Diagnostic Challenges in the Pathological Approach to Pleural Mesothelioma
Simple Summary
Abstract
1. Introduction
2. Histopathology General Features
- Pleural epithelioid mesothelioma (PEM)
- Pleural sarcomatoid mesothelioma (PSM)
- Pleural biphasic mesothelioma (PBM)
2.1. Pleural Epithelioid Mesothelioma: A Histopathological Overview
- Tubulopapillary: a combination of tubules and papillae with connective tissue cores and/or clefts lined by a range of bland to more atypical cuboidal cells.
- Trabecular: small uniform cells forming thin cords or, sometimes, a single-file arrangement.
- Adenomatoid: structures with lace-like or signet ring appearance.
- Micropapillary: papillary structures lacking a fibrovascular core.
- Solid: sheets of cohesive tumor cells.
- Deciduoid cytomorphology: cells with abundant eosinophilic cytoplasm, resembling deciduoid cells of pregnancy [14].
- Clear cell cytomorphology: large cells with clear cytoplasm and round central nuclei [17].
- Signet ring cytomorphology: optically clear cytoplasmic vacuoles pushing the nucleus to one side within tumor cells [18].
2.2. Pleural Sarcomatoid Mesothelioma: A Histopathological Overview
- The transitional variant displays sheets of large, elongated, and plump cells with a well-defined cellular border, abundant cytoplasm, high nucleocytoplasmic ratio, and prominent nucleoli. These cells have an intermediate morphology between epithelioid and sarcomatoid types because they start to lose their epithelioid cellular structure but are more round than sarcomatoid cells without a spindle-shaped form and lacking frank sarcomatous features and, at the same time, they are more discohesive than epithelioid cells and reticulin stain highlights single cells, just like in PSM [31,32].
- The pleomorphic variant exhibits large, atypical, and pleomorphic cells, including multinucleated and giant elements. The cells show irregular, markedly atypical, and hyperchromatic nuclei. A high mitotic count, also with bizarre mitoses, is a frequent feature [24].
2.3. Pleural Biphasic Mesothelioma: A Histopathological Overview
3. A Preinvasive Lesion: The Concept of Mesothelioma In Situ (MIS)
4. The Pivotal Role of Immunohistochemistry: Past and Future
- Is the pleural lesion a mesothelial or non-mesothelial proliferation?
4.1. Is the Pleural Lesion a Mesothelial or Non-Mesothelial Proliferation?
4.1.1. Pleural Epithelioid Mesothelioma, What Differential Diagnoses?
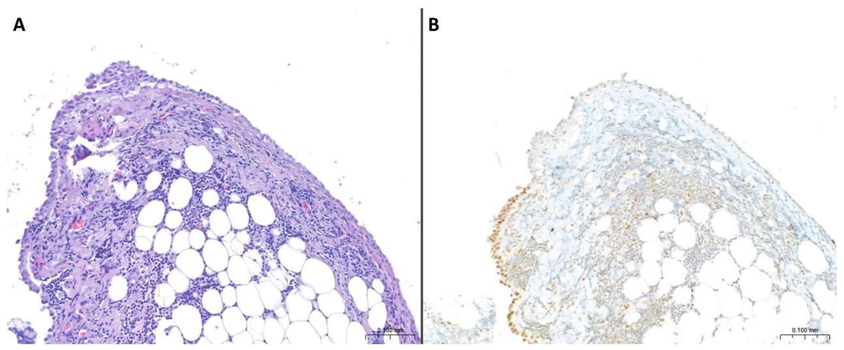
- Podoplanin (D2-40): a membranous expression pattern supports mesothelial origin and has highest sensitivity for pleural mesothelioma, showing a membranous staining in 80–100% of PEMs (Figure 2) [3,45,51,52,53,54,55]. However, its specificity for the mesothelial lineage is not absolute. Although podoplanin (D2-40) is essentially not expressed in lung adenocarcinomas (3% of focally positive lung adenocarcinomas) [3,56], it is positive in 60% of lung squamous cell carcinomas [3,57,58,59,60].
- WT1: a nuclear expression pattern supports mesothelial origin, while cytoplasmic staining should be disregarded (Figure 2). WT1 is a very sensitive biomarker, showing an expression ranging from 70–100% in PEM [3,45,55,58,61,62]. However, although it is not absolute, WT1 shows the highest specificity among common mesothelial biomarkers, showing lack of expression in lung adenocarcinomas [3,45,56] and renal cell carcinomas [3,45,63], virtually no expression in lung squamous cell carcinomas (only 0–2% of reported positive cases) [3,45,57], and a very low expression in breast carcinomas (5–8% of reported positive cases) [3,45,54].
- Calretinin: a combined cytoplasmic and nuclear expression pattern supports mesothelial origin, while other staining patterns, especially lack of nuclear staining, should be disregarded. This biomarker shows high sensitivity but moderate specificity for mesothelial lineages and, in detail, calretinin is 80–100% sensitive for PEM but it is also expressed in other neoplasms, such as lung squamous cell carcinomas (expression reported in approximately 35–40% of cases), lung adenocarcinomas (expression reported in approximately 0–10% of cases), breast carcinomas (expression reported in approximately 15% of cases and up to 38% of triple-negative breast carcinomas), and renal cell carcinomas (expression reported in approximately 0–10% of cases). All these data demonstrate that calretinin is not a perfect biomarker for mesothelial origin and should be evaluated as part of a broader immunohistochemical panel [3,64].
- Cytokeratin 5/6 (CK 5/6): a cytoplasmic expression pattern supports mesothelial origin, but it shows an intermediate sensitivity (ranging from 51% to 100%) and specificity. CK5/6 is usually expressed in lung squamous cell carcinomas (95–100% of the cases) and breast carcinomas (5% of the cases). On the other hand, this biomarker is particularly valuable in the differential diagnosis with lung adenocarcinoma, of which less than 5% are positive, so its use is typically limited to cases where lung adenocarcinoma is essentially the only other possible diagnosis [3].
- Claudin-4: the best epithelial biomarker currently used in routine diagnostic practice [3,65,66,67,68]. A membranous expression pattern supports epithelial lineages with a diagnostic sensitivity and specificity of 92–100% and 94–100%, respectively (Figure 2) [54,58,65,66,67,69,70,71,72]. Only rare PEMs show claudin-4 expression but with a characteristic staining pattern, represented by a focal (<10% of tumor cells) and granular/dot-like cytoplasmic stain [58]. In summary, claudin-4 is a great epithelial biomarker, and it should be used routinely, and especially in challenging cases, to exclude an epithelial origin of the neoplasm.
- Ber-EP4: an antibody against the epithelial cell adhesion molecular (Ep-CAM) expressed on epithelia and in various carcinomas. A strong and diffuse membranous staining supports epithelial lineage. A specificity ranging from 60% to 100% in the differential diagnosis with mesothelial neoplasms was reported, with cellular expression observed in about 10% of PEMs [52,56,57,70,73,74,75].
- MOC-31: an antibody against the epithelial cell adhesion molecular (Ep-CAM) expressed on epithelia and in various carcinomas, just like Ber-EP4, but it shows a higher diagnostic sensitivity for epithelial neoplasms compared to the latter [76]. A 90–100% diagnostic specificity for epithelial lineage was reported [69,70,77] with a strong and diffuse membranous staining [74]. However, Chapel et al. [45] reported some mesothelioma cases with a strong and diffuse expression of MOC-31 and/or Ber-EP4 and, therefore, they suggest always combining one of these antibodies with an immunohistochemical panel that includes claudin-4 and two mesothelial lineage biomarkers.
- CEA: an older epithelial origin biomarker potentially employed as a valid alternative to the previous ones [78]. With CEA monoclonal antibody, a diffuse cytoplasmic staining with membrane enhancement supports an epithelial lineage [79]. It shows a good but variable sensitivity (expression rates of 84% in lung adenocarcinoma and 92% in lung squamous cell carcinoma) and an equally good specificity, being positive in <5% of PEMs with a typically focal expression [3]. It must be considered that polyclonal antibodies do not show diagnostic accuracy comparable to monoclonal antibodies. However, a broader immunohistochemical panel is always recommended in this diagnostical setting.
