Long Term Results of Single-Fraction Carbon-Ion Radiotherapy for Non-small Cell Lung Cancer
Abstract
Simple Summary
Abstract
1. Introduction
2. Results
2.1. Patients
2.2. Survival
2.3. Local Control
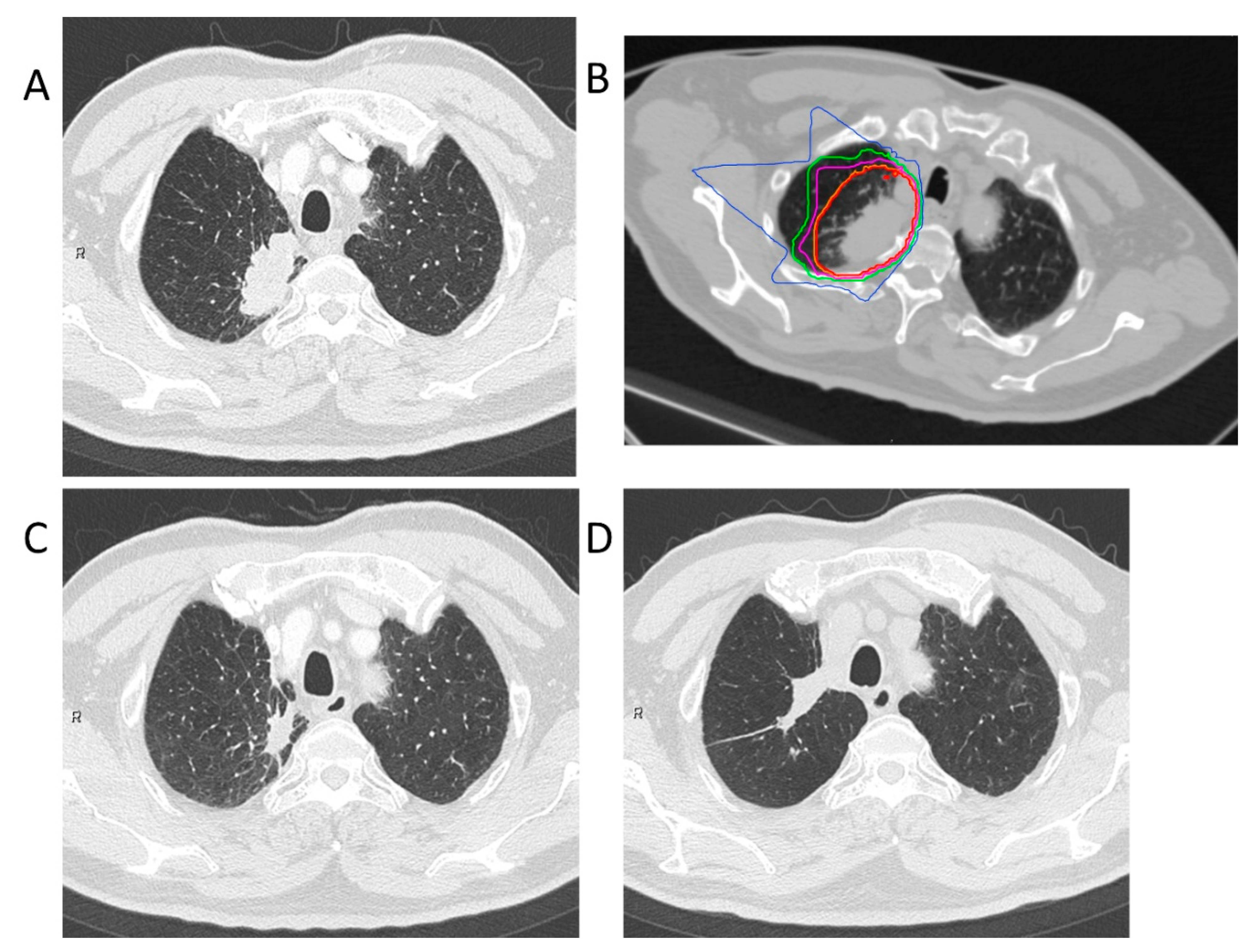
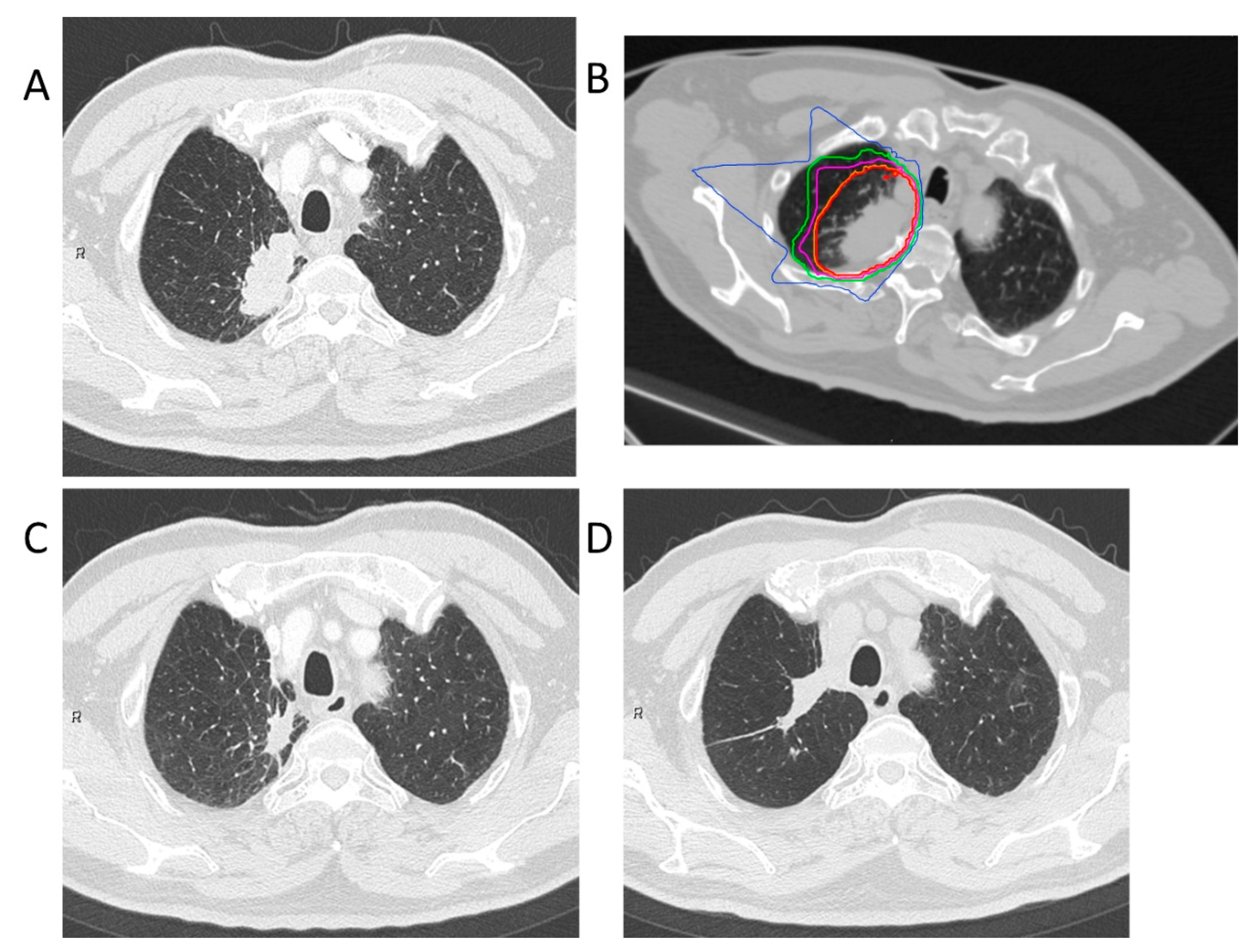
2.4. Toxicities
3. Discussion
4. Materials and Methods
4.1. Patients
4.2. Carbon-Ion Radiotherapy
4.3. Evaluation and Follow-Up
4.4. Statistical Analysis
5. Conclusions
Author Contributions
Funding
Institutional Review Board Statement
Informed Consent Statement
Data Availability Statement
Acknowledgments
Conflicts of Interest
References
- Bray, F.; Ferlay, J.; Soerjomataram, I.; Siegel, R.L.; Torre, L.A.; Jemal, A. Global cancer statistics 2018: GLOBOCAN estimates of incidence and mortality worldwide for 36 cancers in 185 countries. CA Cancer J. Clin. 2018, 68, 394–424. [Google Scholar] [CrossRef] [PubMed]
- Raz, D.J.; Zell, J.A.; Ou, S.-H.I.; Gandara, D.R.; Anton-Culver, H.; Jablons, D.M. Natural History of Stage I Non-Small Cell Lung Cancer. Chest 2007, 132, 193–199. [Google Scholar] [CrossRef] [PubMed]
- Rosen, J.E.; Keshava, H.B.; Yao, X.; Kim, A.W.; Detterbeck, F.C.; Boffa, D.J. The Natural History of Operable Non-Small Cell Lung Cancer in the National Cancer Database. Ann. Thorac. Surg. 2016, 101, 1850–1855. [Google Scholar] [CrossRef] [PubMed]
- Hirsch, F.R.; Scagliotti, G.V.; Mulshine, J.L.; Kwon, R.; Curran, W.J.; Wu, Y.-L.; Paz-Ares, L. Lung cancer: Current therapies and new targeted treatments. Lancet 2017, 389, 299–311. [Google Scholar] [CrossRef]
- Li, Q.; Swanick, C.W.; Allen, P.; Gomez, D.R.; Welsh, J.W.; Liao, Z.; Balter, P.A.; Chang, J.Y. Stereotactic ablative radiotherapy (SABR) using 70Gy in 10 fractions for non-small cell lung cancer: Exploration of clinical indications. Radiother. Oncol. 2014, 112, 256–261. [Google Scholar] [CrossRef] [PubMed]
