Overexpressing the cpr1953 Orphan Histidine Kinase Gene in the Absence of cpr1954 Orphan Histidine Kinase Gene Expression, or Vice Versa, Is Sufficient to Obtain Significant Sporulation and Strong Production of Clostridium perfringens Enterotoxin or Spo0A by Clostridium perfringens Type F Strain SM101
Abstract
1. Introduction
2. Results
2.1. Construction and Characterization of cpr1953 or cpr1954 Overexpressing Strains
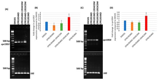
2.2. Evidence for Overexpression of the cpr1953 or cpr1954 Genes in, Respectively, CPR1954KO-1953COM or CPR1953KO-1954COM
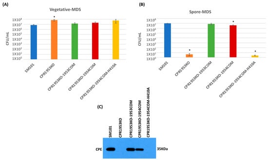
2.3. Overexpression of cpr1953 or cpr1954 Genes, Respectively, by the cpr1954 or cpr1953 Null Mutants Is Sufficient to Restore Sporulation and CPE Production to near Wild-Type Levels in MDS Cultures
2.4. Overexpression of cpr1953 in the Absence of cpr1954 Expression or Vice Versa, Is Also Sufficient to Obtain near Wild-Type Levels of Sporulation and CPE Production in MIC
2.5. Analysis of Spo0A Production Levels by Strains Overexpressing cpr1953 in the Absence of cpr1954 Expression or Vice Versa
3. Discussion
4. Materials and Methods
4.1. C. perfringens Isolates, Plasmids, Media, and Culture Condition
4.2. Construction of Overexpressing Strains
4.3. Preparation of Pathophysiologically-Relevant Ex Vivo MIC
4.4. Comparison of Growth Kinetics between C. perfringens Strains Cultured in MDS Sporulation Medium
4.5. Measurement of Viable Vegetative Cells or Heat-Resistant Spores
4.6. Western Blot Analyses of CPE Production
4.7. Western Blot Analysis of Spo0A Production
4.8. DNA Extraction and PCR Analysis
4.9. RNA Isolation and RT-PCR Analysis
4.10. Statistical Analysis
Author Contributions
Funding
Institutional Review Board Statement
Informed Consent Statement
Data Availability Statement
Acknowledgments
Conflicts of Interest
References
- McClane, B.A.; Robertson, S.L.; Li, J. Clostridium perfringens. In Food Microbiology: Fundamentals and Frontiers, 4th ed.; Doyle, M.P., Buchanan, R.L., Eds.; ASM Press: Washington, DC, USA, 2013; pp. 465–489. [Google Scholar]
- Rood, J.I.; Adams, V.; Lacey, J.; Lyras, D.; McClane, B.A.; Melville, S.B.; Moore, R.J.; Popoff, M.R.; Sarker, M.R.; Songer, J.G.; et al. Expansion of the Clostridium perfringens toxinotyping scheme. Anaerobe 2018, 53, 5–10. [Google Scholar] [CrossRef] [PubMed]
- Grenda, T.; Jarosz, A.; Sapała, M.; Grenda, A.; Patyra, E.; Kwiatek, K. Clostridium perfringens-opportunistic foodborne pathogen, its diversity and epidemiological significance. Pathogens 2023, 12, 768. [Google Scholar] [CrossRef] [PubMed]
- Carman, R.J.; Sayeed, S.; Li, J.; Genheimer, C.W.; Hiltonsmith, M.F.; Wilkins, T.D.; McClane, B.A. Clostridium perfringens toxin genotypes in the feces of healthy North Americans. Anaerobe 2008, 14, 102–108. [Google Scholar] [CrossRef]
- Voidarou, C.; Bezirtzoglou, E.; Alexopoulos, A.; Plessas, S.; Stefanis, C.; Papadopoulos, I.; Vavias, S.; Stavropoulou, E.; Fotou, K.; Tzora, A.; et al. Occurrence of Clostridium perfringens from different cultivated soils. Anaerobe 2011, 17, 320–324. [Google Scholar] [CrossRef] [PubMed]
- Stelma, G.N. Use of bacterial spores in monitoring water quality and treatment. J. Water Health 2018, 16, 491–500. [Google Scholar] [CrossRef] [PubMed]
- Mehdizadeh Gohari, I.; Navarro, M.; Li, J.; Shrestha, A.; Uzal, F.A.; McClane, B.A. Pathogenicity and virulence of Clostridium perfringens. Virulence 2021, 12, 723–753. [Google Scholar] [CrossRef] [PubMed]
