Association between CD8+ Tumor Infiltrating Lymphocytes and the Clinical Outcome of Patients with Operable Breast Cancer Treated with Adjuvant Dose-Dense Chemotherapy—A 10 Year Follow-Up Report of a Hellenic Cooperative Oncology Group Observational Study
Abstract
Simple Summary
Abstract
1. Introduction
2. Results
2.1. Patient and Tumor Characteristics
2.2. Drug Exposure
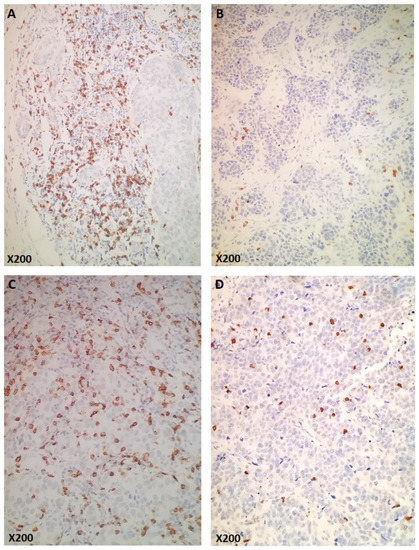
2.3. Immunohistochemical Findings
2.4. Efficacy
2.5. Safety Profile
3. Discussion
4. Materials and Methods
4.1. Patients
4.2. Treatment
4.3. Immunohistochemistry (IHC)
4.4. Evaluation of CD8+ Lymphocytes
4.5. Evaluation of TILs
4.6. Follow-Up
4.7. Statistical Analysis
5. Conclusions
Supplementary Materials
Author Contributions
Funding
Institutional Review Board Statement
Informed Consent Statement
Data Availability Statement
Acknowledgments
Conflicts of Interest
References
- Sung, H.; Ferlay, J.; Siegel, R.L.; Laversanne, M.; Soerjomataram, I.; Jemal, A.; Bray, F. Global Cancer Statistics 2020: GLOBOCAN Estimates of Incidence and Mortality Worldwide for 36 Cancers in 185 Countries. CA Cancer J. Clin. 2021, 71, 209–249. [Google Scholar] [CrossRef] [PubMed]
- Early Breast Cancer Trialists’ Collaborative Group. Effects of chemotherapy and hormonal therapy for early breast cancer on recurrence and 15-year survival: An overview of the randomised trials. Lancet 2005, 365, 1687–1717. [Google Scholar] [CrossRef]
- Schnitt, S.J. Classification and prognosis of invasive breast cancer: From morphology to molecular taxonomy. Mod. Pathol. Off. J. United States Can. Acad. Pathol. Inc. 2010, 23 (Suppl. 2), S60–S64. [Google Scholar] [CrossRef] [PubMed]
- Pagès, F.; Galon, J.; Dieu-Nosjean, M.C.; Tartour, E.; Sautès-Fridman, C.; Fridman, W.H. Immune infiltration in human tumors: A prognostic factor that should not be ignored. Oncogene 2010, 29, 1093–1102. [Google Scholar] [CrossRef]
- Katsuta, E.; Rashid, O.M.; Takabe, K. Clinical relevance of tumor microenvironment: Immune cells, vessels, and mouse models. Hum. Cell 2020, 33, 930–937. [Google Scholar] [CrossRef]
- Stovgaard, E.S.; Nielsen, D.; Hogdall, E.; Balslev, E. Triple negative breast cancer—Prognostic role of immune-related factors: A systematic review. Acta Oncol. 2018, 57, 74–82. [Google Scholar] [CrossRef] [PubMed]
- Al-Shibli, K.I.; Donnem, T.; Al-Saad, S.; Persson, M.; Bremnes, R.M.; Busund, L.T. Prognostic effect of epithelial and stromal lymphocyte infiltration in non-small cell lung cancer. Clin. Cancer Res. 2008, 14, 5220–5227. [Google Scholar] [CrossRef]
- Ancuta, E.; Ancuţa, C.; Zugun-Eloae, F.; Iordache, C.; Chirieac, R.; Carasevici, E. Predictive value of cellular immune response in cervical cancer. Rom. J. Morphol. Embryol. Rev. 2009, 50, 651–655. [Google Scholar]
- Loi, S.; Michiels, S.; Salgado, R.; Sirtaine, N.; Jose, V.; Fumagalli, D.; Kellokumpu-Lehtinen, P.L.; Bono, P.; Kataja, V.; Desmedt, C.; et al. Tumor infiltrating lymphocytes are prognostic in triple negative breast cancer and predictive for trastuzumab benefit in early breast cancer: Results from the FinHER trial. Ann. Oncol. 2014, 25, 1544–1550. [Google Scholar] [CrossRef]
- Adams, S.; Gray, R.J.; Demaria, S.; Goldstein, L.; Perez, E.A.; Shulman, L.N.; Martino, S.; Wang, M.; Jones, V.E.; Saphner, T.J.; et al. Prognostic value of tumor-infiltrating lymphocytes in triple-negative breast cancers from two phase III randomized adjuvant breast cancer trials: ECOG 2197 and ECOG 1199. J. Clin. Oncol. 2014, 32, 2959–2966. [Google Scholar] [CrossRef]
- Denkert, C.; Loibl, S.; Noske, A.; Roller, M.; Müller, B.M.; Komor, M.; Budczies, J.; Darb-Esfahani, S.; Kronenwett, R.; Hanusch, C.; et al. Tumor-associated lymphocytes as an independent predictor of response to neoadjuvant chemotherapy in breast cancer. J. Clin. Oncol. 2010, 28, 105–113. [Google Scholar] [CrossRef]
