Development of a Recombinase Polymerase Amplification and CRISPR-Cas12a-Based Assay for Rapid Detection of Rice Bakanae Disease Caused by Fusarium fujikuroi
Abstract
1. Introduction
2. Materials and Methods
2.1. Isolation of Fusarium Species
2.2. DNA Extraction from Fusarium Strains and Infected Rice Samples
2.3. PCR of the TEF-1α and Phylogenetic Analysis
2.4. RPA Primer, crRNA, and ssDNA Reporter Design
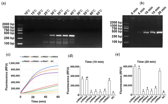
2.5. RPA Amplification and Optimizing Reaction Conditions
2.6. RPA-Cas12a Fluorescence (RPA-Cas12a-F) Detection Assay for F. fujikuroi
2.7. Construction and Purification of Reference Plasmid pUC57-18S
2.8. RPA-Cas12a Lateral Flow Strip (RPA-Cas12a-LFS) Detection Assay for F. fujikuroi
3. Results
3.1. Isolation and Molecular Identification of Fusarium Species
3.2. Establishing the RPA-Cas12a Fluorescence (RPA-Cas12a-F) Detection Assay for F. fujikuroi
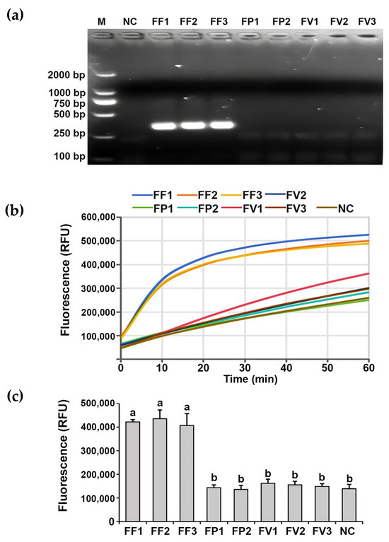
3.3. Specificity Evaluation of the RPA-Cas12a-F Assay
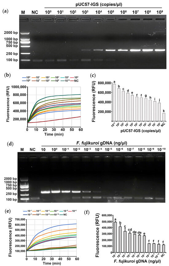
3.4. Sensitivity Evaluation of the RPA-Cas12a-F Assay
3.5. Establishing the RPA-Cas12a Lateral Flow Strip (RPA-Cas12a-LFS) Detection Assay
3.6. Evaluation of the Performance of the RPA-Cas12a-F and RPA-Cas12a-LFS Assays for the Detection of F. fujikuroi in Infected Rice Plants
4. Discussion
5. Conclusions
Supplementary Materials
Author Contributions
Funding
Data Availability Statement
Conflicts of Interest
Abbreviations
| RPA | Recombinase polymerase amplification |
| LOD | Limit of detection |
| gDNA | Genomic DNA |
| LFS | Lateral flow strip |
| LAMP | Loop-mediated isothermal amplification |
| crRNA | CRISPR RNA |
| dsDNA | Double-stranded DNA |
| PAM | Protospacer adjacent motif |
| ssDNA | Single-stranded DNA |
| PDA | Potato dextrose agar |
| NC | Negative control |
| HP | Health plant |
| BDP | Bakanae disease plant |
| TS | Target strand |
| NTS | Non-target strand |
References
- Wulff, E.G.; Sørensen, J.L.; Lübeck, M.; Nielsen, K.F.; Thrane, U.; Torp, J. Fusarium spp. associated with rice Bakanae: Ecology, genetic diversity, pathogenicity and toxigenicity. Environ. Microbiol. 2010, 12, 649–657. [Google Scholar] [CrossRef] [PubMed]
- Gupta, A.; Solanki, I.; Bashyal, B.; Singh, Y.; Srivastava, K. Bakanae of rice—An emerging disease in Asia. J. Anim. Plant Sci. 2015, 25, 1499–1514. [Google Scholar]
- Carneiro, G.A.; Matić, S.; Ortu, G.; Garibaldi, A.; Spadaro, D.; Gullino, M.L. Development and Validation of a TaqMan Real-Time PCR Assay for the Specific Detection and Quantification of Fusarium fujikuroi in Rice Plants and Seeds. Phytopathology 2017, 107, 885–892. [Google Scholar] [CrossRef]
- Yuan, Y.; Rong, Z.; Ye, W.; Zhang, H.; Zhuang, Y.; Zheng, X. Detection of seed-borne rice bakanae pathogens in Jiangsu Province, China using loop-mediated isothermal amplification assays. Chin. J. Rice Sci. 2018, 32, 493–500. [Google Scholar]
