Immunohistochemistry for Skin Cancers: New Insights into Diagnosis and Treatment of Melanoma
Simple Summary
Abstract
1. Introduction
2. Materials and Methods
2.1. Protocol and Registration
2.2. Eligibility Criteria
- Original peer-reviewed research articles, clinical case series, or case reports focusing on the use of immunohistochemistry in melanoma;
- Studies that employed immunohistochemistry for the purpose of the diagnosis, differential diagnosis, prognosis, staging, or treatment of melanoma;
- The inclusion of primary cutaneous melanoma, metastatic melanoma, or histopathological variants such as nodular melanoma, lentigo maligna melanoma, superficial spreading melanoma, amelanotic melanoma, spitzoid melanoma, desmoplastic melanoma, or acral melanoma;
- Articles published in English between January 2000 and May 2025.
- Animal or in vitro studies;
- Editorials, letters, reviews, or opinion pieces;
- Studies focusing on melanomas in special locations (e.g., mucosal, uveal, ocular);
- Studies not involving immunohistochemistry;
- Articles without the full text available;
- Duplicate publications or secondary analyses from the same dataset.
2.3. Information Sources and Search Strategy
- “melanoma” AND “immunohistochemistry”.
- “melanoma” AND “S100” OR “SOX10” OR “HMB-45” OR “Melan-A” OR “MART1” OR “KI67” OR “MITF” OR “PRAME” OR “BRAF” OR “p16” OR “PD-L1”.
- “melanoma variants” AND “immunohistochemistry”.
2.4. Study Selection
2.5. Data Extraction
- Melanoma subtype;
- IHC markers assessed;
- Diagnostic, differential diagnostic, staging, prognostic, or treatment applications.
2.6. Risk of Bias and Quality Assessment
2.7. Data Synthesis
3. Results
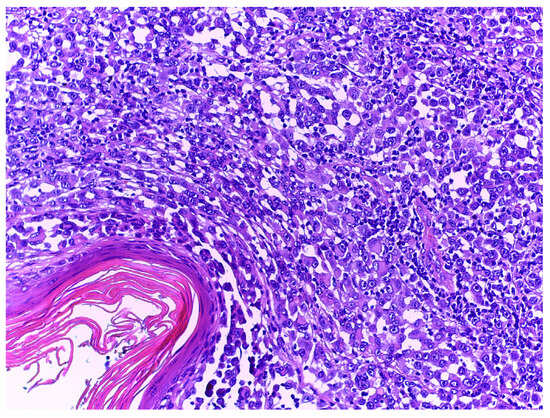
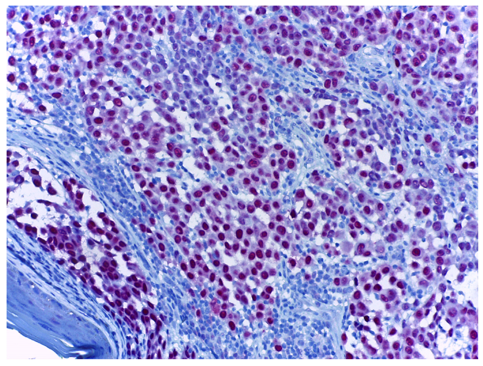
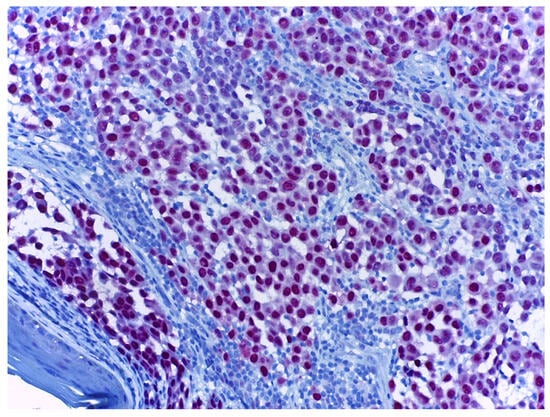
3.1. S100
3.2. SOX10
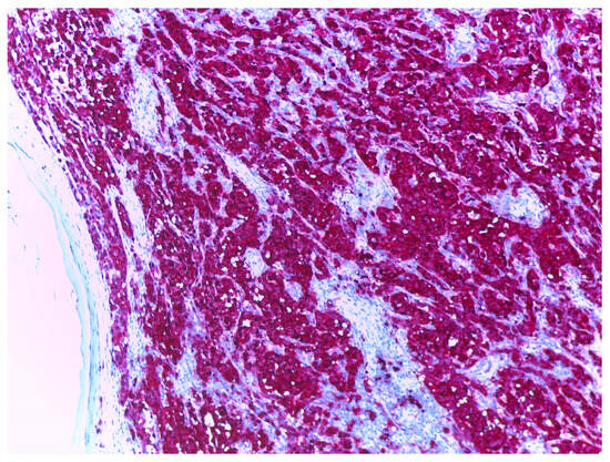
3.3. HMB-45
3.4. Melan-A/MART1
3.5. Ki67
3.6. MITF
3.7. PRAME
3.8. BRAF
3.9. P16
3.10. PD-L1
4. Conclusions
Supplementary Materials
Author Contributions
Funding
Data Availability Statement
Conflicts of Interest
References
- Davis, L.E.; Shalin, S.C.; Tackett, A.J. Current State of Melanoma Diagnosis and Treatment. Cancer Biol. Ther. 2019, 20, 1366–1379. [Google Scholar] [CrossRef] [PubMed]
- Bray, F.; Laversanne, M.; Sung, H.; Ferlay, J.; Siegel, R.L.; Soerjomataram, I.; Jemal, A. Global Cancer Statistics 2022: GLOBOCAN Estimates of Incidence and Mortality Worldwide for 36 Cancers in 185 Countries. CA Cancer J. Clin. 2024, 74, 229–263. [Google Scholar] [CrossRef] [PubMed]
- Sung, H.; Ferlay, J.; Siegel, R.L.; Laversanne, M.; Soerjomataram, I.; Jemal, A.; Bray, F. Global Cancer Statistics 2020: GLOBOCAN Estimates of Incidence and Mortality Worldwide for 36 Cancers in 185 Countries. CA Cancer J. Clin. 2021, 71, 209–249. [Google Scholar] [CrossRef] [PubMed]
- Guy, G.P.; Machlin, S.R.; Ekwueme, D.U.; Yabroff, K.R. Prevalence and Costs of Skin Cancer Treatment in the U.S., 2002−2006 and 2007−2011. Am. J. Prev. Med. 2015, 48, 183–187. [Google Scholar] [CrossRef]
- Bellazzo, A.; Montico, B.; Guerrieri, R.; Colizzi, F.; Steffan, A.; Polesel, J.; Fratta, E. Unraveling the Role of Hypoxia-Inducible Factors in Cutaneous Melanoma: From Mechanisms to Therapeutic Opportunities. Cell Commun. Signal. 2025, 23, 177. [Google Scholar] [CrossRef]
- Lin, F.; Chen, Z. Standardization of Diagnostic Immunohistochemistry: Literature Review and Geisinger Experience. Arch. Pathol. Lab. Med. 2014, 138, 1564–1577. [Google Scholar] [CrossRef]
- Shi, S.R.; Key, M.E.; Kalra, K.L. Antigen Retrieval in Formalin-Fixed, Paraffin-Embedded Tissues: An Enhancement Method for Immunohistochemical Staining Based on Microwave Oven Heating of Tissue Sections. J. Histochem. Cytochem. 1991, 39, 741–748. [Google Scholar] [CrossRef]
- Chatterjee, D.; Bhattacharjee, R. Immunohistochemistry in Dermatopathology and Its Relevance in Clinical Practice. Indian Dermatol. Online J. 2018, 9, 234. [Google Scholar] [CrossRef]
- Ferringer, T. Immunohistochemistry in Dermatopathology. Arch. Pathol. Lab. Med. 2015, 139, 83–105. [Google Scholar] [CrossRef]
- Magro, C.M.; Crowson, A.N.; Mihm, M.C. Unusual Variants of Malignant Melanoma. Mod. Pathol. 2006, 19, S41–S70. [Google Scholar] [CrossRef]
- Viray, H.; Bradley, W.R.; Schalper, K.A.; Rimm, D.L.; Rothberg, B.E.G. Marginal and Joint Distributions of S100, HMB45 and Melan-A across a Large Series of Cutaneous Melanomas. Arch. Pathol. Lab. Med. 2013, 137, 1063–1073. [Google Scholar] [CrossRef] [PubMed]
- Pearlstein, M.V.; Zedek, D.C.; Ollila, D.W.; Treece, A.; Gulley, M.L.; Groben, P.A.; Thomas, N.E. Validation of the VE1 Immunostainfor the BRAF V600E Mutation in Melanoma. J. Cutan. Pathol. 2014, 41, 724–732. [Google Scholar] [CrossRef] [PubMed]
- Shakya, R.; Nguyen, T.H.; Waterhouse, N.; Khanna, R. Immune Contexture Analysis in Immuno-oncology: Applications and Challenges of Multiplex Fluorescent Immunohistochemistry. Clin. Transl. Immunol. 2020, 9, e1183. [Google Scholar] [CrossRef] [PubMed]
- Clarke, E.L.; Wade, R.G.; Magee, D.; Newton-Bishop, J.; Treanor, D. Image Analysis of Cutaneous Melanoma Histology: A Systematic Review and Meta-Analysis. Sci. Rep. 2023, 13, 4774. [Google Scholar] [CrossRef]
- Clarkson, K.S.; Sturdgess, I.C.; Molyneux, A.J. The Usefulness of Tyrosinase in the Immunohistochemical Assessment of Melanocytic Lesions: A Comparison of the Novel T311 Antibody (Anti-Tyrosinase) with S-100, HMB45, and A103 (Anti-Melan-A). J. Clin. Pathol. 2001, 54, 196–200. [Google Scholar] [CrossRef]
- Orchard, G. Evaluation of Melanocytic Neoplasms: Application of a Pan-Melanoma Antibody Cocktail. Br. J. Biomed. Sci. 2002, 59, 196–202. [Google Scholar] [CrossRef]
- Femel, J.; Hill, C.; Illa Bochaca, I.; Booth, J.L.; Asnaashari, T.G.; Steele, M.M.; Moshiri, A.S.; Do, H.; Zhong, J.; Osman, I.; et al. Quantitative Multiplex Immunohistochemistry Reveals Inter-Patient Lymphovascular and Immune Heterogeneity in Primary Cutaneous Melanoma. Front. Immunol. 2024, 15, 1328602. [Google Scholar] [CrossRef]
- Donati, M.; Nožička, J.; Kastnerova, L.; Hajkova, V.; Persichetti, P.; Michal, M.; Kazakov, D.V. Primary Cutaneous Amelanotic Melanoma and Gastrointestinal Stromal Tumor in Synchronous Evolution. Am. J. Dermatopathol. 2021, 43, 221–224. [Google Scholar] [CrossRef]
- Khan, S.; Al-Tariq, K.; Razi, S.; Haroon, A. Pyogenic Granuloma-like Amelanotic Melanoma of the Fingernail. Liaquat Natl. J. Prim. Care 2023, 5, 204–206. [Google Scholar] [CrossRef]
