Dietary Chlorella vulgaris Ameliorates Altered Immunomodulatory Functions in Cyclophosphamide-Induced Immunosuppressive Mice
Abstract
:1. Introduction
2. Methods and Materials
2.1. Materials
2.2. Animal Model and Diets
2.3. Assay of Splenocyte Proliferation
2.4. Assay of NK Cell Cytotoxicity
2.5. Biochemical Assessment
2.6. Isolation of Peritoneal Macrophages
2.7. Macrophages Viability Assay
2.8. Neutral Red Uptake by Macrophages
2.9. Reverse Transcript-PCR Analysis of Interleukin, TNF-α and IFN-γ mRNA
2.10. Statistical Analysis
3. Results
3.1. Effects of CV on Thymus and Spleen Indices in CYP-Induced Mice
3.2. Effects of CV on the Relative Activity of LDH and ACP in Spleen in Mice
3.3. Effects of CV on Splenocyte Prolife Ration and Natural Killer Cell Cytotoxicity in Mice
3.4. Histopathological Analysis of Spleen in CYP-Treated Mice
3.5. Effects of CV on Proliferation and Phagocytosis Activity of Macrophages in Mice
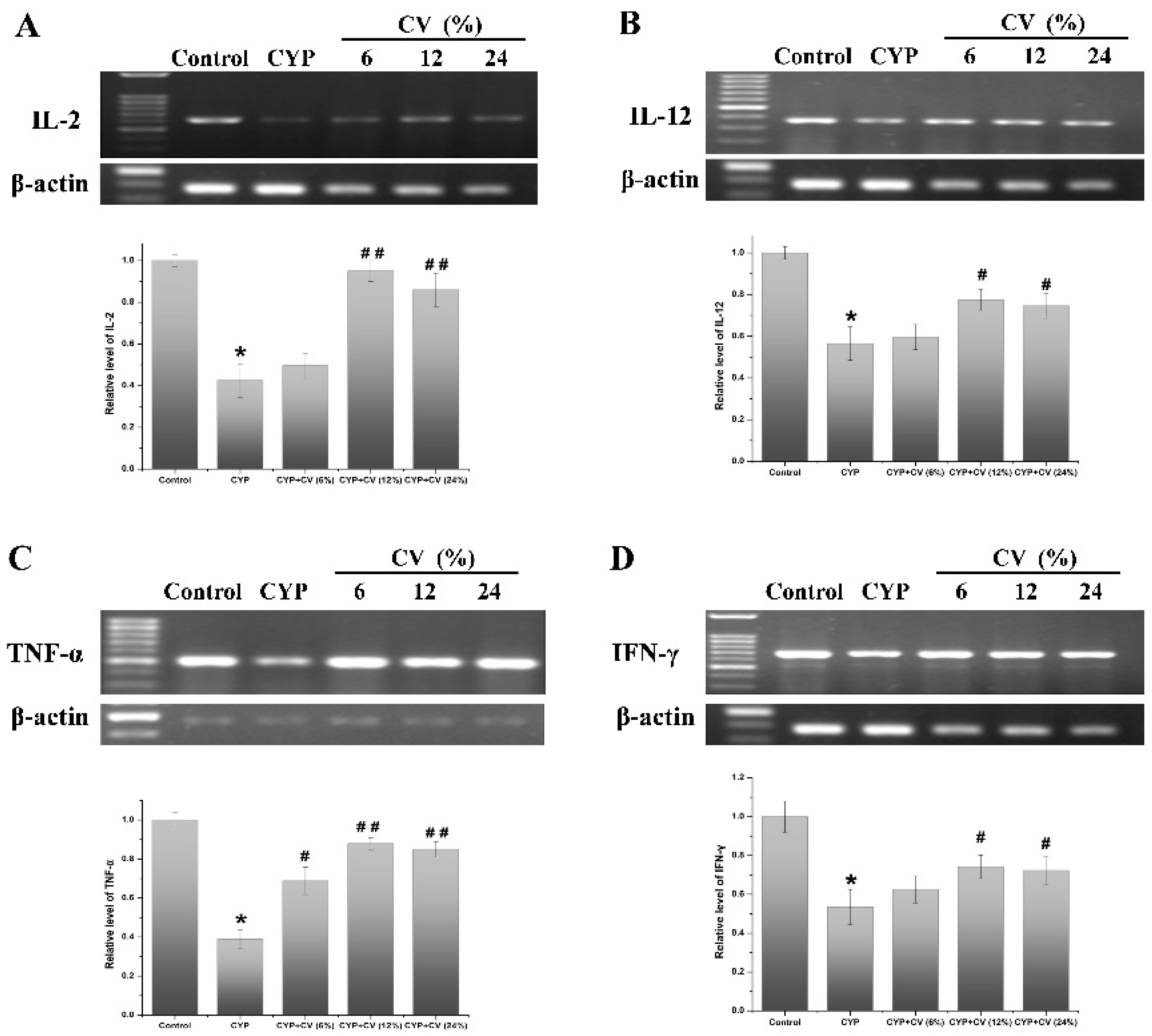
3.6. Effect of CV on the Expression of Cytokines (IL-2, IL-12, TNF-α, IFN-γ) of Splenocytes in Mice
4. Discussion and Conclusions
Acknowledgments
Author Contributions
Conflicts of Interest
References
- Eichhorst, S.T.; Müerköster, S.; Weigand, M.A.; Krammer, P.H. The chemotherapeutic drug 5-fluorouracil induces apoptosis in mouse thymocytes in vivo via activation of the CD95 (APO-1/Fas) system. Cancer Res. 2001, 61, 243–248. [Google Scholar] [PubMed]
- Bagchi, D.; Bagchi, M.; Stohs, S.J.; Das, D.K.; Ray, S.D.; Kuszynski, C.A.; Joshi, S.S.; Pruess, H.G. Free radicals and grape seed proanthocyanidin extract: Importance in human health and disease prevention. Toxicology 2000, 148, 187–197. [Google Scholar] [CrossRef]
- Zheng, Y.; Zong, Z.M.; Chen, S.L.; Chen, A.H.; Wei, X.Y. Ameliorative effect of Trametes orientalis polysaccharide against immunosuppression and oxidative stress in cyclophosphamide-treated mice. Int. J. Biol. Macromol. 2017, 95, 1216–1222. [Google Scholar] [CrossRef] [PubMed]
- Patel, J.M. Stimulation of cyclophosphamide-induced pulmonary microsomal lipid peroxidation by oxygen. Toxicology 1987, 45, 79–91. [Google Scholar] [CrossRef]
- Nafees, S.; Rashid, S.; Ali, N.; Hasan, S.K.; Sultana, S. Rutin ameliorates cyclophosphamide induced oxidative stress and inflammation in Wistar rats: Role of NFκB/MAPK pathway. Chem. Biol. Interact. 2015, 231, 98–107. [Google Scholar] [CrossRef] [PubMed]
- Salva, S.; Marranzino, G.; Villena, J.; Agüero, G.; Alvarez, S. Probiotic Lactobacillus strains protect against myelosuppression and immunosuppression in cyclophosphamide-treated mice. Int. Immunopharmacol. 2014, 22, 209–221. [Google Scholar] [CrossRef] [PubMed]