- Kiu, R.; Hall, L.J. An update on the human and animal enteric pathogen Clostridium perfringens. Emerg. Microbes. Infect. 2018, 6, 141. [Google Scholar] [CrossRef] [PubMed]
- McClane, B.A.; Lyerly, D.M.; Wilkins, T.D. Enterotoxic clostridia: Clostridium perfringens type A and Clostridium difficile. In Gram-positive Pathogens, 3rd ed.; Fischetti, V.A., Novick, R.P., Ferretti, J.J., Portnoy, D.A., Rood, J.I., Eds.; ASM Press: Washington, DC, USA, 2006; pp. 703–714. [Google Scholar]
- Carman, R.J. Clostridium perfringens in spontaneous and antibiotic-associated diarrhoea of man and other animals. Rev. Med. Microbiol. 1997, 8, 546. [Google Scholar] [CrossRef]
- Larcombe, S.; Hutton, M.L.; Lyras, D. Involvement of bacteria other than Clostridium difficile in antibiotic-associated diarrhoea. Trends. Microbiol. 2016, 24, 463–476. [Google Scholar] [CrossRef] [PubMed]
- Mpamugo, O.; Donovan, T.; Brett, M.M. Enterotoxigenic Clostridium perfringens as a cause of sporadic cases of diarrhoea. J. Med. Microbiol. 1995, 43, 442–445. [Google Scholar] [CrossRef] [PubMed]
- Borriello, S.P.; Larson, H.E.; Welch, A.R.; Barclay, F.; Stringer, M.F.; Bartholomew, B.A. Enterotoxigenic Clostridium perfringens: A possible cause of antibiotic-associated diarrhoea. Lancet 1984, 11, 305–307. [Google Scholar] [CrossRef] [PubMed]
- García, S.; Vidal, J.E.; Heredia, N.; Juneja, V.K. Clostridium perfringens. In Food Microbiology: Fundamentals and Frontiers, 5th ed.; Doyle, M.P., Diez-Gonzalez, F., Hill, C., Eds.; ASM Press: Washington, DC, USA, 2019; pp. 513–540. [Google Scholar]
- Sarker, M.R.; Carman, R.J.; McClane, B.A. Inactivation of the gene (cpe) encoding Clostridium perfringens enterotoxin eliminates the ability of two cpe-positive C. perfringens type A human gastrointestinal disease isolates to affect rabbit ileal loops. Mol. Microbiol. 1999, 33, 946–958. [Google Scholar] [CrossRef] [PubMed]
- Li, J.; Paredes-Sabja, D.; Sarker, M.R.; McClane, B.A. Clostridium perfringens sporulation and sporulation-associated toxin production. Microbiol. Spectr. 2016, 4, TBS-0022-2015. [Google Scholar] [CrossRef] [PubMed]
- Zhao, Y.; Melville, S.B. Identification and characterization of sporulation-dependent promoters upstream of the enterotoxin gene (cpe) of Clostridium perfringens. J. Bacteriol. 1998, 180, 136–142. [Google Scholar] [CrossRef] [PubMed]
- Shen, A.; Edwards, A.N.; Sarker, M.R.; Paredes-Sabja, D. Sporulation and germination in Clostridial pathogens. Microbiol. Spect. 2019, 6, GGP3-0017. [Google Scholar]
- Harry, K.H.; Zhou, R.; Kroos, L.; Melville, S.B. Sporulation and enterotoxin (CPE) synthesis are controlled by the sporulation-specific factors SigE and SigK in Clostridium perfringens. J. Bacteriol. 2009, 191, 2728–2742. [Google Scholar] [CrossRef] [PubMed]
- Li, J.; McClane, B.A. Evaluating the involvement of alternative sigma factors SigF and SigG in Clostridium perfringens sporulation and enterotoxin synthesis. Infect. Immun. 2010, 78, 4286–4293. [Google Scholar] [CrossRef] [PubMed]
- Fimlaid, K.A.; Shen, A. Diverse mechanisms regulate sporulation sigma factor activity in the Firmicutes. Curr. Opin. Microbiol. 2015, 24, 88–95. [Google Scholar] [CrossRef] [PubMed]
- Huang, I.H.; Waters, M.; Grau, R.R.; Sarker, M.R. Disruption of the gene (spo0A) encoding sporulation transcription factor blocks endospore formation and enterotoxin production in enterotoxigenic Clostridium perfringens type A. FEMS Microbiol. Lett. 2004, 233, 233–240. [Google Scholar] [CrossRef] [PubMed]
