The Prognostic Impact of Histology in Esophageal and Esophago-Gastric Junction Adenocarcinoma
Abstract
Simple Summary
Abstract
1. Introduction
2. Materials and Methods
2.1. Study Population
2.2. Data Collection
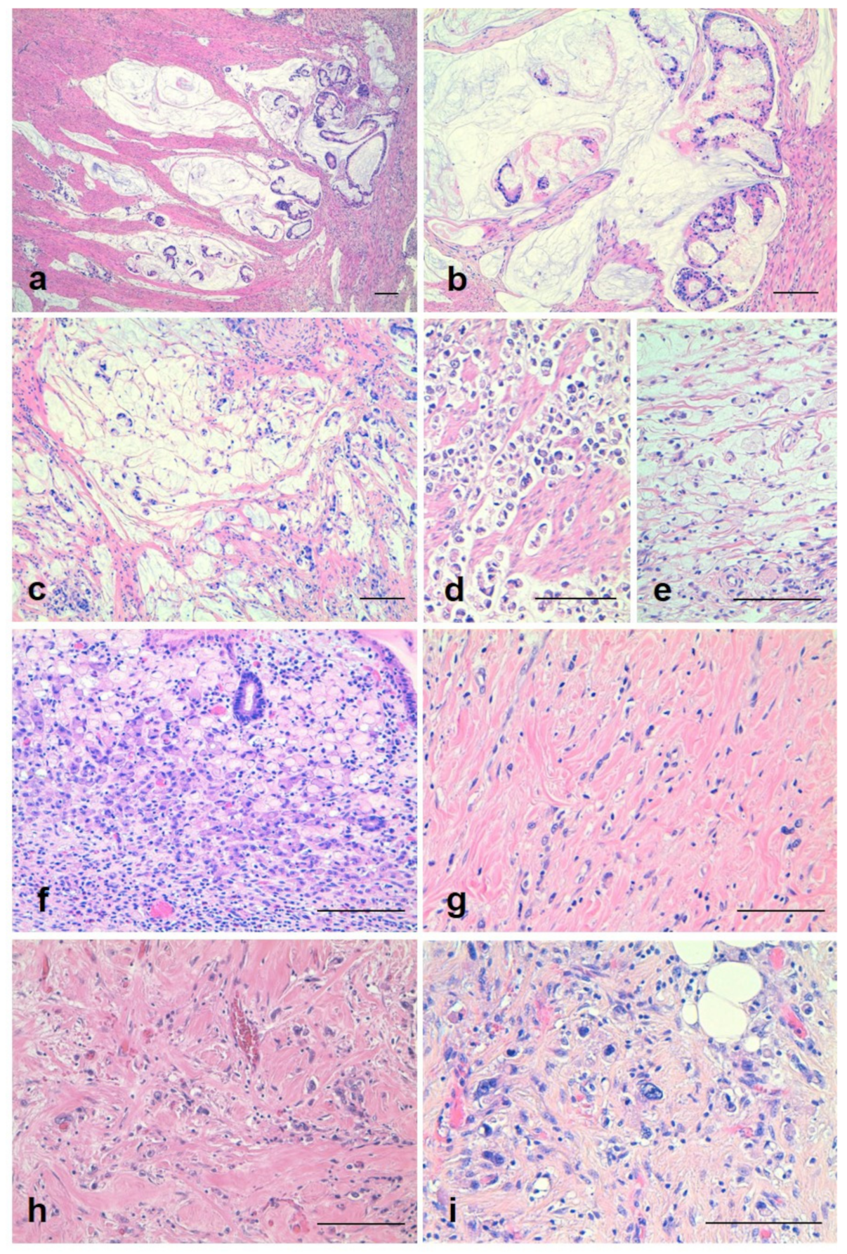
2.3. Histologic Variables
2.4. Definition of Rare Histotypes
2.5. Statistical Analysis
3. Results
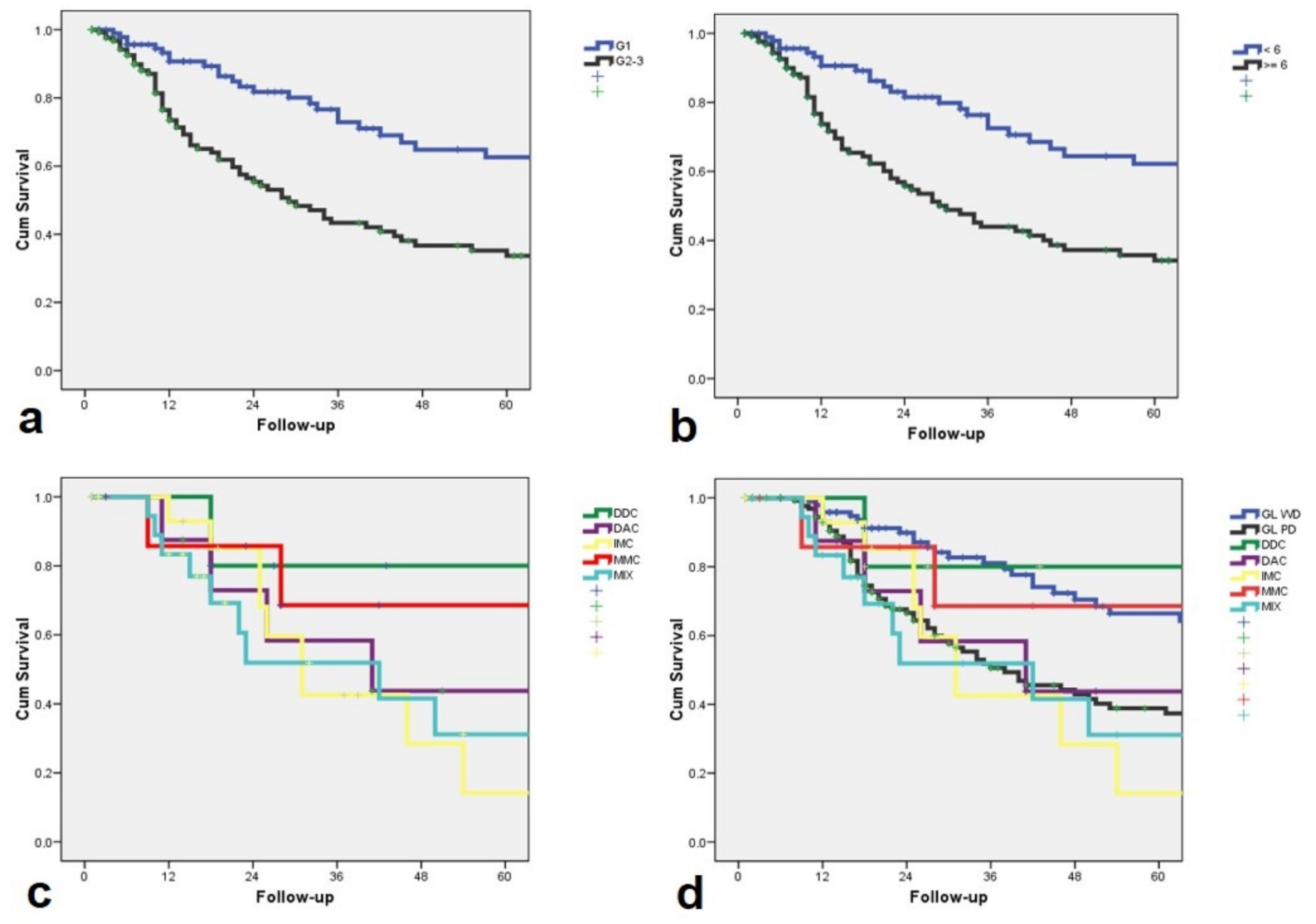
3.1. Grade and Percentage of Loss of Glandular Structure
3.2. Frequency of Rare Histotypes
3.3. Survival Analysis
3.4. Survival Analysis of Glandular Adenocarcinomas
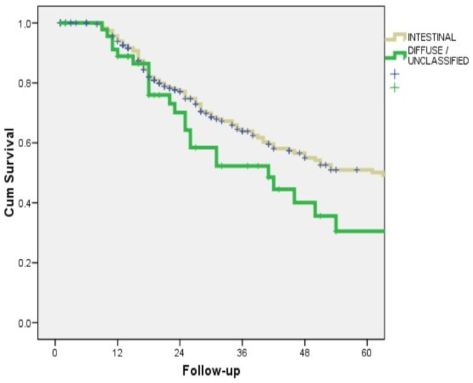
3.5. Survival Analysis of Rare Histotypes
3.6. Survival and Systemic Treatment
3.7. Prognostic Histologic Groups
3.8. Survival Analysis of the Entire Cohort
4. Discussion
5. Conclusions
Author Contributions
Funding
Institutional Review Board Statement
Informed Consent Statement
Data Availability Statement
Acknowledgments
Conflicts of Interest
References
- Domper Arnal, M.J.; Ferrández Arenas, Á.; Lanas Arbeloa, Á. Esophageal cancer: Risk factors, screening and endoscopic treatment in Western and Eastern countries. World J. Gastroenterol. 2015, 21, 7933–7943. [Google Scholar] [CrossRef] [PubMed]
- Pennathur, A.; Gibson, M.K.; Jobe, B.A.; Luketich, J.D. Oesophageal carcinoma. Lancet 2013, 381, 400–412. [Google Scholar] [CrossRef]
- Sung, H.; Ferlay, J.; Siegel, R.L.; Laversanne, M.; Soerjomataram, I.; Jemal, A.; Bray, F. Global cancer statistics 2020: GLOBOCAN estimates of incidence and mortality worldwide for 36 cancers in 185 countries. CA Cancer J. Clin. 2021, 71, 209–249. [Google Scholar] [CrossRef] [PubMed]
- Patel, N.; Benipal, B. Incidence of Esophageal Cancer in the United States from 2001–2015: A United States Cancer Statistics Analysis of 50 States. Cureus 2018, 10, e3709. [Google Scholar] [CrossRef]
- Hur, C.; Miller, M.; Kong, C.Y.; Dowling, E.C.; Nattinger, K.J.; Dunn, M.; Feuer, E.J. Trends in esophageal adenocarcinoma incidence and mortality. Cancer 2013, 119, 1149–1158. [Google Scholar] [CrossRef]
- Rubenstein, J.H.; Shaheen, N.J. Epidemiology, Diagnosis, and Management of Esophageal Adenocarcinoma. Gastroenterology 2015, 149, 302–317. [Google Scholar] [CrossRef]
- Coleman, H.G.; Xie, S.H.; Lagergren, J. The Epidemiology of Esophageal Adenocarcinoma. Gastroenterology 2018, 154, 390–405. [Google Scholar] [CrossRef]
- Cen, P.; Banki, F.; Cheng, L.; Khalil, K.; Du, X.L.; Fallon, M.; Amato, R.J.; Kaiser, L.R. Changes in age, stage distribution, and survival of patients with esophageal adenocarcinoma over three decades in the United States. Ann. Surg. Oncol. 2012, 19, 1685–1691. [Google Scholar] [CrossRef]