- Brown, G.T.; Cowen, E.W.; Lee, C.-C.R. Malignant Melanoma Masquerading as an Angiofibroma in a Patient with MEN-1. JAMA Dermatol. 2015, 151, 105–106. [Google Scholar] [CrossRef]
- Rekik, M.A.; Rouabeh, A.; Guermazi, Y.; Dahech, F.; Ellouz, Z.; Keskes, H. Spitzoid Melanoma of the Finger: A Case Report. J. Med Case Res. 2024, 18, 413. [Google Scholar] [CrossRef] [PubMed]
- Jia, J.; Wang, M.; Song, L.; Feng, Y. A Melanotic Malignant Melanoma Presenting as a Keloid: A Case Report. Medicine 2017, 96, e9047. [Google Scholar] [CrossRef] [PubMed]
- Rao, A.G.; Babu, V.A.; Koppada, D.; Haritha, M.; Chandana, P. Amelanotic Melanoma in the Vicinity of Acquired Melanocytic Nevi and Not Arising from Agminated Melanocytic Nevi: Masquerading as Pyogenic Granuloma. Indian J. Dermatol. 2016, 61, 122. [Google Scholar] [CrossRef] [PubMed]
- Alshaghel, M.M.; Almahairi, L.; Arian, R.; Alyousfi, M.S.; Majanni, W.; Alyousfi, R.; Etr, A. Amelanotic Nodular Melanoma Misdiagnosed as a Benign Skin Lesion: A Rare Case Report from Syria. Ann. Med. Surg. 2022, 74, 103316. [Google Scholar] [CrossRef]
- Weissinger, S.E.; Keil, P.; Silvers, D.N.; Klaus, B.M.; Möller, P.; Horst, B.A.; Lennerz, J.K. A Diagnostic Algorithm to Distinguish Desmoplastic from Spindle Cell Melanoma. Mod. Pathol. Off. J. U. S. Can. Acad. Pathol. Inc. 2014, 27, 524–534. [Google Scholar] [CrossRef]
- Marques, P.C.; Diniz, L.M.; Spelta, K.; Nogueira, P.S.E. Desmoplastic Melanoma: A Rare Variant with Challenging Diagnosis. An. Bras. Dermatol. 2019, 94, 82–85. [Google Scholar] [CrossRef]
- Andreevscaia, O.; Theate, I.; Goossens, C.; Vanhooteghem, O. Diagnostic Challenge of Desmoplastic Melanoma. Rare Tumors 2016, 8, 33–35. [Google Scholar] [CrossRef]
- Xu, X.; Chu, A.Y.; Pasha, T.L.; Elder, D.E.; Zhang, P.J. Immunoprofile of MITF, Tyrosinase, Melan-A, and MAGE-1 in HMB45-Negative Melanomas. Am. J. Surg. Pathol. 2002, 26, 82–87. [Google Scholar] [CrossRef]
- Javabal, P.; Subramanian, V. An Unusual Case of Desmoplastic Malignant Melanoma. J. Cutan. Aesthetic Surg. 2015, 8, 60–63. [Google Scholar] [CrossRef]
- Biernacka, A.; Linos, K.; Delong, P.; Suriawinata, A.; Padmanabhan, V.; Liu, X. A Case of S-100 Negative Melanoma: A Diagnostic Pitfall in the Workup of a Poorly Differentiated Metastatic Tumor of Unknown Origin. Cytojournal 2016, 13, 21. [Google Scholar] [CrossRef]
- Kooper-Johnson, S.; Mahalingam, M.; Loo, D.S. SOX-10 and S100 Negative Desmoplastic Melanoma: Apropos a Diagnostically Challenging Case. Am. J. Dermatopathol. 2020, 42, 697–699. [Google Scholar] [CrossRef] [PubMed]
- Chung, J.P.; Lee, S.J.; Lee, J.I.; Lee, K.S.; Lee, S.I. Duodenal Metastatic Amelanotic Melanoma. Gastrointest. Endosc. 2003, 58, 101. [Google Scholar] [PubMed]
- Heinig, J.; August, C.; Beckmann, V.; Konieczny, A. Endometrial Metastasis of Cutaneous Melanoma—A Case-Report Bearing Diagnostic Difficulties. Zentralbl. Gynakol. 2001, 123, 534–535. [Google Scholar] [CrossRef] [PubMed]
- Alves, M.G.O.; Chagas, L.R.; Carvalho, Y.R.; Cabral, L.A.G.; Coletta, R.D.; Almeida, J.D. Metastatic Melanoma of the Tongue: A Case Report with Immunohistochemical Profile. Gerodontology 2014, 31, 314–319. [Google Scholar] [CrossRef]
- Gershenwald, J.E.; Scolyer, R.A.; Hess, K.R.; Sondak, V.K.; Long, G.V.; Ross, M.I.; Lazar, A.J.; Faries, M.B.; Kirkwood, J.M.; McArthur, G.A.; et al. Melanoma Staging: Evidence-based Changes in the American Joint Committee on Cancer Eighth Edition Cancer Staging Manual. CA Cancer J. Clin. 2017, 67, 472–492. [Google Scholar] [CrossRef]
- Pop, A.M.; Monea, M.; Olah, P.; Moraru, R.; Cotoi, O.S. The Importance of Immunohistochemistry in the Evaluation of Tumor Depth of Primary Cutaneous Melanoma. Diagnostics 2023, 13, 1020. [Google Scholar] [CrossRef]
- Shidham, V.B.; Qi, D.; Rao, R.N.; Acker, S.M.; Chang, C.-C.; Kampalath, B.; Dawson, G.; Machhi, J.K.; Komorowski, R.A. Improved Immunohistochemical Evaluation of Micrometastases in Sentinel Lymph Nodes of Cutaneous Melanoma with ’MCW Melanoma Cocktail’--a Mixture of MonoclonalAntibodies to MART-1, Melan-A, and Tyrosinase. BMC Cancer 2003, 3, 15. [Google Scholar] [CrossRef]
- Abrahamsen, H.N.; Hamilton-Dutoit, S.J.; Larsen, J.; Steiniche, T. Sentinel Lymph Nodes in Malignant Melanoma: Extended Histopathologic Evaluation Improves Diagnostic Precision. Cancer 2004, 100, 1683–1691. [Google Scholar] [CrossRef]
- Shidham, V.B.; Qi, D.Y.; Acker, S.; Kampalath, B.; Chang, C.-C.; George, V.; Komorowski, R. Evaluation of Micrometastases in Sentinel Lymph Nodes of Cutaneous Melanoma: Higher Diagnostic Accuracy with Melan-A and MART-1 Compared With S-100 Protein and HMB-45. Am. J. Surg. Pathol. 2001, 25, 1039–1046. [Google Scholar] [CrossRef]
- Straker, R.J., 3rd; Taylor, L.A.; Neuwirth, M.G.; Sinnamon, A.J.; Shannon, A.B.; Abbott, J.; Miura, J.T.; Chu, E.Y.; Xu, X.; Karakousis, G.C. Optimizing Detection of Lymphatic Invasion in Primary Cutaneous Melanoma with the Use of D2-40 and a Paired Melanocytic Marker. Am. J. Dermatopathol. 2022, 44, 21–27. [Google Scholar] [CrossRef]
- Moy, A.P.; Duncan, L.M.; Kraft, S. Lymphatic Invasion and Angiotropism in Primary Cutaneous Melanoma. Lab. Invest. 2017, 97, 118–129. [Google Scholar] [CrossRef] [PubMed]
- Špirić, Z.; Erić, M.; Eri, Ž. Lymphatic Invasion and the Shields Index in Predicting Melanoma Metastases. J. Plast. Reconstr. Aesthetic Surg. 2017, 70, 1646–1652. [Google Scholar] [CrossRef] [PubMed]
- Petitt, M.; Allison, A.; Shimoni, T.; Uchida, T.; Raimer, S.; Kelly, B. Lymphatic Invasion Detected by D2-40/S-100 Dual Immunohistochemistry Does Not Predict Sentinel Lymph Node Status in Melanoma. J. Am. Acad. Dermatol. 2009, 61, 819–828. [Google Scholar] [CrossRef] [PubMed]
- Bayram, A.; Ozturk Sari, S.; Ozluk, Y.; Tas, F.; Buyukbabani, N. Multiple Combinations of Melanocytic and Vascular Endothelial Markers Enhance the Detection Rate of Lymphovascular Invasion in Cutaneous Melanoma. J. Cutan. Pathol. 2021, 48, 472–478. [Google Scholar] [CrossRef]
- Sahni, D.; Robson, A.; Orchard, G.; Szydlo, R.; Evans, A.V.; Russell-Jones, R. The Use of LYVE-1 Antibody for Detecting Lymphatic Involvement in Patients with Malignant Melanoma or Known Sentinel Node Status. J. Clin. Pathol. 2005, 58, 715–721. [Google Scholar] [CrossRef]
