Next Article in Journal
Transanal Irrigation in Patients with Low Anterior Resection Syndrome After Rectal-Sphincter-Preserving Surgery for Oncological and Non-Oncological Disease: A Systematic Review
Previous Article in Journal
Minimally Invasive Distal Metatarsal Osteotomies for Metatarsalgia Treatment: A Review
 
 
Font Type:
Arial Georgia Verdana
Font Size:
Aa Aa Aa
Line Spacing:
Column Width:
Background:
Case Report

Osteochondral Allograft Transplant in a Young Patient with a Traumatic Hip Fracture Dislocation: A Case Report

1
Department of Orthopedics, OhioHealth, Columbus, OH 43228, USA
2
OhioHealth, Orthopedic Trauma and Reconstructive Surgeons, Grant Medical Center, Columbus, OH 43215, USA
*
Author to whom correspondence should be addressed.
Surg. Tech. Dev. 2024, 13(4), 402-408; https://doi.org/10.3390/std13040032
Submission received: 9 August 2024 / Revised: 2 December 2024 / Accepted: 11 December 2024 / Published: 13 December 2024

Abstract

Background: Femoral head fractures with osteochondral defects are rare injuries often resulting from traumatic hip dislocations. These injuries create a significant risk for post-traumatic osteoarthritis. Various surgical methods for repair have been utilized to restore these osteochondral defects, including mosaicplasty, autologous cartilage implantation, osteochondral allograft transplant (OAT), and demineralized bone matrix (DBM). Methods: We present a case of a 21-year-old male who sustained a fracture-dislocation of the left femoral head with impaction of the weight-bearing surface due to a motor vehicle collision. Due to the patient’s relatively young age, OAT plugs from a fresh-frozen proximal humerus with DBM supplementation during fracture fragment fixation were chosen to reduce the likelihood of post-traumatic arthritis. Results: The patient regained subjective function and full strength on exam with no pain at 2 years postoperatively. Conclusions: We propose that a proximal humerus allograft is a suitable alternative in an urgent setting when a femoral head allograft is not available.

1. Introduction

Femoral head fractures are rare injuries resulting from axial force transmitted through the femur into the acetabulum. Reports have shown that the association of femoral head fractures with hip dislocations ranges from 4 to 17% [1]. Osteochondral defects of the femoral head arise from a similar mechanism, often with traumatic hip dislocations, causing shearing, rather than direct impaction, of the articular surface [2]. The resulting osteochondral defects can lead to a high risk of post-traumatic osteoarthritis with a prevalence of approximately 20% [3]. Surgical methods utilizing biologic augmentation are of interest to delay hip arthroplasty for post-traumatic osteoarthritis [4]. Two retrospective review studies suggest femoral head mosaicplasty is effective at improving global range of motion [5] and Harris Hip Score [6] following osteochondral defects less than 5 cm2. A retrospective study determined that an autograft shell transplant is effective in treating traumatic cartilage impaction [7]. Osteochondral allograft transplant (OAT) plugs can be sized to match articular defects larger than what is repairable with mosaicplasty or autologous transplantation. A recent systematic review concluded that OAT is appropriate for femoral head osteochondral defects of 2–6 cm2 and chondral defects of 6–8 cm2 [2,8]. Demineralized bone matrix (DBM) is another option to provide an osteoconductive scaffold molded around OAT plugs to support residual subchondral bone defects. Particularly, a difference in the radius of curvature of the graft and the native femoral head can arise when a femoral head allograft is not available acutely or the defect is greater than 8 cm2. Therefore, the combination of fresh-frozen proximal humerus allograft OAT plugs and DBM is well suited for treatment of large femoral head osteochondral defects in the trauma setting. However, there are only two reported applications of OAT for large traumatic osteochondral defects in the literature [9,10]. Additionally, a previous systematic review study indicated that there was insufficient evidence to support the use of DBM for fracture fixation in the extremities [11]. We report a case of an osteochondral defect after a traumatic fracture-dislocation of the femoral head repaired with OAT plugs from a proximal humerus allograft and DBM supplementation. The combination of biologic augments reported herein may benefit future treatment of large osteochondral defects in the trauma setting by supporting available non-homologous allograft usage at primary fixation, therefore decreasing the likelihood of post-traumatic arthritis with delayed hip preservation treatment.

