Radiological Predictors of Cognitive Impairment in Paediatric Brain Tumours Using Multiparametric Magnetic Resonance Imaging: A Review of Current Practice, Challenges and Future Directions
Simple Summary
Abstract
1. Introduction
2. Materials and Methods
3. Imaging Modalities and Their Uses in Paediatric Neuro-Oncology
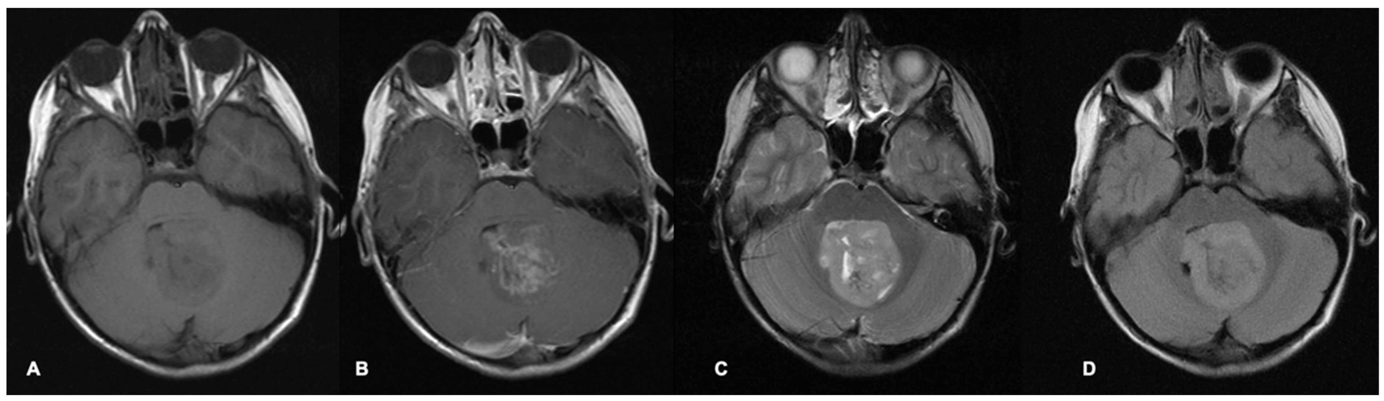
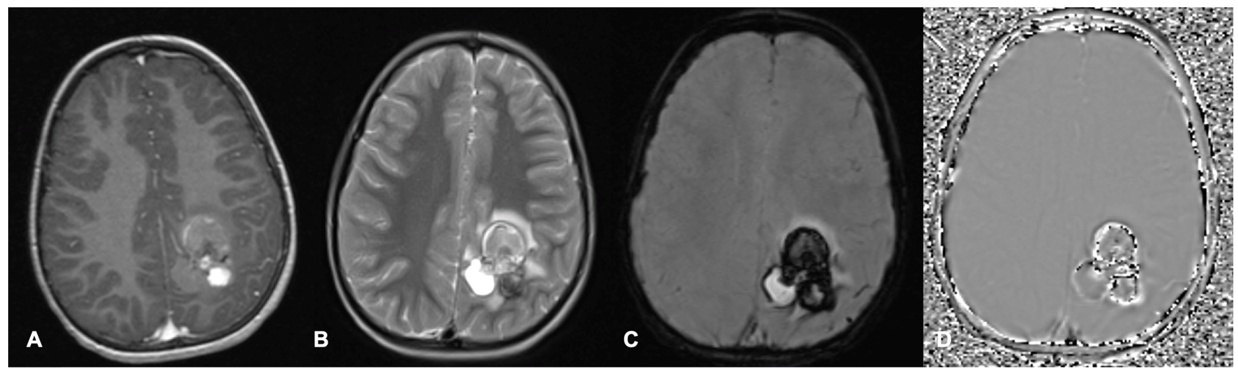
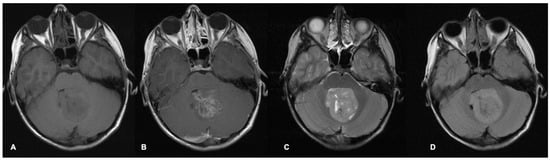
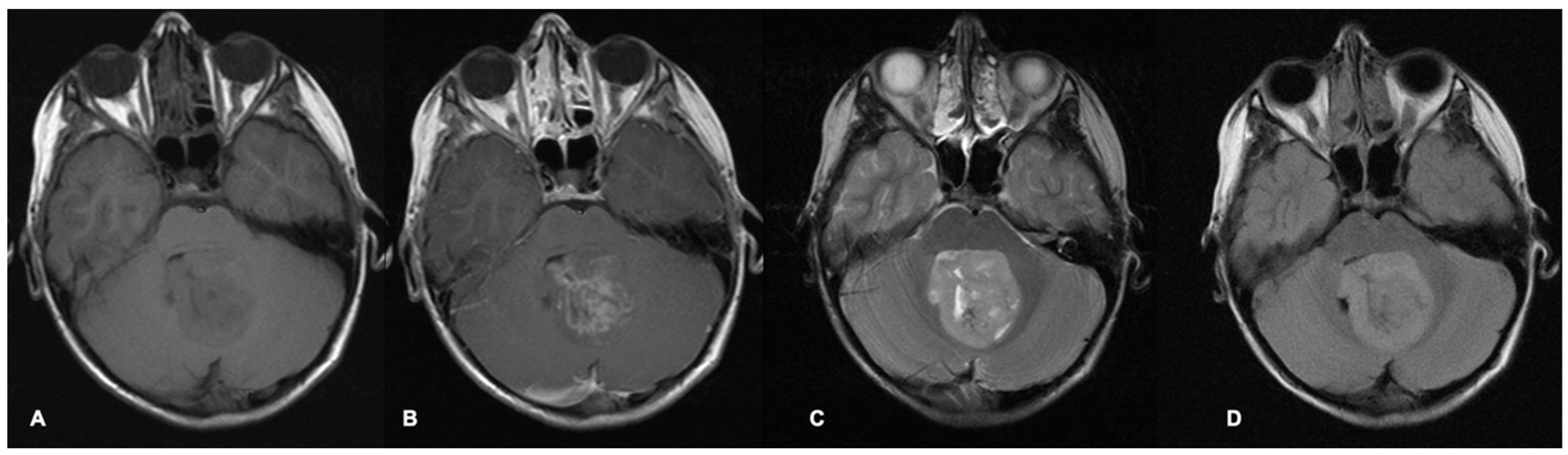
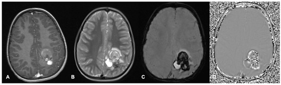
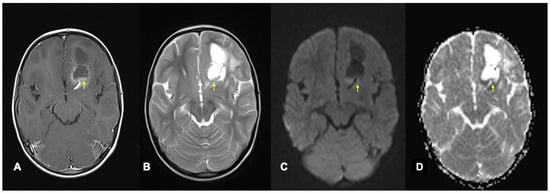
3.1. Conventional MRI
3.2. Advanced MRI
4. Applications of Advanced Imaging Analysis for Prediction in Paediatric Neuro-Oncology
5. Factors Influencing Cognitive Outcomes
5.1. Tumour Location
5.2. Eloquence Classifications
5.3. White Matter Tracts
5.4. Tumour Size
5.5. Radiological Phenotyping
5.6. Epilepsy
5.7. Hydrocephalus
5.8. Treatment-Related Cognitive Impairment
5.8.1. Surgery
5.8.2. Post-Operative Paediatric Cerebellar Mutism Syndrome
5.8.3. Radiotherapy
5.8.4. Chemotherapy
5.9. Other Clinical and Demographic Risk Factors
6. How Has Imaging Contributed to Cognitive Outcome Prediction in Children?
7. Challenges and Future Directions
7.1. Small Heterogenous Cohorts
7.2. Difficulties Associated with Imaging in Children
7.3. Use of Historical Multi-Site Data
7.4. Gaps in the Research: Why These Matter and Solutions
8. Conclusions
Author Contributions
Funding
Conflicts of Interest
Abbreviations
| AD | Axial diffusivity |
| ADC | Apparent diffusion coefficient |
| ASL | Arterial Spin Labelling |
| ATRT | Atypical Teratoid Rhabdoid Tumour |
| CBF | Cerebral blood flow |
| CBV | Cerebral blood volume |
| CSF | Cerebrospinal fluid |
| DCE | Dynamic Contrast-Enhanced |
| DSC | Dynamic Susceptibility Contrast |
| DTCT | Dentato-thalamo-cortical tract |
| DTI | Diffusion tensor imaging |
| DWI | Diffusion-weighted imaging |
| FA | Fractional anisotropy |
| FLAIR | Fluid-attenuated inversion recovery |
| fMRI | Functional Magnetic Resonance Imaging |
| IQ | Intelligence quotient |
| MCP | Middle cerebellar peduncle |
| MD | Mean diffusivity |
| MRI | Magnetic Resonance Imaging |
| MRS | Magnetic Resonance Spectroscopy |
| NPS | Neurological Predictor Score |
| pCMS | Post-operative paediatric cerebellar mutism syndrome |
| pECP | Proximal efferent cerebellar pathway |
| pLGG | Paediatric Low-Grade Glioma |
| RD | Radial diffusivity |
| RAPNO | Response Assessment in Paediatric Neuro-oncology |
| rCBV | Relative cerebral blood volume |
| SIOPE | European Society for Paediatric Oncology |
| SWI | Susceptibility-weighted imaging |
| WM | White matter |
| Y/N | Yes/no |
References
- Public Health England. Children, Teenagers and Young Adults UK Cancer Statistics Report 2021; PHE gateway number GW-1930; Public Health: London, UK, 2021. [Google Scholar]
- Robinson, K.E.; Kuttesch, J.F.; Champion, J.E.; Andreotti, C.F.; Hipp, D.W.; Bettis, A.; Barnwell, A.; Compas, B.E. A quantitative meta-analysis of neurocognitive sequelae in survivors of pediatric brain tumors. Pediatr. Blood Cancer 2010, 55, 525–531. [Google Scholar] [CrossRef]
- Remes, T.M.; Hovén, E.; Ritari, N.; Pohjasniemi, H.; Puosi, R.; Arikoski, P.M.; Arola, M.O.; Lähteenmäki, P.M.; Lönnqvist, T.R.I.; Ojaniemi, M.K.; et al. Neurocognitive impairment, employment, and social status in radiotherapy-treated adult survivors of childhood brain tumors. Neurooncol. Pract. 2021, 8, 266–277. [Google Scholar] [CrossRef] [PubMed]
- Effinger, K.E.; Stratton, K.L.; Fisher, P.G.; Ness, K.K.; Krull, K.R.; Oeffinger, K.C.; Armstrong, G.T.; Robison, L.L.; Hudson, M.M.; Leisenring, W.M.; et al. Long-term health and social function in adult survivors of paediatric astrocytoma: A report from the Childhood Cancer Survivor Study. Eur. J. Cancer 2019, 106, 171–180. [Google Scholar] [CrossRef] [PubMed]
- Peterson, R.K.; Longo, C.; Cunningham, T.; Janzen, L.; Guger, S.; Monteiro, L.; Rapson, R.; Bartels, U.; Bouffet, E.; Solomon, T.; et al. Impact of home-based cognitive or academic intervention on working memory and mathematics outcomes in pediatric brain tumor survivors: The Keys to Succeed pilot randomized controlled clinical trial. Child Neuropsychol. 2022, 28, 1116–1140. [Google Scholar] [CrossRef] [PubMed]
- Verity, S.J.; Halliday, G.; Hill, R.M.; Ryles, J.; Bailey, S. Methylphenidate improves cognitive function and health-related quality of life in survivors of childhood brain tumours. Neuropsychol. Rehabil. 2024, 34, 133–153. [Google Scholar] [CrossRef]
- Khaleqi-Sohi, M.; Sadria, G.; Ghalibafian, M.; Khademi-Kalantari, K.; Irannejad, S. The Effects of Physical Activity and Exercise Therapy on Pediatric Brain Tumor Survivors: A systematic review. J. Bodyw. Mov. Ther. 2022, 30, 1–9. [Google Scholar] [CrossRef]
- Pancaldi, A.; Pugliese, M.; Migliozzi, C.; Blom, J.; Cellini, M.; Iughetti, L. Neuropsychological Outcomes of Children Treated for Brain Tumors. Children 2023, 10, 472. [Google Scholar] [CrossRef]
- Madhogarhia, R.; Haldar, D.; Bagheri, S.; Familiar, A.; Anderson, H.; Arif, S.; Vossough, A.; Storm, P.; Resnick, A.; Davatzikos, C.; et al. Radiomics and radiogenomics in pediatric neuro-oncology: A review. Neurooncol. Adv. 2022, 4, vdac083. [Google Scholar] [CrossRef]
- Villanueva-Meyer, J.E.; Mabray, M.C.; Cha, S. Current Clinical Brain Tumor Imaging. Neurosurgery 2017, 81, 397–415. [Google Scholar] [CrossRef]
- Hales, P.W.; d’Arco, F.; Cooper, J.; Pfeuffer, J.; Hargrave, D.; Mankad, K.; Clark, C. Arterial spin labelling and diffusion-weighted imaging in paediatric brain tumours. Neuroimage Clin. 2019, 22, 101696. [Google Scholar] [CrossRef]
