The Effect of the Extra Virgin Olive Oil Minor Phenolic Compound 3′,4′-Dihydroxyphenylglycol in Experimental Diabetic Kidney Disease
Abstract
1. Introduction
2. Material and Methods
2.1. Study Design
2.2. Materials
2.3. Analytical Techniques
2.3.1. Samples
2.3.2. Serum and Urinary Biochemistry
2.3.3. Oxidative and Nitrosative Stress
2.3.4. Eicosanoids
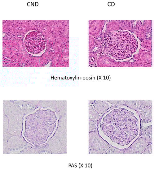
2.3.5. Morphometric Analysis
2.4. Statistical Analysis
3. Results
4. Discussion
5. Conclusions
Author Contributions
Funding
Institutional Review Board Statement
Informed Consent Statement
Data Availability Statement
Acknowledgments
Conflicts of Interest
References
- Valencia, W.M.; Florez, H. How to prevent the microvascular complications of type 2 diabetes beyond glucose control. BMJ 2017, 356, 6505. [Google Scholar] [CrossRef]
- Forst, T.; Mathieu, C.; Giorgino, F.; Wheeler, D.C.; Papanas, N.; Schmieder, R.E.; Halabi, A.; Schnell, O.; Streckbein, M.; Tuttle, K.R. New strategies to improve clinical outcomes for diabetic kidney disease. BMC Med. 2022, 20, 337. [Google Scholar] [CrossRef] [PubMed]
- Papadopoulou-Marketou, N.; Paschou, S.A.; Marketos, N.; Adamidi, S.; Adamidis, S.; Kanaka-Gantenbein, C. Diabetic nephropathy in type 1 diabetes. Minerva Med. 2018, 109, 218–228. [Google Scholar] [CrossRef] [PubMed]
- Alicic, R.Z.; Rooney, M.T.; Tuttle, K.R. Diabetic Kidney Disease: Challenges, Progress, and Possibilities. Clin. J. Am. Soc. Nephrol. 2017, 12, 2032–2045. [Google Scholar] [CrossRef] [PubMed]
- Shah, A.; Isath, A.; Aronow, W.S. Cardiovascular complications of diabetes. Expert Rev. Endocrinol. Metab. 2022, 17, 383–388. [Google Scholar] [CrossRef]
- Zhang, X.; Zhou, Y.; Ma, R. Potential effects and application prospect of angiotensin receptor-neprilysin inhibitor in diabetic kidney disease. J. Diabetes Complicat. 2022, 36, 108056. [Google Scholar] [CrossRef]
- Samsu, N. Diabetic Nephropathy: Challenges in Pathogenesis, Diagnosis, and Treatment. Biomed. Res. Int. 2021, 2021, 1497449. [Google Scholar] [CrossRef]
- Su, H.; Wan, C.; Song, A.; Qiu, Y.; Xiong, W.; Zhang, C. Oxidative Stress and Renal Fibrosis: Mechanisms and Therapies. Adv. Exp. Med. Biol. 2019, 1165, 585–604. [Google Scholar]
- Andrade-Sierra, J.; Pazarín-Villaseñor, L.; Yanowsky-Escatell, F.G.; Díaz-De La Cruz, E.N.; García-Sánchez, A.; Cardona-Muñoz, E.G.; Munguía-Galaviz, F.J.; De Alba-Razo, A.; Miranda-Díaz, A.G. The Influence of the Severity of Early Chronic Kidney Disease on Oxidative Stress in Patients with and without Type 2 Diabetes Mellitus. Int. J. Mol. Sci. 2022, 23, 11196. [Google Scholar] [CrossRef]
- Hernandez, L.F.; Eguchi, N.; Whaley, D.; Alexander, M.; Tantisattamo, E.; Ichii, H. Anti-Oxidative Therapy in Diabetic Nephropathy. Front. Biosci. 2022, 14, 14. [Google Scholar] [CrossRef]
- Hartman, R.E.; Rao, P.S.S.; Churchwell, M.D.; Lewis, S.J. Novel therapeutic agents for the treatment of diabetic kidney disease. Expert. Opin. Investig. Drugs 2020, 29, 1277–1293. [Google Scholar] [CrossRef]
