Retinoic Acid Receptor Alpha Is Essential in Postnatal Sertoli Cells but Not in Germ Cells
Abstract
1. Introduction
2. Materials and Methods
2.1. Mice and Treatments
2.2. Histology, Stage Frequencies, and Synchronization Factor
2.3. Immunohistochemistry (IHC) and In Situ Hybridization (ISH)
2.4. Counts of Sertoli Cells Expressing RARA
3. Results and Discussion
3.1. Spermatogenesis Is Not Altered in Males Lacking RARA in Germ Cells
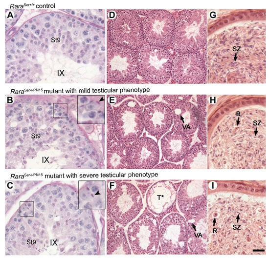
3.2. RARA Exerts Most, If Not All, of Its Functions on Spermatogenesis in Postnatal Sertoli Cells
4. Conclusions
Supplementary Materials
Author Contributions
Funding
Institutional Review Board Statement
Informed Consent Statement
Data Availability Statement
Acknowledgments
Conflicts of Interest
Abbreviations
| ATRA | All-trans retinoic acid |
| DAPI | 4′,6-diamidino-2-phenylindole |
| E13.5 | Embryonic day 13.5 |
| HE | Hematoxylin–eosin |
| IHC | Immunohistochemistry |
| ISH | In situ hybridization |
| PAS | Periodic acid–Schiff |
| PBS | Phosphate-buffered saline |
| PBST | Phosphate-buffered saline containing Tween 20 |
| PN0 to PN21 | Postnatal days 0 to 21 |
| RAR | Retinoic acid receptor |
| TAM | Tamoxifen |
References
- Gewiss, R.L.; Schleif, M.C.; Griswold, M.D. The role of retinoic acid in the commitment to meiosis. Asian J. Androl. 2021, 23, 549–554. [Google Scholar]
- Teletin, M.; Vernet, N.; Yu, J.; Klopfenstein, M.; Jones, J.W.; Feret, B.; Kane, M.A.; Ghyselinck, N.B.; Mark, M. Two functionally redundant sources of retinoic acid secure spermatogonia differentiation in the seminiferous epithelium. Development 2019, 146, dev170225. [Google Scholar] [CrossRef]
- Gaemers, I.C.; van Pelt, A.M.; van der Saag, P.T.; de Rooij, D.G. All-trans-4-oxo-retinoic acid: A potent inducer of in vivo proliferation of growth-arrested A spermatogonia in the vitamin A-deficient mouse testis. Endocrinology 1996, 137, 479–485. [Google Scholar] [CrossRef][Green Version]
- Ghyselinck, N.B.; Vernet, N.; Dennefeld, C.; Giese, N.; Nau, H.; Chambon, P.; Viville, S.; Mark, M. Retinoids and spermatogenesis: Lessons from mutant mice lacking the plasma retinol binding protein. Dev. Dyn. 2006, 235, 1608–1622. [Google Scholar] [CrossRef]
- Van Pelt, A.M.; de Rooij, D.G. Retinoic acid is able to reinitiate spermatogenesis in vitamin A-deficient rats and high replicate doses support the full development of spermatogenic cells. Endocrinology 1991, 128, 697–704. [Google Scholar] [CrossRef]
- Chambon, P. The nuclear receptor superfamily: A personal retrospect on the first two decades. Mol. Endocrinol. 2005, 19, 1418–1428. [Google Scholar] [CrossRef]
