Prediction of Prognosis in Pancreatic Cancer According to Methionyl-tRNA Synthetase 1 Expression as Determined by Immunohistochemical Staining
Abstract
:Simple Summary
Abstract
1. Introduction
2. Materials and Methods
2.1. Study Design and Samples
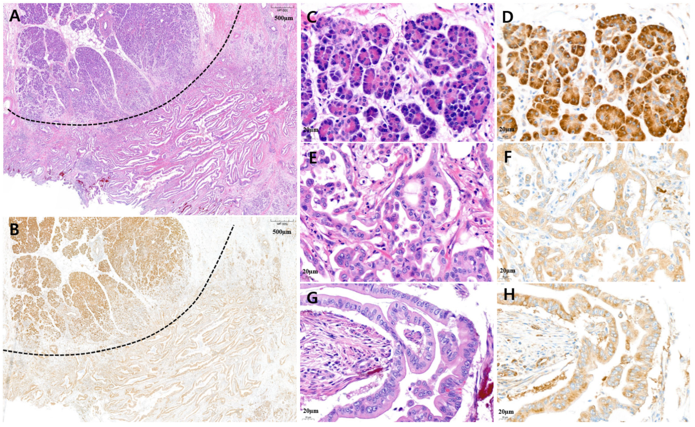
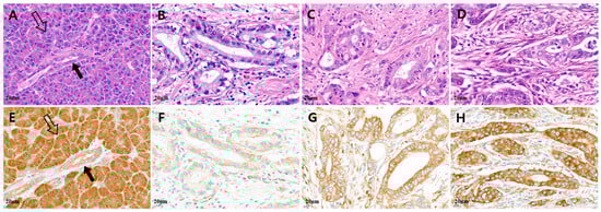
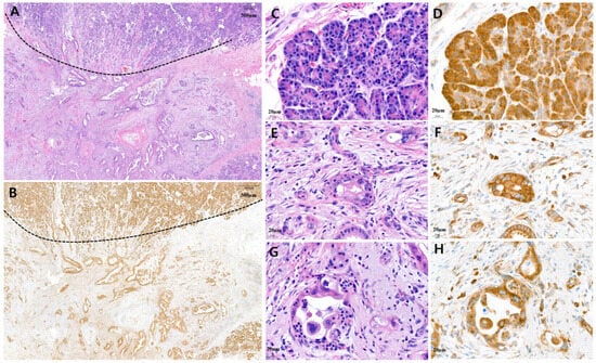
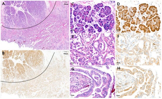
2.2. IHC Staining
2.3. Interpretation of IHC Staining
2.4. Statistical Analysis
3. Results
3.1. Patients’ Characteristics
3.2. Overall and Disease-Free Survival
3.3. Risk Factors for Overall and Recurrence-Free Survival
4. Discussion
5. Conclusions
Supplementary Materials
Author Contributions
Funding
Institutional Review Board Statement
Informed Consent Statement
Data Availability Statement
Acknowledgments
Conflicts of Interest
References
- Siegel, R.L.; Miller, K.D.; Fuchs, H.E.; Jemal, A. Cancer statistics, 2022. CA Cancer J. Clin. 2022, 72, 7–33. [Google Scholar] [CrossRef]
- Li, D.; Xie, K.; Wolff, R.; Abbruzzese, J.L. Pancreatic cancer. Lancet 2004, 363, 1049–1057. [Google Scholar] [CrossRef] [PubMed]
- Huang, L.; Jansen, L.; Balavarca, Y.; Molina-Montes, E.; Babaei, M.; van der Geest, L.; Lemmens, V.; Van Eycken, L.; De Schutter, H.; Johannesen, T.B.; et al. Resection of pancreatic cancer in europe and USA: An international large-scale study highlighting large variations. Gut 2019, 68, 130–139. [Google Scholar] [CrossRef] [PubMed]
- Yamaguchi, J.; Yokoyama, Y.; Fujii, T.; Yamada, S.; Takami, H.; Kawashima, H.; Ohno, E.; Ishikawa, T.; Maeda, O.; Ogawa, H.; et al. Results of a phase ii study on the use of neoadjuvant chemotherapy (folfirinox or gem/nab-ptx) for borderline-resectable pancreatic cancer (nupat-01). Ann. Surg. 2022, 275, 1043–1049. [Google Scholar] [CrossRef] [PubMed]
- Hess, V.; Glimelius, B.; Grawe, P.; Dietrich, D.; Bodoky, G.; Ruhstaller, T.; Bajetta, E.; Saletti, P.; Figer, A.; Scheithauer, W.; et al. Ca 19-9 tumour-marker response to chemotherapy in patients with advanced pancreatic cancer enrolled in a randomised controlled trial. Lancet Oncol. 2008, 9, 132–138. [Google Scholar] [CrossRef] [PubMed]
- Krishnan, S.; Rana, V.; Janjan, N.A.; Abbruzzese, J.L.; Gould, M.S.; Das, P.; Delclos, M.E.; Palla, S.; Guha, S.; Varadhachary, G.; et al. Prognostic factors in patients with unresectable locally advanced pancreatic adenocarcinoma treated with chemoradiation. Cancer 2006, 107, 2589–2596. [Google Scholar] [CrossRef] [PubMed]
- Stotz, M.; Gerger, A.; Eisner, F.; Szkandera, J.; Loibner, H.; Ress, A.L.; Kornprat, P.; Zoughbi, W.A.; Seggewies, F.S.; Lackner, C.; et al. Increased neutrophil-lymphocyte ratio is a poor prognostic factor in patients with primary operable and inoperable pancreatic cancer. Br. J. Cancer 2013, 109, 416–421. [Google Scholar] [CrossRef] [PubMed]