- Ireland, A.; Williams, B.; Rijhumal, A.; Mesbah Ardakani, N. Metastatic Melanoma to a Neurofibroma. Am. J. Dermatopathol. 2022, 44, 683–686. [Google Scholar] [CrossRef]
- Robson, A.; Allen, P.; Hollowood, K. S100 Expression in Cutaneous Scars: A Potential Diagnostic Pitfall in the Diagnosis of Desmoplastic Melanoma. Histopathology 2001, 38, 135–140. [Google Scholar] [CrossRef]
- Chorny, J.A.; Barr, R.J. S100-Positive Spindle Cells in Scars: A Diagnostic Pitfall in the Re-Excision of Desmoplastic Melanoma. Am. J. Dermatopathol. 2002, 24, 309–312. [Google Scholar] [CrossRef]
- Lazova, R.; Tantcheva-Poor, I.; Sigal, A.C. P75 Nerve Growth Factor Receptor Staining Is Superior to S100 in Identifying Spindle Cell and Desmoplastic Melanoma. J. Am. Acad. Dermatol. 2010, 63, 852–858. [Google Scholar] [CrossRef]
- Ordóñez, N.G. Value of SOX10 Immunostaining in Tumor Diagnosis. Adv. Anat. Pathol. 2013, 20, 275–283. [Google Scholar] [CrossRef]
- Mohamed, A.; Gonzalez, R.S.; Lawson, D.; Wang, J.; Cohen, C. SOX10 Expression in Malignant Melanoma, Carcinoma, and Normal Tissues. Appl. Immunohistochem. Mol. Morphol. 2013, 21, 506–510. [Google Scholar] [CrossRef] [PubMed]
- Khan, A.A.; Zaheer, S.; Gulati, P.; Ahuja, S. Desmoplastic Melanoma of the Chest Wall: A Diagnostic Dilemma. Indian J. Surg. Oncol. 2024, 15, 164–167. [Google Scholar] [CrossRef] [PubMed]
- LaMonica, L.C.; Lang Houser, M.E.; Smith, E.H. Desmoplastic Melanoma Presenting as an Alopecic Patch in a Young Patient. JAAD Case Rep. 2023, 38, 96–99. [Google Scholar] [CrossRef] [PubMed]
- Kiuru, M.; McDermott, G.; Berger, M.; Halpern, A.C.; Busam, K.J. Desmoplastic Melanoma with Sarcomatoid Dedifferentiation. Am. J. Surg. Pathol. 2014, 38, 864–870. [Google Scholar] [CrossRef]
- Miller, D.D.; Emley, A.; Yang, S.; Richards, J.E.; Lee, J.E.; Deng, A.; Hoang, M.P.; Mahalingam, M. Mixed versus Pure Variants of Desmoplastic Melanoma: A Genetic and Immunohistochemical Appraisal. Mod. Pathol. Off. J. U. S. Can. Acad. Pathol. Inc. 2012, 25, 505–515. [Google Scholar] [CrossRef]
- Mikkelsen, J.; Hagen Wagenblast, A.L.; Behrendt, N.; Lock-Andersen, J. Melanoma in Situ with In-Transit Metastases. Open 2017, 11, 37–42. [Google Scholar] [CrossRef]
- Palla, B.; Su, A.; Binder, S.; Dry, S. SOX10 Expression Distinguishes Desmoplastic Melanoma from Its Histologic Mimics. Am. J. Dermatopathol. 2013, 35, 576–581. [Google Scholar] [CrossRef]
- Nonaka, D.; Chiriboga, L.; Rubin, B.P. Sox10: A Pan-Schwannian and Melanocytic Marker. Am. J. Surg. Pathol. 2008, 32, 1291–1298. [Google Scholar] [CrossRef]
- Moye, S.L.; Knowles, A.; Vandergriff, T.; Le, L.Q. Malignant Melanoma Developing in a Pre-Existing Cutaneous Neurofibroma from a Patient with Neurofibromatosis Type 1. JAAD Case Rep. 2024, 54, 46–49. [Google Scholar] [CrossRef]
- Behrens, E.L.; Boothe, W.; D’Silva, N.; Walterscheid, B.; Watkins, P.; Tarbox, M. SOX-10 Staining in Dermal Scars. J. Cutan. Pathol. 2019, 46, 579–585. [Google Scholar] [CrossRef]
- Ronchi, A.; Zito Marino, F.; Toni, G.; Pagliuca, F.; Russo, D.; Signoriello, G.; Moscarella, E.; Brancaccio, G.; Argenziano, G.; Franco, R.; et al. Diagnostic Performance of Melanocytic Markers for Immunocytochemical Evaluation of Lymph-Node Melanoma Metastases on Cytological Samples. J. Clin. Pathol. 2022, 75, 45–49. [Google Scholar] [CrossRef] [PubMed]
- Willis, B.C.; Johnson, G.; Wang, J.; Cohen, C. SOX10: A Useful Marker for Identifying Metastatic Melanoma in Sentinel Lymph Nodes. Appl. Immunohistochem. Mol. Morphol. 2015, 23, 109–112. [Google Scholar] [CrossRef]
- Orchard, G.E. Comparison of Immunohistochemical Labelling of Melanocyte Differentiation Antibodies Melan-A, Tyrosinase and HMB 45 with NKIC3 and S100 Protein in theEvaluation of Benign Naevi and Malignant Melanoma. Histochem. J. 2000, 32, 475–481. [Google Scholar] [CrossRef] [PubMed]
- Rasic, D.; Korsgaard, N.; Marcussen, N.; Precht Jensen, E.M. Diagnostic Utility of Combining PRAME and HMB-45 Stains in Primary Melanocytic Tumors. Ann. Diagn. Pathol. 2023, 67, 152211. [Google Scholar] [CrossRef] [PubMed]
- Nazarian, R.M.; Prieto, V.G.; Elder, D.E.; Duncan, L.M. Melanoma Biomarker Expression in Melanocytic Tumor Progression: A Tissue Microarray Study. J. Cutan. Pathol. 2010, 37 (Suppl. S1), 41–47. [Google Scholar] [CrossRef]
- Kucher, C.; Zhang, P.J.; Pasha, T.; Elenitsas, R.; Wu, H.; Ming, M.E.; Elder, D.E.; Xu, X. Expression of Melan-A and Ki-67 in Desmoplastic Melanoma and Desmoplastic Nevi. Am. J. Dermatopathol. 2004, 26, 452–457. [Google Scholar] [CrossRef]
- Chu, S.; Schrom, K.P.; Tripathi, R.; Conic, R.R.Z.; Ezaldein, H.H.; Scott, J.F.; Honda, K. Pure and Mixed Desmoplastic Melanomas: A Retrospective Clinicopathologic Comparison of 33 Cases. Am. J. Dermatopathol. 2021, 43, 776–780. [Google Scholar] [CrossRef]
- Mohammed Saeed, D.; Braniecki, M.; Groth, J.V. A Rare Case of Acral Amelanotic Melanoma, Nodular Type. Int. Wound J. 2019, 16, 1445–1449. [Google Scholar] [CrossRef]
- Zhang, J.; Yang, H.; Lin, J.; Zhang, F.; Shi, J.; Chen, R. Primary Acral Amelanotic Melanoma: A Rare Case Report. Mol. Clin. Oncol. 2020, 13, 1–4. [Google Scholar] [CrossRef]
- Cassarino, D.S.; Cabral, E.S.; Kartha, R.V.; Swetter, S.M. Primary Dermal Melanoma: Distinct Immunohistochemical Findings and Clinical Outcome Compared with Nodular and Metastatic Melanoma. Arch. Dermatol. 2008, 144, 49–56. [Google Scholar] [CrossRef]
- Gómez Portilla, A.; Cruz, A.; Juan, N.; Malo, P.; de Heredia, E.L.; Larrañaga, M. Isolated Rectus Abdominis Metastasis from Melanoma—An Extremely Rare Case. Int. J. Surg. Case Rep. 2016, 26, 121–123. [Google Scholar] [CrossRef] [PubMed]
- Amadeu, J.; Piazzetta, C.M.; Torres-Pereira, C.C.; Amenábar, J.M. Mandibular Metastasis of Cutaneous Melanoma. J. Oral Biol. Craniofacial Res. 2016, 6, 250–252. [Google Scholar] [CrossRef] [PubMed]
- Karateke, A.; Tuǧ, N.; Şahin, D. Metastatic Ovarian Malignant Melanoma with No Obvious Primary. J. Turk. Ger. Gynecol. Assoc. 2011, 12, 181–182. [Google Scholar] [CrossRef] [PubMed]
- Garola, R.; Singh, V. Utility of P16-Ki-67-HMB45 Score in Sorting Benign from Malignant Spitz Tumors. Pathol. Res. Pract. 2019, 215, 152550. [Google Scholar] [CrossRef]
- Ricci, C.; Dika, E.; Ambrosi, F.; Lambertini, M.; Veronesi, G.; Barbara, C. Cutaneous Melanomas: A Single Center Experience on the Usage of Immunohistochemistry Applied for the Diagnosis. Int. J. Mol. Sci. 2022, 23, 5911. [Google Scholar] [CrossRef]