- Rusch, V.W. Are cancers of the esophagus, gastroesophageal junction, and cardia one disease, two, or several? Semin. Oncol. 2004, 31, 444–449. [Google Scholar] [CrossRef]
- Hölscher, A.H.; Law, S. Esophagogastric junction adenocarcinomas: Individualization of resection with special considerations for Siewert type II, and Nishi types EG, E=G and GE cancers. Gastric Cancer 2020, 23, 3–9. [Google Scholar] [CrossRef]
- Lopci, E.; Kauppi, J.; Lugaresi, M.; Mattioli, B.; Daddi, N.; Fortunato, F.; Rasanen, J.; Mattioli, S. Siewert type I and II oesophageal adenocarcinoma: Sensitivity/specificity of computed tomography, positron emission tomography and endoscopic ultrasound for assessment of lymph node metastases in groups of thoracic and abdominal lymph node stations. Interact. Cardiovasc. Thorac. Surg. 2019, 28, 518–525. [Google Scholar] [CrossRef]
- Grotenhuis, B.A.; Wijnhoven, B.P.; Poley, J.W.; Hermans, J.J.; Biermann, K.; Spaander, M.C.; Bruno, M.J.; Tilanus, H.W.; van Lanschot, J.J.B. Preoperative assessment of tumor location and station-specific lymph node status in patients with adenocarcinoma of the gastroesophageal junction. World J. Surg. 2013, 37, 147–155. [Google Scholar] [CrossRef]
- Blank, S.; Schmidt, T.; Heger, P.; Strowitzki, M.J.; Sisic, L.; Heger, U.; Nienhueser, H.; Haag, G.M.; Bruckner, T.; Mihaljevic, A.L.; et al. Surgical strategies in true adenocarcinoma of the esophagogastric junction (AEG II): Thoracoabdominal or abdominal approach? Gastric Cancer 2018, 21, 303–314. [Google Scholar] [CrossRef]
- Voron, T.; Gronnier, C.; Pasquer, A.; Thereaux, J.; Gagniere, J.; Lebreton, G.; Meunier, B.; Collet, D.; Piessen, G.; Paye, F. Adenocarcinoma of the oesophagogastric junction Siewert II: An oesophageal cancer better cured with total gastrectomy. Eur. J. Surg. Oncol. 2019, 45, 2473–2481. [Google Scholar] [CrossRef]
- Haverkamp, L.; Seesing, M.F.; Ruurda, J.P.; Boone, J.V.; Hillegersberg, R. Worldwide trends in surgical techniques in the treatment of esophageal and gastroesophageal junction cancer. Dis. Esophagus 2017, 30, 1–7. [Google Scholar] [CrossRef]
- Dresner, S.M.; Lamb, P.J.; Bennett, M.K.; Hayes, N.; Griffin, S.M. The pattern of metastatic lymph node dissemination from adenocarcinoma of the esophagogastric junction. Surgery 2001, 129, 103–109. [Google Scholar] [CrossRef]
