(Pro)renin Receptor Is a Novel Independent Prognostic Marker in Invasive Urothelial Carcinoma of the Bladder
Abstract
Simple Summary
Abstract
1. Introduction
2. Materials and Methods
2.1. Patients and Samples
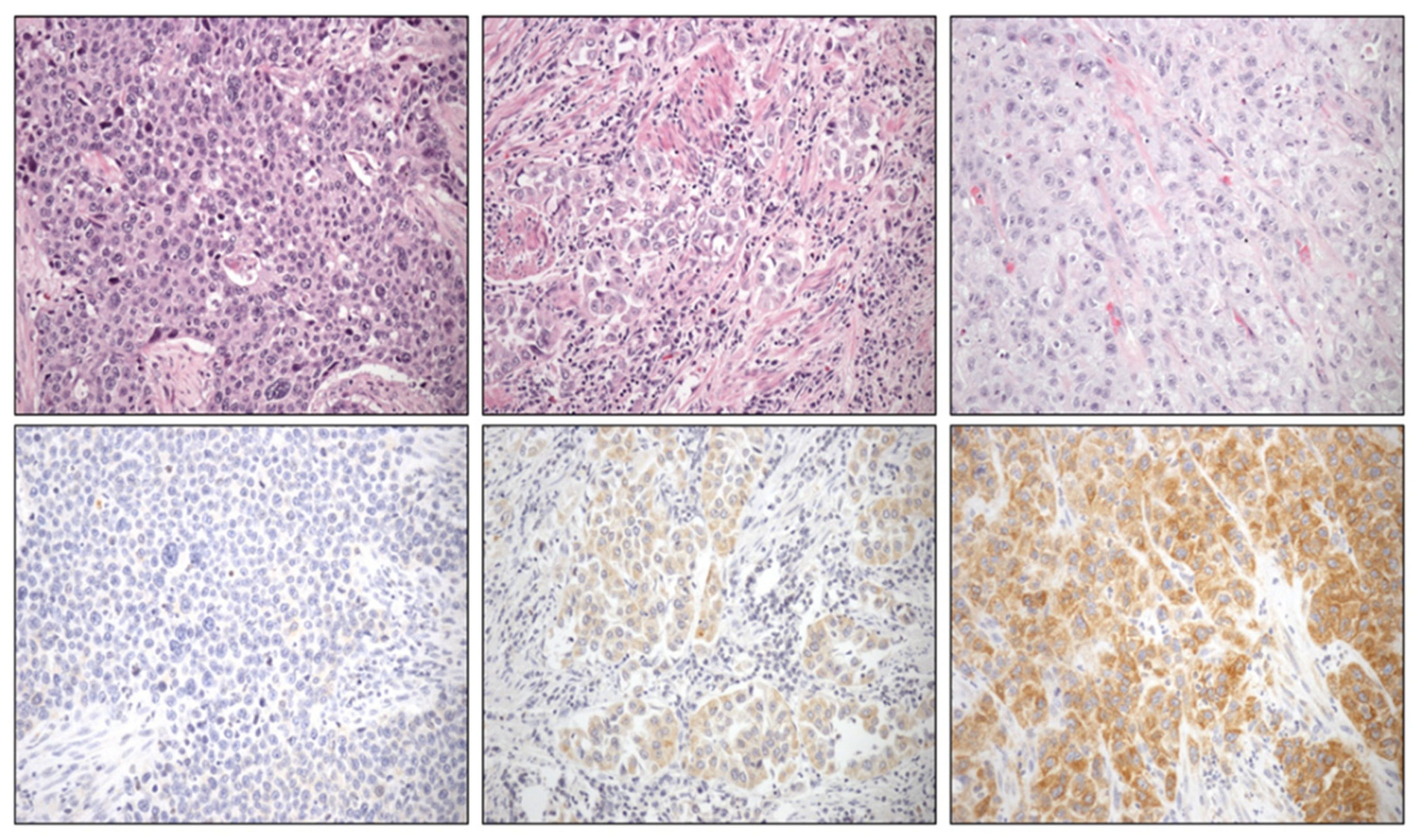
2.2. Tissue Microarray Construction and Immunohistochemical Staining
2.3. Statistical Analysis
3. Results
4. Discussion
5. Conclusions
Supplementary Materials
Author Contributions
Funding
Institutional Review Board Statement
Informed Consent Statement
Data Availability Statement
Conflicts of Interest
References
- Bray, F.; Ferlay, J.; Soerjomataram, I.; Siegel, R.L.; Torre, L.A.; Jemal, A. Global cancer statistics 2018: GLOBOCAN estimates of incidence and mortality worldwide for 36 cancers in 185 countries. CA Cancer J. Clin. 2018, 68, 394–424. [Google Scholar] [CrossRef]
- Knowles, M.A.; Hurst, C.D. Molecular biology of bladder cancer: New insights into pathogenesis and clinical diversity. Nat. Rev. Cancer 2015, 15, 25–41. [Google Scholar] [CrossRef] [PubMed]
- Angulo, J.C.; Lopez, J.I.; Flores, N.; Toledo, J.D. The value of tumour spread, grading and growth pattern as morphological predictive parameters in bladder carcinoma. A critical revision of the 1987 TNM classification. J. Cancer Res. Clin. Oncol. 1993, 119, 578–593. [Google Scholar] [CrossRef] [PubMed]
- Kluth, L.A.; Black, P.C.; Bochner, B.H.; Catto, J.; Lerner, S.P.; Stenzl, A.; Sylvester, R.; Vickers, A.J.; Xylinas, E.; Shariat, S.F. Prognostic and prediction tools in bladder cancer: A comprehensive review of the literature. Eur. Urol. 2015, 68, 238–253. [Google Scholar] [CrossRef] [PubMed]
- Soria, F.; Krabbe, L.M.; Todenhöfer, T.; Dobruch, J.; Mitra, A.P.; Inman, B.A.; Gust, K.M.; Lotan, Y.; Shariat, S.F. Molecular markers in bladder cancer. World J. Urol. 2019, 37, 31–40. [Google Scholar] [CrossRef] [PubMed]
- Shariat, S.F.; Gust, K.M. Immune therapy meets precision medicine. Lancet Oncol. 2017, 18, 271–273. [Google Scholar] [CrossRef]
- Santoni, M.; Conti, A.; Piva, F.; Massari, F.; Ciccarese, C.; Burattini, L.; Cheng, L.; Lopez-Beltran, A.; Scarpelli, M.; Santini, D.; et al. Role of STAT3 pathway in genitourinary tumors. Future Sci. OA 2015, 1, FSO15. [Google Scholar] [CrossRef]
- Santoni, M.; Bracarda, S.; Nabissi, M.; Massari, F.; Conti, A.; Bria, E.; Tortora, G.; Santoni, G.; Cascinu, S. CXC and CC chemokines as angiogenic modulators in nonhaematological tumors. BioMed Res. Int. 2014, 2014, 768758. [Google Scholar] [CrossRef]
