A Non-Secreting Pituitary Adenoma That Changed to a Prolactinoma
Abstract
1. Introduction
2. Materials and Methods
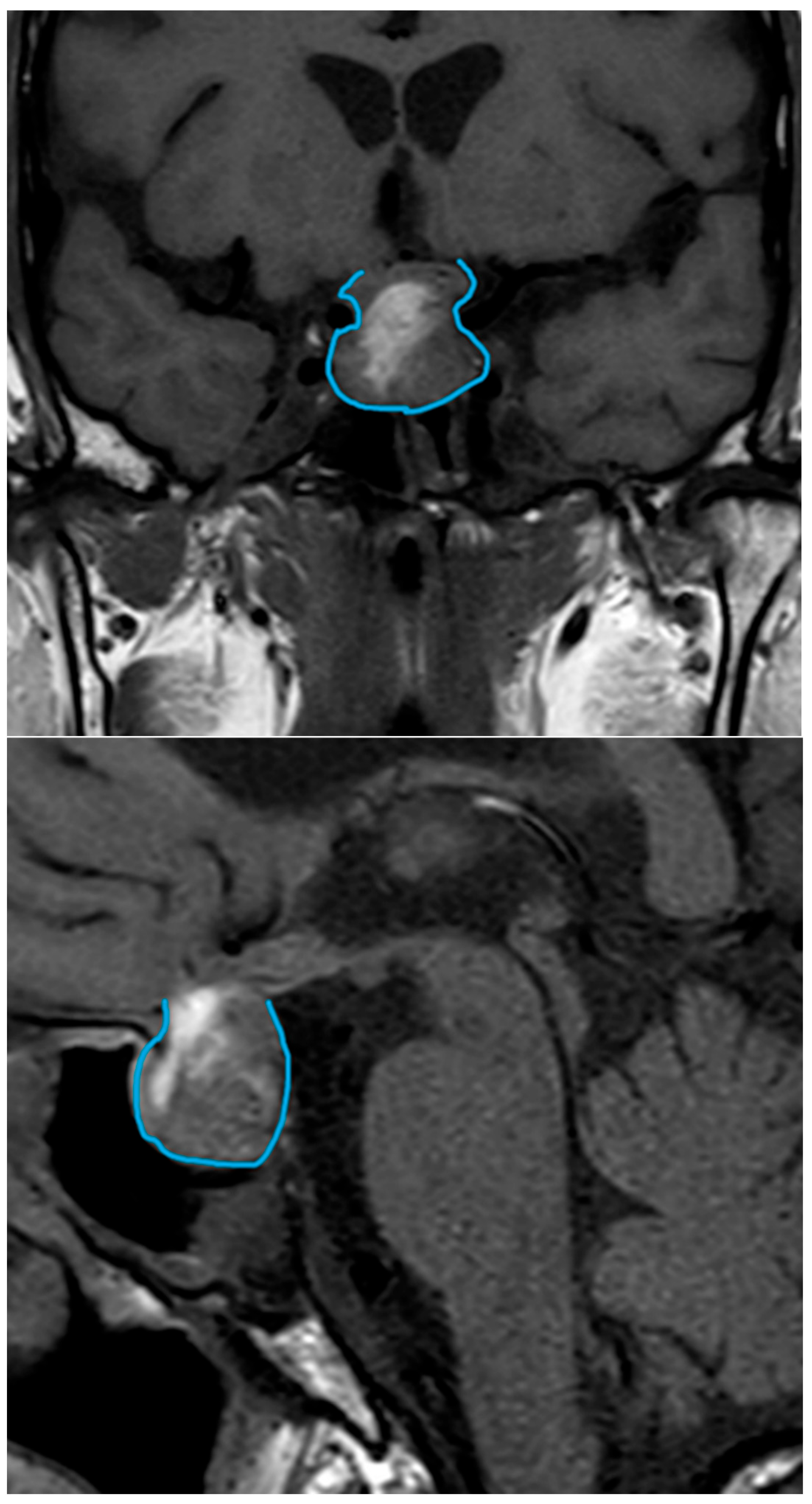
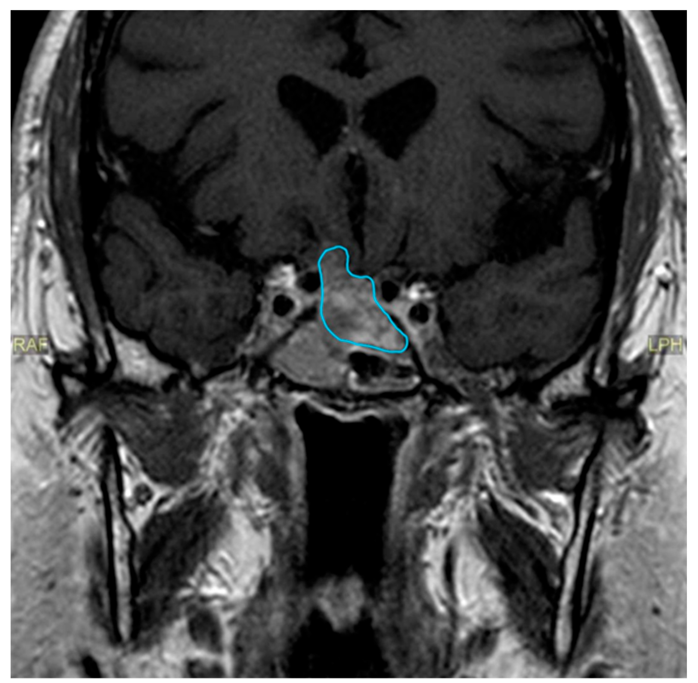
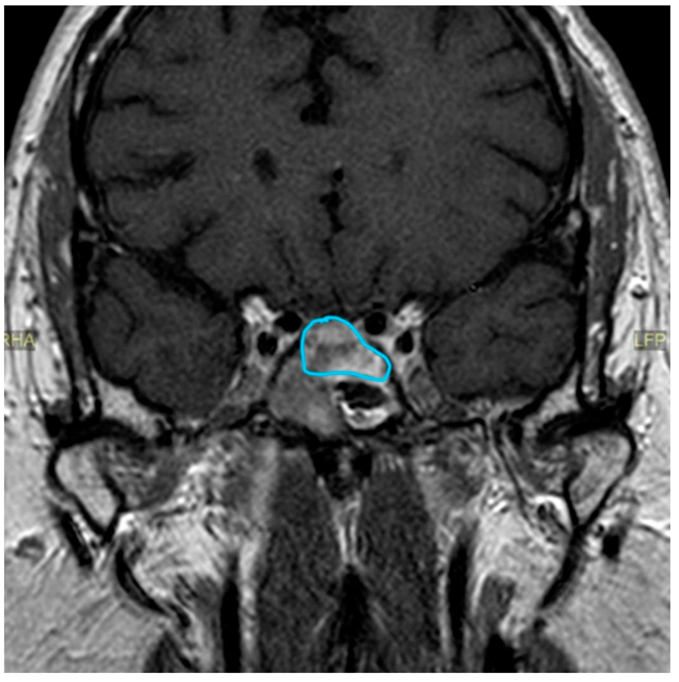
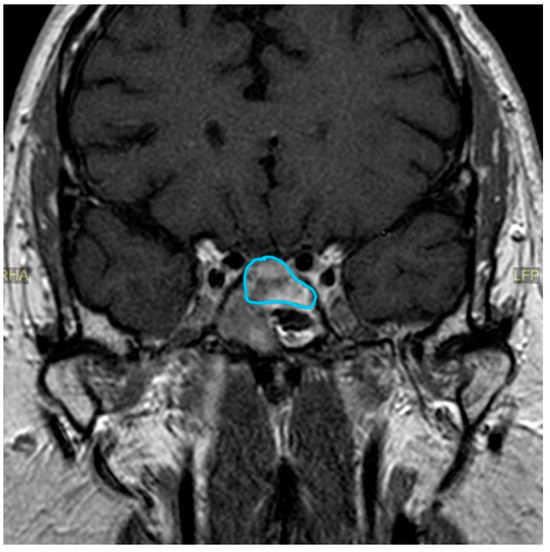
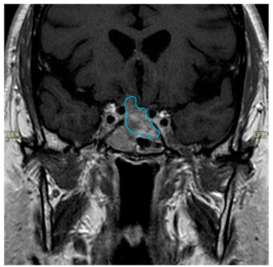
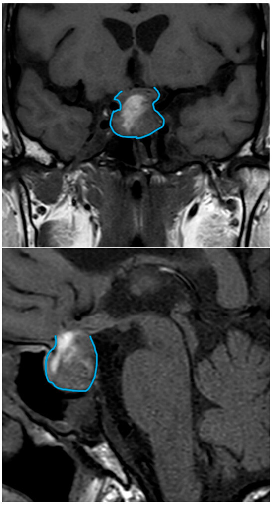
3. Results
3.1. Final Diagnosis
3.2. Treatment
3.3. Outcome and Follow-Up
4. Discussion
5. Conclusions
Author Contributions
Funding
Institutional Review Board Statement
Informed Consent Statement
Data Availability Statement
Conflicts of Interest
References
- Melmed, S. Pituitary-Tumor Endocrinopathies. N. Engl. J. Med. 2020, 382, 937–950. [Google Scholar] [CrossRef] [PubMed]
- Hall, W.A.; Luciano, M.G.; Doppman, J.L.; Patronas, N.J.; Oldfield, E.H. Pituitary magnetic resonance imaging in normal human volunteers: Occult adenomas in the general population. Ann. Intern. Med. 1994, 120, 817–820. [Google Scholar] [CrossRef] [PubMed]
- Daly, A.F.; Rixhon, M.; Adam, C.; Dempegioti, A.; Tichomirowa, M.A.; Beckers, A. High prevalence of pituitary adenomas: A cross-sectional study in the province of Liege, Belgium. J. Clin. Endocrinol. Metab. 2006, 91, 4769–4775. [Google Scholar] [CrossRef]
- Tritos, N.A.; Miller, K.K. Diagnosis and Management of Pituitary Adenomas: A Review. JAMA 2023, 329, 1386–1398. [Google Scholar] [CrossRef] [PubMed]
- Pappachan, J.M.; Raskauskiene, D.; Kutty, V.R.; Clayton, R.N. Excess mortality associated with hypopituitarism in adults: A meta-analysis of observational studies. J. Clin. Endocrinol. Metab. 2015, 100, 1405–1411. [Google Scholar] [CrossRef] [PubMed]
- Cordido, F.; Fernandez, T.; Martinez, T.; Penalva, A.; Peino, R.; Casanueva, F.F.; Dieguez, C. Effect of acute pharmacological reduction of plasma free fatty acids on growth hormone (GH) releasing hormone-induced GH secretion in obese adults with and without hypopituitarism. J. Clin. Endocrinol. Metab. 1998, 83, 4350–4354. [Google Scholar] [PubMed]
