Multi-Platform Detection of MMP-7 in Colorectal Carcinoma
Simple Summary
Abstract
1. Introduction
2. Materials and Methods
2.1. Patients
2.2. Methods
3. Results
3.1. Gene Expression of MMP-7 from the Database Gepia
3.2. Protein Level
3.2.1. Results Obtained from Databases
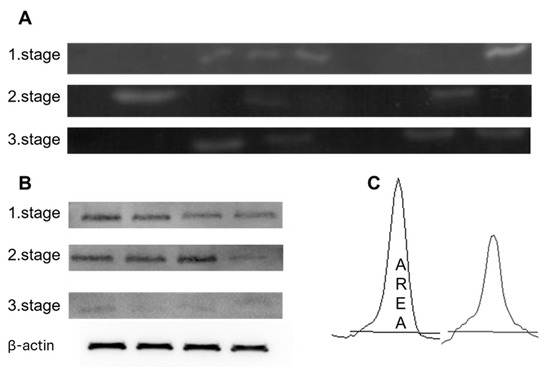
3.2.2. Our Results of MMP-7 Levels by Western Blot
3.2.3. Our Results of MMP-7 Levels by Zymography
3.2.4. Our ELISA Results of MMP7 Levels
4. Discussion
5. Conclusions
Supplementary Materials
Author Contributions
Funding
Institutional Review Board Statement
Informed Consent Statement
Data Availability Statement
Acknowledgments
Conflicts of Interest
References
- Morgan, E.; Arnold, M.; Gini, A.; Lorenzoni, V.; Cabasag, C.J.; Laversanne, M.; Vignat, J.; Ferlay, J.; Murphy, N.; Bray, F. Global burden of Colorectal Cancer in 2020 and 2040: Incidence and Mortality estimates from GLOBOCAN. Gut 2023, 72, 338–344. [Google Scholar] [CrossRef] [PubMed]
- Rasmussen, S.; Haastrup, P.F.; Balasubramaniam, K.; Elnegaard, S.; dePont Christensen, R.; Munch Storsveen, M.; Søndergaard, J.; Ejg Jarbøl, D. Predictive Values of Colorectal Cancer Alarm Symptoms in the General Population: A Nationwide Cohort Study. Br. J. Cancer 2019, 120, 595–600. [Google Scholar] [CrossRef] [PubMed]
- Zygulska, A.L.; Pierzchalski, P. Novel Diagnostic Biomarkers in Colorectal Cancer. Int. J. Mol. Sci. 2022, 23, 852. [Google Scholar] [CrossRef]
- Maslankova, J.; Vecurkovska, I.; Rabajdova, M.; Katuchova, J.; Kicka, M.; Gayova, M.; Katuch, V. Regulation of Transforming Growth Factor-β signaling as a Therapeutic Approach to Treating Colorectal Cancer. World J. Gastroenterol. 2022, 28, 4744–4761. [Google Scholar] [CrossRef]
- Duan, B.; Zhao, Y.; Bai, J.; Wang, J.; Duan, X.; Luo, X.; Zhang, R.; Pu, Y.; Kou, M.; Lei, J.; et al. Colorectal Cancer: An Overview. In Gastrointestinal Cancers; Morgado-Diaz, J.A., Ed.; Exon Publications: Brisbane, Australia, 2022. [Google Scholar] [CrossRef]
- Wang, W.; Kandimalla, R.; Huang, H.; Zhu, L.; Li, Y.; Gao, F.; Goel, A.; Wang, X. Molecular Subtyping of Colorectal Cancer: Recent Progress, New Challenges and Emerging Opportunities. Semin. Cancer Biol. 2019, 55, 37–52. [Google Scholar] [CrossRef]
- Quintero-Fabián, S.; Arreola, R.; Becerril-Villanueva, E.; Torres-Romero, J.C.; Arana-Argaez, V.; Lara-Riegos, J.; Ramirez-Camacho, M.A.; Alvarez-Sanchez, M.E. Role of Matrix Metalloproteinases in Angiogenesis and Cancer. Front. Oncol. 2019, 9, 1370. [Google Scholar] [CrossRef] [PubMed] [PubMed Central]
- Huang, X.; Lan, Y.; Li, E.; Deng, Q.; Deng, X. Diagnostic Values of MMP-7, MMP-9, MMP-11, TIMP-1, TIMP-2, CEA, and CA19-9 in Patients with Colorectal Cancer. J. Int. Med. Res. 2021, 49, 3000605211012570. [Google Scholar] [CrossRef] [PubMed] [PubMed Central]
- Barabás, L.; Hritz, I.; István, G.; Tulassay, Z.; Herszenyi, L. The Behavior of MMP-2, MMP-7, MMP-9, and Their Inhibitors TIMP-1 and TIMP-2 in Adenoma-Colorectal Cancer Sequence. Dig. Dis. 2021, 39, 217–224. [Google Scholar] [CrossRef] [PubMed]
