Insights into Nano-Scale Physical and Mechanical Properties of Epoxy/Boehmite Nanocomposite Using Different AFM Modes
Abstract
:1. Introduction
2. Materials and Methods
2.1. Materials and Sample Preparation
2.2. Intermodulation AFM
2.3. Scanning Kelvin Probe Microscopy
3. Results
3.1. ImAFM and SKPM Studies on Epoxy with 5 wt % BNP
- (1)
- Dark blue points are related to pure BNP particles as they exhibit negative surface potential values (from −0.3 V to −0.5 V). They have large distributions of stiffness varying from 5 up to 22. The variation of stiffness values in the area related to pure BNPs can be due to following reasons: (i) Due to anisotropic nature of boehmite crystals, force curves obtained from different orientations show different stiffness values. (ii) Particles which are present in the nanocomposites are in fact secondary particles which are formed by aggregation of several primary particles with the size of 14 nms. Therefore, while in contact with the tip, several intra and inter-slippage between layers can occur which helps the deformation and results in apparent stiffness values which may be lower than the actual values.
- (2)
- Green points are related to the pure matrix, far from the particle, according to their surface potential values. In this area, potential values are mostly positive and have a narrower distribution (between −0.05 and 0.2 V) compared to that of BNPs. The stiffness variation in epoxy matrix is high the values are distributed between 5 to 50. The broad distribution of stiffness in epoxy phase is due to following reasons: i) Inhomogeneous phases in epoxy-anhydride cured systems which has been already reported in several studies [35,36]. ii) Local changes in stoichiometric ratio which results in changes in the chemical structure of the network density and thus affect the mechanical properties of the epoxy [33].
- (3)
- The light blue cloud is related to the matrix in the immediate proximity of particles. This interfacial region has a gradient potential, but no gradient in stiffness is observed. The potential values start from low values in vicinity of particles (−0.3 V) increasing up to 0.05 V when getting close to the pure matrix. In all distances from the particle, the interphase shows stiffness values between 1 to 5. The homogenous interphase is unlike commonly reported interphase formation in which there was a gradient in property changes were observed [12]. The soft interphase appears as a phase segregation which can be due to several effects. One is the preferential absorption of one of epoxy components (DGEBA monomers or anhydride curing agents) on the surface of BNPs. This hypothesis is discussed further in Section 4.
