotoreceptor matrix hyaluronan-binding proteoglycan synthesized by photoreceptors and pinealocytes. J. Biol. Chem. 2000, 275, 6945–6955. [Google Scholar] [CrossRef]
- Chen, Q.; Lee, J.W.; Nishiyama, K.; Shadrach, K.G.; Rayborn, M.E.; Hollyfield, J.G. SPACRCAN in the interphotoreceptor matrix of the mouse retina: Molecular, developmental and promoter analysis. Exp. Eye Res. 2003, 76, 1–14. [Google Scholar] [CrossRef]
- Salido, E.M.; Ramamurthy, V. Proteoglycan IMPG2 Shapes the Interphotoreceptor Matrix and Modulates Vision. J. Neurosci. 2020, 40, 4059–4072. [Google Scholar] [CrossRef]
- Adler, A.J.; Klucznik, K.M. Proteins and glycoproteins of the bovine interphotoreceptor matrix: Composition and fractionation. Exp. Eye Res. 1982, 34, 423–434. [Google Scholar] [CrossRef] [PubMed]
- Hageman, G.; Johnson, L. Progress in Retinal Research; Elsevier: Oxford, UK, 1991. [Google Scholar]
- Ishikawa, M.; Sawada, Y.; Yoshitomi, T. Structure and function of the interphotoreceptor matrix surrounding retinal photoreceptor cells. Exp. Eye Res. 2015, 133, 3–18. [Google Scholar] [CrossRef] [PubMed]
- Inatani, M.; Tanihara, H. Proteoglycans in retina. Prog. Retin. Eye Res. 2002, 21, 429–447. [Google Scholar] [CrossRef]
- Garlipp, M.A.; Nowak, K.R.; Gonzalez-Fernandez, F. Cone outer segment extracellular matrix as binding domain for interphotoreceptor retinoid-binding protein. J. Comp. Neurol. 2012, 520, 756–769. [Google Scholar] [CrossRef]
- Felemban, M.; Dorgau, B.; Hunt, N.C.; Hallam, D.; Zerti, D.; Bauer, R.; Ding, Y.; Collin, J.; Steel, D.; Krasnogor, N.; et al. Extracellular matrix component expression in human pluripotent stem cell-derived retinal organoids recapitulates retinogenesis in vivo and reveals an important role for IMPG1 and CD44 in the development of photoreceptors and interphotoreceptor matrix. Acta Biomater. 2018, 74, 207–221. [Google Scholar] [CrossRef]
- Hollyfield, J.G. Hyaluronan and the functional organization of the interphotoreceptor matrix. Invest. Ophthalmol. Vis. Sci. 1999, 40, 2767–2769. [Google Scholar] [PubMed]
- Chen, Q.; Cai, S.; Shadrach, K.G.; Prestwich, G.D.; Hollyfield, J.G. Spacrcan binding to hyaluronan and other glycosaminoglycans. Molecular and biochemical studies. J. Biol. Chem. 2004, 279, 23142–23150. [Google Scholar] [CrossRef]
- Mitchell, B.; Coulter, C.; Geldenhuys, W.J.; Rhodes, S.; Salido, E.M. Interphotoreceptor matrix proteoglycans IMPG1 and IMPG2 proteolyze in the SEA domain and reveal localization mutual dependency. Sci. Rep. 2022, 12, 15535. [Google Scholar] [CrossRef] [PubMed]
- Manes, G.; Meunier, I.; Avila-Fernández, A.; Banfi, S.; Le Meur, G.; Zanlonghi, X.; Corton, M.; Simonelli, F.; Brabet, P.; Labesse, G.; et al. Mutations in IMPG1 cause vitelliform macular dystrophies. Am. J. Hum. Genet. 2013, 93, 571–578. [Google Scholar] [CrossRef] [PubMed]