- Tan, T.Z.; Rouanne, M.; Tan, K.T.; Huang, R.Y.; Thiery, J.P. Molecular subtypes of urothelial bladder cancer: Results from a meta-cohort analysis of 2411 tumors. Eur. Urol. 2019, 75, 423–432. [Google Scholar] [CrossRef]
- Wang, C.C.; Tsai, Y.C.; Jeng, Y.M. Biological significance of GATA3, cytokeratin 20, cytokeratin 5/6 and p53 expression in muscle-invasive bladder cancer. PLoS ONE 2019, 14, e0221785. [Google Scholar] [CrossRef]
- Calvete, J.; Larrinaga, G.; Errarte, P.; Martín, A.M.; Dotor, A.; Esquinas, C.; Nunes-Xavier, C.E.; Pulido, R.; López, J.I.; Angulo, J.C. The coexpression of fibroblast activation protein (FAP) and basal-type markers (CK 5/6 and CD44) predicts prognosis in high-grade invasive urothelial carcinoma of the bladder. Hum. Pathol. 2019, 91, 61–68. [Google Scholar] [CrossRef] [PubMed]
- Ichihara, A.; Yatabe, M.S. The (pro)renin receptor in health and disease. Nat. Rev. Nephrol. 2019, 15, 693–712. [Google Scholar] [CrossRef] [PubMed]
- Wang, J.; Nishiyama, A.; Matsuyama, M.; Wang, Z.; Yuan, Y. The (pro)renin receptor: A novel biomarker and potential therapeutic target for various cancers. Cell Commun. Signal. 2020, 18, 39. [Google Scholar] [CrossRef] [PubMed]
- Nguyen, G.; Delarue, F.; Burcklé, C.; Bouzhir, L.; Giller, T.; Sraer, J.D. Pivotal role of the renin/prorenin receptor in angiotensin II production and cellular responses to renin. J. Clin. Investig. 2002, 109, 1417–1427. [Google Scholar] [CrossRef]
- Ohba, K.; Suzuki, T.; Nishiyama, H.; Kaneko, K.; Hirose, T.; Totsune, K.; Sasano, H.; Takahashi, K. Expression of (pro)renin receptor in breast cancers and its effect on cancercell proliferation. Biomed. Res. 2014, 35, 117–126. [Google Scholar] [CrossRef]
- Shibayama, Y.; Fujimori, T.; Nguyen, G.; Hirose, T.; Totsune, K.; Ichihara, A.; Kitada, K.; Nakano, D.; Kobori, H.; Kohno, M.; et al. (Pro)renin receptor is crucial for Wnt/β-catenin-dependent genesis of pancreatic ductal adenocarcinoma. Sci. Rep. 2015, 5, 8854. [Google Scholar] [CrossRef]
- Mohammad, A.H.; Assadian, S.; Couture, F.; Lefebvre, K.J.; El-Assaad, W.; Barrès, V.; Ouellet, V.; Boulay, P.L.; Yang, J.; Latour, M.; et al. V-ATPase-associated prorenin receptor is upregulated in prostate cancer after PTEN loss. Oncotarget 2019, 10, 4923–4936. [Google Scholar] [CrossRef]