4.1.2. Pleural Sarcomatoid Mesothelioma, What Differential Diagnoses?
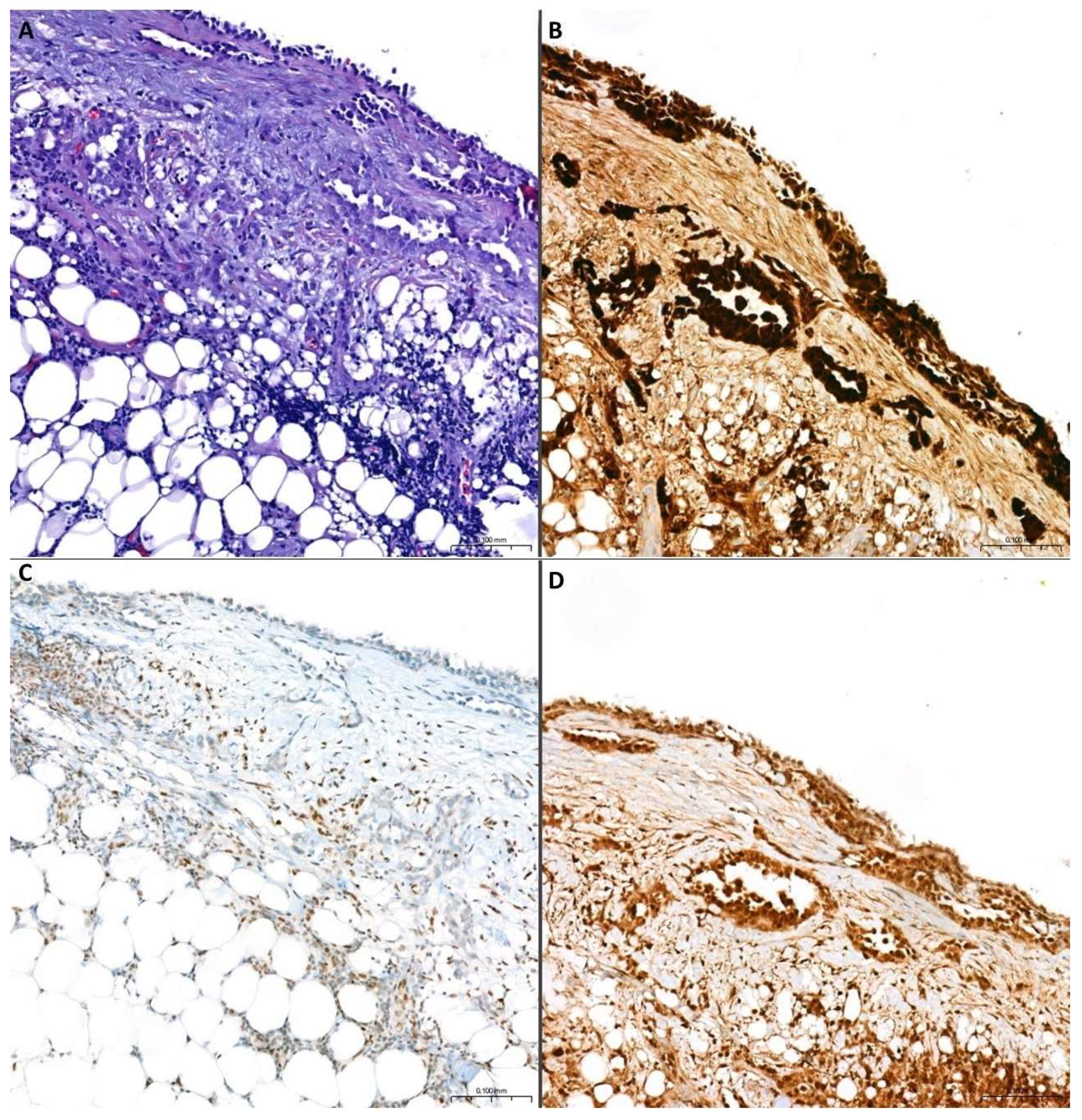
- Broad-spectrum cytokeratin (pan-cytokeratin, cytokeratin AE1/AE3, CAM 5.2): cytoplasmic reactivity is highly sensitive for mesothelioma, including PSM. Almost all PSMs exhibit immunoreactivity for at least one cytokeratin, at least focally, and the proportion increases if a cytokeratin cocktail is used (90% sensitivity) (Figure 3). So, cytokeratin positivity is extremely useful in excluding spindle cell sarcoma or melanoma and in confirming the mesothelial nature of the proliferation, although areas of heterologous differentiation in PSM are often cytokeratin negative. This immunoreactivity should rule out most but not all sarcomas. In cases with inconclusive immunohistochemistry, some molecular tests for sarcoma and other mesenchymal neoplasms can be used. Noteworthily, broad-spectrum cytokeratins do not allow differentiation between PSM and sarcomatoid carcinoma, especially PCL.
- Podoplanin (D2-40): a membranous expression pattern supports mesothelial origin (Figure 3). This biomarker shows the highest sensitivity for the diagnosis of PSM among the main mesothelial biomarkers, even if the reported diagnostic sensitivity values are variable, ranging from 50–60%, 75–90%, and even up to 100% [82,83,84,85,86]. However, it should be kept in mind that podoplanin (D2-40) is the most sensitive biomarker for PSM and that the staining may be focal. On the other hand, podoplanin (D2-40) expression has been reported in about 25–30% of PCLs [51,87,88] and some germinal and mesenchymal neoplasms [89].
- WT1 and CK5/6: these biomarkers are the least useful in this diagnostic setting, showing the lowest sensitivity (0–45% sensitivity for WT1 and 13–29% sensitivity for CK5/6) and they may be expressed by sarcomatoid carcinomas [45].
4.1.3. Looking to the Future
4.2. Is the Mesothelial Proliferation Benign or Malignant in Nature?
4.2.1. Diagnostic Utility of BAP1 Immunohistochemistry
4.2.2. Diagnostic Utility of MTAP Immunohistochemistry
4.3. New Insights in Immunohistochemical Approach
4.3.1. Diagnostic Utility of Merlin Immunohistochemistry
4.3.2. Diagnostic Utility of 5-hmC Immunohistochemistry
5. Molecular Pathology: What Role?
6. Conclusions
Author Contributions
Funding
Conflicts of Interest
References
- Brcic, L.; Kern, I. Clinical significance of histologic subtyping of malignant pleural mesothelioma. Transl. Lung Cancer Res. 2020, 9, 924–933. [Google Scholar] [CrossRef] [PubMed]
- Alì, G.; Bruno, R.; Fontanini, G. The pathological and molecular diagnosis of malignant pleural mesothelioma: A literature review. J. Thorac. Dis. 2018, 10 (Suppl. 2), S276–S284. [Google Scholar] [CrossRef] [PubMed]
- Husain, A.N.; Chapel, D.B.; Attanoos, R.; Beasley, M.B.; Brcic, L.; Butnor, K.; Chirieac, L.R.; Churg, A.; Dacic, S.; Galateau-Salle, F.; et al. Guidelines for Pathologic Diagnosis of Mesothelioma: 2023 Update of the Consensus Statement From the International Mesothelioma Interest Group. Arch. Pathol. Lab. Med. 2024, 148, 1251–1271. [Google Scholar] [CrossRef] [PubMed]
- D’Abbronzo, G.; Lucà, S.; Carraturo, E.; Franco, R.; Ronchi, A. Shortage of pathologists in Italy: Survey of students and residents. Pathologica 2023, 115, 172–180. [Google Scholar] [CrossRef] [PubMed]
- Prajapati, P.R.; Wells, A.; Tyler, A.; Brice, J.; Perkins, C.; Ehsan, A. Pathologists Shortage in United States of America (USA)—How Academic Centers and Private Laboratories Can Play an Effective Role in Recruiting Qualified Future Pathology Residents from Pool of United States (US) and International Medical Graduates (IMGs). Am. J. Clin. Pathol. 2023, 160, S65–S66. [Google Scholar] [CrossRef]
- Galateau-Salle’, F.; Cagle, P.T. Non-malignant versus malignant proliferations on pleural biopsy. In Diagnostic Pulmonary Pathology; Cagle, P.T., Ed.; Marcel Dekker: New York, NY, USA, 2000; pp. 555–567. [Google Scholar]
- Churg, A.; Colby, T.V.; Cagle, P.; Corson, J.; Gibbs, A.R.; Gilks, B.; Grimes, M.; Hammar, S.; Roggli, V.; Travis, W.D. The separation of benign and malignant mesothelial proliferations. Am. J. Surg. Pathol. 2000, 24, 1183–1200. [Google Scholar]
- Dacic, S. Pleural mesothelioma classification-update and challenges. Mod. Pathol. 2022, 35 (Suppl. 1), 51–56. [Google Scholar] [CrossRef]
- WHO Classification of Tumours Editorial Board. Thoracic Tumours, 5th ed.; International Agency for Research on Cancer: Lyon, France, 2021; pp. 204–219.