- Boulogne, B.; Levacher, C.; Durand, P.; Habert, R. Retinoic acid receptors and retinoid X receptors in the rat testis during fetal and postnatal development: Immunolocalization and implication in the control of the number of gonocytes. Biol. Reprod. 1999, 61, 1548–1557. [Google Scholar] [CrossRef][Green Version]
- Vernet, N.; Dennefeld, C.; Rochette-Egly, C.; Oulad-Abdelghani, M.; Chambon, P.; Ghyselinck, N.B.; Mark, M. Retinoic acid metabolism and signaling pathways in the adult and developing mouse testis. Endocrinology 2006, 147, 96–110. [Google Scholar] [CrossRef]
- Lord, T.; Oatley, M.J.; Oatley, J.M. Testicular Architecture Is Critical for Mediation of Retinoic Acid Responsiveness by Undifferentiated Spermatogonial Subtypes in the Mouse. Stem Cell Rep. 2018, 10, 538–552. [Google Scholar] [CrossRef]
- Ghyselinck, N.B.; Dupe, V.; Dierich, A.; Messaddeq, N.; Garnier, J.M.; Rochette-Egly, C.; Chambon, P.; Mark, M. Role of the retinoic acid receptor beta (RARbeta) during mouse development. Int. J. Dev. Biol. 1997, 41, 425–447. [Google Scholar]
- Luo, J.; Pasceri, P.; Conlon, R.A.; Rossant, J.; Giguere, V. Mice lacking all isoforms of retinoic acid receptor beta develop normally and are susceptible to the teratogenic effects of retinoic acid. Mech. Dev. 1995, 53, 61–71. [Google Scholar] [CrossRef]
- Vernet, N.; Dennefeld, C.; Guillou, F.; Chambon, P.; Ghyselinck, N.B.; Mark, M. Prepubertal testis development relies on retinoic acid but not rexinoid receptors in Sertoli cells. EMBO J. 2006, 25, 5816–5825. [Google Scholar] [CrossRef]
- Doyle, T.J.; Braun, K.W.; McLean, D.J.; Wright, R.W.; Griswold, M.D.; Kim, K.H. Potential functions of retinoic acid receptor A in Sertoli cells and germ cells during spermatogenesis. Ann. N. Y. Acad. Sci. 2007, 1120, 114–130. [Google Scholar] [CrossRef]
- Lufkin, T.; Lohnes, D.; Mark, M.; Dierich, A.; Gorry, P.; Gaub, M.P.; LeMeur, M.; Chambon, P. High postnatal lethality and testis degeneration in retinoic acid receptor alpha mutant mice. Proc. Natl. Acad. Sci. USA 1993, 90, 7225–7229. [Google Scholar] [CrossRef]
- Gely-Pernot, A.; Raverdeau, M.; Celebi, C.; Dennefeld, C.; Feret, B.; Klopfenstein, M.; Yoshida, S.; Ghyselinck, N.B.; Mark, M. Spermatogonia differentiation requires retinoic acid receptor gamma. Endocrinology 2012, 153, 438–449. [Google Scholar] [CrossRef]
- Peer, N.R.; Law, S.M.; Murdoch, B.; Goulding, E.H.; Eddy, E.M.; Kim, K. Germ Cell-Specific Retinoic Acid Receptor alpha Functions in Germ Cell Organization, Meiotic Integrity, and Spermatogonia. Endocrinology 2018, 159, 3403–3420. [Google Scholar] [CrossRef]
- Gely-Pernot, A.; Raverdeau, M.; Teletin, M.; Vernet, N.; Feret, B.; Klopfenstein, M.; Dennefeld, C.; Davidson, I.; Benoit, G.; Mark, M.; et al. Retinoic Acid Receptors Control Spermatogonia Cell-Fate and Induce Expression of the SALL4A Transcription Factor. PLoS Genet. 2015, 11, e1005501. [Google Scholar] [CrossRef]