- Beitia, M.; Solano-Iturri, J.D.; Errarte, P.; Calvete-Candenas, J.; Loizate, A.; Etxezarraga, M.C.; Sanz, B.; Larrinaga, G. (Pro)renin receptor expression increases throughout the colorectal adenoma-adenocarcinoma sequence and it is associated with worse colorectal cancer prognosis. Cancers 2019, 11, 881. [Google Scholar] [CrossRef]
- Mohammad, A.H.; Kim, S.H.; Bertos, N.; El-Assaad, W.; Nandi, I.; Smith, H.; Yang, J.; Chen, O.J.; Gamache, I.; Rao, T.; et al. Elevated V-ATPase activity following PTEN loss is required for enhanced oncogenic signaling in breast cancer. Mol. Cancer Res. 2020, 18, 1477–1490. [Google Scholar] [CrossRef]
- Solano-Iturri, J.D.; Echevarría, E.; Unda, M.; Loizaga-Iriarte, A.; Pérez-Fernández, A.; Angulo, J.C.; López, J.I.; Larrinaga, G. Clinical Implications of (Pro)renin Receptor (PRR) Expression in Renal Tumours. Diagnostics 2021, 11, 272. [Google Scholar] [CrossRef] [PubMed]
- Arundhathi, A.; Chuang, W.H.; Chen, J.K.; Wang, S.E.; Shyr, Y.M.; Chen, J.Y.; Liao, W.N.; Chen, H.W.; Teng, Y.M.; Pai, C.C.; et al. Prorenin receptor acts as a potential molecular target for pancreatic ductal adenocarcinoma diagnosis. Oncotarget 2016, 7, 55437–55448. [Google Scholar] [CrossRef]
- Rahman, A.; Matsuyama, M.; Ebihara, A.; Shibayama, Y.; Hasan, A.U.; Nakagami, H.; Suzuki, F.; Sun, J.; Kobayashi, T.; Hayashi, H.; et al. Antiproliferative effects of monoclonal antibodies against (Pro)Renin Receptor in pancreatic ductal adenocarcinoma. Mol. Cancer Ther. 2020, 19, 1844–1855. [Google Scholar] [CrossRef] [PubMed]
- Wegman-Ostrosky, T.; Soto-Reyes, E.; Vidal-Millán, S.; Sánchez-Corona, J. The renin-angiotensin system meets the hallmarks of cancer. J. Renin Angiotensin Aldosterone Syst. 2015, 16, 227–233. [Google Scholar] [CrossRef] [PubMed]
- Dai, Y.N.; Wang, J.H.; Zhu, J.Z.; Lin, J.Q.; Yu, C.H.; Li, Y.M. Angiotensin-converting enzyme inhibitors/angiotensin receptor blockers therapy and colorectal cancer: A systematic review and meta-analysis. Cancer Causes Control 2015, 26, 1245–1255. [Google Scholar] [CrossRef] [PubMed]
- Errarte, P.; Beitia, M.; Perez, I.; Manterola, L.; Lawrie, C.H.; Solano-Iturri, J.D.; Calvete-Candenas, J.; Unda, M.; López, J.I.; Larrinaga, G. Expression and activity of angiotensin-regulating enzymes is associated with prognostic outcome in clear cell renal cell carcinoma patients. PLoS ONE 2017, 12, e0181711. [Google Scholar] [CrossRef]