- Lage, H.; Dietel, M. Cloning of a human cdna encoding a protein with high homology to yeast methionyl-trna synthetase. Gene 1996, 178, 187–189. [Google Scholar] [CrossRef]
- Mirande, M. Aminoacyl-transfer rna-synthetase family from prokaryotes and eukaryotes-structural domains and their implications. Prog. Nucleic Acid Res. Mol. Biol. 1991, 40, 95–142. [Google Scholar]
- Kim, S.; You, S.; Hwang, D. Aminoacyl-trna synthetases and tumorigenesis: More than housekeeping. Nat. Rev. Cancer 2011, 11, 708–718. [Google Scholar] [CrossRef]
- Kushner, J.P.; Boll, D.; Quagliana, J.; Dickman, S. Elevated methionine-trna synthetase activity in human colon cancer. Proc. Soc. Exp. Biol. Med. 1976, 153, 273–276. [Google Scholar] [CrossRef] [PubMed]
- Marshall, L.; Kenneth, N.S.; White, R.J. Elevated trna(i)(met) synthesis can drive cell proliferation and oncogenic transformation. Cell 2008, 133, 78–89, Retracted in RETRACTED: Elevated tRNAi Met Synthesis Can Drive Cell Proliferation and Oncogenic Transformation. Cell 2012, 151, 455. [Google Scholar] [CrossRef] [PubMed]
- Nilbert, M.; Rydholm, A.; Mitelman, F.; Meltzer, P.S.; Mandahl, N. Characterization of the 12q13-15 amplicon in soft-tissue tumors. Cancer Genet. Cytogenet. 1995, 83, 32–36. [Google Scholar] [CrossRef] [PubMed]
- Palmer, J.L.; Masui, S.; Pritchard, S.; Kalousek, D.K.; Sorensen, P.H.B. Cytogenetic and molecular genetic analysis of a pediatric pleomorphic sarcoma reveals similarities to adult malignant fibrous histiocytoma. Cancer Genet. Cytogenet. 1997, 95, 141–147. [Google Scholar] [CrossRef]
- Reifenberger, G.; Ichimura, K.; Reifenberger, J.; Elkahloun, A.G.; Meltzer, P.S.; Collins, V.P. Refined mapping of 12q13-q15 amplicons in human malignant gliomas suggests cdk4/sas and mdm2 as independent amplification targets. Cancer Res. 1996, 56, 5141–5145. [Google Scholar]
- Kim, E.Y.; Jung, J.Y.; Kim, A.; Kim, K.; Chang, Y.S. Methionyl-trna synthetase overexpression is associated with poor clinical outcomes in non-small cell lung cancer. BMC Cancer 2017, 17, 467. [Google Scholar] [CrossRef]
- Jin, Q.; Liu, G.; Wang, B.; Li, S.B.; Ni, K.; Wang, C.Y.; Ren, J.Y.; Zhang, S.; Dai, Y.F. High methionyl-trna synthetase expression predicts poor prognosis in patients with breast cancer. J. Clin. Pathol. 2020, 73, 803–812. [Google Scholar] [CrossRef]
- Tannapfel, A.; Benicke, M.; Katalinic, A.; Uhlmann, D.; Kockerling, F.; Hauss, J.; Wittekind, C. Frequency of p16(ink4a) alterations and k-ras mutations in intrahepatic cholangiocarcinoma of the liver. Gut 2000, 47, 721–727. [Google Scholar] [CrossRef]
- Park, S.G.; Ewalt, K.L.; Kim, S. Functional expansion of aminoacyl-trna synthetases and their interacting factors: New perspectives on housekeepers. Trends Biochem. Sci. 2005, 30, 569–574. [Google Scholar] [CrossRef]