- Siroy, A.E.; Aung, P.P.; Torres-Cabala, C.A.; Tetzlaff, M.T.; Nagarajan, P.; Milton, D.R.; Curry, J.L.; Ivan, D.; Prieto, V.G. Clinical Significance of BRAF V600E Mutational Status in Capsular Nevi of Sentinel Lymph Nodes in Patients with Primary Cutaneous Melanoma. Hum. Pathol. 2017, 59, 48–54. [Google Scholar] [CrossRef]
- Kamyab-Hesary, K.; Ghanadan, A.; Balighi, K.; Mousavinia, S.F.; Nasimi, M. Immunohistochemical Staining in the Assessment of Melanoma Tumor Thickness. Pathol. Oncol. Res. POR 2020, 26, 885–891. [Google Scholar] [CrossRef]
- Chen, Y.; Klonowski, P.W.; Lind, A.C.; Lu, D. Differentiating Neurotized Melanocytic Nevi from Neurofibromas Using Melan-A (MART-1) Immunohistochemical Stain. Arch. Pathol. Lab. Med. 2012, 136, 810–815. [Google Scholar] [CrossRef]
- Agostini, P.; Rivero, A.; Parra Martín, J.A.; Soares-de-Almeida, L. Pedunculated Polypoid Melanoma. A Case Report of a Rare Spindle-Cell Variant of Melanoma. Dermatol. Online J. 2015, 21, 13030. [Google Scholar] [CrossRef]
- Di Buono, G.; Maienza, E.; Rinaldi, G.; Buscemi, S.; Romano, G.; Agrusa, A. Malignant Metastatic Melanoma to the Gallbladder: Report of a Peculiar Case. Int. J. Surg. Case Rep. 2020, 77, S37–S39. [Google Scholar] [CrossRef]
- Sidiropoulos, M.; Sholl, L.M.; Obregon, R.; Guitart, J.; Gerami, P. Desmoplastic Nevus of Chronically Sun-Damaged Skin: An Entity to Be Distinguished from Desmoplastic Melanoma. Am. J. Dermatopathol. 2014, 36, 629–634. [Google Scholar] [CrossRef] [PubMed]
- Matusiak, L.; Bieniek, A.; Wozniak, Z.; Szepietowski, J.C. Amelanotic Malignant Melanoma in an Acral Location. Acta Dermatovenerol. Alp. Pannonica Adriat. 2008, 17, 72–74. [Google Scholar] [PubMed]
- Powell, M.R.; Sheehan, D.J.; Kleven, D.T. Altered Morphology and Immunohistochemical Characteristics in Metastatic Malignant Melanoma After Therapy with Vemurafenib. Am. J. Dermatopathol. 2016, 38, e137–e139. [Google Scholar] [CrossRef] [PubMed]
- Drabeni, M.; Lopez-Vilaró, L.; Barranco, C.; Trevisan, G.; Gallardo, F.; Pujol, R.M. Differences in Tumor Thickness between Hematoxylin and Eosin and Melan-A Immunohistochemically Stained Primary Cutaneous Melanomas. Am. J. Dermatopathol. 2013, 35, 56–63. [Google Scholar] [CrossRef]
- Ellison, P.M.; Zitelli, J.A.; Brodland, D.G. Mohs Micrographic Surgery for Melanoma: A Prospective Multicenter Study. J. Am. Acad. Dermatol. 2019, 81, 767–774. [Google Scholar] [CrossRef]
- Young, J.N.; Nguyen, T.A.; Freeman, S.C.; Hill, E.; Johnson, M.; Gharavi, N.; Bar, A.; Leitenberger, J. Permanent Section Margin Concordance after Mohs Micrographic Surgery with Immunohistochemistry for Invasive Melanoma and Melanoma in Situ: A RetrospectiveDual-Center Analysis. J. Am. Acad. Dermatol. 2023, 88, 1060–1065. [Google Scholar] [CrossRef]
- Gill, P.; Howell, J.; Naugler, C.; Daoud, M.S.A. Utility of Multistep Protocols in the Analysis of Sentinel Lymph Nodes in Cutaneous Melanoma: An Assessment of 194 Cases. Arch. Pathol. Lab. Med. 2019, 143, 1126–1130. [Google Scholar] [CrossRef]
- Nybakken, G.E.; Sargen, M.; Abraham, R.; Zhang, P.J.; Ming, M.; Xu, X. MITF Accurately Highlights Epidermal Melanocytes in Atypical Intraepidermal Melanocytic Proliferations. Am. J. Dermatopathol. 2013, 35, 25–29. [Google Scholar] [CrossRef]
- Huttenbach, Y.; Prieto, V.G.; Reed, J.A. Desmoplastic and Spindle Cell Melanomas Express Protein Markers of the Neural Crest but Not of Later Committed Stages of Schwann Cell Differentiation. J. Cutan. Pathol. 2002, 29, 562–568. [Google Scholar] [CrossRef]
- Parra, O.; Ma, W.; Li, Z.; Coffing, B.N.; Linos, K.; LeBlanc, R.E.; Momtahen, S.; Sriharan, A.; Cloutier, J.M.; Wells, W.A.; et al. PRAME Expression in Cutaneous Melanoma Does Not Correlate with Disease-Specific Survival. J. Cutan. Pathol. 2023, 50, 903–912. [Google Scholar] [CrossRef]
- Jian, J.; Guoying, W.; Jing, Z. Increased Expression of Sex Determining Region Y-Box 11 (SOX11) in Cutaneous Malignant Melanoma. J. Int. Med. Res. 2013, 41, 1221–1227. [Google Scholar] [CrossRef] [PubMed]
- Gimotty, P.A.; Van Belle, P.; Elder, D.E.; Murry, T.; Montone, K.T.; Xu, X.; Hotz, S.; Raines, S.; Ming, M.E.; Wahl, P.; et al. Biologic and Prognostic Significance of Dermal Ki67 Expression, Mitoses, and Tumorigenicity in Thin Invasive Cutaneous Melanoma. J. Clin. Oncol. Off. J. Am. Soc. Clin. Oncol. 2005, 23, 8048–8056. [Google Scholar] [CrossRef] [PubMed]
- Ladstein, R.G.; Bachmann, I.M.; Straume, O.; Akslen, L.A. Ki-67 Expression Is Superior to Mitotic Count and Novel Proliferation Markers PHH3, MCM4 and Mitosin as a Prognostic Factor in Thick Cutaneous Melanoma. BMC Cancer 2010, 10, 140. [Google Scholar] [CrossRef] [PubMed]
- Uguen, A.; Talagas, M.; Costa, S.; Duigou, S.; Bouvier, S.; De Braekeleer, M.; Marcorelles, P. A P16-Ki-67-HMB45 Immunohistochemistry Scoring System as an Ancillary Diagnostic Tool in the Diagnosis of Melanoma. Diagn. Pathol. 2015, 10, 195. [Google Scholar] [CrossRef]
- Nielsen, P.S.; Riber-Hansen, R.; Jensen, T.O.; Schmidt, H.; Steiniche, T. Proliferation Indices of Phosphohistone H3 and Ki67: Strong Prognostic Markers in a Consecutive Cohort with Stage I/II Melanoma. Mod. Pathol. Off. J. U. S. Can. Acad. Pathol. Inc. 2013, 26, 404–413. [Google Scholar] [CrossRef]
- Lawrence, N.F.; Hammond, M.R.; Frederick, D.T.; Su, Y.; Dias-Santagata, D.; Deng, A.; Selim, M.A.; Mahalingam, M.; Flaherty, K.T.; Hoang, M.P. Ki-67, P53, and P16 Expression, and G691S RET Polymorphism in Desmoplastic Melanoma (DM): A Clinicopathologic Analysis of Predictors of Outcome. J. Am. Acad. Dermatol. 2016, 75, 595–602. [Google Scholar] [CrossRef]
- Kaufmann, C.; Kempf, W.; Mangana, J.; Cheng, P.; Emberger, M.; Lang, R.; Kaiser, A.K.; Lattmann, E.; Levesque, M.; Dummer, R.; et al. The Role of Cyclin D1 and Ki-67 in the Development and Prognostication of Thin Melanoma. Histopathology 2020, 77, 460–470. [Google Scholar] [CrossRef]
- Jurmeister, P.; Bockmayr, M.; Treese, C.; Stein, U.; Lenze, D.; Jöhrens, K.; Friedling, F.; Dietel, M.; Klauschen, F.; Marsch, W.; et al. Immunohistochemical Analysis of Bcl-2, Nuclear S100A4, MITF and Ki67 for Risk Stratification of Early-Stage Melanoma—A Combined IHC Score for Melanoma Risk Stratification. J. Dtsch. Dermatol. Ges. 2019, 17, 800–808. [Google Scholar] [CrossRef]