- Loi, S.; Sirtaine, N.; Piette, F.; Salgado, R.; Viale, G.; Van Eenoo, F.; Rouas, G.; Francis, P.; Crown, J.P.; Hitre, E.; et al. Prognostic and predictive value of tumor-infiltrating lymphocytes in a phase III randomized adjuvant breast cancer trial in node-positive breast cancer comparing the addition of docetaxel to doxorubicin with doxorubicin-based chemotherapy: BIG 02-98. J. Clin. Oncol. 2013, 31, 860–867. [Google Scholar] [CrossRef] [PubMed]
- Ali, H.R.; Provenzano, E.; Dawson, S.J.; Blows, F.M.; Liu, B.; Shah, M.; Earl, H.M.; Poole, C.J.; Hiller, L.; Dunn, J.A.; et al. Association between CD8+ T-cell infiltration and breast cancer survival in 12,439 patients. Ann. Oncol. 2014, 25, 1536–1543. [Google Scholar] [CrossRef]
- Mao, Y.; Qu, Q.; Chen, X.; Huang, O.; Wu, J.; Shen, K. The Prognostic Value of Tumor-Infiltrating Lymphocytes in Breast Cancer: A Systematic Review and Meta-Analysis. PLoS ONE 2016, 11, e0152500. [Google Scholar] [CrossRef] [PubMed]
- Liu, S.; Lachapelle, J.; Leung, S.; Gao, D.; Foulkes, W.D.; Nielsen, T.O. CD8+ lymphocyte infiltration is an independent favorable prognostic indicator in basal-like breast cancer. Breast Cancer Res. 2012, 14, R48. [Google Scholar] [CrossRef]
- Miyashita, M.; Sasano, H.; Tamaki, K.; Hirakawa, H.; Takahashi, Y.; Nakagawa, S.; Watanabe, G.; Tada, H.; Suzuki, A.; Ohuchi, N.; et al. Prognostic significance of tumor-infiltrating CD8+ and FOXP3+ lymphocytes in residual tumors and alterations in these parameters after neoadjuvant chemotherapy in triple-negative breast cancer: A retrospective multicenter study. Breast Cancer Res. 2015, 17, 124. [Google Scholar] [CrossRef] [PubMed]
- Chen, Z.; Chen, X.; Zhou, E.; Chen, G.; Qian, K.; Wu, X.; Miao, X.; Tang, Z. Intratumoral CD8⁺ cytotoxic lymphocyte is a favorable prognostic marker in node-negative breast cancer. PLoS ONE 2014, 9, e95475. [Google Scholar] [CrossRef]
- Losurdo, A.; De Sanctis, R.; Fernandes, B.; Torrisi, R.; Masci, G.; Agostinetto, E.; Gatzemeier, W.; Errico, V.; Testori, A.; Tinterri, C.; et al. Insights for the application of TILs and AR in the treatment of TNBC in routine clinical practice. Sci. Rep. 2020, 10, 20100. [Google Scholar] [CrossRef]
- Kashiwagi, S.; Asano, Y.; Goto, W.; Takada, K.; Takahashi, K.; Noda, S.; Takashima, T.; Onoda, N.; Tomita, S.; Ohsawa, M.; et al. Use of Tumor-infiltrating lymphocytes (TILs) to predict the treatment response to eribulin chemotherapy in breast cancer. PLoS ONE 2017, 12, e0170634. [Google Scholar] [CrossRef]
- Kristensen, N.P.; Heeke, C.; Tvingsholm, S.A.; Borch, A.; Draghi, A.; Crowther, M.D.; Carri, I.; Munk, K.K.; Holm, J.S.; Bjerregaard, A.M.; et al. Neoantigen-reactive CD8+ T cells affect clinical outcome of adoptive cell therapy with tumor-infiltrating lymphocytes in melanoma. J. Clin. Investig. 2022, 132. [Google Scholar] [CrossRef]
- Creelan, B.C.; Wang, C.; Teer, J.K.; Toloza, E.M.; Yao, J.; Kim, S.; Landin, A.M.; Mullinax, J.E.; Saller, J.J.; Saltos, A.N.; et al. Tumor-infiltrating lymphocyte treatment for anti-PD-1-resistant metastatic lung cancer: A phase 1 trial. Nat. Med. 2021, 27, 1410–1418. [Google Scholar] [CrossRef]
- Hendry, S.; Salgado, R.; Gevaert, T.; Russell, P.A.; John, T.; Thapa, B.; Christie, M.; van de Vijver, K.; Estrada, M.V.; Gonzalez-Ericsson, P.I.; et al. Assessing Tumor-infiltrating Lymphocytes in Solid Tumors: A Practical Review for Pathologists and Proposal for a Standardized Method From the International Immunooncology Biomarkers Working Group: Part 1: Assessing the Host Immune Response, TILs in Invasive Breast Carcinoma and Ductal Carcinoma In Situ, Metastatic Tumor Deposits and Areas for Further Research. Adv. Anat. Pathol. 2017, 24, 235–251. [Google Scholar] [CrossRef] [PubMed]
