LRP5, Bone Mass Polymorphisms and Skeletal Disorders
Abstract
1. Introduction
2. The Structure and Function of LRP5
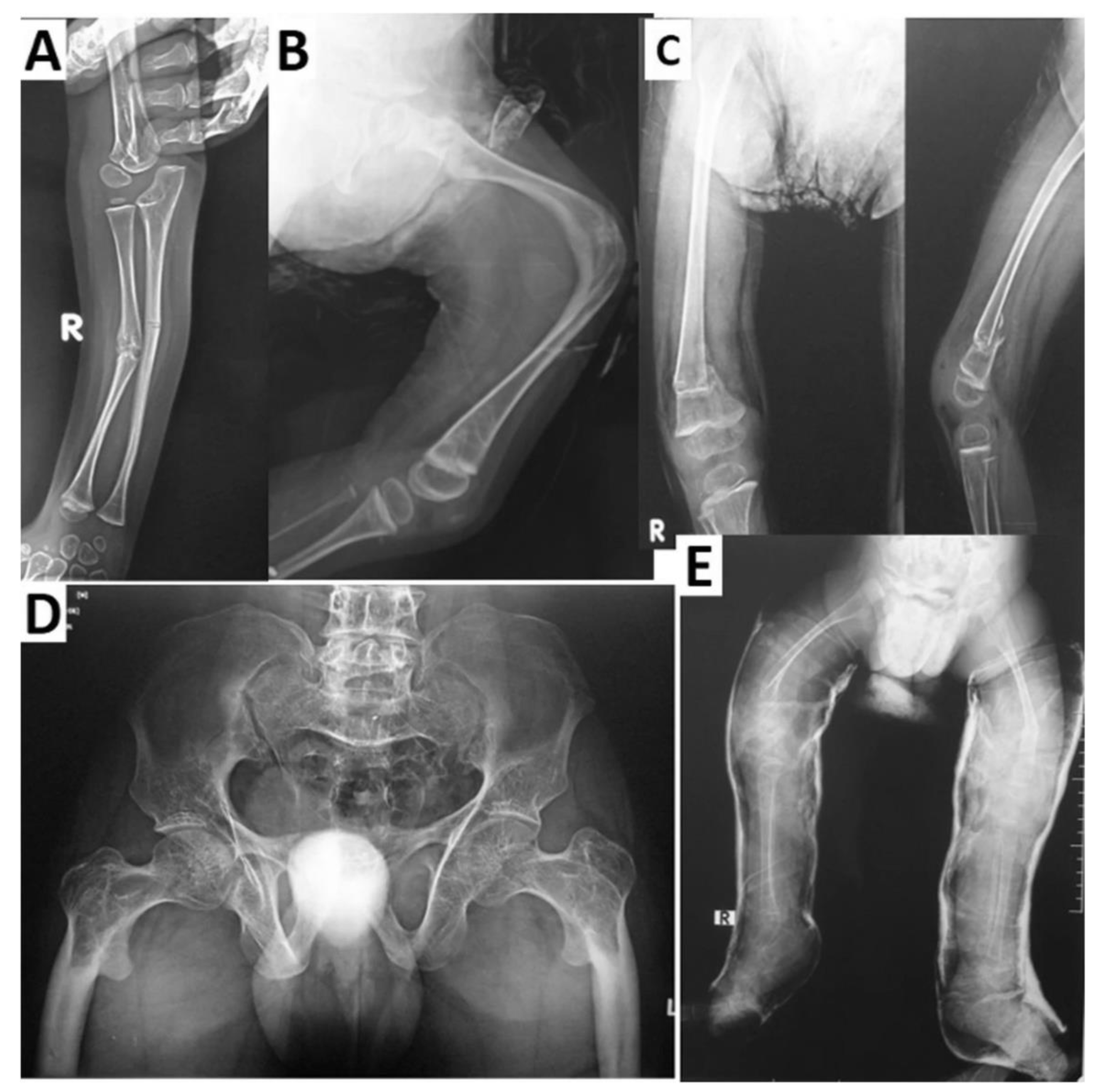
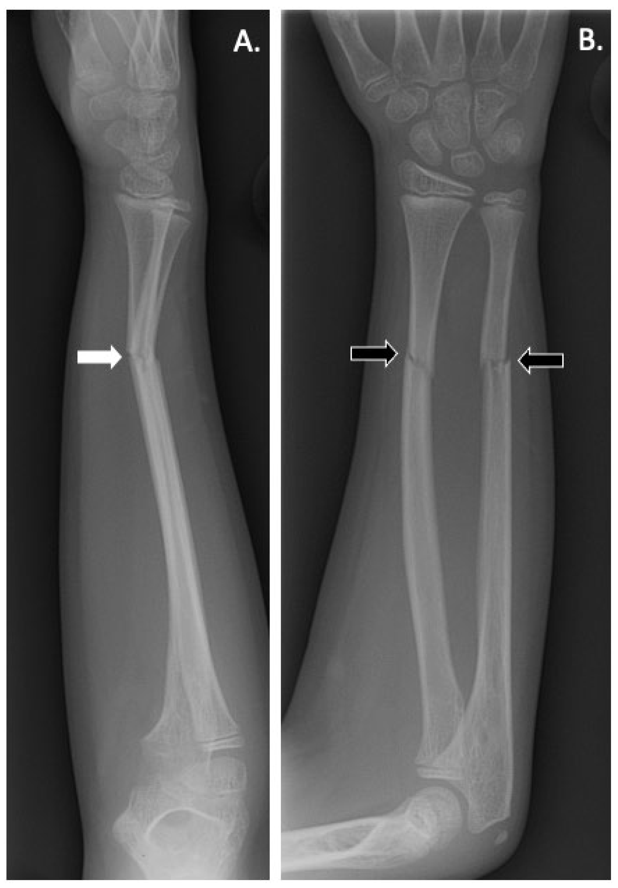
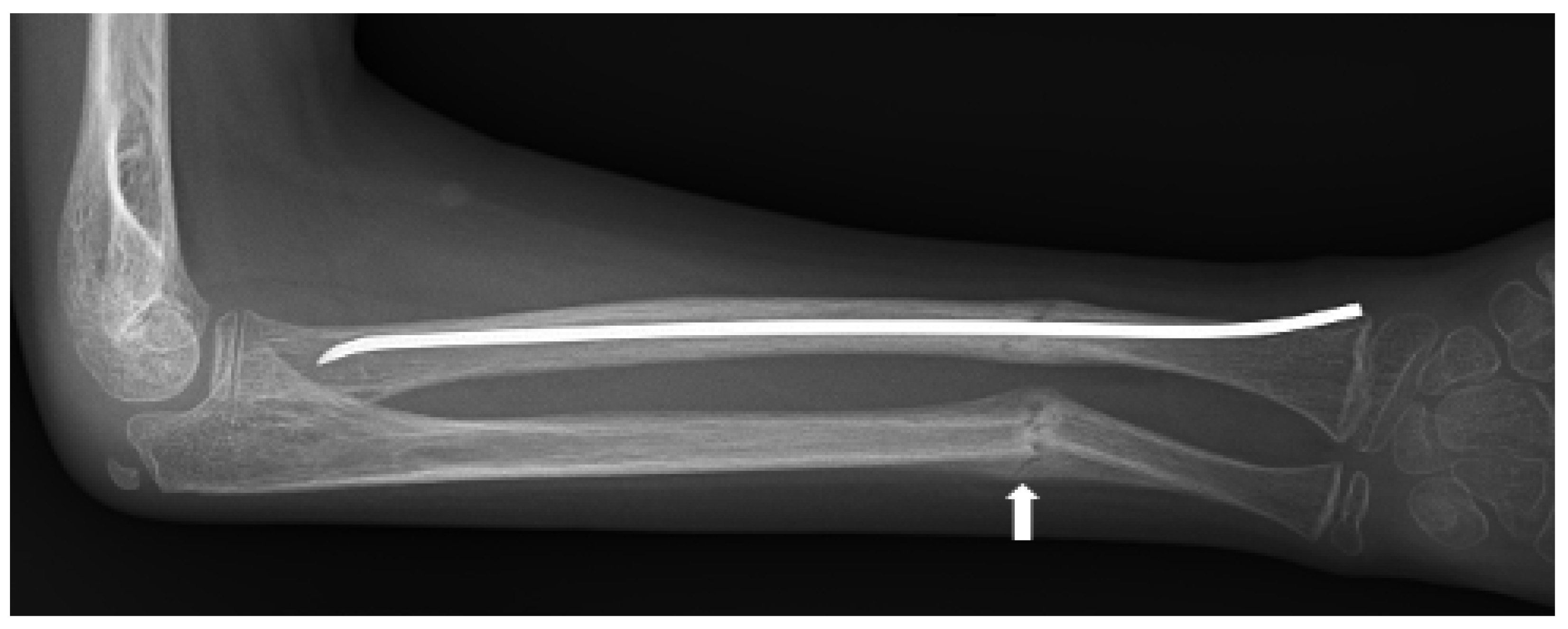
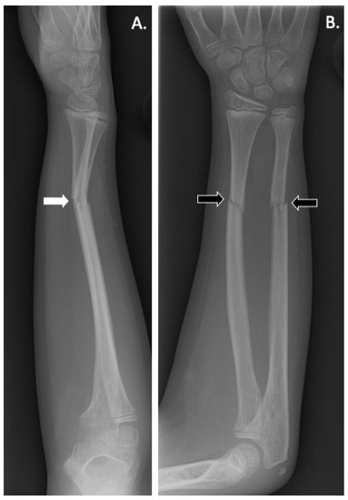
