Protein Tyrosine Kinase 7 (PTK7) in Breast Cancer: A Retrospective Analysis of Tumour Expression and Association with Clinical Outcome
Abstract
Simple Summary
Abstract
1. Introduction
2. Methods
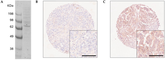
2.1. Western Blotting
2.2. Patient Cohort and Immunohistochemistry
2.3. Statistical Analyses
2.4. METABRIC Cohort
2.5. TCGA Breast Cancer Cohort
3. Results
3.1. PTK7 Protein Expression in Invasive Breast Cancer
3.2. Associations between PTK7 Protein Expression and Clinicopathological Criteria
| PTK7 Expression | ||||
|---|---|---|---|---|
| Low | High | p Value | ||
| Tumour size | ||||
| <2CM | 445 (39.2%) | 268 (23.6%) | 0.873 | |
| ≥2CM | 262 (23.1%) | 161 (14.2%) | ||
| Grade | ||||
| 1 | 122 (10.7%) | 70 (6.2%) | 0.044 | |
| 2 | 335 (29.5%) | 176 (15.5%) | ||
| 3 | 250 (22.0%) | 183 (16.1%) | ||
| Tubules | ||||
| 1 | 58 (5.1%) | 35 (3.1%) | 0.549 | |
| 2 | 224 (19.7%) | 123 (10.8%) | ||
| 3 | 425 (37.4%) | 271 (23.9%) | ||
| Pleomorphism | ||||
| 1 | 10 (0.9%) | 9 (0.8%) | 0.061 | |
| 2 | 254 (22.4%) | 126 (11.1%) | ||
| 3 | 443 (39.0%) | 294 (25.9%) | ||
| Mitosis | ||||
| 1 | 402 (35.4%) | 219 (19.3%) | 0.157 | |
| 2 | 134 (11.8%) | 90 (7.9%) | ||
| 3 | 171 (15.1%) | 120 (10.6%) | ||
| Lymphovascular invasion | ||||
| Absent | 506 (44.5%) | 306 (26.9%) | 0.930 | |
| Present | 201 (17.7%) | 123 (10.8%) | ||
| Lymph node status | ||||
| Negative | 414 (36.4%) | 274 (24.1%) | 0.076 | |
| Positive | 293 (25.8%) | 155 (13.6%) | ||
| NPI grouping | ||||
| GPG | 286 (25.2%) | 152 (13.4%) | 0.016 | |
| MPG | 300 (26.4%) | 219 (19.3%) | ||
| PPG | 121 (10.7%) | 58 (5.1%) | ||
| ER status | ||||
| Negative | 29 (2.6%) | 78 (6.9%) | <0.001 | |
| Positive | 678 (59.7%) | 351 (30.9%) | ||
| PgR status | ||||
| Negative | 117 (10.4%) | 212 (18.8%) | <0.001 | |
| Positive | 587 (52.1%) | 210 (18.7%) | ||
| HER2 status | ||||
| Negative | 666 (58.6%) | 368 (32.4%) | <0.001 | |
| Positive | 41 (3.6%) | 61 (5.4%) | ||
| Triple-negative status | ||||
| Non triple negative | 685 (61.1%) | 381 (34.0%) | <0.001 | |
| Triple negative | 17 1.5%) | 21 (3.5%) | ||
| Patient age | ||||
| <50 years | 214 (18.8%) | 123 (10.8%) | 0.568 | |
| ≥50 years | 493 (43.4%) | 306 (26.9%) | ||
3.3. Associations between PTK7 Protein Expression and Survival Outcome
3.4. Associations between PTK7 mRNA Expression and Clinicopathological Criteria
| PTK7 mRNA Expression | ||||
|---|---|---|---|---|
| Low | High | p Value | ||
| Tumour size | ||||
| <2CM | 427 (21.9%) | 425 (21.8%) | 0.774 | |
| ≥2CM | 559 (28.6%) | 542 (27.8%) | ||
| NPI grouping | ||||
| GPG | 405 (20.5%) | 275 (13.9%) | <0.001 | |
| MPG | 517 (26.1%) | 584 (29.5%) | ||
| PPG | 78 (3.9%) | 121 (6.1%) | ||
| ER status | ||||
| Negative | 104 (5.3%) | 370 (18.7%) | <0.001 | |
| Positive | 896 (46.3%) | 610 (30.8%) | ||
| PgR status | ||||
| Negative | 382 (19.3%) | 558 (28.2%) | <0.001 | |
| Positive | 618 (31.2%) | 422 (21.3%) | ||
| HER2 status | ||||
| Negative | 921 (46.5%) | 812 (41.0%) | <0.001 | |
| Positive | 79 (4.0%) | 168 (8.5%) | ||
| Lymph node status | ||||
| Negative | 501 (26.3%) | 492 (25.8%) | 0.938 | |
| Positive | 458 (24.1%) | 453 (23.8%) | ||