- Brcic, L.; Vlacic, G.; Quehenberger, F.; Kern, I. Reproducibility of Malignant Pleural Mesothelioma Histopathologic Subtyping. Arch. Pathol. Lab. Med. 2018, 142, 747–752. [Google Scholar] [CrossRef]
- Kadota, K.; Suzuki, K.; Sima, C.S.; Rusch, V.W.; Adusumilli, P.S.; Travis, W.D. Pleomorphic epithelioid diffuse malignant pleural mesothelioma: A clinicopathological review and conceptual proposal to reclassify as biphasic or sarcomatoid mesothelioma. J. Thorac. Oncol. Off. Publ. Int. Assoc. Study Lung Cancer 2011, 6, 896–904. [Google Scholar] [CrossRef]
- Ordóñez, N.G. Mesothelioma with rhabdoid features: An ultrastructural and immunohistochemical study of 10 cases. Mod. Pathol. 2006, 19, 373–383. [Google Scholar] [CrossRef]
- Kimura, N.; Hasegawa, M.; Hiroshima, K. SMARCB1/INI1/BAF47-deficient pleural malignant mesothelioma with rhabdoid features. Pathol. Int. 2018, 68, 128–132. [Google Scholar] [CrossRef] [PubMed]
- Paliogiannis, P.; Putzu, C.; Ginesu, G.C.; Cossu, M.L.; Feo, C.F.; Attene, F.; Scognamillo, F.; Nonnis, R.; Cossu, A.; Palmieri, G.; et al. Deciduoid mesothelioma of the thorax: A comprehensive review of the scientific literature. Clin. Respir. J. 2018, 12, 848–856. [Google Scholar] [CrossRef] [PubMed]
- Ordóñez, N.G. Mesotheliomas with small cell features: Report of eight cases. Mod. Pathol. 2012, 25, 689–698. [Google Scholar] [CrossRef] [PubMed]
- Mayall, F.G.; Gibbs, A.R. The histology and immunohistochemistry of small cell mesothelioma. Histopathology 1992, 20, 47–51. [Google Scholar] [CrossRef]
- Ordóñez, N.G. Mesothelioma with clear cell features: An ultrastructural and immunohistochemical study of 20 cases. Hum. Pathol. 2005, 36, 465–473. [Google Scholar] [CrossRef]
- Wang, H.; Herath, C. Signet ring cell mesothelioma; A diagnostic challenge. Pathol. Res. Pract. 2019, 215, 152462. [Google Scholar] [CrossRef]
- Matsubara, T.; Toyokawa, G.; Yamada, Y.; Nabeshima, K.; Haratake, N.; Kozuma, Y.; Akamine, T.; Takamori, S.; Shoji, F.; Okamoto, T.; et al. A Case of the Resected Lymphohistiocytoid Mesothelioma: BAP1 Is a Key of Accurate Diagnosis. Anticancer Res. 2017, 37, 6937–6941. [Google Scholar]
- Yao, D.X.; Shia, J.; Erlandson, R.A.; Klimstra, D.S. Lymphohistiocytoid mesothelioma: A clinical, immunohistochemical and ultrastructural study of four cases and literature review. Ultrastruct. Pathol. 2004, 28, 213–228. [Google Scholar] [CrossRef]
- Kawai, T.; Hiroi, S.; Nakanishi, K.; Takagawa, K.; Haba, R.; Hayashi, K.; Kawachi, K.; Nozawa, A.; Hebisawa, A.; Nakatani, Y. Lymphohistiocytoid mesothelioma of the pleura. Pathol. Int. 2010, 60, 566–574. [Google Scholar] [CrossRef]
- Galateau-Sallé, F.; Attanoos, R.; Gibbs, A.R.; Burke, L.; Astoul, P.; Rolland, P.; Ilg, A.G.; Pairon, J.C.; Brochard, P.; Begueret, H.; et al. Lymphohistiocytoid variant of malignant mesothelioma of the pleura: A series of 22 cases. Am. J. Surg. Pathol. 2007, 31, 711–716. [Google Scholar] [CrossRef]
- Ordóñez, N.G. Pleomorphic mesothelioma: Report of 10 cases. Mod. Pathol. 2012, 25, 1011–1022. [Google Scholar] [CrossRef] [PubMed]
- Roy, S.; Galateau-Sallé, F.; Le Stang, N.; Churg, A.; Lyons, M.A.; Attanoos, R.; Dacic, S. Molecular characterization of pleomorphic mesothelioma: A multi-institutional study. Mod. Pathol. 2022, 35, 82–86. [Google Scholar] [CrossRef] [PubMed]
- Shia, J.; Qin, J.; Erlandson, R.A.; King, R.; Illei, P.; Nobrega, J.; Yao, D.; Klimstra, D.S. Malignant mesothelioma with a pronounced myxoid stroma: A clinical and pathological evaluation of 19 cases. Virchows Arch. Int. J. Pathol. 2005, 447, 828–834. [Google Scholar] [CrossRef]
- Alchami, F.S.; Attanoos, R.L.; Bamber, A.R. Myxoid variant epithelioid pleural mesothelioma defines a favourable prognosis group: An analysis of 191 patients with pleural malignant mesothelioma. J. Clin. Pathol. 2017, 70, 179–182. [Google Scholar] [CrossRef]
- Meyerhoff, R.R.; Yang, C.F.; Speicher, P.J.; Gulack, B.C.; Hartwig, M.G.; D’Amico, T.A.; Harpole, D.H.; Berry, M.F. Impact of mesothelioma histologic subtype on outcomes in the Surveillance, Epidemiology, and End Results database. J. Surg. Res. 2015, 196, 23–32. [Google Scholar] [CrossRef]
- Mansfield, A.S.; Symanowski, J.T.; Peikert, T. Systematic review of response rates of sarcomatoid malignant pleural mesotheliomas in clinical trials. Lung Cancer 2014, 86, 133–136. [Google Scholar] [CrossRef]
- Sauter, J.L.; Dacic, S.; Galateau-Salle, F.; Attanoos, R.L.; Butnor, K.J.; Churg, A.; Husain, A.N.; Kadota, K.; Khoor, A.; Nicholson, A.G.; et al. The 2021 WHO Classification of Tumors of the Pleura: Advances Since the 2015 Classification. J. Thorac. Oncol. Off. Publ. Int. Assoc. Study Lung Cancer 2022, 17, 608–622. [Google Scholar] [CrossRef]
- Klebe, S.; Brownlee, N.A.; Mahar, A.; Burchette, J.L.; Sporn, T.A.; Vollmer, R.T.; Roggli, V.L. Sarcomatoid mesothelioma: A clinical-pathologic correlation of 326 cases. Mod. Pathol. 2010, 23, 470–479. [Google Scholar] [CrossRef]
- Galateau Salle, F.; Le Stang, N.; Tirode, F.; Courtiol, P.; Nicholson, A.G.; Tsao, M.S.; Tazelaar, H.D.; Churg, A.; Dacic, S.; Roggli, V.; et al. Comprehensive Molecular and Pathologic Evaluation of Transitional Mesothelioma Assisted by Deep Learning Approach: A Multi-Institutional Study of the International Mesothelioma Panel from the MESOPATH Reference Center. J. Thorac. Oncol. Off. Publ. Int. Assoc. Study Lung Cancer 2020, 15, 1037–1053. [Google Scholar] [CrossRef]
- Galateau Salle, F.; Le Stang, N.; Nicholson, A.G.; Pissaloux, D.; Churg, A.; Klebe, S.; Roggli, V.L.; Tazelaar, H.D.; Vignaud, J.M.; Attanoos, R.; et al. New Insights on Diagnostic Reproducibility of Biphasic Mesotheliomas: A Multi-Institutional Evaluation by the International Mesothelioma Panel From the MESOPATH Reference Center. J. Thorac. Oncol. Off. Publ. Int. Assoc. Study Lung Cancer 2018, 13, 1189–1203. [Google Scholar] [CrossRef]
- Klebe, S.; Mahar, A.; Henderson, D.W.; Roggli, V.L. Malignant mesothelioma with heterologous elements: Clinicopathological correlation of 27 cases and literature review. Mod. Pathol. 2008, 21, 1084–1094. [Google Scholar] [CrossRef] [PubMed]
- Hashimoto, K.; Okuma, Y.; Hosomi, Y.; Hishima, T. Malignant mesothelioma of the pleura with desmoplastic histology: A case series and literature review. BMC Cancer 2016, 16, 718. [Google Scholar] [CrossRef] [PubMed]
- Chen, L.H.; Huang, C.Y.; Huang, S.F. Desmoplastic malignant mesothelioma of the pleura. Am. J. Med. Sci. 2022, 364, e2–e3. [Google Scholar] [CrossRef] [PubMed]
- Sugarbaker, P.H.; Welch, L.S.; Mohamed, F.; Glehen, O. A review of peritoneal mesothelioma at the Washington Cancer Institute. Surg. Oncol. Clin. N. Am. 2003, 12, 605–621. [Google Scholar] [CrossRef] [PubMed]
- Vigneswaran, W.T.; Kircheva, D.Y.; Ananthanarayanan, V.; Watson, S.; Arif, Q.; Celauro, A.D.; Kindler, H.L.; Husain, A.N. Amount of Epithelioid Differentiation Is a Predictor of Survival in Malignant Pleural Mesothelioma. Ann. Thorac. Surg. 2017, 103, 962–966. [Google Scholar] [CrossRef]
- Simon, F.; Johnen, G.; Krismann, M.; Müller, K.M. Chromosomal alterations in early stages of malignant mesotheliomas. Virchows Arch. Int. J. Pathol. 2005, 447, 762–767. [Google Scholar] [CrossRef]
- Moro, J.; Sobrero, S.; Cartia, C.F.; Ceraolo, S.; Rapanà, R.; Vaisitti, F.; Ganio, S.; Mellone, F.; Rudella, S.; Scopis, F.; et al. Diagnostic and Therapeutic Challenges of Malignant Pleural Mesothelioma. Diagnostics 2022, 12, 3009. [Google Scholar] [CrossRef]
