Clinical, Laboratory, and Imaging Features Associated with Arginine Vasopressin Deficiency (Central Diabetes Insipidus) in Erdheim–Chester Disease (ECD)
Simple Summary
Abstract
1. Introduction
2. Materials and Methods
2.1. Overview
2.2. Procedures
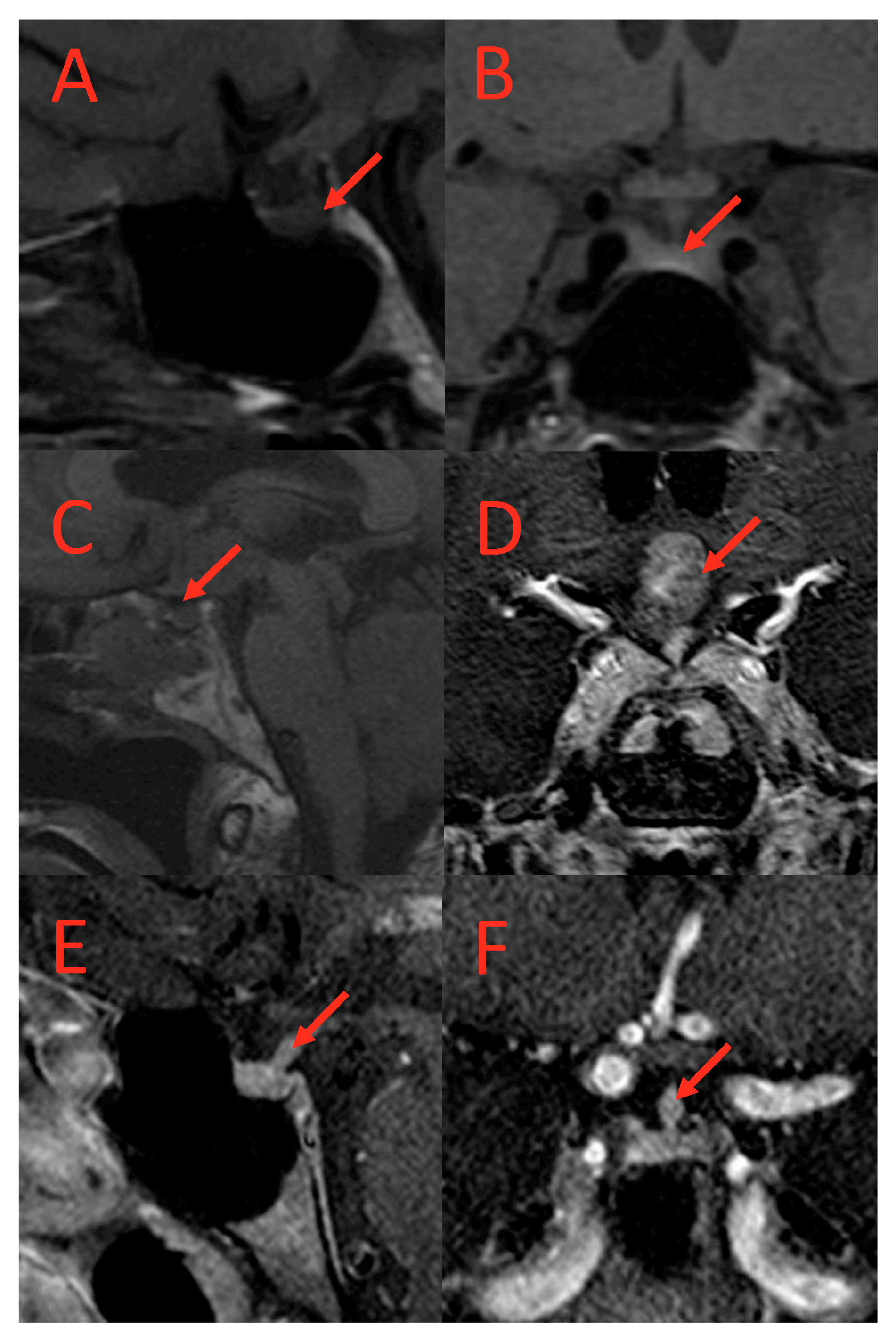
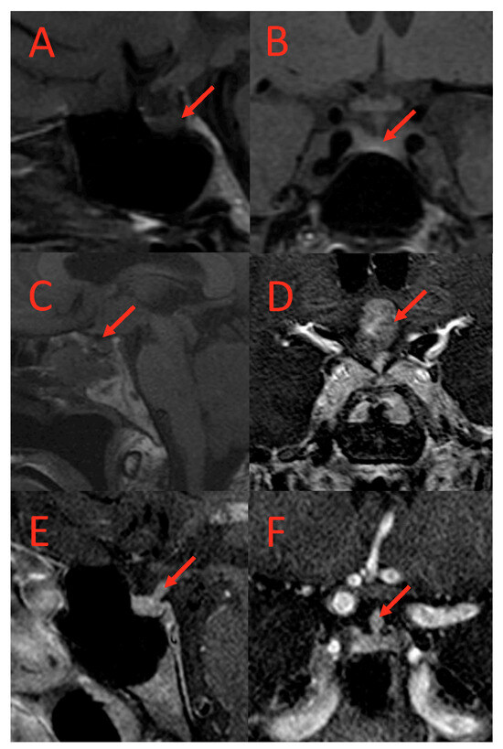
2.3. Radiological Assessment
2.4. Endocrine Assessment
2.5. Statistical Analysis
3. Results
4. Discussion
5. Conclusions
Author Contributions
Funding
Institutional Review Board Statement
Informed Consent Statement
Data Availability Statement
Acknowledgments
Conflicts of Interest
References
- Emile, J.-F.; Abla, O.; Fraitag, S.; Horne, A.; Haroche, J.; Donadieu, J.; Requena-Caballero, L.; Jordan, M.B.; Abdel-Wahab, O.; Allen, C.E.; et al. Revised classification of histiocytoses and neoplasms of the macrophage-dendritic cell lineages. Blood 2016, 127, 2672–2681. [Google Scholar] [CrossRef]
- Goyal, G.; Heaney, M.L.; Collin, M.; Cohen-Aubart, F.; Vaglio, A.; Durham, B.H.; Hershkovitz-Rokah, O.; Girschikofsky, M.; Jacobsen, E.D.; Toyama, K.; et al. Erdheim-Chester disease: Consensus recommendations for evaluation, diagnosis, and treatment in the molecular era. Blood 2020, 135, 1929–1945. [Google Scholar] [CrossRef]
- Haroche, J.; Cohen-Aubart, F.; Emile, J.F.; Arnaud, L.; Maksud, P.; Charlotte, F.; Cluzel, P.; Drier, A.; Hervier, B.; Benameur, N.; et al. Dramatic efficacy of vemurafenib in both multisystemic and refractory Erdheim-Chester disease and Langerhans cell histiocytosis harboring the BRAF V600E mutation. Blood 2013, 121, 1495–1500. [Google Scholar] [CrossRef] [PubMed]