- Wu, G.H.; Lu, C.L.; Jiang, J.G.; Li, Z.Y.; Huang, Z.L. Regulation effect of polysaccharides from Pleurotus tuber-regium (Fr.) on the immune activity of mice macrophages. Food Funct. 2014, 5, 337–344. [Google Scholar] [CrossRef] [PubMed]
- Wong, E.B.; Mallet, J.F.; Duarte, J.; Matar, C.; Ritz, B.W. Bovine colostrum enhances natural killer cell activity and immune response in a mouse model of influenza infection and mediates intestinal immunity through toll-like receptors 2 and 4. Nutr. Res. 2014, 34, 318–325. [Google Scholar] [CrossRef] [PubMed]
- Tian, F.; Gao, X.; Zhang, L.; Wang, X.; Wan, X.; Jiang, T.; Wu, C.; Bi, J.; Lei, Q. Effects of n-3 PUFAs on Intestinal Mucosa Innate Immunity and Intestinal Microbiota in Mice after Hemorrhagic Shock Resuscitation. Nutrients 2016, 8, 609. [Google Scholar] [CrossRef] [PubMed]
- Panahi, Y.; Tavana, S.; Sahebkar, A.; Masoudi, H.; Madanchi, N. Impact of adjunctive therapy with Chlorella vulgaris extract on antioxidant status, pulmonary function, and clinical symptoms of patients with obstructive pulmonary diseases. Sci. Pharm. 2012, 80, 719–730. [Google Scholar] [CrossRef] [PubMed]
- Morris, H.J.; Almarales, A.; Carrillo, O.; Bermúdez, R.C. Utilisation of chlorella vulgaris cell biomass for the production of enzymatic protein hydrolysates. Bioresour. Technol. 2008, 99, 7723–7729. [Google Scholar] [CrossRef] [PubMed]
- Morimura, Y.; Tamiya, N. Preliminary experiments in the use of Chlorella as human food. Food Technol. 1954, 8, 179–182. [Google Scholar]
- Merchant, R.E.; Carmack, C.A.; Wise, C.M. Nutritional supplementation with Chlorella pyrenoidosa for patients with fibromyalgia syndrome: A pilot study. Phytother. Res. 2000, 14, 167–173. [Google Scholar] [CrossRef]
- An, H.J.; Rim, H.K.; Lee, J.H.; Seo, M.J.; Hong, J.W.; Kim, N.H. Effect of Chlorella vulgaris on immune-enhancement and cytokine production in vivo and in vitro. Food Sci. Biotechnol. 2008, 17, 953–958. [Google Scholar]
- Shibata, S.; Oda, K.N.; Onodera-Masuoka, N.; Matsubara, S.; Kikuchi- Hayakawa, H.; Ishikawa, F. Hypocholesterolemic effect of indigestible fraction of Chlorella regularis in cholesterol-fed rats. J. Nutr. Sci. Vitaminol. 2001, 47, 373–377. [Google Scholar] [CrossRef] [PubMed]
- Tanaka, K.; Koga, T.; Konishi, F.; Nakamura, M.; Mitsuyama, M.; Himeno, K. Augmentation of host defense by a unicellular green alga, Chlorella vulgaris, to Escherichia coli infection. Infect. Immun. 1986, 53, 267–271. [Google Scholar] [PubMed]