- Liu, H.; Naxerova, K.; Pinter, M.; Incio, J.; Lee, H.; Shigeta, K.; Ho, W.W.; Crain, J.A.; Jacobson, A.; Michelakos, T.; et al. Use of angiotensin system inhibitors is associated with immune activation and longer survival in nonmetastatic pancreatic ductal adenocarcinoma. Clin. Cancer Res. 2017, 23, 5959–5969. [Google Scholar] [CrossRef]
- Pinter, M.; Jain, R.K. Targeting the renin-angiotensin system to improve cancer treatment: Implications for immunotherapy. Sci. Transl. Med. 2017, 9, eaan5616. [Google Scholar] [CrossRef] [PubMed]
- Cruciat, C.M.; Ohkawara, B.; Acebron, S.P.; Karaulanov, E.; Reinhard, C.; Ingelfinger, D.; Boutros, M.; Niehrs, C. Requirement of prorenin receptor and vacuolar H+-ATPase-mediated acidification for Wnt signaling. Science 2010, 327, 459–463. [Google Scholar] [CrossRef]
- Garg, M.; Maurya, N. WNT/β-catenin signaling in urothelial carcinoma of bladder. World J. Nephrol. 2019, 8, 83–94. [Google Scholar] [CrossRef]
- Zhou, Q.; Chen, S.; Lu, M.; Luo, Y.; Wang, G.; Xiao, Y.; Ju, L.; Wang, X. EFEMP2 suppresses epithelial-mesenchymal transition via Wnt/β-catenin signaling pathway in human bladder cancer. Int. J. Biol. Sci. 2019, 15, 2139–2155. [Google Scholar] [CrossRef]
- Stransky, L.; Cotter, K.; Forgac, M. The Function of V-ATPases in Cancer. Physiol. Rev. 2016, 96, 1071–1091. [Google Scholar] [CrossRef]
- Ojha, R.; Jha, V.; Singh, S.K.; Bhattacharyya, S. Autophagy inhibition suppresses the tumorigenic potential of cancer stem cell enriched side population in bladder cancer. Biochim. Biophys. Acta 2014, 1842, 2073–2086. [Google Scholar] [CrossRef]
- Hashmi, A.A.; Hussain, Z.F.; Irfan, M.; Edhi, M.M.; Kanwal, S.; Faridi, N.; Khan, A. Cytokeratin 5/6 expression in bladder cancer: Association with clinicopathologic parameters and prognosis. BMC Res. Notes 2018, 11, 207. [Google Scholar] [CrossRef]
- Mitra, A.P.; Hansel, D.E.; Cote, R.J. Prognostic value of cell-cycle regulation biomarkers in bladder cancer. Semin. Oncol. 2012, 39, 524–533. [Google Scholar] [CrossRef][Green Version]
- Malats, N.; Bustos, A.; Nascimento, C.M.; Fernandez, F.; Rivas, M.; Puente, D.; Kogevinas, M.; Real, F.X. P53 as a prognostic marker for bladder cancer: A meta-analysis and review. Lancet Oncol. 2005, 6, 678–686. [Google Scholar] [CrossRef]
- Muilwijk, T.; Akand, M.; Daelemans, S.; Marien, K.; Waumans, Y.; Kockx, M.; Baekelandt, L.; Van den Broeck, T.; Van der Aa, F.; Gevaert, T.; et al. Stromal marker fibroblast activation protein drives outcome in T1 non-muscle invasive bladder cancer. PLoS ONE 2021, 16, e0257195. [Google Scholar] [CrossRef] [PubMed]