- Kwon, N.H.; Kang, T.; Lee, J.Y.; Kim, H.H.; Kim, H.R.; Hong, J.; Oh, Y.S.; Han, J.M.; Ku, M.J.; Lee, S.Y.; et al. Dual role of methionyl-trna synthetase in the regulation of translation and tumor suppressor activity of aminoacyl-trna synthetase-interacting multifunctional protein-3. Proc. Natl. Acad. Sci. USA 2011, 108, 19635–19640. [Google Scholar] [CrossRef]
- Jung, J.Y.; Kim, E.Y.; Kim, A.; Chang, J.; Kwon, N.H.; Moon, Y.; Kang, E.J.; Sung, J.S.; Shim, H.; Kim, S.; et al. Ratio of autoantibodies of tumor suppressor aimp2 and its oncogenic variant is associated with clinical outcome in lung cancer. J. Cancer 2017, 8, 1347–1354. [Google Scholar] [CrossRef] [PubMed]
- Jang, S.I.; Nahm, J.H.; Kwon, N.H.; Jeong, S.; Lee, T.H.; Cho, J.H.; Kwon, C.I.; Kim, D.U.; Kim, J.M.; Cho, H.D.; et al. Clinical utility of methionyl-trna synthetase 1 immunostaining in cytologic brushings of indeterminate biliary strictures: A multicenter prospective study. Gastrointest. Endosc. 2021, 94, 733–741. [Google Scholar] [CrossRef] [PubMed]
- Lee, J.M.; Kim, T.; Kim, E.Y.; Kim, A.; Lee, D.K.; Kwon, N.H.; Kim, S.; Chang, Y.S. Methionyl-trna synthetase is a useful diagnostic marker for lymph node metastasis in non-small cell lung cancer. Yonsei Med. J. 2019, 60, 1005–1012. [Google Scholar] [CrossRef] [PubMed]
- Lee, K.; Oh, M.; Lee, K.S.; Cha, Y.J.; Chang, Y.S. Is methionyl-trna synthetase applicable as a diagnostic marker for lung cancer in bronchial ultrasound-guided brushing cells? Diagnostics 2021, 11, 1830. [Google Scholar] [CrossRef] [PubMed]
- Lin, J.; Yin, M.; Liu, L.; Gao, J.; Yu, C.; Liu, X.; Xu, C.; Zhu, J. The development of a prediction model based on random survival forest for the postoperative prognosis of pancreatic cancer: A seer-based study. Cancers 2022, 14, 4667. [Google Scholar] [CrossRef]
- Einama, T.; Takihata, Y.; Aosasa, S.; Konno, F.; Kobayashi, K.; Yonamine, N.; Fujinuma, I.; Tsunenari, T.; Nakazawa, A.; Shinto, E.; et al. Prognosis of pancreatic cancer based on resectability: A single center experience. Cancers 2023, 15, 1101. [Google Scholar] [CrossRef]
- Suto, H.; Okano, K.; Oshima, M.; Ando, Y.; Matsukawa, H.; Takahashi, S.; Shibata, T.; Kamada, H.; Masaki, T.; Suzuki, Y. Prediction of local tumor control and recurrence-free survival in patients with pancreatic cancer undergoing curative resection after neoadjuvant chemoradiotherapy. J. Surg. Oncol. 2022, 126, 292–301. [Google Scholar] [CrossRef]
- Versteijne, E.; van Dam, J.L.; Suker, M.; Janssen, Q.P.; Groothuis, K.; Akkermans-Vogelaar, J.M.; Besselink, M.G.; Bonsing, B.A.; Buijsen, J.; Busch, O.R.; et al. Neoadjuvant chemoradiotherapy versus upfront surgery for resectable and borderline resectable pancreatic cancer: Long-term results of the dutch randomized preopanc trial. J. Clin. Oncol. 2022, 40, 1220–1230. [Google Scholar] [CrossRef]