- Arnaud, L.; Gorochov, G.; Charlotte, F.; Lvovschi, V.; Parizot, C.; Larsen, M.; Ghillani-Dalbin, P.; Hervier, B.; Kahn, J.E.; Deback, C.; et al. Systemic perturbation of cytokine and chemokine networks in Erdheim-Chester disease: A single-center series of 37 patients. Blood 2011, 117, 2783–2790. [Google Scholar] [CrossRef] [PubMed]
- Haroche, J.; Arnaud, L.; Cohen-Aubart, F.; Hervier, B.; Charlotte, F.; Emile, J.F.; Amoura, Z. Erdheim-Chester disease. Curr. Rheumatol. Rep. 2014, 16, 412. [Google Scholar] [CrossRef] [PubMed]
- Cavalli, G.; Guglielmi, B.; Berti, A.; Campochiaro, C.; Sabbadini, M.G.; Dagna, L. The multifaceted clinical presentations and manifestations of Erdheim-Chester disease: Comprehensive review of the literature and of 10 new cases. Ann. Rheum. Dis. 2013, 72, 1691–1695. [Google Scholar] [CrossRef]
- Arnaud, L.; Hervier, B.; Néel, A.; Hamidou, M.A.; Kahn, J.E.; Wechsler, B.; Pérez-Pastor, G.; Blomberg, B.; Fuzibet, J.G.; Dubourguet, F.; et al. CNS involvement and treatment with interferon-α are independent prognostic factors in Erdheim-Chester disease: A multicenter survival analysis of 53 patients. Blood 2011, 117, 2778–2782. [Google Scholar] [CrossRef] [PubMed]
- Diamond, E.L.; Dagna, L.; Hyman, D.M.; Cavalli, G.; Janku, F.; Estrada-Veras, J.; Ferrarini, M.; Abdel-Wahab, O.; Heaney, M.L.; Scheel, P.J.; et al. Consensus guidelines for the diagnosis and clinical management of Erdheim-Chester disease. Blood 2014, 124, 483–492. [Google Scholar] [CrossRef]
- Estrada-Veras, J.I.; O'Brien, K.J.; Boyd, L.C.; Dave, R.H.; Durham, B.; Xi, L.; Malayeri, A.A.; Chen, M.Y.; Gardner, P.J.; Alvarado-Enriquez, J.R.; et al. The clinical spectrum of Erdheim-Chester disease: An observational cohort study. Blood Adv. 2017, 1, 357–366. [Google Scholar] [CrossRef] [PubMed]