- Grist, J.T.; Withey, S.; MacPherson, L.; Oates, A.; Powell, S.; Novak, J.; Abernethy, L.; Pizer, B.; Grundy, R.; Bailey, S.; et al. Distinguishing between paediatric brain tumour types using multi-parametric magnetic resonance imaging and machine learning: A multi-site study. Neuroimage Clin. 2020, 25, 102172. [Google Scholar] [CrossRef] [PubMed]
- Rodriguez Gutierrez, D.; Awwad, A.; Meijer, L.; Manita, M.; Jaspan, T.; Dineen, R.A.; Grundy, R.G.; Auer, D.P. Metrics and textural features of MRI diffusion to improve classification of pediatric posterior fossa tumors. AJNR Am. J. Neuroradiol. 2014, 35, 1009–1015. [Google Scholar] [CrossRef]
- Novak, J.; Zarinabad, N.; Rose, H.; Arvanitis, T.; MacPherson, L.; Pinkey, B.; Oates, A.; Hales, P.; Grundy, R.; Auer, D.; et al. Classification of paediatric brain tumours by diffusion weighted imaging and machine learning. Sci. Rep. 2021, 11, 2987. [Google Scholar] [CrossRef]
- Prince, E.W.; Whelan, R.; Mirsky, D.M.; Stence, N.; Staulcup, S.; Klimo, P.; Anderson, R.C.E.; Niazi, T.N.; Grant, G.; Souweidane, M.; et al. Robust deep learning classification of adamantinomatous craniopharyngioma from limited preoperative radiographic images. Sci. Rep. 2020, 10, 16885. [Google Scholar] [CrossRef] [PubMed]
- Iv, M.; Zhou, M.; Shpanskaya, K.; Perreault, S.; Wang, Z.; Tranvinh, E.; Lanzman, B.; Vajapeyam, S.; Vitanza, N.A.; Fisher, P.G.; et al. MR Imaging-Based Radiomic Signatures of Distinct Molecular Subgroups of Medulloblastoma. AJNR Am. J. Neuroradiol. 2019, 40, 154–161. [Google Scholar] [CrossRef] [PubMed]
- Grist, J.T.; Withey, S.; Bennett, C.; Rose, H.E.L.; MacPherson, L.; Oates, A.; Powell, S.; Novak, J.; Abernethy, L.; Pizer, B.; et al. Combining multi-site magnetic resonance imaging with machine learning predicts survival in pediatric brain tumors. Sci. Rep. 2021, 11, 18897. [Google Scholar] [CrossRef]
- Mahootiha, M.; Tak, D.; Ye, Z.; Zapaishchykova, A.; Likitlersuang, J.; Climent Pardo, J.C.; Boyd, A.; Vajapeyam, S.; Chopra, R.; Prabhu, S.P.; et al. Multimodal deep learning improves recurrence risk prediction in pediatric low-grade gliomas. Neuro-Oncology 2024, 27, 277–290. [Google Scholar] [CrossRef]
- Sciancalepore, F.; Fabozzi, F.; Albino, G.; Del Baldo, G.; Di Ruscio, V.; Laus, B.; Menegatti, D.; Premuselli, R.; Secco, D.E.; Tozzi, A.E.; et al. Frequency and characterization of cognitive impairments in patients diagnosed with paediatric central nervous system tumours: A systematic review. Front. Oncol. 2023, 13, 1198521. [Google Scholar] [CrossRef]
- Pati, S.; Baid, U.; Edwards, B.; Sheller, M.; Wang, S.H.; Reina, G.A.; Foley, P.; Gruzdev, A.; Karkada, D.; Davatzikos, C.; et al. Federated learning enables big data for rare cancer boundary detection. Nat. Commun. 2022, 13, 7346. [Google Scholar] [CrossRef]
- Lambin, P.; Leijenaar, R.T.H.; Deist, T.M.; Peerlings, J.; de Jong, E.E.C.; van Timmeren, J.; Sanduleanu, S.; Larue, R.; Even, A.J.G.; Jochems, A.; et al. Radiomics: The bridge between medical imaging and personalized medicine. Nat. Rev. Clin. Oncol. 2017, 14, 749–762. [Google Scholar] [CrossRef]
- Hara, J.H.; Wu, A.; Villanueva-Meyer, J.E.; Valdes, G.; Daggubati, V.; Mueller, S.; Solberg, T.D.; Braunstein, S.E.; Morin, O.; Raleigh, D.R. Clinical Applications of Quantitative 3-Dimensional MRI Analysis for Pediatric Embryonal Brain Tumors. Int. J. Radiat. Oncol. Biol. Phys. 2018, 102, 744–756. [Google Scholar] [CrossRef] [PubMed]
- Slovis, T.L. (Ed.) Caffey’s Pediatric Diagnostic Imaging, 11th ed.; Mosby Elsevier: Philadelphia, PA, USA, 2008; Volume 1. [Google Scholar]
- Fink, J.R.; Muzi, M.; Peck, M.; Krohn, K.A. Multimodality Brain Tumor Imaging: MR Imaging, PET, and PET/MR Imaging. J. Nucl. Med. 2015, 56, 1554–1561. [Google Scholar] [CrossRef]
- Troudi, A.; Tensaouti, F.; Cabarrou, B.; Arribarat, G.; Pollidoro, L.; Péran, P.; Sevely, A.; Roques, M.; Chaix, Y.; Bertozzi, A.I.; et al. A Prospective Study of Arterial Spin Labelling in Paediatric Posterior Fossa Tumour Survivors: A Correlation with Neurocognitive Impairment. Clin. Oncol. (R Coll. Radiol.) 2024, 36, 56–64. [Google Scholar] [CrossRef] [PubMed]
- Panigrahy, A.; Blüml, S. Neuroimaging of pediatric brain tumors: From basic to advanced magnetic resonance imaging (MRI). J. Child Neurol. 2009, 24, 1343–1365. [Google Scholar] [CrossRef]
- Shen, J.M.; Xia, X.W.; Kang, W.G.; Yuan, J.J.; Sheng, L. The use of MRI apparent diffusion coefficient (ADC) in monitoring the development of brain infarction. BMC Med. Imaging 2011, 11, 2. [Google Scholar] [CrossRef]
- Aleksonis, H.A.; Wier, R.; Pearson, M.M.; Cannistraci, C.J.; Anderson, A.W.; Kuttesch, J.F.; Compas, B.E.; Hoskinson, K.R. Associations among diffusion tensor imaging and neurocognitive function in survivors of pediatric brain tumor: A pilot study. Appl. Neuropsychol. Child 2021, 10, 111–122. [Google Scholar] [CrossRef] [PubMed]
- Winklewski, P.J.; Sabisz, A.; Naumczyk, P.; Jodzio, K.; Szurowska, E.; Szarmach, A. Understanding the Physiopathology Behind Axial and Radial Diffusivity Changes-What Do We Know? Front. Neurol. 2018, 9, 92. [Google Scholar] [CrossRef]
- Lilja, Y.; Ljungberg, M.; Starck, G.; Malmgren, K.; Rydenhag, B.; Nilsson, D.T. Visualizing Meyer’s loop: A comparison of deterministic and probabilistic tractography. Epilepsy Res. 2014, 108, 481–490. [Google Scholar] [CrossRef]
- Palmer, S.L.; Glass, J.O.; Li, Y.; Ogg, R.; Qaddoumi, I.; Armstrong, G.T.; Wright, K.; Wetmore, C.; Broniscer, A.; Gajjar, A.; et al. White matter integrity is associated with cognitive processing in patients treated for a posterior fossa brain tumor. Neuro-Oncology 2012, 14, 1185–1193. [Google Scholar] [CrossRef]
- Rueckriegel, S.M.; Bruhn, H.; Thomale, U.W.; Hernáiz Driever, P. Cerebral white matter fractional anisotropy and tract volume as measured by MR imaging are associated with impaired cognitive and motor function in pediatric posterior fossa tumor survivors. Pediatr. Blood Cancer 2015, 62, 1252–1258. [Google Scholar] [CrossRef]