- Liang, Y.; Lv, Z.; Huang, G.; Qin, J.; Li, H.; Nong, F.; Wen, B. Prognostic Significance of Abnormal Matrix Collagen Remodeling in Colorectal Cancer Based on Histologic and Bioinformatics Analysis. Oncol. Rep. 2020, 44, 1671–1685. [Google Scholar] [CrossRef] [PubMed] [PubMed Central]
- Bui, T.M.; Yalom, L.K.; Ning, E.; Urbanczyk, J.M.; Ren, X.; Herrnreiter, C.J.; Disario, J.A.; Wray, B.; Schipma, M.J.; Velichko, Y.S. Tissue-specific Reprogramming Leads to Angiogenic Neutrophil Specialization and Tumor Vascularization in Colorectal Cancer. J. Clin. Investig. 2024, 134, e174545. [Google Scholar] [CrossRef]
- Zucker, S.; Vacirca, J. Role of Matrix Metalloproteinases (MMPs) in Colorectal Cancer. Cancer Metastasis Rev. 2004, 23, 101–117. [Google Scholar] [CrossRef]
- Said, A.H.; Raufman, J.P.; Xie, G. The Role of Matrix Metalloproteinases in Colorectal Cancer. Cancers 2014, 6, 366–375. [Google Scholar] [CrossRef]
- Liao, H.Y.; Da, C.M.; Liao, B.; Zhang, H.H. Roles of Matrix Metalloproteinase-7 (MMP-7) in Cancer. Clin. Biochem. 2021, 92, 9–18. [Google Scholar] [CrossRef]
- Kraft, P.J.; Haynes-Johnson, D.E.; Patel, L.; Lenhart, J.A.; Zivin, R.A.; Palmer, S.S. Fluorescence polarization assay and SDS-PAGE confirms matrilysin degrades fibronectin and collagen IV whereas gelatinase A degrades collagen IV but not fibronectin. Connect. Tissue Res. 2001, 42, 149–163. [Google Scholar] [CrossRef] [PubMed]
- Noë, V.; Fingleton, B.; Jacobs, K.; Crawford, H.C.; Vermeulen, S.; Steelant, W.; Bruyneel, E.; Matrisian, L.M.; Mareel, M. Release of an invasion promoter E-cadherin fragment by matrilysin and stromelysin-1. J. Cell Sci. 2001, 114, 111–118. [Google Scholar] [CrossRef] [PubMed]
- McGuire, J.K.; Li, Q.; Parks, W.C. Matrilysin (matrix metalloproteinase-7) mediates E-cadherin ectodomain shedding in injured lung epithelium. Am. J. Pathol. 2003, 162, 1831–1843. [Google Scholar] [CrossRef] [PubMed] [PubMed Central]
- Remy, L.; Trespeuch, C.; Bachy, S.; Scoazec, J.Y.; Rousselle, P. Matrilysin 1 influences colon carcinoma cell migration by cleavage of the laminin-5 beta3 chain. Cancer Res. 2006, 66, 11228–11237. [Google Scholar] [CrossRef] [PubMed]
- Heinz, A.; Taddese, S.; Sippl, W.; Neubert, R.H.; Schmelzer, C.E. Insights into the degradation of human elastin by matrilysin-1. Biochimie 2011, 93, 187–194. [Google Scholar] [CrossRef] [PubMed]
- Ii, M.; Yamamoto, H.; Adachi, Y.; Maruyama, Y.; Shinomura, Y. Role of matrix metalloproteinase-7 (matrilysin) in human cancer invasion, apoptosis, growth, and angiogenesis. Exp. Biol. Med. 2006, 231, 20–27. [Google Scholar] [CrossRef] [PubMed]
- Szarvas, T.; Sevcenco, S.; Módos, O.; Keresztes, D.; Nyirády, P.; Csizmarik, A.; Ristl, R.; Puhr, M.; Hoffmann, M.J.; Niedworok, C.; et al. Matrix metalloproteinase 7, soluble Fas and Fas ligand serum levels for predicting docetaxel resistance and survival in castration-resistant prostate cancer. BJU Int. 2018, 122, 695–704. [Google Scholar] [CrossRef] [PubMed]