- Al-Waili, N.; Al-Waili, H.; Al-Waili, T.; Salom, K. Natural antioxidants in the treatment and prevention of diabetic nephropathy; a potential approach that warrants clinical trials. Redox Rep. 2017, 22, 99–118. [Google Scholar] [CrossRef]
- De Santis, S.; Clodoveo, M.L.; Corbo, F. Correlation between Chemical Characterization and Biological Activity: An Urgent Need for Human Studies Using Extra Virgin Olive Oil. Antioxidants 2022, 11, 258. [Google Scholar] [CrossRef]
- López-Villodres, J.A.; Abdel-Karim, M.; De La Cruz, J.P.; Rodríguez-Pérez, M.D.; Reyes, J.J.; Guzmán-Moscoso, R.; Rodriguez-Gutierrez, G.; Fernández-Bolaños, J.; González-Correa, J.A. Effects of hydroxytyrosol on cardiovascular biomarkers in experimental diabetes mellitus. J. Nutr. Biochem. 2016, 37, 94–100. [Google Scholar] [CrossRef]
- Reyes, J.J.; Villanueva, B.; López-Villodres, J.A.; De La Cruz, J.P.; Romero, L.; Rodríguez-Pérez, M.D.; Rodriguez-Gutierrez, G.; Fernández-Bolaños, J.; González-Correa, J.A. Neuroprotective Effect of Hydroxytyrosol in Experimental Diabetes Mellitus. J. Agric. Food Chem. 2017, 65, 4378–4383. [Google Scholar] [CrossRef]
- González-Correa, J.A.; Rodríguez-Pérez, M.D.; Márquez-Estrada, L.; López-Villodres, J.A.; Reyes, J.J.; Rodriguez-Gutierrez, G.; Fernández-Bolaños, J.; De La Cruz, J.P. Neuroprotective Effect of Hydroxytyrosol in Experimental Diabetic Retinopathy: Relationship with Cardiovascular Biomarkers. J. Agric. Food Chem. 2018, 66, 637–644. [Google Scholar] [CrossRef]
- Rodríguez-Pérez, M.D.; López-Villodres, J.A.; Arrebola, M.M.; Martín-Aurioles, E.; Fernández-Prior, Á.; Bermúdez-Oria, A.; Ríos, M.C.; De La Cruz, J.P.; González-Correa, J.A. Nephroprotective Effect of the Virgin Olive Oil Polyphenol Hydroxytyrosol in Type 1-like Experimental Diabetes Mellitus: Relationships with Its Antioxidant Effect. Antioxidants 2021, 10, 1783. [Google Scholar] [CrossRef]
- Ferro, M.D.; Santos, S.A.O.; Silvestre, A.J.D.; Duarte, M.F. Chromatographic Separation of Phenolic Compounds from Extra Virgin Olive Oil: Development and Validation of a New Method Based on a Biphenyl HPLC Column. Int. J. Mol. Sci. 2019, 20, 201. [Google Scholar] [CrossRef]
- De La Cruz, J.P.; Pérez de Algaba, I.; Martín-Aurioles, E.; Arrebola, M.M.; Ortega-Hombrados, L.; Rodríguez-Pérez, M.D.; Fernández-Prior, M.Á.; Bermúdez-Oria, A.; Verdugo, C.; González-Correa, J.A. Extra Virgin Oil Polyphenols Improve the Protective Effects of Hydroxytyrosol in an In Vitro Model of Hypoxia-Reoxygenation of Rat Brain. Brain Sci. 2021, 11, 1133. [Google Scholar] [CrossRef]
- De La Cruz, J.P.; Vallejo-Carmona, L.; Arrebola, M.M.; Martín-Aurioles, E.; Rodriguez-Pérez, M.D.; Ortega-Hombrados, L.; Verdugo, C.; Fernández-Prior, M.Á.; Bermúdez-Oria, A.; González-Correa, J.A. Synergistic Effect of 3′,4′-Dihydroxyphenylglycol and Hydroxytyrosol on Oxidative and Nitrosative Stress and Some Cardiovascular Biomarkers in an Experimental Model of Type 1 Diabetes Mellitus. Antioxidants 2021, 10, 1983. [Google Scholar] [CrossRef]