- Sasako, M.; Sano, T.; Yamamoto, S.; Sairenji, M.; Arai, K.; Kinoshita, T.; Nashimoto, A.; Hiratsuka, M.; Japan Clinical Oncology Group (JCOG9502). Left thoracoabdominal approach versus abdominal-transhiatal approach for gastric cancer of the cardia or subcardia: A randomised controlled trial. Lancet Oncol. 2006, 7, 644–651. [Google Scholar] [CrossRef]
- Reeh, M.; Mina, S.; Bockhorn, M.; Kutup, A.; Nentwich, M.F.; Marx, A.; Sauter, G.; Rösch, T.; Izbicki, J.R.; Bogoevski, D. Staging and outcome depending on surgical treatment in adenocarcinomas of the oesophagogastric junction. Br. J. Surg. 2012, 99, 1406–1414. [Google Scholar] [CrossRef]
- Piazuelo, M.B.; Haque, S.; Delgado, A.; Du, J.X.; Rodriguez, F.; Correa, P. Phenotypic differences between esophageal and gastric intestinal metaplasia. Mod. Pathol. 2004, 17, 62–74. [Google Scholar] [CrossRef]
- Ruffato, A.; Mattioli, S.; Perrone, O.; Lugaresi, M.; Di Simone, M.P.; D’Errico, A.; Malvi, D.; Aprile, M.R.; Raulli, G.; Frassineti, L. Esophagogastric metaplasia relates to nodal metastases in adenocarcinoma of esophagus and cardia. Ann. Thorac. Surg. 2013, 95, 1147–1153. [Google Scholar] [CrossRef]
- Ruffato, A.; Lugaresi, M.; Mattioli, B.; Di Simone, M.P.; Peloni, A.; Daddi, N.; Montanari, A.; Anderlucci, L.; Mattioli, S. Total Lymphadenectomy and Nodes-Based Prognostic Factors in Surgical Intervention for Esophageal Adenocarcinoma. Ann. Thorac. Surg. 2016, 101, 1915–1920. [Google Scholar] [CrossRef][Green Version]
- Mattioli, S.; Ruffato, A.; Di Simone, M.P.; Corti, B.; D’Errico, A.; Lugaresi, M.; Mattioli, B.; D’Ovidio, F. Immunopathological patterns of the stomach in adenocarcinoma of the esophagus, cardia, and gastric antrum: Gastric profiles in Siewert type I and II tumors. Ann. Thorac. Surg. 2007, 83, 1814–1819. [Google Scholar] [CrossRef]
- Cancer Genome Atlas Research Network. Integrated genomic characterization of oesophageal carcinoma. Nature 2017, 541, 169–175. [Google Scholar] [CrossRef]
- Bornschein, J.; Wernisch, L.; Secrier, M.; Miremadi, A.; Perner, J.; MacRae, S.; O’Donovan, M.; Newton, R.; Menon, S.; Bower, L.; et al. Transcriptomic profiling reveals three molecular phenotypes of adenocarcinoma at the gastroesophageal junction. Int. J. Cancer 2019, 145, 3389–3401. [Google Scholar] [CrossRef]
- Odze, R.D.; Lam, A.K.; Ochiai, A.; Washington, M.K. Tumours of the Esophagus in Digestive System Tumours. In WHO Classification of Tumours Editorial Board, 5th ed.; WHO Classification of Digestive System Tumours, IARC: Lyon, France, 2019; pp. 23–58. [Google Scholar]