- Nunes-Xavier, C.E.; Angulo, J.C.; Pulido, R.; López, J.I. A Critical Insight into the Clinical Translation of PD-1/PD-L1 Blockade Therapy in Clear Cell Renal Cell Carcinoma. Curr. Urol. Rep. 2019, 20, 1. [Google Scholar] [CrossRef] [PubMed]
- Kaneko, K.; Ohba, K.; Hirose, T.; Totsune, K.; Furuyama, K.; Takahashi, K. Expression of (Pro)renin Receptor during rapamycin-induced erythropoiesis in K562 erythroleukemia cells and its possible dual actions on erythropoiesis. Tohoku J. Exp. Med. 2017, 241, 35–43. [Google Scholar] [CrossRef]
- Zaade, D.; Schmitz, J.; Benke, E.; Klare, S.; Seidel, K.; Kirsch, S.; Goldin-Lang, P.; Zollmann, F.S.; Unger, T.; Funke-Kaiser, H. Distinct signal transduction pathways downstream of the (P)RR revealed by microarray and ChIP-chip analyses. PLoS ONE 2013, 8, e57674. [Google Scholar] [CrossRef]


| n (%) | |
|---|---|
| Sex | |
| Male | 116 (97.5) |
| Female | 3 (2.5) |
| Age, years * | 68.1 ± 9.25 |
| pT category | |
| pT1 | 13 (10.9) |
| pT2 | 27 (22.7) |
| pT3 | 51 (42.9) |
| pT4 | 28 (13.5) |
| pN category | |
| pN0 | 72 (60.5) |
| pN1 | 21 (17.6) |
| pN2 | 25 (21) |
| pN3 | 1 (0.8) |
| Histological grade (WHO) | |
| G2 | 4 (3.4) |
| G3 | 115 (96.6) |
| Associated carcinoma in situ | |
| Yes | 41 (34.5) |
| No | 78 (65.5) |
| Preoperative Hb, g/dL * | 13.2 ± 2.1 |
| Adjuvant chemotherapy | |
| Yes | 29 (24.4) |
| No | 90 (75.6) |
| Bladder cancer mortality | |
| Yes | 55 (46.2) |
| No | 64 (53.8) |
| PRR Immunostaining | ||||
|---|---|---|---|---|
| Variables | Negative (%) | Weak (%) | Intense (%) | p Value |
| Histopathological features | ||||
| Grade (WHO) | ||||
| G2 (n = 4) | 25 | 75 | 0 | 0.532 |
| G3 (n = 115) | 22.6 | 53.9 | 23.5 | |
| Local invasion (pT) | ||||
| pT1–pT2 (n = 40) | 15 | 65 | 20 | 0.229 |
| pT3–pT4 (n = 79) | 26.6 | 49.4 | 24.1 | |
| pTis | ||||
| No (n = 78) | 28.2 | 50 | 21.8 | 0.135 |
| Yes (n = 47) | 12.2 | 63.4 | 24.4 | |
| Node invasion (pN) | ||||
| No (n = 72) | 25 | 56.9 | 18.1 | 0.311 |
| Yes (n = 47) | 19.1 | 51.1 | 29.8 | |
| Clinical variables | ||||
| ASA score | ||||
| I–II (n = 85) | 25.9 | 52.9 | 21.2 | 0.408 |
| >III (n = 34) | 14.7 | 58.8 | 26.5 | |
| Charlson comorbidity index | ||||
| 1–2 (n = 44) | 27.3 | 52.3 | 20.5 | 0.647 |
| >3 (n = 75) | 20 | 56 | 24 | |