- Nagata, Y.; Takayama, K.; Matsuo, Y.; Norihisa, Y.; Mizowaki, T.; Sakamoto, T.; Sakamoto, M.; Mitsumori, M.; Shibuya, K.; Araki, N.; et al. Clinical outcomes of a phase I/II study of 48 Gy of stereotactic body radiotherapy in 4 fractions for primary lung cancer using a stereotactic body frame. Int. J. Radiat. Oncol. 2005, 63, 1427–1431. [Google Scholar] [CrossRef] [PubMed]
- Nagata, Y.; Hiraoka, M.; Shibata, T.; Onishi, H.; Kokubo, M.; Karasawa, K.; Shioyama, Y.; Onimaru, R.; Kozuka, T.; Kunieda, E.; et al. Prospective Trial of Stereotactic Body Radiation Therapy for Both Operable and Inoperable T1N0M0 Non-Small Cell Lung Cancer: Japan Clinical Oncology Group Study JCOG0403. Int. J. Radiat. Oncol. 2015, 93, 989–996. [Google Scholar] [CrossRef] [PubMed]
- Chang, J.Y.; Senan, S.; Paul, M.A.; Mehran, R.J.; Louie, A.V.; Balter, P.; Groen, H.J.M.; McRae, S.E.; Widder, J.; Feng, L.; et al. Stereotactic ablative radiotherapy versus lobectomy for operable stage I non-small-cell lung cancer: A pooled analysis of two randomised trials. Lancet Oncol. 2015, 16, 630–637. [Google Scholar] [CrossRef]
- Ma, L.; Xiang, J. Clinical outcomes of video-assisted thoracic surgery and stereotactic body radiation therapy for early-stage non-small cell lung cancer: A meta-analysis. Thorac. Cancer 2016, 7, 442–451. [Google Scholar] [CrossRef]
- Miyamoto, T.; Yamamoto, N.; Nishimura, H.; Koto, M.; Tsujii, H.; Mizoe, J.-E.; Kamada, T.; Kato, H.; Yamada, S.; Morita, S.; et al. Carbon ion radiotherapy for stage I non-small cell lung cancer. Radiother. Oncol. 2003, 66, 127–140. [Google Scholar] [CrossRef]
- Schulz-Ertner, D.; Tsujii, H. Particle Radiation Therapy Using Proton and Heavier Ion Beams. J. Clin. Oncol. 2007, 25, 953–964. [Google Scholar] [CrossRef] [PubMed]