- Gubbi, S.; Hannah-Shmouni, F.; Koch, C.A.; Verbalis, J.G. Diagnostic Testing for Diabetes Insipidus. In Endotext; Feingold, K.R., Anawalt, B., Blackman, M.R., Boyce, A., Chrousos, G., Corpas, E., de Herder, W.W., Dhatariya, K., Dungan, K., Hofland, J., et al., Eds.; MDText.com, Inc.: South Dartmouth, MA, USA, 2000. [Google Scholar]
- Shekhar, S.; Irizarry-Caro, J.A.; Sinaii, N.; Gahl, W.A.; Estrada-Veras, J.I.; Dave, R.H.; Gochuico, B.R.; Papadakis, G.Z.; Patronas, N.; Stratakis, C.A.; et al. Pituitary Imaging Abnormalities and Related Endocrine Disorders in Erdheim-Chester Disease. Cancers 2021, 13, 4126. [Google Scholar] [CrossRef] [PubMed]
- Shekhar, S.; Sinaii, N.; Irizarry-Caro, J.A.; Gahl, W.A.; Estrada-Veras, J.I.; Dave, R.; Papadakis, G.Z.; Tirosh, A.; Abel, B.S.; Klubo-Gwiezdzinska, J.; et al. Prevalence of Hypothyroidism in Patients With Erdheim-Chester Disease. JAMA Netw. Open 2020, 3, e2019169. [Google Scholar] [CrossRef]
- Hannah-Shmouni, F.; Boyd, L.; Papadakis, G.Z.; Tirosh, A.; Gahl, W.A.; Estrada-Veras, J.I.; O'Brien, K. Association of BRAF V600E with Hypothalamic-Pituitary-Adrenal Axis Involvement in Erdheim-Chester Disease. Endocr. Metab. Science 2020, 1, 100051. [Google Scholar] [CrossRef]
- Bornstein, S.R.; Allolio, B.; Arlt, W.; Barthel, A.; Don-Wauchope, A.; Hammer, G.D.; Husebye, E.S.; Merke, D.P.; Murad, M.H.; Stratakis, C.A.; et al. Diagnosis and Treatment of Primary Adrenal Insufficiency: An Endocrine Society Clinical Practice Guideline. J. Clin. Endocrinol. Metab. 2016, 101, 364–389. [Google Scholar] [CrossRef] [PubMed]
- Lynnette, K.; Nieman, A.D. Adrenal Insufficiency. In UpToDate; Lacroix, A., Ed.; Wolters Kluwer: Waltham, MA, USA, 2024. [Google Scholar]
- Cuzzo, B.P.S.; Lappin, S.L. Physiology, Vasopressin. In StatPearls [Internet]; StatPearls Publishing: Treasure Island, FL, USA, 2023. Available online: https://www.ncbi.nlm.nih.gov/books/NBK526069/ (accessed on 6 January 2024).