| Preoperative serum Hb | ||||
| <13 mg/dl | 11.8 | 66.7 | 21.6 | 0.029 |
| ≥13 mg/dl | 30.9 | 45.6 | 23.5 | |
| Adjuvant chemotherapy | ||||
| No (n = 90) | 23.3 | 56.7 | 20 | 0.466 |
| Yes (n = 29) | 20.7 | 48.3 | 31 | |
| PRR Immunostaining | ||||
|---|---|---|---|---|
| Variables | Negative (%) | Weak (%) | Intense (%) | p Value |
| Luminal phenotype | ||||
| CK20 | ||||
| Negative (n = 73) | 24.7 | 53.4 | 21.9 | 0.807 |
| Positive (n = 41) | 19.5 | 58.5 | 22 | |
| GATA3 | ||||
| Negative (n = 32) | 28.1 | 56.3 | 15.6 | 0.41 |
| Positive (n = 84) | 20.2 | 53.6 | 26.2 | |
| Basal Phenotype | ||||
| CK5/6 | ||||
| Negative (n = 68) | 20.6 | 58.8 | 20.6 | 0.782 |
| Positive (n = 44) | 25 | 52.3 | 22.7 | |
| CD44 | ||||
| Negative (n = 54) | 24.1 | 50 | 25.9 | 0.672 |
| Positive (n = 60) | 20 | 58.3 | 21.7 | |
| Immune checkpoints | ||||
| PD-L1 | ||||
| Negative (n = 74) | 20.3 | 58.1 | 21.6 | 0.807 |
| Positive (n = 39) | 25.6 | 53.8 | 20.5 | |
| PD-1 | ||||
| Negative (n = 46) | 19.6 | 60.9 | 19.6 | 0.609 |
| Positive (n = 68) | 25 | 51.5 | 23.5 | |
| B7-H3 | ||||
| Negative (n = 46) | 21.7 | 52.2 | 26.1 | 0.833 |
| Positive (n = 66) | 22.7 | 56.1 | 21.2 | |
| VISTA | ||||
| Negative (n = 32) | 18.8 | 56.3 | 25 | 0.858 |
| Positive (n = 82) | 23.2 | 54.9 | 22 | |
| Cell-cycle regulation | ||||
| p53 | ||||
| Negative (n = 51) | 33.3 | 47.1 | 19.6 | 0.054 |
| Positive (n = 63) | 14.3 | 61.9 | 23.8 | |
| Variables | p Value | Exp (B) | Lower C.I. | Upper C.I. |
|---|---|---|---|---|
| Univariate | ||||
| Age > 68 vs. ≤68 years | 0.021 | 1.832 | 1.094 | 3.066 |
| Local invasion pT3–4 vs. pT1–2 | 0.2 × 106 | 7.918 | 3.391 | 18.489 |
| Lymph Node invasion yes vs. no | 0.2 × 107 | 4.062 | 2.383 | 6.925 |
| Tumor grade (WHO) G3 vs. G2 | 0.272 | 21.758 | 1.094 | 5.29 × 103 |
| Carcinoma in situ present vs. absent | 0.310 | 1.311 | 0.777 | 2.213 |
| Preoperative Hb > 13 vs. ≤13 g/dL | 0.135 | 0.677 | 0.406 | 1.13 |
| ASA score ≥ III vs. I–II | 0.146 | 1.492 | 0.87 | 2.561 |
| Charlson > 2 vs. ≤2 | 0.136 | 1.536 | 0.874 | 2.701 |
| Adjuvant chemotherapy yes vs. no | 0.283 | 1.362 | 0.775 | 2.392 |
| CK20 positive vs. negative | 0.798 | 0.931 | 0.537 | 1.613 |
| GATA3 positive vs. negative | 0.258 | 0.724 | 0.414 | 1.267 |
| CK5/6 positive vs. negative | 0.123 | 1.513 | 0.894 | 2.562 |
| CD44 positive vs. negative | 0.443 | 1.228 | 0.727 | 2.072 |