3.2. ImAFM Studies on Neat Epoxy and Epoxy with 15 wt % BNP
4. Discussion
5. Conclusions
Author Contributions
Funding
Acknowledgments
Conflicts of Interest
Appendix A

Appendix B
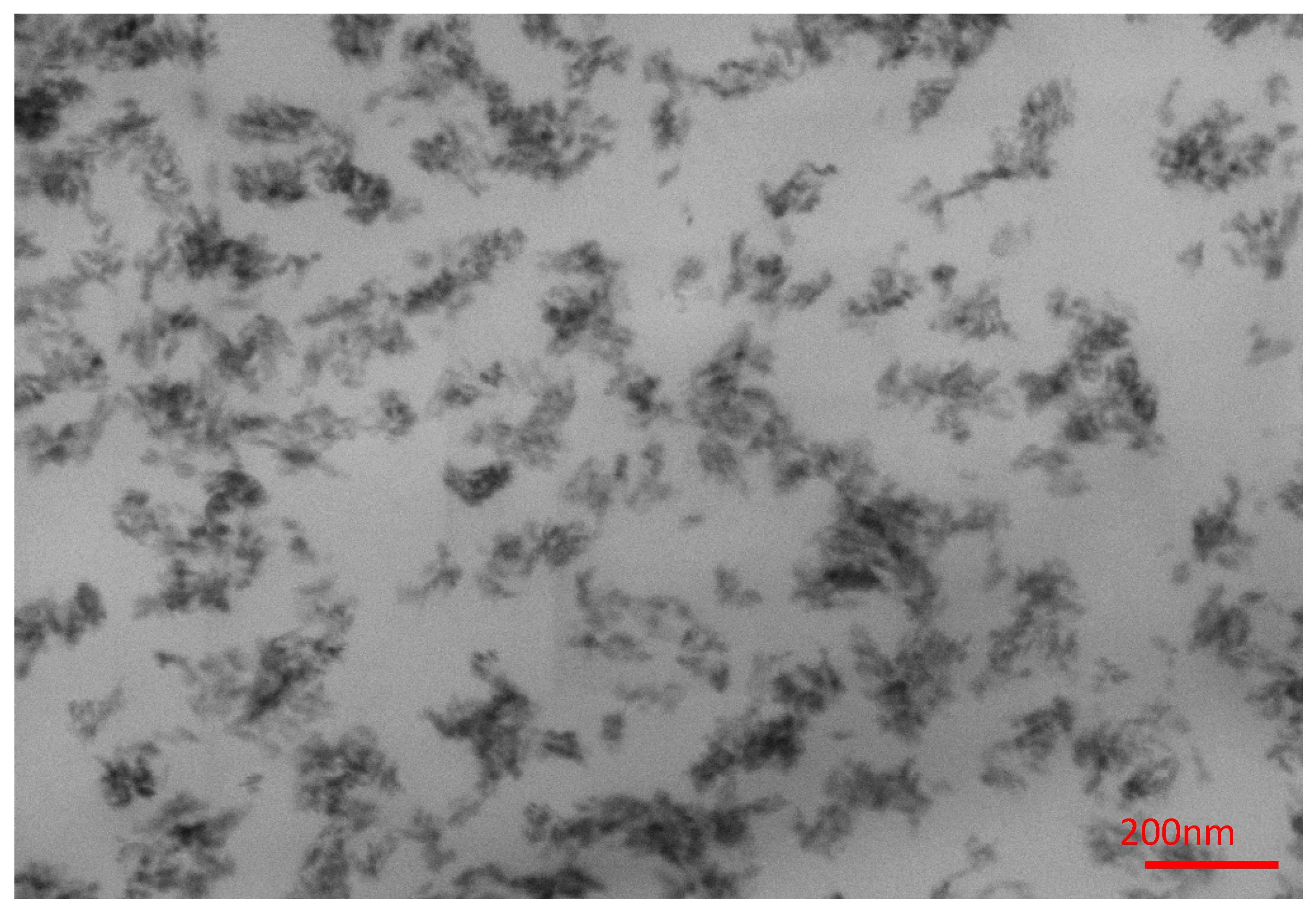
Appendix C. Overview of Nanoparticle Distribution in EP/BNP5

Appendix D
Analysis of Topography Artifacts in Measured Stiffness

Appendix E

Appendix F

References
- May, C. Epoxy Resins: Chemistry and Technology; CRC Press: Boca Raton, FL, USA, 1987. [Google Scholar]
- Kim, B.C.; Park, S.W. Fracture toughness of the nano-particle reinforced epoxy composite. Compos. Struct. 2008, 86, 69–77. [Google Scholar] [CrossRef]
- Wu, Z.; Zhuo, Q.; Sun, T.; Wang, Z. Mechanical properties of epoxy resins reinforced with synthetic boehmite (AlOOH) nanosheets. J. Appl. Polym. Sci. 2015, 132. [Google Scholar] [CrossRef]
- Arlt, C. Wirkungsweisen Nanoskaliger Böhmite in Einem Polymer und Seinem Kohlenstofffaserverbund unter Druckbelastung; Otto-von-Guericke Universität Magdeburg: Magdeburg, Germany, 2011. [Google Scholar]
- Chen, W.; Wu, S.; Lei, Y.; Liao, Z.; Guo, B.; Liang, X.; Jia, D. Interfacial structure and performance of rubber/boehmite nanocomposites modified by methacrylic acid. Polymer 2011, 52, 4387–4395. [Google Scholar] [CrossRef]
- Özdilek, C.; Kazimierczak, K.; van der Beek, D.; Picken, S.J. Preparation and properties of polyamide-6-boehmite nanocomposites. Polymer 2004, 45, 5207–5214. [Google Scholar] [CrossRef]
- Karger-Kocsis, J.; Lendvai, L. Polymer/boehmite nanocomposites: A review. J. Appl. Polym. Sci. 2018, 135, 45573. [Google Scholar] [CrossRef]
- Jux, M.; Finke, B.; Mahrholz, T.; Sinapius, M.; Kwade, A.; Schilde, C. Effects of Al (OH) O nanoparticle agglomerate size in epoxy resin on tension, bending, and fracture properties. J. Nanopart. Res. 2017, 19, 139. [Google Scholar] [CrossRef]
- Jux, M.; Fankhänel, J.; Daum, B.; Mahrholz, T.; Sinapius, M.; Rolfes, R. Mechanical properties of epoxy/boehmite nanocomposites in dependency of mass fraction and surface modification-An experimental and numerical approach. Polymer 2018, 141, 34–45. [Google Scholar] [CrossRef]
- Munz, M.; Sturm, H.; Schulz, E.; Hinrichsen, G. The scanning force microscope as a tool for the detection of local mechanical properties within the interphase of fibre reinforced polymers. Compos. Part A Appl. Sci. 1998, 29, 1251–1259. [Google Scholar] [CrossRef]