- Du, Y.; Li, C.; Mao, L.; Wei, X.; Bai, X.; Chi, Z.; Cui, C.; Sheng, X.; Lian, B.; Tang, B.; et al. A Nomogram Incorporating Ki67 to Predict Survival of Acral Melanoma. J. Cancer Res. Clin. Oncol. 2023, 149, 13077–13085. [Google Scholar] [CrossRef]
- Väisänen, A.; Kuvaja, P.; Kallioinen, M.; Turpeenniemi-Hujanen, T. A Prognostic Index in Skin Melanoma through the Combination of Matrix Metalloproteinase-2, Ki67, and P53. Hum. Pathol. 2011, 42, 1103–1111. [Google Scholar] [CrossRef]
- Volynskaya, Z.; Mete, O.; Pakbaz, S.; Al-Ghamdi, D.; Asa, S.L. Ki67 Quantitative Interpretation: Insights Using Image Analysis. J. Pathol. Inform. 2019, 10, 8. [Google Scholar] [CrossRef] [PubMed]
- King, R.; Googe, P.B.; Weilbaecher, K.N.; Mihm, M.C., Jr.; Fisher, D.E. Microphthalmia Transcription Factor Expression in Cutaneous Benign, Malignant Melanocytic, and Nonmelanocytic Tumors. Am. J. Surg. Pathol. 2001, 25, 51–57. [Google Scholar] [CrossRef] [PubMed]
- Granter, S.R.; Weilbaecher, K.N.; Quigley, C.; Fletcher, C.D.; Fisher, D.E. Microphthalmia Transcription Factor: Not a Sensitive or Specific Marker for the Diagnosis of Desmoplastic Melanoma and Spindle Cell (Non-Desmoplastic) Melanoma. Am. J. Dermatopathol. 2001, 23, 185–189. [Google Scholar] [CrossRef] [PubMed]
- Miettinen, M.; Fernandez, M.; Franssila, K.; Gatalica, Z.; Lasota, J.; Sarlomo-Rikala, M. Microphthalmia Transcription Factor in the Immunohistochemical Diagnosis of Metastatic Melanoma: Comparison with Four Other Melanoma Markers. Am. J. Surg. Pathol. 2001, 25, 205–211. [Google Scholar] [CrossRef]
- Koch, M.B.; Shih, I.-M.; Weiss, S.W.; Folpe, A.L. Microphthalmia Transcription Factor and Melanoma Cell Adhesion Molecule Expression Distinguish Desmoplastic/Spindle Cell Melanoma from Morphologic Mimics. Am. J. Surg. Pathol. 2001, 25, 58–64. [Google Scholar] [CrossRef]
- Feldmeyer, L.; Tetzlaff, M.; Fox, P.; Nagarajan, P.; Curry, J.; Ivan, D.; Cabala, C.A.T.; Prieto, V.G.; Aung, P.P. Prognostic Implication of Lymphovascular Invasion Detected by Double Immunostaining for D2-40 and MITF1 in Primary Cutaneous Melanoma. Am. J. Dermatopathol. 2016, 38, 484–491. [Google Scholar] [CrossRef]
- Buonaccorsi, J.N.; Prieto, V.G.; Torres-Cabala, C.; Suster, S.; Plaza, J.A. Diagnostic Utility and Comparative Immunohistochemical Analysis of MITF-1 and SOX10 to Distinguish Melanoma In Situ and Actinic Keratosis: A Clinicopathological and Immunohistochemical Study of 70 Cases. Am. J. Dermatopathol. 2014, 36, 124–130. [Google Scholar] [CrossRef]
- Parra, O.; Linos, K.; Li, Z.; Yan, S. PRAME Expression in Melanocytic Lesions of the Nail. J. Cutan. Pathol. 2022, 49, 610–617. [Google Scholar] [CrossRef]
- Koch, E.A.T.; Erdmann, M.; Berking, C.; Kiesewetter, F.; Kramer, R.; Schliep, S.; Heppt, M.V. Standardized Computer-Assisted Analysis of PRAME Immunoreactivity in Dysplastic Nevi and Superficial Spreading Melanomas. Int. J. Mol. Sci. 2023, 24, 6388. [Google Scholar] [CrossRef]
- Zengin, H.B.; Yildiz, B.; Pukhalskaya, T.; Smoller, B.R. FLI-1/Melan-A Dual Stain Is an Alternative to PRAME in Differentiating Metastatic Melanoma from Nodal Nevus: A Monocentric Retrospective Study. J. Cutan. Pathol. 2023, 50, 247–258. [Google Scholar] [CrossRef]
- Lezcano, C.; Jungbluth, A.A.; Busam, K.J. Immunohistochemistry for PRAME in Dermatopathology. Am. J. Dermatopathol. 2023, 45, 733–747. [Google Scholar] [CrossRef] [PubMed]
- Bahmad, H.F.; Oh, K.S.; Alexis, J. Potential Diagnostic Utility of PRAME and P16 Immunohistochemistry in Melanocytic Nevi and Malignant Melanoma. J. Cutan. Pathol. 2023, 50, 763–772. [Google Scholar] [CrossRef] [PubMed]
- Lo Bello, G.; Pini, G.M.; Giagnacovo, M.; Patriarca, C. PRAME Expression in 137 Primary Cutaneous Melanomas and Comparison with 38 Related Metastases. Pathol. Res. Pract. 2023, 251, 154915. [Google Scholar] [CrossRef] [PubMed]
- Miao, Q.-J.; Zang, J.; Shao, X.-B.; Sun, J.-F.; Chen, Y.-P.; Chen, H. Analysis of PRAME Immunocytochemistry in 109 Acral Malignant Melanoma in Situ. J. Clin. Pathol. 2024, 77, 417–420. [Google Scholar] [CrossRef]
- Kim, J.C.; Choi, J.W.; Kim, Y.C. Comparison of Melanocyte-Associated Immunohistochemical Markers in Acral Lentiginous Melanoma and Acral Benign Nevi. Am. J. Dermatopathol. 2023, 45, 748–752. [Google Scholar] [CrossRef]
- Kim, Y.J.; Jung, C.J.; Na, H.; Lee, W.J.; Chang, S.E.; Lee, M.W.; Park, C.-S.; Lim, Y.; Won, C.H. Cyclin D1 and PRAME Expression in Distinguishing Melanoma in Situ from Benign Melanocytic Proliferation of the Nail Unit. Diagn. Pathol. 2022, 17, 41. [Google Scholar] [CrossRef]
- Lezcano, C.; Jungbluth, A.A.; Nehal, K.S.; Hollmann, T.J.; Busam, K.J. PRAME Expression in Melanocytic Tumors. Am. J. Surg. Pathol. 2018, 42, 1456–1465. [Google Scholar] [CrossRef]
- Wakefield, C.; O’Keefe, L.; Heffron, C.C.B.B. Refining the Application of PRAME-a Useful Marker in High CSD and Acral Melanoma Subtypes. Virchows Arch. Int. J. Pathol. 2023, 483, 847–854. [Google Scholar] [CrossRef]
- Alomari, A.K.; Tharp, A.W.; Umphress, B.; Kowal, R.P. The Utility of PRAME Immunohistochemistry in the Evaluation of Challenging Melanocytic Tumors. J. Cutan. Pathol. 2021, 48, 1115–1123. [Google Scholar] [CrossRef]
- Rawson, R.V.; Shteinman, E.R.; Ansar, S.; Vergara, I.A.; Thompson, J.F.; Long, G.V.; Scolyer, R.A.; Wilmott, J.S. Diagnostic Utility of PRAME, P53 and 5-hmC Immunostaining for Distinguishing Melanomas from Naevi, Neurofibromas, Scars and Other Histological Mimics. Pathology 2022, 54, 863–873. [Google Scholar] [CrossRef]
- Hu, J.; Cai, X.; Lv, J.-J.; Wan, X.-C.; Zeng, X.-Y.; Feng, M.-L.; Dai, B.; Kong, Y.-Y. Preferentially Expressed Antigen in Melanoma Immunohistochemistry as an Adjunct for Differential Diagnosis in Acral Lentiginous Melanoma and Acral Nevi. Hum. Pathol. 2022, 120, 9–17. [Google Scholar] [CrossRef] [PubMed]
- Ronchi, A.; Cazzato, G.; Ingravallo, G.; D’Abbronzo, G.; Argenziano, G.; Moscarella, E.; Brancaccio, G.; Franco, R. PRAME Is an Effective Tool for the Diagnosis of Nevus-Associated Cutaneous Melanoma. Cancers 2024, 16, 278. [Google Scholar] [CrossRef] [PubMed]
- See, S.H.C.; Finkelman, B.S.; Yeldandi, A.V. The Diagnostic Utility of PRAME and P16 in Distinguishing Nodal Nevi from Nodal Metastatic Melanoma. Pathol. Res. Pract. 2020, 216, 153105. [Google Scholar] [CrossRef] [PubMed]
- Asato, M.A.; Moraes Neto, F.A.; Moraes, M.P.d.T.; Ocanha-Xavier, J.P.; Takita, L.C.; Fung, M.A.; Marques, M.E.A.; Xavier-Júnior, J.C.C. The Utility of PRAME and Ki-67 as Prognostic Markers for Cutaneous Melanoma. Am. J. Dermatopathol. 2025, 47, 9–16. [Google Scholar] [CrossRef]