- Dieci, M.V.; Radosevic-Robin, N.; Fineberg, S.; van den Eynden, G.; Ternes, N.; Penault-Llorca, F.; Pruneri, G.; D’Alfonso, T.M.; Demaria, S.; Castaneda, C.; et al. Update on tumor-infiltrating lymphocytes (TILs) in breast cancer, including recommendations to assess TILs in residual disease after neoadjuvant therapy and in carcinoma in situ: A report of the International Immuno-Oncology Biomarker Working Group on Breast Cancer. Semin. Cancer Biol. 2018, 52, 16–25. [Google Scholar] [CrossRef]
- Salgado, R.; Denkert, C.; Demaria, S.; Sirtaine, N.; Klauschen, F.; Pruneri, G.; Wienert, S.; Van den Eynden, G.; Baehner, F.L.; Penault-Llorca, F.; et al. The evaluation of tumor-infiltrating lymphocytes (TILs) in breast cancer: Recommendations by an International TILs Working Group 2014. Ann. Oncol. 2015, 26, 259–271. [Google Scholar] [CrossRef]
- Fountzilas, G.; Skarlos, D.; Dafni, U.; Gogas, H.; Briasoulis, E.; Pectasides, D.; Papadimitriou, C.; Markopoulos, C.; Polychronis, A.; Kalofonos, H.P.; et al. Postoperative dose-dense sequential chemotherapy with epirubicin, followed by CMF with or without paclitaxel, in patients with high-risk operable breast cancer: A randomized phase III study conducted by the Hellenic Cooperative Oncology Group. Ann. Oncol. 2005, 16, 1762–1771. [Google Scholar] [CrossRef] [PubMed]
- Gogas, H.; Dafni, U.; Karina, M.; Papadimitriou, C.; Batistatou, A.; Bobos, M.; Kalofonos, H.P.; Eleftheraki, A.G.; Timotheadou, E.; Bafaloukos, D.; et al. Postoperative dose-dense sequential versus concomitant administration of epirubicin and paclitaxel in patients with node-positive breast cancer: 5-year results of the Hellenic Cooperative Oncology Group HE 10/00 phase III Trial. Breast Cancer Res. Treat 2012, 132, 609–619. [Google Scholar] [CrossRef] [PubMed]
- Fountzilas, G.; Dafni, U.; Papadimitriou, C.; Timotheadou, E.; Gogas, H.; Eleftheraki, A.G.; Xanthakis, I.; Christodoulou, C.; Koutras, A.; Papandreou, C.N.; et al. Dose-dense sequential adjuvant chemotherapy followed, as indicated, by trastuzumab for one year in patients with early breast cancer: First report at 5-year median follow-up of a Hellenic Cooperative Oncology Group randomized phase III trial. BMC Cancer 2014, 14, 515. [Google Scholar] [CrossRef]
- Sparano, J.A.; Wang, M.; Martino, S.; Jones, V.; Perez, E.A.; Saphner, T.; Wolff, A.C.; Sledge, G.W., Jr.; Wood, W.C.; Davidson, N.E. Weekly paclitaxel in the adjuvant treatment of breast cancer. N. Engl. J. Med. 2008, 358, 1663–1671. [Google Scholar] [CrossRef]
- Martín, M.; Rodríguez-Lescure, A.; Ruiz, A.; Alba, E.; Calvo, L.; Ruiz-Borrego, M.; Munárriz, B.; Rodríguez, C.A.; Crespo, C.; de Alava, E.; et al. Randomized phase 3 trial of fluorouracil, epirubicin, and cyclophosphamide alone or followed by Paclitaxel for early breast cancer. J. Natl. Cancer Inst. 2008, 100, 805–814. [Google Scholar] [CrossRef]
- Citron, M.L.; Berry, D.A.; Cirrincione, C.; Hudis, C.; Winer, E.P.; Gradishar, W.J.; Davidson, N.E.; Martino, S.; Livingston, R.; Ingle, J.N.; et al. Randomized trial of dose-dense versus conventionally scheduled and sequential versus concurrent combination chemotherapy as postoperative adjuvant treatment of node-positive primary breast cancer: First report of Intergroup Trial C9741/Cancer and Leukemia Group B Trial 9741. J. Clin. Oncol. 2003, 21, 1431–1439. [Google Scholar] [CrossRef]
- Bayraktar, S.; Arun, B. Dose-dense chemotherapy for breast cancer. Breast J. 2012, 18, 261–266. [Google Scholar] [CrossRef]
- Slamon, D.; Eiermann, W.; Robert, N.; Pienkowski, T.; Martin, M.; Press, M.; Mackey, J.; Glaspy, J.; Chan, A.; Pawlicki, M.; et al. Adjuvant trastuzumab in HER2-positive breast cancer. N. Engl. J. Med. 2011, 365, 1273–1283. [Google Scholar] [CrossRef]