- Jiang, H.; Wu, N.; Jin, S.; Ahmed, T.; Wang, H.; Li, B.; Wu, X.; Bao, Y.; Liu, F.; Zhang, J.-Z. Identification of Rice Seed-Derived Fusarium spp. and Development of LAMP Assay against Fusarium fujikuroi. Pathogens 2021, 10, 1. [Google Scholar] [CrossRef]
- Ain, N.; Zainudin, N.A.I.M.; Razak, A.; Salleh, B. Bakanae Disease of Rice in Malaysia and Indonesia: Etiology of the Causal Agent Based on Morphological, Physiological and Pathogenicity Characteristics. J. Plant Prot. Res. 2008, 48, 475–485. [Google Scholar]
- Shakeel, Q.; Mubeen, M.; Sohail, M.A.; Ali, S.; Iftikhar, Y.; Bajwa, R.T.; Aqueel, M.A.; Upadhyay, S.K.; Divvela, P.K.; Zhou, L. An explanation of the mystifying bakanae disease narrative for tomorrow’s rice. Front. Microbiol. 2023, 14, 1153437. [Google Scholar] [CrossRef]
- Matic, S.; Gullino, M.L.; Spadaro, D. The puzzle of bakanae disease through interactions between Fusarium fujikuroi and rice. Front. Biosci. 2017, 9, 333–344. [Google Scholar]
- Hwang, I.S.; Kang, W.-R.; Hwang, D.-J.; Bae, S.-C.; Yun, S.-H.; Ahn, I.-P. Evaluation of bakanae disease progression caused by Fusarium fujikuroi in Oryza sativa L. J. Microbiol. 2013, 51, 858–865. [Google Scholar] [CrossRef]
- Rong, Z.; Yuan, Y.; Ye, W.; Wang, X.; Zheng, X. Rapid diagnosis of rice bakanae caused by Fusarium fujikuroi and F. proliferatum using loop-mediated isothermal amplification assays. J. Phytopathol. 2018, 166, 283–290. [Google Scholar] [CrossRef]
- Zhang, S.Y.; Dai, D.J.; Wang, H.D.; Zhang, C.Q. One-step loop-mediated isothermal amplification (LAMP) for the rapid and sensitive detection of Fusarium fujikuroi in bakanae disease through NRPS31, an important gene in the gibberellic acid bio-synthesis. Sci. Rep. 2019, 9, 3726. [Google Scholar] [CrossRef] [PubMed]
- Shmakov, S.; Smargon, A.; Scott, D.; Cox, D.; Pyzocha, N.; Yan, W.; Abudayyeh, O.O.; Gootenberg, J.S.; Makarova, K.S.; Wolf, Y.I.; et al. Diversity and evolution of class 2 CRISPR–Cas systems. Nat. Rev. Microbiol. 2017, 15, 169–182. [Google Scholar] [CrossRef]
- Zetsche, B.; Gootenberg, J.S.; Abudayyeh, O.O.; Slaymaker, I.M.; Makarova, K.S.; Essletzbichler, P.; Volz, S.E.; Joung, J.; van der Oost, J.; Regev, A.; et al. Cpf1 Is a Single RNA-Guided Endonuclease of a Class 2 CRISPR-Cas System. Cell 2015, 163, 759–771. [Google Scholar] [CrossRef]
- Li, S.-Y.; Cheng, Q.-X.; Wang, J.-M.; Li, X.-Y.; Zhang, Z.-L.; Gao, S.; Cao, R.-B.; Zhao, G.-P.; Wang, J. CRISPR-Cas12a-assisted nucleic acid detection. Cell Discov. 2018, 4, 20. [Google Scholar] [CrossRef]
- Chen, J.S.; Ma, E.; Harrington, L.B.; Da Costa, M.; Tian, X.; Palefsky, J.M.; Doudna, J.A. CRISPR-Cas12a target binding unleashes indiscriminate single-stranded DNase activity. Science 2018, 360, 436–439. [Google Scholar] [CrossRef]