- Cabral-Pacheco, G.A.; Garza-Veloz, I.; Castruita-De la Rosa, C.; Ramirez-Acuna, J.M.; Perez-Romero, B.A.; Guerrero-Rodriguez, J.F.; Martinez-Avila, N.; Martinez-Fierro, M.L. The Roles of Matrix Metalloproteinases and Their Inhibitors in Human Diseases. Int. J. Mol. Sci. 2020, 21, 9739. [Google Scholar] [CrossRef] [PubMed]
- Klupp, F.; Neumann, L.; Kahlert, C.; Diers, J.; Halama, N.; Franz, C.; Schmidt, T.; Koch, M.; Weitz, J.; Schneider, M.; et al. Serum MMP7, MMP10 and MMP12 Level as Negative Prognostic Markers in Colon Cancer Patients. BMC Cancer 2016, 16, 494. [Google Scholar] [CrossRef]
- Bufu, T.; Di, X.; Yilin, Z.; Gege, L.; Xi, C.; Ling, W. Celastrol Inhibits Colorectal Cancer Cell Proliferation and Migration Through Suppression of MMP3 and MMP7 by the PI3K/AKT Signaling Pathway. Anticancer Drugs 2018, 29, 530–538. [Google Scholar] [CrossRef]
- Madzharova, E.; Kastl, P.; Sabino, F.; Auf dem Keller, U. Post-Translational Modification-Dependent Activity of Matrix Metalloproteinases. Int. J. Mol. Sci. 2019, 20, 3077. [Google Scholar] [CrossRef]
- Yadav, V.; Singh, T.; Sharma, D.; Garg, V.K.; Chakraborty, P.; Ghatak, S.; Satapathy, S.R. Unraveling the Regulatory Role of HuR/microRNA Axis in Colorectal Cancer Tumorigenesis. Cancers 2024, 16, 3183. [Google Scholar] [CrossRef]
- Yamamoto, K.; Murphy, G.; Troeberg, L. Extracellular Regulation of Metalloproteinases. Matrix Biol. 2015, 44-46, 255–263. [Google Scholar] [CrossRef] [PubMed]
- Han, B.; Zhou, B.; Qu, Y.; Gao, B.; Xu, Y.; Chung, S.; Tanaka, H.; Yang, W.; Giuliano, A.E.; Cui, X. FOXC1-induced Non-Canonical WNT5A-MMP7 Signaling Regulates Invasiveness in Triple-Negative Breast Cancer. Oncogene 2018, 37, 1399–1408. [Google Scholar] [CrossRef]
- Pesta, M.; Topolcan, O.; Holubec, L.; Rupert, K.; Cerna, M.; Sen Holubec, L.; Treska, V.; Finek, J.; Cerny, R. Clinicopathological Assessment and Quantitative Estimation of the Matrix Metalloproteinases MMP-2 and MMP-7 and the Inhibitors TIMP-1 and TIMP-2 in Colorectal Carcinoma Tissue Samples. Anticancer Res. 2007, 27, 1863–1867. [Google Scholar] [PubMed]
- Wu, Q.; Yang, Y.; Wu, S.; Li, W.; Zhang, N.; Dong, X.; Ou, Y. Evaluation of the Correlation of KAI1/CD82, CD44, MMP7 and β-catenin in the Prediction of Prognosis and Metastasis in Colorectal Carcinoma. Diagn. Pathol. 2015, 10, 176. [Google Scholar] [CrossRef] [PubMed]
- Vocka, M.; Langer, D.; Fryba, V.; Petrtyl, J.; Hanus, T.; Kalousova, M.; Zima, T.; Petruzelka, L. Serum Levels of TIMP-1 and MMP-7 as Potential Biomarkers in Patients with Metastatic Colorectal Cancer. Int. J. Biol. Markers 2019, 34, 292–301. [Google Scholar] [CrossRef]
- Wu, J.; Guan, X.; Li, Y.T.; Bai, P.; Wu, J. Matrix Metalloproteinase7-181A/G Polymorphism is Associated with Increased Cancer Risk Among High-Quality Studies: Evidence from a Meta-Analysis. Clin. Biochem. 2013, 46, 1649–1654. [Google Scholar] [CrossRef]
