Dysregulation of the NLRP3 Inflammasome and Promotion of Disease by IL-1β in a Murine Model of Sandhoff Disease
Abstract
1. Introduction
2. Material and Methods
2.1. Animals
2.2. Mouse Treatments and Cell Recovery
2.3. Cells
2.4. LysoTrackerTM Staining and Analysis by Flow Cytometry
2.5. Cell Stimulations, Immunoblotting, and Specific ELISA
2.6. Behavioral Analyses
2.7. Statistical Analysis
3. Results
3.1. hexb−/− Resident Peritoneal Macrophages (RPMϕ) from 14-Week-Old Mice Have Enhanced LysoTrackerTM Staining
3.2. hexb−/− RPMϕ from Symptomatic SD Mice Display Aberrant NLRP3 Inflammasome Activation and Secretion of IL-1β
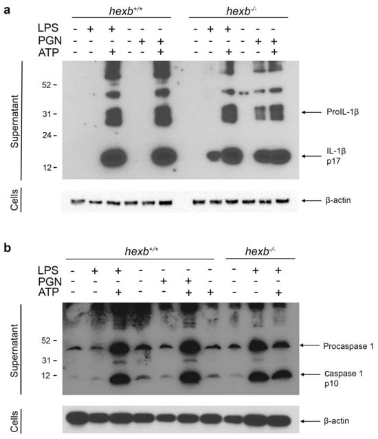
3.3. Bone-Marrow-Derived Macrophages (BMMϕ) from hexb−/− Mice Require NLRP3 Priming and Activation (Signal 1 and Signal 2) to Produce IL-1β
3.4. IL-1β Is Secreted by LPS-Primed RPMϕ Isolated from Symptomatic 12-Week-Old and 14-Week-Old hexb−/− Mice but Not by RPMϕ from Non-Symptomatic 8-Week-Old hexb−/− Mice
3.5. Aberrant IL-1β Production by hexb−/− RPMϕ Isolated from Symptomatic Animals Is Prevented by the Caspase-1 Inhibitor, Z-Val-Ala-DL-Asp-fluoromethylketone (zVAD-fmk) but Not by Inhibition of Cathepsin B
3.6. Genetic Deletion of IL-1β Activity Increases the Lifespan of hexb−/− Mice and Reduces Tremors
3.7. Competitive Inhibition of IL-1β Activity with Interleukin One Receptor Antagonist (IL1Ra) Provides Benefit in hexb−/− Mice
4. Discussion
5. Limitations of Our Study
Supplementary Materials
Author Contributions
Funding
Institutional Review Board Statement
Informed Consent Statement
Data Availability Statement
Conflicts of Interest
References
- Toro, C.; Zainab, M.; Tifft, C.J. The GM2 gangliosidoses: Unlocking the mysteries of pathogenesis and treatment. Neurosci. Lett. 2021, 764, 136195. [Google Scholar] [CrossRef] [PubMed]
- Breiden, B.; Sandhoff, K. Lysosomal Glycosphingolipid Storage Diseases. Annu. Rev. Biochem. 2019, 88, 461–485. [Google Scholar] [CrossRef]
- Krivit, W.; Desnick, R.J.; Lee, J.; Moller, J.; Wright, F.; Sweeley, C.C.; Snyder, P.D., Jr.; Sharp, H.L. Generalized accumulation of neutral glycosphingolipids with GM2 ganglioside accumulation in the brain. Sandhoff’s disease (variant of Tay-Sachs disease). Am. J. Med. 1972, 52, 763–770. [Google Scholar] [CrossRef] [PubMed]
- Salman, M.S.; Clarke, J.T.; Midroni, G.; Waxman, M.B. Peripheral and autonomic nervous system involvement in chronic GM2-gangliosidosis. J. Inherit. Metab. Dis. 2001, 24, 65–71. [Google Scholar] [CrossRef] [PubMed]
- Masingue, M.; Dufour, L.; Lenglet, T.; Saleille, L.; Goizet, C.; Ayrignac, X.; Ory-Magne, F.; Barth, M.; Lamari, F.; Mandia, D.; et al. Natural History of Adult Patients with GM2 Gangliosidosis. Ann. Neurol. 2020, 87, 609–617. [Google Scholar] [CrossRef]
- Lawson, C.A.; Martin, D.R. Animal models of GM2 gangliosidosis: Utility and limitations. Appl. Clin. Genet. 2016, 9, 111–120. [Google Scholar] [CrossRef]