- Danuzzo, F.; Raveglia, F.; Spinelli, F.; Sibilia, C.M.; Cassina, E.; Libretti, L.; Pirondini, E.; Tuoro, A.; Bono, F.; Paladino, M.E.; et al. Pleural mesothelioma in situ: A comprehensive review. Eur. J. Cancer Prev. Off. J. Eur. Cancer Prev. Organ. (ECP) 2024, 33, 545–551. [Google Scholar] [CrossRef]
- Churg, A.; Galateau-Salle, F.; Roden, A.C.; Attanoos, R.; von der Thusen, J.H.; Tsao, M.S.; Chang, N.; De Perrot, M.; Dacic, S. Malignant mesothelioma in situ: Morphologic features and clinical outcome. Mod. Pathol. 2020, 33, 297–302. [Google Scholar] [CrossRef]
- Churg, A.; Galateau-Salle, F. Well differentiated papillary mesothelial tumor: A new name and new problems. Mod. Pathol. 2022, 35, 1327–1333. [Google Scholar] [CrossRef]
- Galateau-Salle, F.; Hamilton, T.; MacNeill, A.; Hofman, V.; Sequeiros, R.; Sagan, C.; Le Stang, N.; Churg, A. Mesothelioma In Situ Mimicking Well-differentiated Papillary Mesothelial Tumor. Am. J. Surg. Pathol. 2023, 47, 611–617. [Google Scholar] [CrossRef] [PubMed]
- Rossi, G.; Davoli, F.; Poletti, V.; Cavazza, A.; Lococo, F. When the Diagnosis of Mesothelioma Challenges Textbooks and Guidelines. J. Clin. Med. 2021, 10, 2434. [Google Scholar] [CrossRef] [PubMed]
- Chapel, D.B.; Schulte, J.J.; Husain, A.N.; Krausz, T. Application of immunohistochemistry in diagnosis and management of malignant mesothelioma. Transl. Lung Cancer Res. 2020, 9 (Suppl. 1), S3–S27. [Google Scholar] [CrossRef]
- Marchevsky, A.M. Application of immunohistochemistry to the diagnosis of malignant mesothelioma. Arch. Pathol. Lab. Med. 2008, 132, 397–401. [Google Scholar] [CrossRef]
- Cagle, P.T.; Allen, T.C. (Eds.) Metastatic cancer. In Frozen Section Library: Pleura; Springer: New York, NY, USA, 2010; pp. 23–34. [Google Scholar]
- Attanoos, R.L.; Pugh, M.R. The Diagnosis of Pleural Tumors Other Than Mesothelioma. Arch. Pathol. Lab. Med. 2018, 142, 902–913. [Google Scholar] [CrossRef]
- Faghani, R.; Monadi, S.D. Occult breast cancer with pleural metastasis. Radiol. Case Rep. 2023, 18, 3065–3069. [Google Scholar] [CrossRef]
- Chapel, D.B.; Vivero, M.; Sholl, L.M. Mesothelioma. In Practical Pulmonary Pathology; Elsevier: Amsterdam, The Netherlands, 2024; pp. 755–792. [Google Scholar]
- Müller, A.M.; Franke, F.E.; Müller, K.M. D2-40: A reliable marker in the diagnosis of pleural mesothelioma. Pathobiol. J. Immunopathol. Mol. Cell. Biol. 2006, 73, 50–54. [Google Scholar] [CrossRef]
- Sandeck, H.P.; Røe, O.D.; Kjærheim, K.; Willén, H.; Larsson, E. Re-evaluation of histological diagnoses of malignant mesothelioma by immunohistochemistry. Diagn. Pathol. 2010, 5, 47. [Google Scholar] [CrossRef]
- Le Stang, N.; Burke, L.; Blaizot, G.; Gibbs, A.R.; Lebailly, P.; Clin, B.; Girard, N.; Galateau-Sallé, F.; MESOPATH and EURACAN Networks. Differential Diagnosis of Epithelioid Malignant Mesothelioma With Lung and Breast Pleural Metastasis: A Systematic Review Compared With a Standardized Panel of Antibodies-A New Proposal That May Influence Pathologic Practice. Arch. Pathol. Lab. Med. 2020, 144, 446–456. [Google Scholar] [CrossRef]
- Ordóñez, N.G.; Sahin, A.A. Diagnostic utility of immunohistochemistry in distinguishing between epithelioid pleural mesotheliomas and breast carcinomas: A comparative study. Hum. Pathol. 2014, 45, 1529–1540. [Google Scholar] [CrossRef]
- Comin, C.E.; Novelli, L.; Cavazza, A.; Rotellini, M.; Cianchi, F.; Messerini, L. Expression of thrombomodulin, calretinin, cytokeratin 5/6, D2-40 and WT-1 in a series of primary carcinomas of the lung: An immunohistochemical study in comparison with epithelioid pleural mesothelioma. Tumori 2014, 100, 559–567. [Google Scholar] [PubMed]
- Ordóñez, N.G. The immunohistochemical diagnosis of mesothelioma: A comparative study of epithelioid mesothelioma and lung adenocarcinoma. Am. J. Surg. Pathol. 2003, 27, 1031–1051. [Google Scholar] [CrossRef] [PubMed]
- Ordóñez, N.G. The diagnostic utility of immunohistochemistry in distinguishing between epithelioid mesotheliomas and squamous carcinomas of the lung: A comparative study. Mod. Pathol. 2006, 19, 417–428. [Google Scholar] [CrossRef] [PubMed]
- Kushitani, K.; Amatya, V.J.; Okada, Y.; Katayama, Y.; Mawas, A.S.; Miyata, Y.; Okada, M.; Inai, K.; Kishimoto, T.; Takeshima, Y. Utility and pitfalls of immunohistochemistry in the differential diagnosis between epithelioid mesothelioma and poorly differentiated lung squamous cell carcinoma. Histopathology 2017, 70, 375–384. [Google Scholar] [CrossRef]
- Carbone, M.; Shimizu, D.; Napolitano, A.; Tanji, M.; Pass, H.I.; Yang, H.; Pastorino, S. Positive nuclear BAP1 immunostaining helps differentiate non-small cell lung carcinomas from malignant mesothelioma. Oncotarget 2016, 7, 59314–59321. [Google Scholar] [CrossRef]
- Ikoma, Y.; Kijima, H.; Masuda, R.; Tanaka, M.; Inokuchi, S.; Iwazaki, M. Podoplanin expression is correlated with the prognosis of lung squamous cell carcinoma. Biomed. Res. 2015, 36, 393–402. [Google Scholar] [CrossRef][Green Version]
- Kushitani, K.; Takeshima, Y.; Amatya, V.J.; Furonaka, O.; Sakatani, A.; Inai, K. Immunohistochemical marker panels for distinguishing between epithelioid mesothelioma and lung adenocarcinoma. Pathol. Int. 2007, 57, 190–199. [Google Scholar] [CrossRef]
- Yaziji, H.; Battifora, H.; Barry, T.S.; Hwang, H.C.; Bacchi, C.E.; McIntosh, M.W.; Kussick, S.J.; Gown, A.M. Evaluation of 12 antibodies for distinguishing epithelioid mesothelioma from adenocarcinoma: Identification of a three-antibody immunohistochemical panel with maximal sensitivity and specificity. Mod. Pathol. 2006, 19, 514–523. [Google Scholar] [CrossRef]
- Ordóñez, N.G. The diagnostic utility of immunohistochemistry in distinguishing between mesothelioma and renal cell carcinoma: A comparative study. Hum. Pathol. 2004, 35, 697–710. [Google Scholar] [CrossRef]
- Li, D.; Wang, B.; Long, H.; Wen, F. Diagnostic accuracy of calretinin for malignant mesothelioma in serous effusions: A meta-analysis. Sci. Rep. 2015, 5, 9507. [Google Scholar] [CrossRef]
- Chaouche-Mazouni, S.; Scherpereel, A.; Zaamoum, R.; Mihalache, A.; Amir, Z.C.; Lebaïli, N.; Delaire, B.; Gosset, P. Claudin 3, 4, and 15 expression in solid tumors of lung adenocarcinoma versus malignant pleural mesothelioma. Ann. Diagn. Pathol. 2015, 19, 193–197. [Google Scholar] [CrossRef] [PubMed]
- Vojtek, M.; Walsh, M.D.; Papadimos, D.J.; Shield, P.W. Claudin-4 immunohistochemistry is a useful pan-carcinoma marker for serous effusion specimens. Cytopathol. Off. J. Br. Soc. Clin. Cytol. 2019, 30, 614–619. [Google Scholar] [CrossRef] [PubMed]
- Ohta, Y.; Sasaki, Y.; Saito, M.; Kushima, M.; Takimoto, M.; Shiokawa, A.; Ota, H. Claudin-4 as a marker for distinguishing malignant mesothelioma from lung carcinoma and serous adenocarcinoma. Int. J. Surg. Pathol. 2013, 21, 493–501. [Google Scholar] [CrossRef]
- Ordóñez, N.G. Value of PAX8, PAX2, claudin-4, and h-caldesmon immunostaining in distinguishing peritoneal epithelioid mesotheliomas from serous carcinomas. Mod. Pathol. 2013, 26, 553–562. [Google Scholar] [CrossRef]
- Mawas, A.S.; Amatya, V.J.; Kushitani, K.; Kai, Y.; Miyata, Y.; Okada, M.; Takeshima, Y. MUC4 immunohistochemistry is useful in distinguishing epithelioid mesothelioma from adenocarcinoma and squamous cell carcinoma of the lung. Sci. Rep. 2018, 8, 134. [Google Scholar] [CrossRef]
- Oda, T.; Ogata, S.; Kawaguchi, S.; Minabe, S.; Dokyu, M.; Takahashi, H.; Kumazawa, F.; Shimazaki, H.; Takano, M.; Hase, K.; et al. Immunocytochemical utility of claudin-4 versus those of Ber-EP4 and MOC-31 in effusion cytology. Diagn. Cytopathol. 2016, 44, 499–504. [Google Scholar] [CrossRef]