- Yamamoto, N.; Miyamoto, T.; Nakajima, M.; Karube, M.; Hayashi, K.; Tsuji, H.; Tsujii, H.; Kamada, T.; Fujisawa, T. A Dose Escalation Clinical Trial of Single-Fraction Carbon Ion Radiotherapy for Peripheral Stage I Non–Small Cell Lung Cancer. J. Thorac. Oncol. 2017, 12, 673–680. [Google Scholar] [CrossRef] [PubMed]
- Nair, A.; Klusmann, M.J.; Jogeesvaran, K.H.; Grubnic, S.; Green, S.J.; Vlahos, I. Revisions to the TNM Staging of Non–Small Cell Lung Cancer: Rationale, Clinicoradiologic Implications, and Persistent Limitations. Radiogr. 2011, 31, 215–238. [Google Scholar] [CrossRef] [PubMed]
- Nakamura, H.; Ando, K.; Shinmyo, T.; Morita, K.; Mochizuki, A.; Kurimoto, N.; Tatsunami, S. Female Gender Is an Independent Prognostic Factor in Non-small-cell Lung Cancer: A Meta-analysis. Ann. Thorac. Cardiovasc. Surg. 2011, 17, 469–480. [Google Scholar] [CrossRef]
- Okami, J.; Shintani, Y.; Okumura, M.; Ito, H.; Ohtsuka, T.; Toyooka, S.; Mori, T.; Watanabe, S.-I.; Date, H.; Yokoi, K.; et al. Demographics, Safety and Quality, and Prognostic Information in Both the Seventh and Eighth Editions of the TNM Classification in 18,973 Surgical Cases of the Japanese Joint Committee of Lung Cancer Registry Database in 2010. J. Thorac. Oncol. 2019, 14, 212–222. [Google Scholar] [CrossRef]
- Dickhoff, C.; Schaap, P.M.R.; Otten, R.; Heymans, M.W.; Heineman, D.J.; Dahele, M. Salvage surgery for local recurrence after stereotactic body radiotherapy for early stage non-small cell lung cancer: A systematic review. Ther. Adv. Med Oncol. 2018, 10, 1758835918787989. [Google Scholar] [CrossRef]
- Mizobuchi, T.; Yamamoto, N.; Nakajima, M.; Baba, M.; Miyoshi, K.; Nakayama, H.; Watanabe, S.-I.; Katoh, R.; Kohno, T.; Kamiyoshihara, M.; et al. Salvage surgery for local recurrence after carbon ion radiotherapy for patients with lung cancer. Eur. J. Cardio-Thoracic Surg. 2015, 49, 1503–1509. [Google Scholar] [CrossRef]
