Gastric Intestinal Metaplasia in Children and Adolescents Is Reversible upon Reaching Adulthood—Results from a Long-Term Cohort Study
Simple Summary
Abstract
1. Introduction
2. Materials and Methods
2.1. Identification of the Patients
2.2. Recruitment of the Patients
2.3. Endoscopy
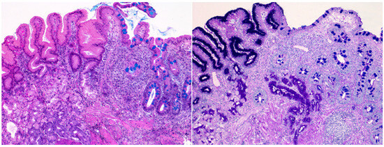
2.4. Histopathological Assessment
2.5. Statistical Analysis
3. Results
3.1. Patients Enrolment Process
3.2. Estimated Prevalence of Gastric Intestinal Metaplasia
3.3. Patient Characteristics
3.4. Endoscopic and Histopathological Findings
3.5. Helicobacter Pylori Infection
3.6. Other Risk Factors for Gastric Intestinal Metaplasia
4. Discussion
5. Conclusions
Author Contributions
Funding
Institutional Review Board Statement
Informed Consent Statement
Data Availability Statement
Conflicts of Interest
References
- Dixon, M.F.; Genta, R.M.; Yardley, J.H.; Correa, P. Classification and grading of gastritis. The updated Sydney System. International Workshop on the Histopathology of Gastritis, Houston 1994. Am. J. Surg. Pathol. 1996, 20, 1161–1181. [Google Scholar] [CrossRef] [PubMed]
- Correa, P. Human gastric carcinogenesis: A multistep and multifactorial process-First American Cancer Society Award Lecture on Cancer Epidemiology and Prevention. Cancer Res. 1992, 52, 6735–6740. [Google Scholar] [PubMed]
- Parsonnet, J.; Friedman, G.D.; Vandersteen, D.P.; Chang, Y.; Vogelman, J.H.; Orentreich, N.; Sibley, R.K. Helicobacter pylori infection and the risk of gastric carcinoma. N. Engl. J. Med. 1991, 325, 1127–1131. [Google Scholar] [CrossRef]
- Eslick, G.D.; Lim, L.L.; Byles, J.E.; Xia, H.H.; Talley, N.J. Association of Helicobacter pylori infection with gastric carcinoma: A meta-analysis. Am. J. Gastroenterol. 1999, 94, 2373–2379. [Google Scholar] [CrossRef]
- Shirani, M.; Pakzad, R.; Haddadi, M.H.; Akrami, S.; Asadi, A.; Kazemian, H.; Moradi, M.; Kaviar, V.H.; Zomorodi, A.R.; Khoshnoon, S.; et al. The global prevalence of gastric cancer in Helicobacter pylori-infected individuals: A systematic review and meta-analysis. BMC Infect. Dis. 2023, 23, 543. [Google Scholar] [CrossRef]
- Plummer, M.; Franceschi, S.; Vignat, J.; Forman, D.; de Martel, C. Global burden of gastric cancer attributable to Helicobacter pylori. Int. J. Cancer 2015, 136, 487–490. [Google Scholar] [CrossRef]
- Chen, H.N.; Wang, Z.; Li, X.; Zhou, Z.G. Helicobacter pylori eradication cannot reduce the risk of gastric cancer in patients with intestinal metaplasia and dysplasia: Evidence from a meta-analysis. Gastric Cancer 2016, 19, 166–175. [Google Scholar] [CrossRef]
- Rokkas, T.; Rokka, A.; Portincasa, P. A systematic review and meta-analysis of the role of Helicobacter pylori eradication in preventing gastric cancer. Ann. Gastroenterol. 2017, 30, 414–423. [Google Scholar] [CrossRef]
- Wong, B.C.Y.; Lam, S.K.; Wong, W.M.; Chen, J.S.; Zheng, T.T.; Feng, R.E.; Lai, K.C.; Hu, W.H.C.; Yuen, S.T.; Leung, S.Y.; et al. Helicobacter pylori eradication to prevent gastric cancer in a high-risk region of China: A randomized controlled trial. JAMA 2004, 291, 187–194. [Google Scholar] [CrossRef] [PubMed]
- Brown, L.M.; Devesa, S.S. Epidemiologic trends in esophageal and gastric cancer in the United States. Surg. Oncol. Clin. N. Am. 2002, 11, 235–256. [Google Scholar] [CrossRef]