- Molitch, M.E. Nonfunctioning pituitary tumors and pituitary incidentalomas. Endocrinol. Metab. Clin. N. Am. 2008, 37, 151–171, xi. [Google Scholar] [CrossRef]
- Klibanski, A. Clinical practice. Prolactinomas. N. Engl. J. Med. 2010, 362, 1219–1226. [Google Scholar] [CrossRef] [PubMed]
- Melmed, S.; Casanueva, F.F.; Hoffman, A.R.; Kleinberg, D.L.; Montori, V.M.; Schlechte, J.A.; Wass, J.A. Diagnosis and treatment of hyperprolactinemia: An Endocrine Society clinical practice guideline. J. Clin. Endocrinol. Metab. 2011, 96, 273–288. [Google Scholar] [CrossRef]
- Auriemma, R.S.; Pirchio, R.; Pivonello, C.; Garifalos, F.; Colao, A.; Pivonello, R. Approach to the Patient With Prolactinoma. J. Clin. Endocrinol. Metab. 2023, 108, 2400–2423. [Google Scholar] [CrossRef]
- Cozzi, R.; Ambrosio, M.R.; Attanasio, R.; Battista, C.; Bozzao, A.; Caputo, M.; Ciccarelli, E.; De Marinis, L.; De Menis, E.; Faustini Fustini, M.; et al. Italian Association of Clinical Endocrinologists (AME) and International Chapter of Clinical Endocrinology (ICCE). Position statement for clinical practice: Prolactin-secreting tumors. Eur. J. Endocrinol. 2022, 186, P1–P33. [Google Scholar] [CrossRef]
- Duskin-Bitan, H.; Shimon, I. Prolactinomas in males: Any differences? Pituitary 2020, 23, 52–57. [Google Scholar] [CrossRef]
- Lopes, M.B.S. The 2017 World Health Organization classification of tumors of the pituitary gland: A summary. Acta Neuropathol. 2017, 134, 521–535. [Google Scholar] [CrossRef] [PubMed]
- Petersenn, S.; Fleseriu, M.; Casanueva, F.F.; Giustina, A.; Biermasz, N.; Biller, B.M.K.; Bronstein, M.; Chanson, P.; Fukuoka, H.; Gadelha, M.; et al. Diagnosis and management of prolactin-secreting pituitary adenomas: A Pituitary Society international Consensus Statement. Nat. Rev. Endocrinol. 2023, 19, 722–740. [Google Scholar] [CrossRef] [PubMed]
- St-Jean, E.; Blain, F.; Comtois, R. High prolactin levels may be missed by immunoradiometric assay in patients with macroprolactinomas. Clin. Endocrinol. 1996, 44, 305–309. [Google Scholar] [CrossRef] [PubMed]