- Karube, M.; Yamamoto, N.; Tsuji, H.; Kanematsu, N.; Nakajima, M.; Yamashita, H.; Nakagawa, K.; Kamada, T. Carbon-ion re-irradiation for recurrences after initial treatment of stage I non-small cell lung cancer with carbon-ion radiotherapy. Radiother. Oncol. 2017, 125, 31–35. [Google Scholar] [CrossRef]
- Viani, G.A.; Arruda, C.V.; De Fendi, L.I. Effectiveness and Safety of Reirradiation With Stereotactic Ablative Radiotherapy of Lung Cancer After a First Course of Thoracic Radiation. Am. J. Clin. Oncol. 2020, 43, 575–581. [Google Scholar] [CrossRef]
- Chen-Yoshikawa, T.F.; Matsuo, Y.; Yoshizawa, A.; Sato, T.; Sakai, H.; Bando, T.; Okubo, K.; Shibuya, K.; Date, H. Salvage Lung Resection for Non-small Cell Lung Cancer After Stereotactic Body Radiotherapy in Initially Operable Patients. J. Thorac. Oncol. 2010, 5, 1999–2002. [Google Scholar] [CrossRef]
- Saitoh, J.-I.; Shirai, K.; Mizukami, T.; Abe, T.; Ebara, T.; Ohno, T.; Minato, K.; Saitoh, J.-I.; Yamada, M.; Nakano, T. Hypofractionated carbon-ion radiotherapy for stage I peripheral nonsmall cell lung cancer (GUNMA0701): Prospective phase II study. Cancer Med. 2019, 8, 6644–6650. [Google Scholar] [CrossRef] [PubMed]
- Iwata, H.; Murakami, M.; Demizu, Y.; Miyawaki, D.; Terashima, K.; Niwa, Y.; Mima, M.; Akagi, T.; Hishikawa, Y.; Shibamoto, Y. High-dose proton therapy and carbon-ion therapy for stage I nonsmall cell lung cancer. Cancer 2010, 116, 2476–2485. [Google Scholar] [CrossRef] [PubMed]
- Videtic, G.M.M.; Paulus, R.; Singh, A.K.; Chang, J.Y.; Parker, W.; Olivier, K.R.; Timmerman, R.D.; Komaki, R.R.; Urbanic, J.J.; Stephans, K.L.; et al. Long-term Follow-up on NRG Oncology RTOG 0915 (NCCTG N0927): A Randomized Phase 2 Study Comparing 2 Stereotactic Body Radiation Therapy Schedules for Medically Inoperable Patients With Stage I Peripheral Non-Small Cell Lung Cancer. Int. J. Radiat. Oncol. 2019, 103, 1077–1084. [Google Scholar] [CrossRef] [PubMed]