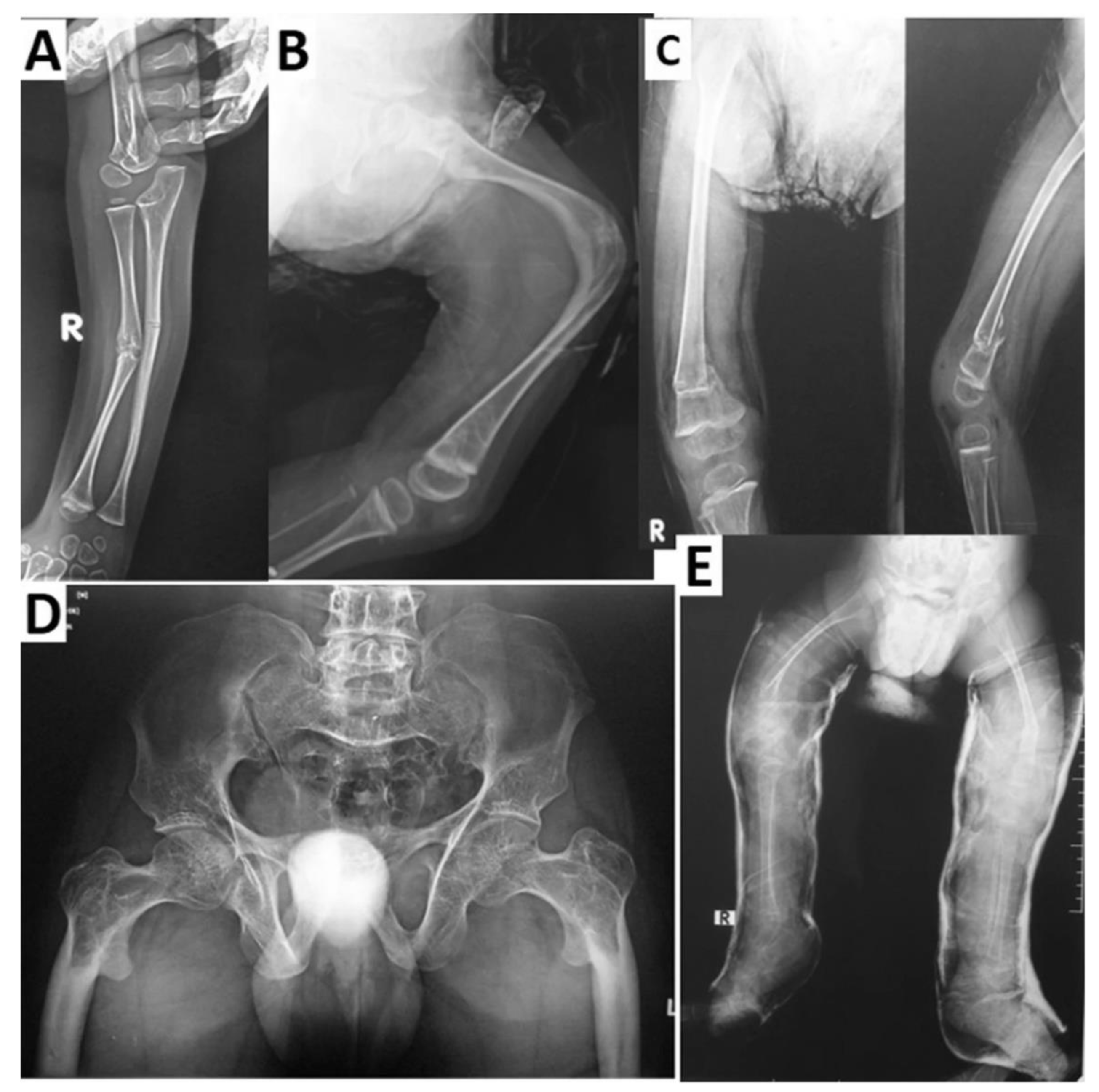
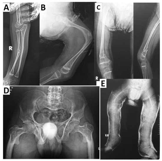
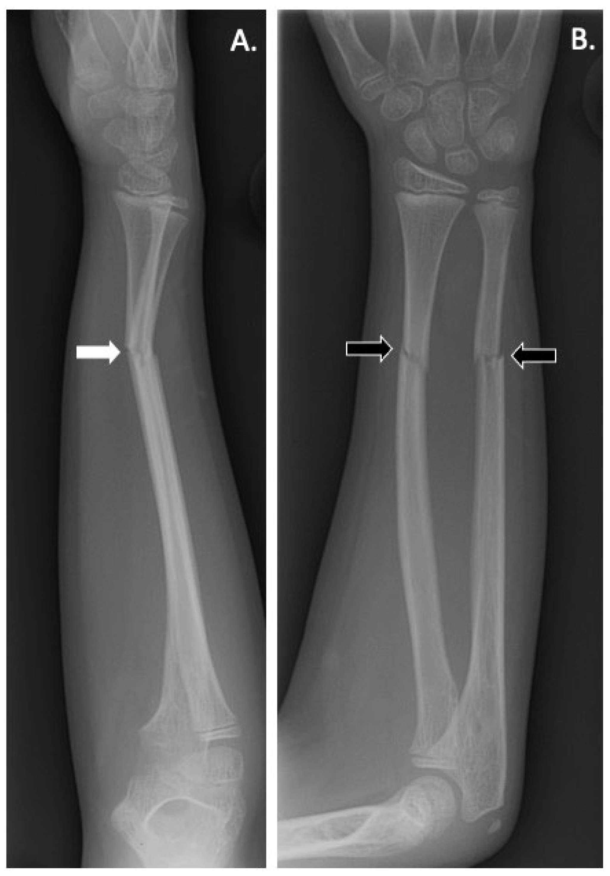
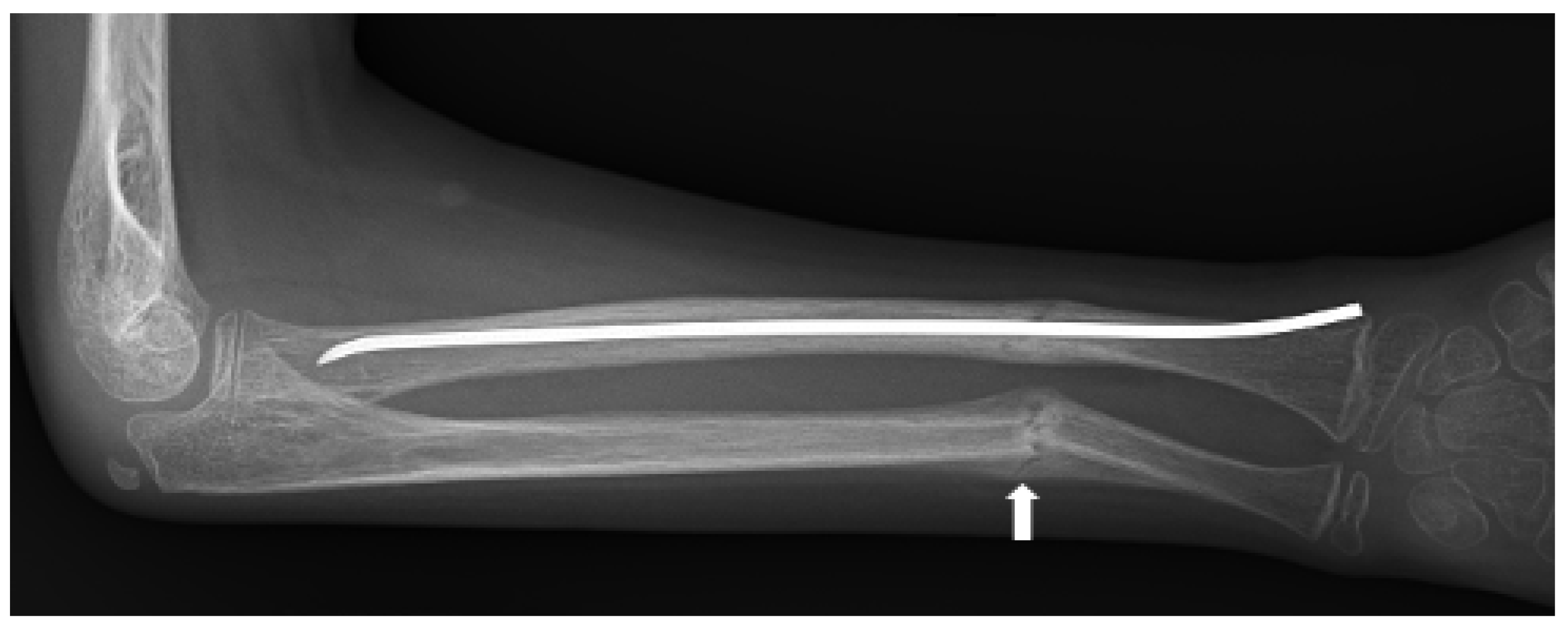
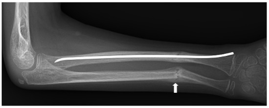
3. Low Bone Mass Phenotypes Related to LRP5
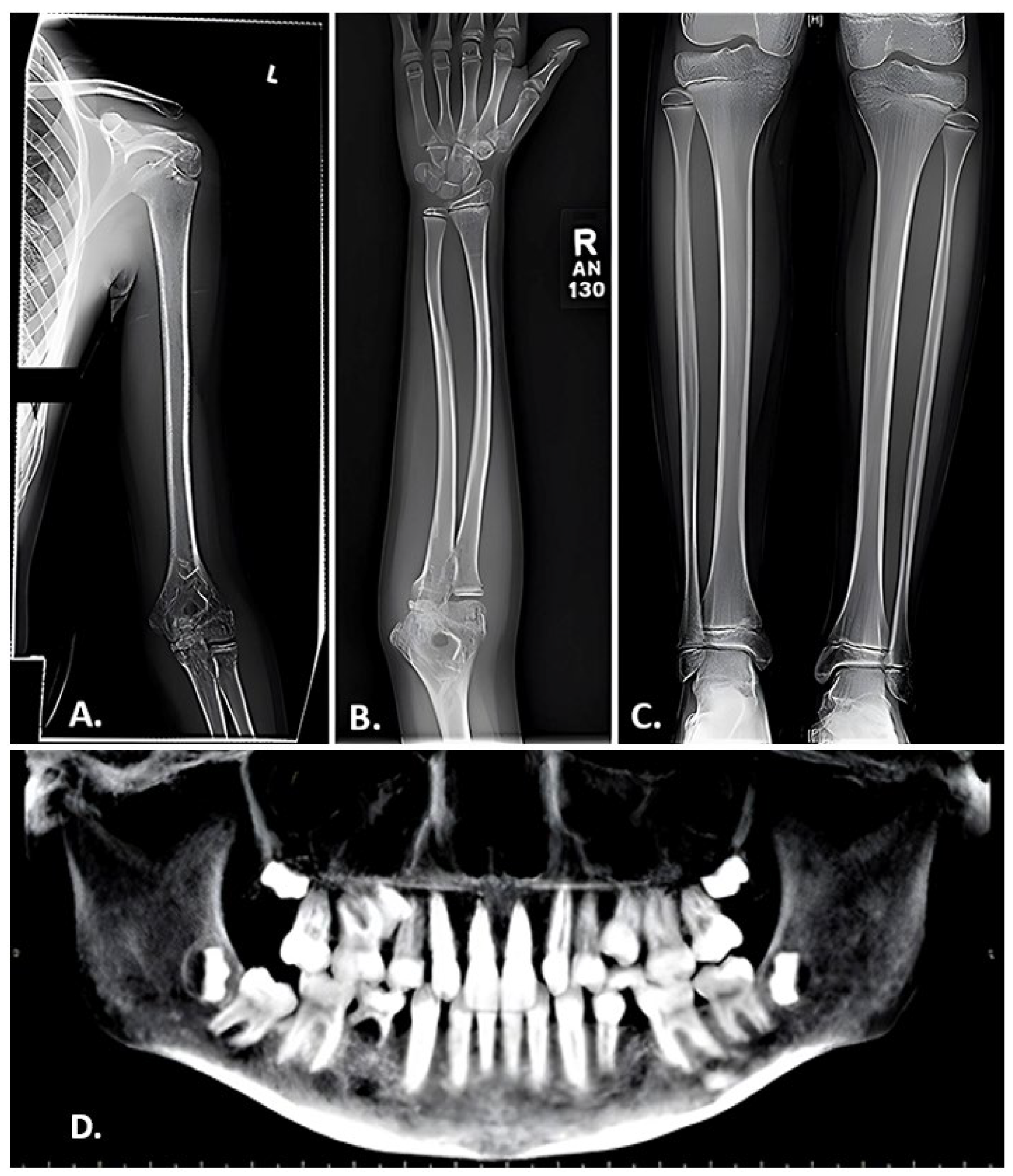
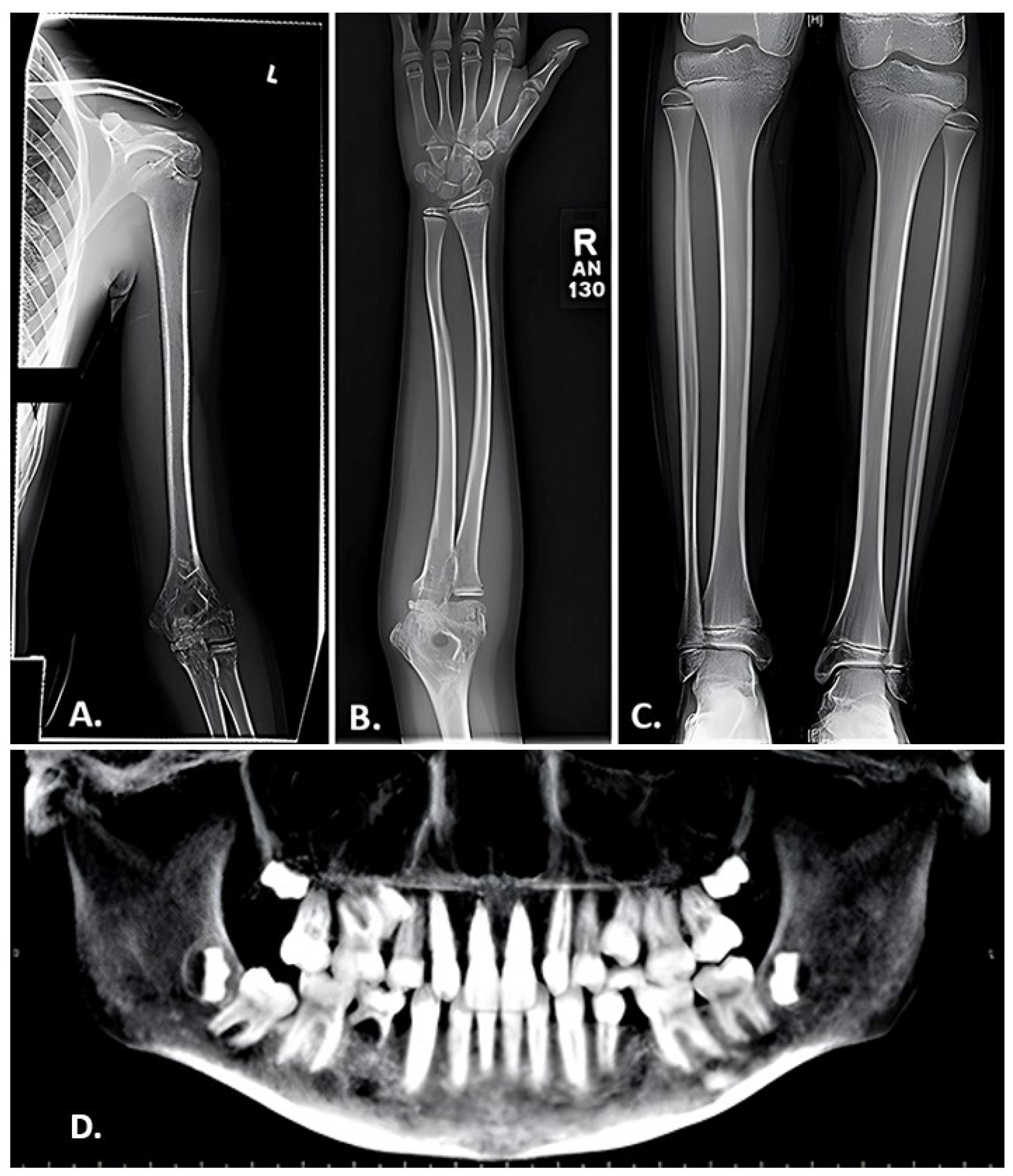
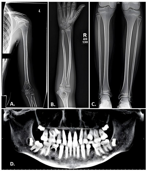
4. High Bone Mass Phenotypes Related to LRP5
5. Altered Bone Mass Due to Genetic Variants in the WNT Signaling Axis Other than LRP5
6. Current and Future Therapeutics Related to LRP5
7. Conclusions
Author Contributions
Funding
Institutional Review Board Statement
Informed Consent Statement
Data Availability Statement
Conflicts of Interest
References
- Online Mendelian Inheritance in Man, OMIM®. Johns Hopkins University, Baltimore, MD. MIM Number: 603506. Available online: https://www.omim.org/entry/603506 (accessed on 30 May 2023).