- Olds, H.; Utz, S.; Abrams, J.; Terrano, D.; Mehregan, D. Use of PRAME Immunostaining to Distinguish Early Melanoma in Situ from Benign Pigmented Conditions. J. Cutan. Pathol. 2022, 49, 510–514. [Google Scholar] [CrossRef]
- Roy, S.F.; Panse, G.; McNiff, J.M. PRAME Immunohistochemistry Can Distinguish Melanocytic Pseudonests of Lichenoid Reactions from Melanoma in Situ. J. Cutan. Pathol. 2023, 50, 450–454. [Google Scholar] [CrossRef]
- Lezcano, C.; Jungbluth, A.A.; Busam, K.J. Comparison of Immunohistochemistry for PRAME With Cytogenetic Test Results in the Evaluation of Challenging Melanocytic Tumors. Am. J. Surg. Pathol. 2020, 44, 893–900. [Google Scholar] [CrossRef]
- Ferreira, L.Á.; Kim, E.H.J.; Stelini, R.F.; Velho, P.E.N.F.; de Moraes, A.M.; Buffo, T.; Cintra, M.L. The Expression of PRAME as an Aid for Diagnosis and Evaluation of Histologic Margins of Intraepidermal Cutaneous Melanoma in Xeroderma Pigmentosum Patients. Appl. Immunohistochem. Mol. Morphol. 2024, 32, 272–279. [Google Scholar] [CrossRef]
- Gradecki, S.E.; Valdes-Rodriguez, R.; Wick, M.R.; Gru, A.A. PRAME Immunohistochemistry as an Adjunct for Diagnosis and Histological Margin Assessment in Lentigo Maligna. Histopathology 2021, 78, 1000–1008. [Google Scholar] [CrossRef]
- Falkenius, J.; Johansson, H.; Tuominen, R.; Frostvik Stolt, M.; Hansson, J.; Egyhazi Brage, S. Presence of Immune Cells, Low Tumor Proliferation and Wild Type BRAF Mutation Status Is Associated with a Favourable Clinical Outcome in Stage III Cutaneous Melanoma. BMC Cancer 2017, 17, 584. [Google Scholar] [CrossRef]
- Bauer, J.; Büttner, P.; Murali, R.; Okamoto, I.; Kolaitis, N.A.; Landi, M.T.; Scolyer, R.A.; Bastian, B.C. BRAF Mutations in Cutaneous Melanoma Are Independently Associated with Age, Anatomic Site of the Primary Tumor, and the Degree of Solar Elastosis at the Primary Tumor Site. Pigment. Cell Melanoma Res. 2011, 24, 345–351. [Google Scholar] [CrossRef] [PubMed]
- Menzies, A.M.; Haydu, L.E.; Visintin, L.; Carlino, M.S.; Howle, J.R.; Thompson, J.F.; Kefford, R.F.; Scolyer, R.A.; Long, G.V. Distinguishing Clinicopathologic Features of Patients with V600E and V600K BRAF -Mutant Metastatic Melanoma. Clin. Cancer Res. 2012, 18, 3242–3249. [Google Scholar] [CrossRef] [PubMed]
- Ponti, G.; Tomasi, A.; Maiorana, A.; Ruini, C.; Maccaferri, M.; Cesinaro, A.M.; Depenni, R.; Manni, P.; Gelsomino, F.; Giusti, F.; et al. BRAFp.V600E, p.V600K, and p.V600R Mutations in Malignant Melanoma: Do They Also Differ in Immunohistochemical Assessment and Clinical Features? Appl. Immunohistochem. Mol. Morphol. 2016, 24, 30–34. [Google Scholar] [CrossRef] [PubMed][Green Version]
- Goto, K.; Yoshikawa, S.; Takai, T.; Tachibana, K.; Honma, K.; Isei, T.; Kukita, Y.; Oishi, T. Clinicopathologic and Genetic Characterization of Invasive Melanoma with BRAF V600K Mutation: A Study of 16 Cases. J. Cutan. Pathol. 2023, 50, 739–747. [Google Scholar] [CrossRef]
- Pires Da Silva, I.; Wang, K.Y.X.; Wilmott, J.S.; Holst, J.; Carlino, M.S.; Park, J.J.; Quek, C.; Wongchenko, M.; Yan, Y.; Mann, G.; et al. Distinct Molecular Profiles and Immunotherapy Treatment Outcomes of V600E and V600K BRAF-Mutant Melanoma. Clin. Cancer Res. 2019, 25, 1272–1279. [Google Scholar] [CrossRef]
- Urvanegia, A.C.; Tavoloni Braga, J.C.; Shitara, D.; Fregnani, J.H.; Neves, J.I.; Pinto, C.A.; Marghoob, A.A.; Duprat, J.P.; Rezze, G.G. Reflectance Confocal Microscopy Features of BRAF V600E Mutated Thin Melanomas Detected by Immunohistochemistry. PLoS ONE 2017, 12, e0179745. [Google Scholar] [CrossRef]
- Manninen, A.A.; Gardberg, M.; Juteau, S.; Ilmonen, S.; Jukonen, J.; Andersson, N.; Carpén, O. BRAF Immunohistochemistry Predicts Sentinel Lymph Node Involvement in Intermediate Thickness Melanomas. PLoS ONE 2019, 14, e0216043. [Google Scholar] [CrossRef]
- de Moll, E.H.; Fu, Y.; Qian, Y.; Perkins, S.H.; Wieder, S.; Gnjatic, S.; Remark, R.; Bernardo, S.G.; Moskalenko, M.; Yao, J.; et al. Immune Biomarkers Are More Accurate in Prediction of Survival in Ulcerated than in Non-Ulcerated Primary Melanomas. Cancer Immunol. Immunother. 2015, 64, 1193–1203. [Google Scholar] [CrossRef]
- Moysset, I.; Castrejon, N.; Garcia-Herrera, A.; Castillo, P.; Marginet, M.; Teixido, C.; Podlipnik, S.; Albero-Gonzalez, R.; Montironi, C.; Navarro, J.; et al. Restrospective Reappraisal of the Prognostic Classification of Spitzoid Melanocytic Neoplasms after BRAF and NRAS Mutation Characterisation: A SingleInstitution Experience. Histopathology 2024, 84, 1154–1166. [Google Scholar] [CrossRef]
- Hugdahl, E.; Kalvenes, M.B.; Puntervoll, H.E.; Ladstein, R.G.; Akslen, L.A. BRAF-V600E Expression in Primary Nodular Melanoma Is Associated with Aggressive Tumour Features and Reduced Survival. Br. J. Cancer 2016, 114, 801–808. [Google Scholar] [CrossRef]
- Aksenenko, M.B.; Kirichenko, A.K.; Ruksha, T.G. Russian Study of Morphological Prognostic Factors Characterization in BRAF-Mutant Cutaneous Melanoma. Pathol. Res. Pract. 2015, 211, 521–527. [Google Scholar] [CrossRef] [PubMed]
- Hannan, E.J.; O’Leary, D.P.; MacNally, S.P.; Kay, E.W.; Farrell, M.A.; Morris, P.G.; Power, C.P.; Hill, A.D.K. The Significance of BRAF V600E Mutation Status Discordance between Primary Cutaneous Melanoma and Brain Metastases: The Implications for BRAF Inhibitor Therapy. Medicine 2017, 96, e8404. [Google Scholar] [CrossRef] [PubMed]
- Suh, M.S.; Choi, Y.D.; Lee, J.-B.; Lee, S.-C.; Won, Y.H.; Yun, S.J. Sensitivity and Usefulness of VE1 Immunohistochemical Staining in Acral Melanomas with BRAF Mutation. Ann. Dermatol. 2018, 30, 556–561. [Google Scholar] [CrossRef] [PubMed]
- Eriksson, H.; Zebary, A.; Vassilaki, I.; Omholt, K.; Ghaderi, M.; Hansson, J. BRAFV600E Protein Expression in Primary Cutaneous Malignant Melanomas and Paired Metastases. JAMA Dermatol. 2015, 151, 410–416. [Google Scholar] [CrossRef]
- Vallée, A.; Denis-Musquer, M.; Herbreteau, G.; Théoleyre, S.; Bossard, C.; Denis, M.G. Prospective Evaluation of Two Screening Methods for Molecular Testing of Metastatic Melanoma: Diagnostic Performance of BRAF V600E Immunohistochemistry and of a NRAS-BRAF Fully Automated Real-Time PCR-Based Assay. PLoS ONE 2019, 14, e0221123. [Google Scholar] [CrossRef]