- Voyiatzis, E.; Rahimi, M.; Müller-Plathe, F.; Böhm, M.C. How thick is the polymer interphase in nanocomposites? Probing it by local stress anisotropy and gas solubility. Macromolecules 2014, 47, 7878–7889. [Google Scholar] [CrossRef]
- Chung, J.; Munz, M.; Sturm, H. Stiffness variation in the interphase of amine-cured epoxy adjacent to copper microstructures. Surf. Interface Anal. 2007, 39, 624–633. [Google Scholar] [CrossRef]
- Elabshihy, K. Characterization of Epoxy/Copper Interphases Using Nanoindentation. Ph.D. Thesis, Technische Universität Berlin, Berlin, Germany, 2016. [Google Scholar]
- Holt, A.P.; Griffin, P.J.; Bocharova, V.; Agapov, A.L.; Imel, A.E.; Dadmun, M.D.; Sangoro, J.R.; Sokolov, A.P. Dynamics at the polymer/nanoparticle interface in poly (2-vinylpyridine)/silica nanocomposites. Macromolecules 2014, 47, 1837–1843. [Google Scholar] [CrossRef]
- Qiao, R.; Brinson, L.C. Simulation of interphase percolation and gradients in polymer nanocomposites. Compos. Sci. Technol. 2009, 69, 491–499. [Google Scholar] [CrossRef]
- Wang, Z.; Lv, Q.; Chen, S.; Li, C.; Sun, S.; Hu, S. Effect of Interfacial Bonding on Interphase Properties in SiO2/Epoxy Nanocomposite: A Molecular Dynamics Simulation Study. ACS Appl. Mater. Interfaces 2016, 8, 7499–7508. [Google Scholar] [CrossRef] [PubMed]
- Hu, H.; Onyebueke, L.; Abatan, A. Characterizing and modeling mechanical properties of nanocomposites-review and evaluation. J. Miner. Mater. Charact. Eng. 2010, 9, 275. [Google Scholar] [CrossRef]
- Purohit, P.J.; Wang, D.-Y.; Wurm, A.; Schick, C.; Schönhals, A. Comparison of thermal and dielectric spectroscopy for nanocomposites based on polypropylene and layered double hydroxide–proof of interfaces. Eur. Polym. J. 2014, 55, 48–56. [Google Scholar] [CrossRef]
- Butt, H.-J.; Cappella, B.; Kappl, M. Force measurements with the atomic force microscope: Technique, interpretation and applications. Surf. Sci. Rep. 2005, 59, 1–152. [Google Scholar] [CrossRef]
- Silbernagl, D.; Cappella, B. Reconstruction of a hidden topography by single AFM force–distance curves. Surf. Sci. 2009, 603, 2363–2369. [Google Scholar] [CrossRef]
- Magonov, S.; Elings, V.; Whangbo, M. Phase imaging and stiffness in tapping-mode atomic force microscopy. Surf. Sci. 1997, 375, L385–L391. [Google Scholar] [CrossRef]
- Melitz, W.; Shen, J.; Kummel, A.C.; Lee, S. Kelvin probe force microscopy and its application. Surf. Sci. Rep. 2011, 66, 1–27. [Google Scholar] [CrossRef]
- Schmutz, P.; Frankel, G. Corrosion study of AA2024-T3 by scanning kelvin probe force microscopy and in situ atomic force microscopy scratching. J. Electrochem. Soc. 1998, 145, 2295–2306. [Google Scholar] [CrossRef]