- Derakhshan, M.H.; Liptrot, S.; Paul, J.; Brown, I.L.; Morrison, D.; McColl, K.E.L. Oesophageal and gastric intestinal-type adenocarcinomas show the same male predominance due to a 17 year delayed development in females. Gut 2009, 58, 16–23. [Google Scholar] [CrossRef]
- Kneller, R.W.; You, W.C.; Chang, Y.S.; Liu, W.D.; Zhang, L.; Zhao, L.; Xu, G.W.; Fraumeni, J.F.; Blot, W.J. Cigarette smoking and other risk factors for progression of precancerous stomach lesions. J. Natl. Cancer Inst. 1992, 84, 1261–1266. [Google Scholar] [CrossRef] [PubMed]
- Tatsugami, M.; Ito, M.; Tanaka, S.; Yoshihara, M.; Matsui, H.; Haruma, K.; Chayama, K. Bile acid promotes intestinal metaplasia and gastric carcinogenesis. Cancer Epidemiol. Biomark. Prev. 2012, 21, 2101–2107. [Google Scholar] [CrossRef]
- Lee, S.A.; Kang, D.; Shim, K.N.; Choe, J.W.; Hong, W.S.; Choi, H. Effect of diet and Helicobacter pylori infection to the risk of early gastric cancer. J. Epidemiol. 2003, 13, 162–168. [Google Scholar] [CrossRef] [PubMed]
- Leung, W.K.; Ng, E.K.W.; Chan, W.Y.; Auyeung, A.C.M.; Chan, K.F.; Lam, C.C.H.; Chan, F.K.L.; Lau, J.Y.W.; Sung, J.J.Y. Risk factors associated with the development of intestinal metaplasia in first-degree relatives of gastric cancer patients. Cancer Epidemiol. Biomark. Prev. 2005, 14, 2982–2986. [Google Scholar] [CrossRef] [PubMed]
- Kim, G.H.; Liang, P.S.; Bang, S.J.; Hwang, J.H. Screening and surveillance for gastric cancer in the United States: Is it needed? Gastrointest. Endosc. 2016, 84, 18–28. [Google Scholar] [CrossRef] [PubMed]
- Yoon, K.; Kim, N. Reversibility of Atrophic Gastritis and Intestinal Metaplasia by Eradication of Helicobacter pylori. Korean J. Gastroenterol. 2018, 72, 104–115. [Google Scholar] [CrossRef]
- Hwang, Y.J.; Kim, N.; Lee, H.S.; Lee, J.B.; Choi, Y.J.; Yoon, H.; Shin, C.M.; Park, Y.S.; Lee, D.H. Reversibility of atrophic gastritis and intestinal metaplasia after Helicobacter pylori eradication—A prospective study for up to 10 years. Aliment. Pharmacol. Ther. 2018, 47, 380–390. [Google Scholar] [CrossRef] [PubMed]
- Kara, N.; Urganci, N.; Kalyoncu, D.; Yilmaz, B. The association between Helicobacter pylori gastritis and lymphoid aggregates, lymphoid follicles and intestinal metaplasia in gastric mucosa of children. J. Paediatr. Child Health 2014, 50, 605–609. [Google Scholar] [CrossRef]
- Mansuri, I.; Goldsmith, J.D.; Liu, E.; Bonilla, S. Gastric Intestinal Metaplasia in Children: Natural History and Clinicopathological Correlation. J. Pediatr. Gastroenterol. Nutr. 2023, 77, 332–338. [Google Scholar] [CrossRef] [PubMed]
- Li, G.; Kelly, D.R.; Mroczek-Musulman, E.; Wang, K.; Council, L.; Zhao, L. Gastric Antral Mucosal Changes in Children with Intestinal Metaplasia. Pediatr. Dev. Pathol. 2022, 25, 511–517. [Google Scholar] [CrossRef] [PubMed]
- Weinberg, A.G. The significance of small intestinal epithelium in gastric antral biopsies in children. Pediatr. Dev. Pathol. 2012, 15, 101–106. [Google Scholar] [CrossRef] [PubMed]
- Kalach, N.; Misak, Z.; Bontems, P.; Kori, M.; Homan, M.; Cabral, J.; Casswall, T.; Chong, S.; Cilleruelo, M.L.; Faraci, S.; et al. Systematic Review and Meta-analysis of Histological Gastric Biopsy Aspects According to the Updated Sydney System in Children. J. Pediatr. Gastroenterol. Nutr. 2022, 74, 13–19. [Google Scholar] [CrossRef]
- Dixon, M.F.; Genta, R.M.; Yardley, J.H.; Correa, P. Histological classification of gastritis and Helicobacter pylori infection: An agreement at last? Int. Workshop Histopathol. Gastritis Helicobacter 1997, 2, 17–24. [Google Scholar]