- Hui, C.; Khan, M.; Suheb, M.Z.K.; Radbel, J.M. Diabetes Insipidus. In StatPearls [Internet]; StatPearls Publishing: Treasure Island, FL, USA, 2023. Available online: https://www.ncbi.nlm.nih.gov/books/NBK470458/ (accessed on 6 January 2024).
- Christ-Crain, M.; Gaisl, O. Diabetes insipidus. La Presse Médicale 2021, 50, 104093. [Google Scholar] [CrossRef] [PubMed]
- Courtillot, C.; Laugier Robiolle, S.; Cohen Aubart, F.; Leban, M.; Renard-Penna, R.; Drier, A.; Charlotte, F.; Amoura, Z.; Touraine, P.; Haroche, J. Endocrine Manifestations in a Monocentric Cohort of 64 Patients With Erdheim-Chester Disease. J. Clin. Endocrinol. Metab. 2016, 101, 305–313. [Google Scholar] [CrossRef]
- Imaizumi, T.; Daido, H.; Kato, T.; Yabe, D. Erdheim-Chester Disease with BRAF V600E Mutation and Central Diabetes Insipidus Successfully Treated with Glucocorticoid. JCEM Case Rep. 2023, 1, luad014. [Google Scholar] [CrossRef] [PubMed]
- Côté, M.; Salzman, K.L.; Sorour, M.; Couldwell, W.T. Normal dimensions of the posterior pituitary bright spot on magnetic resonance imaging. J. Neurosurg. 2014, 120, 357–362. [Google Scholar] [CrossRef] [PubMed]


| Characteristics: [Reference Ranges] | Full Cohort (n = 61) | Subjects with AVP-D (n = 22) | Subjects Without AVP-D (n = 39) | p Value |
|---|---|---|---|---|
| Age, mean (SD), y | 54.30 ± 10.93 | 50.00 ± 10.45 | 56.72 ± 10.45 | <0.01 |
| Sex, female vs. male, n (%) | 15 (24.59%) vs. 46 (75.40%) | 3 (13.63%) vs. 19 (86.36%) | 12 (30.77%) vs. 27 (69.23%) | 0.99 |
| Body Mass Index, median (IQR), kg/m2 | 27.80 (24.80–32.90) | 29.65 (24.50–34.50) | 27.20 (25.20–32.45) | 0.82 |
| Serum Sodium, median (IQR), mmol/L [135–144 mmol/L] | 141 (140.00–143.00) | 141(140.00–142.75) | 141 (139.50–143.00) | 0.94 |
| Serum Osmolality, median (IQR), mOsm/kg [278–298 mOsm/kg] | 299 (295.00–302.00) | 300 (296.00–302.00) | 297 (294.50–302.00) | 0.37 |
| Urine Osmolality, median (IQR), mOsm/kg (n = 57) [300–900 mOsm/kg] | 604.00 (403.00–721.00) | 416.00 (250.00–690.00) | 644.50 (538.75–757.75) | <0.01 |
| Arginine Vasopressin, median (IQR), pg/mL [less than 1.7 pg/mL] | 0.70 (0.25–1.20) | 0.48 (0.25–1.20) | 0.70 (0.25–1.20) | 0.7 |
| Total Cholesterol, mean (SEM), mg/dL [less than 200 mg/dL] | 167.59 ± 4.52 | 173.91 ± 6.91 | 164.03 ± 5.89 | 0.29 |
| hsCRP, median (IQR), mg/dL [less than 1: low risk 1–3: average risk Greater than 3 high risk] | 13.40 (4.06–48.65) | 19.80 (7.11–63.60) | 6.64 (2.73–45.05) | 0.12 |
| Total Testosterone in males, median (IQR), ng/dL [262–1593 ng/dL] | 266.00 (177.50–414.50) (n = 46) | 382.00 (194.25–567.50) (n = 18) | 246.50 (156.50–355.00) (n = 28) | 0.07 |