- Piccart-Gebhart, M.J.; Procter, M.; Leyland-Jones, B.; Goldhirsch, A.; Untch, M.; Smith, I.; Gianni, L.; Baselga, J.; Bell, R.; Jackisch, C.; et al. Trastuzumab after adjuvant chemotherapy in HER2-positive breast cancer. N. Engl. J. Med. 2005, 353, 1659–1672. [Google Scholar] [CrossRef] [PubMed]
- Jelovac, D.; Wolff, A.C. The adjuvant treatment of HER2-positive breast cancer. Curr. Treat. Options Oncol. 2012, 13, 230–239. [Google Scholar] [CrossRef] [PubMed]
- Moebus, V.; Jackisch, C.; Lueck, H.J.; du Bois, A.; Thomssen, C.; Kurbacher, C.; Kuhn, W.; Nitz, U.; Schneeweiss, A.; Huober, J.; et al. Intense dose-dense sequential chemotherapy with epirubicin, paclitaxel, and cyclophosphamide compared with conventionally scheduled chemotherapy in high-risk primary breast cancer: Mature results of an AGO phase III study. J. Clin. Oncol. 2010, 28, 2874–2880. [Google Scholar] [CrossRef]
- Mamounas, E.P.; Bryant, J.; Lembersky, B.; Fehrenbacher, L.; Sedlacek, S.M.; Fisher, B.; Wickerham, D.L.; Yothers, G.; Soran, A.; Wolmark, N. Paclitaxel after doxorubicin plus cyclophosphamide as adjuvant chemotherapy for node-positive breast cancer: Results from NSABP B-28. J. Clin. Oncol. 2005, 23, 3686–3696. [Google Scholar] [CrossRef] [PubMed]
- Bonilla, L.; Ben-Aharon, I.; Vidal, L.; Gafter-Gvili, A.; Leibovici, L.; Stemmer, S.M. Dose-dense chemotherapy in nonmetastatic breast cancer: A systematic review and meta-analysis of randomized controlled trials. J. Natl. Cancer Inst. 2010, 102, 1845–1854. [Google Scholar] [CrossRef]
- Catacchio, I.; Silvestris, N.; Scarpi, E.; Schirosi, L.; Scattone, A.; Mangia, A. Intratumoral, rather than stromal, CD8+ T cells could be a potential negative prognostic marker in invasive breast cancer patients. Transl. Oncol. 2019, 12, 585–595. [Google Scholar] [CrossRef]
- Oshi, M.; Asaoka, M.; Tokumaru, Y.; Yan, L.; Matsuyama, R.; Ishikawa, T.; Endo, I.; Takabe, K. CD8 T Cell Score as a Prognostic Biomarker for Triple Negative Breast Cancer. Int. J. Mol. Sci. 2020, 21, 6968. [Google Scholar] [CrossRef]
- Koletsa, T.; Kotoula, V.; Koliou, G.A.; Manousou, K.; Chrisafi, S.; Zagouri, F.; Sotiropoulou, M.; Pentheroudakis, G.; Papoudou-Bai, A.; Christodoulou, C.; et al. Prognostic impact of stromal and intratumoral CD3, CD8 and FOXP3 in adjuvantly treated breast cancer: Do they add information over stromal tumor-infiltrating lymphocyte density? Cancer Immunol. Immunother. 2020, 69, 1549–1564. [Google Scholar] [CrossRef]
- Bos, R.; Marquardt, K.L.; Cheung, J.; Sherman, L.A. Functional differences between low- and high-affinity CD8(+) T cells in the tumor environment. Oncoimmunology 2012, 1, 1239–1247. [Google Scholar] [CrossRef] [PubMed]
- Bos, R.; Sherman, L.A. CD4+ T-cell help in the tumor milieu is required for recruitment and cytolytic function of CD8+ T lymphocytes. Cancer Res. 2010, 70, 8368–8377. [Google Scholar] [CrossRef]
- Lin, G.; Fan, X.; Zhu, W.; Huang, C.; Zhuang, W.; Xu, H.; Lin, X.; Hu, D.; Huang, Y.; Jiang, K.; et al. Prognostic significance of PD-L1 expression and tumor infiltrating lymphocyte in surgically resectable non-small cell lung cancer. Oncotarget 2017, 8, 83986–83994. [Google Scholar] [CrossRef]
- Yu, P.; Fu, Y.X. Tumor-infiltrating T lymphocytes: Friends or foes? Lab. Investig. 2006, 86, 231–245. [Google Scholar] [CrossRef] [PubMed]
- Burugu, S.; Asleh-Aburaya, K.; Nielsen, T.O. Immune infiltrates in the breast cancer microenvironment: Detection, characterization and clinical implication. Breast Cancer 2017, 24, 3–15. [Google Scholar] [CrossRef] [PubMed]