| PD-L1 positive vs. negative | 0.993 | 0.998 | 0.568 | 1.753 |
| PD-1 positive vs. negative | 0.384 | 0.79 | 0.465 | 1.343 |
| B7-H3 positive vs. negative | 0.879 | 0.96 | 0.569 | 1.622 |
| VISTA positive vs. negative | 0.873 | 0.954 | 0.539 | 1.692 |
| p53 positive vs. negative | 0.061 | 1.692 | 0.976 | 2.933 |
| PRR intense vs. weak vs. negative | 0.005 | 1.808 | 1.195 | 2.734 |
| Multivariate | ||||
| Local invasion pT3–4 vs. pT1–2 | 0.000 | 7.016 | 2.676 | 18.395 |
| Lymh node invasion yes vs. no | 0.006 | 2.297 | 1.27 | 4.187 |
| p53 positive vs. negative | 0.022 | 1.947 | 1.099 | 3.448 |
| PRR intense vs. weak vs. negative | 0.004 | 1.851 | 1.222 | 2.802 |
Publisher’s Note: MDPI stays neutral with regard to jurisdictional claims in published maps and institutional affiliations. |
© 2021 by the authors. Licensee MDPI, Basel, Switzerland. This article is an open access article distributed under the terms and conditions of the Creative Commons Attribution (CC BY) license (https://creativecommons.org/licenses/by/4.0/).
Share and Cite
Larrinaga, G.; Calvete-Candenas, J.; Solano-Iturri, J.D.; Martín, A.M.; Pueyo, A.; Nunes-Xavier, C.E.; Pulido, R.; Dorado, J.F.; López, J.I.; Angulo, J.C. (Pro)renin Receptor Is a Novel Independent Prognostic Marker in Invasive Urothelial Carcinoma of the Bladder. Cancers 2021, 13, 5642. https://doi.org/10.3390/cancers13225642
Larrinaga G, Calvete-Candenas J, Solano-Iturri JD, Martín AM, Pueyo A, Nunes-Xavier CE, Pulido R, Dorado JF, López JI, Angulo JC. (Pro)renin Receptor Is a Novel Independent Prognostic Marker in Invasive Urothelial Carcinoma of the Bladder. Cancers. 2021; 13(22):5642. https://doi.org/10.3390/cancers13225642
Chicago/Turabian StyleLarrinaga, Gorka, Julio Calvete-Candenas, Jon Danel Solano-Iturri, Ana M. Martín, Angel Pueyo, Caroline E. Nunes-Xavier, Rafael Pulido, Juan F. Dorado, José I. López, and Javier C. Angulo. 2021. "(Pro)renin Receptor Is a Novel Independent Prognostic Marker in Invasive Urothelial Carcinoma of the Bladder" Cancers 13, no. 22: 5642. https://doi.org/10.3390/cancers13225642
APA StyleLarrinaga, G., Calvete-Candenas, J., Solano-Iturri, J. D., Martín, A. M., Pueyo, A., Nunes-Xavier, C. E., Pulido, R., Dorado, J. F., López, J. I., & Angulo, J. C. (2021). (Pro)renin Receptor Is a Novel Independent Prognostic Marker in Invasive Urothelial Carcinoma of the Bladder. Cancers, 13(22), 5642. https://doi.org/10.3390/cancers13225642