2. Case Report

A 21-year-old male presented following a motorcycle collision with the chief complaint of left hip pain. The patient had a BMI of 36.7 and no previous history of smoking. He denied previous orthopedic injuries or surgeries. Imaging demonstrated a posterior-inferior dislocation with lateral impaction of the left femoral head weight–bearing surface into the acetabulum (Figure 1A). The left hip was closed reduced, and a distal femoral traction pin was placed (Figure 1B). On his initial examination, the patient was neurovascularly intact with no other orthopedic injuries. An anteroposterior (AP) radiograph demonstrated a reduced left femoral head with a mildly displaced fracture of the lateral aspect of the left femoral head and a concomitant posterior acetabular wall fracture (Figure 1B). The injury was confirmed with a CT scan. The location of the femoral head osteochondral defect was in the weight-bearing region circumferential to and above the fovea, suggesting a high likelihood for post-traumatic osteoarthritis if left untreated. Surgical intervention of the femoral head was indicated to reduce the likelihood of post-traumatic osteoarthritis. The patient was not a candidate for arthroplasty given his age and presumed improved outcomes with hip preservation treatment.
The patient was taken to the operating room for open reduction internal fixation (ORIF) of the left femoral head. They were positioned in the right lateral recumbent position for a posterolateral (Gibson) approach to the hip for digastric osteotomy and surgical dislocation. Following dissection through the soft tissue, a digastric trochanteric osteotomy was performed to preserve the short external rotators, piriformis, and vasculature of the femoral neck. A capsulotomy was performed, and upon dislocation of the left hip, a 5 × 4 cm impacted lesion of the femoral head was identified. There was a small piece of the weightbearing surface still intact, but the majority was traumatized, impacted, and unidentifiable (Figure 2A). The inferior portion of the weight–bearing surface was repaired with two 2.5 mm headless compression screws sunk underneath the articular surface (Figure 2B). Titanium screws were selected for increased fragment compression into the defect and more rigid fixation in comparison to bioabsorbable screws, as the fragment was located directly within the weight–bearing zone. The remaining defect was debrided to provide an appropriate surface for OAT. Two fresh-frozen proximal humerus allograft plugs (22 × 8 mm, 15 × 9 mm) were prepared with the Arthrex Osteochondral Autograft Transfer System (OATS; Athrex, Naples, FL, USA) (Figure 2C) following the measuring of the residual defect. Kirschner wires were placed and reamed over to deepen the recipient site for plug placement. The larger 22 mm plug was placed centrally into the weight–bearing dome, and a 15 mm plug was placed laterally on the femoral head (Figure 2D). The proximal humerus OAT plugs increased the weight–bearing zone neighboring the residual fragment but were not oversized to create a large deviation in the curvature of the articular surface. Therefore, Allosync Demineralized Bone Matrix (Arthrex, Naples, FL, USA) was introduced into the transplantation site to provide an osteoconductive matrix in unfilled areas surrounding the OAT plugs. The hip was reduced, and the capsule was repaired. The trochanteric osteotomy was repaired with two 4.5 mm cortical screws. Final imaging was obtained (Figure 3A). The patient was discharged to an inpatient rehabilitation facility for skilled nursing care and physical therapy. The patient remained non-weight–bearing for 8 weeks with early range of motion and presented for follow-up visitation at 2, 8, and 16 weeks postoperatively.
The patient presented for the first follow-up visitation 2 weeks postoperatively. The patient stated the pain was ongoing but felt that the joint was stable. Strength was a 4/5 on the examination on hip flexion, knee flexion, and knee extension. Radiographs demonstrated no change in the alignment of the trochanteric osteotomy site or failure of the graft (Figure 3B). At 8 weeks postoperatively, the patient again admitted to continuous pain but that the hip joint still felt stable. His strength was 4/5 again at that time. He began weight-bearing as tolerated and began working with physical therapy. At 4 months postoperatively, the patient was weight-bearing as tolerated without difficulty. The patient had a slight limp and had returned to work. His occupation was unknown. Radiographs demonstrated evidence of a well-maintained femoral joint space with slight flattening of the femoral head (Figure 3C). The trochanteric osteotomy appeared united (Figure 3B). At subsequent visits, the patient continued to improve. The patient was doing well and ambulating without difficulty at the 2-year postoperative mark. His flexion of the hip was 130 degrees. He had mild discomfort at the terminal end of internal rotation, which was nearly equal to the contralateral side. He also had a weakly positive Trendelenburg sign that he stated continued to improve. His leg lengths were equal, and he had full range of motion of his ipsilateral knee and ankle joints. He continues to ambulate without assistive devices, but stated he occasionally needs to use a cane. Radiographs at 2 years of follow-up demonstrated cystic changes within the anterolateral femoral head but the absence of subchondral sclerosis or crescent fragmentation. The anterolateral weight–bearing surface is less convex than the neighboring regions (Figure 3D).