- Menzer, C.; Menzies, A.M.; Carlino, M.S.; Reijers, I.; Groen, E.J.; Eigentler, T.; De Groot, J.W.B.; Van Der Veldt, A.A.M.; Johnson, D.B.; Meiss, F.; et al. Targeted Therapy in Advanced Melanoma with Rare BRAF Mutations. J. Clin. Oncol. 2019, 37, 3142–3151. [Google Scholar] [CrossRef]
- Zhong, J.; Yan, W.; Wang, C.; Liu, W.; Lin, X.; Zou, Z.; Sun, W.; Chen, Y. BRAF Inhibitor Resistance in Melanoma: Mechanisms and Alternative Therapeutic Strategies. Curr. Treat. Options Oncol. 2022, 23, 1503–1521. [Google Scholar] [CrossRef]
- Demirkan, N.C.; Kesen, Z.; Akdag, B.; Larue, L.; Delmas, V. The Effect of the Sun on Expression of Beta-Catenin, P16 and Cyclin D1 Proteins in Melanocytic Lesions. Clin. Exp. Dermatol. 2007, 32, 733–739. [Google Scholar] [CrossRef]
- Stefanaki, C.; Stefanaki, K.; Antoniou, C.; Argyrakos, T.; Patereli, A.; Stratigos, A.; Katsambas, A. Cell Cycle and Apoptosis Regulators in Spitz Nevi: Comparison with Melanomas and Common Nevi. J. Am. Acad. Dermatol. 2007, 56, 815–824. [Google Scholar] [CrossRef]
- Al Dhaybi, R.; Agoumi, M.; Gagné, I.; McCuaig, C.; Powell, J.; Kokta, V. P16 Expression: A Marker of Differentiation between Childhood Malignant Melanomas and Spitz Nevi. J. Am. Acad. Dermatol. 2011, 65, 357–363. [Google Scholar] [CrossRef]
- Mason, A.; Wititsuwannakul, J.; Klump, V.R.; Lott, J.; Lazova, R. Expression of P16 Alone Does Not Differentiate between Spitz Nevi andSpitzoid Melanoma. J. Cutan. Pathol. 2012, 39, 1062–1074. [Google Scholar] [CrossRef] [PubMed]
- Blokhin, E.; Pulitzer, M.; Busam, K.J. Immunohistochemical Expression of P16 in Desmoplastic Melanoma. J. Cutan. Pathol. 2013, 40, 796–800. [Google Scholar] [CrossRef] [PubMed]
- Harms, P.W.; Hocker, T.L.; Zhao, L.; Chan, M.P.; Andea, A.A.; Wang, M.; Harms, K.L.; Wang, M.L.; Carskadon, S.; Palanisamy, N.; et al. Loss of P16 Expression and Copy Number Changes of CDKN2A in a Spectrum of Spitzoid Melanocytic Lesions. Hum. Pathol. 2016, 58, 152–160. [Google Scholar] [CrossRef] [PubMed]
- Mihic-Probst, D.; Mnich, C.D.; Oberholzer, P.A.; Seifert, B.; Sasse, B.; Moch, H.; Dummer, R. P16 Expression in Primary Malignant Melanoma Is Associated with Prognosis and Lymph Node Status. Int. J. Cancer 2006, 118, 2262–2268. [Google Scholar] [CrossRef]
- Strickler, A.G.; Schaefer, J.T.; Slingluff, C.L.; Wick, M.R. Immunolabeling for P16, WT1, and Fli-1 in the Assignment of Growth Phase for Cutaneous Melanomas. Am. J. Dermatopathol. 2014, 36, 718–722. [Google Scholar] [CrossRef]
- Roncati, L.; Piscioli, F.; Pusiol, T.; Maiorana, A. Microinvasive Radial Growth Phase of Cutaneous Melanoma: A Histopathological and Immunohistochemical Study with Diagnostic Implications. Acta Dermatovenerol. Croat. 2017, 25, 39–45. [Google Scholar]
- Hsieh, R.; Firmiano, A.; Sotto, M.N. Expression of P16 Protein in Acral Lentiginous Melanoma. Int. J. Dermatol. 2009, 48, 1303–1307. [Google Scholar] [CrossRef]
- Gkionis, I.G.; Tzardi, M.; Alegakis, A.; Datseri, G.; Moustou, E.; Saridakis, G.; Michelakis, D.; Kruger-Krasagakis, S.; Krasagakis, K.; DE Bree, E. Cyclin E Expression and P16 Loss Are Strong Prognostic Biomarkers in Primary Invasive Cutaneous Melanoma. Anticancer. Res. 2025, 45, 625–637. [Google Scholar] [CrossRef]
- Hilliard, N.J.; Krahl, D.; Sellheyer, K. P16 Expression Differentiates between Desmoplastic Spitz Nevus and Desmoplastic Melanoma. J. Cutan. Pathol. 2009, 36, 753–759. [Google Scholar] [CrossRef]
- Castaneda, C.A.; Castillo, M.; Torres-Cabala, C.; Bernabe, L.A.; Casavilca, S.; Villegas, V.; Sanchez, J.; de la Cruz, M.; Dunstan, J.; Cotrina, J.M.; et al. Relationship between Tumor-Associated Immune Infiltrate and P16 Staining over Clinicopathological Features in Acral Lentiginous Melanoma. Clin. Transl. Oncol. 2019, 21, 1127–1134. [Google Scholar] [CrossRef]
- Richmond-Sinclair, N.M.; Lee, E.; Cummings, M.C.; Williamson, R.; Muller, K.; Green, A.C.; Hayward, N.K.; Whiteman, D.C. Histologic and Epidemiologic Correlates of P-MAPK, Brn-2, pRb, P53, and P16 Immunostaining in Cutaneous Melanomas. Melanoma Res. 2008, 18, 336–345. [Google Scholar] [CrossRef] [PubMed]
- Fauri, J.A.C.; Ricardi, F.; Diehl, E.S.; Cartell, A.; Furian, R.; Bakos, L.; Edelweiss, M.I. P16 Protein Expression in Primary Cutaneous Melanoma with Positive and Negative Lymph Node Biopsies: Particular Aspects of a Study Performed at the Hospital de Clinicas de Porto Alegre, Brazil. Can. J. Plast. Surg. 2011, 19, 77–81. [Google Scholar] [CrossRef] [PubMed]
- Fearfield, L.A.; Larkin, J.M.G.; Rowe, A.; A’Hern, R.; Fisher, C.; Francis, N.; MacKie, R.; McCann, B.; Gore, M.E.; Bunker, C.B. Expression of P16, CD95, CD95L and Helix Pomatia Agglutinin in Relapsing and Nonrelapsing Very Thin Melanoma. Br. J. Dermatol. 2007, 156, 440–447. [Google Scholar] [CrossRef] [PubMed]
- Cobankent Aytekin, E.; Unal, B.; Bassorgun, C.I.; Ozkan, O. Clinicopathologic Evaluation of CD80, CD86, and PD-L1 Expressions with Immunohistochemical Methods in Malignant Melanoma Patients. Turk. Patoloji Derg. 2024, 40, 16–26. [Google Scholar] [CrossRef]
- Kraft, S.; Fernandez-Figueras, M.-T.; Richarz, N.A.; Flaherty, K.T.; Hoang, M.P. PDL1 Expression in Desmoplastic Melanoma Is Associated with Tumor Aggressiveness and Progression. J. Am. Acad. Dermatol. 2017, 77, 534–542. [Google Scholar] [CrossRef]
- Frydenlund, N.; Leone, D.; Yang, S.; Hoang, M.P.; Deng, A.; Hernandez-Perez, M.; Singh, R.; Biswas, A.; Yaar, R.; Mahalingam, M. Tumoral PD-L1 Expression in Desmoplastic Melanoma Is Associated with Depth of Invasion, Tumor-Infiltrating CD8 Cytotoxic Lymphocytes and the Mixed Cytomorphological Variant. Mod. Pathol. 2017, 30, 357–369. [Google Scholar] [CrossRef]
- Škuciová, V.; Drahošová, S.; Výbohová, D.; Cígerová, V.; Adamkov, M. The Relationships between PD-L1 Expression, CD8+ TILs and Clinico-Histomorphological Parameters in Malignant Melanomas. Pathol. Res. Pract. 2020, 216, 153071. [Google Scholar] [CrossRef]
- Kaunitz, G.J.; Cottrell, T.R.; Lilo, M.; Muthappan, V.; Esandrio, J.; Berry, S.; Xu, H.; Ogurtsova, A.; Anders, R.A.; Fischer, A.H.; et al. Melanoma Subtypes Demonstrate Distinct PD-L1 Expression Profiles. Lab. Investig. J. Tech. Methods Pathol. 2017, 97, 1063–1071. [Google Scholar] [CrossRef]
- Giavina-Bianchi, M.; Giavina-Bianchi, P.; Sotto, M.N.; Rodig, S.; Mihm, M.J.; Festa Neto, C.; Duncan, L.M.; Kalil, J. Nodular Primary Cutaneous Melanoma Is Associated with PD-L1 Expression. Eur. J. Dermatol. 2020, 30, 352–357. [Google Scholar] [CrossRef]