- Ebara, T.; Shimada, H.; Kawamura, H.; Shirai, K.; Saito, J.-I.; Kawashima, M.; Tashiro, M.; Ohno, T.; Kanai, T.; Nakano, T. Dosimetric analysis between carbon ion radiotherapy and stereotactic body radiotherapy in stage I lung cancer. Anticancer. Res. 2014, 34, 5099–5104. [Google Scholar] [PubMed]
- Demizu, Y.; Fujii, O.; Iwata, H.; Fuwa, N. Carbon Ion Therapy for Early-Stage Non-Small-Cell Lung Cancer. BioMed Res. Int. 2014, 2014, 1–9. [Google Scholar] [CrossRef]
- Barriger, R.B.; Forquer, J.A.; Brabham, J.G.; Andolino, D.L.; Shapiro, R.H.; Henderson, M.A.; Johnstone, P.A.; Fakiris, A.J. A Dose–Volume Analysis of Radiation Pneumonitis in Non–Small Cell Lung Cancer Patients Treated With Stereotactic Body Radiation Therapy. Int. J. Radiat. Oncol. 2012, 82, 457–462. [Google Scholar] [CrossRef]
- Miyamoto, T.; Baba, M.; Yamamoto, N.; Koto, M.; Sugawara, T.; Yashiro, T.; Kadono, K.; Ezawa, H.; Tsujii, H.; Mizoe, J.-E.; et al. Curative treatment of Stage I non–small-cell lung cancer with carbon ion beams using a hypofractionated regimen. Int. J. Radiat. Oncol. 2007, 67, 750–758. [Google Scholar] [CrossRef]
- Miyamoto, T.; Baba, M.; Sugane, T.; Nakajima, M.; Yashiro, T.; Kagei, K.; Hirasawa, N.; Sugawara, T.; Yamamoto, N.; Koto, M.; et al. Carbon Ion Radiotherapy for Stage I Non-small Cell Lung Cancer Using a Regimen of Four Fractions during 1 Week. J. Thorac. Oncol. 2007, 2, 916–926. [Google Scholar] [CrossRef]
- Common Terminology Criteria for Adverse Events (CTCAE) Version 4.0, Published 28 May 2009, Revised Version 4.03 14 June 2010. Available online: http://evs.nci.nih.gov/ftp1/CTCAE/CTCAE_4.03_2010-06-14_QuickReference_8.5x11.pdf (accessed on 25 May 2020).