- Online Mendelian Inheritance in Man, OMIM®. Johns Hopkins University, Baltimore, MD. MIM Number: 259770. Available online: https://www.omim.org/entry/259770 (accessed on 30 May 2023).
- Gong, Y.; Slee, R.B.; Fukai, N.; Rawadi, G.; Roman-Roman, S.; Reginato, A.M.; Wang, H.; Cundy, T.; Glorieux, F.H.; Lev, D.; et al. LDL receptor-related protein 5 (LRP5) affects bone accrual and eye development. Cell 2001, 107, 513–523. [Google Scholar] [CrossRef]
- Little, R.D.; Folz, C.; Manning, S.P.; Swain, P.M.; Zhao, S.-C.; Eustace, B.; Lappe, M.M.; Spitzer, L.; Zweier, S.; Braunschweiger, K.; et al. A mutation in the LDL receptor-related protein 5 gene results in the autosomal dominant high-bone-mass trait. Am. J. Hum. Genet. 2002, 70, 11–19. [Google Scholar] [CrossRef] [PubMed]
- Karakilic-Ozturan, E.; Altunoglu, U.; Ozturk, A.P.; Al, A.D.K.; Abali, Z.Y.; Avci, S.; Wollnik, B.; Poyrazoglu, S.; Bas, F.; Uyguner, Z.O.; et al. Evaluation of growth, puberty, osteoporosis, and the response to long-term bisphosphonate therapy in four patients with osteoporosis-pseudoglioma syndrome. Am. J. Med. Genet. A 2022, 188, 2061–2070. [Google Scholar] [CrossRef] [PubMed]
- Heidari, A.; Homaei, A.; Saffari, F. Novel Homozygous Nonsense Mutation in LRP5 Gene in Two Siblings with Osteoporosis-pseudoglioma Syndrome. J. Clin. Res. Pediatr. Endocrinol. 2021. ahead of print. [Google Scholar] [CrossRef] [PubMed]
- Hey, P.J.; Twells, R.C.; Phillips, M.S.; Nakagawa, Y.; Brown, S.D.; Kawaguchi, Y.; Cox, R.; Xie, G.; Dugan, V.; Hammond, H.; et al. Cloning of a novel member of the low-density lipoprotein receptor family. Gene 1998, 216, 103–111. [Google Scholar] [CrossRef]
- Boyden, L.M.; Mao, J.; Belsky, J.; Mitzner, L.; Farhi, A.; Mitnick, M.A.; Wu, D.; Insogna, K.; Lifton, R.P. High bone density due to a mutation in LDL-receptor-related protein 5. N. Engl. J. Med. 2002, 346, 1513–1521. [Google Scholar] [CrossRef]
- Korvala, J.; Jüppner, H.; Mäkitie, O.; Sochett, E.; Schnabel, D.; Mora, S.; Bartels, C.F.; Warman, M.L.; Deraska, D.; Cole, W.G.; et al. Mutations in LRP5 cause primary osteoporosis without features of OI by reducing WNT signaling activity. BMC Med. Genet. 2012, 13, 26. [Google Scholar] [CrossRef]
- Yang, T.; Williams, B.O. Low-Density Lipoprotein Receptor-Related Proteins in Skeletal Development and Disease. Physiol. Rev. 2017, 97, 1211–1228. [Google Scholar] [CrossRef]
- MacDonald, B.T.; He, X. Frizzled and LRP5/6 receptors for WNT/β-catenin signaling. Cold Spring Harb. Perspect. Biol. 2012, 4, a007880. [Google Scholar] [CrossRef]
- Bourhis, E.; Wang, W.; Tam, C.; Hwang, J.; Zhang, Y.; Spittler, D.; Huang, O.W.; Gong, Y.; Estevez, A.; Zilberleyb, I.; et al. WNT antagonists bind through a short peptide to the first β-propeller domain of LRP5/6. Structure 2011, 19, 1433–1442. [Google Scholar] [CrossRef]
- Teufel, S.; Hartmann, C. WNT-signaling in skeletal development. Curr. Top. Dev. Biol. 2019, 133, 235–279. [Google Scholar] [CrossRef] [PubMed]
- Ren, Q.; Chen, J.; Liu, Y. LRP5 and LRP6 in WNT Signaling: Similarity and Divergence. Front. Cell Dev. Biol. 2021, 9, 670960. [Google Scholar] [CrossRef] [PubMed]
- Wodarz, A.; Nusse, R. Mechanisms of WNT signaling in development. Annu. Rev. Cell Dev. Biol. 1998, 14, 59–88. [Google Scholar] [CrossRef] [PubMed]
- Brown, S.D.; Twells, R.C.; Hey, P.J.; Cox, R.D.; Levy, E.R.; Soderman, A.R.; Metzker, M.L.; Caskeya, C.T.; Todd, J.A.; Hess, J. Isolation and characterization of LRP6, a novel member of the low density lipoprotein receptor gene family. Biochem. Biophys. Res. Commun. 1998, 248, 879–888. [Google Scholar] [CrossRef]
- Williams, B.O.; Insogna, K.L. Where WNTs went: The exploding field of Lrp5 and Lrp6 signaling in bone. J. Bone Miner. Res. 2009, 24, 171–178. [Google Scholar] [CrossRef] [PubMed]
- Craig, S.E.L.; Michalski, M.N.; Williams, B.O. Got WNTS? Insight into bone health from a WNT perspective. Curr. Top. Dev. Biol. 2023, 153, 327–346. [Google Scholar] [CrossRef]
- Gessler, L.; Kurtek, C.; Merholz, M.; Jian, Y.; Hashemolhosseini, S. In Adult Skeletal Muscles, the Co-Receptors of Canonical WNT Signaling, Lrp5 and Lrp6, Determine the Distribution and Size of Fiber Types, and Structure and Function of Neuromuscular Junctions. Cells 2022, 11, 3968. [Google Scholar] [CrossRef]
- Baron, R.; Kneissel, M. WNT signaling in bone homeostasis and disease: From human mutations to treatments. Nat. Med. 2013, 19, 179–192. [Google Scholar] [CrossRef]
- Glass, D.A., 2nd; Bialek, P.; Ahn, J.D.; Starbuck, M.; Patel, M.S.; Clevers, H.; Taketo, M.M.; Long, F.; McMahon, A.P.; Lang, R.A.; et al. Canonical WNT signaling in differentiated osteoblasts controls osteoclast differentiation. Dev. Cell. 2005, 8, 751–764. [Google Scholar] [CrossRef]