- Burbulys, D.; Trach, K.A.; Hoch, J.A. Initiation of sporulation in B. subtilis is controlled by a multicomponent phosphorelay. Cell 1991, 64, 545–552. [Google Scholar] [CrossRef] [PubMed]
- Hoch, J.A. Regulation of the phosphorelay and the initiation of sporulation in Bacillus subtilis. Annu. Rev. Microbiol. 1993, 47, 441–465. [Google Scholar] [CrossRef] [PubMed]
- Shimizu, T.; Ohtani, K.; Hirakawa, H.; Ohshima, K.; Yamashita, A.; Shiba, T.; Naotake, O.; Masahira, H.; Satoru, K.; Hideo, H. Complete genome sequence of Clostridium perfringens, an anaerobic flesh-eater. Proc. Natl. Acad. Sci. USA 2002, 99, 996–1001. [Google Scholar] [CrossRef] [PubMed]
- Freedman, J.; Li, J.; Mi, E.; McClane, B.A. Identification of an important orphan histidine kinase for the initiation of sporulation and enterotoxin production by Clostridium perfringens type F strain SM101. mBio 2019, 10, e02674-18. [Google Scholar] [CrossRef] [PubMed]
- Myers, G.S.; Rasko, D.A.; Cheung, J.K.; Ravel, J.; Seshadri, R.; DeBoy, R.T.; Ren, Q.; Varga, J.; Awad, M.M.; Brinkac, L.M.; et al. Skewed genomic variability in strains of the toxigenic bacterial pathogen, Clostridium perfringens. Genome Res. 2006, 16, 1031–1040. [Google Scholar] [CrossRef] [PubMed]
- Mehdizadeh Gohari, I.; Li, J.; Navarro, M.A.; Mendonça, F.S.; Uzal, F.A.; McClane, B.A. Identification of orphan histidine kinases that impact sporulation and enterotoxin production by Clostridium perfringens type F strain SM101 in a pathophysiologically-relevant ex vivo mouse intestinal contents model. PLoS Pathog. 2023, 19, e1011429. [Google Scholar] [CrossRef] [PubMed]
- Al-Hinai, M.A.; Shawn, W.J.; Papoutsakis, E.T. The Clostridium sporulation programs: Diversity and preservation of endospore differentiation. Microbiol. Mol. Biol. Rev. 2015, 79, 19–37. [Google Scholar] [CrossRef] [PubMed]
- Tan, I.S.; Ramamurthi, K.S. Spore formation in Bacillus subtilis. Environ. Microbiol. Rep. 2014, 6, 212–225. [Google Scholar] [CrossRef]
- Riley, E.P.; Lopez-Garrido, J.; Sugie, J.; Liu, R.B.; Pogliano, K. Metabolic differentiation and intercellular nurturing underpin bacterial endospore formation. Sci. Adv. 2021, 7, eabd6385. [Google Scholar] [CrossRef] [PubMed]
- Perego, M.; Cole, S.P.; Burbulys, D.; Trach, K.; Hoch, J.A. Characterization of the gene for a protein kinase which phosphorylates the sporulation-regulatory proteins Spo0A and Spo0F of Bacillus subtilis. J. Bacteriol. 1989, 171, 6187–6196. [Google Scholar] [CrossRef] [PubMed]
- Jiang, M.; Shao, W.; Perego, M.; Hoch, J.A. Multiple histidine kinases regulate entry into stationary phase and sporulation in Bacillus subtilis. Mol. Microbiol. 2000, 38, 535–542. [Google Scholar] [CrossRef] [PubMed]
- Trach, K.A.; Hoch, J.A. Multisensory activation of the phosphorelay initiating sporulation in Bacillus subtilis: Identification and sequence of the protein kinase of the alternate pathway. Mol. Microbiol. 1993, 8, 69–79. [Google Scholar] [CrossRef] [PubMed]
- LeDeaux, J.R.; Yu, N.; Grossman, A.D. Different roles for KinA, KinB, and KinC in the initiation of sporulation in Bacillus subtilis. J. Bacteriol. 1995, 177, 861–863. [Google Scholar] [CrossRef] [PubMed]
- Trach, K.A.; Burbulys, D.; Strauch, M.; Wu, J.J.; Dhillon, N.; Jonas, R.; Hanstein, C.; Kallio, P.; Perego, M.; Bird, T. Control of the initiation of sporulation in Bacillus subtilis by a phosphorelay. Res. Microbiol. 1991, 142, 815–823. [Google Scholar] [CrossRef] [PubMed]