- Jones, N.L.; Koletzko, S.; Goodman, K.; Bontems, P.; Cadranel, S.; Casswall, T.; Czinn, S.; Gold, B.D.; Guarner, J.; Elitsur, Y.; et al. Joint ESPGHAN/NASPGHAN Guidelines for the Management of Helicobacter pylori in Children and Adolescents (Update 2016). J. Pediatr. Gastroenterol. Nutr. 2017, 64, 991–1003. [Google Scholar] [CrossRef] [PubMed]
- Elitsur, Y.; Triest, W.E. Is duodenal gastric metaplasia a consequence of Helicobacter pylori infection in children? Am. J. Gastroenterol. 1997, 92, 2216–2219. [Google Scholar] [PubMed]
- Pham, C.; Nguyen Wenker, T.; El-Serag, H.B. Epidemiology of Gastric Intestinal Metaplasia and Gastric Cancer. Foregut 2023, 3, 80–88. [Google Scholar] [CrossRef]
- Altayar, O.; Davitkov, P.; Shah, S.C.; Gawron, A.J.; Morgan, D.R.; Turner, K.; Mustafa, R.A. AGA Technical Review on Gastric Intestinal Metaplasia-Epidemiology and Risk Factors. Gastroenterology 2020, 158, 732–744. [Google Scholar] [CrossRef] [PubMed]
- Tin, J.; Lee, H.; Tin, K. Risk Factors for IM Development and Progression: A Systematic Review. Jpn. J. Gastroenterol. Hepatol. 2024, 10, 1–14. [Google Scholar]
- Shabib, S.M.; Cutz, E.; Drumm, B.; Sherman, P.M. Association of gastric metaplasia and duodenitis with Helicobacter pylori infection in children. Am J Clin Pathol. 1994, 102, 188–191. [Google Scholar] [CrossRef]
- Kato, S.; Nakajima, S.; Nishino, Y.; Ozawa, K.; Minoura, T.; Konno, M.; Maisawa, S.; Toyoda, S.; Yoshimura, N.; Vaid, A.; et al. Association Between Gastric Atrophy and Helicobacter pylori Infection in Japanese Children: A Retrospective Multicenter Study. Dig. Dis. Sci. 2006, 51, 99–104. [Google Scholar] [CrossRef] [PubMed]
- Carvalho, M.A.; Machado, N.C.; Ortolan, E.V.P.; Rodrigues, M.A.M. Upper gastrointestinal histopathological findings in children and adolescents with nonulcer dyspepsia with Helicobacter pylori infection. J. Pediatr. Gastroenterol. Nutr. 2012, 55, 523–529. [Google Scholar] [CrossRef]
- Homan, M.; Luzar, B.; Kocjan, B.J.; Orel, R.; Mocilnik, T.; Shrestha, M.; Kveder, M.; Poljak, M. Prevalence and clinical relevance of cagA, vacA, and iceA genotypes of Helicobacter pylori isolated from Slovenian children. J. Pediatr. Gastroenterol. Nutr. 2009, 49, 289–296. [Google Scholar] [CrossRef] [PubMed]
- Oliveira, C.; Pinheiro, H.; Figueiredo, J.; Seruca, R.; Carneiro, F. Familial gastric cancer: Genetic susceptibility, pathology, and implications for management. Lancet Oncol. 2015, 16, 60–70. [Google Scholar] [CrossRef]
- Yaghoobi, M.; Bijarchi, R.; Narod, S.A. Family history and the risk of gastric cancer. Br. J. Cancer 2010, 102, 237–242. [Google Scholar] [CrossRef]
- Shah, S.C.; McKinley, M.; Gupta, S.; Peek, R.M.; Martinez, M.E.; Gomez, S.L. Population-based Analysis of Differences in Gastric Cancer Incidence Among Races and Ethnicities in Individuals Age 50 Years and Older. Gastroenterology 2020, 159, 1705–1714. [Google Scholar] [CrossRef]
- Abengozar, R.; Sharma, A.; Sharma, R. Gastric cancer: Lessons learned from high-incidence geographic regions. J. Gastrointest. Oncol. 2021, 12, S350–S360. [Google Scholar] [CrossRef] [PubMed]