- Marini, F.; Giusti, F.; Palmini, G.; Brandi, M.L. Role of WNT signaling and sclerostin in bone and as therapeutic targets in skeletal disorders. Osteoporos. Int. 2023, 34, 213–238. [Google Scholar] [CrossRef]
- Sutherland, M.K.; Geoghegan, J.C.; Yu, C.; Turcott, E.; Skonier, J.E.; Winkler, D.G.; Latham, J.A. Sclerostin promotes the apoptosis of human osteoblastic cells: A novel regulation of bone formation. Bone 2004, 35, 828–835. [Google Scholar] [CrossRef] [PubMed]
- Babij, P.; Zhao, W.; Small, C.; Kharode, Y.; Yaworsky, P.J.; Bouxsein, M.L.; Reddy, P.S.; Bodine, P.V.; A Robinson, J.; Bhat, B.; et al. High bone mass in mice expressing a mutant LRP5 gene. J. Bone Miner. Res. 2003, 18, 960–974. [Google Scholar] [CrossRef] [PubMed]
- Choi, R.B.; Robling, A.G. The WNT pathway: An important control mechanism in bone’s response to mechanical loading. Bone 2021, 153, 116087. [Google Scholar] [CrossRef]
- Sawakami, K.; Robling, A.G.; Ai, M.; Pitner, N.D.; Liu, D.; Warden, S.J.; Li, J.; Maye, P.; Rowe, D.W.; Duncan, R.L.; et al. The WNT co-receptor LRP5 is essential for skeletal mechanotransduction but not for the anabolic bone response to parathyroid hormone treatment. J. Biol. Chem. 2006, 281, 23698–23711. [Google Scholar] [CrossRef] [PubMed]
- Saxon, L.K.; Jackson, B.F.; Sugiyama, T.; Lanyon, L.E.; Price, J.S. Analysis of multiple bone responses to graded strains above functional levels, and to disuse, in mice in vivo show that the human Lrp5 G171V High Bone Mass mutation increases the osteogenic response to loading but that lack of Lrp5 activity reduces it. Bone 2011, 49, 184–193. [Google Scholar] [CrossRef][Green Version]
- Niziolek, P.J.; Warman, M.L.; Robling, A.G. Mechanotransduction in bone tissue: The A214V and G171V mutations in Lrp5 enhance load-induced osteogenesis in a surface-selective manner. Bone 2012, 51, 459–465. [Google Scholar] [CrossRef][Green Version]
- Bullock, W.A.; Pavalko, F.M.; Robling, A.G. Osteocytes and mechanical loading: The WNT connection. Orthod. Craniofac. Res. 2019, 22 (Suppl. S1), 175–179. [Google Scholar] [CrossRef]
- Cuevas, P.L.; Aellos, F.; Dawid, I.M.; Helms, J.A. WNT/β-Catenin Signaling in Craniomaxillofacial Osteocytes. Curr. Osteoporos. Rep. 2023, 21, 228–240. [Google Scholar] [CrossRef]
- Yadav, V.K.; Ryu, J.-H.; Suda, N.; Tanaka, K.F.; Gingrich, J.A.; Schütz, G.; Glorieux, F.H.; Chiang, C.Y.; Zajac, J.D.; Insogna, K.L.; et al. Lrp5 controls bone formation by inhibiting serotonin synthesis in the duodenum. Cell 2008, 135, 825–837. [Google Scholar] [CrossRef]
- Yadav, V.K.; Arantes, H.P.; Barros, E.R.; Lazaretti-Castro, M.; Ducy, P. Genetic analysis of Lrp5 function in osteoblast progenitors. Calcif. Tissue Int. 2010, 86, 382–388. [Google Scholar] [CrossRef]
- Yadav, V.K.; Ducy, P. Lrp5 and bone formation: A serotonin-dependent pathway. Ann. N. Y. Acad. Sci. 2010, 1192, 103–109. [Google Scholar] [CrossRef]
- Cui, Y.; Niziolek, P.J.; MacDonald, B.T.; Zylstra, C.R.; Alenina, N.; Robinson, D.R.; Zhong, Z.; Matthes, S.; Jacobsen, C.M.; A Conlon, R.; et al. Lrp5 functions in bone to regulate bone mass. Nat. Med. 2011, 17, 684–691. [Google Scholar] [CrossRef]
- Cui, Y.; Niziolek, P.J.; MacDonald, B.T.; Alenina, N.; Matthes, S.; Jacobsen, C.M.; A Conlon, R.; Brommage, R.; Powell, D.R.; He, X.; et al. Reply to Lrp5 regulation of bone mass and gut serotonin synthesis. Nat. Med. 2014, 20, 1229–1230. [Google Scholar] [CrossRef] [PubMed]
- Homaei, A.; Chegini, V.; Saffari, F. Clinical Response to Treatment with Teriparatide in an Adolescent with Osteoporosis-Pseudoglioma Syndrome (OPPG): A Case Report. Int. J. Endocrinol. Metab. 2022, 20, e121031. [Google Scholar] [CrossRef] [PubMed]
- Astiazarán, M.C.; Cervantes-Sodi, M.; Rebolledo-Enríquez, E.; Chacón-Camacho, O.; Villegas, V.; Zenteno, J.C. Novel Homozygous LRP5 Mutations in Mexican Patients with Osteoporosis-Pseudoglioma Syndrome. Genet. Test. Mol. Biomarkers 2017, 21, 742–746. [Google Scholar] [CrossRef] [PubMed]
- Biha, N.; Ghaber, S.M.; Hacen, M.M.; Collet, C. Osteoporosis-Pseudoglioma in a Mauritanian Child due to a Novel Mutation in LRP5. Case Rep. Genet. 2016, 2016, 9814928. [Google Scholar] [CrossRef][Green Version]
- Abdel-Hamid, M.S.; Elhossini, R.M.; Otaify, G.A.; Abdel-Ghafar, S.F.; Aglan, M.S. Osteoporosis-pseudoglioma syndrome in four new patients: Identification of two novel LRP5 variants and insights on patients’ management using bisphosphonates therapy. Osteoporos. Int. 2022, 33, 1501–1510. [Google Scholar] [CrossRef]
- Online Mendelian Inheritance in Man, OMIM®. Johns Hopkins University, Baltimore, MD. MIM Number: 133780. Available online: https://www.omim.org/entry/133780 (accessed on 30 May 2023).