- Yuan, M.; Chatterjee, S.; Leys, M.; Odom, J.V.; Salido, E.M. Prevalence of IMPG1 and IMPG2 Mutations Leading to Retinitis Pigmentosa or Vitelliform Macular Dystrophy in a Cohort of Patients with Inherited Retinal Dystrophies. Genes 2025, 16, 43. [Google Scholar] [CrossRef]
- Olivier, G.; Corton, M.; Intartaglia, D.; Verbakel, S.K.; Sergouniotis, P.I.; Le Meur, G.; Dhaenens, C.-M.; Naacke, H.; Avila-Fernández, A.; Hoyng, C.B.; et al. Pathogenic variants in IMPG1 cause autosomal dominant and autosomal recessive retinitis pigmentosa. J. Med. Genet. 2021, 58, 570. [Google Scholar] [CrossRef]
- Khan, A.O.; Al Teneiji, A.M. Homozygous and heterozygous retinal phenotypes in families harbouring IMPG2 mutations. Ophthalmic Genet. 2019, 40, 247–251. [Google Scholar] [CrossRef]
- Vázquez-Domínguez, I.; Li, C.H.Z.; Fadaie, Z.; Haer-Wigman, L.; Cremers, F.P.M.; Garanto, A.; Hoyng, C.B.; Roosing, S. Identification of a Complex Allele in IMPG2 as a Cause of Adult-Onset Vitelliform Macular Dystrophy. Invest. Ophthalmol. Vis. Sci. 2022, 63, 27. [Google Scholar] [CrossRef] [PubMed]
- Holladay, J.T. Visual acuity measurements. J. Cataract. Refract. Surg. 2004, 30, 287–290. [Google Scholar] [CrossRef]
- Shah, M.; Shanks, M.; Packham, E.; Williams, J.; Haysmoore, J.; MacLaren, R.E.; Németh, A.H.; Clouston, P.; Downes, S.M. Next generation sequencing using phenotype-based panels for genetic testing in inherited retinal diseases. Ophthalmic Genet. 2020, 41, 331–337. [Google Scholar] [CrossRef]
- Kircher, M.; Witten, D.M.; Jain, P.; O’Roak, B.J.; Cooper, G.M.; Shendure, J. A general framework for estimating the relative pathogenicity of human genetic variants. Nat. Genet. 2014, 46, 310–315. [Google Scholar] [CrossRef]
- Cheng, J.; Novati, G.; Pan, J.; Bycroft, C.; Žemgulytė, A.; Applebaum, T.; Pritzel, A.; Wong, L.H.; Zielinski, M.; Sargeant, T.; et al. Accurate proteome-wide missense variant effect prediction with AlphaMissense. Science 2023, 381, eadg7492. [Google Scholar] [CrossRef]
- Jaganathan, K.; Kyriazopoulou Panagiotopoulou, S.; McRae, J.F.; Darbandi, S.F.; Knowles, D.; Li, Y.I.; Kosmicki, J.A.; Arbelaez, J.; Cui, W.; Schwartz, G.B.; et al. Predicting Splicing from Primary Sequence with Deep Learning. Cell 2019, 176, 535–548.e524. [Google Scholar] [CrossRef]
- de Sainte Agathe, J.-M.; Filser, M.; Isidor, B.; Besnard, T.; Gueguen, P.; Perrin, A.; Van Goethem, C.; Verebi, C.; Masingue, M.; Rendu, J.; et al. SpliceAI-visual: A free online tool to improve SpliceAI splicing variant interpretation. Hum. Genom. 2023, 17, 7. [Google Scholar] [CrossRef]
- Georgiou, M.; Chauhan, M.Z.; Michaelides, M.; Uwaydat, S.H. IMPG2-associated unilateral adult onset vitelliform macular dystrophy. Am. J. Ophthalmol. Case Rep. 2022, 28, 101699. [Google Scholar] [CrossRef]