- Manias, K.A.; Peet, A. What is MR spectroscopy? Arch. Dis. Child Educ. Pract. Ed. 2018, 103, 213–216. [Google Scholar] [CrossRef] [PubMed]
- Liserre, R.; Pinelli, L.; Gasparotti, R. MR spectroscopy in pediatric neuroradiology. Transl. Pediatr. 2021, 10, 1169–1200. [Google Scholar] [CrossRef] [PubMed]
- Gillies, R.J.; Kinahan, P.E.; Hricak, H. Radiomics: Images Are More than Pictures, They Are Data. Radiology 2016, 278, 563–577. [Google Scholar] [CrossRef]
- Beig, N.; Bera, K.; Tiwari, P. Introduction to radiomics and radiogenomics in neuro-oncology: Implications and challenges. Neurooncol. Adv. 2020, 2, iv3–iv14. [Google Scholar] [CrossRef]
- van Timmeren, J.E.; Cester, D.; Tanadini-Lang, S.; Alkadhi, H.; Baessler, B. Radiomics in medical imaging—“how-to” guide and critical reflection. Insights Imaging 2020, 11, 91. [Google Scholar] [CrossRef] [PubMed]
- Nowak, J.; Jünger, S.T.; Huflage, H.; Seidel, C.; Hohm, A.; Vandergrift, L.A.; von Hoff, K.; Rutkowski, S.; Pietsch, T.; Warmuth-Metz, M. MRI Phenotype of RELA-fused Pediatric Supratentorial Ependymoma. Clin. Neuroradiol. 2019, 29, 595–604. [Google Scholar] [CrossRef]
- Nowak, J.; Nemes, K.; Hohm, A.; Vandergrift, L.A.; Hasselblatt, M.; Johann, P.D.; Kool, M.; Frühwald, M.C.; Warmuth-Metz, M. Magnetic resonance imaging surrogates of molecular subgroups in atypical teratoid/rhabdoid tumor. Neuro-Oncology 2018, 20, 1672–1679. [Google Scholar] [CrossRef]
- Jaimes, C.; Vajapeyam, S.; Brown, D.; Kao, P.C.; Ma, C.; Greenspan, L.; Gupta, N.; Goumnerova, L.; Bandopahayay, P.; Dubois, F.; et al. MR Imaging Correlates for Molecular and Mutational Analyses in Children with Diffuse Intrinsic Pontine Glioma. AJNR Am. J. Neuroradiol. 2020, 41, 874–881. [Google Scholar] [CrossRef]
- Wagner, M.W.; Hainc, N.; Khalvati, F.; Namdar, K.; Figueiredo, L.; Sheng, M.; Laughlin, S.; Shroff, M.M.; Bouffet, E.; Tabori, U.; et al. Radiomics of Pediatric Low-Grade Gliomas: Toward a Pretherapeutic Differentiation of BRAF-Mutated and BRAF-Fused Tumors. AJNR Am. J. Neuroradiol. 2021, 42, 759–765. [Google Scholar] [CrossRef]
- Chen, Y.; Zhao, R.; Shi, W.; Li, H. Pediatric atypical choroid plexus papilloma: Clinical features and diagnosis. Clin. Neurol. Neurosurg. 2021, 200, 106345. [Google Scholar] [CrossRef]
- Wang, J.X.; Li, Y.; Reddick, W.E.; Conklin, H.M.; Glass, J.O.; Onar-Thomas, A.; Gajjar, A.; Cheng, C.; Lu, Z.H. A high-dimensional mediation model for a neuroimaging mediator: Integrating clinical, neuroimaging, and neurocognitive data to mitigate late effects in pediatric cancer. Biometrics 2023, 79, 2430–2443. [Google Scholar] [CrossRef] [PubMed]
- McCurdy, M.D.; Raghubar, K.P.; Christopher, K.; Okcu, M.F.; Wilde, E.; Desai, N.; Chu, Z.D.; Gragert, M.; Stancel, H.; Warren, E.H.; et al. Predicting neurocognitive function in pediatric brain tumor early survivorship: The neurological predictor scale and the incremental validity of tumor size. Pediatr. Blood Cancer 2022, 69, e29803. [Google Scholar] [CrossRef]
- Pringle, C.; Kilday, J.P.; Kamaly-Asl, I.; Stivaros, S.M. The role of artificial intelligence in paediatric neuroradiology. Pediatr. Radiol. 2022, 52, 2159–2172. [Google Scholar] [CrossRef] [PubMed]
- Lannering, B.; Marky, I.; Lundberg, A.; Olsson, E. Long-term sequelae after pediatric brain tumors: Their effect on disability and quality of life. Med. Pediatr. Oncol. 1990, 18, 304–310. [Google Scholar] [CrossRef] [PubMed]
- Stargatt, R.; Rosenfeld, J.V.; Anderson, V.; Hassall, T.; Maixner, W.; Ashley, D. Intelligence and adaptive function in children diagnosed with brain tumour during infancy. J. Neurooncol. 2006, 80, 295–303. [Google Scholar] [CrossRef]
- Aarsen, F.K.; Paquier, P.F.; Arts, W.F.; Van Veelen, M.L.; Michiels, E.; Lequin, M.; Catsman-Berrevoets, C.E. Cognitive deficits and predictors 3 years after diagnosis of a pilocytic astrocytoma in childhood. J. Clin. Oncol. 2009, 27, 3526–3532. [Google Scholar] [CrossRef]
- Iuvone, L.; Peruzzi, L.; Colosimo, C.; Tamburrini, G.; Caldarelli, M.; Di Rocco, C.; Battaglia, D.; Guzzetta, F.; Misciagna, S.; Di Giannatale, A.; et al. Pretreatment neuropsychological deficits in children with brain tumors. Neuro-Oncology 2011, 13, 517–524. [Google Scholar] [CrossRef]
- Limond, J.; Thomas, S.; Bull, K.S.; Calaminus, G.; Lemiere, J.; Traunwieser, T.; van Santen, H.M.; Weiler, L.; Spoudeas, H.A.; Chevignard, M. Quality of survival assessment in European childhood brain tumour trials, for children below the age of 5 years. Eur. J. Paediatr. Neurol. 2020, 25, 59–67. [Google Scholar] [CrossRef]
- Limond, J.A.; Bull, K.S.; Calaminus, G.; Kennedy, C.R.; Spoudeas, H.A.; Chevignard, M.P. Quality of survival assessment in European childhood brain tumour trials, for children aged 5 years and over. Eur. J. Paediatr. Neurol. 2015, 19, 202–210. [Google Scholar] [CrossRef]
- Cámara, S.; Fournier, M.C.; Cordero, P.; Melero, J.; Robles, F.; Esteso, B.; Vara, M.T.; Rodríguez, S.; Lassaletta, Á.; Budke, M. Neuropsychological Profile in Children with Posterior Fossa Tumors with or Without Postoperative Cerebellar Mutism Syndrome (CMS). Cerebellum 2020, 19, 78–88. [Google Scholar] [CrossRef]
- Shortman, R.I.; Lowis, S.P.; Penn, A.; McCarter, R.J.; Hunt, L.P.; Brown, C.C.; Stevens, M.C.; Curran, A.L.; Sharples, P.M. Cognitive function in children with brain tumors in the first year after diagnosis compared to healthy matched controls. Pediatr. Blood Cancer 2014, 61, 464–472. [Google Scholar] [CrossRef] [PubMed]
- Corti, C.; Urgesi, C.; Massimino, M.; Gandola, L.; Bardoni, A.; Poggi, G. Effects of supratentorial and infratentorial tumor location on cognitive functioning of children with brain tumor. Childs Nerv. Syst. 2020, 36, 513–524. [Google Scholar] [CrossRef] [PubMed]