- Criswick, V.G.; Schepens, C.L. Familial exudative vitreoretinopathy. Am. J. Ophthalmol. 1969, 68, 578–594. [Google Scholar] [CrossRef]
- Gilmour, D.F. Familial exudative vitreoretinopathy and related retinopathies. Eye 2015, 29, 1–14. [Google Scholar] [CrossRef]
- Mao, J.; Chen, Y.; Fang, Y.; Shao, Y.; Xiang, Z.; Li, H.; Zhao, S.; Chen, Y.; Shen, L. Clinical characteristics and mutation spectrum in 33 Chinese families with familial exudative vitreoretinopathy. Ann. Med. 2022, 54, 3286–3298. [Google Scholar] [CrossRef]
- Online Mendelian Inheritance in Man, OMIM®. Johns Hopkins University, Baltimore, MD. MIM Number: 604579. Available online: https://www.omim.org/entry/604579 (accessed on 30 May 2023).
- Online Mendelian Inheritance in Man, OMIM®. Johns Hopkins University, Baltimore, MD. MIM Number: 116806. Available online: https://www.omim.org/entry/116806 (accessed on 30 May 2023).
- Online Mendelian Inheritance in Man, OMIM®. Johns Hopkins University, Baltimore, MD. MIM Number: 300658. Available online: https://www.omim.org/entry/300658 (accessed on 30 May 2023).
- Plager, D.A.; Orgel, I.K.; Ellis, F.D.; Hartzer, M.; Trese, M.T.; Shastry, B.S. X-linked recessive familial exudative vitreoretinopathy. Am. J. Ophthalmol. 1992, 114, 145–148. [Google Scholar] [CrossRef] [PubMed]
- Chen, Z.-Y.; Battinelli, E.; Fielder, A.; Bundey, S.; Sims, K.; Breakefield, X.; Craig, I. A mutation in the Norrie disease gene (NDP) associated with X-linked familial exudative vitreoretinopathy. Nat. Genet. 1993, 5, 180–183. [Google Scholar] [CrossRef] [PubMed]
- Kondo, H.; Kusaka, S.; Yoshinaga, A.; Uchio, E.; Tawara, A.; Tahira, T. Genetic variants of FZD4 and LRP5 genes in patients with advanced retinopathy of prematurity. Mol. Vis. 2013, 19, 476–485. [Google Scholar] [PubMed]
- Tauqeer, Z.; Yonekawa, Y. Familial Exudative Vitreoretinopathy: Pathophysiology, Diagnosis, and Management. Asia Pac. J. Ophthalmol. 2018, 7, 176–182. [Google Scholar] [CrossRef]
- Littman, J.; Phornphutkul, C.; Saade, C.; Katarincic, J.; Aaron, R. Osteoporosis, Fractures, and Blindness Due to a Missense Mutation in the LRP5 Receptor. Orthop. Res. Rev. 2023, 15, 39–45. [Google Scholar] [CrossRef] [PubMed]
- Zhao, D.; Sun, L.; Zheng, W.; Hu, J.; Zhou, B.; Wang, O.; Jiang, Y.; Xia, W.; Xing, X.; Li, M. Novel mutation in LRP5 gene cause rare osteosclerosis: Cases studies and literature review. Mol. Genet. Genomics. 2023, 298, 683–692. [Google Scholar] [CrossRef]
- Gregson, C.L.; Duncan, E.L. The Genetic Architecture of High Bone Mass. Front. Endocrinol. 2020, 11, 595653. [Google Scholar] [CrossRef]
- Kwee, M.L.; Balemans, W.; Cleiren, E.; Gille, J.J.; Van Der Blij, F.; Sepers, J.M.; Van Hul, W. An autosomal dominant high bone mass phenotype in association with craniosynostosis in an extended family is caused by an LRP5 missense mutation. J. Bone Miner. Res. 2005, 20, 1254–1260. [Google Scholar] [CrossRef]
- Van Wesenbeeck, L.; Cleiren, E.; Gram, J.; Beals, R.K.; Bénichou, O.; Scopelliti, D.; Key, L.; Renton, T.; Bartels, C.; Gong, Y.; et al. Six novel missense mutations in the LDL receptor-related protein 5 (LRP5) gene in different conditions with an increased bone density. Am. J. Hum. Genet. 2003, 72, 763–771. [Google Scholar] [CrossRef]
- Huybrechts, Y.; Mortier, G.; Boudin, E.; Van Hul, W. WNT Signaling and Bone: Lessons from Skeletal Dysplasias and Disorders. Front. Endocrinol. 2020, 11, 165. [Google Scholar] [CrossRef]
- Salahshor, S.; Woodgett, J.R. The links between axin and carcinogenesis. J Clin Pathol. 2005, 58, 225–236. [Google Scholar] [CrossRef]
- Yan, Y.; Tang, D.; Chen, M.; Huang, J.; Xie, R.; Jonason, J.H.; Tan, X.; Hou, W.; Reynolds, D.; Hsu, W.; et al. Axin2 controls bone remodeling through the beta-catenin-BMP signaling pathway in adult mice. J. Cell Sci. 2009, 122 Pt 19, 3566–3578. [Google Scholar] [CrossRef]
- Luo, W.; Lin, S.C. Axin: A master scaffold for multiple signaling pathways. Neurosignals 2004, 13, 99–113. [Google Scholar] [CrossRef] [PubMed]
- Miclea, R.L.; Karperien, M.; Langers, A.M.; Robanus-Maandag, E.C.; van Lierop, A.; van der Hiel, B.; Stokkel, M.P.; E Ballieux, B.; Oostdijk, W.; Wit, J.M.; et al. APC mutations are associated with increased bone mineral density in patients with familial adenomatous polyposis. J. Bone Miner. Res. 2010, 25, 2624–2632. [Google Scholar] [CrossRef] [PubMed]
- Chew, S.; Dastani, Z.; Brown, S.J.; Lewis, J.R.; Dudbridge, F.; Soranzo, N.; Surdulescu, G.L.; Richards, J.B.; Spector, T.D.; Wilson, S.G. Copy number variation of the APC gene is associated with regulation of bone mineral density. Bone 2012, 51, 939–943. [Google Scholar] [CrossRef]
- Clément-Lacroix, P.; Ai, M.; Morvan, F.; Roman-Roman, S.; Vayssière, B.; Belleville, C.; Estrera, K.; Warman, M.L.; Baron, R.; Rawadi, G. Lrp5-independent activation of Wnt signaling by lithium chloride increases bone formation and bone mass in mice. Proc. Natl. Acad. Sci. USA 2005, 102, 17406–17411. [Google Scholar] [CrossRef] [PubMed]