- Shah, S.M.; Schimmenti, L.A.; Marmorstein, A.D.; Bakri, S.J. ADULT-ONSET VITELLIFORM MACULAR DYSTROPHY SECONDARY TO A NOVEL IMPG2 GENE VARIANT. Retin. Cases Brief. Rep. 2021, 15, 356–358. [Google Scholar] [CrossRef] [PubMed]
- Shah, M.; Broadgate, S.; Shanks, M.; Clouston, P.; Yu, J.; MacLaren, R.E.; Németh, A.H.; Halford, S.; Downes, S.M. Association of Clinical and Genetic Heterogeneity with BEST1 Sequence Variations. JAMA Ophthalmol. 2020, 138, 544–551. [Google Scholar] [CrossRef]
- Feenstra, H.M.A.; van Dijk, E.H.C.; Cheung, C.M.G.; Ohno-Matsui, K.; Lai, T.Y.Y.; Koizumi, H.; Larsen, M.; Querques, G.; Downes, S.M.; Yzer, S.; et al. Central serous chorioretinopathy: An evidence-based treatment guideline. Prog. Retin. Eye Res. 2024, 101, 101236. [Google Scholar] [CrossRef] [PubMed]
- van Dijk, E.H.C.; Boon, C.J.F. Serous business: Delineating the broad spectrum of diseases with subretinal fluid in the macula. Prog. Retin. Eye Res. 2021, 84, 100955. [Google Scholar] [CrossRef] [PubMed]
- Olivier, G.; Brabet, P.; Pirot, N.; Broyon, M.; Guillou, L.; Cazevieille, C.; Sar, C.; Quiles, M.; Sarzi, E.; Pequignot, M.; et al. SPACR Encoded by IMPG1 Is Essential for Photoreceptor Survival by Interplaying between the Interphotoreceptor Matrix and the Retinal Pigment Epithelium. Genes 2022, 13, 1508. [Google Scholar] [CrossRef]
- Xu, H.; Qu, C.; Gan, L.; Sun, K.; Tan, J.; Liu, X.; Jiang, Z.; Tian, W.; Liu, W.; Zhang, S.; et al. Deletion of the Impg2 gene causes the degeneration of rod and cone cells in mice. Hum. Mol. Genet. 2020, 29, 1624–1634. [Google Scholar] [CrossRef]
- Williams, B.N.; Draper, A.; Lang, P.F.; Lewis, T.R.; Smith, A.L.; Mayerl, S.J.; Rougié, M.; Simon, J.M.; Arshavsky, V.Y.; Greenwald, S.H.; et al. Heterogeneity in the progression of retinal pathologies in mice harboring patient mimicking Impg2 mutations. Hum. Mol. Genet. 2024, 33, 448–464. [Google Scholar] [CrossRef] [PubMed]
- Mayerl, S.J.; Bajgai, S.; Ludwig, A.L.; Jager, L.D.; Williams, B.N.; Bacig, C.; Stoddard, C.; Sinha, D.; Philpot, B.D.; Gamm, D.M. Human retinal organoids harboring IMPG2 mutations exhibit a photoreceptor outer segment phenotype that models advanced retinitis pigmentosa. Stem Cell Rep. 2022, 17, 2409–2420. [Google Scholar] [CrossRef] [PubMed]






| Patient | Variant 1 | Protein Effect | Variant 2 | Protein Effect | Other Variants | Phenotype |
|---|---|---|---|---|---|---|
| IMPG1 | ||||||
| P1 | c.2294T>C | p.(Phe765Ser) | - | - | - | PD |
| P2 | exon 13 and 14 deletion | - | - | - | - | PD |
| IMPG2 | ||||||
| P3 | c.3229dupT | p.(Cys1077Leufs*2) | - | - | - | PD |
| P4 | c.3162T>A | p.(Cys1054*) | - | - | - | AVMD |
| P5 | 937T>C | p.(Phe313Leu) | - | - | FSCN2 c.49G>A p.(Val17IIe) | AVMD |
| P6 | c.3023-6_3030dup | p.(Ala1011Phefs*2) | - | - | - | AVMD |
| P7 | c.3229dup | p.(Cys1077Leufs*2) | - | - | - | AVMD |
| P8 | c.2730delG | p.(Met910fs) | c.2730delG | p.(Met910fs) | - | RP |