3.5. Associations between PTK7 Protein and mRNA Expression and the Survival of Patients with Receptor Negative/Positive Disease
3.6. Gene Enrichment Analysis
4. Discussion
5. Conclusions
Author Contributions
Funding
Institutional Review Board Statement
Informed Consent Statement
Data Availability Statement
Conflicts of Interest
References
- Lu, X.; Borchers, A.G.; Jolicoeur, C.; Rayburn, H.; Baker, J.C.; Tessier-Lavigne, M. PTK7/CCK-4 is a novel regulator of planar cell polarity in vertebrates. Nature 2004, 430, 93–98. [Google Scholar] [CrossRef] [PubMed]
- Lee, H.K.; Chauhan, S.K.; Kay, E.; Dana, R. Flt-1 regulates vascular endothelial cell migration via a protein tyrosine kinase-7-dependent pathway. Blood 2011, 117, 5762–5771. [Google Scholar] [CrossRef] [PubMed]
- Shnitsar, I.; Borchers, A. PTK7 recruits dsh to regulate neural crest migration. Development 2008, 135, 4015–4024. [Google Scholar] [CrossRef]
- Berger, H.; Wodarz, A.; Borchers, A. PTK7 Faces the Wnt in Development and Disease. Front. Cell Dev. Biol. 2017, 5, 31. [Google Scholar] [CrossRef]
- Cui, N.P.; Qiao, S.; Jiang, S.; Hu, J.L.; Wang, T.T.; Liu, W.W.; Qin, Y.; Wang, Y.N.; Zheng, L.S.; Zhang, J.C.; et al. Protein Tyrosine Kinase 7 Regulates EGFR/Akt Signaling Pathway and Correlates With Malignant Progression in Triple-Negative Breast Cancer. Front. Oncol. 2021, 11, 699889. [Google Scholar] [CrossRef]
- Shin, W.S.; Oh, S.W.; Park, H.N.; Kim, J.H.; Lee, S.T. Knockdown of PTK7 Reduces the Oncogenic Potential of Breast Cancer Cells by Impeding Receptor Tyrosine Kinase Signaling. Int. J. Mol. Sci. 2023, 24, 12173. [Google Scholar] [CrossRef]
- Damelin, M.; Bankovich, A.; Bernstein, J.; Lucas, J.; Chen, L.; Williams, S.; Park, A.; Aguilar, J.; Ernstoff, E.; Charati, M.; et al. A PTK7-targeted antibody-drug conjugate reduces tumor-initiating cells and induces sustained tumor regressions. Sci. Transl. Med. 2017, 9, aag2611. [Google Scholar] [CrossRef]
- Maitland, M.L.; Sachdev, J.C.; Sharma, M.R.; Moreno, V.; Boni, V.; Kummar, S.; Stringer-Reasor, E.; Lakhani, N.; Moreau, A.R.; Xuan, D.; et al. First-in-Human Study of PF-06647020 (Cofetuzumab Pelidotin), an Antibody-Drug Conjugate Targeting Protein Tyrosine Kinase 7, in Advanced Solid Tumors. Clin. Cancer Res. 2021, 27, 4511–4520. [Google Scholar] [CrossRef]
- Radovich, M.; Solzak, J.P.; Wang, C.J.; Hancock, B.A.; Badve, S.; Althouse, S.K.; Bray, S.M.; Storniolo, A.M.V.; Ballinger, T.J.; Schneider, B.P.; et al. Initial Phase I Safety Study of Gedatolisib plus Cofetuzumab Pelidotin for Patients with Metastatic Triple-Negative Breast Cancer. Clin. Cancer Res. 2022, 28, 3235–3241. [Google Scholar] [CrossRef]
- Jie, Y.; Liu, G.; Feng, L.; Li, Y.; Minyan, E.; Wu, L.; Li, Y.; Rong, G.; Li, Y.; Wei, H.; et al. PTK7-Targeting CAR T-Cells for the Treatment of Lung Cancer and Other Malignancies. Front. Immunol. 2021, 12, 665970. [Google Scholar] [CrossRef]
- Ataseven, B.; Angerer, R.; Kates, R.; Gunesch, A.; Knyazev, P.; Hogel, B.; Becker, C.; Eiermann, W.; Harbeck, N. PTK7 expression in triple-negative breast cancer. Anticancer Res. 2013, 33, 3759–3763. [Google Scholar] [PubMed]