- Chung, S.S.; Wang, X.; Wolgemuth, D.J. Male sterility in mice lacking retinoic acid receptor alpha involves specific abnormalities in spermiogenesis. Differentiation 2005, 73, 188–198. [Google Scholar] [CrossRef]
- Chapellier, B.; Mark, M.; Garnier, J.M.; LeMeur, M.; Chambon, P.; Ghyselinck, N.B. A conditional floxed (loxP-flanked) allele for the retinoic acid receptor alpha (RARalpha) gene. Genesis 2002, 32, 87–90. [Google Scholar] [CrossRef]
- Sadate-Ngatchou, P.I.; Payne, C.J.; Dearth, A.T.; Braun, R.E. Cre recombinase activity specific to postnatal, premeiotic male germ cells in transgenic mice. Genesis 2008, 46, 738–742. [Google Scholar] [CrossRef]
- Kopp, J.L.; Dubois, C.L.; Schaffer, A.E.; Hao, E.; Shih, H.P.; Seymour, P.A.; Ma, J.; Sander, M. Sox9+ ductal cells are multipotent progenitors throughout development but do not produce new endocrine cells in the normal or injured adult pancreas. Development 2011, 138, 653–665. [Google Scholar] [CrossRef]
- Srinivas, S.; Watanabe, T.; Lin, C.S.; William, C.M.; Tanabe, Y.; Jessell, T.M.; Costantini, F. Cre reporter strains produced by targeted insertion of EYFP and ECFP into the ROSA26 locus. BMC Dev. Biol. 2001, 1, 4. [Google Scholar] [CrossRef]
- Gallagher, S.J.; Kofman, A.E.; Huszar, J.M.; Dannenberg, J.H.; DePinho, R.A.; Braun, R.E.; Payne, C.J. Distinct requirements for Sin3a in perinatal male gonocytes and differentiating spermatogonia. Dev. Biol. 2013, 373, 83–94. [Google Scholar] [CrossRef][Green Version]
- Barrionuevo, F.J.; Hurtado, A.; Kim, G.J.; Real, F.M.; Bakkali, M.; Kopp, J.L.; Sander, M.; Scherer, G.; Burgos, M.; Jimenez, R. Sox9 and Sox8 protect the adult testis from male-to-female genetic reprogramming and complete degeneration. eLife 2016, 5, e15635. [Google Scholar] [CrossRef]
- Patel, S.H.; O’Hara, L.; Atanassova, N.; Smith, S.E.; Curley, M.K.; Rebourcet, D.; Darbey, A.L.; Gannon, A.L.; Sharpe, R.M.; Smith, L.B. Low-dose tamoxifen treatment in juvenile males has long-term adverse effects on the reproductive system: Implications for inducible transgenics. Sci. Rep. 2017, 7, 8991. [Google Scholar] [CrossRef]
- Ahmed, E.A.; de Rooij, D.G. Staging of mouse seminiferous tubule cross-sections. Methods Mol. Biol. 2009, 558, 263–277. [Google Scholar]
- Russell, L.D.; Ettlin, R.A.; Hikim, A.P.S.; Clegg, E.D. Histological and Histopathological Evaluation of the Testis, 1st ed.; Cache River Press: Clearwater, FL, USA, 1990. [Google Scholar]
- Van Beek, M.E.; Meistrich, M.L. A method for quantifying synchrony in testes of rats treated with vitamin A deprivation and readministration. Biol. Reprod. 1990, 42, 424–431. [Google Scholar] [CrossRef]
- Testis Synchronisation Factor Code. Available online: https://github.com/VernetNadege/Testis_Synchronization_Factor_Code (accessed on 2 March 2022).