- Petakov, M.S.; Damjanovic, S.S.; Nikolic-Durovic, M.M.; Dragojlovic, Z.L.; Obradovic, S.; Gligorovic, M.S.; Simic, M.Z.; Popovic, V.P. Pituitary adenomas secreting large amounts of prolactin may give false low values in immunoradiometric assays. The hook effect. J. Endocrinol. Investig. 1998, 21, 184–188. [Google Scholar] [CrossRef] [PubMed]
- Barkan, A.L.; Chandler, W.F. Giant pituitary prolactinoma with falsely low serum prolactin: The pitfall of the “high-dose hook effect”: Case report. Neurosurgery 1998, 42, 913–915, discussion 915–916. [Google Scholar] [CrossRef]
- Fang, H.; Tian, R.; Wu, H.; Xu, J.; Fan, H.; Zhou, J.; Zhong, L. Cushing Disease After Treatment of Nonfunctional Pituitary Adenoma: A Case Report and Literature Review. Medicine 2015, 94, e2134. [Google Scholar] [CrossRef]
- Kho, S.A.; Nieman, L.K.; Gelato, M.C. Cushing’s disease after surgical resection and radiation therapy for nonfunctioning pituitary adenoma. Endocr. Pract. 2002, 8, 292–295. [Google Scholar] [CrossRef]
- Budan, R.M.; Georgescu, C.E. Multiple Pituitary Adenomas: A Systematic Review. Front. Endocrinol. 2016, 7, 1. [Google Scholar] [CrossRef]
- Tordjman, K.M.; Greenman, Y.; Ram, Z.; Hershkovitz, D.; Aizenstein, O.; Ariel, O.; Asa, S.L. Plurihormonal Pituitary Tumor of Pit-1 and SF-1 Lineages, with Synchronous Collision Corticotroph Tumor: A Possible Stem Cell Phenomenon. Endocr. Pathol. 2019, 30, 74–80. [Google Scholar] [CrossRef] [PubMed]
- Lania, A.G.; Ferrero, S.; Pivonello, R.; Mantovani, G.; Peverelli, E.; Di Sarno, A.; Beck-Peccoz, P.; Spada, A.; Colao, A. Evolution of an aggressive prolactinoma into a growth hormone secreting pituitary tumor coincident with GNAS gene mutation. J. Clin. Endocrinol. Metab. 2010, 95, 13–17. [Google Scholar] [CrossRef]
- Dessimoz, C.; Browaeys, P.; Maeder, P.; Lhermitte, B.; Pitteloud, N.; Momjian, S.; Pralong, F.P. Transformation of a microprolactinoma into a mixed growth hormone and prolactin-secreting pituitary adenoma. Front. Endocrinol. 2011, 2, 116. [Google Scholar] [CrossRef] [PubMed]