- O’Sullivan, B.; Mason, M.; Asamura, H.; Lee, A.; Van Eyken, E.; Denny, L.; Amin, M.B.; Gupta, S. Esophagus and Esophago-gastric Junction. In UICC TNM Classification of Malignant Tumors, 8th ed.; Brierley, J.D., Gospodarowicz, M.K., Wittekind, C., Eds.; Wiley Blackwell: Hoboken, NJ, USA, 2017; pp. 54–61. [Google Scholar]
- Kuijpers, C.C.; Sluijter, C.E.; von der Thüsen, J.H.; Grünberg, K.; van Oijen, M.G.; van Diest, P.J.; Jiwa, M.; Nagtegaal, I.D.; Overbeek, L.I.; Willems, S.M. Interlaboratory Variability in the Histologic Grading of Colorectal Adenocarcinomas in a Nationwide Cohort. Am. J. Surg. Pathol. 2016, 40, 1100–1108. [Google Scholar] [CrossRef]
- Chandler, I.; Houlston, R.S. Interobserver agreement in grading of colorectal cancers-findings from a nationwide web-based survey of histopathologists. Histopathology 2008, 52, 494–499. [Google Scholar] [CrossRef]
- Compton, C.C.; Fielding, L.P.; Burgart, L.J.; Conley, B.; Cooper, H.S.; Hamilton, S.R.; Hammond, M.E.; Henson, D.E.; Hutter, R.V.; Nagle, R.B.; et al. Prognostic factors in colorectal cancer. College of American Pathologists Consensus Statement 1999. Arch. Pathol. Lab. Med. 2000, 124, 979–994. [Google Scholar] [CrossRef]
- Solcia, E.; Luinetti, O.; Tava, F.; Klersy, C.; Grillo, F.; Pandolfo, N.; Fiocca, R. Identification of a lower grade muconodular subtype of gastric mucinous cancer. Virchows. Arch. 2004, 445, 572–579. [Google Scholar] [CrossRef]
- Lauren, P. The two histological main types of gastric carcinoma: Diffuse and so-called intestinal-type carcinoma. An attempt at a histo-clinical classification. Acta. Pathol. Microbiol. Scand. 1965, 64, 31–49. [Google Scholar] [CrossRef]
- Van der Kaaij, R.T.; Snaebjornsson, P.; Voncken, F.E.; van Dieren, J.M.; Jansen, E.P.; Sikorska, K.; Cats, A.; van Sandick, J.W. The prognostic and potentially predictive value of the Laurén classification in oesophageal adenocarcinoma. Eur. J. Cancer 2017, 76, 27–35. [Google Scholar] [CrossRef]
- Jiménez Fonseca, P.; Carmona-Bayonas, A.; Hernández, R.; Custodio, A.; Cano, J.M.; Lacalle, A.; Echavarria, I.; Macias, I.; Mangas, M.; Visa, L.; et al. Lauren subtypes of advanced gastric cancer influence survival and response to chemotherapy: Real-world data from the AGAMENON National Cancer Registry. Br. J. Cancer. 2017, 117, 775–782. [Google Scholar] [CrossRef] [PubMed]
- Ajani, J.A.; D’Amico, T.A.; Almhanna, K.; Bentrem, D.J.; Besh, S.; Chao, J.; Das, P.; Denlinger, C.; Fanta, P.; Fuchs, C.S.; et al. National comprehensive cancer network. Esophageal and esophagogastric junction cancers, version 1. J. Natl. Compr. Canc. Netw. 2015, 13, 194–227. [Google Scholar] [CrossRef] [PubMed]