- Peterson, R.K.; Tabori, U.; Bouffet, E.; Laughlin, S.; Liu, F.; Scantlebury, N.; Mabbott, D. Predictors of neuropsychological late effects and white matter correlates in children treated for a brain tumor without radiation therapy. Pediatr. Blood Cancer 2019, 66, e27924. [Google Scholar] [CrossRef] [PubMed]
- Weusthof, K.; Lüttich, P.; Regnery, S.; König, L.; Bernhardt, D.; Witt, O.; Herfarth, K.; Unterberg, A.; Jungk, C.; Farnia, B.; et al. Neurocognitive Outcomes in Pediatric Patients Following Brain Irradiation. Cancers 2021, 13, 3538. [Google Scholar] [CrossRef]
- Jannoun, L.; Bloom, H.J. Long-term psychological effects in children treated for intracranial tumors. Int. J. Radiat. Oncol. Biol. Phys. 1990, 18, 747–753. [Google Scholar] [CrossRef]
- de Ruiter, M.A.; van Mourik, R.; Schouten-van Meeteren, A.Y.; Grootenhuis, M.A.; Oosterlaan, J. Neurocognitive consequences of a paediatric brain tumour and its treatment: A meta-analysis. Dev. Med. Child Neurol. 2013, 55, 408–417. [Google Scholar] [CrossRef]
- Ellenberg, L.; McComb, J.G.; Siegel, S.E.; Stowe, S. Factors affecting intellectual outcome in pediatric brain tumor patients. Neurosurgery 1987, 21, 638–644. [Google Scholar] [CrossRef]
- Reimers, T.S.; Ehrenfels, S.; Mortensen, E.L.; Schmiegelow, M.; Sønderkaer, S.; Carstensen, H.; Schmiegelow, K.; Müller, J. Cognitive deficits in long-term survivors of childhood brain tumors: Identification of predictive factors. Med. Pediatr. Oncol. 2003, 40, 26–34. [Google Scholar] [CrossRef]
- Tonning Olsson, I.; Lundgren, J.; Hjorth, L.; Munck Af Rosenschöld, P.; Hammar, Å.; Perrin, S. Neurocognitive development after pediatric brain tumor—A longitudinal, retrospective cohort study. Child Neuropsychol. 2024, 30, 22–44. [Google Scholar] [CrossRef]
- Traunwieser, T.; Kandels, D.; Pauls, F.; Pietsch, T.; Warmuth-Metz, M.; Bison, B.; Krauss, J.; Kortmann, R.D.; Timmermann, B.; Thomale, U.W.; et al. Long-term cognitive deficits in pediatric low-grade glioma (LGG) survivors reflect pretreatment conditions-report from the German LGG studies. Neurooncol. Adv. 2020, 2, vdaa094. [Google Scholar] [CrossRef]
- Puget, S.; Boddaert, N.; Viguier, D.; Kieffer, V.; Bulteau, C.; Garnett, M.; Callu, D.; Sainte-Rose, C.; Kalifa, C.; Dellatolas, G.; et al. Injuries to inferior vermis and dentate nuclei predict poor neurological and neuropsychological outcome in children with malignant posterior fossa tumors. Cancer 2009, 115, 1338–1347. [Google Scholar] [CrossRef] [PubMed]
- Sahrizan, N.S.A.; Manan, H.A.; Abdul Hamid, H.; Abdullah, J.M.; Yahya, N. Functional Alteration in the Brain Due to Tumour Invasion in Paediatric Patients: A Systematic Review. Cancers 2023, 15, 2168. [Google Scholar] [CrossRef]
- Zheng, W.J.; Guan, X.Y.; Zhai, H.N.; Gong, J. Altered functional connectivity in default mode network maintains attention task performance in school-age children with frontal lobe tumor. Appl. Neuropsychol. Child 2024, 5, 1–11. [Google Scholar] [CrossRef]
- Baudou, E.; Peran, P.; Tensaouti, F.; Arribarat, G.; Pariente, J.; Courbieres, N.; Pollidoro, L.; Bertozzi, A.I.; Gambart, M.; Sevely, A.; et al. The long-term impact of irradiation on functional connectivity in brain circuits involved in memory processes after pediatric posterior fossa tumor. Radiother. Oncol. 2024, 191, 110073. [Google Scholar] [CrossRef]
- Rammeloo, E.; Schouten, J.W.; Krikour, K.; Bos, E.M.; Berger, M.S.; Nahed, B.V.; Vincent, A.J.P.E.; Gerritsen, J.K.W. Preoperative assessment of eloquence in neurosurgery: A systematic review. J. Neuro-Oncol. 2023, 165, 413–430. [Google Scholar] [CrossRef] [PubMed]
- Spetzler, R.F.; Martin, N.A. A proposed grading system for arteriovenous malformations. J. Neurosurg. 1986, 65, 476–483. [Google Scholar] [CrossRef]
- Chang, E.F.; Smith, J.S.; Chang, S.M.; Lamborn, K.R.; Prados, M.D.; Butowski, N.; Barbaro, N.M.; Parsa, A.T.; Berger, M.S.; McDermott, M.M. Preoperative prognostic classification system for hemispheric low-grade gliomas in adults. J. Neurosurg. 2008, 109, 817–824. [Google Scholar] [CrossRef] [PubMed]
- Shinoda, J.; Sakai, N.; Murase, S.; Yano, H.; Matsuhisa, T.; Funakoshi, T. Selection of eligible patients with supratentorial glioblastoma multiforme for gross total resection. J. Neurooncol. 2001, 52, 161–171. [Google Scholar] [CrossRef] [PubMed]
- Sawaya, R.; Hammoud, M.; Schoppa, D.; Hess, K.R.; Wu, S.Z.; Shi, W.M.; Wildrick, D.M. Neurosurgical outcomes in a modern series of 400 craniotomies for treatment of parenchymal tumors. Neurosurgery 1998, 42, 1044–1055; discussion 1055–1056. [Google Scholar] [CrossRef]
- Friedlein, K.; Bozhkov, Y.; Hore, N.; Merkel, A.; Sommer, B.; Brandner, S.; Buchfelder, M.; Savaskan, N.E.; Eyüpoglu, I.Y. A new functional classification system (FGA/B) with prognostic value for glioma patients. Sci. Rep. 2015, 5, 12373. [Google Scholar] [CrossRef]
- Voon, N.S.; Manan, H.A.; Yahya, N. Diffusion tensor imaging indices as biomarkers for cognitive changes following paediatric radiotherapy: A systematic review and meta-analysis. Strahlenther. Onkol. 2022, 198, 409–426. [Google Scholar] [CrossRef]
- Sleurs, C.; Fletcher, P.; Mallucci, C.; Avula, S.; Ajithkumar, T. Neurocognitive Dysfunction After Treatment for Pediatric Brain Tumors: Subtype-Specific Findings and Proposal for Brain Network-Informed Evaluations. Neurosci. Bull. 2023, 39, 1873–1886. [Google Scholar] [CrossRef]
- Reddick, W.E.; Taghipour, D.J.; Glass, J.O.; Ashford, J.; Xiong, X.; Wu, S.; Bonner, M.; Khan, R.B.; Conklin, H.M. Prognostic factors that increase the risk for reduced white matter volumes and deficits in attention and learning for survivors of childhood cancers. Pediatr. Blood Cancer 2014, 61, 1074–1079. [Google Scholar] [CrossRef] [PubMed]