- Bense, R.D.; Sotiriou, C.; Piccart-Gebhart, M.J.; Haanen, J.; van Vugt, M.; de Vries, E.G.E.; Schroder, C.P.; Fehrmann, R.S.N. Relevance of Tumor-Infiltrating Immune Cell Composition and Functionality for Disease Outcome in Breast Cancer. J. Natl. Cancer Inst. 2017, 109, djw192. [Google Scholar] [CrossRef]
- Martínez-Lostao, L.; Anel, A.; Pardo, J. How Do Cytotoxic Lymphocytes Kill Cancer Cells? Clin. Cancer Res. 2015, 21, 5047–5056. [Google Scholar] [CrossRef]
- Gooden, M.J.; de Bock, G.H.; Leffers, N.; Daemen, T.; Nijman, H.W. The prognostic influence of tumour-infiltrating lymphocytes in cancer: A systematic review with meta-analysis. Br. J. Cancer 2011, 105, 93–103. [Google Scholar] [CrossRef]
- Rathore, A.S.; Kumar, S.; Konwar, R.; Makker, A.; Negi, M.P.; Goel, M.M. CD3+, CD4+ & CD8+ tumour infiltrating lymphocytes (TILs) are predictors of favourable survival outcome in infiltrating ductal carcinoma of breast. Indian J. Med. Res. 2014, 140, 361–369. [Google Scholar]
- van der Leun, A.M.; Thommen, D.S.; Schumacher, T.N. CD8(+) T cell states in human cancer: Insights from single-cell analysis. Nat. Rev. Cancer 2020, 20, 218–232. [Google Scholar] [CrossRef]
- Savas, P.; Virassamy, B.; Ye, C.; Salim, A.; Mintoff, C.P.; Caramia, F.; Salgado, R.; Byrne, D.J.; Teo, Z.L.; Dushyanthen, S.; et al. Single-cell profiling of breast cancer T cells reveals a tissue-resident memory subset associated with improved prognosis. Nat. Med. 2018, 24, 986–993. [Google Scholar] [CrossRef]
- De Laurentiis, M.; Cianniello, D.; Caputo, R.; Stanzione, B.; Arpino, G.; Cinieri, S.; Lorusso, V.; De Placido, S. Treatment of triple negative breast cancer (TNBC): Current options and future perspectives. Cancer Treat. Rev. 2010, 36 (Suppl. 3), S80–S86. [Google Scholar] [CrossRef]
- Thagaard, J.; Stovgaard, E.S.; Vognsen, L.G.; Hauberg, S.; Dahl, A.; Ebstrup, T.; Dore, J.; Vincentz, R.E.; Jepsen, R.K.; Roslind, A.; et al. Automated Quantification of sTIL Density with H&E-Based Digital Image Analysis Has Prognostic Potential in Triple-Negative Breast Cancers. Cancers 2021, 13, 3050. [Google Scholar] [CrossRef]
- Kotoula, V.; Chatzopoulos, K.; Lakis, S.; Alexopoulou, Z.; Timotheadou, E.; Zagouri, F.; Pentheroudakis, G.; Gogas, H.; Galani, E.; Efstratiou, I.; et al. Tumors with high-density tumor infiltrating lymphocytes constitute a favorable entity in breast cancer: A pooled analysis of four prospective adjuvant trials. Oncotarget 2016, 7, 5074–5087. [Google Scholar] [CrossRef]
- Fountzilas, G.; Dafni, U.; Gogas, H.; Linardou, H.; Kalofonos, H.P.; Briasoulis, E.; Pectasides, D.; Samantas, E.; Bafaloukos, D.; Stathopoulos, G.P.; et al. Postoperative dose-dense sequential chemotherapy with epirubicin, paclitaxel and CMF in patients with high-risk breast cancer: Safety analysis of the Hellenic Cooperative Oncology Group randomized phase III trial HE 10/00. Ann. Oncol. 2008, 19, 853–860. [Google Scholar] [CrossRef] [PubMed]
- Goldhirsch, A.; Glick, J.H.; Gelber, R.D.; Coates, A.S.; Thürlimann, B.; Senn, H.J. Meeting highlights: International expert consensus on the primary therapy of early breast cancer 2005. Ann. Oncol. 2005, 16, 1569–1583. [Google Scholar] [CrossRef]
- Zagouri, F.; Koliou, G.A.; Dimitrakopoulos, F.; Papadimitriou, C.; Binas, I.; Koutras, A.; Papakostas, P.; Markopoulos, C.; Venizelos, V.; Xepapadakis, G.; et al. Dose-dense sequential adjuvant chemotherapy in the trastuzumab era: Final long-term results of the Hellenic Cooperative Oncology Group Phase III HE10/05 Trial. Br. J. Cancer 2022, 127, 695–703. [Google Scholar] [CrossRef]
- Fountzilas, G.; Dafni, U.; Bobos, M.; Batistatou, A.; Kotoula, V.; Trihia, H.; Malamou-Mitsi, V.; Miliaras, S.; Chrisafi, S.; Papadopoulos, S.; et al. Differential response of immunohistochemically defined breast cancer subtypes to anthracycline-based adjuvant chemotherapy with or without paclitaxel. PLoS ONE 2012, 7, e37946. [Google Scholar] [CrossRef][Green Version]