- Ogawa, Y.; Tominaga, T. A single- center experience of prolactin-producing pituitary adenomas without hyperprolactinemia: Its incidence and clinical management. Clin. Neurol. Neurosurg. 2020, 198, 106123. [Google Scholar] [CrossRef] [PubMed]
- Lyu, L.; Yin, S.; Hu, Y.; Chen, C.; Jiang, Y.; Yu, Y.; Ma, W.; Wang, Z.; Jiang, S.; Zhou, P. Hyperprolactinemia in clinical non-functional pituitary macroadenomas: A STROBE-compliant study. Medicine 2020, 99, e22673. [Google Scholar] [CrossRef] [PubMed]
- Salgado, L.R.; Machado, M.C.; Cukiert, A.; Liberman, B.; Kanamura, C.T.; Alves, V.A. Cushing’s disease arising from a clinically nonfunctioning pituitary adenoma. Endocr. Pathol. 2006, 17, 191–199. [Google Scholar] [CrossRef] [PubMed]
- Chanson, P.; Wolf, P. Clinically non-functioning pituitary adenomas. Presse Med. 2021, 50, 104086. [Google Scholar] [CrossRef] [PubMed]
- Briet, C.; Salenave, S.; Bonneville, J.F.; Laws, E.R.; Chanson, P. Pituitary Apoplexy. Endocr. Rev. 2015, 36, 622–645. [Google Scholar] [CrossRef]
- Greenman, Y.; Cooper, O.; Yaish, I.; Robenshtok, E.; Sagiv, N.; Jonas-Kimchi, T.; Yuan, X.; Gertych, A.; Shimon, I.; Ram, Z.; et al. Treatment of clinically nonfunctioning pituitary adenomas with dopamine agonists. Eur. J. Endocrinol. 2016, 175, 63–72. [Google Scholar] [CrossRef]
- Botelho, M.S.; Franzini, I.A.; Nunes-Nogueira, V.D.S.; Boguszewski, C.L. Treatment of non-functioning pituitary adenoma with cabergoline: A systematic review and meta-analysis. Pituitary 2022, 25, 810–818. [Google Scholar] [CrossRef]
- Iglesias, P.; Biagetti, B.; Araujo-Castro, M.; Alcazar, V.; Guerrero-Perez, F.; Rivero, N.; Casteras, A.; Gomez, C.G.; Izquierdo, B.G.; Torres, V.V.; et al. Effect of cabergoline on tumor remnant after surgery in nonfunctioning pituitary adenoma. J. Neurooncol. 2022, 160, 351–359. [Google Scholar] [CrossRef] [PubMed]



| Date | July 2018 | January 2019 | July 2019 | June 2020 | October 2020 | December 2020 | June 2021 |
|---|---|---|---|---|---|---|---|
| Prolactin (ng/mL) | 22.1 | 27.6 | 71.2 | 681.9 | 0.4 | 1.8 | |