- Sarac, A.J.; Gur, A. Complementary and alternative medical therapies in fibromyalgia. Curr. Pharm. Des. 2006, 12, 47–57. [Google Scholar] [CrossRef] [PubMed]
- Hasegawa, T.; Noda, K.; Kumamoto, S.; Ando, Y.; Yamada, A.; Yoshikai, Y. Biological activity of microalgae can be enhanced by manipulating the cultivation temperature and irradiance. Int. J. Immunopharmacol. 2000, 22, 877–885. [Google Scholar] [CrossRef]
- Hasegawa, T.; Kimura, Y.; Hiromatsu, K. Effect of hot water extract of Chlorella vulgaris on cytokine expression patterns in mice with murine acquired immunodeficiency syndrome after infection with Listeria monocytogenes. Immunopharmacology 1997, 35, 273–282. [Google Scholar] [CrossRef]
- Yu, Q.; Nie, S.P.; Wang, J.Q.; Liu, X.Z.; Yin, P.F.; Huang, D.F.; Li, W.J.; Gong, D.M.; Xie, M.Y. Chemoprotective effects of Ganoderma atrum polysaccharide in cyclophosphamide-induced mice. Int. J. Biol. Macromol. 2014, 64, 395–401. [Google Scholar] [CrossRef] [PubMed]
- Mao, G.H.; Ren, Y.; Feng, W.W.; Li, Q.; Wu, H.Y.; Jin, D.; Zhao, T.; Xu, C.Q.; Yang, L.Q.; Wu, X.Y. Antitumor and immunomodulatory activity of a water-soluble polysaccharide from Grifola frondosa. Carbohydr. Polym. 2015, 134, 406–412. [Google Scholar] [CrossRef] [PubMed]
- Baumann, F.; Preiss, R. Cyclophosphamide and related anticancer drugs. J. Chromatogr. B. Biomed. Sci. Appl. 2001, 764, 173–192. [Google Scholar] [CrossRef]
- Althouse, R.; Huff, J.; Tomatis, L.; Wilbourn, J. Chemicals and industrial processes associated with cancer in humans. IARC Monographs, Volumes 1 to 20. IARC Monogr. Eval. Carcinog. Risk Chem. Hum. Suppl. 1979, 20, 1–71. [Google Scholar]
- Xie, J.; Nie, S.; Yu, Q.; Yin, J.; Xiong, T.; Gong, D.; Xie, M. Lactobacillus plantarum NCU116 attenuates cyclophosphamide-induced immunosuppression and regulates Th17/Treg cell immune responses in mice. J. Agric. Food. Chem. 2016, 64, 1291–1297. [Google Scholar] [CrossRef] [PubMed]
- Jang, S.E.; Joh, E.H.; Ahn, Y.T.; Huh, C.S.; Han, M.J.; Kim, D.H. Lactobacillus casei HY7213 ameliorates cyclophosphamide-induced immunosuppression in mice by activating NK, cytotoxic T cells and macrophages. Immunopharmacol. Immunotoxicol. 2013, 35, 396–402. [Google Scholar] [CrossRef] [PubMed]
- Freitas, R.D.; Costa, K.M.; Nicoletti, N.F.; Kist, L.W.; Bogo, M.R.; Campos, M.M. Omega-3 fatty acids are able to modulate the painful symptoms associated to cyclophosphamide-induced-hemorrhagic cystitis in mice. J. Nutr. Biochem. 2016, 27, 219–232. [Google Scholar] [CrossRef] [PubMed]