| P9 | c.3023-6_3030dup | p.(Ala1011Phefs*2) | c.3023-6_3030dup | p.(Ala1011fs) | GRM6 c.19G>A p.(Ala7Thr) PDE6C c.1379C>T p.(Thr460Iie) RP1 c.5624G>C p.(Gly1875Ala) | RP |
| P10 | c.3413_3420delinsAATA | p.(Ser1138fs) | C.3193G>A | p.(Gly1065Arg) | ABCA4 c.1928T>G p.(Val643Gly) | RP |
| P11 | c.411G>A | p.(Trp137*) | c.871C>A | p.(Arg291Ser) | - | RP |
| P12 | c.3023-6_3030dup | p.(Ala1011Phefs*2) | c.3023-6_3030dup | p.(Ala1011Phefs*2) | - | RP |
| P13 | c.963delC | p.(Thr322fs) | c.391C>T | p.(Arg131Cys) | - | RP |
| Patient Name | Sex | Allelic Status | Age of Onset | Symptoms | Family History | Baseline BCVA | Age | BCVA at Last Follow Up | Age | Phenotype | ||
|---|---|---|---|---|---|---|---|---|---|---|---|---|
| P1 | F | Monoallelic | NR | NR | NR | 0.42 | 0.52 | 81 | N/A | N/A | N/A | PD/AVMD |
| P2 | M | Monoallelic | NR | Asymptomatic | Sporadic | −0.10 | −0.10 | 72 | 0.18 | 0.18 | 86 | PD |
| P3 | F | Monoallelic | 40 | Asymptomatic | Sporadic | 0.00 | 0.00 | 40 | 0.00 | 0.00 | 55 | PD |
| P4 | M | Monoallelic | 61 | Central scotoma, delayed dark adaptation, photosensitivity | Sporadic | 0.30 | 0.00 | 61 | 0.90 | 0.60 | 80 | AVMD |
| P5 | F | Monoallelic | 69 | Asymptomatic → blurred vision | AD (father had poor central vision) | 0.26 | −0.14 | 70 | 0.40 | 0.80 | 78 | AVMD |
| P6 | M | Monoallelic | 56 | Asymptomatic | N/A | 0.10 | 0.18 | 57 | N/A | N/A | N/A | AVMD |
| P7 | M | Biallelic | 45 | Asymptomatic | Sporadic | 0.10 | −0.10 | 46 | N/A | N/A | N/A | AVMD |
| P8 | F | Biallelic | NR | Not recorded | Brother | POL | HM | 78 | N/A | N/A | N/A | RP |
| P9 | M | Biallelic | 4 | Not recorded | Paternal grandmother | HM | HM | 69 | POL | HM | 75 | RP |
| P10 | F | Biallelic | 10 | Nyctalopia, blurred central vision | N/A | 1.48 | 0.95 | 48 | POL | 1.18 | 56 | RP |
| P11 | M | Biallelic | 13 | Constricted peripheral fields and nyctalopia | Sporadic | 0.78 | 0.78 | 63 | 0.78 | HM | 71 | RP |
| P12 | M | Biallelic | 20 | Nyctalopia, constricted visual fields, and blurred central vision (later) | AR; sister, and nephew | NPL | NPL | 83 | NPL | NPL | 84 | RP |
| P13 | M | Biallelic | 45 | Photosensitivity, photopsia, blurred central vision, and nyctalopia | Early onset visual loss paternal uncle | 0.30 | 0.20 | 71 | N/A | N/A | N/A | RP |
| Variant | Amino Acid | Mutation Type | GnomAD | Mutation Taster | Polyphen-2 | SIFT | Alphamisse Class | CADD Score | SpliceAI Score | Novel | ACMG Class |
|---|---|---|---|---|---|---|---|---|---|---|---|
| IMPG1 | |||||||||||
| c.2294T>C | p.(Phe765Ser) | Missense | NR | Polymorphism | Benign | Not tolerated | Likely benign | 16.6 | 0.01 | Y | 3 |
| exon 13 and 14 deletion | SV | - | - | - | - | - | - | - | 5 | ||
| IMPG2 | |||||||||||
| c.391C>T | p.(Arg131Cys) | Missense | 3.89 × 10−5 | Disease causing | Possibly damaging | Not tolerated | Likely benign | 25.4 | 0.10 | N | 3 |