- Cuzick, J.; Dowsett, M.; Pineda, S.; Wale, C.; Salter, J.; Quinn, E.; Zabaglo, L.; Mallon, E.; Green, A.R.; Ellis, I.O.; et al. Prognostic value of a combined estrogen receptor, progesterone receptor, Ki-67, and human epidermal growth factor receptor 2 immunohistochemical score and comparison with the Genomic Health recurrence score in early breast cancer. J. Clin. Oncol. 2011, 29, 4273–4278. [Google Scholar] [CrossRef] [PubMed]
- Bustreo, S.; Osella-Abate, S.; Cassoni, P.; Donadio, M.; Airoldi, M.; Pedani, F.; Papotti, M.; Sapino, A.; Castellano, I. Optimal Ki67 cut-off for luminal breast cancer prognostic evaluation: A large case series study with a long-term follow-up. Br. Cancer Res. Treat. 2016, 157, 363–371. [Google Scholar] [CrossRef] [PubMed]
- Bravaccini, S.; Bronte, G.; Scarpi, E.; Ravaioli, S.; Maltoni, R.; Mangia, A.; Tumedei, M.M.; Puccetti, M.; Serra, P.; Gianni, L.; et al. The impact of progesterone receptor expression on prognosis of patients with rapidly proliferating, hormone receptor-positive early breast cancer: A post hoc analysis of the IBIS 3 trial. Ther. Adv. Med. Oncol. 2020, 12, 1758835919888999. [Google Scholar] [CrossRef]
- Wolff, A.C.; Hammond, M.E.; Schwartz, J.N.; Hagerty, K.L.; Allred, D.C.; Cote, R.J.; Dowsett, M.; Fitzgibbons, P.L.; Hanna, W.M.; Langer, A.; et al. American Society of Clinical Oncology/College of American Pathologists guideline recommendations for human epidermal growth factor receptor 2 testing in breast cancer. J. Clin. Oncol. 2007, 25, 118–145. [Google Scholar] [CrossRef]
- Hammond, M.E.; Hayes, D.F.; Dowsett, M.; Allred, D.C.; Hagerty, K.L.; Badve, S.; Fitzgibbons, P.L.; Francis, G.; Goldstein, N.S.; Hayes, M.; et al. American Society of Clinical Oncology/College Of American Pathologists guideline recommendations for immunohistochemical testing of estrogen and progesterone receptors in breast cancer. J. Clin. Oncol. 2010, 28, 2784–2795. [Google Scholar] [CrossRef]
- Cheang, M.C.; Chia, S.K.; Voduc, D.; Gao, D.; Leung, S.; Snider, J.; Watson, M.; Davies, S.; Bernard, P.S.; Parker, J.S.; et al. Ki67 index, HER2 status, and prognosis of patients with luminal B breast cancer. J. Natl. Cancer Inst. 2009, 101, 736–750. [Google Scholar] [CrossRef]
- Press, M.F.; Sauter, G.; Buyse, M.; Bernstein, L.; Guzman, R.; Santiago, A.; Villalobos, I.E.; Eiermann, W.; Pienkowski, T.; Martin, M.; et al. Alteration of topoisomerase II-alpha gene in human breast cancer: Association with responsiveness to anthracycline-based chemotherapy. J. Clin. Oncol. 2011, 29, 859–867. [Google Scholar] [CrossRef]
- Vanden Bempt, I.; Van Loo, P.; Drijkoningen, M.; Neven, P.; Smeets, A.; Christiaens, M.R.; Paridaens, R.; De Wolf-Peeters, C. Polysomy 17 in breast cancer: Clinicopathologic significance and impact on HER-2 testing. J. Clin. Oncol. 2008, 26, 4869–4874. [Google Scholar] [CrossRef] [PubMed]
- Knoop, A.S.; Knudsen, H.; Balslev, E.; Rasmussen, B.B.; Overgaard, J.; Nielsen, K.V.; Schonau, A.; Gunnarsdóttir, K.; Olsen, K.E.; Mouridsen, H.; et al. retrospective analysis of topoisomerase IIa amplifications and deletions as predictive markers in primary breast cancer patients randomly assigned to cyclophosphamide, methotrexate, and fluorouracil or cyclophosphamide, epirubicin, and fluorouracil: Danish Breast Cancer Cooperative Group. J. Clin. Oncol. 2005, 23, 7483–7490. [Google Scholar] [CrossRef] [PubMed]
- Beguinot, M.; Dauplat, M.M.; Kwiatkowski, F.; Lebouedec, G.; Tixier, L.; Pomel, C.; Penault-Llorca, F.; Radosevic-Robin, N. Analysis of tumour-infiltrating lymphocytes reveals two new biologically different subgroups of breast ductal carcinoma in situ. BMC Cancer 2018, 18, 129. [Google Scholar] [CrossRef]