- Ohnishi, K.; Nakamura, N.; Harada, H.; Tokumaru, S.; Wada, H.; Arimura, T.; Iwata, H.; Sato, Y.; Sekino, Y.; Tamamura, H.; et al. Proton Beam Therapy for Histologically or Clinically Diagnosed Stage I Non-Small Cell Lung Cancer (NSCLC): The First Nationwide Retrospective Study in Japan. Int. J. Radiat. Oncol. 2020, 106, 82–89. [Google Scholar] [CrossRef]



| Characteristics | Patients |
|---|---|
| Age (years) | |
| Median (range) | 75 (42–94) |
| Gender | |
| Male | 32 (56.1%) |
| Female | 25 (43.9%) |
| Performance status | |
| 0 | 47 (82.5%) |
| 1 | 9 (15.7%) |
| 2 | 1 (1.8%) |
| Operable or inoperable | |
| Operable | 35 (61.4%) |
| Inoperable | 22 (38.6%) |
| Follow-up time (months) | |
| Median (range) | 61 (6–97) |
| Stage (UICC 7th) | |
| IA | 39 (68.4%) |
| IB | 18 (31.6%) |
| Stage (UICC 8th) | |
| IA2 | 24 (42.1%) |
| IA3 | 15 (26.3%) |
| IB | 13 (22.8%) |
| IIA | 5 (8.8%) |
| Tumor location | |
| Right upper lobe | 20 (35.1%) |
| Right lower lobe | 10 (17.5%) |
| Left upper lobe | 12 (21.1%) |
| Left lower lobe | 15 (26.3%) |
| Histopathology | |
| Adenocarcinoma | 38 (66.7%) |
| Squamous cell carcinoma | 17 (29.8%) |
| Non-small cell lung cancer | 2 (3.5%) |
| Chronic obstructive pulmonary disease | |
| Yes | 22 (38.6%) |
| No | 35 (61.4%) |
| Diameter of lung tumor (mm) | |
| Median (range) | 26.0 (11.0–46.0) |
| Factor | Patient (n = 57) | 5 Year OS | Univariate Analysis | Multivariate Analysis | ||
|---|---|---|---|---|---|---|
| HR (95% CI) | p-Value | HR (95% CI) | p-Value | |||
| Age | 1.74 (0.63–4.77) | 0.286 | - | - | ||
| ≤75 | 29 | 81.8% | ||||
| >75 | 28 | 82.1% | ||||
| Gender | 2.80 (0.92–8.58) | 0.071 | 3.35 (1.04–10.82) | 0.043 * | ||
| women | 25 | 91.8% | ||||
| men | 32 | 74.0% | ||||
| Performance status | 2.26 (0.71–7.15) | 0.167 | - | - | ||
| 0 | 47 | 84.7% | ||||
| 1–2 | 10 | 70.0% | ||||
| Operability | 3.53 (1.21–10.34) | 0.021 * | 3.93 (1.33–11.59) | 0.013 * | ||
| operable | 35 | 88.1% | ||||
| inoperable | 22 | 72.7% | ||||
| Histlogy | 0.91 (0.33–2.54) | 0.860 | - | - | ||
| others | 19 | 84.2% | ||||
| adenocarcinoma | 38 | 81.1% | ||||
| Statge | 1.80 (0.67–4.86) | 0.248 | - | - | ||
| IA | 39 | 81.8% | ||||
| IB | 18 | 82.1% | ||||
| COPD | 1.38 (0.51–3.73) | 0.528 | - | - | ||
| no | 35 | 79.2% | ||||
| yes | 22 | 86.4% | ||||
| Factor | Patients (n = 57) | 5 Year LC | Univariate Analysis | |
|---|---|---|---|---|
| HR (95% CI) | p-Value | |||
| Age | 0.35 (0.035–3.28) | 0.351 | ||
| ≤75 | 29 | 88.6% | ||
| >75 | 28 | 94.7% | ||
| Gender | 3.04 (0.31–26.41) | 0.337 | ||
| women | 25 | 95.5% | ||
| men | 32 | 88.9% | ||
| Performance status | 0.04 (0.00–6401.09) | 0.596 | ||
| 0 | 47 | 90.4% | ||
| 1–2 | 10 | 100% | ||
| Operability | 0.70 (0.07–6.81) | 0.760 | ||
| operable | 35 | 90.8% | ||