- Salerno, M.; Dante, S. Scanning Kelvin Probe Microscopy: Challenges and Perspectives towards Increased Application on Biomaterials and Biological Samples. Materials 2018, 11, 951. [Google Scholar] [CrossRef] [PubMed]
- Cadena, M.J.; Reifenberger, R.G.; Raman, A. High resolution subsurface imaging using resonance-enhanced detection in 2nd-harmonic KPFM. Nanotechnology 2018, 29, 405702. [Google Scholar] [CrossRef] [PubMed]
- Platz, D.; Forchheimer, D.; Tholén, E.A.; Haviland, D.B. Interpreting motion and force for narrow-band intermodulation atomic force microscopy. Beilstein J. Nanotechnol. 2013, 4, 45. [Google Scholar] [CrossRef] [PubMed]
- Platz, D.; Tholén, E.A.; Pesen, D.; Haviland, D.B. Intermodulation atomic force microscopy. Appl. Phys. Lett. 2008, 92, 153106. [Google Scholar] [CrossRef]
- Platz, D.; Forchheimer, D.; Tholén, E.A.; Haviland, D.B. Interaction imaging with amplitude-dependence force spectroscopy. Nat. Commun. 2013, 4, 1360. [Google Scholar] [CrossRef] [PubMed]
- Claesson, P.M.; Dobryden, I.; Li, G.; He, Y.; Huang, H.; Thorén, P.A.; Haviland, D.B. From force curves to surface nanomechanical properties. Phys. Chem. Chem. Phys. 2017, 19, 23642–23657. [Google Scholar] [CrossRef] [PubMed]
- Kelvin, L.V. Contact electricity of metals. Dublin Philos. Mag. J. Sci. 1989, 46, 82–120. [Google Scholar] [CrossRef]
- Nonnenmacher, M.; O’Boyle, M.; Wickramasinghe, H.K. Kelvin probe force microscopy. Appl. Phys. Lett. 1991, 58, 2921–2923. [Google Scholar] [CrossRef]
- Castañeda-Uribe, O.A.; Reifenberger, R.; Raman, A.; Avila, A. Depth-sensitive subsurface imaging of polymer nanocomposites using second harmonic Kelvin probe force microscopy. ACS Nano 2015, 9, 2938–2947. [Google Scholar] [CrossRef]
- Khorasani, M.G.Z.; Silbernagl, D.; Szymoniak, P.; Hodoroaba, V.-D.; Sturm, H. The effect of boehmite (AlOOH) on nanomechanical and thermomechanical properties correlated to crosslinking density of epoxy in epoxy/boehmite nanocomposites. Polymer 2019, 164, 174–182. [Google Scholar] [CrossRef]
- Racich, J.L.; Koutsky, J.A. Nodular structure in epoxy resins. J. Appl. Polym. Sci. 1976, 20, 2111–2129. [Google Scholar] [CrossRef]
- Dušek, K.; Pleštil, J.; Lednický, F.; Luňák, S. Are cured epoxy resins inhomogeneous? Polymer 1978, 19, 393–397. [Google Scholar] [CrossRef]
- Kishi, H.; Naitou, T.; Matsuda, S.; Murakami, A.; Muraji, Y.; Nakagawa, Y. Mechanical properties and inhomogeneous nanostructures of dicyandiamide-cured epoxy resins. J. Polym. Sci. Part B Polym. Phys. 2007, 45, 1425–1434. [Google Scholar] [CrossRef]