- Sango, K.; Yamanaka, S.; Hoffmann, A.; Okuda, Y.; Grinberg, A.; Westphal, H.; McDonald, M.P.; Crawley, J.N.; Sandhoff, K.; Suzuki, K.; et al. Mouse models of Tay-Sachs and Sandhoff diseases differ in neurologic phenotype and ganglioside metabolism. Nat. Genet. 1995, 11, 170–176. [Google Scholar] [CrossRef] [PubMed]
- Jeyakumar, M.; Butters, T.D.; Cortina-Borja, M.; Hunnam, V.; Proia, R.L.; Perry, V.H.; Dwek, R.A.; Platt, F.M. Delayed symptom onset and increased life expectancy in Sandhoff disease mice treated with N-butyldeoxynojirimycin. Proc. Natl. Acad. Sci. USA 1999, 96, 6388–6393. [Google Scholar] [CrossRef]
- Myerowitz, R.; Lawson, D.; Mizukami, H.; Mi, Y.; Tifft, C.J.; Proia, R.L. Molecular pathophysiology in Tay-Sachs and Sandhoff diseases as revealed by gene expression profiling. Hum. Mol. Genet. 2002, 11, 1343–1350. [Google Scholar] [CrossRef] [PubMed]
- Jeyakumar, M.; Thomas, R.; Elliot-Smith, E.; Smith, D.A.; van der Spoel, A.C.; d’Azzo, A.; Perry, V.H.; Butters, T.D.; Dwek, R.A.; Platt, F.M. Central nervous system inflammation is a hallmark of pathogenesis in mouse models of GM1 and GM2 gangliosidosis. Brain 2003, 126 Pt 4, 974–987. [Google Scholar] [CrossRef]
- Jeyakumar, M.; Smith, D.A.; Williams, I.M.; Borja, M.C.; Neville, D.C.; Butters, T.D.; Dwek, R.A.; Platt, F.M. NSAIDs increase survival in the Sandhoff disease mouse: Synergy with N-butyldeoxynojirimycin. Ann. Neurol. 2004, 56, 642–649. [Google Scholar] [CrossRef]
- Dinarello, C.A. Immunological and inflammatory functions of the interleukin-1 family. Annu. Rev. Immunol. 2009, 27, 519–550. [Google Scholar] [CrossRef] [PubMed]
- Joosten, L.A.; Netea, M.G.; Dinarello, C.A. Interleukin-1beta in innate inflammation, autophagy and immunity. Semin. Immunol. 2013, 25, 416–424. [Google Scholar] [CrossRef]
- Mantovani, A.; Dinarello, C.A.; Molgora, M.; Garlanda, C. Interleukin-1 and Related Cytokines in the Regulation of Inflammation and Immunity. Immunity 2019, 50, 778–795. [Google Scholar] [CrossRef]
- Sims, J.E.; Smith, D.E. The IL-1 family: Regulators of immunity. Nat. Rev. Immunol. 2010, 10, 89–102. [Google Scholar] [CrossRef]
- Martinon, F.; Mayor, A.; Tschopp, J. The inflammasomes: Guardians of the body. Annu. Rev. Immunol. 2009, 27, 229–265. [Google Scholar] [CrossRef] [PubMed]
- Sharma, D.; Kanneganti, T.D. The cell biology of inflammasomes: Mechanisms of inflammasome activation and regulation. J. Cell Biol. 2016, 213, 617–629. [Google Scholar] [CrossRef]
- Swanson, K.V.; Deng, M.; Ting, J.P. The NLRP3 inflammasome: Molecular activation and regulation to therapeutics. Nat. Rev. Immunol. 2019, 19, 477–489. [Google Scholar] [CrossRef]
- Masters, S.L.; Simon, A.; Aksentijevich, I.; Kastner, D.L. Horror autoinflammaticus: The molecular pathophysiology of autoinflammatory disease (*). Annu. Rev. Immunol. 2009, 27, 621–668. [Google Scholar] [CrossRef] [PubMed]