| Parameter | |
|---|---|
| Age at Diagnosis (N = 979) | |
| Median (min, max) | 54.2(28.1, 82.7) |
| N (%) | |
| Menopausal status at diagnosis (N = 979) | |
| Premenopausal | 415(42.4) |
| Postmenopausal | 564(57.6) |
| Surgery (N = 979) | |
| Modified radical | 545(55.7) |
| Partial mastectomy | 434(44.3) |
| Tumor size (N = 978) | |
| ≤2 cm | 395(40.4) |
| 2.1–5 cm | 506(51.7) |
| >5 cm | 77(7.9) |
| N of positive nodes (N = 975) | |
| 0 | 303(31.1) |
| 1–3 | 378(38.8) |
| ≥4 | 294(30.2) |
| Grade (N = 978) | |
| 1 | 70(7.2) |
| 2 | 456(46.6) |
| 3 | 452(46.2) |
| Histological classification (N = 978) | |
| Invasive ductal carcinoma | 829(84.8) |
| Invasive lobular carcinoma | 93(9.5) |
| Carcinoma with medullary features | 12(1.2) |
| Mixed | 19(1.9) |
| Mucinous carcinoma | 4(0.41) |
| Invasive solid papillary carcinoma | 4(0.41) |
| Tubular carcinoma | 3(0.31) |
| Other (specify) | 14(1.4) |
| ER/PgR (N = 978) * | |
| Negative | 230(23.5) |
| Positive | 748(76.5) |
| HER2 status (N = 976) * | |
| Negative | 751(76.9) |
| Positive | 225(23.1) |
| Adjuvant HT (N = 972) | |
| No | 251(25.8) |
| Yes | 721(74.2) |
| Adjuvant RT (N = 967) | |
| No | 259(26.8) |
| Yes | 708(73.2) |
| Trastuzumab administration (N = 978) | |
| No | 763(78.0) |
| Yes | 215(22.0) |
| Parameter | Median (Range) | Event/Total | HR (95% CI) | p-Value | Event/Total | HR (95% CI) | p-Value |
|---|---|---|---|---|---|---|---|
| DFS | OS | ||||||
| iCD8 | |||||||
| High | 26.63 (12.02–661.21) | 27/155 | 0.59 (0.39–0.91) | 0.016 * | 23/155 | 0.61 (0.39–0.98) | 0.039 ** |
| Low | 1.97 (0.00–12.07) | 128/461 | Reference | -- | 101/461 | Reference | -- |
| tCD8 | |||||||
| High | 150.12 (94.94–726.46) | 30/155 | 0.66 (0.44–0.98) | 0.041 ^ | 22/155 | 0.56 (0.35–0.90) | 0.015 ^^ |
| Low | 35.48 (0.57–94.13) | 125/461 | Reference | -- | 102/461 | Reference | -- |
| sCD8 | |||||||
| High | 339.09 (222.79–1961.38) | 29/152 | 0.64 (0.43–0.97) | 0.036 # | 26/152 | 0.64 (0.40–1.00) | 0.05 ## |
| Low | 78.45 (1.89–221.32) | 126/464 | Reference | -- | 103/464 | Reference | |
| Adverse Event | Grade 3 | Grade 4 | ||||
|---|---|---|---|---|---|---|
| N of Evts | N of Pts | % | N of Evts | N of Pts | % | |
| Total | 293 | 214 | 22.67 | 32 | 28 | 2.97 |
| ALP | 2 | 2 | 0.21 | 0 | 0 | 0 |
| ALT | 11 | 11 | 1.17 | 2 | 2 | 0.21 |
| AST | 2 | 2 | 0.21 | 0 | 0 | 0 |
| Allergic reaction/hypersensitivity (including drug fever) | 8 | 8 | 0.85 | 1 | 1 | 0.11 |
| Amylase | 1 | 1 | 0.11 | 0 | 0 | 0 |
| Anorexia | 1 | 1 | 0.11 | 0 | 0 | 0 |
| Bilirubin (hyperbilirubinemia) | 1 | 1 | 0.11 | 0 | 0 | 0 |
| Calcium, serum low (hypocalcemia) | 3 | 3 | 0.32 | 1 | 1 | 0.11 |
| Constipation | 1 | 1 | 0.11 | 0 | 0 | 0 |
| Diarrhea | 2 | 2 | 0.21 | 0 | 0 | 0 |
| Fatigue (asthenia, lethargy, malaise) | 24 | 24 | 2.54 | 0 | 0 | 0 |
| Febrile neutropenia (fever of unknown origin without clinically or microbiologically documented infection) (ANC <1.0 × 109/L, fever > = 38.5 °C) | 12 | 12 | 1.27 | 2 | 2 | 0.21 |
| GGT | 21 | 21 | 2.22 | 0 | 0 | 0 |
| Glucose, serum high (hyperglycemia) | 5 | 5 | 0.53 | 0 | 0 | 0 |
| Hemoglobin | 5 | 5 | 0.53 | 0 | 0 | 0 |
| Hepatobiliary/Pancreas- Other (Hepatotoxicity) | 1 | 1 | 0.11 | 0 | 0 | 0 |
| Infection with unknown ANC: Upper airway NOS | 2 | 2 | 0.21 | 0 | 0 | 0 |
| Infection site reaction/extravasation changes | 1 | 1 | 0.11 | 0 | 0 | 0 |
| Infection with unknown ANC: Blood | 0 | 0 | 0 | 1 | 1 | 0.11 |
| Infection- Other | 2 | 2 | 0.21 | 0 | 0 | 0 |
| LDH | 3 | 3 | 0.32 | 0 | 0 | 0 |
| Leucocytes (total WBC) | 15 | 15 | 1.59 | 3 | 3 | 0.32 |
| Lymphopenia | 2 | 2 | 0.21 | 1 | 1 | 0.11 |