- Davidson, P.; Rory, E.; Redler, B.; Hiller, N.L.; Laub, M.T.; Durand, D. Flexibility and constraint: Evolutionary remodeling of the sporulation initiation pathway in Firmicutes. PLoS Genet. 2018, 14, e1007470. [Google Scholar] [CrossRef] [PubMed]
- Underwood, S.; Guan, S.; Vijayasubhash, V.; Baines, S.D.; Graham, L.; Lewis, R.J.; Wilcox, M.H.; Stephenson, K. Characterization of the sporulation initiation pathway of Clostridium difficile and its role in toxin production. J. Bacteriol. 2009, 191, 7296–7305. [Google Scholar] [CrossRef] [PubMed]
- Steiner, E.D.; Angel, E.D.; Young, D.I.; Heap, J.T.; Minton, N.P.; Hoch, J.A.; Young, M. Multiple orphan histidine kinases interact directly with Spo0A to control the initiation of endospore formation in Clostridium acetobutylicum. Mol. Microbiol. 2011, 80, 641–654. [Google Scholar] [CrossRef]
- Mearls, E.B.; Lee, R.L. The identification of four histidine kinases that influence sporulation in Clostridium thermocellum. Anaerobe 2014, 28, 109–119. [Google Scholar] [CrossRef] [PubMed]
- Fujita, M.; Sadaie, Y. Feedback loops involving Spo0A and AbrB in in vitro transcription of the genes involved in the initiation of sporulation in Bacillus subtilis. J. Biochem. 1998, 124, 98–104. [Google Scholar] [CrossRef]
- Du, G.; Zhu, C.; Wu, Y.; Kang, W.; Xu, M.; Yang, S.T.; Xue, C. Effects of orphan histidine kinases on clostridial sporulation progression and metabolism. Biotechnol. Bioeng. 2022, 119, 226–235. [Google Scholar] [CrossRef] [PubMed]
- Bannam, T.L.; Rood, J.I. Clostridium perfringens-Escherichia coli shuttle vectors that carry single antibiotic resistance determinants. Plasmid 1993, 29, 223–235. [Google Scholar] [CrossRef] [PubMed]
- McClane, B.A.; Strouse, R.J. Rapid detection of Clostridium perfringens type A enterotoxin by enzyme-linked immunosorbent assay. J. Clin. Microbiol. 1984, 19, 112–115. [Google Scholar] [CrossRef] [PubMed]
- Li, J.; Ma, M.; Sarker, M.R.; McClane, B.A. CodY is a global regulator of virulence-associated properties for Clostridium perfringens type D strain CN3718. mBio 2013, 4, e00770-13. [Google Scholar] [CrossRef] [PubMed]








| Strains or Plasmids | Description | Reference |
|---|---|---|
| Strains | ||
| SM101 | Transformable derivative of a type F food poisoning strain | [17] |
| Strain 13 | Soil isolate | [25] |
| CPR1953KO | SM101 cpr1953 null mutant | [28] |
| CPR1954KO | SM101 cpr1954 null mutant | [28] |
| CPR1953KO-1953COM | SM101 cpr1953 null mutant complement with cpr1953 | [28] |
| CPR1954KO-1954COM | SM101 cpr1954 null mutant complemented with cpr1954 | [28] |
| CPR1953KO-1954COM | SM101 cpr1953 null mutant complement with cpr1954 | This study |
| CPR1954KO-1953COM | SM101 cpr1954 null mutant complemented with cpr1953 | This study |
| CPR1953KO-1954COM-H410A | SM101 cpr1953 null mutant complemented with cpr1954-H410A | This study |
| CPR1954KO-1953COM-H430A | SM101 cpr1954 null mutant complemented with cpr1953-H430A | This study |
| Plasmids | ||
| pJIR750 | C. perfringens–E. coli shuttle plasmid | [43] |
| pJIR750-cpr1953COM | Used for construction of CPR1954KO-1953COM | [28] |
| pJIR750-cpr1954COM | Used for construction of CPR1953KO-1954COM | [28] |
| pJIR750-cpr1953COM-H430A | Used for construction of CPR1954KO-1953COM-H430A | [28] |
| pJIR750-cpr1954COM-H410A | Used for construction of CPR1953KO-1954COM-H410A | [28] |
| pUC57 | E. coli cloning vector | GenScript |
| pUC57-cpr1953COM-H430A | Used for construction of CPR1953COM-H430A plasmid | [28] |
| pUC57-cpr1954COM-H410A | Used for construction of a CPR1954COM-H410A plasmid | [28] |