| Estradiol in females, median (IQR), pg/mL [12–460 pg/mL] | 7.75 (5.50–26.10) (n = 13) | 6.30 (5.60–23.00) (n = 5) | 10.40 (5.38–26.30) (n = 8) | 0.80 |
| Prolactin, median (IQR) mcg/L [2–25 mcg/L] | 8.90 (6.40–15.60) | 8.55 (6.25–15.05) | 9.40 (6.70–14.00) | 0.81 |
| IGF-1, mean (SEM), ng/mL [94–252 ng/mL] | 161.67 ± 8.71 | 137.05 ± 13.87 | 175.92 ± 10.22 | 0.03 |
| TSH, median (IQR), (mcIU/mL) [0.40–4.00 mcIU/mL] | 1.68 (0.94–2.77) | 1.58 (0.54–2.47) | 1.57 (0.95–2.46) | 0.48 |
| Free T4, median (IQR), (ng/dL) [0.8–1.5 ng/dL] | 1.20 (1.10–1.30) (n = 23) | 1.30 (1.20–1.50) (n = 9) | 1.20 (1.18–1.20) (n = 14) | 0.13 |
| Serum Cortisol, mean (SEM), (mcg/dL) [5–25 mcg/dL] * | 11.90 ± 0.86 | 10.12 ± 1.45 | 15.13 ± 1.05 | 0.12 |
| Pathogenic Variant: BRAF V600 E, n (%) | 31 (50.81) | 15 (88.23) (n = 17) | 16 (43.24) (n = 37) | <0.01 |
| Panhypopituitarism, n (%) | 9 (14.75) | 9 (40.90) | 0 (0.00) | <0.01 |
| Central Hypogonadism, n (%) | 32 (52.45) | 18 (81.82) | 14 (36.00) | <0.01 |
| Central Hypothyroidism, n (%) | 6 (9.83) | 5 (22.73) | 1 (2.56) | 0.02 |
| Primary Hypothyroidism, n (%) | 11 (18.03) | 3 (13.63) | 8 (20.51) | 0.73 |
| Central Adrenal Insufficiency, n (%) | 7 (11.48) | 5 (22.73) | 2 (5.13) | 0.09 |
| Characteristics | Full Cohort (n = 61) | Subjects with AVP-D (n = 22) | Subjects Without AVP-D (n = 39) | p Value |
|---|---|---|---|---|
| Absent Posterior Pituitary Bright Spot, n (%) | 22 (36.07) | 14 (63.64) | 8(20.51) | <0.01 |
| Abnormal Morphology–Heterogenous Enhancement, n (%) | 11 (18.03) | 6 (27.27) | 5 (12.82) | 0.3 |
| Small Pituitary, n (%) | 9 (14.75) | 5 (22.73) | 4 (10.26) | 0.26 |
| Thickened Pituitary Stalk, n (%) | 15 (24.59) | 7 (31.82) | 8 (20.51) | 0.36 |
| Stalk Deviation, n (%) | 7 (11.48) | 2 (9.09) | 5 (12.82) | 0.99 |
| Pituitary Encasement, n (%) | 3 (4.92) | 1 (4.55) | 2 (5.13) | 0.99 |
| Complete Empty Sella, n (%) | 4 (6.56) | 1 (4.55) | 3 (7.69) | 0.99 |
| Partial Empty Sella, n (%) | 4 (6.56) | 1 (4.55) | 3 (7.69) | 0.99 |
| Intermediate Cyst in Sella, n (%) | 3 (4.92) | 1 (4.55) | 2 (5.13) | 0.99 |
| Ratkhes Cyst in Sella, n (%) | 1 (1.64) | 0 (0.00) | 1 (2.56) | 0.99 |
| Microadenoma, n (%) | 1 (1.64) | 1 (4.55) | 0 (0.00) | 0.36 |
| Absent Posterior Lobe, n (%) | 2 (3.28) | 1 (4.55) | 1 (2.56) | 0.99 |
| Suprasellar Mass, n (%) | 2 (3.28) | 2 (9.09) | 0 (0.00) | 0.13 |
| Abnormal Pituitary Imaging, n (%) | 29 (47.54) | 18 (81.82) | 11 (28.21) | <0.01 |
| Continuous Variable | Beta Estimate ± SE | 95% CI |
|---|---|---|