| inoperable | 22 | 95.0% | ||
| Histlogy | 1.50 (0.16–14.43) | 0.726 | ||
| others | 19 | 93.8% | ||
| adenocarcinoma | 38 | 91.1% | ||
| Statge | 6.59 (0.68–63.39) | 0.103 | ||
| IA | 39 | 97.4% | ||
| IB | 18 | 80.5% | ||
| COPD | 5.68 (0.59–54.71) | 0.133 | ||
| no | 35 | 96.3% | ||
| yes | 22 | 84.4% | ||
| Toxicities | Grade 0 | Grade 1 | Grade 2 | Grades 3–5 |
|---|---|---|---|---|
| Pneumonitis | 0 | 57 (100%) | 0 | 0 |
| Rib fracture | 23 (40.4%) | 30 (52.6%) | 4 (7.0%) | 0 |
| Pleural effusion | 49 (86.0%) | 8 (14.0%) | 0 | 0 |
| Peripheral motor neuropathy | 55 (96.5%) | 0 | 2 (3.5%) | 0 |
| Dermatitis radiation | 12 (21.1%) | 45 (78.9%) | 0 | 0 |
| Authors | Total Number | Stage | Number of Patients | Median Follow-Up Time | Treatment Methods | 3-Year OS | 5-Year OS | 3-Year LC | Grade ≥3 Pneumonitis |
|---|---|---|---|---|---|---|---|---|---|
| Nagata et al. [7] | 168 | IA | 104 (inoperable) | 47 months | SBRT | 59.9% | 42.8% | 87.3% | 8.7% |
| 64 (operable) | 67 months | 76.5% | 54.0% | 85.4% | 3.1% | ||||
| Ohnishi et al. [13] | 440 | IA | 277 | 38 months | PBT | 80.7% | - | 92.2% | 1.0% |
| IB | 163 | 73.0% | - | 79.0% | 3.6% | ||||
| Present study | 57 | IA | 39 | 61 months | CIRT | 89.7% | 81.6% | 97.4% | 0 |
| IB | 18 | 94.4% | 82.1% | 94.1% | 0 |
Publisher’s Note: MDPI stays neutral with regard to jurisdictional claims in published maps and institutional affiliations. |
© 2020 by the authors. Licensee MDPI, Basel, Switzerland. This article is an open access article distributed under the terms and conditions of the Creative Commons Attribution (CC BY) license (http://creativecommons.org/licenses/by/4.0/).
Share and Cite
Ono, T.; Yamamoto, N.; Nomoto, A.; Nakajima, M.; Isozaki, Y.; Kasuya, G.; Ishikawa, H.; Nemoto, K.; Tsuji, H. Long Term Results of Single-Fraction Carbon-Ion Radiotherapy for Non-small Cell Lung Cancer. Cancers 2021, 13, 112. https://doi.org/10.3390/cancers13010112
Ono T, Yamamoto N, Nomoto A, Nakajima M, Isozaki Y, Kasuya G, Ishikawa H, Nemoto K, Tsuji H. Long Term Results of Single-Fraction Carbon-Ion Radiotherapy for Non-small Cell Lung Cancer. Cancers. 2021; 13(1):112. https://doi.org/10.3390/cancers13010112
Chicago/Turabian StyleOno, Takashi, Naoyoshi Yamamoto, Akihiro Nomoto, Mio Nakajima, Yuka Isozaki, Goro Kasuya, Hitoshi Ishikawa, Kenji Nemoto, and Hiroshi Tsuji. 2021. "Long Term Results of Single-Fraction Carbon-Ion Radiotherapy for Non-small Cell Lung Cancer" Cancers 13, no. 1: 112. https://doi.org/10.3390/cancers13010112
APA StyleOno, T., Yamamoto, N., Nomoto, A., Nakajima, M., Isozaki, Y., Kasuya, G., Ishikawa, H., Nemoto, K., & Tsuji, H. (2021). Long Term Results of Single-Fraction Carbon-Ion Radiotherapy for Non-small Cell Lung Cancer. Cancers, 13(1), 112. https://doi.org/10.3390/cancers13010112