- Facchetti, F.; Lonardi, S.; Gentili, F.; Bercich, L.; Falchetti, M.; Tardanico, R.; Baronchelli, C.; Lucini, L.; Santin, A.; Murer, B. Claudin 4 identifies a wide spectrum of epithelial neoplasms and represents a very useful marker for carcinoma versus mesothelioma diagnosis in pleural and peritoneal biopsies and effusions. Virchows Arch. Int. J. Pathol. 2007, 451, 669–680. [Google Scholar] [CrossRef]
- Jo, V.Y.; Cibas, E.S.; Pinkus, G.S. Claudin-4 immunohistochemistry is highly effective in distinguishing adenocarcinoma from malignant mesothelioma in effusion cytology. Cancer Cytopathol. 2014, 122, 299–306. [Google Scholar] [CrossRef]
- Abutaily, A.S.; Addis, B.J.; Roche, W.R. Immunohistochemistry in the distinction between malignant mesothelioma and pulmonary adenocarcinoma: A critical evaluation of new antibodies. J. Clin. Pathol. 2002, 55, 662–668. [Google Scholar] [CrossRef]
- Carella, R.; Deleonardi, G.; D’Errico, A.; Salerno, A.; Egarter-Vigl, E.; Seebacher, C.; Donazzan, G.; Grigioni, W.F. Immunohistochemical panels for differentiating epithelial malignant mesothelioma from lung adenocarcinoma: A study with logistic regression analysis. Am. J. Surg. Pathol. 2001, 25, 43–50. [Google Scholar] [CrossRef]
- Hjerpe, A.; Demir, E.; Abd-Own, S.; Dobra, K. Utility of BerEp4/calretinin and desmin/epithelial membrane antigen (EMA) dual immunocytochemical staining in effusion cytology. Cancer Med. 2023, 12, 5334–5340. [Google Scholar] [CrossRef] [PubMed]
- Pai, R.K.; West, R.B. MOC-31 exhibits superior reactivity compared with Ber-EP4 in invasive lobular and ductal carcinoma of the breast: A tissue microarray study. Appl. Immunohistochem. Mol. Morphol. AIMM 2009, 17, 202–206. [Google Scholar] [CrossRef] [PubMed]
- González-Lois, C.; Ballestín, C.; Sotelo, M.T.; López-Ríos, F.; García-Prats, M.D.; Villena, V. Combined use of novel epithelial (MOC-31) and mesothelial (HBME-1) immunohistochemical markers for optimal first line diagnostic distinction between mesothelioma and metastatic carcinoma in pleura. Histopathology 2001, 38, 528–534. [Google Scholar] [CrossRef] [PubMed]
- Comin, C.E.; Novelli, L.; Boddi, V.; Paglierani, M.; Dini, S. Calretinin, thrombomodulin, CEA, and CD15: A useful combination of immunohistochemical markers for differentiating pleural epithelial mesothelioma from peripheral pulmonary adenocarcinoma. Hum. Pathol. 2001, 32, 529–536. [Google Scholar] [CrossRef]
- Halimi, M.; BeheshtiRouy, S.; Salehi, D.; Rasihashemi, S.Z. The Role of Immunohistochemistry Studies in Distinguishing Malignant Mesothelioma from Metastatic Lung Carcinoma in Malignant Pleural Effusion. Iran. J. Pathol. 2019, 14, 122–126. [Google Scholar] [CrossRef][Green Version]
- Kushitani, K.; Takeshima, Y.; Amatya, V.J.; Furonaka, O.; Sakatani, A.; Inai, K. Differential diagnosis of sarcomatoid mesothelioma from true sarcoma and sarcomatoid carcinoma using immunohistochemistry. Pathol. Int. 2008, 58, 75–83. [Google Scholar] [CrossRef]
- Beasley, M.B.; Galateau-Salle, F.; Dacic, S. Pleural mesothelioma classification update. Virchows Arch. 2021, 478, 59–72. [Google Scholar] [CrossRef]
- Chirieac, L.R.; Pinkus, G.S.; Pinkus, J.L.; Godleski, J.; Sugarbaker, D.J.; Corson, J.M. The immunohistochemical characterization of sarcomatoid malignant mesothelioma of the pleura. Am. J. Cancer Res. 2011, 1, 14–24. [Google Scholar]
- Ordóñez, N.G. D2-40 and podoplanin are highly specific and sensitive immunohistochemical markers of epithelioid malignant mesothelioma. Hum. Pathol. 2005, 36, 372–380. [Google Scholar] [CrossRef]
- Hinterberger, M.; Reineke, T.; Storz, M.; Weder, W.; Vogt, P.; Moch, H. D2-40 and calretinin—A tissue microarray analysis of 341 malignant mesotheliomas with emphasis on sarcomatoid differentiation. Mod. Pathol. 2007, 20, 248–255. [Google Scholar] [CrossRef]
- Attanoos, R.L.; Dojcinov, S.D.; Webb, R.; Gibbs, A.R. Anti-mesothelial markers in sarcomatoid mesothelioma and other spindle cell neoplasms. Histopathology 2000, 37, 224–231. [Google Scholar] [CrossRef] [PubMed]
- Padgett, D.M.; Cathro, H.P.; Wick, M.R.; Mills, S.E. Podoplanin is a better immunohistochemical marker for sarcomatoid mesothelioma than calretinin. Am. J. Surg. Pathol. 2008, 32, 123–127. [Google Scholar] [CrossRef] [PubMed]
- Takeshima, Y.; Amatya, V.J.; Kushitani, K.; Kaneko, M.; Inai, K. Value of immunohistochemistry in the differential diagnosis of pleural sarcomatoid mesothelioma from lung sarcomatoid carcinoma. Histopathology 2009, 54, 667–676. [Google Scholar] [CrossRef]
- Marchevsky, A.M.; LeStang, N.; Hiroshima, K.; Pelosi, G.; Attanoos, R.; Churg, A.; Chirieac, L.; Dacic, S.; Husain, A.; Khoor, A.; et al. The differential diagnosis between pleural sarcomatoid mesothelioma and spindle cell/pleomorphic (sarcomatoid) carcinomas of the lung: Evidence-based guidelines from the International Mesothelioma Panel and the MESOPATH National Reference Center. Hum. Pathol. 2017, 67, 160–168. [Google Scholar] [CrossRef]
- Ordóñez, N.G. Value of podoplanin as an immunohistochemical marker in tumor diagnosis: A review and update. Appl. Immunohistochem. Mol. Morphol. AIMM 2014, 22, 331–347. [Google Scholar] [CrossRef]
- Piao, Z.H.; Zhou, X.C.; Chen, J.Y. GATA3 is a useful immunohistochemical marker for distinguishing sarcomatoid malignant mesothelioma from lung sarcomatoid carcinoma and organizing pleuritis. Virchows Arch. Int. J. Pathol. 2021, 479, 257–263. [Google Scholar] [CrossRef]
- Berg, K.B.; Churg, A. GATA3 Immunohistochemistry for Distinguishing Sarcomatoid and Desmoplastic Mesothelioma from Sarcomatoid Carcinoma of the Lung. Am. J. Surg. Pathol. 2017, 41, 1221–1225. [Google Scholar] [CrossRef]
- Prabhakaran, S.; Hocking, A.; Kim, C.; Hussey, M.; Klebe, S. The potential utility of GATA binding protein 3 for diagnosis of malignant pleural mesotheliomas. Hum. Pathol. 2020, 105, 1–8. [Google Scholar] [CrossRef]
- Terra, S.B.S.P.; Roden, A.C.; Aubry, M.C.; Yi, E.S.J.; Boland, J.M. Utility of Immunohistochemistry for MUC4 and GATA3 to Aid in the Distinction of Pleural Sarcomatoid Mesothelioma From Pulmonary Sarcomatoid Carcinoma. Arch. Pathol. Lab. Med. 2021, 145, 208–213. [Google Scholar] [CrossRef]
- Miettinen, M.; McCue, P.A.; Sarlomo-Rikala, M.; Rys, J.; Czapiewski, P.; Wazny, K.; Langfort, R.; Waloszczyk, P.; Biernat, W.; Lasota, J.; et al. GATA3: A multispecific but potentially useful marker in surgical pathology: A systematic analysis of 2500 epithelial and nonepithelial tumors. Am. J. Surg. Pathol. 2014, 38, 13–22. [Google Scholar] [CrossRef]
- Parra-Medina, R.; Castañeda-González, J.P.; Chaves-Cabezas, V.; Alzate, J.P.; Chaves, J.J. Diagnostic performance of immunohistochemistry markers for malignant pleural mesothelioma diagnosis and subtypes. A systematic review and meta-analysis. Pathol. Res. Pract. 2024, 257, 155276. [Google Scholar] [CrossRef] [PubMed]
- Burke, A.P.; Hardy, N.; Fanaroff, R.; Legesse, T. Sarcomatoid Mesothelioma with Bland Histologic Features: A Potential Pitfall in Diagnosis. AJSP Rev. Rep. 2022, 27, 87–93. [Google Scholar] [CrossRef] [PubMed]
- Hollingsworth, M.A.; Swanson, B.J. Mucins in cancer: Protection and control of the cell surface. Nat. Rev. Cancer 2004, 4, 45–60. [Google Scholar] [CrossRef] [PubMed]
- Tsuji, S.; Washimi, K.; Kageyama, T.; Yamashita, M.; Yoshihara, M.; Matsuura, R.; Yokose, T.; Kameda, Y.; Hayashi, H.; Morohoshi, T.; et al. HEG1 is a novel mucin-like membrane protein that serves as a diagnostic and therapeutic target for malignant mesothelioma. Sci. Rep. 2017, 7, 45768. [Google Scholar] [CrossRef]