| Age | −0.084 ± 0.031 | −0.149 to −0.027 |
| Insulin-Like Growth Factor | −0.012 ± 0.005 | −0.024 to −0.002 |
| Osmolality (Urine) | −0.004 ± 0.002 | −0.007 to −0.001 |
| Total Testosterone | 0.003 ± 0.002 | 0.00045 to 0.001 |
| Categorical Variable | Odds Ratio (95% CI) | |
| Male Sex | 5.22 (1.17 to 33.89) | |
| BRAF V600E Pathogenic Variant | 7.38 (1.84 to 39.01) | |
| Central Hypogonadism | 6.19 (1.44 to 34.80) | |
| Primary Hypothyroidism | 13.89 (1.40 to 406.50) | |
| Absent Pituitary Bright Spot | 12.84 (3.28 to 65.04) | |
| Abnormal Pituitary Imaging | 10.6 (2.84 to 48.29) | |
Disclaimer/Publisher’s Note: The statements, opinions and data contained in all publications are solely those of the individual author(s) and contributor(s) and not of MDPI and/or the editor(s). MDPI and/or the editor(s) disclaim responsibility for any injury to people or property resulting from any ideas, methods, instructions or products referred to in the content. |
© 2025 by the authors. Licensee MDPI, Basel, Switzerland. This article is an open access article distributed under the terms and conditions of the Creative Commons Attribution (CC BY) license (https://creativecommons.org/licenses/by/4.0/).
Share and Cite
Vaid, S.; Estrada-Veras, J.; Gahl, W.A.; Patronas, N.; Dave, R.H.; Hannah-Shmouni, F.; O’Brien, K.; Shekhar, S. Clinical, Laboratory, and Imaging Features Associated with Arginine Vasopressin Deficiency (Central Diabetes Insipidus) in Erdheim–Chester Disease (ECD). Cancers 2025, 17, 824. https://doi.org/10.3390/cancers17050824
Vaid S, Estrada-Veras J, Gahl WA, Patronas N, Dave RH, Hannah-Shmouni F, O’Brien K, Shekhar S. Clinical, Laboratory, and Imaging Features Associated with Arginine Vasopressin Deficiency (Central Diabetes Insipidus) in Erdheim–Chester Disease (ECD). Cancers. 2025; 17(5):824. https://doi.org/10.3390/cancers17050824
Chicago/Turabian StyleVaid, Sonal, Juvianee Estrada-Veras, William A. Gahl, Nicholas Patronas, Rahul H. Dave, Fady Hannah-Shmouni, Kevin O’Brien, and Skand Shekhar. 2025. "Clinical, Laboratory, and Imaging Features Associated with Arginine Vasopressin Deficiency (Central Diabetes Insipidus) in Erdheim–Chester Disease (ECD)" Cancers 17, no. 5: 824. https://doi.org/10.3390/cancers17050824
APA StyleVaid, S., Estrada-Veras, J., Gahl, W. A., Patronas, N., Dave, R. H., Hannah-Shmouni, F., O’Brien, K., & Shekhar, S. (2025). Clinical, Laboratory, and Imaging Features Associated with Arginine Vasopressin Deficiency (Central Diabetes Insipidus) in Erdheim–Chester Disease (ECD). Cancers, 17(5), 824. https://doi.org/10.3390/cancers17050824