3. Discussion

OAT surgeries of the femoral head are rare procedures and often occur in the setting of chronic, smaller articular defects, such as osteochondritis dissecans [12,13,14]. OAT procedures of the hip are not frequently used to treat traumatic large defects due to the low injury incidence, difficulty obtaining an adequate allograft, and lack of OAT technique experience with most trauma orthopedic surgeons [9,15]. However, proper treatment of osteochondral defects of the femoral head can lead to debilitating arthritis for younger patients, leading to the high incidence of patients receiving total hip arthroplasty [4]. Case series have suggested post-operative improvement in Harris Hip Scores from 57.7 to 83.9 with 87.5% avoiding total hip arthroplasty (THA) at 42 months [12,16]. Although long-term data are lacking, risk factors for unsuccessful outcomes include smoking, development of avascular necrosis, acetabular involvement, and subsequent surgery [15]. The reported patient had a posterior wall fracture but no chronic medical history or smoking history that would predispose him to a poor outcome. The case herein demonstrates the combination of fresh-frozen proximal humerus OAT and DBM can treat femoral head defects 8–20 cm2.
Several methods for repairing large femoral head defects have been proposed, yet there is currently no consensus on appropriate management in young patients [3,4,8]. Previous authors have reported OAT as a secondary treatment for patients less than 55 years old after the failure of other surgical options [15]. Of 10 total patients with >2 cm2 defects, only one of seven non-smoking patients required conversion to THA at 1.4 years of follow-up [15]. OAT procedures have been explored as possible viable options in restoring the surface of the femoral head in fractures for lesions less than 8 cm2 with THA as a salvage option for larger defects [8]. The size of our patient’s subchondral defect measured 20 cm2; however, young age precluded THA as a reasonable treatment option. Furthermore, prior technique papers suggest removing unstable cartilage prior to OAT plug sizing and dilation of the defect to allow adequate OAT plug coverage [17]. A conservative approach was taken with repair of the osteochondral remnant and minimal cartilage resection in preparation for the OAT plug. The aim was to avoid more cartilage loss than the existing 20 cm2 lesion. The 22 mm × 8 mm and 15 mm × 9 mm plugs were adequate to recreate a weight-bearing cartilage surface and meet the depth of the native bleeding subchondral bone. We propose that retaining the residual cartilage surface is a greater priority in larger osteochondral defects of the femoral head greater than 8 cm2.
Additionally, a fresh-frozen proximal humerus allograft was used as a fresh-stored femoral head allograft was not available in the acute trauma setting. A fresh-frozen and fresh proximal humerus allograft is often used to create OAT plugs for the reconstruction of large Hill–Sachs lesions due to shoulder instability [18]. The greater fraction of retained chondrocytes and growth factors in a fresh-stored allograft is suggested to have better ex vivo cartilage regenerative and osteoinductive properties than a fresh-frozen allograft but weakly correlates in clinical studies [13,15]. Similar to the case reported herein, a femoral head allograft is reported to have similar outcomes to a proximal humerus allograft when utilized for humeral head reconstruction, whether fresh or fresh-frozen [18]. However, complete restoration of the defect when using a nonhomologous osteochondral allograft is also not possible as the radius of curvature mismatch between the femoral head and humeral head is not modifiable. Therefore, a strategy for augmenting the subchondral surface was necessary to provide an osteoconductive matrix necessary for restoration of the articular surface.
A study by Viamont-Guerra et al. demonstrated promising results with mosaicplasty for femoral head osteochondral lesions in 22 patients [6]. This study used an ipsilateral femoral head autograft from the non-weight-bearing portion for lesions < 2 cm2 [6]. They reported that improvements in WOMAC scores were significantly associated with lesion size (p = 0.002) and increased with follow-up (p = 0.004) [6]. Only two patients (8.4%) were taken back for arthroscopy to remove a residual cam-type deformity [6].
Chen et al. described using DBM during OAT procedures to ensure adequate filling of the recipient site while providing an osteoconductive and osteoinductive medium [14]. Therefore, it was proposed that osteoconductive DBM supplementation would interdigitate between the OAT plugs and the repaired osteochondral defect to allow osteoblast migration that cannot occur without a biologically suitable scaffold. The continuity of the subchondral bone on follow-up radiographs suggests that fibrous union was achieved between the OAT plugs and repaired osteochondral defect in the area filled with DBM, reconstructing the weight-bearing surface.
Khanna et al. implanted fresh-frozen osteochondral allografts into femoral head lesions in 17 patients in a prospective study [16]. They found the mean hip Harris score was significantly better following surgery (p < 0.01) [16]. One patient required a repeat allograft procedure, one underwent a hip replacement procedure, and two are awaiting hip replacement procedures [16]. Their results suggested that a fresh-frozen allograft is another viable option for femoral head cartilage defects in younger patients [16].
The limitations of this paper include the lack of long-term follow-up and the use of a single case for this study. Currently, the patient is just over 2 years out from his procedure. The absence of objective outcome measures limits the generalizability of the results of our study, yet the patient’s subjective outcome suggests DBM was effective in preventing residual subchondral defects that could increase the patient’s risk for post-traumatic arthritis. A future longitudinal series would expand upon the case by incorporating patient measures for objective validation that operative treatment improved outcomes.