- Yueh, T.C.; Wu, C.N.; Hung, Y.W.; Chang, W.S.; Fu, C.K.; Pei, J.S.; Wu, M.H.; Lai, Y.M.; Lee, Y.M.; Yen, S.T.; et al. The Contribution of MMP-7 Genotypes to Colorectal Cancer Susceptibility in Taiwan. Cancer Genom. Proteom. 2018, 15, 207–212. [Google Scholar] [CrossRef]
- Zeng, Y.; Yao, X.; Chen, L.; Yan, Z.; Liu, J.; Zhang, Y.; Feng, T.; Wu, J.; Liu, X. Sphingosine-1-phosphate Induced Epithelial-Mesenchymal Transition of Hepatocellular Carcinoma via an MMP-7/ Syndecan-1/TGF-β Autocrine Loop. Oncotarget 2016, 7, 63324–63337. [Google Scholar] [CrossRef] [PubMed]
- Zhou, Y.; Wang, L.; Zhou, F. Clinical Significance of MMP7 Levels in Colorectal Cancer Patients Receiving FOLFOX4 Chemotherapy Treatment. Int. J. Gen. Med. 2023, 16, 2671–2678. [Google Scholar] [CrossRef] [PubMed]
- Tsokkou, S.; Konstantinidis, I.; Papakonstantinou, M.; Chatzikomnitsa, P.; Liampou, E.; Toutziari, E.; Giakoustidis, D.; Bangeas, P.; Papadopoulos, V.; Giakoustidis, A. Sex Differences in Colorectal Cancer: Epidemiology, Risk Factors, and Clinical Outcomes. J. Clin. Med. 2025, 14, 5539. [Google Scholar] [CrossRef] [PubMed]
- Wu, Z.; Huang, Y.; Zhang, R.; Zheng, C.; You, F.; Wang, M.; Xiao, C.; Li, X. Sex Differences in Colorectal Cancer: With a Focus on Sex Hormone-Gut Microbiome Axis. Cell Commun. Signal. 2024, 22, 167. [Google Scholar] [CrossRef]
- Fang, Y.J.; Pan, Z.Z.; Li, L.R.; Lu, Z.H.; Zhang, L.Y.; Wan, D.S. MMP7 Expression Regulated by Endocrine Therapy in ERbeta-Positive Colon Cancer Cells. J. Exp. Clin. Cancer Res. 2009, 28, 132. [Google Scholar] [CrossRef]
- Cai, Y.; Rattray, N.J.W.; Zhang, Q.; Mironova, V.; Santos-Neto, A.; Hsu, K.S.; Rattray, Z.; Cross, J.R.; Zhang, Y.; Paty, P.B.; et al. Sex Differences in Colon Cancer Metabolism Reveal A Novel Subphenotype. Sci. Rep. 2020, 10, 4905. [Google Scholar] [CrossRef]
- Chang, Y.M.; Kang, Y.R.; Lee, Y.G.; Sung, M.K. Sex Differences in Colonic Gene Expression and Fecal Microbiota Composition in a Mouse Model of Obesity-Associated Colorectal Cancer. Sci. Rep. 2024, 14, 3576. [Google Scholar] [CrossRef]
- Lee, J.H.; Kim, S.; Lee, H.S.; Park, E.J.; Baik, S.H.; Jeon, T.J.; Lee, K.Y.; Ryu, Y.H.; Kang, J. Different Prognostic Impact of Glucose Uptake in Visceral Adipose Tissue According to Sex in Patients With Colorectal Cancer. Sci. Rep. 2021, 11, 21556. [Google Scholar] [CrossRef]
- Geddes, A.E.; Ray, A.L.; Nofchissey, R.A.; Esmaeili, A.; Saunders, A.; Bender, D.E.; Khan, M.; Aravindan, S.; Ahrendsen, J.T.; Li, M.; et al. An Analysis of Sexual Dimorphism in the Tumor Microenvironment of Colorectal Cancer. Front. Oncol. 2022, 12, 986103. [Google Scholar] [CrossRef] [PubMed]
- Ray, A.L.; Nofchissey, R.A.; Khan, M.A.; Reidy, M.A.; Lerner, M.R.; Wu, X.; Guo, S.; Hill, S.L.; Weygant, N.; Adams, S.F.; et al. The Role of Sex in the Innate and Adaptive Immune Environment of Metastatic Colorectal Cancer. Br. J. Cancer 2020, 123, 624–632. [Google Scholar] [CrossRef] [PubMed]