- Zhu, Z.Y.; Meng, M.; Sun, H.; Li, Y.; Ren, Y.Y.; Zhang, Y. Immunostimulatory activity of glycopeptides from Paecilomyces sinensis under normal and cyclophosphamide induced immunosuppressive conditions in mice models. Food Funct. 2016, 7, 3566–3576. [Google Scholar] [CrossRef] [PubMed]
- Cui, J.J.; Yuan, J.F.; Zhang, Z.Q. Anti-oxidation activity of the crude polysaccharides isolated from Polygonum cillinerve (Nakai) Ohwi in immunosuppressed mice. J. Ethnopharmacol. 2010, 132, 512–517. [Google Scholar] [CrossRef] [PubMed]
- O’Byrne, K.J.; Dalgleish, A. Chronic immune activation and inflammation as the cause of malignancy. Br. J. Cancer 2001, 85, 474–483. [Google Scholar]
- Mishina, E.V.; Jusko, W.J. Inhibition of rat splenocyte proliferation with methylprednisolone: In vivo effect of liposomal formulation. Pharm. Res. 1994, 11, 848–854. [Google Scholar] [CrossRef] [PubMed]
- Zhao, C.; Li, M.; Luo, Y.; Wu, W. Isolation and structural characterization of an immunostimulating polysaccharide from fuzi. Aconitum carmichaeli. Carbohydr. Res. 2006, 341, 485–491. [Google Scholar] [CrossRef] [PubMed]
- Peppelenbosch, M.P.; DeSmedt, M.; ten Hove, T.; van Deventer, S.J.; Grooten, J. Lipopolysaccharide regulates macrophage fluid phase pinocytosis via CD14-dependent and CD14-independent pathways. Blood 1999, 93, 4011–4018. [Google Scholar] [PubMed]
- Schepetkin, I.A.; Quinn, M.T. Botanical polysaccharides: Macrophage immunomodulation and therapeutic potential. Int. Immunopharmacol. 2006, 6, 317–333. [Google Scholar] [CrossRef] [PubMed]
- Fidler, I.J.; Kleinerman, E.S. Therapy of cancer metastasis by systemic activation of macrophages: From the bench to the clinic. Res. Immunol. 1993, 144, 284–287. [Google Scholar] [CrossRef]
- Pestka, J.J.; Zhou, H.R.; Moon, Y.; Chung, Y.J. Cellular and molecular mechanisms for immune modulation by deoxynivalenol and other trichothecenes: Unraveling a paradox. Toxicol. Lett. 2004, 153, 61–73. [Google Scholar] [CrossRef] [PubMed]
- Dinarello, C.A. Proinflammatory cytokines. Chest 2000, 118, 503–508. [Google Scholar] [CrossRef] [PubMed]
- Liao, W.; Lin, J.X.; Leonard, W.J. IL-2 family cytokines: New insights into the complex roles of IL-2 as a broad regulator of T helper cell differentiation. Curr. Opin. Immunol. 2011, 23, 598–604. [Google Scholar] [CrossRef] [PubMed]
- Ma, X.L.; Meng, M.; Han, L.R.; Li, Z.; Cao, X.H.; Wang, C.L. Immunomodulatory activity of macromolecular polysaccharide isolated from Grifola frondosa. Chin. J. Nat. Med. 2015, 13, 906–914. [Google Scholar] [CrossRef]