- Gaub, M.P.; Rochette-Egly, C.; Lutz, Y.; Ali, S.; Matthes, H.; Scheuer, I.; Chambon, P. Immunodetection of multiple species of retinoic acid receptor alpha: Evidence for phosphorylation. Exp. Cell Res. 1992, 201, 335–346. [Google Scholar] [CrossRef]
- Bao, J.; Ma, H.Y.; Schuster, A.; Lin, Y.M.; Yan, W. Incomplete cre-mediated excision leads to phenotypic differences between Stra8-iCre; Mov10l1(lox/lox) and Stra8-iCre; Mov10l1(lox/Delta) mice. Genesis 2013, 51, 481–490. [Google Scholar] [CrossRef]
- Long, M.A.; Rossi, F.M. Silencing inhibits Cre-mediated recombination of the Z/AP and Z/EG reporters in adult cells. PLoS ONE 2009, 4, e5435. [Google Scholar] [CrossRef]
- Lewandoski, M. Conditional control of gene expression in the mouse. Nat. Rev. Genet. 2001, 2, 743–755. [Google Scholar] [CrossRef]
- Lindner, L.; Cayrou, P.; Rosahl, T.W.; Zhou, H.H.; Birling, M.C.; Herault, Y.; Pavlovic, G. Droplet digital PCR or quantitative PCR for in-depth genomic and functional validation of genetically altered rodents. Methods 2021, 191, 107–119. [Google Scholar] [CrossRef] [PubMed]
- Hacker, A.; Capel, B.; Goodfellow, P.; Lovell-Badge, R. Expression of Sry, the mouse sex determining gene. Development 1995, 121, 1603–1614. [Google Scholar] [CrossRef]
- Jegou, B. The Sertoli cell in vivo and in vitro. Cell Biol. Toxicol. 1992, 8, 49–54. [Google Scholar] [CrossRef] [PubMed]
- Bellutti, L.; Abby, E.; Tourpin, S.; Messiaen, S.; Moison, D.; Trautmann, E.; Guerquin, M.J.; Rouiller-Fabre, V.; Habert, R.; Livera, G. Divergent Roles of CYP26B1 and Endogenous Retinoic Acid in Mouse Fetal Gonads. Biomolecules 2019, 9, 536. [Google Scholar] [CrossRef]
- Boskovic, G.; Desai, D.; Niles, R.M. Regulation of retinoic acid receptor alpha by protein kinase C in B16 mouse melanoma cells. J. Biol. Chem. 2002, 277, 26113–26119. [Google Scholar] [CrossRef]
- Hasegawa, K.; Saga, Y. Retinoic acid signaling in Sertoli cells regulates organization of the blood-testis barrier through cyclical changes in gene expression. Development 2012, 139, 4347–4355. [Google Scholar] [CrossRef]
- Sugimoto, R.; Nabeshima, Y.; Yoshida, S. Retinoic acid metabolism links the periodical differentiation of germ cells with the cycle of Sertoli cells in mouse seminiferous epithelium. Mech. Dev. 2012, 128, 610–624. [Google Scholar] [CrossRef]
- Yomogida, K.; Ohtani, H.; Harigae, H.; Ito, E.; Nishimune, Y.; Engel, J.D.; Yamamoto, M. Developmental stage- and spermatogenic cycle-specific expression of transcription factor GATA-1 in mouse Sertoli cells. Development 1994, 120, 1759–1766. [Google Scholar] [CrossRef]
- Zhou, Q.; Nie, R.; Prins, G.S.; Saunders, P.T.; Katzenellenbogen, B.S.; Hess, R.A. Localization of androgen and estrogen receptors in adult male mouse reproductive tract. J. Androl. 2002, 23, 870–881. [Google Scholar]
- Chung, S.S.; Wang, X.; Wolgemuth, D.J. Expression of retinoic acid receptor alpha in the germline is essential for proper cellular association and spermiogenesis during spermatogenesis. Development 2009, 136, 2091–2100. [Google Scholar] [CrossRef] [PubMed]







| Gene or Transgene | Forward Primer (5′ to 3′) | Reverse Primer (5′ to 3′) | Amplicon Size (bp) |
|---|---|---|---|
| Rara (+ allele) * | CAGGGAGGATGCTGTTTGTA | AACTGCTGCTCTGGGTCTCG | 371 |
| Rara (L2 allele) * | 427 | ||