| Magnesium, serum-high (hypermagnesemia) | 1 | 1 | 0.11 | 0 | 0 | 0 |
| Mucositis/stomatitis(functional/symptomatic) | 4 | 4 | 0.42 | 1 | 1 | 0.11 |
| Nausea | 6 | 6 | 0.64 | 0 | 0 | 0 |
| Neurology-Other (Instability) | 1 | 1 | 0.11 | 0 | 0 | 0 |
| Neuropathy: motor/sensory | 45 | 45 | 4.77 | 0 | 0 | 0 |
| Neutrophils/granulocytes (ANC/AGC) | 51 | 51 | 5.4 | 14 | 14 | 1.48 |
| Pain: Abdomen NOS | 2 | 2 | 0.21 | 0 | 0 | 0 |
| Pain: Bone | 13 | 13 | 1.38 | 0 | 0 | 0 |
| Pain: Joint | 1 | 1 | 0.11 | 0 | 0 | 0 |
| Pain: muscle | 12 | 12 | 1.27 | 0 | 0 | 0 |
| Phlebitis (including superficial thrombosis) | 1 | 1 | 0.11 | 0 | 0 | 0 |
| Phosphate, serum-low (hypophosphatemia) | 2 | 2 | 0.21 | 0 | 0 | 0 |
| Platelets | 0 | 0 | 0 | 1 | 1 | 0.11 |
| Potassium, serum-high (hyperkalemia) | 0 | 0 | 0 | 1 | 1 | 0.11 |
| Potassium, serum-low (hypokalemia) | 3 | 3 | 0.32 | 0 | 0 | 0 |
| Pruritus/itching | 5 | 5 | 0.53 | 1 | 1 | 0.11 |
| Rash: hand-foot skin reaction | 6 | 6 | 0.64 | 0 | 0 | 0 |
| Syncope (fainting) | 1 | 1 | 0.11 | 0 | 0 | 0 |
| Thrombus/embolism | 2 | 2 | 0.21 | 0 | 0 | 0 |
| Uric acid, serum-high (hyperuricemia) | 1 | 1 | 0.11 | 3 | 3 | 0.32 |
| Vascular other-thrombosis arterial leg | 1 | 1 | 0.11 | 0 | 0 | 0 |
| Vomiting | 6 | 6 | 0.64 | 0 | 0 | 0 |
Publisher’s Note: MDPI stays neutral with regard to jurisdictional claims in published maps and institutional affiliations. |
© 2022 by the authors. Licensee MDPI, Basel, Switzerland. This article is an open access article distributed under the terms and conditions of the Creative Commons Attribution (CC BY) license (https://creativecommons.org/licenses/by/4.0/).
Share and Cite
Spathas, N.; Goussia, A.C.; Koliou, G.-A.; Gogas, H.; Zagouri, F.; Batistatou, A.; Charchanti, A.V.; Papoudou-Bai, A.; Bobos, M.; Chrisafi, S.; et al. Association between CD8+ Tumor Infiltrating Lymphocytes and the Clinical Outcome of Patients with Operable Breast Cancer Treated with Adjuvant Dose-Dense Chemotherapy—A 10 Year Follow-Up Report of a Hellenic Cooperative Oncology Group Observational Study. Cancers 2022, 14, 5635. https://doi.org/10.3390/cancers14225635
Spathas N, Goussia AC, Koliou G-A, Gogas H, Zagouri F, Batistatou A, Charchanti AV, Papoudou-Bai A, Bobos M, Chrisafi S, et al. Association between CD8+ Tumor Infiltrating Lymphocytes and the Clinical Outcome of Patients with Operable Breast Cancer Treated with Adjuvant Dose-Dense Chemotherapy—A 10 Year Follow-Up Report of a Hellenic Cooperative Oncology Group Observational Study. Cancers. 2022; 14(22):5635. https://doi.org/10.3390/cancers14225635
Chicago/Turabian StyleSpathas, Nikolaos, Anna C. Goussia, Georgia-Angeliki Koliou, Helen Gogas, Flora Zagouri, Anna Batistatou, Antonia V. Charchanti, Alexandra Papoudou-Bai, Mattheos Bobos, Sofia Chrisafi, and et al. 2022. "Association between CD8+ Tumor Infiltrating Lymphocytes and the Clinical Outcome of Patients with Operable Breast Cancer Treated with Adjuvant Dose-Dense Chemotherapy—A 10 Year Follow-Up Report of a Hellenic Cooperative Oncology Group Observational Study" Cancers 14, no. 22: 5635. https://doi.org/10.3390/cancers14225635
APA StyleSpathas, N., Goussia, A. C., Koliou, G.-A., Gogas, H., Zagouri, F., Batistatou, A., Charchanti, A. V., Papoudou-Bai, A., Bobos, M., Chrisafi, S., Chatzopoulos, K., Kostopoulos, I., Koletsa, T., Arapantoni, P., Pectasides, D., Galani, E., Koutras, A., Zarkavelis, G., Saloustros, E., ... Fountzilas, G. (2022). Association between CD8+ Tumor Infiltrating Lymphocytes and the Clinical Outcome of Patients with Operable Breast Cancer Treated with Adjuvant Dose-Dense Chemotherapy—A 10 Year Follow-Up Report of a Hellenic Cooperative Oncology Group Observational Study. Cancers, 14(22), 5635. https://doi.org/10.3390/cancers14225635