- Kleinberg, L.; Brock, M.; Gibson, M. Management of Locally Advanced Adenocarcinoma of the Esophagus and Gastroesophageal Junction: Finally a Consensus. Curr. Treat. Options Oncol. 2015, 16, 35. [Google Scholar] [CrossRef] [PubMed]
- Mattioli, S.; Di Simone, M.P.; Ferruzzi, L.; D’Ovidio, F.; Pilotti, V.; Carella, R.; D’Errico, A.; Grigioni, W.F. Surgical therapy for adenocarcinoma of the cardia: Modalities of recurrence and extension of resection. Dis. Esophagus. 2001, 14, 104–109. [Google Scholar] [CrossRef]
- Rizk, N.P.; Venkatraman, E.; Bains, M.S.; Park, B.; Flores, R.; Tang, L.; Ilson, D.H.; Minsky, B.D.; Rusch, V.W. American Joint Committee on Cancer. American Joint Committee on Cancer staging system does not accurately predict survival in patients receiving multimodality therapy for esophageal adenocarcinoma. J. Clin. Oncol. 2007, 25, 507–512. [Google Scholar] [CrossRef]
- Ming, S.C. Gastric carcinoma: A pathobiological classification. Cancer 1977, 39, 2475–2485. [Google Scholar] [CrossRef]
- Mariette, C.; Carneiro, F.; Grabsch, H.I.; van der Post, R.S.; Allum, W.; de Manzoni, G. European Chapter of International Gastric Cancer Association. Consensus on the pathological definition and classification of poorly cohesive gastric carcinoma. Gastric Cancer 2019, 22, 1–9. [Google Scholar] [CrossRef]
- Chiaravalli, A.M.; Klersy, C.; Vanoli, A.; Ferretti, A.; Capella, C.; Solcia, E. Histotype-based prognostic classification of gastric cancer. World J. Gastroenterol. 2012, 18, 896–904. [Google Scholar] [CrossRef]
- Fukayama, M.; Rugge, M.; Washington, M.K. Tumours of the Stomach in Digestive System Tumours. In WHO Classification of Tumours Editorial Board, 5th ed.; WHO Classification of Digestive System Tumours, IARC: Lyon, France, 2019; pp. 59–109. [Google Scholar]
- Chiaravalli, A.M.; Klersy, C.; Tava, F.; Manca, R.; Fiocca, R.; Capella, C.; Solcia, E. Lower- and higher-grade subtypes of diffuse gastric cancer. Hum. Pathol. 2009, 40, 1591–1599. [Google Scholar] [CrossRef]
- Solcia, E.; Klersy, C.; Mastracci, L.; Alberizzi, P.; Candusso, M.E.; Diegoli, M.; Tava, F.; Riboni, R.; Manca, R.; Luinetti, O. A combined histologic and molecular approach identifies three groups of gastric cancer with different prognosis. Virchows Arch. 2009, 455, 197–211. [Google Scholar] [CrossRef]