- Gartner, S.; Gunesch, A.; Knyazeva, T.; Wolf, P.; Hogel, B.; Eiermann, W.; Ullrich, A.; Knyazev, P.; Ataseven, B. PTK 7 is a transforming gene and prognostic marker for breast cancer and nodal metastasis involvement. PLoS ONE 2014, 9, e84472. [Google Scholar] [CrossRef] [PubMed]
- Ataseven, B.; Gunesch, A.; Eiermann, W.; Kates, R.E.; Hogel, B.; Knyazev, P.; Ullrich, A.; Harbeck, N. PTK7 as a potential prognostic and predictive marker of response to adjuvant chemotherapy in breast cancer patients, and resistance to anthracycline drugs. OncoTargets Ther. 2014, 7, 1723–1731. [Google Scholar] [CrossRef] [PubMed]
- Sun, J.; Zhou, Q.; Tao, Y.; Chen, J.; Wang, J. Loss of expression of protein tyrosine kinase 7 in invasive ductal breast cancers. Int. J. Clin. Exp. Pathol. 2019, 12, 1052–1059. [Google Scholar] [PubMed]
- Kotecha, S.; Lebot, M.N.; Sukkarn, B.; Ball, G.; Moseley, P.M.; Chan, S.Y.; Green, A.R.; Rakha, E.; Ellis, I.O.; Martin, S.G.; et al. Dopamine and cAMP-regulated phosphoprotein 32 kDa (DARPP-32) and survival in breast cancer: A retrospective analysis of protein and mRNA expression. Sci. Rep. 2019, 9, 16987. [Google Scholar] [CrossRef]
- Saidy, B.; Kotecha, S.; Butler, A.; Rakha, E.A.; Ellis, I.O.; Green, A.R.; Martin, S.G.; Storr, S.J. PP1, PKA and DARPP-32 in breast cancer: A retrospective assessment of protein and mRNA expression. J. Cell. Mol. Med. 2021, 25, 5015–5024. [Google Scholar] [CrossRef]
- Saidy, B.; Vasan, R.; Durant, R.; Greener, M.R.; Immanuel, A.; Green, A.R.; Rakha, E.; Ellis, I.; Ball, G.; Martin, S.G.; et al. Unravelling transcriptomic complexity in breast cancer through modulation of DARPP-32 expression and signalling pathways. Sci. Rep. 2023, 13, 21163. [Google Scholar] [CrossRef]
- McShane, L.M.; Altman, D.G.; Sauerbrei, W.; Taube, S.E.; Gion, M.; Clark, G.M.; for the Statistics Subcommittee of the NCI-EORTC Working Group on Cancer Diagnostics. REporting recommendations for tumour MARKer prognostic studies (REMARK). Eur. J. Cancer 2005, 41, 1690–1696. [Google Scholar] [CrossRef]
- Camp, R.L.; Dolled-Filhart, M.; Rimm, D.L. X-tile: A new bio-informatics tool for biomarker assessment and outcome-based cut-point optimization. Clin. Cancer Res. 2004, 10, 7252–7259. [Google Scholar] [CrossRef]
- Curtis, C.; Shah, S.P.; Chin, S.F.; Turashvili, G.; Rueda, O.M.; Dunning, M.J.; Speed, D.; Lynch, A.G.; Samarajiwa, S.; Yuan, Y.; et al. The genomic and transcriptomic architecture of 2000 breast tumours reveals novel subgroups. Nature 2012, 486, 346–352. [Google Scholar] [CrossRef]
- Cerami, E.; Gao, J.; Dogrusoz, U.; Gross, B.E.; Sumer, S.O.; Aksoy, B.A.; Jacobsen, A.; Byrne, C.J.; Heuer, M.L.; Larsson, E.; et al. The cBio cancer genomics portal: An open platform for exploring multidimensional cancer genomics data. Cancer Discov. 2012, 2, 401–404. [Google Scholar] [CrossRef] [PubMed]
- de Bruijn, I.; Kundra, R.; Mastrogiacomo, B.; Tran, T.N.; Sikina, L.; Mazor, T.; Li, X.; Ochoa, A.; Zhao, G.; Lai, B.; et al. Analysis and Visualization of Longitudinal Genomic and Clinical Data from the AACR Project GENIE Biopharma Collaborative in cBioPortal. Cancer Res. 2023, 83, 3861–3867. [Google Scholar] [CrossRef] [PubMed]