- Naso, J.R.; Tsuji, S.; Churg, A. HEG1 Is a Highly Specific and Sensitive Marker of Epithelioid Malignant Mesothelioma. Am. J. Surg. Pathol. 2020, 44, 1143–1148. [Google Scholar] [CrossRef]
- Churg, A.; Naso, J.R. Hypothesis: HEG1 and claudin-4 staining will allow a diagnosis of epithelioid and biphasic mesothelioma versus non-small-cell lung carcinoma with only two stains in most cases. Histopathology 2023, 82, 385–392. [Google Scholar] [CrossRef]
- Hiroshima, K.; Wu, D.; Koh, E.; Sekine, Y.; Ozaki, D.; Yusa, T.; Nakazawa, T.; Tsuji, S.; Miyagi, Y.; Walts, A.E.; et al. Membranous HEG1 expression is a useful marker in the differential diagnosis of epithelioid and biphasic malignant mesothelioma versus carcinomas. Pathol. Int. 2021, 71, 604–613. [Google Scholar] [CrossRef]
- Hiroshima, K.; Wu, D.; Hamakawa, S.; Tsuruoka, S.; Ozaki, D.; Orikasa, H.; Hasegawa, M.; Koh, E.; Sekine, Y.; Yonemori, Y.; et al. HEG1, BAP1, and MTAP are useful in cytologic diagnosis of malignant mesothelioma with effusion. Diagn. Cytopathol. 2021, 49, 622–632. [Google Scholar] [CrossRef]
- Cagle, P.T.; Churg, A. Differential diagnosis of benign and malignant mesothelial proliferations on pleural biopsies. Arch. Pathol. Lab. Med. 2005, 129, 1421–1427. [Google Scholar] [CrossRef]
- Cagle, P.T.; Allen, T.C. Pathology of the pleura: What the pulmonologists need to know. Respirology 2011, 16, 430–438. [Google Scholar] [CrossRef]
- Carbone, M.; Harbour, J.W.; Brugarolas, J.; Bononi, A.; Pagano, I.; Dey, A.; Krausz, T.; Pass, H.I.; Yang, H.; Gaudino, G. Biological Mechanisms and Clinical Significance of BAP1 Mutations in Human Cancer. Cancer Discov. 2020, 10, 1103–1120. [Google Scholar] [CrossRef] [PubMed]
- Leblay, N.; Leprêtre, F.; Le Stang, N.; Gautier-Stein, A.; Villeneuve, L.; Isaac, S.; Maillet, D.; Galateau-Sallé, F.; Villenet, C.; Sebda, S.; et al. BAP1 Is Altered by Copy Number Loss, Mutation, and/or Loss of Protein Expression in More Than 70% of Malignant Peritoneal Mesotheliomas. J. Thorac. Oncol. Off. Publ. Int. Assoc. Study Lung Cancer 2017, 12, 724–733. [Google Scholar] [CrossRef] [PubMed]
- Nasu, M.; Emi, M.; Pastorino, S.; Tanji, M.; Powers, A.; Luk, H.; Baumann, F.; Zhang, Y.A.; Gazdar, A.; Kanodia, S.; et al. High Incidence of Somatic BAP1 alterations in sporadic malignant mesothelioma. J. Thorac. Oncol. Off. Publ. Int. Assoc. Study Lung Cancer 2015, 10, 565–576. [Google Scholar] [CrossRef] [PubMed]
- McGregor, S.M.; Dunning, R.; Hyjek, E.; Vigneswaran, W.; Husain, A.N.; Krausz, T. BAP1 facilitates diagnostic objectivity, classification, and prognostication in malignant pleural mesothelioma. Hum. Pathol. 2015, 46, 1670–1678. [Google Scholar] [CrossRef]
- Yoshimura, M.; Kinoshita, Y.; Hamasaki, M.; Matsumoto, S.; Hida, T.; Oda, Y.; Nabeshima, K. Diagnostic application of BAP1 immunohistochemistry to differentiate pleural mesothelioma from metastatic pleural tumours. Histopathology 2017, 71, 1011–1014. [Google Scholar] [CrossRef]
- Sheffield, B.S.; Hwang, H.C.; Lee, A.F.; Thompson, K.; Rodriguez, S.; Tse, C.H.; Gown, A.M.; Churg, A. BAP1 immunohistochemistry and p16 FISH to separate benign from malignant mesothelial proliferations. Am. J. Surg. Pathol. 2015, 39, 977–982. [Google Scholar] [CrossRef]
- Bott, M.; Brevet, M.; Taylor, B.S.; Shimizu, S.; Ito, T.; Wang, L.; Creaney, J.; Lake, R.A.; Zakowski, M.F.; Reva, B.; et al. The nuclear deubiquitinase BAP1 is commonly inactivated by somatic mutations and 3p21.1 losses in malignant pleural mesothelioma. Nat. Genet. 2011, 43, 668–672. [Google Scholar] [CrossRef]
- Cigognetti, M.; Lonardi, S.; Fisogni, S.; Balzarini, P.; Pellegrini, V.; Tironi, A.; Bercich, L.; Bugatti, M.; Rossi, G.; Murer, B.; et al. BAP1 (BRCA1-associated protein 1) is a highly specific marker for differentiating mesothelioma from reactive mesothelial proliferations. Mod. Pathol. 2015, 28, 1043–1057. [Google Scholar] [CrossRef]
- Hida, T.; Hamasaki, M.; Matsumoto, S.; Sato, A.; Tsujimura, T.; Kawahara, K.; Iwasaki, A.; Okamoto, T.; Oda, Y.; Honda, H.; et al. Immunohistochemical detection of MTAP and BAP1 protein loss for mesothelioma diagnosis: Comparison with 9p21 FISH and BAP1 immunohistochemistry. Lung Cancer 2017, 104, 98–105. [Google Scholar] [CrossRef]
- Pulford, E.; Huilgol, K.; Moffat, D.; Henderson, D.W.; Klebe, S. Malignant Mesothelioma, BAP1 Immunohistochemistry, and VEGFA: Does BAP1 Have Potential for Early Diagnosis and Assessment of Prognosis? Dis. Markers 2017, 2017, 1310478. [Google Scholar] [CrossRef]
- McGregor, S.M.; McElherne, J.; Minor, A.; Keller-Ramey, J.; Dunning, R.; Husain, A.N.; Vigneswaran, W.; Fitzpatrick, C.; Krausz, T. BAP1 immunohistochemistry has limited prognostic utility as a complement of CDKN2A (p16) fluorescence in situ hybridization in malignant pleural mesothelioma. Hum. Pathol. 2017, 60, 86–94. [Google Scholar] [CrossRef] [PubMed]
- Ozdemir, H.G.; Kokten, S.C.; Barisik, N.O. Can BAP1 expression loss in mesothelial cells be an indicator of malignancy? J. Pathol. Transl. Med. 2020, 54, 497–503. [Google Scholar] [CrossRef] [PubMed]
- Righi, L.; Duregon, E.; Vatrano, S.; Izzo, S.; Giorcelli, J.; Rondón-Lagos, M.; Ascoli, V.; Ruffini, E.; Ventura, L.; Volante, M.; et al. BRCA1-Associated Protein 1 (BAP1) Immunohistochemical Expression as a Diagnostic Tool in Malignant Pleural Mesothelioma Classification: A Large Retrospective Study. J. Thorac. Oncol. Off. Publ. Int. Assoc. Study Lung Cancer 2016, 11, 2006–2017. [Google Scholar] [CrossRef]
- Wu, D.; Hiroshima, K.; Yusa, T.; Ozaki, D.; Koh, E.; Sekine, Y.; Matsumoto, S.; Nabeshima, K.; Sato, A.; Tsujimura, T.; et al. Usefulness of p16/CDKN2A fluorescence in situ hybridization and BAP1 immunohistochemistry for the diagnosis of biphasic mesothelioma. Ann. Diagn. Pathol. 2017, 26, 31–37. [Google Scholar] [CrossRef]
- Hwang, H.C.; Sheffield, B.S.; Rodriguez, S.; Thompson, K.; Tse, C.H.; Gown, A.M.; Churg, A. Utility of BAP1 Immunohistochemistry and p16 (CDKN2A) FISH in the Diagnosis of Malignant Mesothelioma in Effusion Cytology Specimens. Am. J. Surg. Pathol. 2016, 40, 120–126. [Google Scholar] [CrossRef]
- Hwang, H.C.; Pyott, S.; Rodriguez, S.; Cindric, A.; Carr, A.; Michelsen, C.; Thompson, K.; Tse, C.H.; Gown, A.M.; Churg, A. BAP1 Immunohistochemistry and p16 FISH in the Diagnosis of Sarcomatous and Desmoplastic Mesotheliomas. Am. J. Surg. Pathol. 2016, 40, 714–718. [Google Scholar] [CrossRef]
- Kinoshita, Y.; Hida, T.; Hamasaki, M.; Matsumoto, S.; Sato, A.; Tsujimura, T.; Kawahara, K.; Hiroshima, K.; Oda, Y.; Nabeshima, K. A combination of MTAP and BAP1 immunohistochemistry in pleural effusion cytology for the diagnosis of mesothelioma. Cancer Cytopathol. 2018, 126, 54–63. [Google Scholar] [CrossRef]
- Illei, P.B.; Rusch, V.W.; Zakowski, M.F.; Ladanyi, M. Homozygous deletion of CDKN2A and codeletion of the methylthioadenosine phosphorylase gene in the majority of pleural mesotheliomas. Clin. Cancer Res. Off. J. Am. Assoc. Cancer Res. 2003, 9, 2108–2113. [Google Scholar]
- Marshall, K.; Jackson, S.; Jones, J.; Holme, J.; Lyons, J.; Barrett, E.; Taylor, P.; Bishop, P.; Hodgson, C.; Green, M.; et al. Homozygous deletion of CDKN2A in malignant mesothelioma: Diagnostic utility, patient characteristics and survival in a UK mesothelioma centre. Lung Cancer 2020, 150, 195–200. [Google Scholar] [CrossRef]
- Sekido, Y. Molecular pathogenesis of malignant mesothelioma. Carcinogenesis 2013, 34, 1413–1419. [Google Scholar] [CrossRef]