| Primer Name | Purpose | Sequence (5′ -> 3′) | PCR Product Size (bp) |
|---|---|---|---|
| 1953KO-F | Screen for intron insertion in cpr1953; cpr1953 RT-PCR; Screen for CPR1953KO-1953COM; CPR1953KO-1954COM and CPR1953KO-1954COM-H410A | GTGGAATACAAAGTGGAATATGA | Wild-type: (365); Mutant: (1265) |
| 1953KO-R | CCTAATGCTATAACAAATACAATAA | ||
| 1954KO-F | Screen for intron insertion in cpr1954; cpr1954 RT-PCR; Screen for CPR1954KO-1954COM; CPR1954KO-1953COM and CPR195KO-1953COM-H430A | GATGTAATTGTGTTTGGGGTGAT | Wild-type: (596); Mutant: (1496) |
| 1954KO-R | CCTGAAGAATATGAAGCTTCTCC | ||
| polC-F | RT-PCR analysis of polC | ACTTCCCTGCAAGCCTCTTCTCCT | 300 |
| polC-R | TGGTTCAGCTTGTGAAGCAGGGC | ||
| 16S-F | RT-PCR analysis of 16S | CCTTACCTACACTTGACATCCC | 118 |
| 16S-R | GGACTTAACCCAACATCTCACG | ||
| PJIR750-F | Screen for CPR1954KO-1953COM and CPR1954KO-1953COM-H430A strains | GTTGGCCGATTCATTAATGCA | 1354 |
| CPR1953-R | GAATAAGAAGCCAAAATATCCCTA | ||
| PJIR750-F | Screen for CPR1953KO-1954COM and CPR1953KO-1954COM-H410A strains | GTTGGCCGATTCATTAATGCA | 2300 |
| CPR1954-R | TCTTTAAGTCATGAGATATGCTTGA |
Disclaimer/Publisher’s Note: The statements, opinions and data contained in all publications are solely those of the individual author(s) and contributor(s) and not of MDPI and/or the editor(s). MDPI and/or the editor(s) disclaim responsibility for any injury to people or property resulting from any ideas, methods, instructions or products referred to in the content. |
© 2024 by the authors. Licensee MDPI, Basel, Switzerland. This article is an open access article distributed under the terms and conditions of the Creative Commons Attribution (CC BY) license (https://creativecommons.org/licenses/by/4.0/).
Share and Cite
Mehdizadeh Gohari, I.; Gonzales, J.L.; Uzal, F.A.; McClane, B.A. Overexpressing the cpr1953 Orphan Histidine Kinase Gene in the Absence of cpr1954 Orphan Histidine Kinase Gene Expression, or Vice Versa, Is Sufficient to Obtain Significant Sporulation and Strong Production of Clostridium perfringens Enterotoxin or Spo0A by Clostridium perfringens Type F Strain SM101. Toxins 2024, 16, 195. https://doi.org/10.3390/toxins16040195
Mehdizadeh Gohari I, Gonzales JL, Uzal FA, McClane BA. Overexpressing the cpr1953 Orphan Histidine Kinase Gene in the Absence of cpr1954 Orphan Histidine Kinase Gene Expression, or Vice Versa, Is Sufficient to Obtain Significant Sporulation and Strong Production of Clostridium perfringens Enterotoxin or Spo0A by Clostridium perfringens Type F Strain SM101. Toxins. 2024; 16(4):195. https://doi.org/10.3390/toxins16040195
Chicago/Turabian StyleMehdizadeh Gohari, Iman, Jessica L. Gonzales, Francisco A. Uzal, and Bruce A. McClane. 2024. "Overexpressing the cpr1953 Orphan Histidine Kinase Gene in the Absence of cpr1954 Orphan Histidine Kinase Gene Expression, or Vice Versa, Is Sufficient to Obtain Significant Sporulation and Strong Production of Clostridium perfringens Enterotoxin or Spo0A by Clostridium perfringens Type F Strain SM101" Toxins 16, no. 4: 195. https://doi.org/10.3390/toxins16040195
APA StyleMehdizadeh Gohari, I., Gonzales, J. L., Uzal, F. A., & McClane, B. A. (2024). Overexpressing the cpr1953 Orphan Histidine Kinase Gene in the Absence of cpr1954 Orphan Histidine Kinase Gene Expression, or Vice Versa, Is Sufficient to Obtain Significant Sporulation and Strong Production of Clostridium perfringens Enterotoxin or Spo0A by Clostridium perfringens Type F Strain SM101. Toxins, 16(4), 195. https://doi.org/10.3390/toxins16040195