- Weischenfeldt, J.; Porse, B. Bone Marrow-Derived Macrophages (BMM): Isolation and Applications. CSH Protoc. 2008, 2008, pdb.prot5080. [Google Scholar] [CrossRef]
- te Vruchte, D.; Speak, A.O.; Wallom, K.L.; Al Eisa, N.; Smith, D.A.; Hendriksz, C.J.; Simmons, L.; Lachmann, R.H.; Cousins, A.; Hartung, R.; et al. Relative acidic compartment volume as a lysosomal storage disorder-associated biomarker. J. Clin. Investig. 2014, 124, 1320–1328. [Google Scholar] [CrossRef]
- Agostini, L.; Martinon, F.; Burns, K.; McDermott, M.F.; Hawkins, P.N.; Tschopp, J. NALP3 forms an IL-1beta-processing inflammasome with increased activity in Muckle-Wells autoinflammatory disorder. Immunity 2004, 20, 319–325. [Google Scholar] [CrossRef]
- Hornung, V.; Bauernfeind, F.; Halle, A.; Samstad, E.O.; Kono, H.; Rock, K.L.; Fitzgerald, K.A.; Latz, E. Silica crystals and aluminum salts activate the NALP3 inflammasome through phagosomal destabilization. Nat. Immunol. 2008, 9, 847–856. [Google Scholar] [CrossRef]
- Dinarello, C.A.; Simon, A.; van der Meer, J.W. Treating inflammation by blocking interleukin-1 in a broad spectrum of diseases. Nat. Rev. Drug Discov. 2012, 11, 633–652. [Google Scholar] [CrossRef]
- Schulze, H.; Sandhoff, K. Sphingolipids and lysosomal pathologies. Biochim. Biophys. Acta 2014, 1841, 799–810. [Google Scholar] [CrossRef]
- Abo-Ouf, H.; Hooper, A.W.; White, E.J.; van Rensburg, H.J.; Trigatti, B.L.; Igdoura, S.A. Deletion of tumor necrosis factor-alpha ameliorates neurodegeneration in Sandhoff disease mice. Hum. Mol. Genet. 2013, 22, 3960–3975. [Google Scholar] [CrossRef]
- Regier, D.S.; Proia, R.L.; D’Azzo, A.; Tifft, C.J. The GM1 and GM2 Gangliosidoses: Natural History and Progress toward Therapy. Pediatr. Endocrinol. Rev. 2016, 13 (Suppl. S1), 663–673. [Google Scholar] [PubMed]
- Bellettato, C.M.; Scarpa, M. Pathophysiology of neuropathic lysosomal storage disorders. J. Inherit. Metab. Dis. 2010, 33, 347–362. [Google Scholar] [CrossRef]
- Jmoudiak, M.; Futerman, A.H. Gaucher disease: Pathological mechanisms and modern management. Br. J. Haematol. 2005, 129, 178–188. [Google Scholar] [CrossRef]
- Jeyakumar, M.; Lee, J.P.; Sibson, N.R.; Lowe, J.P.; Stuckey, D.J.; Tester, K.; Fu, G.; Newlin, R.; Smith, D.A.; Snyder, E.Y.; et al. Neural stem cell transplantation benefits a monogenic neurometabolic disorder during the symptomatic phase of disease. Stem Cells 2009, 27, 2362–2370. [Google Scholar] [CrossRef] [PubMed][Green Version]
- Kaya, E.; Smith, D.A.; Smith, C.; Morris, L.; Bremova-Ertl, T.; Cortina-Borja, M.; Fineran, P.; Morten, K.J.; Poulton, J.; Boland, B.; et al. Acetyl-leucine slows disease progression in lysosomal storage disorders. Brain Commun. 2021, 3, fcaa148. [Google Scholar] [CrossRef] [PubMed]