- Tarhini, A.A.; Zahoor, H.; Yearley, J.H.; Gibson, C.; Rahman, Z.; Dubner, R.; Rao, U.N.M.; Sander, C.; Kirkwood, J.M. Tumor Associated PD-L1 Expression Pattern in Microscopically Tumor Positive Sentinel Lymph Nodes in Patients with Melanoma. J. Transl. Med. 2015, 13, 319. [Google Scholar] [CrossRef]
- Pinczewski, J.; Obeng, R.C.; Slingluff, C.L.J.; Engelhard, V.H. Phospho-β-Catenin Expression in Primary and Metastatic Melanomas and in Tumor-Free Visceral Tissues, and Associations with Expression of PD-L1 and PD-L2. Pathol. Res. Pract. 2021, 224, 153527. [Google Scholar] [CrossRef] [PubMed]
- Santos-Briz, A.; Cañueto, J.; Carmen, S.D.; Barrios, B.; Yuste, M.; Bellido, L.; Ludeña, M.D.; Román, C. Value of PD-L1, PD-1, and CTLA-4 Expression in the Clinical Practice as Predictors of Response to Nivolumab and Ipilimumab in Monotherapy in Patientswith Advanced Stage Melanoma. Am. J. Dermatopathol. 2021, 43, 423–428. [Google Scholar] [CrossRef] [PubMed]
- Cho, J.; Ahn, S.; Yoo, K.H.; Kim, J.H.; Choi, S.-H.; Jang, K.-T.; Lee, J. Treatment Outcome of PD-1 Immune Checkpoint Inhibitor in Asian Metastatic Melanoma Patients: Correlative Analysis with PD-L1 Immunohistochemistry. Invest. New Drugs 2016, 34, 677–684. [Google Scholar] [CrossRef] [PubMed]
- Daud, A.I.; Wolchok, J.D.; Robert, C.; Hwu, W.-J.; Weber, J.S.; Ribas, A.; Hodi, F.S.; Joshua, A.M.; Kefford, R.; Hersey, P.; et al. Programmed Death-Ligand 1 Expression and Response to the Anti–Programmed Death 1 Antibody Pembrolizumab in Melanoma. J. Clin. Oncol. 2016, 34, 4102–4109. [Google Scholar] [CrossRef]
- Garbe, C.; Amaral, T.; Peris, K.; Hauschild, A.; Arenberger, P.; Basset-Seguin, N.; Bastholt, L.; Bataille, V.; Del Marmol, V.; Dréno, B.; et al. European Consensus-Based Interdisciplinary Guideline for Melanoma. Part 1: Diagnostics: Update 2022. Eur. J. Cancer 2022, 170, 236–255. [Google Scholar] [CrossRef]
- Prieto, V.G.; Shea, C.R. Use of Immunohistochemistry in Melanocytic Lesions. J. Cutan. Pathol. 2008, 35 (Suppl. S2), 1–10. [Google Scholar] [CrossRef]
- Cazzato, G.; Cascardi, E.; Colagrande, A.; Belsito, V.; Lospalluti, L.; Foti, C.; Arezzo, F.; Dellino, M.; Casatta, N.; Lupo, C.; et al. PRAME Immunoexpression in 275 Cutaneous Melanocytic Lesions: A Double Institutional Experience. Diagnostics 2022, 12, 2197. [Google Scholar] [CrossRef]
- Boursault, L.; Haddad, V.; Vergier, B.; Cappellen, D.; Verdon, S.; Bellocq, J.-P.; Jouary, T.; Merlio, J.-P. Tumor Homogeneity between Primary and Metastatic Sites for BRAF Status in Metastatic Melanoma Determined by Immunohistochemical and Molecular Testing. PLoS ONE 2013, 8, e70826. [Google Scholar] [CrossRef]
- Page, M.J.; McKenzie, J.E.; Bossuyt, P.M.; Boutron, I.; Hoffmann, T.C.; Mulrow, C.D.; Shamseer, L.; Tetzlaff, J.M.; Akl, E.A.; Brennan, S.E.; et al. The PRISMA 2020 statement: An updated guideline for reporting systematic reviews. BMJ 2021, 372, n71. [Google Scholar] [CrossRef]





| IHC Marker | Main Findings |
|---|---|
| S100 | Positive in most melanoma cases and histologic subtypes. Superior to H&E, Melan-A, and HMB-45 in measuring Breslow thickness. |
| SOX10 | Highly sensitive and specific to the diagnosis of desmoplastic melanoma. Superior to H&E in measuring the Breslow thickness. Superior to H&E, S100, HMB-45, and Melan-A in evaluating lymph node micrometastases. |
| HMB45 | Diffuse staining with a loss of gradient in melanomas, compared with melanocytic nevi. Differentiates between lymph node metastases and nodal nevi. |
| Melan-A | Superior to H&E in measuring the Breslow thickness. Suitable for the assessment of the surgical margin status in Mohs surgery; great concordance with paraffin-fixed tissue examination. |
| Ki67 | A prognostic marker associated with the presence of ulceration, higher mitotic rates, the presence of vascular invasion, tumour necrosis, the Clark level, reduced overall survival, reduced recurrence-free survival. |
| MITF | Higher sensitivity and specificity than HMB-45 in diagnosing desmoplastic melanoma. A good prognosis marker. |
| PRAME | Suitable for differential diagnosis between benign and malignant melanocytic lesions. |
| BRAF | A prognostic marker associated with the tumour thickness, presence of ulceration, reduced overall survival, and non-brisk inflammation. Predicts the tumour response to BRAF inhibitors. |
| P16 | A loss of expression is associated with a worse prognosis, reduced overall survival, vascular invasion, lymph node metastases, the recurrence of melanoma, metastases, and reduced inflammatory infiltrates in the tumoral microenvironment. |
| PD-L1 | A prognosis marker associated witha shorter 5-year survival rate, the Clark level, the presence of lymph node metastases, the mitotic rate, the Ki67 index, metastases, the presence of ulceration, and perineural invasion. Predicts thetumour response to immune checkpoint inhibitors. |
Disclaimer/Publisher’s Note: The statements, opinions and data contained in all publications are solely those of the individual author(s) and contributor(s) and not of MDPI and/or the editor(s). MDPI and/or the editor(s) disclaim responsibility for any injury to people or property resulting from any ideas, methods, instructions or products referred to in the content. |
© 2025 by the authors. Licensee MDPI, Basel, Switzerland. This article is an open access article distributed under the terms and conditions of the Creative Commons Attribution (CC BY) license (https://creativecommons.org/licenses/by/4.0/).
Share and Cite
Voiculescu, V.-M.; Popescu, A.-I.; Costache, M. Immunohistochemistry for Skin Cancers: New Insights into Diagnosis and Treatment of Melanoma. Cancers 2025, 17, 1769. https://doi.org/10.3390/cancers17111769
Voiculescu V-M, Popescu A-I, Costache M. Immunohistochemistry for Skin Cancers: New Insights into Diagnosis and Treatment of Melanoma. Cancers. 2025; 17(11):1769. https://doi.org/10.3390/cancers17111769
Chicago/Turabian StyleVoiculescu, Vlad-Mihai, Alina-Ioana Popescu, and Mariana Costache. 2025. "Immunohistochemistry for Skin Cancers: New Insights into Diagnosis and Treatment of Melanoma" Cancers 17, no. 11: 1769. https://doi.org/10.3390/cancers17111769
APA StyleVoiculescu, V.-M., Popescu, A.-I., & Costache, M. (2025). Immunohistochemistry for Skin Cancers: New Insights into Diagnosis and Treatment of Melanoma. Cancers, 17(11), 1769. https://doi.org/10.3390/cancers17111769