| Rara (∆ allele) * | TACACTAACTACCCTTGACC | 357 | |
| Tg(Stra8-cre)1Reb and Tg(Sox9-cre/ERT2)1Msan | ATTTGCCTGCATTACCGGTC | ATCAACGTTTTCTTTTCGGA | 350 |
| Gt(ROSA)26Sortm1(EYFP)Cos (excised allele) | AAGGGAGCTGCAGTGGAGTA | TGGTGCAGATGAACTTCAGG | 620 |
| Antigen | Species | Reference | Source | Dilution | Antigen Retrieval | Secondary Antibody |
|---|---|---|---|---|---|---|
| AR | Rabbit | sc-816 | Santa Cruz Biotechnologies | 1/100 | Protocol 1 | Cy3-conjugated donkey anti-rabbit IgG |
| DDX4 | Rabbit | ab13840 | Abcam | 1/1000 | Protocol 1 | Cy3-conjugated goat anti-rabbit IgG |
| EYFP | Chicken | GFP-1020 | Aves | 1/1000 | Protocol 1 | Alexa Fluor 488-conjugated goat anti-chicken IgG |
| GATA1 | Rat | sc-265 | Santa Cruz Biotechnologies | 1/50 | Protocol 1 | Cy3-conjugated donkey anti-rat IgG |
| GATA4 | Goat | sc-1237 | Santa Cruz Biotechnologies | 1/75 | Protocol 1 | Alexa Fluor 488-conjugated donkey anti-goat IgG |
| RARA | Rabbit | RPalpha(F) | [30] | 1/50 | Protocol 2 | Cy3-conjugated donkey anti-rabbit IgG |
| RARA * | Rabbit | sc-551 | Santa Cruz Biotechnologies | 1/100 | Protocol 1 | Cy3-conjugated donkey anti-rabbit IgG |
| RARA * | Mouse | sc-515796 | Santa Cruz Biotechnologies | 1/25 | Protocol 1 | Cy3-conjugated donkey anti-mouse IgG |
| RARA ** | Mouse | NB200-322 | NovusBio | 1/1000 | Protocol 1 | Cy3-conjugated donkey anti-mouse IgG |
| RARA ** | Rabbit | NBP2-58082 | NovusBio | 1/100 | Protocol 2 | Cy3-conjugated donkey anti-rabbit IgG |
| RARA ** | Rabbit | CS-155-100 | Diagenode | 1/1000 | Protocol 2 | Cy3-conjugated donkey anti-rabbit IgG |
| RARA ** | Rabbit | C15310155 | Diagenode | 1/500 | Protocol 3 | Cy3-conjugated donkey anti-rabbit IgG |
| SOX9 | Rabbit | AB5535 | Merk Millipore | 1/1000 | Protocol 1 | Alexa Fluor 488-conjugated donkey anti-rabbit IgG |
Publisher’s Note: MDPI stays neutral with regard to jurisdictional claims in published maps and institutional affiliations. |
© 2022 by the authors. Licensee MDPI, Basel, Switzerland. This article is an open access article distributed under the terms and conditions of the Creative Commons Attribution (CC BY) license (https://creativecommons.org/licenses/by/4.0/).
Share and Cite
Condrea, D.; Souali-Crespo, S.; Féret, B.; Klopfenstein, M.; Faisan, S.; Mark, M.; Ghyselinck, N.B.; Vernet, N. Retinoic Acid Receptor Alpha Is Essential in Postnatal Sertoli Cells but Not in Germ Cells. Cells 2022, 11, 891. https://doi.org/10.3390/cells11050891
Condrea D, Souali-Crespo S, Féret B, Klopfenstein M, Faisan S, Mark M, Ghyselinck NB, Vernet N. Retinoic Acid Receptor Alpha Is Essential in Postnatal Sertoli Cells but Not in Germ Cells. Cells. 2022; 11(5):891. https://doi.org/10.3390/cells11050891
Chicago/Turabian StyleCondrea, Diana, Sirine Souali-Crespo, Betty Féret, Muriel Klopfenstein, Sylvain Faisan, Manuel Mark, Norbert B. Ghyselinck, and Nadège Vernet. 2022. "Retinoic Acid Receptor Alpha Is Essential in Postnatal Sertoli Cells but Not in Germ Cells" Cells 11, no. 5: 891. https://doi.org/10.3390/cells11050891
APA StyleCondrea, D., Souali-Crespo, S., Féret, B., Klopfenstein, M., Faisan, S., Mark, M., Ghyselinck, N. B., & Vernet, N. (2022). Retinoic Acid Receptor Alpha Is Essential in Postnatal Sertoli Cells but Not in Germ Cells. Cells, 11(5), 891. https://doi.org/10.3390/cells11050891