- Rennert, G.; Rennert, H.S.; Pinchev, M.; Lavie, O.; Gruber, S.B. Use of Hormone Replacement Therapy and the Risk of Colorectal Cancer. J. Clin. Oncol. 2009, 27, 4542–4547. [Google Scholar] [CrossRef] [PubMed]
- Koskensalo, S.; Louhimo, J.; Nordling, S.; Hagströmm, J.; Haglund, C. MMP-7 as a Prognostic Marker in Colorectal Cancer. Tumour Biol. 2011, 32, 259–264. [Google Scholar] [CrossRef]
- Wang, F.Q.; So, J.; Reierstad, S.; Fishman, D.A. Matrilysin (MMP-7) Promotes Invasion of Ovarian Cancer Cells by Activation of Progelatinase. Int. J. Cancer 2005, 114, 19–31. [Google Scholar] [CrossRef]
- Vecurkovska, I.; Maslankova, J.; Tomeckova, V.; Katuchova, J.; Kiskova, T.; Frohlichova, L.; Marekova, M.; Stupak, M. Stage-Dependent Levels of Brain-Derived Neurotrophic Factor and Matrix Metalloproteinase 9 in the Prognosis of Colorectal Cancer. Biomedicines 2023, 11, 1839. [Google Scholar] [CrossRef]








| Study Number | Name | Aim | Conclusions |
|---|---|---|---|
| NCT03151759 | MMP-7 Modulation by Short and Long-Term Radiotherapy in Rectal Cancer Patients | Investigating the effect on MMP7 expression in patients with rectal cancer undergoing different regimens of neoadjuvant radiotherapy (RT) | 50 Gy irradiation of rectal cancer gives less tumor activation of MMP7, whilst it is up-regulated by 25 Gy and surgery, regardless of RT |
| NCT02047188 | Observation of Micro-vessels and Invasion in Early Colorectal Lesions by NBI | Clarifying the role of narrow-band imaging (NBI) in the prediction of invasion depth and the formation of lesion appearance under NBI | NBI is of excellent use in predicting invasion depth for early colorectal neoplasms, and positive expression of MMP-7 is associated with the appearance of capillary pattern type IIIB. |
| NCT01570452 | Matrilysin Expression in Different Stages of Colorectal Tumors | Analyzing MMP7 in the bowel and lymph nodes of different tumor stages and evaluating its expression as a cancer biomarker | MMP7 increases with dysplasia and cancer disease stage in tumor tissue as well as in the regional lymph nodes. It may be used as a complement the investigation of suspected locally advanced cancer. |
| NCT01276379 | Study Evaluating Biomarkers in Patients With Colorectal Cancer and Native KRAS Treated with Chemotherapy + Cetuximab | Validation of the biomarkers BRAF, IGF1P/MMP7 and PI3K-PTEN to predict PFS in patients with advanced and/or metastatic colorectal cancer with non-mutated KRAS treated with standard chemotherapy plus biweekly cetuximab as first-line therapy. | The co-expression of MMP7 and phosphorylated insulin growth factor receptor is associated with a worse prognosis in patients with WT KRAS mCRC treated with anti-EGFR. |
| Malignant Tumor Group | Benign Tumor Group | |||
|---|---|---|---|---|
| 1. Stage | 2. Stage | 3. Stage | ||
| Number (%) | ||||
| 12 (13) | 24 (27) | 24 (27) | 30 (33) | |