- East-Seletsky, A.; O’Connell, M.R.; Burstein, D.; Knott, G.J.; Doudna, J.A. RNA Targeting by Functionally Orthogonal Type VI-A CRISPR-Cas Enzymes. Mol. Cell 2017, 66, 373–383.e3. [Google Scholar] [CrossRef]
- Gootenberg, J.S.; Abudayyeh, O.O.; Kellner, M.J.; Joung, J.; Collins, J.J.; Zhang, F. Multiplexed and portable nucleic acid detection platform with Cas13, Cas12a, and Csm6. Science 2018, 360, 439–444. [Google Scholar] [CrossRef]
- Li, Y.; Li, S.; Wang, J.; Liu, G. CRISPR/Cas Systems towards Next-Generation Biosensing. Trends Biotechnol. 2019, 37, 730–743. [Google Scholar] [CrossRef]
- Zhang, A.; Sun, B.; Zhang, J.; Cheng, C.; Zhou, J.; Niu, F.; Luo, Z.; Yu, L.; Yu, C.; Dai, Y.; et al. CRISPR/Cas12a Coupled with Recombinase Polymerase Amplification for Sensitive and Specific Detection of Aphelenchoides besseyi. Front. Bioeng. Biotechnol. 2022, 10, 912959. [Google Scholar] [CrossRef]
- Zhang, Y.-m.; Zhang, Y.; Xie, K. Evaluation of CRISPR/Cas12a-based DNA detection for fast pathogen diagnosis and GMO test in rice. Mol. Breed. 2020, 40, 11. [Google Scholar] [CrossRef]
- Zhu, Z.; Li, R.; Zhang, H.; Wang, J.; Lu, Y.; Zhang, D.; Yang, L. PAM-free loop-mediated isothermal amplification coupled with CRISPR/Cas12a cleavage (Cas-PfLAMP) for rapid detection of rice pathogens. Biosens. Bioelectron. 2022, 204, 114076. [Google Scholar] [CrossRef] [PubMed]
- Leslie, J.F.; Summerell, B.A. Practical Approaches to Identification. In The Fusarium Laboratory Manual; Blackwell: Hoboken, NJ, USA, 2006; pp. 101–110. [Google Scholar]
- O’Donnell, K.; Kistler, H.C.; Cigelnik, E.; Ploetz, R.C. Multiple evolutionary origins of the fungus causing Panama disease of banana: Concordant evidence from nuclear and mitochondrial gene genealogies. Proc. Natl. Acad. Sci. USA 1998, 95, 2044–2049. [Google Scholar] [CrossRef]
- Kumar, S.; Stecher, G.; Li, M.; Knyaz, C.; Tamura, K. MEGA X: Molecular Evolutionary Genetics Analysis across Computing Platforms. Mol. Biol. Evol. 2018, 35, 1547–1549. [Google Scholar] [CrossRef]
- Leslie, J.F.; Anderson, L.L.; Bowden, R.L.; Lee, Y.-W. Inter- and intra-specific genetic variation in Fusarium. Int. J. Food Microbiol. 2007, 119, 25–32. [Google Scholar] [CrossRef]
- Desjardins, A.E.; Manandhar, H.K.; Plattner, R.D.; Manandhar, G.G.; Poling, S.M.; Maragos, C.M. Fusarium Species from Nepalese Rice and Production of Mycotoxins and Gibberellic Acid by Selected Species. Appl. Environ. Microbiol. 2000, 66, 1020–1025. [Google Scholar] [CrossRef]
- Amatulli, M.T.; Spadaro, D.; Gullino, M.L.; Garibaldi, A. Conventional and real-time PCR for the identification of Fusarium fujikuroi and Fusarium proliferatum from diseased rice tissues and seeds. Eur. J. Plant Pathol. 2012, 134, 401–408. [Google Scholar] [CrossRef]
- Amatulli, M.T.; Spadaro, D.; Gullino, M.L.; Garibaldi, A. Molecular identification of Fusarium spp. associated with bakanae disease of rice in Italy and assessment of their pathogenicity. Plant Pathol. 2010, 59, 839–844. [Google Scholar] [CrossRef]