4. Conclusions

We presented a case of a 21-year-old male with a post-traumatic osteochondral defect of the femoral head who was treated with OAT and supplemented with DBM after minimal debridement of the residual defect. On follow-up radiographs, the osteochondral allograft showed evidence of incorporation into the host tissue without any signs of defect or deficits in ambulation and range of motion at 2 years. We demonstrate that OAT supplemented with DBM for a 20 cm2 traumatic femoral head defect can restore subjective function without pain or limitations associated with clinical post-traumatic arthritis. Future studies evaluating long-term patient-reported measures with a larger patient sample treated with OAT and DBM versus osteochondral fragment repair alone are necessary to study outcomes.

Author Contributions

Conceptualization, D.D. and S.M.; methodology, D.D. and S.M.; investigation, M.T, T.D., G.C. and D.D.; resources, M.T., T.D. and D.D., writing—original draft preparation, M.T., T.D., T.S., H.P., G.C. and D.D.; writing—review and editing, M.T., T.D., T.S., T.M., H.P., G.C. and D.D.; supervision, M.T., T.M., D.D. and S.M. All authors have read and agreed to the published version of the manuscript.

Funding

This research received no external funding.

Institutional Review Board Statement

There is only one patient, so this article does not require ethical approval.

Informed Consent Statement

Informed consent was obtained from all subjects involved in the study. Written informed consent was obtained from the patient(s) to publish this paper.

Data Availability Statement

No new data were created or analyzed in this study. Data sharing is not applicable to this article.

Acknowledgments

We would like to thank the OhioHealth Orthopedic Surgery Department in Columbus, OH, USA.

Conflicts of Interest

The authors declare no conflicts of interest.