| Age average | ||||
| 67.3 | 66 | 66.1 | 64.3 | |
| Gender N (%) | ||||
| Males | 7 (58) | 16 (67) | 14 (58) | 14 (47) |
| Females | 5 (42) | 8 (33) | 10 (42) | 16 (53) |
| Involvement | ||||
| No | No | Yes | No | |
| Finding N (%) | ||||
| Hemorrhoids | - | - | - | 4 (14) |
| Diverticulitis | - | - | - | 5 (18) |
| Adenoma | - | - | - | 19 (68) |
| Adenocarcinoma | 12 (100) | 24 (100) | 24 (100) | - |
| Survival N (%) | ||||
| Living | 9 (75) | 15 (63) | 11 (46) | 27 (90%) |
| Deceased | 3 (25) | 9 (37) | 13 (54) | 3 (10%) |
| Tissue MMP-7 (ng/mL) | Serum MMP-7 (ng/mL) | |
|---|---|---|
| Females | 3.35 (1.93–8.7) | 6.83 (1.47–11.8) |
| Males | 3.65 (1.32–7.9) | 1.91 (0.25–6.3) |
| p | 0.236 | 0.046 a |
| <60 years | 4.95 (1.93–8.7) | 2.03 (0.70–4.07) |
| ≥60 years | 2.89 (1.62–3.92) | 3.84 (0.25–11.8) |
| p | 0.016 | 0.542 a |
| Living patients | 3.29 (1.31–8.7) | 1.73 (0.24–6.11) |
| Deceased patients | 3.42 (1.62–7.90) | 5.40 (1.47–11.8) |
| p | 0.988 | 0.048 a |
| 1. stage | 3.59 (2.08–4.07) | 9.01 (6.29–11.8) |
| 2. stage | 3.08 (1.31–8.7) | 4.11 (1.07–11.1) |
| 3. stage | 3.09 (0.82–3.8) | 0.82 (0.24–1.01) |
| p | 0.463 | 0.0004 b |
| Low-grade | 3.72 (1.33–8.7) | 6.30 (0.71–11.8) |
| High-grade | 2.85 (2.08–4.1) | 3.02 (0.23–11.1) |
| p | 0.181 | 0.692 a |
| Rectum tumor | 4.14 (1.62–8.7) | 5.46 (0.69–11.8) |
| Colon tumor | 3.09 (1.31–4.10) | 2.62 (0.63–10.54) |
| p | 0.557 | 0.301 a |
Disclaimer/Publisher’s Note: The statements, opinions and data contained in all publications are solely those of the individual author(s) and contributor(s) and not of MDPI and/or the editor(s). MDPI and/or the editor(s) disclaim responsibility for any injury to people or property resulting from any ideas, methods, instructions or products referred to in the content. |
© 2026 by the authors. Licensee MDPI, Basel, Switzerland. This article is an open access article distributed under the terms and conditions of the Creative Commons Attribution (CC BY) license.
Share and Cite
Večurkovská, I.; Stupák, M.; Kaťuchová, J.; Roškovičová, V.; Pavluš, M.; Mareková, M.; Mašlanková, J. Multi-Platform Detection of MMP-7 in Colorectal Carcinoma. Cancers 2026, 18, 214. https://doi.org/10.3390/cancers18020214
Večurkovská I, Stupák M, Kaťuchová J, Roškovičová V, Pavluš M, Mareková M, Mašlanková J. Multi-Platform Detection of MMP-7 in Colorectal Carcinoma. Cancers. 2026; 18(2):214. https://doi.org/10.3390/cancers18020214
Chicago/Turabian StyleVečurkovská, Ivana, Marek Stupák, Jana Kaťuchová, Veronika Roškovičová, Martin Pavluš, Mária Mareková, and Jana Mašlanková. 2026. "Multi-Platform Detection of MMP-7 in Colorectal Carcinoma" Cancers 18, no. 2: 214. https://doi.org/10.3390/cancers18020214
APA StyleVečurkovská, I., Stupák, M., Kaťuchová, J., Roškovičová, V., Pavluš, M., Mareková, M., & Mašlanková, J. (2026). Multi-Platform Detection of MMP-7 in Colorectal Carcinoma. Cancers, 18(2), 214. https://doi.org/10.3390/cancers18020214