- Holmen, S.L.; A Giambernardi, T.; Zylstra, C.R.; Buckner-Berghuis, B.D.; Resau, J.H.; Hess, J.F.; Glatt, V.; Bouxsein, M.L.; Ai, M.; Warman, M.L.; et al. Decreased BMD and limb deformities in mice carrying mutations in both Lrp5 and Lrp6. J. Bone Miner. Res. 2004, 19, 2033–2040. [Google Scholar] [CrossRef] [PubMed]
- Sharma, M.; Castro-Piedras, I.; Simmons, G.E., Jr.; Pruitt, K. Dishevelled: A masterful conductor of complex Wnt signals. Cell Signal. 2018, 47, 52–64. [Google Scholar] [CrossRef]
- Lijam, N.; Paylor, R.; McDonald, M.P.; Crawley, J.N.; Deng, C.-X.; Herrup, K.; E Stevens, K.; Maccaferri, G.; McBain, C.J.; Sussman, D.J.; et al. Social interaction and sensorimotor gating abnormalities in mice lacking Dvl1. Cell 1997, 90, 895–905. [Google Scholar] [CrossRef]
- Chen, D.; Mi, J.; Wu, M.; Wang, W.; Gao, H. Expression of dishevelled gene in Hirschsprung’s disease. Int. J. Clin. Exp. Pathol. 2013, 6, 1791–1798. [Google Scholar]
- Brunkow, M.E.; Gardner, J.C.; Van Ness, J.; Paeper, B.W.; Kovacevich, B.R.; Proll, S.; Skonier, J.E.; Zhao, L.; Sabo, P.; Fu, Y.-H.; et al. Bone dysplasia sclerosteosis results from loss of the SOST gene product, a novel cystine knot-containing protein. Am. J. Hum. Genet. 2001, 68, 577–589. [Google Scholar] [CrossRef] [PubMed]
- Lewis, S.L.; Khoo, P.-L.; De Young, R.A.; Steiner, K.; Wilcock, C.; Mukhopadhyay, M.; Westphal, H.; Jamieson, R.V.; Robb, L.; Tam, P.P.L. Dkk1 and Wnt3 interact to control head morphogenesis in the mouse. Development 2008, 135, 1791–1801. [Google Scholar] [CrossRef] [PubMed]
- Balemans, W.; Ebeling, M.; Patel, N.; Van Hul, E.; Olson, P.; Dioszegi, M.; Lacza, C.; Wuyts, W.; Van Den Ende, J.; Willems, P.; et al. Increased bone density in sclerosteosis is due to the deficiency of a novel secreted protein (SOST). Hum. Mol. Genet. 2001, 10, 537–543. [Google Scholar] [CrossRef] [PubMed]
- Gardner, J.C.; van Bezooijen, R.L.; Mervis, B.; Hamdy, N.A.T.; Löwik, C.W.G.M.; Hamersma, H.; Beighton, P.; Papapoulos, S.E. Bone mineral density in sclerosteosis; affected individuals and gene carriers. J. Clin. Endocrinol. Metab. 2005, 90, 6392–6395. [Google Scholar] [CrossRef]
- Mukhopadhyay, M.; Shtrom, S.; Rodriguez-Esteban, C.; Chen, L.; Tsukui, T.; Gomer, L.; Dorward, D.W.; Glinka, A.; Grinberg, A.; Huang, S.-P.; et al. Dickkopf1 is required for embryonic head induction and limb morphogenesis in the mouse. Dev. Cell. 2001, 1, 423–434. [Google Scholar] [CrossRef]
- Semenov, M.V.; He, X. LRP5 mutations linked to high bone mass diseases cause reduced LRP5 binding and inhibition by SOST. J. Biol. Chem. 2006, 281, 38276–38284. [Google Scholar] [CrossRef]






| Clinical Characteristic | Percentage of Patients (Proportion) * |
|---|---|
| Number of cases | 113 |
| Mean age at diagnosis (y) (range) | 43 (1–83) |
| Gender | M:F = 54:59 |
| Headache | 23.5% (12/51) |
| Facial nerve palsy | 12.5% (7/56) |
| Hearing loss | 16.7% (9/54) |
| Vision loss | 3.8% (2/53) |
| Bone pain | 35.6% (21/59) |
| Torus palatinus prominence | 71.0% (44/62) |
| Mandible enlargement | 89.5% (51/57) |
| Normal serum ALP levels | 88.2% (15/17) |
| Normal serum P1NP levels | 50.0% (3/6) |
| Normal serum β-CTX levels | 66.7% (10/15) |
| LS BMD Z-score > 2.5SD | 93.0% (40/43) |
| LS BMD Z-score (mean ± SD) | 6.2 ± 2.5 |
| TH BMD Z-score > 2.5SD | 84.0% (26/31) |
| TH BMD Z-score (mean ± SD) | 5.1 ± 3.1 |
Disclaimer/Publisher’s Note: The statements, opinions and data contained in all publications are solely those of the individual author(s) and contributor(s) and not of MDPI and/or the editor(s). MDPI and/or the editor(s) disclaim responsibility for any injury to people or property resulting from any ideas, methods, instructions or products referred to in the content. |
© 2023 by the authors. Licensee MDPI, Basel, Switzerland. This article is an open access article distributed under the terms and conditions of the Creative Commons Attribution (CC BY) license (https://creativecommons.org/licenses/by/4.0/).
Share and Cite
Littman, J.; Yang, W.; Olansen, J.; Phornphutkul, C.; Aaron, R.K. LRP5, Bone Mass Polymorphisms and Skeletal Disorders. Genes 2023, 14, 1846. https://doi.org/10.3390/genes14101846
Littman J, Yang W, Olansen J, Phornphutkul C, Aaron RK. LRP5, Bone Mass Polymorphisms and Skeletal Disorders. Genes. 2023; 14(10):1846. https://doi.org/10.3390/genes14101846
Chicago/Turabian StyleLittman, Jake, Wentian Yang, Jon Olansen, Chanika Phornphutkul, and Roy K. Aaron. 2023. "LRP5, Bone Mass Polymorphisms and Skeletal Disorders" Genes 14, no. 10: 1846. https://doi.org/10.3390/genes14101846
APA StyleLittman, J., Yang, W., Olansen, J., Phornphutkul, C., & Aaron, R. K. (2023). LRP5, Bone Mass Polymorphisms and Skeletal Disorders. Genes, 14(10), 1846. https://doi.org/10.3390/genes14101846