- Haller, O.C.; Aleksonis, H.A.; Krishnamurthy, L.C.; King, T.Z. White matter hyperintensities relate to executive dysfunction, apathy, but not disinhibition in long-term adult survivors of pediatric cerebellar tumor. Neuroimage Clin. 2021, 33, 102891. [Google Scholar] [CrossRef] [PubMed]
- Khong, P.L.; Leung, L.H.; Fung, A.S.; Fong, D.Y.; Qiu, D.; Kwong, D.L.; Ooi, G.C.; McAlonan, G.; Cao, G.; Chan, G.C. White matter anisotropy in post-treatment childhood cancer survivors: Preliminary evidence of association with neurocognitive function. J. Clin. Oncol. 2006, 24, 884–890. [Google Scholar] [CrossRef]
- Kahalley, L.S.; Douglas Ris, M.; Mahajan, A.; Fatih Okcu, M.; Chintagumpala, M.; Paulino, A.C.; Whitehead, W.E.; Minard, C.G.; Stancel, H.H.; Orobio, J.; et al. Prospective, longitudinal comparison of neurocognitive change in pediatric brain tumor patients treated with proton radiotherapy versus surgery only. Neuro-Oncology 2019, 21, 809–818. [Google Scholar] [CrossRef] [PubMed]
- Partanen, M.; Bouffet, E.; Laughlin, S.; Strother, D.; Hukin, J.; Skocic, J.; Szulc-Lerch, K.; Mabbott, D.J. Early changes in white matter predict intellectual outcome in children treated for posterior fossa tumors. Neuroimage Clin. 2018, 20, 697–704. [Google Scholar] [CrossRef]
- Reddick, W.E.; White, H.A.; Glass, J.O.; Wheeler, G.C.; Thompson, S.J.; Gajjar, A.; Leigh, L.; Mulhern, R.K. Developmental Model Relating White Matter Volume to Neurocognitive Deficits in Pediatric Brain Tumor Survivors. Cancer 2003, 97, 2512–2519. [Google Scholar] [CrossRef]
- Mulhern, R.K.; White, H.A.; Glass, J.O.; Kun, L.E.; Leigh, L.; Thompson, S.J.; Reddick, W.E. Attentional functioning and white matter integrity among survivors of malignant brain tumors of childhood. J. Int. Neuropsychol. Soc. 2004, 10, 180–189. [Google Scholar] [CrossRef]
- Stargatt, R.; Rosenfeld, J.V.; Maixner, W.; Ashley, D. Multiple factors contribute to neuropsychological outcome in children with posterior fossa tumors. Dev. Neuropsychol. 2007, 32, 729–748. [Google Scholar] [CrossRef]
- Law, N.; Bouffet, E.; Laughlin, S.; Laperriere, N.; Brière, M.E.; Strother, D.; McConnell, D.; Hukin, J.; Fryer, C.; Rockel, C.; et al. Cerebello-thalamo-cerebral connections in pediatric brain tumor patients: Impact on working memory. Neuroimage 2011, 56, 2238–2248. [Google Scholar] [CrossRef]
- Remes, T.M.; Suo-Palosaari, M.H.; Arikoski, P.M.; Harila, M.; Koskenkorva, P.K.T.; Lähteenmäki, P.M.; Lönnqvist, T.R.I.; Ojaniemi, M.K.; Pohjasniemi, H.; Puosi, R.; et al. Radiotherapy-induced vascular cognitive impairment 20 years after childhood brain tumor. Neuro-Oncology 2024, 26, 362–373. [Google Scholar] [CrossRef]
- Tonning Olsson, I.; Perrin, S.; Lundgren, J.; Hjorth, L.; Johanson, A. Long-term cognitive sequelae after pediatric brain tumor related to medical risk factors, age, and sex. Pediatr. Neurol. 2014, 51, 515–521. [Google Scholar] [CrossRef]
- Gora, N.K.; Gupta, A.; Sinha, V.D. Cerebellar Mutism Syndrome following Midline Posterior Fossa Tumor Resection in Children: An Institutional Experience. J. Pediatr. Neurosci. 2017, 12, 313–319. [Google Scholar] [CrossRef] [PubMed]
- Pols, S.; van Veelen, M.L.C.; Aarsen, F.K.; Gonzalez Candel, A.; Catsman-Berrevoets, C.E. Risk factors for development of postoperative cerebellar mutism syndrome in children after medulloblastoma surgery. J. Neurosurg. Pediatr. 2017, 20, 35–41. [Google Scholar] [CrossRef] [PubMed]
- Catsman-Berrevoets, C.E.; Van Dongen, H.R.; Mulder, P.G.; Paz y Geuze, D.; Paquier, P.F.; Lequin, M.H. Tumour type and size are high risk factors for the syndrome of “cerebellar” mutism and subsequent dysarthria. J. Neurol. Neurosurg. Psychiatry 1999, 67, 755–757. [Google Scholar] [CrossRef]
- Irestorm, E.; Perrin, S.; Tonning Olsson, I. Pretreatment Cognition in Patients Diagnosed With Pediatric Brain Tumors. Pediatr. Neurol. 2018, 79, 28–33. [Google Scholar] [CrossRef] [PubMed]
- Fraley, C.E.; Thigpen, J.C.; Pearson, M.M.; Kuttesch, J.F., Jr.; Desjardins, L.; Hoskinson, K.R.; Alvarado-Gonzalez, A.; Esbenshade, A.J.; Pastakia, D.; Friedman, D.L.; et al. Predictors of cognitive function in pediatric brain tumor patients: Pre-surgery through 24-month follow-up. Appl. Neuropsychol. Child 2019, 10, 340–347. [Google Scholar] [CrossRef]
- Hanzlik, E.; Woodrome, S.E.; Abdel-Baki, M.; Geller, T.J.; Elbabaa, S.K. A systematic review of neuropsychological outcomes following posterior fossa tumor surgery in children. Childs Nerv. Syst. 2015, 31, 1869–1875. [Google Scholar] [CrossRef]
- Traunwieser, T.; Loos, E.; Ottensmeier, H.; Gastberger, K.; Nemes, K.; Mynarek, M.; Bison, B.; Kandels, D.; Neumayer, P.; Neumann-Holbeck, A.; et al. Survivors of infant atypical teratoid/rhabdoid tumors present with severely impaired cognitive functions especially for fluid intelligence and visual processing: Data from the German brain tumor studies. Pediatr. Blood Cancer 2024, 71, e30910. [Google Scholar] [CrossRef]
- Grønbæk, J.K.; Wibroe, M.; Toescu, S.; Frič, R.; Thomsen, B.L.; Møller, L.N.; Grillner, P.; Gustavsson, B.; Mallucci, C.; Aquilina, K.; et al. Postoperative speech impairment and surgical approach to posterior fossa tumours in children: A prospective European multicentre cohort study. Lancet Child Adolesc. Health 2021, 5, 814–824. [Google Scholar] [CrossRef]
- Moxon-Emre, I.; Taylor, M.D.; Bouffet, E.; Hardy, K.; Campen, C.J.; Malkin, D.; Hawkins, C.; Laperriere, N.; Ramaswamy, V.; Bartels, U.; et al. Intellectual Outcome in Molecular Subgroups of Medulloblastoma. J. Clin. Oncol. 2016, 34, 4161–4170. [Google Scholar] [CrossRef] [PubMed]
- Tsai, M.L.; Chen, C.L.; Hsieh, K.L.; Miser, J.S.; Chang, H.; Liu, Y.L.; Wong, T.T. Seizure characteristics are related to tumor pathology in children with brain tumors. Epilepsy Res. 2018, 147, 15–21. [Google Scholar] [CrossRef]