- Bleaney, C.W.; Barrow, M.; Hayes, S.; Ang, Y. The relevance and implications of signet-ring cell adenocarcinoma of the oesophagus. J. Clin. Pathol. 2018, 71, 201–206. [Google Scholar] [CrossRef]
- Nafteux, P.R.; Lerut, T.E.; Villeneuve, P.J.; Dhaenens, J.M.; De Hertogh, G.; Moons, J.; Coosemans, W.J.; Van Veer, H.G.; De Leyn, P.R. Signet ring cells in esophageal and gastroesophageal junction carcinomas have a more aggressive biological behavior. Ann. Surg. 2014, 260, 1023–1029. [Google Scholar] [CrossRef]
- Patel, V.R.; Hofstetter, W.L.; Correa, A.M.; Agarwal, A.; Rashid, A.; Bhutani, M.S.; Lin, S.H.; Ajani, J.A.; Swisher, S.G.; Maru, D.M. Signet ring cells in esophageal adenocarcinoma predict poor response to preoperative chemoradiation. Ann. Thorac. Surg. 2014, 98, 1064–1071. [Google Scholar] [CrossRef]
- Yendamuri, S.; Huang, M.; Malhotra, U.; Warren, G.W.; Bogner, P.N.; Nwogu, C.E.; Groman, A.; Demmy, T.L. Prognostic implications of signet ring cell histology in esophageal adenocarcinoma. Cancer 2013, 119, 3156–3161. [Google Scholar] [CrossRef]
- Piessen, G.; Messager, M.; Lefevre, J.H.; Goéré, D.; Mabrut, J.Y.; Meunier, B.; Brigand, C.; Hamy, A.; Glehen, O.; Mariette, C.; et al. Signet ring cell adenocarcinomas: Different clinical-pathological characteristics of oesophageal and gastric locations. Eur. J. Surg. Oncol. 2014, 40, 1746–1755. [Google Scholar] [CrossRef]
- Lohneis, P.; Hieggelke, L.; Gebauer, F.; Ball, M.; Bruns, C.; Büttner, R.; Löser, H.; Quaas, A. Tumor budding assessed according to the criteria of the International Tumor Budding Consensus Conference determines prognosis in resected esophageal adenocarcinoma. Virchows Arch. 2021, 478, 393–400. [Google Scholar] [CrossRef]







| Main Clinical Characteristics | |||
|---|---|---|---|
| Gender | Male | 243 (81.3%) | |
| Female | 56 (18.7%) | ||
| Age (yrs) | Median | IQR | |
| 72 | 62–78 | ||
| Siewert | 1 | 2 | 3 |
| 119 (39.8%) | 124 (41.5%) | 56 (18.7%) | |
| R status | 0 | 1 | |
| 280 (93.6%) | 19 (6.4%) | ||
| Lymph node Number | Median | IQR | |
| 28 | 20–41 | ||
| Main Pathologic Characteristics | |||
| T | 1–2 | 3 | 4 |
| 95 (31.8%) | 179 (59.9%) | 25 (8.4%) | |
| Stage (pTNM) | Ib-II | III | IV |
| 80 (26.8%) | 149 (49.8%) | 70 (23.4%) | |
| Laurén | Intestinal | Diffuse | Unclassified |
| 250 (83.6%) | 29 (9.7%) | 20 (6.7%) | |
| Ming | Expanding | 84 (28.1%) | |
| Infiltrative | 215 (71.9%) | ||
| Histological subtype | Lower risk | 116 (38.8%) | |
| Glandular Well Differentiated | 103 (34.4%) | ||
| Mucinous Muconodular Carcinoma | 8 (2.7%) | ||