- Facciorusso, A.; Mohan, B.P.; Crino, S.F.; Ofosu, A.; Ramai, D.; Lisotti, A.; Chandan, S.; Fusaroli, P. Contrast-enhanced harmonic endoscopic ultrasound-guided fine-needle aspiration versus standard fine-needle aspiration in pancreatic masses: A meta-analysis. Expert Rev. Gastroenterol. Hepatol. 2021, 15, 821–828. [Google Scholar] [CrossRef]
- Facciorusso, A.; Bajwa, H.S.; Menon, K.; Buccino, V.R.; Muscatiello, N. Comparison between 22g aspiration and 22g biopsy needles for eus-guided sampling of pancreatic lesions: A meta-analysis. Endosc. Ultrasound 2020, 9, 167. [Google Scholar] [CrossRef]




| Variables | Low MARS1 Expression Group (n = 55) | High MARS1 Expression Group (n = 82) | p-Value |
|---|---|---|---|
| Age, y (mean ± SD) | 65.8 ± 10.0 | 65.9 ± 10.3 | 0.543 |
| Sex, n (M:F) | 24:31 | 44:38 | 0.250 |
| Operation, n (%) | 0.311 | ||
| PPPD | 31 (56.4) | 54 (66.9) | |
| Distal pancreatectomy | 21 (38.2) | 22 (26.9) | |
| Total pancreatectomy | 3 (5.5) | 6 (7.3) | |
| Resection margin, n (%) | |||
| R0 resection | 39 (70.1) | 50 (61.0) | 0.112 |
| R1 resection | 16 (29.9) | 32 (39.0) | 0.191 |
| Tumor size, cm (mean ± SD) | 3.2 ± 1.2 | 3.1 ± 1.3 | 0.552 |
| TNM stage, n (%) | 0.757 | ||
| IA | 2 (3.6) | 3 (3.7) | |
| IB | 5 (9.1) | 7 (8.5) | |
| IIA | 7 (12.7) | 9 (11.0) | |
| IIB | 22 (40.1) | 42 (51.2) | |
| III | 19 (34.5) | 21 (25.6) | |
| Differentiation, n (%) | 0.078 | ||
| Well diff. | 3 (5.5) | 5 (6.1) | |
| Moderate diff. | 50 (90.9) | 63 (76.8) | |
| Poor diff. | 2 (3.6) | 14 (17.1) | |
| Lymph node metastasis, n (%) | 41 (74.5) | 62 (75.6) | 0.889 |
| Lymphovascular invasion, n (%) | 29 (52.7) | 40 (48.9) | 0.653 |
| Perineural invasion, n (%) | 45 (81.8) | 62 (75.6) | 0.393 |
| CA 19-9 at adm, IU/L (mean ± SD) | 639.4 ± 2161.8 | 368.5 ± 855.2 | 0.112 |
| CEA at adm, IU/L (mean ± SD) | 7.3 ± 19.4 | 4.3 ± 5.6 | 0.262 |
| Adjuvant chemotherapy, n (%) | 45 (81.8) | 48 (58.5) | 0.017 |
| Low MARS1 Expression Group | High MARS1 Expression Group | p-Value | |
|---|---|---|---|
| 2 yr Survival Rate (se) | 2 yr Survival Rate (95% CI) | ||
| Overall survival | 0.833 (0.067) | 0.662 (0.068) | 0.0345 |
| Disease-free survival | 0.779 (0.085) | 0.608 (0.072) | 0.0624 |
| Factors | Overall Survival | Disease-Free Survival | ||||||
|---|---|---|---|---|---|---|---|---|
| Univariate Analysis | Multivariate Analysis | Univariate Analysis | Multivariate Analysis | |||||
| HR (95% CI) | p-Value | HR (95% CI) | p-Value | HR (95% CI) | p-Value | HR (95% CI) | p-Value | |
| Gender (male vs. female) | 0.696 (0.492–0.985) | 0.565 | 0.933 (0.606–1.437) | 0.754 | ||||
| Age (y) (≤50 vs. >50) | 0.789 (0.435–1.433) | 0.789 | 0.774 (0.361–2.374) | 0.872 | ||||
| Tumor size (cm) (≤3 vs. >3 cm)) | 1.546 (1.088–2.196) | 0.015 | 2.042 (0.945–4.410) | 0.069 | 1.770 (1.150–2.722) | 0.009 | 1.776 (1.147–2.717) | 0.010 |
| Differentiation (WD, MD vs. PD) | 0.924 (0.328–2.601) | 0.251 | 1.422 (0.771–2.622) | 0.051 | ||||