| MRI | Macroadenoma (20 × 20 × 18 mm) with signs of pituitary apoplexy. Invasion of the optic chiasm, hypothalamus, and the left cavernous sinus. | 5 × 2 mm nodular structure that could be related to remnant glandular tissue. Persistent left deviation of the pituitary stalk. | Tumor growth (16 × 14 × 11 mm). Significant compression of the optic nerve and the optic chiasm. | Discrete decrease in volume of the tumor (13 × 12 × 8 mm). No compression of the optic nerve and the chiasm. | Volume reduction (13 × 10 × 6 mm). The structure is no longer in contact with the gyrus rectus and the subcallosal area. | ||
| Treatment | First surgical procedure | Second surgical procedure | Cabergoline started |
Disclaimer/Publisher’s Note: The statements, opinions and data contained in all publications are solely those of the individual author(s) and contributor(s) and not of MDPI and/or the editor(s). MDPI and/or the editor(s) disclaim responsibility for any injury to people or property resulting from any ideas, methods, instructions or products referred to in the content. |
© 2024 by the authors. Licensee MDPI, Basel, Switzerland. This article is an open access article distributed under the terms and conditions of the Creative Commons Attribution (CC BY) license (https://creativecommons.org/licenses/by/4.0/).
Share and Cite
Santiago-Vazquez, C.; Palacios-Paino, N.; Cordido, F. A Non-Secreting Pituitary Adenoma That Changed to a Prolactinoma. Clin. Pract. 2024, 14, 1310-1318. https://doi.org/10.3390/clinpract14040106
Santiago-Vazquez C, Palacios-Paino N, Cordido F. A Non-Secreting Pituitary Adenoma That Changed to a Prolactinoma. Clinics and Practice. 2024; 14(4):1310-1318. https://doi.org/10.3390/clinpract14040106
Chicago/Turabian StyleSantiago-Vazquez, Cristina, Nuria Palacios-Paino, and Fernando Cordido. 2024. "A Non-Secreting Pituitary Adenoma That Changed to a Prolactinoma" Clinics and Practice 14, no. 4: 1310-1318. https://doi.org/10.3390/clinpract14040106
APA StyleSantiago-Vazquez, C., Palacios-Paino, N., & Cordido, F. (2024). A Non-Secreting Pituitary Adenoma That Changed to a Prolactinoma. Clinics and Practice, 14(4), 1310-1318. https://doi.org/10.3390/clinpract14040106