- Rodríguez-Pérez, M.D.; Pérez De Algaba, I.; Martín-Aurioles, E.; Arrebola, M.M.; Ortega-Hombrados, L.; Verdugo, C.; Fernández-Prior, M.Á.; Bermúdez-Oria, A.; De La Cruz, J.P.; González-Correa, J.A. Neuroprotective Effect of 3′,4′-Dihydroxyphenylglycol in Type-1-like Diabetic Rats-Influence of the Hydroxytyrosol/3′,4′-dihydroxyphenylglycol Ratio. Nutrients 2022, 14, 1146. [Google Scholar] [CrossRef] [PubMed]
- Pedan, V.; Popp, M.; Rohn, S.; Nyfeler, M.; Bongartz, A. Characterization of Phenolic Compounds and Their Contribution to Sensory Properties of Olive Oil. Molecules 2019, 24, 2041. [Google Scholar] [CrossRef] [PubMed]
- Medina, E.; de Castro, A.; Romero, C.; Brenes, M. Comparison of the concentrations of phenolics compounds in olive oils and other plant oils: Correlation with antimicrobial activity. J. Agric. Food Chem. 2006, 54, 4954–4961. [Google Scholar] [CrossRef]
- Giribabu, N.; Karim, K.; Kilari, E.K.; Salleh, N. Phyllanthus niruri leaves aqueous extract improves kidney functions, ameliorates kidney oxidative stress, inflammation, fibrosis, and apoptosis, and enhances kidney cell proliferation in adult male rats with diabetes mellitus. J. Ethnopharmacol. 2017, 205, 123–137. [Google Scholar] [CrossRef] [PubMed]
- Costabile, G.; Della Pepa, G.; Bozzetto, L.; Annuzzi, G.; Vetrani, C.; Giacco, R.; Della Corte, G.; Conte, F.S.; Di Marino, L.; Rivellese, A.A. Urine 8-isoprostane in relation to adiposity and insulin resistance in individuals at high cardiometabolic risk. Metab. Syndr. Relat. Disord. 2015, 13, 187–191. [Google Scholar] [CrossRef]
- Lane, P.H.; Steffes, M.W.; Mauer, S.M. Estimation of glomerular volume: A comparison of four methods. Kidney Int. 1992, 41, 1085–1089. [Google Scholar] [CrossRef]
- DCCT/EDIC, Research Group; De Boer, I.H.; Sun, W.; Cleary, P.A.; Lachin, J.M.; Molitch, M.E.; Steffes, M.W.; Zinman, B. Intensive diabetes therapy and glomerular filtration rate in type 1 diabetes. N. Engl. J. Med. 2011, 365, 2366–2376. [Google Scholar] [CrossRef]
- Sagoo, M.K.; Gnudi, L. Diabetic nephropathy: Is there a role for oxidative stress? Free Radic. Biol. Med. 2018, 116, 50–63. [Google Scholar] [CrossRef]
- Rodríguez, G.; Lama, A.; Jaramillo, S.; Fuentes-Alventosa, J.M.; Guillén, R.; Jiménez-Araujo, A.; Rodríguez-Arcos, R.; Fernández-Bolaños, J. 3,4-Dihydroxyphenylglycol (DHPG): An important phenolic compound present in natural table olives. J. Agric. Food Chem. 2009, 57, 6298–6304. [Google Scholar] [CrossRef]
- Fernández-Prior, Á.; Bermúdez-Oria, A.; Millán-Linares, M.D.C.; Fernández-Bolaños, J.; Espejo-Calvo, J.A.; Rodríguez-Gutiérrez, G. Anti-Inflammatory and Antioxidant Activity of Hydroxytyrosol and 3,4-Dihydroxyphenyglycol Purified from Table Olive Effluents. Foods 2021, 10, 227. [Google Scholar] [CrossRef]
- Poudyal, H.; Lemonakis, N.; Efentakis, P.; Gikas, E.; Halabalaki, M.; Andreadou, I.; Skaltsounis, L.; Brown, L. Hydroxytyrosol ameliorates metabolic, cardiovascular and liver changes in a rat model of diet-induced metabolic syndrome: Pharmacological and metabolism-based investigation. Pharmacol. Res. 2017, 17, 32–45. [Google Scholar] [CrossRef]