- Qiu, J.; Lu, Y.; He, D.; Lee, Y.-W.; Ji, F.; Xu, J.; Shi, J. Fusarium fujikuroi Species Complex Associated With Rice, Maize, and Soybean From Jiangsu Province, China: Phylogenetic, Pathogenic, and Toxigenic Analysis. Plant Dis. 2020, 104, 2193–2201. [Google Scholar] [CrossRef]
- Choi, J.-H.; Lee, S.; Nah, J.-Y.; Kim, H.-K.; Paek, J.-S.; Lee, S.; Ham, H.; Hong, S.K.; Yun, S.-H.; Lee, T. Species composition of and fumonisin production by the Fusarium fujikuroi species complex isolated from Korean cereals. Int. J. Food Microbiol. 2018, 267, 62–69. [Google Scholar] [CrossRef]
- Steenkamp Emma, T.; Brenda, D.W.; Teresa, A.C.; Kurt, A.Z.; Michael, J.W.; Walter, F.O.M.; John, F.L. PCR-Based Identification of MAT-1 andMAT-2 in the Gibberella fujikuroi Species Complex. Appl. Environ. Microbiol. 2000, 66, 4378–4382. [Google Scholar] [CrossRef]
- Pramunadipta, S.; Widiastuti, A.; Wibowo, A.; Suga, H.; Priyatmojo, A. Development of PCR-RFLP Technique for Identify Several Members of Fusarium incarnatum-equiseti Species Complex and Fusarium fujikuroi Species Complex. Plant Pathol. J. 2022, 38, 254–260. [Google Scholar] [CrossRef] [PubMed]
- Sunani, S.K.; Bashyal, B.M.; Rawat, K.; Manjunatha, C.; Sharma, S.; Prakash, G.; Krishnan, S.G.; Singh, A.K.; Aggarwal, R. Development of PCR and loop mediated isothermal amplification assay for the detection of bakanae pathogen Fusarium fujikuroi. Eur. J. Plant Pathol. 2019, 154, 715–725. [Google Scholar] [CrossRef]
- Notomi, T.; Okayama, H.; Masubuchi, H.; Yonekawa, T.; Watanabe, K.; Amino, N.; Hase, T. Loop-mediated isothermal amplification of DNA. Nucleic Acids Res. 2000, 28, e63. [Google Scholar] [CrossRef] [PubMed]
- Sanna, M.; Spadaro, D.; Gullino, M.L.; Mezzalama, M. Optimization of a Loop-Mediated Isothermal Amplification Assay for On-Site Detection of Fusarium fujikuroi in Rice Seed. Agronomy 2021, 11, 1580. [Google Scholar] [CrossRef]
- Ortega, S.F.; Tomlinson, J.; Hodgetts, J.; Spadaro, D.; Gullino, M.L.; Boonham, N. Development of Loop-Mediated Isothermal Amplification Assays for the Detection of Seedborne Fungal Pathogens Fusarium fujikuroi and Magnaporthe oryzae in Rice Seed. Plant Dis. 2018, 102, 1549–1558. [Google Scholar] [CrossRef]
- Jian, D.; Wang, B.; Huang, H.; Meng, X.; Liu, C.; Xue, L.; Liu, F.; Wang, S. Sunlight based handheld smartphone spectrometer. Biosens. Bioelectron. 2019, 143, 111632. [Google Scholar] [CrossRef]
- Yamano, T.; Nishimasu, H.; Zetsche, B.; Hirano, H.; Slaymaker, I.M.; Li, Y.; Fedorova, I.; Nakane, T.; Makarova, K.S.; Koonin, E.V.; et al. Crystal Structure of Cpf1 in Complex with Guide RNA and Target DNA. Cell 2016, 165, 949–962. [Google Scholar] [CrossRef]
- Swarts, D.C.; van der Oost, J.; Jinek, M. Structural Basis for Guide RNA Processing and Seed-Dependent DNA Targeting by CRISPR-Cas12a. Mol. Cell 2017, 66, 221–233.e4. [Google Scholar] [CrossRef]