- Martakis, K.; Claassen, J.; Gascon-Bayari, J.; Goldschagg, N.; Hahn, A.; Hassan, A.; Hennig, A.; Jones, S.; Kay, R.; Lau, H.; et al. Efficacy and Safety of N-Acetyl-l-Leucine in Children and Adults With GM2 Gangliosidoses. Neurology 2023, 100, e1072–e1083. [Google Scholar] [CrossRef] [PubMed]
- Wada, R.; Tifft, C.J.; Proia, R.L. Microglial activation precedes acute neurodegeneration in Sandhoff disease and is suppressed by bone marrow transplantation. Proc. Natl. Acad. Sci. USA 2000, 97, 10954–10959. [Google Scholar] [CrossRef] [PubMed]
- Hahn, C.N.; del Pilar Martin, M.; Schroder, M.; Vanier, M.T.; Hara, Y.; Suzuki, K.; Suzuki, K.; d’Azzo, A. Generalized CNS disease and massive GM1-ganglioside accumulation in mice defective in lysosomal acid beta-galactosidase. Hum. Mol. Genet. 1997, 6, 205–211. [Google Scholar] [CrossRef] [PubMed]
- Huang, J.Q.; Trasler, J.M.; Igdoura, S.; Michaud, J.; Hanal, N.; Gravel, R.A. Apoptotic cell death in mouse models of GM2 gangliosidosis and observations on human Tay-Sachs and Sandhoff diseases. Hum. Mol. Genet. 1997, 6, 1879–1885. [Google Scholar] [CrossRef] [PubMed]
- Manthiram, K.; Zhou, Q.; Aksentijevich, I.; Kastner, D.L. The monogenic autoinflammatory diseases define new pathways in human innate immunity and inflammation. Nat. Immunol. 2017, 18, 832–842. [Google Scholar] [CrossRef]
- Martinon, F.; Petrilli, V.; Mayor, A.; Tardivel, A.; Tschopp, J. Gout-associated uric acid crystals activate the NALP3 inflammasome. Nature 2006, 440, 237–241. [Google Scholar] [CrossRef]
- Duewell, P.; Kono, H.; Rayner, K.J.; Sirois, C.M.; Vladimer, G.; Bauernfeind, F.G.; Abela, G.S.; Franchi, L.; Nunez, G.; Schnurr, M.; et al. NLRP3 inflammasomes are required for atherogenesis and activated by cholesterol crystals. Nature 2010, 464, 1357–1361. [Google Scholar] [CrossRef] [PubMed]
- Stahl-Meyer, J.; Stahl-Meyer, K.; Jaattela, M. Control of mitosis, inflammation, and cell motility by limited leakage of lysosomes. Curr. Opin. Cell Biol. 2021, 71, 29–37. [Google Scholar] [CrossRef]
- Gabande-Rodriguez, E.; Perez-Canamas, A.; Soto-Huelin, B.; Mitroi, D.N.; Sanchez-Redondo, S.; Martinez-Saez, E.; Venero, C.; Peinado, H.; Ledesma, M.D. Lipid-induced lysosomal damage after demyelination corrupts microglia protective function in lysosomal storage disorders. EMBO J. 2019, 38, e99553. [Google Scholar] [CrossRef]
- Kirkegaard, T.; Gray, J.; Priestman, D.A.; Wallom, K.L.; Atkins, J.; Olsen, O.D.; Klein, A.; Drndarski, S.; Petersen, N.H.; Ingemann, L.; et al. Heat shock protein-based therapy as a potential candidate for treating the sphingolipidoses. Sci. Transl. Med. 2016, 8, 355ra118. [Google Scholar] [CrossRef]
- Voet, S.; Srinivasan, S.; Lamkanfi, M.; van Loo, G. Inflammasomes in neuroinflammatory and neurodegenerative diseases. EMBO Mol. Med. 2019, 11, e10248. [Google Scholar] [CrossRef]