- Hishinuma, T.; Tsukamoto, H.; Suzuki, K.; Mizugaki, M. Relationship between thromboxane/prostacyclin ratio and diabetic vascular complications. Prostaglandins Leukot. Essent. Fatty Acids 2001, 65, 191–196. [Google Scholar] [CrossRef]
- Sagoo, M.K.; Gnudi, L. Diabetic nephropathy: An overview. Methods Mol. Biol. 2020, 2067, 3–7. [Google Scholar]


| Variable | NDR | DR | DHPG-0.5 | DHPG-1 |
|---|---|---|---|---|
| Body weight (g) | 451 ± 7.1 | 340 ± 17.1 + | 361 ± 17.5 | 356 ± 14.8 |
| Chow consumption (g/day) | 19.11 ± 2.0 | 28.9 ± 4.5 + | 27.6 ± 2.8 | 23.2 ± 2.4 |
| Drinking water (mL/day) | 38.7 ± 14.7 | 107.8 ± 45.9 + | 83.3 ± 8.9 | 80.8 ± 15.2 |
| Variable | NDR | DR | DHPG-0.5 | DHPG-1 |
|---|---|---|---|---|
| Serum | ||||
| Blood glucose (mg/dL) | 88.2 ± 5.3 | 461 ± 9.6 + | 239 ± 35.7 * | 251 ± 35.9 * |
| Creatinine (mg/dL) | 0.3 ± 0.01 | 0.7 ± 0.03 + | 0.5 ± 0.06 * | 0.4 ± 0.07 * |
| Protein (g/dL) | 5.6 ± 0.1 | 5.4 ± 0.2 | 5.7 ± 0.1 | 5.6 ± 0.3 |
| Albumin (g/dL) | 1.4 ± 0.08 | 1.4 ± 0.17 | 1.5 ± 0.06 | 1.5 ± 0.09 |
| Urine | ||||
| Creatinine (mg/dL) | 101 ± 7.3 | 59.4 ± 3.1 + | 68.1 ± 9.1 | 90.0 ± 4.1 * |
| Proteinuria (mg/L) | 13.2 ± 1.1 | 90.0 ± 9.2 + | 55.3 ± 12.3 * | 32.4 ± 4.4 *,a |
| Glucosuria (mg/L) | 0.0 ± 0.0 + | 6483 ± 644 | 6370 ± 667 | 5590 ± 493 |
| 8-isoprostane (ng/mg creatinine) | 6.5 ± 0.5 + | 48.1 ± 0.06 | 4.6 ± 0.7 * | 2.8 ± 0.8 * |
| 11-dH-TxB2 (ng/mg creatinine) | 3.9 ± 1.3 + | 9.8 ± 1.0 + | 8.4 ± 1.3 | 6.4 ± 0.5 * |
| 6-keto-PGF1α (pg/mg creatinine) | 16.7 ± 0.7 + | 6.8 ± 0.9 + | 10.9 ± 1.1 | 15.4 ± 3.4 * |
| Variable | NDR | DR | DHPG-0.5 | DHPG-1 |
|---|---|---|---|---|
| Serum | ||||
| TBARS (nmol/mL) | 4.0 ± 0.8 | 8.7 ± 0.7 + | 6.6 ± 0.3 * | 6.7 ± 0.5 * |
| oxLDL (ng/mL) | 143 ± 30.8 | 239 ± 14.0 + | 164 ± 22.6 * | 174 ± 21.5 * |
| 8-OHdG (ng/mL) | 15.8 ± 0.4 | 25.8 ± 1.5 + | 16.1 ± 1.1 * | 14.8 ± 1.4 * |
| GHS (nmol/mL) | 124 ± 7.3 | 89.5 ± 7.0 + | 101 ± 3.4 * | 108 ± 6.6 * |
| TAC (U/mL) | 17.5 ± 0.5 | 13.0 ± 0.7 + | 12.9 ± 0.6 * | 14.9 ± 0.7 *,a |
| 3-nitrotyrosine (pg/mL) | 14.4 ± 1.0 | 63.2 ± 3.5 + | 53.2 ± 0.8 * | 45.5 ± 1.2 * |
| Kidney | ||||
| TBARS (nmol/mg protein) | 3.4 ± 0.4 | 15.6 ± 2.3 + | 12.8 ± 1.1 * | 12.5 ± 1.0 * |
| 8-OHdG (ng/0.1 g tissue) | 6.9 ± 0.4 | 12.3 ± 0.6 + | 10.1 ± 0.3 * | 10.5 ± 0.5 * |
| GHS (µmol/0.1 g tissue) | 465 ± 22.3 | 147 ± 19.7 + | 317 ± 22.8 * | 399 ± 26.0 * |
| TAC (U/0.1 g tissue) | 85.4 ± 5.3 | 34.3 ± 7.3 + | 63.0 ± 4.1 * | 79.7 ± 6.7 *,a |
| 3-nitrotyrosine (pg/0.1 g tissue) | 20.2 ± 1.3 | 114 ±10.6 + | 88.0 ± 9.1 * | 85.8 ± 10.4 * |
| Variable | Prot/Creat | CrCl | GV | GSI | ||||
|---|---|---|---|---|---|---|---|---|
| Pc | p | Pc | p | Pc | p | Pc | p | |
| Serum | ||||||||
| TBARS | 0.680 | 0.0001 | −0.355 | 0.064 | 0.851 | 0.0001 | 0.840 | 0.0001 |
| 8-HdG | 0.676 | 0.0001 | −0.412 | 0.030 | 0.742 | 0.0001 | 0.702 | 0.0001 |
| oxLDL | 0.697 | 0.0001 | −0.324 | 0.093 | 0.900 | 0.0001 | 0.728 | 0.0001 |
| GSH | −0.736 | 0.0001 | 0.500 | 0.007 | −0.865 | 0.0001 | −0.612 | 0.0001 |
| TAC | −0.752 | 0.0001 | 0.549 | 0.002 | −0.817 | 0.0001 | −0.878 | 0.0001 |