- Sánchez Fernández, I.; Loddenkemper, T. Seizures caused by brain tumors in children. Seizure 2017, 44, 98–107. [Google Scholar] [CrossRef]
- Zahid, N.; Enam, S.A.; Mårtensson, T.; Azam, I.; Mushtaq, N.; Moochhala, M.; Javed, F.; Kausar, F.; Hasan, A.; Rehman, L.; et al. Predictors of neurocognition outcomes in children and young people with primary brain tumor presenting to tertiary care hospitals of Karachi, Pakistan: A prospective cohort study. Childs Nerv. Syst. 2024, 40, 1707–1719. [Google Scholar] [CrossRef] [PubMed]
- de Licht, E.F.; Ideland, T.; Sigurdsson, G.; Anastasopoulou, S.; Olsson, I.T. QOL-14. Epileptic Seizures, Anti-Seizure Medications, and Neurocognition in Survivors of Pediatric Brain Tumors. Neuro-Oncology 2024, 26, 1946. [Google Scholar] [CrossRef]
- Chávez López, E.K.; Aparicio, J.; Valera, C.; Campistol Plana, J.; Ramírez Camacho, A.; Fons, C.; Arzimanoglou, A. Pre-surgical evaluation challenges and long-term outcome in children operated on for Low Grade Epilepsy Associated brain Tumors. Eur. J. Paediatr. Neurol. 2022, 41, 55–62. [Google Scholar] [CrossRef] [PubMed]
- Kahle, K.T.; Kulkarni, A.V.; Limbrick, D.D., Jr.; Warf, B.C. Hydrocephalus in children. Lancet 2016, 387, 788–799. [Google Scholar] [CrossRef]
- Aarsen, F.K.; Arts, W.F.; Van Veelen-Vincent, M.L.; Lequin, M.H.; Catsman-Berrevoets, C.E. Long-term outcome in children with low grade tectal tumours and obstructive hydrocephalus. Eur. J. Paediatr. Neurol. 2014, 18, 469–474. [Google Scholar] [CrossRef]
- Merchant, T.E.; Lee, H.; Zhu, J.; Xiong, X.; Wheeler, G.; Phipps, S.; Boop, F.A.; Sanford, R.A. The effects of hydrocephalus on intelligence quotient in children with localized infratentorial ependymoma before and after focal radiation therapy. J. Neurosurg. Pediatr. 2004, 101, 159–168. [Google Scholar] [CrossRef]
- Kao, G.D.; Goldwein, J.W.; Schultz, D.J.; Radcliffe, J.; Sutton, L.; Lange, B. The impact of perioperative factors on subsequent intelligence quotient deficits in children treated for medulloblastoma/posterior fossa primitive neuroectodermal tumors. Cancer 1994, 74, 965–971. [Google Scholar] [CrossRef]
- Paturu, M.; Triplett, R.L.; Thukral, S.; Alexopoulos, D.; Smyser, C.D.; Limbrick, D.D.; Strahle, J.M. Does ventricle size contribute to cognitive outcomes in posthemorrhagic hydrocephalus? Role of early definitive intervention. J. Neurosurg. Pediatr. 2021, 29, 10–20. [Google Scholar] [CrossRef] [PubMed]
- Waqar, M.; Mohamed, S.; Dulhanty, L.; Khan, H.; Omar, A.; Hulme, S.; Parry Jones, A.R.; Patel, H.C. Radiologically defined acute hydrocephalus in aneurysmal subarachnoid haemorrhage. Br. J. Neurosurg. 2024, 38, 805–810. [Google Scholar] [CrossRef] [PubMed]
- Ris, M.D.; Leisenring, W.M.; Goodman, P.; Di, C.; Noll, J.; Levy, W.; Robison, L.L.; Armstrong, G.T. Neuropsychological and socioeconomic outcomes in adult survivors of pediatric low-grade glioma. Cancer 2019, 125, 3050–3058. [Google Scholar] [CrossRef]
- Heitzer, A.M.; Raghubar, K.; Ris, M.D.; Minard, C.G.; Gragert, M.N.; Stancel, H.H.; Orobio, J.; Xue, J.; Whitehead, W.; Okcu, M.F.; et al. Neuropsychological functioning following surgery for pediatric low-grade glioma: A prospective longitudinal study. J. Neurosurg. Pediatr. 2019, 25, 251–259. [Google Scholar] [CrossRef] [PubMed]
- Conklin, H.M.; Li, C.; Xiong, X.; Ogg, R.J.; Merchant, T.E. Predicting change in academic abilities after conformal radiation therapy for localized ependymoma. J. Clin. Oncol. 2008, 26, 3965–3970. [Google Scholar] [CrossRef]
- Heitzer, A.M.; Ashford, J.M.; Hastings, C.; Liu, A.P.Y.; Wu, S.; Bass, J.K.; Vestal, R.; Hoehn, M.; Chiang, J.; Ghazwani, Y.; et al. Neuropsychological outcomes of patients with low-grade glioma diagnosed during the first year of life. J. Neurooncol. 2019, 141, 413–420. [Google Scholar] [CrossRef]
- Ait Khelifa-Gallois, N.; Laroussinie, F.; Puget, S.; Sainte-Rose, C.; Dellatolas, G. Long-term functional outcome of patients with cerebellar pilocytic astrocytoma surgically treated in childhood. Brain Inj. 2015, 29, 366–373. [Google Scholar] [CrossRef]
- Toescu, S.M.; Hettige, S.; Phipps, K.; Smith, R.J.P.; Haffenden, V.; Clark, C.; Hayward, R.; Mankad, K.; Aquilina, K. Post-operative paediatric cerebellar mutism syndrome: Time to move beyond structural MRI. Childs Nerv. Syst. 2018, 34, 2249–2257. [Google Scholar] [CrossRef]
- McAfee, S.S.; Zhang, S.; Zou, P.; Conklin, H.M.; Raches, D.; Robinson, G.; Gajjar, A.; Khan, R.; Klimo, P.; Patay, Z.; et al. Fastigial nuclei surgical damage and focal midbrain disruption implicate PAG survival circuits in cerebellar mutism syndrome. Neuro-Oncology 2023, 25, 375–385. [Google Scholar] [CrossRef]
- Liu, J.F.; Dineen, R.A.; Avula, S.; Chambers, T.; Dutta, M.; Jaspan, T.; MacArthur, D.C.; Howarth, S.; Soria, D.; Quinlan, P.; et al. Development of a pre-operative scoring system for predicting risk of post-operative paediatric cerebellar mutism syndrome. Br. J. Neurosurg. 2018, 32, 18–27. [Google Scholar] [CrossRef]
- Spiteri, M.; Windridge, D.; Avula, S.; Kumar, R.; Lewis, E. Identifying quantitative imaging features of posterior fossa syndrome in longitudinal MRI. J. Med. Imaging 2015, 2, 044502. [Google Scholar] [CrossRef]
- Toescu, S.M.; Hales, P.W.; Aquilina, K.; Clark, C.A. Quantitative MRI in post-operative paediatric cerebellar mutism syndrome. Eur. J. Radiol. 2018, 108, 43–51. [Google Scholar] [CrossRef] [PubMed]
- Miller, N.G.; Reddick, W.E.; Kocak, M.; Glass, J.O.; Löbel, U.; Morris, B.; Gajjar, A.; Patay, Z. Cerebellocerebral diaschisis is the likely mechanism of postsurgical posterior fossa syndrome in pediatric patients with midline cerebellar tumors. AJNR Am. J. Neuroradiol. 2010, 31, 288–294. [Google Scholar] [CrossRef] [PubMed]