- Singh, J.; Habean, M.L.; Panicker, N. Inflammasome assembly in neurodegenerative diseases. Trends Neurosci. 2023, 46, 814–831. [Google Scholar] [CrossRef]
- Aflaki, E.; Moaven, N.; Borger, D.K.; Lopez, G.; Westbroek, W.; Chae, J.J.; Marugan, J.; Patnaik, S.; Maniwang, E.; Gonzalez, A.N.; et al. Lysosomal storage and impaired autophagy lead to inflammasome activation in Gaucher macrophages. Aging Cell 2016, 15, 77–88. [Google Scholar] [CrossRef]
- Jesus, A.A.; Goldbach-Mansky, R. IL-1 blockade in autoinflammatory syndromes. Annu. Rev. Med. 2014, 65, 223–244. [Google Scholar] [CrossRef] [PubMed]
- Monaco, C.; Nanchahal, J.; Taylor, P.; Feldmann, M. Anti-TNF therapy: Past, present and future. Int. Immunol. 2015, 27, 55–62. [Google Scholar] [CrossRef]








| Enotype | Age (Weeks) | Priming Only | Priming + Activation |
|---|---|---|---|
| hexb+/+ | 8 | 🗴 | ✓ |
| 12 | 🗴 | ✓ | |
| 14 | 🗴 | ✓ | |
| hexb−/− | 8 | 🗴 | ✓ |
| 12 | ✓ | ✓ | |
| 14 | ✓ | ✓ |
Disclaimer/Publisher’s Note: The statements, opinions and data contained in all publications are solely those of the individual author(s) and contributor(s) and not of MDPI and/or the editor(s). MDPI and/or the editor(s) disclaim responsibility for any injury to people or property resulting from any ideas, methods, instructions or products referred to in the content. |
© 2025 by the authors. Licensee MDPI, Basel, Switzerland. This article is an open access article distributed under the terms and conditions of the Creative Commons Attribution (CC BY) license (https://creativecommons.org/licenses/by/4.0/).
Share and Cite
Platt, N.; Shepherd, D.; Smith, D.A.; Smith, C.; Wallom, K.-L.; Luqmani, R.; Churchill, G.C.; Galione, A.; Platt, F.M. Dysregulation of the NLRP3 Inflammasome and Promotion of Disease by IL-1β in a Murine Model of Sandhoff Disease. Cells 2025, 14, 35. https://doi.org/10.3390/cells14010035
Platt N, Shepherd D, Smith DA, Smith C, Wallom K-L, Luqmani R, Churchill GC, Galione A, Platt FM. Dysregulation of the NLRP3 Inflammasome and Promotion of Disease by IL-1β in a Murine Model of Sandhoff Disease. Cells. 2025; 14(1):35. https://doi.org/10.3390/cells14010035
Chicago/Turabian StylePlatt, Nick, Dawn Shepherd, David A. Smith, Claire Smith, Kerri-Lee Wallom, Raashid Luqmani, Grant C. Churchill, Antony Galione, and Frances M. Platt. 2025. "Dysregulation of the NLRP3 Inflammasome and Promotion of Disease by IL-1β in a Murine Model of Sandhoff Disease" Cells 14, no. 1: 35. https://doi.org/10.3390/cells14010035
APA StylePlatt, N., Shepherd, D., Smith, D. A., Smith, C., Wallom, K.-L., Luqmani, R., Churchill, G. C., Galione, A., & Platt, F. M. (2025). Dysregulation of the NLRP3 Inflammasome and Promotion of Disease by IL-1β in a Murine Model of Sandhoff Disease. Cells, 14(1), 35. https://doi.org/10.3390/cells14010035