- Minami, K.; Jimbo, N.; Tanaka, Y.; Hokka, D.; Miyamoto, Y.; Itoh, T.; Maniwa, Y. Malignant mesothelioma in situ diagnosed by methylthioadenosine phosphorylase loss and homozygous deletion of CDKN2A: A case report. Virchows Arch. Int. J. Pathol. 2020, 476, 469–473. [Google Scholar] [CrossRef] [PubMed]
- Krasinskas, A.M.; Bartlett, D.L.; Cieply, K.; Dacic, S. CDKN2A and MTAP deletions in peritoneal mesotheliomas are correlated with loss of p16 protein expression and poor survival. Mod. Pathol. 2010, 23, 531–538. [Google Scholar] [CrossRef]
- Chapel, D.B.; Dubuc, A.M.; Hornick, J.L.; Sholl, L.M. Correlation of methylthioadenosine phosphorylase (MTAP) protein expression with MTAP and CDKN2A copy number in malignant pleural mesothelioma. Histopathology 2021, 78, 1032–1042. [Google Scholar] [CrossRef] [PubMed]
- Ladanyi, M. Implications of P16/CDKN2A deletion in pleural mesotheliomas. Lung Cancer 2005, 49 (Suppl. 1), S95–S98. [Google Scholar] [CrossRef] [PubMed]
- Powell, E.L.; Leoni, L.M.; Canto, M.I.; Forastiere, A.A.; Iocobuzio-Donahue, C.A.; Wang, J.S.; Maitra, A.; Montgomery, E. Concordant loss of MTAP and p16/CDKN2A expression in gastroesophageal carcinogenesis: Evidence of homozygous deletion in esophageal noninvasive precursor lesions and therapeutic implications. Am. J. Surg. Pathol. 2005, 29, 1497–1504. [Google Scholar] [CrossRef] [PubMed]
- Marjon, K.; Cameron, M.J.; Quang, P.; Clasquin, M.F.; Mandley, E.; Kunii, K.; McVay, M.; Choe, S.; Kernytsky, A.; Gross, S.; et al. MTAP Deletions in Cancer Create Vulnerability to Targeting of the MAT2A/PRMT5/RIOK1 Axis. Cell Rep. 2016, 15, 574–587. [Google Scholar] [CrossRef]
- Zimling, Z.G.; Jørgensen, A.; Santoni-Rugiu, E. The diagnostic value of immunohistochemically detected methylthioadenosine phosphorylase deficiency in malignant pleural mesotheliomas. Histopathology 2012, 60, E96–E105. [Google Scholar] [CrossRef]
- Hamasaki, M.; Kinoshita, Y.; Yoshimura, M.; Matsumoto, S.; Kamei, T.; Hiroshima, K.; Sato, A.; Tsujimura, T.; Kawahara, K.; Nabeshima, K. Cytoplasmic MTAP expression loss detected by immunohistochemistry correlates with 9p21 homozygous deletion detected by FISH in pleural effusion cytology of mesothelioma. Histopathology 2019, 75, 153–155. [Google Scholar] [CrossRef]
- Berg, K.B.; Dacic, S.; Miller, C.; Cheung, S.; Churg, A. Utility of Methylthioadenosine Phosphorylase Compared With BAP1 Immunohistochemistry, and CDKN2A and NF2 Fluorescence In Situ Hybridization in Separating Reactive Mesothelial Proliferations From Epithelioid Malignant Mesotheliomas. Arch. Pathol. Lab. Med. 2018, 142, 1549–1553. [Google Scholar] [CrossRef]
- Yoshimura, M.; Kinoshita, Y.; Hamasaki, M.; Matsumoto, S.; Hida, T.; Oda, Y.; Iwasaki, A.; Nabeshima, K. Highly expressed EZH2 in combination with BAP1 and MTAP loss, as detected by immunohistochemistry, is useful for differentiating malignant pleural mesothelioma from reactive mesothelial hyperplasia. Lung Cancer 2019, 130, 187–193. [Google Scholar] [CrossRef]
- Chapel, D.B.; Schulte, J.J.; Berg, K.; Churg, A.; Dacic, S.; Fitzpatrick, C.; Galateau-Salle, F.; Hiroshima, K.; Krausz, T.; Le Stang, N.; et al. MTAP immunohistochemistry is an accurate and reproducible surrogate for CDKN2A fluorescence in situ hybridization in diagnosis of malignant pleural mesothelioma. Mod. Pathol. 2020, 33, 245–254. [Google Scholar] [CrossRef] [PubMed]
- Chapel, D.B.; Hornick, J.L.; Barlow, J.; Bueno, R.; Sholl, L.M. Clinical and molecular validation of BAP1, MTAP, P53, and Merlin immunohistochemistry in diagnosis of pleural mesothelioma. Mod. Pathol. 2022, 35, 1383–1397. [Google Scholar] [CrossRef] [PubMed]
- Brcic, L.; Le Stang, N.; Gallob, F.; Pissaloux, D.; Sequeiros, R.; Paindavoine, S.; Pairon, J.C.; Karanian, M.; Dacic, S.; Girard, N.; et al. A Combination of MTAP and p16 Immunohistochemistry Can Substitute for CDKN2A Fluorescence In Situ Hybridization in Diagnosis and Prognosis of Pleural Mesotheliomas. Arch. Pathol. Lab. Med. 2023, 147, 313–322. [Google Scholar] [CrossRef] [PubMed]
- McClatchey, A.I.; Giovannini, M. Membrane organization and tumorigenesis—The NF2 tumor suppressor, Merlin. Genes Dev. 2005, 19, 2265–2277. [Google Scholar] [CrossRef]
- Okada, T.; You, L.; Giancotti, F.G. Shedding light on Merlin’s wizardry. Trends Cell Biol. 2007, 17, 222–229. [Google Scholar] [CrossRef]
- Ladanyi, M.; Zauderer, M.G.; Krug, L.M.; Ito, T.; McMillan, R.; Bott, M.; Giancotti, F. New strategies in pleural mesothelioma: BAP1 and NF2 as novel targets for therapeutic development and risk assessment. Clin. Cancer Res. 2012, 18, 4485–4490. [Google Scholar] [CrossRef]
- Quetel, L.; Meiller, C.; Assié, J.B.; Blum, Y.; Imbeaud, S.; Montagne, F.; Tranchant, R.; de Wolf, J.; Caruso, S.; Copin, M.C.; et al. Genetic alterations of malignant pleural mesothelioma: Association with tumor heterogeneity and overall survival. Mol. Oncol. 2020, 14, 1207–1223. [Google Scholar] [CrossRef]
- Bueno, R.; Stawiski, E.W.; Goldstein, L.D.; Durinck, S.; De Rienzo, A.; Modrusan, Z.; Gnad, F.; Nguyen, T.T.; Jaiswal, B.S.; Chirieac, L.R.; et al. Comprehensive genomic analysis of malignant pleural mesothelioma identifies recurrent mutations, gene fusions and splicing alterations. Nat. Genet. 2016, 48, 407–416. [Google Scholar] [CrossRef]
- Sato, T.; Sekido, Y. NF2/Merlin Inactivation and Potential Therapeutic Targets in Mesothelioma. Int. J. Mol. Sci. 2018, 19, 988. [Google Scholar] [CrossRef]
- Lo Iacono, M.; Monica, V.; Righi, L.; Grosso, F.; Libener, R.; Vatrano, S.; Bironzo, P.; Novello, S.; Musmeci, L.; Volante, M.; et al. Targeted next-generation sequencing of cancer genes in advanced stage malignant pleural mesothelioma: A retrospective study. J. Thorac. Oncol. Off. Publ. Int. Assoc. Study Lung Cancer 2015, 10, 492–499. [Google Scholar] [CrossRef]
- Sheffield, B.S.; Lorette, J.; Shen, Y.; Marra, M.A.; Churg, A. Immunohistochemistry for NF2, LATS1/2, and YAP/TAZ Fails to Separate Benign From Malignant Mesothelial Proliferations. Arch. Pathol. Lab. Med. 2016, 140, 391. [Google Scholar] [CrossRef] [PubMed]
- Li, Y.; Yang, S.R.; Chen, Y.B.; Adusumilli, P.S.; Bialik, A.; Bodd, F.M.; Ladanyi, M.; Lopardo, J.; Offin, M.D.; Rusch, V.W.; et al. Neurofibromatosis Type 2-Yes-Associated Protein and Transcriptional Coactivator with PDZ-Binding Motif Dual Immunohistochemistry Is a Reliable Marker for the Detection of Neurofibromatosis Type 2 Alterations in Diffuse Pleural Mesothelioma. Mod. Pathol. 2023, 36, 100030. [Google Scholar] [CrossRef] [PubMed]
- Martin, S.D.; Cheung, S.; Churg, A. Immunohistochemical Demonstration of Merlin/NF2 Loss in Mesothelioma. Mod. Pathol. 2023, 36, 100036. [Google Scholar] [CrossRef] [PubMed]
- Rasmussen, K.D.; Helin, K. Role of TET enzymes in DNA methylation, development, and cancer. Genes Dev. 2016, 30, 733–750. [Google Scholar] [CrossRef]
- Vasanthakumar, A.; Godley, L.A. 5-hydroxymethylcytosine in cancer: Significance in diagnosis and therapy. Cancer Genet. 2015, 208, 167–177. [Google Scholar] [CrossRef]
- Lian, C.G.; Xu, Y.; Ceol, C.; Wu, F.; Larson, A.; Dresser, K.; Xu, W.; Tan, L.; Hu, Y.; Zhan, Q.; et al. Loss of 5-hydroxymethylcytosine is an epigenetic hallmark of melanoma. Cell 2012, 150, 1135–1146. [Google Scholar] [CrossRef]
- Kroeze, L.I.; Aslanyan, M.G.; van Rooij, A.; Koorenhof-Scheele, T.N.; Massop, M.; Carell, T.; Boezeman, J.B.; Marie, J.P.; Halkes, C.J.; de Witte, T.; et al. Characterization of acute myeloid leukemia based on levels of global hydroxymethylation. Blood 2014, 124, 1110–1118. [Google Scholar] [CrossRef]