- Grob, S.T.; Miller, K.R.; Sanford, B.; Donson, A.M.; Jones, K.; Griesinger, A.M.; Amani, V.; Foreman, N.K.; Liu, A.; Handler, M.; et al. Genetic predictors of neurocognitive outcomes in survivors of pediatric brain tumors. J. Neurooncol. 2023, 165, 161–169. [Google Scholar] [CrossRef] [PubMed]
- Ris, M.D.; Packer, R.; Goldwein, J.; Jones-Wallace, D.; Boyett, J.M. Intellectual outcome after reduced-dose radiation therapy plus adjuvant chemotherapy for medulloblastoma: A Children’s Cancer Group study. J. Clin. Oncol. 2001, 19, 3470–3476. [Google Scholar] [CrossRef]
- Ris, M.D.; Beebe, D.W.; Armstrong, F.D.; Fontanesi, J.; Holmes, E.; Sanford, R.A.; Wisoff, J.H. Cognitive and adaptive outcome in extracerebellar low-grade brain tumors in children: A report from the Children’s Oncology Group. J. Clin. Oncol. 2008, 26, 4765–4770. [Google Scholar] [CrossRef]
- Baudou, E.; Pollidoro, L.; Lemesle, B.; Maziero, S.; Tensaouti, F.; Bertozzi, A.I.; Cazaux, M.; Costes, M.; Courbieres, N.; Dufour, C.; et al. Exploring Memory Systems After Pediatric Posterior Fossa Tumor: From Memory Profile Comparisons in Nonirradiated Versus Irradiated Patients to Episodic Memory Tests Capable of Detecting Radiation-induced Hippocampal Damage. Clin. Oncol. (R Coll. Radiol.) 2024, 36, e312–e321. [Google Scholar] [CrossRef]
- Kralik, S.F.; Ho, C.Y.; Finke, W.; Buchsbaum, J.C.; Haskins, C.P.; Shih, C.S. Radiation Necrosis in Pediatric Patients with Brain Tumors Treated with Proton Radiotherapy. AJNR Am. J. Neuroradiol. 2015, 36, 1572–1578. [Google Scholar] [CrossRef]
- Lindner, O.C.; Phillips, B.; McCabe, M.G.; Mayes, A.; Wearden, A.; Varese, F.; Talmi, D. A meta-analysis of cognitive impairment following adult cancer chemotherapy. Neuropsychology 2014, 28, 726–740. [Google Scholar] [CrossRef]
- Micklewright, J.L.; King, T.Z.; Morris, R.D.; Krawiecki, N. Quantifying Pediatric Neuro-oncology Risk Factors: Development of the Neurological Predictor Scale. J. Child Neurol. 2008, 23, 455–458. [Google Scholar] [CrossRef]
- Riva, D.; Giorgi, C.; Nichelli, F.; Bulgheroni, S.; Massimino, M.; Cefalo, G.; Gandola, L.; Giannotta, M.; Bagnasco, I.; Saletti, V.; et al. Intrathecal methotrexate affects cognitive function in children with medulloblastoma. Neurology 2002, 59, 48–53. [Google Scholar] [CrossRef] [PubMed]
- Schwetye, K.E.; Gutmann, D.H. Cognitive and behavioral problems in children with neurofibromatosis type 1: Challenges and future directions. Expert Rev. Neurother. 2014, 14, 1139–1152. [Google Scholar] [CrossRef] [PubMed]
- de Blank, P.M.; Berman, J.I.; Fisher, M.J. Systemic Chemotherapy and White Matter Integrity in Tracts Associated with Cognition Among Children With Neurofibromatosis Type 1. Pediatr. Blood Cancer 2016, 63, 818–824. [Google Scholar] [CrossRef] [PubMed]
- Unnikrishnan, S.; Yip, A.T.; Qian, A.S.; Salans, M.A.; Yu, J.D.; Huynh-Le, M.P.; Reyes, A.; Stasenko, A.; McDonald, C.; Kaner, R.; et al. Neurocognitive Outcomes in Multiethnic Pediatric Brain Tumor Patients Treated With Proton Versus Photon Radiation. J. Pediatr. Hematol. Oncol. 2023, 45, e837–e846. [Google Scholar] [CrossRef]
- Al-Mazidi, S.H. The Physiology of Cognition in Autism Spectrum Disorder: Current and Future Challenges. Cureus 2023, 15, e46581. [Google Scholar] [CrossRef]
- Tye, C.; McEwen, F.S.; Liang, H.; Underwood, L.; Woodhouse, E.; Barker, E.D.; Sheerin, F.; Yates, J.R.W.; Bolton, P.F. Long-term cognitive outcomes in tuberous sclerosis complex. Dev. Med. Child Neurol. 2020, 62, 322–329. [Google Scholar] [CrossRef]
- Kautiainen, R.J.; Na, S.D.; King, T.Z. Neurological predictor scale is associated with academic achievement outcomes in long-term survivors of childhood brain tumors. J. Neurooncol. 2019, 142, 193–201. [Google Scholar] [CrossRef]
- King, T.Z.; Wang, L.; Mao, H. Disruption of White Matter Integrity in Adult Survivors of Childhood Brain Tumors: Correlates with Long-Term Intellectual Outcomes. PLoS ONE 2015, 10, e0131744. [Google Scholar] [CrossRef]
- Srsich, A.R.; McCurdy, M.D.; Fantozzi, P.M.; Hocking, M.C. Predicting neuropsychological late effects in pediatric brain tumor survivors using the Neurological Predictor Scale and the Pediatric Neuro-Oncology Rating of Treatment Intensity. J. Int. Neuropsychol. Soc. 2024, 30, 380–388. [Google Scholar] [CrossRef]
- Spiteri, M.; Guillemaut, J.Y.; Windridge, D.; Avula, S.; Kumar, R.; Lewis, E. Fully-Automated Identification of Imaging Biomarkers for Post-Operative Cerebellar Mutism Syndrome Using Longitudinal Paediatric MRI. Neuroinformatics 2020, 18, 151–162. [Google Scholar] [CrossRef] [PubMed]
- Barkovich, M.J.; Li, Y.; Desikan, R.S.; Barkovich, A.J.; Xu, D. Challenges in pediatric neuroimaging. Neuroimage 2019, 185, 793–801. [Google Scholar] [CrossRef]
- Decherchi, S.; Pedrini, E.; Mordenti, M.; Cavalli, A.; Sangiorgi, L. Opportunities and Challenges for Machine Learning in Rare Diseases. Front. Med. 2021, 8, 747612. [Google Scholar] [CrossRef] [PubMed]
- Ostrom, Q.T.; Price, M.; Ryan, K.; Edelson, J.; Neff, C.; Cioffi, G.; Waite, K.A.; Kruchko, C.; Barnholtz-Sloan, J.S. CBTRUS Statistical Report: Pediatric Brain Tumor Foundation Childhood and Adolescent Primary Brain and Other Central Nervous System Tumors Diagnosed in the United States in 2014–2018. Neuro-Oncology 2022, 24, iii1–iii38. [Google Scholar] [CrossRef]
- Ostrom, Q.T.; Cioffi, G.; Waite, K.; Kruchko, C.; Barnholtz-Sloan, J.S. CBTRUS Statistical Report: Primary Brain and Other Central Nervous System Tumors Diagnosed in the United States in 2014–2018. Neuro-Oncology 2021, 23, iii1–iii105. [Google Scholar] [CrossRef] [PubMed]