| Diffuse Desmoplastic Carcinoma | 5 (1.7%) | ||
| Higher risk | 183 (61.2%) | ||
| Glandular Poorly Differentiated | 137 (45.8%) | ||
| Invasive Mucinous Carcinoma | 17 (5.7%) | ||
| Diffuse Anaplastic Carcinoma | 9 (3%) | ||
| Mixed Carcinoma | 20 (6.7%) | ||
| UNIVARIATE ANALYSIS | Kaplan–Meier Analysis | Cox Regression Analysis | ||||||
|---|---|---|---|---|---|---|---|---|
| Variables | Criterion | No. Patients | CSS | p | HR | 95% CI | p | |
| Censored | No. of Events | |||||||
| Cut off of loss of glandular structure (i.e., poorly differentiated component) | <6 | 103 | 76 | 27 | <0.0001 | 2.361 | 1.504–3.707 | <0.0001 |
| ≥6 | 137 | 73 | 64 | |||||
| Ming’s growth pattern | Infiltrative | 165 | 98 | 67 | 0.011 | 0.551 | 0.345–0.881 | 0.013 |
| Expansive | 75 | 51 | 24 | |||||
| Vascular invasion | No | 88 | 66 | 22 | 0.001 | 2.184 | 1.351–3.531 | 0.001 |
| Yes | 152 | 83 | 69 | |||||
| Perineural invasion | No | 131 | 92 | 39 | <0.0001 | 2.110 | 1.385–3.214 | 0.001 |
| Yes | 109 | 57 | 52 | |||||
| MULTIVARIATE ANALYSIS | ||||||||
| Variables | p | |||||||
| Ming | 0.901 | |||||||
| HR | 95% CI | |||||||
| 6% cut-off of loss of glandular structure (i.e., poorly differentiated component | 0.010 | 1.860 | 1.160–2.981 | |||||
| Vascular invasion | 0.036 | 1.702 | 1.036–2.797 | |||||
| Perineural invasion | 0.040 | 1.588 | 1.020–2.472 | |||||
| UNIVARIATE ANALYSIS | ||||||||
|---|---|---|---|---|---|---|---|---|
| Kaplan–Meier Analysis | Cox regression Analysis | |||||||
| Variables | Criterion | No. Patients | CSS | p | HR | 95% CI | p | |
| Censored | No. of Events | |||||||
| Age (yrs) | <72 | 148 | 93 | 55 | 0.013 | 1.580 | 1.095–2.279 | 0.015 |
| ≥72 | 151 | 90 | 61 | |||||
| Signet ring | <5% | 246 | 156 | 90 | 0.030 | 1.610 | 1.039–2.495 | 0.033 |
| ≥5% | 53 | 27 | 26 | |||||
| Non Cohesive cells | No | 221 | 142 | 79 | 0.014 | 1.617 | 1.094–2.392 | 0.016 |
| Yes | 78 | 41 | 37 | |||||
| Ming’s growth pattern | Infiltrating | 215 | 125 | 90 | 0.004 | 0.534 | 0.344–0.827 | 0.005 |
| Expanding | 84 | 58 | 26 | |||||
| Lauren’s classification | Intestinal | 250 | 157 | 93 | 0.089 | 1.479 | 0.935–2.338 | 0.094 |
| Diffuse/ Unclassified | 49 | 26 | 23 | |||||
| Vascular Invasion | No | 107 | 80 | 27 | <0.0001 | 2.242 | 1.456–3.450 | <0.0001 |
| Yes | 192 | 103 | 89 | |||||
| Perineural Invasion | No | 165 | 112 | 53 | 0.001 | 1.883 | 1.303–2.721 | 0.001 |
| Yes | 134 | 71 | 63 | |||||
| Stage (pTNM) | I/II | 80 | 63 | 17 | <0.0001 | 2.337 | 1.785–3.060 | <0.0001 |
| III | 149 | 89 | 60 | |||||