- Roulois, D.; Deshayes, S.; Guilly, M.N.; Nader, J.S.; Liddell, C.; Robard, M.; Hulin, P.; Ouacher, A.; Le Martelot, V.; Fonteneau, J.F.; et al. Characterization of preneoplastic and neoplastic rat mesothelial cell lines: The involvement of TETs, DNMTs, and 5-hydroxymethylcytosine. Oncotarget 2016, 7, 34664–34687. [Google Scholar] [CrossRef]
- Chapel, D.B.; Husain, A.N.; Krausz, T. Immunohistochemical evaluation of nuclear 5-hydroxymethylcytosine (5-hmC) accurately distinguishes malignant pleural mesothelioma from benign mesothelial proliferations. Mod. Pathol. 2019, 32, 376–386. [Google Scholar] [CrossRef]
- Vrugt, B.; Kirschner, M.B.; Meerang, M.; Oehl, K.; Wagner, U.; Soltermann, A.; Moch, H.; Opitz, I.; Wild, P.J. Deletions of CDKN2A and MTAP Detected by Copy-Number Variation Array Are Associated with Loss of p16 and MTAP Protein in Pleural Mesothelioma. Cancers 2023, 15, 4978. [Google Scholar] [CrossRef]
- Rigon, M.; Mutti, L.; Campanella, M. Pleural mesothelioma (PMe): The evolving molecular knowledge of a rare and aggressive cancer. Mol. Oncol. 2024, 18, 797–814. [Google Scholar] [CrossRef] [PubMed]
- Matsumoto, S.; Nabeshima, K.; Kamei, T.; Hiroshima, K.; Kawahara, K.; Hata, S.; Marukawa, K.; Matsuno, Y.; Taguchi, K.; Tsujimura, T. Morphology of 9p21 homozygous deletion-positive pleural mesothelioma cells analyzed using fluorescence in situ hybridization and virtual microscope system in effusion cytology. Cancer Cytopathol. 2013, 121, 415–422. [Google Scholar] [CrossRef] [PubMed]
- Hida, T.; Matsumoto, S.; Hamasaki, M.; Kawahara, K.; Tsujimura, T.; Hiroshima, K.; Kamei, T.; Taguchi, K.; Iwasaki, A.; Oda, Y.; et al. Deletion status of p16 in effusion smear preparation correlates with that of underlying malignant pleural mesothelioma tissue. Cancer Sci. 2015, 106, 1635–1641. [Google Scholar] [CrossRef]
- Hida, T.; Hamasaki, M.; Matsumoto, S.; Sato, A.; Tsujimura, T.; Kawahara, K.; Iwasaki, A.; Okamoto, T.; Oda, Y.; Honda, H.; et al. BAP1 immunohistochemistry and p16 FISH results in combination provide higher confidence in malignant pleural mesothelioma diagnosis: ROC analysis of the two tests. Pathol. Int. 2016, 66, 563–570. [Google Scholar] [CrossRef]
- Sekido, Y.; Sato, T. NF2 alteration in mesothelioma. Front. Toxicol. 2023, 5, 1161995. [Google Scholar] [CrossRef]
- Kinoshita, Y.; Hamasaki, M.; Yoshimura, M.; Matsumoto, S.; Iwasaki, A.; Nabeshima, K. Hemizygous loss of NF2 detected by fluorescence in situ hybridization is useful for the diagnosis of malignant pleural mesothelioma. Mod. Pathol. 2020, 33, 235–244. [Google Scholar] [CrossRef]
- Nabeshima, K.; Hamasaki, M.; Kinoshita, Y.; Matsumoto, S.; Sa-Ngiamwibool, P. Update of pathological diagnosis of pleural mesothelioma using genomic-based morphological techniques, for both histological and cytological investigations. Pathol. Int. 2022, 72, 389–401. [Google Scholar] [CrossRef]
- Guo, G.; Chmielecki, J.; Goparaju, C.; Heguy, A.; Dolgalev, I.; Carbone, M.; Seepo, S.; Meyerson, M.; Pass, H.I. Whole-exome sequencing reveals frequent genetic alterations in BAP1, NF2, CDKN2A, and CUL1 in malignant pleural mesothelioma. Cancer Res. 2015, 75, 264–269. [Google Scholar] [CrossRef]
- Yang, H.; Xu, D.; Schmid, R.A.; Peng, R.W. Biomarker-guided targeted and immunotherapies in malignant pleural mesothelioma. Ther. Adv. Med. Oncol. 2020, 12, 1758835920971421. [Google Scholar] [CrossRef]





| Architectural Patterns | Cytological Features * | Stromal Features |
|---|---|---|
| Tubulopapillary | Rhabdoid | Fibrous |
| Trabecular | Deciduoid | Myxoid |
| Adenomatoid | Small cell | |
| Micropapillary | Clear cell | |
| Solid | Signet ring | |
| Lymphohistiocytoid | ||
| Pleomorphic |
| Nuclear Grade | |||
| Nuclear Atypia | Mild | Moderate | Severe |
| Score | 1 | 2 | 3 |
| Mitotic Index | Low (<1/2 mm2) | Intermediate (2–4/2 mm2) | High (≥5/2 mm2) |
| Score | 1 | 2 | 3 |
| Nuclear Grade | Nuclear Grade I | Nuclear Grade II | Nuclear Grade III |
| Total Score | 2 or 3 | 4 or 5 | 6 |
| Necrosis | |||
| Present | Absent | ||
| Overall Tumor Grade | |||
| Low Grade | High Grade | ||
| Nuclear Grade: I or II Necrosis: Absent | Nuclear Grade: I Necrosis: Present or Nuclear Grade: III Necrosis: Present or Absent | ||
| Mesothelial Neoplasms | Histological Features | Diagnostic Pitfalls |
|---|---|---|
| Adenomatoid tumor | Pseudoglands and pseudovascular spaces. Papillae, tubules, and signet-ring-like spaces. Tumor cells have no atypia and vacuolated cytoplasm, creating a fine network. Lymphoid aggregates often present. | Epithelioid mesothelioma with adenomatoid features |
| Well-differentiated papillary mesothelial tumor | Surface growth. Papillary architecture with myxoid fibrovascular cores lined by a bland, monotonous monolayer of mesothelial cells. No atypia or stromal invasion. Rare to absent mitoses. | Invasive malignant mesothelioma with papillary features |
| Architectural Patterns | Cytological Features | Stromal Features |
|---|---|---|
| Fibrosarcomatous | Lymphohistiocytoid | Desmoplastic |
| Haphazard | Pleomorphic | With heterologous differentiation * |
| Patternless | Transitional |
| Reactive Mesothelial Hyperplasia vs. Malignant Epithelioid Mesothelioma | |
| Reactive Mesothelial Hyperplasia | Malignant Epithelioid Mesothelioma |
|
|
| Fibrous Pleuritis vs. Sarcomatoid or Desmoplastic Mesothelioma | |
| Fibrous Pleuritis | Sarcomatoid or Desmoplastic Mesothelioma |
|
|
| Biomarker | IHC Pattern | Diagnostic Sensitivity for MPM | Diagnostic Specificity for MPM |
|---|---|---|---|
| BAP1 | Loss of nuclear expression | 50–60% | 100% |
| MTAP | Loss of cytoplasmic expression | 43–65% | 96–100% |
| BAP1 + MTAP | Loss of nuclear expression + Loss of cytoplasmic expression | 74–90% | 96–100% |
Disclaimer/Publisher’s Note: The statements, opinions and data contained in all publications are solely those of the individual author(s) and contributor(s) and not of MDPI and/or the editor(s). MDPI and/or the editor(s) disclaim responsibility for any injury to people or property resulting from any ideas, methods, instructions or products referred to in the content. |
© 2025 by the authors. Licensee MDPI, Basel, Switzerland. This article is an open access article distributed under the terms and conditions of the Creative Commons Attribution (CC BY) license (https://creativecommons.org/licenses/by/4.0/).
Share and Cite
Lucà, S.; Pignata, G.; Cioce, A.; Salzillo, C.; De Cecio, R.; Ferrara, G.; Della Corte, C.M.; Morgillo, F.; Fiorelli, A.; Montella, M.; et al. Diagnostic Challenges in the Pathological Approach to Pleural Mesothelioma. Cancers 2025, 17, 481. https://doi.org/10.3390/cancers17030481
Lucà S, Pignata G, Cioce A, Salzillo C, De Cecio R, Ferrara G, Della Corte CM, Morgillo F, Fiorelli A, Montella M, et al. Diagnostic Challenges in the Pathological Approach to Pleural Mesothelioma. Cancers. 2025; 17(3):481. https://doi.org/10.3390/cancers17030481
Chicago/Turabian StyleLucà, Stefano, Giovanna Pignata, Alessandro Cioce, Cecilia Salzillo, Rossella De Cecio, Gerardo Ferrara, Carminia Maria Della Corte, Floriana Morgillo, Alfonso Fiorelli, Marco Montella, and et al. 2025. "Diagnostic Challenges in the Pathological Approach to Pleural Mesothelioma" Cancers 17, no. 3: 481. https://doi.org/10.3390/cancers17030481
APA StyleLucà, S., Pignata, G., Cioce, A., Salzillo, C., De Cecio, R., Ferrara, G., Della Corte, C. M., Morgillo, F., Fiorelli, A., Montella, M., & Franco, R. (2025). Diagnostic Challenges in the Pathological Approach to Pleural Mesothelioma. Cancers, 17(3), 481. https://doi.org/10.3390/cancers17030481