- Louis, D.N.; Perry, A.; Wesseling, P.; Brat, D.J.; Cree, I.A.; Figarella-Branger, D.; Hawkins, C.; Ng, H.K.; Pfister, S.M.; Reifenberger, G.; et al. The 2021 WHO Classification of Tumors of the Central Nervous System: A summary. Neuro-Oncology 2021, 23, 1231–1251. [Google Scholar] [CrossRef]
- Kumamaru, H.; Schneeweiss, S.; Glynn, R.J.; Setoguchi, S.; Gagne, J.J. Dimension reduction and shrinkage methods for high dimensional disease risk scores in historical data. Emerg. Themes Epidemiol. 2016, 13, 5. [Google Scholar] [CrossRef]
- Parvandeh, S.; Yeh, H.W.; Paulus, M.P.; McKinney, B.A. Consensus features nested cross-validation. Bioinformatics 2020, 36, 3093–3098. [Google Scholar] [CrossRef]
- Riley, R.D.; Snell, K.I.E.; Martin, G.P.; Whittle, R.; Archer, L.; Sperrin, M.; Collins, G.S. Penalization and shrinkage methods produced unreliable clinical prediction models especially when sample size was small. J. Clin. Epidemiol. 2021, 132, 88–96. [Google Scholar] [CrossRef]
- Nabavizadeh, A.; Barkovich, M.J.; Mian, A.; Ngo, V.; Kazerooni, A.F.; Villanueva-Meyer, J.E. Current state of pediatric neuro-oncology imaging, challenges and future directions. Neoplasia 2023, 37, 100886. [Google Scholar] [CrossRef]
- GIRFT. Radiology: GIRFT Programme National Specialty Report; GIRFT: London, UK, 2023. [Google Scholar]
- Avula, S.; Peet, A.; Morana, G.; Morgan, P.; Warmuth-Metz, M.; Jaspan, T. European Society for Paediatric Oncology (SIOPE) MRI guidelines for imaging patients with central nervous system tumours. Childs Nerv. Syst. 2021, 37, 2497–2508. [Google Scholar] [CrossRef] [PubMed]
- Toescu, S.M.; Hales, P.W.; Tisdall, M.M.; Aquilina, K.; Clark, C.A. Neurosurgical applications of tractography in the UK. Br. J. Neurosurg. 2020, 35, 424–429. [Google Scholar] [CrossRef]
- Price, G.; van Herk, M.; Faivre-Finn, C. Data Mining in Oncology: The ukCAT Project and the Practicalities of Working with Routine Patient Data. Clin. Oncol. (R Coll. Radiol.) 2017, 29, 814–817. [Google Scholar] [CrossRef] [PubMed]
- Bhatia, A.; Sabin, N.D.; Fisher, M.J.; Poussaint, T.Y. Review of imaging recommendations from Response Assessment in Pediatric Neuro-Oncology (RAPNO). Pediatr. Radiol. 2023, 53, 2723–2741. [Google Scholar] [CrossRef] [PubMed]
- Thomas, S.; Embry, L.; Walsh, K.; Bull, K.; Grundy, R.; Kennedy, C.; Lemiere, J.; Hernáiz Driever, P.; Limond, J.; Chevignard, M.; et al. Transatlantic progress in measurement of cognitive outcomes in paediatric oncology trials. Pediatr. Blood Cancer 2023, 70, e30171. [Google Scholar] [CrossRef]
- Kilday, J.P.; Pringle, C.; Kamaly-Asl, I.D.; Pizer, B.; Mallucci, C.; Hennigan, D.; Avula, S.; Cheesman, E.; du Plessis, D.; Stivaros, S. RADI-15. Perfusion Imaging in Presumed Pediatric Diffuse Intrinsic Pontine Glioma: A UK Regional Analysis. Neuro-Oncology 2018, 20, i172–i173. [Google Scholar] [CrossRef][Green Version]
- Duhaime, A.C.; Gean, A.D.; Haacke, E.M.; Hicks, R.; Wintermark, M.; Mukherjee, P.; Brody, D.; Latour, L.; Riedy, G. Common data elements in radiologic imaging of traumatic brain injury. Arch. Phys. Med. Rehabil. 2010, 91, 1661–1666. [Google Scholar] [CrossRef]








| MRI Sequence | Applications |
|---|---|
| T1 |
|
| T2/FLAIR |
|
| T2*/SWI |
|
| MRI Sequence | Applications |
|---|---|
| Diffusion-Weighted Imaging |
|
| Diffusion Tensor Imaging |
|
| Perfusion |
|
| Magnetic Resonance Spectroscopy |
|
| Applications | Examples |
|---|---|
| Tumour Grade | |
| Tumour Type | |
| Radiogenotyping/ Molecular Subtyping | |
| Prognostication |
| Name | Population | Grading System | Classification |
|---|---|---|---|
| Sawaya [71] | Adult HGG | Graded Eloquence— 1–3 |
|
| Friedlein [72] | Adult HGG | Resectability—A/B |
|
| Shinoda [70] | Adult Supratentorial HGG | Group—A/B/C and Eloquent—Y/N |
|
| Chang [69] | Adult Hemispheric LGG | Eloquent—Y/N |
|
| Spetzler- Martin [68] | Arteriovenous Malformations | Eloquent—Y/N |
|
Disclaimer/Publisher’s Note: The statements, opinions and data contained in all publications are solely those of the individual author(s) and contributor(s) and not of MDPI and/or the editor(s). MDPI and/or the editor(s) disclaim responsibility for any injury to people or property resulting from any ideas, methods, instructions or products referred to in the content. |
© 2025 by the authors. Licensee MDPI, Basel, Switzerland. This article is an open access article distributed under the terms and conditions of the Creative Commons Attribution (CC BY) license (https://creativecommons.org/licenses/by/4.0/).
Share and Cite
Dockrell, S.; McCabe, M.G.; Kamaly-Asl, I.; Kilday, J.-P.; Stivaros, S.M. Radiological Predictors of Cognitive Impairment in Paediatric Brain Tumours Using Multiparametric Magnetic Resonance Imaging: A Review of Current Practice, Challenges and Future Directions. Cancers 2025, 17, 947. https://doi.org/10.3390/cancers17060947
Dockrell S, McCabe MG, Kamaly-Asl I, Kilday J-P, Stivaros SM. Radiological Predictors of Cognitive Impairment in Paediatric Brain Tumours Using Multiparametric Magnetic Resonance Imaging: A Review of Current Practice, Challenges and Future Directions. Cancers. 2025; 17(6):947. https://doi.org/10.3390/cancers17060947
Chicago/Turabian StyleDockrell, Simon, Martin G. McCabe, Ian Kamaly-Asl, John-Paul Kilday, and Stavros M. Stivaros. 2025. "Radiological Predictors of Cognitive Impairment in Paediatric Brain Tumours Using Multiparametric Magnetic Resonance Imaging: A Review of Current Practice, Challenges and Future Directions" Cancers 17, no. 6: 947. https://doi.org/10.3390/cancers17060947
APA StyleDockrell, S., McCabe, M. G., Kamaly-Asl, I., Kilday, J.-P., & Stivaros, S. M. (2025). Radiological Predictors of Cognitive Impairment in Paediatric Brain Tumours Using Multiparametric Magnetic Resonance Imaging: A Review of Current Practice, Challenges and Future Directions. Cancers, 17(6), 947. https://doi.org/10.3390/cancers17060947