| IV | 70 | 31 | 39 | |||||
| Histologic classification | Lower risk | 116 | 86 | 30 | <0.0001 | 2.415 | 1.593–3.664 | <0.0001 |
| Higher risk | 183 | 97 | 86 | |||||
| MULTIVARIATE ANALYSIS | ||||||||
| Variables | p | |||||||
| Signet ring | 0.297 | |||||||
| Non-cohesive cells | 0.250 | |||||||
| Ming’s growth pattern | 0.824 | |||||||
| Lauren’s classification | 0.671 | |||||||
| Perineural Invasion | 0.245 | |||||||
| HR | 95% CI | |||||||
| Stage (pTNM) | <0.0001 | 2.089 | 1.588–2.749 | |||||
| Histologic classification | 0.001 | 2.047 | 1.336–3.135 | |||||
| Age | 0.008 | 1.659 | 1.142–2.411 | |||||
| Vascular Invasion | 0.015 | 1.726 | 1.113–2.677 | |||||
Publisher’s Note: MDPI stays neutral with regard to jurisdictional claims in published maps and institutional affiliations. |
© 2021 by the authors. Licensee MDPI, Basel, Switzerland. This article is an open access article distributed under the terms and conditions of the Creative Commons Attribution (CC BY) license (https://creativecommons.org/licenses/by/4.0/).
Share and Cite
Fiocca, R.; Mastracci, L.; Lugaresi, M.; Grillo, F.; D’Errico, A.; Malvi, D.; Spaggiari, P.; Tomezzoli, A.; Albarello, L.; Ristimäki, A.; et al. The Prognostic Impact of Histology in Esophageal and Esophago-Gastric Junction Adenocarcinoma. Cancers 2021, 13, 5211. https://doi.org/10.3390/cancers13205211
Fiocca R, Mastracci L, Lugaresi M, Grillo F, D’Errico A, Malvi D, Spaggiari P, Tomezzoli A, Albarello L, Ristimäki A, et al. The Prognostic Impact of Histology in Esophageal and Esophago-Gastric Junction Adenocarcinoma. Cancers. 2021; 13(20):5211. https://doi.org/10.3390/cancers13205211
Chicago/Turabian StyleFiocca, Roberto, Luca Mastracci, Marialuisa Lugaresi, Federica Grillo, Antonietta D’Errico, Deborah Malvi, Paola Spaggiari, Anna Tomezzoli, Luca Albarello, Ari Ristimäki, and et al. 2021. "The Prognostic Impact of Histology in Esophageal and Esophago-Gastric Junction Adenocarcinoma" Cancers 13, no. 20: 5211. https://doi.org/10.3390/cancers13205211
APA StyleFiocca, R., Mastracci, L., Lugaresi, M., Grillo, F., D’Errico, A., Malvi, D., Spaggiari, P., Tomezzoli, A., Albarello, L., Ristimäki, A., Bottiglieri, L., Bonora, E., Krishnadath, K. K., Raulli, G. D., Rosati, R., Fumagalli Romario, U., De Manzoni, G., Räsänen, J., & Mattioli, S., on behalf of the EACSGE Study Group. (2021). The Prognostic Impact of Histology in Esophageal and Esophago-Gastric Junction Adenocarcinoma. Cancers, 13(20), 5211. https://doi.org/10.3390/cancers13205211