- Strohkendl, I.; Saifuddin, F.A.; Rybarski, J.R.; Finkelstein, I.J.; Russell, R. Kinetic Basis for DNA Target Specificity of CRISPR-Cas12a. Mol. Cell 2018, 71, 816–824.e3. [Google Scholar] [CrossRef]







| Name | Sequences (5′-3′) |
|---|---|
| RPA-F | TAGGTACAGGGTAGGCACAGGGTAGGTAGAAG |
| RPA-R | ACATCTGCTCGGGAAGACCGACTTTCCAATTT |
| crRNA1 | AAUUUCUACUGUUGUAGAUCAAAGGUGGGUGUGAAAUUG |
| crRNA2 | AAUUUCUACUGUUGUAGAUCAAUUUCACACCCACCUUUG |
| crRNA3 | AAUUUCUACUGUUGUAGAUCUUGAGAAACGACGGUCUU |
| crRNA4 | AAUUUCUACUGUUGUAGAUCAAAGGUGGGUGUGAAAUU |
| crRNA5 | AAUUUCUACUGUUGUAGAUACACCCACCUUUGCAAAGU |
| crRNA6 | AAUUUCUACUGUUGUAGAUACCUACCCUUAGAGUAGUC |
| crRNA7 | AAUUUCUACUGUUGUAGAUCAAUUUCACACCCACCUUU |
| HB-reporter | HEX-TTTTTTTTTT-BHQ1 |
| FB-reporter | 6FAM-TTTTTTTTTT-Biotin |
Disclaimer/Publisher’s Note: The statements, opinions and data contained in all publications are solely those of the individual author(s) and contributor(s) and not of MDPI and/or the editor(s). MDPI and/or the editor(s) disclaim responsibility for any injury to people or property resulting from any ideas, methods, instructions or products referred to in the content. |
© 2025 by the authors. Licensee MDPI, Basel, Switzerland. This article is an open access article distributed under the terms and conditions of the Creative Commons Attribution (CC BY) license (https://creativecommons.org/licenses/by/4.0/).
Share and Cite
Li, H.; Qiu, Y.; Zhang, A.; Hu, Y.; Cheng, C.; Zhou, J.; Niu, F.; Sun, B.; Dai, Y.; Xie, K.; et al. Development of a Recombinase Polymerase Amplification and CRISPR-Cas12a-Based Assay for Rapid Detection of Rice Bakanae Disease Caused by Fusarium fujikuroi. Agronomy 2025, 15, 577. https://doi.org/10.3390/agronomy15030577
Li H, Qiu Y, Zhang A, Hu Y, Cheng C, Zhou J, Niu F, Sun B, Dai Y, Xie K, et al. Development of a Recombinase Polymerase Amplification and CRISPR-Cas12a-Based Assay for Rapid Detection of Rice Bakanae Disease Caused by Fusarium fujikuroi. Agronomy. 2025; 15(3):577. https://doi.org/10.3390/agronomy15030577
Chicago/Turabian StyleLi, Hongyu, Yue Qiu, Anpeng Zhang, Yingxiong Hu, Can Cheng, Jihua Zhou, Fuan Niu, Bin Sun, Yuting Dai, Kaizhen Xie, and et al. 2025. "Development of a Recombinase Polymerase Amplification and CRISPR-Cas12a-Based Assay for Rapid Detection of Rice Bakanae Disease Caused by Fusarium fujikuroi" Agronomy 15, no. 3: 577. https://doi.org/10.3390/agronomy15030577
APA StyleLi, H., Qiu, Y., Zhang, A., Hu, Y., Cheng, C., Zhou, J., Niu, F., Sun, B., Dai, Y., Xie, K., Feng, Z., Ding, X., Hu, B., Zhang, X., Cao, L., & Chu, H. (2025). Development of a Recombinase Polymerase Amplification and CRISPR-Cas12a-Based Assay for Rapid Detection of Rice Bakanae Disease Caused by Fusarium fujikuroi. Agronomy, 15(3), 577. https://doi.org/10.3390/agronomy15030577