| c.411G>A | p.(Trp137*) | Nonsense | 1.19 × 10−5 | Disease causing | - | - | 39 | 0.16 | N | 5 | |
| c.871C>A | p.(Arg291Ser) | Missense | NR | Polymorphism | Benign | Tolerated | Likely benign | 19.8 | 0.64 | Y | 3 |
| c.937T>C | p.(Phe313Leu) | Missense | NR | Disease causing | Probably damaging | Not tolerated | Likely pathogenic | 22.4 | 0.00 | Y | 3 |
| c.963delC | p.(Thr322fs) | Frameshift | NR | Disease causing | - | - | - | 0.00 | Y | 5 | |
| c.2730delG | p.(Met910fs) | Frameshift | 3.99 × 10−6 | Disease causing | - | - | - | 0.23 | Y | 5 | |
| c.3023-6_3030dup | p.(Ala1011Phefs*2) | Frameshift | 1.78 × 10−5 | - | - | - | - | 0.95 | N | 5 | |
| c.3162T>A | p.(Cys1054*) | Nonsense | NR | Disease causing | - | - | - | 36 | 0.00 | Y | 5 |
| c.3193G>A | p.(Gly1065Arg) | Missense | 3.98 × 10−6 | Disease causing | Probably damaging | Not tolerated | Likely pathogenic | 32 | 0.09 | N | 3 |
| c.3229dupT | p.(Cys1077Leufs*2) | Frameshift | 1.06 × 10−5 | Disease causing | - | - | - | 0.01 | N | 5 | |
| c.3413_3420delinsAATA | p.(Ser1138fs) | Frameshift | NR | Disease causing | - | - | - | 0.03 | N | 5 | |
Disclaimer/Publisher’s Note: The statements, opinions and data contained in all publications are solely those of the individual author(s) and contributor(s) and not of MDPI and/or the editor(s). MDPI and/or the editor(s) disclaim responsibility for any injury to people or property resulting from any ideas, methods, instructions or products referred to in the content. |
© 2025 by the authors. Licensee MDPI, Basel, Switzerland. This article is an open access article distributed under the terms and conditions of the Creative Commons Attribution (CC BY) license (https://creativecommons.org/licenses/by/4.0/).
Share and Cite
Al-Khuzaei, S.; Shalaby, A.K.; Yu, J.; Shanks, M.; Clouston, P.; MacLaren, R.E.; Halford, S.; De Silva, S.R.; Downes, S.M. Expanding the Genetic Spectrum in IMPG1 and IMPG2 Retinopathy. Genes 2025, 16, 1474. https://doi.org/10.3390/genes16121474
Al-Khuzaei S, Shalaby AK, Yu J, Shanks M, Clouston P, MacLaren RE, Halford S, De Silva SR, Downes SM. Expanding the Genetic Spectrum in IMPG1 and IMPG2 Retinopathy. Genes. 2025; 16(12):1474. https://doi.org/10.3390/genes16121474
Chicago/Turabian StyleAl-Khuzaei, Saoud, Ahmed K. Shalaby, Jing Yu, Morag Shanks, Penny Clouston, Robert E. MacLaren, Stephanie Halford, Samantha R. De Silva, and Susan M. Downes. 2025. "Expanding the Genetic Spectrum in IMPG1 and IMPG2 Retinopathy" Genes 16, no. 12: 1474. https://doi.org/10.3390/genes16121474
APA StyleAl-Khuzaei, S., Shalaby, A. K., Yu, J., Shanks, M., Clouston, P., MacLaren, R. E., Halford, S., De Silva, S. R., & Downes, S. M. (2025). Expanding the Genetic Spectrum in IMPG1 and IMPG2 Retinopathy. Genes, 16(12), 1474. https://doi.org/10.3390/genes16121474