- Ramos, A.L.; Torello, C.O.; Queiroz, M.L. Chlorella vulgaris modulates immunomyelopoietic activity and enhances the resistance of tumor-bearing mice. Nutr. Cancer 2010, 62, 1170–1180. [Google Scholar] [CrossRef] [PubMed]
- Rodriguez-Garcia, I.; Guil-Guerrero, J.L. Evaluation of the antioxidant activity of three microalgal species for use as dietary supplements and in the preservation of foods. Food Chem. 2008, 108, 1023–1026. [Google Scholar] [CrossRef] [PubMed]
- Li, L.; Li, W.; Kim, Y.H.; Lee, Y.W. Chlorella vulgaris extract ameliorates carbon tetrachloride-induced acute hepatic injury in mice. Exp. Toxicol. Pathol. 2013, 65, 73–80. [Google Scholar] [CrossRef] [PubMed]
- Wu, L.C.; Ho, J.A.; Shieh, M.C.; Lu, I.W. Antioxidant and antiproliferative activities of Spirulina and Chlorella water extracts. J. Agric. Food. Chem. 2005, 53, 4207–4212. [Google Scholar] [CrossRef] [PubMed]
- Hidalgo-Lucas, S.; Rozan, P.; Guérin-Deremaux, L.; Baert, B.; Violle, N.; Saniez-Degrave, M.H.; Bisson, J.F. Benefits of preventive administration of Chlorella sp. on visceral pain and cystitis induced by a single administration of cyclophosphamide in female wistar rat. J. Med. Food 2016, 19, 450–456. [Google Scholar] [CrossRef] [PubMed]
- Lee, H.S.; Choi, C.Y.; Cho, C.; Song, Y. Attenuating effect of chlorella supplementation on oxidative stress and NFkappaB activation in peritoneal macrophages and liver of C57BL/6 mice fed on an atherogenic diet. Biosci. Biotechnol. Biochem. 2003, 67, 2083–2090. [Google Scholar] [CrossRef] [PubMed]
- An, H.J.; Rim, H.K.; Jeong, H.J.; Hong, S.H.; Um, J.Y.; Kim, H.M. Hot water extracts of Chlorella vulgaris improve immune function in protein-deficient weanling mice and immune cells. Immunopharmacol. Immunotoxicol. 2010, 32, 585–592. [Google Scholar] [CrossRef] [PubMed]
- Kim, N.H.; Kim, K.Y.; Jeong, H.J.; Kim, H.M.; Hong, S.H.; Um, J.Y. Effects of hydrolyzed Chlorella vulgaris by malted barley on the immunomodulatory response in ICR mice and in Molt-4 cells. J. Sci. Food Agric. 2010, 90, 1551–1556. [Google Scholar] [CrossRef] [PubMed]
- Morris, H.J.; Carrillo, O.; Almarales, A.; Bermudez, R.C.; Lebeque, Y.; Fontaine, R.; Llaurado, G.; Beltran, Y. Immunostimulant activity of an enzymatic protein hydrolysate from green microalga Chlorella vulgaris on undernourished mice. Enzym. Microb. Technol. 2007, 40, 456–460. [Google Scholar] [CrossRef]