- Gao, J.; Aksoy, B.A.; Dogrusoz, U.; Dresdner, G.; Gross, B.; Sumer, S.O.; Sun, Y.; Jacobsen, A.; Sinha, R.; Larsson, E.; et al. Integrative analysis of complex cancer genomics and clinical profiles using the cBioPortal. Sci. Signal. 2013, 6, pl1. [Google Scholar] [CrossRef]
- Liberzon, A.; Birger, C.; Thorvaldsdottir, H.; Ghandi, M.; Mesirov, J.P.; Tamayo, P. The Molecular Signatures Database (MSigDB) hallmark gene set collection. Cell Syst. 2015, 1, 417–425. [Google Scholar] [CrossRef]
- Liberzon, A.; Subramanian, A.; Pinchback, R.; Thorvaldsdottir, H.; Tamayo, P.; Mesirov, J.P. Molecular signatures database (MSigDB) 3.0. Bioinformatics 2011, 27, 1739–1740. [Google Scholar] [CrossRef]
- Subramanian, A.; Tamayo, P.; Mootha, V.K.; Mukherjee, S.; Ebert, B.L.; Gillette, M.A.; Paulovich, A.; Pomeroy, S.L.; Golub, T.R.; Lander, E.S.; et al. Gene set enrichment analysis: A knowledge-based approach for interpreting genome-wide expression profiles. Proc. Natl. Acad. Sci. USA 2005, 102, 15545–15550. [Google Scholar] [CrossRef]
- Hoadley, K.A.; Yau, C.; Hinoue, T.; Wolf, D.M.; Lazar, A.J.; Drill, E.; Shen, R.; Taylor, A.M.; Cherniack, A.D.; Thorsson, V.; et al. Cell-of-Origin Patterns Dominate the Molecular Classification of 10,000 Tumors from 33 Types of Cancer. Cell 2018, 173, 291–304.e6. [Google Scholar] [CrossRef]




Disclaimer/Publisher’s Note: The statements, opinions and data contained in all publications are solely those of the individual author(s) and contributor(s) and not of MDPI and/or the editor(s). MDPI and/or the editor(s) disclaim responsibility for any injury to people or property resulting from any ideas, methods, instructions or products referred to in the content. |
© 2024 by the authors. Licensee MDPI, Basel, Switzerland. This article is an open access article distributed under the terms and conditions of the Creative Commons Attribution (CC BY) license (https://creativecommons.org/licenses/by/4.0/).
Share and Cite
Lacey, K.; Greener, M.R.; Marak, T.R.; Rakha, E.A.; Green, A.R.; Ellis, I.O.; Martin, S.G.; Storr, S.J. Protein Tyrosine Kinase 7 (PTK7) in Breast Cancer: A Retrospective Analysis of Tumour Expression and Association with Clinical Outcome. Cancers 2024, 16, 3206. https://doi.org/10.3390/cancers16183206
Lacey K, Greener MR, Marak TR, Rakha EA, Green AR, Ellis IO, Martin SG, Storr SJ. Protein Tyrosine Kinase 7 (PTK7) in Breast Cancer: A Retrospective Analysis of Tumour Expression and Association with Clinical Outcome. Cancers. 2024; 16(18):3206. https://doi.org/10.3390/cancers16183206
Chicago/Turabian StyleLacey, Kate, Megan R. Greener, Tangkam R. Marak, Emad A. Rakha, Andrew R. Green, Ian O. Ellis, Stewart G. Martin, and Sarah J. Storr. 2024. "Protein Tyrosine Kinase 7 (PTK7) in Breast Cancer: A Retrospective Analysis of Tumour Expression and Association with Clinical Outcome" Cancers 16, no. 18: 3206. https://doi.org/10.3390/cancers16183206
APA StyleLacey, K., Greener, M. R., Marak, T. R., Rakha, E. A., Green, A. R., Ellis, I. O., Martin, S. G., & Storr, S. J. (2024). Protein Tyrosine Kinase 7 (PTK7) in Breast Cancer: A Retrospective Analysis of Tumour Expression and Association with Clinical Outcome. Cancers, 16(18), 3206. https://doi.org/10.3390/cancers16183206