- Pimentel-Nunes, P.; Libânio, D.; Marcos-Pinto, R.; Areia, M.; Leja, M.; Esposito, G.; Garrido, M.; Kikuste, I.; Megraud, F.; Matysiak-Budnik, T.; et al. Management of epithelial precancerous conditions and lesions in the stomach (MAPS II): European Society of Gastrointestinal Endoscopy (ESGE), European Helicobacter and Microbiota Study Group (EHMSG), European Society of Pathology (ESP), and Sociedade Portuguesa de Endoscopia Digestiva (SPED) guideline update 2019. Endoscopy 2019, 51, 365–388. [Google Scholar] [PubMed]



| Gastric Intestinal Metaplasia (GIM) —Evolution From Childhood Into Adulthood | ||||
|---|---|---|---|---|
| Total Cohort (n = 50) | Persistent GIM (n = 9) | Resolved GIM (n = 41) | p-Value * | |
| H. pylori infection | ||||
| Never | 37/50 (74%) | 8/9 (88.9%) | 29/41 (70.7%) | 0.41 |
| Childhood only | 13/50 (26%) | 1/9 (11.1%) | 12/41 (29.3%) | 0.41 |
| Adulthood only | 2/50 (4%) | 0/9 (0%) | 2/41 (4.9%) | 1.00 |
| Childhood and adulthood | 4/50 (8%) | 0/9 (0%) | 4/41 (9.9%) | 1.00 |
| Presence of Paediatric Gastric Intestinal Metaplasia After Reaching Adulthood | ||||
|---|---|---|---|---|
| No 41/49 * (83.7%) | Yes 8/49 * (16.3%) | |||
| Risk Factors | ||||
| Family history of gastric cancer | 4 (9.8%) | 0 | ||
| Tobacco smoking | 5 (12.2%) | 1 (12.5%) | ||
| Alcohol consumption | 11 (26.8%) | 3 (37.5%) | ||
| Use of antibiotics for any indication | 16 (39%) | 2 (25%) | ||
| Multiple H. pylori eradication | 1 (2.4%) | 0 | ||
| Long term treatment with PPI | 12 (29.3%) | 3 (37.5%) | ||
| At least one additional EGD after the initial | 16 (39%) | 4 (50%) | ||
| Heavily salted diet | 3 (7.3%) | 0 | ||
| Strongly spiced food intake | 1 (2.4%) | 0 | ||
| Daily consumption of industrially processed food | 3 (7.3%) | 0 | ||
Disclaimer/Publisher’s Note: The statements, opinions and data contained in all publications are solely those of the individual author(s) and contributor(s) and not of MDPI and/or the editor(s). MDPI and/or the editor(s) disclaim responsibility for any injury to people or property resulting from any ideas, methods, instructions or products referred to in the content. |
© 2025 by the authors. Licensee MDPI, Basel, Switzerland. This article is an open access article distributed under the terms and conditions of the Creative Commons Attribution (CC BY) license (https://creativecommons.org/licenses/by/4.0/).
Share and Cite
Drnovšek, J.; Zidar, N.; Jeruc, J.; Šmid, L.M.; Vidmar, G.; Štabuc, B.; Homan, M. Gastric Intestinal Metaplasia in Children and Adolescents Is Reversible upon Reaching Adulthood—Results from a Long-Term Cohort Study. Cancers 2025, 17, 128. https://doi.org/10.3390/cancers17010128
Drnovšek J, Zidar N, Jeruc J, Šmid LM, Vidmar G, Štabuc B, Homan M. Gastric Intestinal Metaplasia in Children and Adolescents Is Reversible upon Reaching Adulthood—Results from a Long-Term Cohort Study. Cancers. 2025; 17(1):128. https://doi.org/10.3390/cancers17010128
Chicago/Turabian StyleDrnovšek, Jan, Nina Zidar, Jera Jeruc, Lojze M. Šmid, Gaj Vidmar, Borut Štabuc, and Matjaž Homan. 2025. "Gastric Intestinal Metaplasia in Children and Adolescents Is Reversible upon Reaching Adulthood—Results from a Long-Term Cohort Study" Cancers 17, no. 1: 128. https://doi.org/10.3390/cancers17010128
APA StyleDrnovšek, J., Zidar, N., Jeruc, J., Šmid, L. M., Vidmar, G., Štabuc, B., & Homan, M. (2025). Gastric Intestinal Metaplasia in Children and Adolescents Is Reversible upon Reaching Adulthood—Results from a Long-Term Cohort Study. Cancers, 17(1), 128. https://doi.org/10.3390/cancers17010128