- Parikh, K.; Zhou, L.; Somasundaram, R.; Fuhler, G.M.; Deuring, J.J.; Blokzijl, T.; Regeling, A.; Kuipers, E.J.; Weersma, R.K.; Nuij, V.J.; et al. Suppression of p21Rac signaling and increased innate immunity mediate remission in Crohn’s disease. Sci. Transl. Med. 2014, 6, 233–253. [Google Scholar] [CrossRef] [PubMed]






| Nutrient Content | CV |
|---|---|
| Total crude protein (%) | 54.6 |
| Total crude starch (%) | 19.4 |
| Total crude fat (%) | 9.4 |
| Pigmenta (%) | 2.9 |
| Ash (%) | 5.9 |
| Moisture (%) | 7.8 |
| Group | Treatment | Duration |
|---|---|---|
| Control | normal salt diet | 42 straight days |
| CYP | CYP 40 mg·kg−1 (0.2 mL, i.p.) | Days 15, 17, 19 and 21 |
| CYP + CV (6%) | CV diet containing 6% CV powder | 42 straight days |
| CYP + CV (12%) | CV diet containing 12% CV powder | 42 straight days |
| CYP + CV (24%) | CV diet containing 24% CV powder | 42 straight days |
| Gene | Forward | Reverse | Products (bp) |
|---|---|---|---|
| IFN-γ | CACAA GGAGG AACGC TGACT | CAGAG CAGGA TGGAA AGGCA | 698 |
| TNF-α | AGGGG ATTAT GGCTC AGGGT | CCCGT AGGGC GATTA CAGTC | 626 |
| IL-2 | TCTGC GGCAT GTTCT GGATT | GAAAG GACTA GCCCA CACCC | 618 |
| β-actin | GATCG ATGCC GGTGC TAAGA | TCCTA TGGGA GAACG GCAGA | 367 |
| IL-12 | TCCTC AGGGA AGATG GAGGG | GGTCA CAAGA CTACC CAGCC | 365 |
© 2017 by the authors. Licensee MDPI, Basel, Switzerland. This article is an open access article distributed under the terms and conditions of the Creative Commons Attribution (CC BY) license (http://creativecommons.org/licenses/by/4.0/).
Share and Cite
Cheng, D.; Wan, Z.; Zhang, X.; Li, J.; Li, H.; Wang, C. Dietary Chlorella vulgaris Ameliorates Altered Immunomodulatory Functions in Cyclophosphamide-Induced Immunosuppressive Mice. Nutrients 2017, 9, 708. https://doi.org/10.3390/nu9070708
Cheng D, Wan Z, Zhang X, Li J, Li H, Wang C. Dietary Chlorella vulgaris Ameliorates Altered Immunomodulatory Functions in Cyclophosphamide-Induced Immunosuppressive Mice. Nutrients. 2017; 9(7):708. https://doi.org/10.3390/nu9070708
Chicago/Turabian StyleCheng, Dai, Zhaodong Wan, Xinyu Zhang, Jian Li, He Li, and Chunling Wang. 2017. "Dietary Chlorella vulgaris Ameliorates Altered Immunomodulatory Functions in Cyclophosphamide-Induced Immunosuppressive Mice" Nutrients 9, no. 7: 708. https://doi.org/10.3390/nu9070708
APA StyleCheng, D., Wan, Z., Zhang, X., Li, J., Li, H., & Wang, C. (2017). Dietary Chlorella vulgaris Ameliorates Altered Immunomodulatory Functions in Cyclophosphamide-Induced Immunosuppressive Mice. Nutrients, 9(7), 708. https://doi.org/10.3390/nu9070708