| TNM stage (I vs. more II) | 2.052 (1.194–3.524) | 0.009 | 2.328 (0.993–5.457) | 0.052 | 1.393 (0.558–3.427) | 0.484 | ||
| Lymph node metastasis (positive/negative) | 2.310 (1.519–3.512) | <.001 | 8.019 (1.022–62.951) | 0.048 | 1.220 (0.715–2.084) | 0.466 | ||
| Lymph vascular invasion (positive/negative) | 1.438 (1.015–2.036) | 0.041 | 1.870 (0.821–4.258) | 0.136 | 1.534 (0.992–2.374) | 0.055 | ||
| Perineural invasion (positive/negative) | 2.105 (1.354–3.271) | 0.001 | 1.605 (0.639–4.031) | 0.314 | 1.440 (0.792–2.618) | 0.231 | ||
| R0 resection margin (positive/negative) | 1.221 (0.844–1.767) | 0.288 | 1.587 (0.986–2.555) | 0.057 | ||||
| Adjuvant chemotherapy (positive vs. negative) | 1.132 (0.802–1.596) | 0.481 | 1.346 (0.922–1.966) | 0.124 | ||||
| MARS1 expression (high vs. low) | 5.663 (2.016–15.906) | 0.001 | 2.761 (1.159–6.576) | 0.022 | 4.857 (1.597–14.773) | 0.005 | 2.774 (1.554–4.950) | 0.023 |
Disclaimer/Publisher’s Note: The statements, opinions and data contained in all publications are solely those of the individual author(s) and contributor(s) and not of MDPI and/or the editor(s). MDPI and/or the editor(s) disclaim responsibility for any injury to people or property resulting from any ideas, methods, instructions or products referred to in the content. |
© 2023 by the authors. Licensee MDPI, Basel, Switzerland. This article is an open access article distributed under the terms and conditions of the Creative Commons Attribution (CC BY) license (https://creativecommons.org/licenses/by/4.0/).
Share and Cite
Jang, S.I.; Nahm, J.H.; Lee, S.Y.; Cho, J.H.; Do, M.-Y.; Park, J.S.; Lee, H.S.; Yang, J.; Kong, J.; Jung, S.; et al. Prediction of Prognosis in Pancreatic Cancer According to Methionyl-tRNA Synthetase 1 Expression as Determined by Immunohistochemical Staining. Cancers 2023, 15, 5413. https://doi.org/10.3390/cancers15225413
Jang SI, Nahm JH, Lee SY, Cho JH, Do M-Y, Park JS, Lee HS, Yang J, Kong J, Jung S, et al. Prediction of Prognosis in Pancreatic Cancer According to Methionyl-tRNA Synthetase 1 Expression as Determined by Immunohistochemical Staining. Cancers. 2023; 15(22):5413. https://doi.org/10.3390/cancers15225413
Chicago/Turabian StyleJang, Sung Ill, Ji Hae Nahm, See Young Lee, Jae Hee Cho, Min-Young Do, Joon Seong Park, Hye Sun Lee, Juyeon Yang, Jiwon Kong, Seunghwan Jung, and et al. 2023. "Prediction of Prognosis in Pancreatic Cancer According to Methionyl-tRNA Synthetase 1 Expression as Determined by Immunohistochemical Staining" Cancers 15, no. 22: 5413. https://doi.org/10.3390/cancers15225413
APA StyleJang, S. I., Nahm, J. H., Lee, S. Y., Cho, J. H., Do, M.-Y., Park, J. S., Lee, H. S., Yang, J., Kong, J., Jung, S., Kim, S., & Lee, D. K. (2023). Prediction of Prognosis in Pancreatic Cancer According to Methionyl-tRNA Synthetase 1 Expression as Determined by Immunohistochemical Staining. Cancers, 15(22), 5413. https://doi.org/10.3390/cancers15225413