- Fankhänel, J.; Silbernagl, D.; Ghasem Zadeh Khorasani, M.; Daum, B.; Kempe, A.; Sturm, H.; Rolfes, R. Mechanical Properties of Boehmite Evaluated by Atomic Force Microscopy Experiments and Molecular Dynamic Finite Element Simulations. J. Nanomater. 2016, 2016. [Google Scholar] [CrossRef]
- Exner, W.; Arlt, C.; Mahrholz, T.; Riedel, U.; Sinapius, M. Nanoparticles with various surface modifications as functionalized cross-linking agents for composite resin materials. Compos. Sci. Technol. 2012, 72, 1153–1159. [Google Scholar] [CrossRef]
- Gupta, V.; Drzal, L.; Lee, C.C.; Rich, M. The temperature-dependence of some mechanical properties of a cured epoxy resin system. Polym. Eng. Sci. 1985, 25, 812–823. [Google Scholar] [CrossRef]
- Ishida, H.; Allen, D.J. Mechanical characterization of copolymers based on benzoxazine and epoxy. Polymer 1996, 37, 4487–4495. [Google Scholar] [CrossRef]
- Affdl, J.; Kardos, J. The Halpin-Tsai equations: A review. Polym. Eng. Sci. 1976, 16, 344–352. [Google Scholar] [CrossRef]
- Zare, Y. Development of Halpin-Tsai model for polymer nanocomposites assuming interphase properties and nanofiller size. Polym. Test. 2016, 51, 69–73. [Google Scholar] [CrossRef]
- Shen, J.; Zhang, D.; Zhang, F.-H.; Gan, Y. AFM tip-sample convolution effects for cylinder protrusions. Appl. Surf. Sci. 2017, 422, 482–491. [Google Scholar] [CrossRef]








© 2019 by the authors. Licensee MDPI, Basel, Switzerland. This article is an open access article distributed under the terms and conditions of the Creative Commons Attribution (CC BY) license (http://creativecommons.org/licenses/by/4.0/).
Share and Cite
Ghasem Zadeh Khorasani, M.; Silbernagl, D.; Platz, D.; Sturm, H. Insights into Nano-Scale Physical and Mechanical Properties of Epoxy/Boehmite Nanocomposite Using Different AFM Modes. Polymers 2019, 11, 235. https://doi.org/10.3390/polym11020235
Ghasem Zadeh Khorasani M, Silbernagl D, Platz D, Sturm H. Insights into Nano-Scale Physical and Mechanical Properties of Epoxy/Boehmite Nanocomposite Using Different AFM Modes. Polymers. 2019; 11(2):235. https://doi.org/10.3390/polym11020235
Chicago/Turabian StyleGhasem Zadeh Khorasani, Media, Dorothee Silbernagl, Daniel Platz, and Heinz Sturm. 2019. "Insights into Nano-Scale Physical and Mechanical Properties of Epoxy/Boehmite Nanocomposite Using Different AFM Modes" Polymers 11, no. 2: 235. https://doi.org/10.3390/polym11020235
APA StyleGhasem Zadeh Khorasani, M., Silbernagl, D., Platz, D., & Sturm, H. (2019). Insights into Nano-Scale Physical and Mechanical Properties of Epoxy/Boehmite Nanocomposite Using Different AFM Modes. Polymers, 11(2), 235. https://doi.org/10.3390/polym11020235