| 3-NTy | 0.832 | 0.0001 | −0.607 | 0.0001 | 0.911 | 0.0001 | 0.838 | 0.0001 |
| Kidney | ||||||||
| TBARS | 0.755 | 0.0001 | −0.407 | 0.032 | 0.900 | 0.0001 | 0.855 | 0.0001 |
| 8-HdG | 0.828 | 0.0001 | −0.504 | 0.006 | 0.894 | 0.0001 | 0.921 | 0.0001 |
| GSH | −0.820 | 0.0001 | 0.577 | 0.001 | −0.876 | 0.0001 | −0.808 | 0.0001 |
| TAC | −0.861 | 0.0001 | 0.665 | 0.0001 | −0.820 | 0.0001 | −0.796 | 0.0001 |
| 3-NTy | 0.780 | 0.0001 | −0.474 | 0.011 | 0.792 | 0.0001 | 0.936 | 0.0001 |
| Urine | ||||||||
| 8-isoprostane | 0.743 | 0.0001 | −0.482 | 0.009 | 0.797 | 0.0001 | 0.647 | 0.0001 |
| 11-dHTxB2 | 0.736 | 0.0001 | −0.506 | 0.006 | 0.801 | 0.0001 | 0.855 | 0.0001 |
| 6-keto-PGF1α | −0.751 | 0.0001 | 0.542 | 0.003 | −0.805 | 0.0001 | −0.718 | 0.0001 |
Disclaimer/Publisher’s Note: The statements, opinions and data contained in all publications are solely those of the individual author(s) and contributor(s) and not of MDPI and/or the editor(s). MDPI and/or the editor(s) disclaim responsibility for any injury to people or property resulting from any ideas, methods, instructions or products referred to in the content. |
© 2023 by the authors. Licensee MDPI, Basel, Switzerland. This article is an open access article distributed under the terms and conditions of the Creative Commons Attribution (CC BY) license (https://creativecommons.org/licenses/by/4.0/).
Share and Cite
Rodriguez-Pérez, M.D.; Santiago-Corral, L.; Ortega-Hombrados, L.; Verdugo, C.; Arrebola, M.M.; Martín-Aurioles, E.; Fernández-Prior, M.Á.; Bermúdez-Oria, A.; De La Cruz, J.P.; González-Correa, J.A. The Effect of the Extra Virgin Olive Oil Minor Phenolic Compound 3′,4′-Dihydroxyphenylglycol in Experimental Diabetic Kidney Disease. Nutrients 2023, 15, 377. https://doi.org/10.3390/nu15020377
Rodriguez-Pérez MD, Santiago-Corral L, Ortega-Hombrados L, Verdugo C, Arrebola MM, Martín-Aurioles E, Fernández-Prior MÁ, Bermúdez-Oria A, De La Cruz JP, González-Correa JA. The Effect of the Extra Virgin Olive Oil Minor Phenolic Compound 3′,4′-Dihydroxyphenylglycol in Experimental Diabetic Kidney Disease. Nutrients. 2023; 15(2):377. https://doi.org/10.3390/nu15020377
Chicago/Turabian StyleRodriguez-Pérez, María Dolores, Laura Santiago-Corral, Laura Ortega-Hombrados, Cristina Verdugo, María Monsalud Arrebola, Esther Martín-Aurioles, María África Fernández-Prior, Alejandra Bermúdez-Oria, José Pedro De La Cruz, and José Antonio González-Correa. 2023. "The Effect of the Extra Virgin Olive Oil Minor Phenolic Compound 3′,4′-Dihydroxyphenylglycol in Experimental Diabetic Kidney Disease" Nutrients 15, no. 2: 377. https://doi.org/10.3390/nu15020377
APA StyleRodriguez-Pérez, M. D., Santiago-Corral, L., Ortega-Hombrados, L., Verdugo, C., Arrebola, M. M., Martín-Aurioles, E., Fernández-Prior, M. Á., Bermúdez-Oria, A., De La Cruz, J. P., & González-Correa, J. A. (2023). The Effect of the Extra Virgin Olive Oil Minor Phenolic Compound 3′,4′-Dihydroxyphenylglycol in Experimental Diabetic Kidney Disease. Nutrients, 15(2), 377. https://doi.org/10.3390/nu15020377