References

  1. Kloen, P.; Siebenrock, K.A.; Raaymakers, E.L.F.B.; Marti, R.K.; Ganz, R. Femoral Head Fractures Revisited. Eur. J. Trauma 2002, 28, 221–233. [Google Scholar] [CrossRef]
  2. Davis, J.B. Simultaneous femoral head fracture and traumatic hip dislocation. Am. J. Surg. 1950, 80, 893–895. [Google Scholar] [CrossRef]
  3. Giannoudis, P.V.; Kontakis, G.; Christoforakis, Z.; Akula, M.; Tosounidis, T.; Koutras, C. Management, complications and clinical results of femoral head fractures. Injury 2009, 40, 1245–1251. [Google Scholar] [CrossRef]
  4. El Bitar, Y.F.; Lindner, D.; Jackson, T.J.; Domb, B.G. Joint-preserving Surgical Options for Management of Chondral Injuries of the Hip. J. Am. Acad. Orthop. Surg. 2014, 22, 46–56. [Google Scholar] [CrossRef] [PubMed]
  5. Girard, J.; Roumazeille, T.; Sakr, M.; Migaud, H. Osteochondral Mosaicplasty of the Femoral Head. HIP Int. 2011, 21, 542–548. [Google Scholar] [CrossRef] [PubMed]
  6. Viamont-Guerra, M.R.; Bonin, N.; May, O.; Le Viguelloux, A.; Saffarini, M.; Laude, F. Promising outcomes of hip mosaicplasty by minimally invasive anterior approach using osteochondral autografts from the ipsilateral femoral head. Knee Surg. Sports Traumatol. Arthrosc. 2020, 28, 767–776. [Google Scholar] [CrossRef] [PubMed]
  7. Hanke, M.S.; Keel, M.; Cullmann, J.L.; Siebenrock, K.A.; Bastian, J.D. Transfer of osteochondral shell autografts to salvage femoral head impaction injuries in hip trauma patients. Injury 2020, 51, 711–718. [Google Scholar] [CrossRef] [PubMed]
  8. Hevesi, M.; Jacob, G.; Shimomura, K.; Ando, W.; Nakamura, N.; Krych, A.J. Current hip cartilage regeneration/repair modalities: A scoping review of biologics and surgery. Int. Orthop. 2021, 45, 319–333. [Google Scholar] [CrossRef] [PubMed]
  9. Nousiainen, M.T.; Sen, M.K.; Mintz, D.N.; Lorich, D.; Paul, O.; Buly, R.L.; Helfet, D.L. The use osteochondral allograft in the treatment of a severe femoral head fracture. J. Orthop. Trauma 2010, 24, 120–124. [Google Scholar] [CrossRef] [PubMed]
  10. Meyers, M.H. Resurfacing of the femoral head with fresh osteochondral allografts. Long-term results. Clin. Orthop. Relat. Res. 1985, 197, 111–114. [Google Scholar] [CrossRef]
  11. Drosos, G.I.; Touzopoulos, P.; Ververidis, A.; Tilkeridis, K.; Kazakos, K. Use of demineralized bone matrix in the extremities. World J. Orthop. 2015, 6, 269–277. [Google Scholar] [CrossRef] [PubMed]
  12. Kosashvili, Y.; Raz, G.; Backstein, D.; Lulu, O.B.; Gross, A.E.; Safir, O. Fresh-stored osteochondral allografts for the treatment of femoral head defects: Surgical technique and preliminary results. Int. Orthop. 2013, 37, 1001–1006. [Google Scholar] [CrossRef]
  13. Tabbaa, S.M.; Guilak, F.; Sah, R.L.; Bugbee, W.D. Fresh Osteochondral and Chondral Allograft Preservation and Storage Media: A Systematic Review of the Literature. Am. J. Sports Med. 2022, 50, 1702–1716. [Google Scholar] [CrossRef] [PubMed]
  14. Chen, J.W.; Rosinsky, P.J.; Shapira, J.; Maldonado, D.R.; Kyin, C.; Lall, A.C.; Domb, B.G. Osteochondral Allograft Implantation Using the Smith–Peterson (Anterior) Approach for Chondral Lesions of the Femoral Head. Arthrosc. Tech. 2020, 9, e239–e245. [Google Scholar] [CrossRef]
  15. Oladeji, L.O.; Cook, J.L.; Stannard, J.P.; Crist, B.D. Large fresh osteochondral allografts for the hip: Growing the evidence. HIP Int. 2018, 28, 284–290. [Google Scholar] [CrossRef] [PubMed]
  16. Khanna, V.; Tushinski, D.M.; Drexler, M.; Backstein, D.B.; Gross, A.E.; Safir, O.A.; Kuzyk, P.R. Cartilage restoration of the hip using fresh osteochondral allograft. Bone Jt. J. 2014, 96-B, 11–16. [Google Scholar] [CrossRef] [PubMed]
  17. Evans, K.N.; Providence, B.C. Case report: Fresh-stored osteochondral allograft for treatment of osteochondritis dissecans the femoral head. Clin. Orthop. Relat. Res. 2010, 468, 613–618. [Google Scholar] [CrossRef] [PubMed]
  18. Saltzman, B.M.; Riboh, J.C.; Cole, B.J.; Yanke, A.B. Humeral Head Reconstruction With Osteochondral Allograft Transplantation. Arthroscopy 2015, 31, 1827–1834. [Google Scholar] [CrossRef]
Figure 1. (A) Anterior-to-posterior radiograph of the pelvis demonstrating left posterior hip dislocation with impaction of the femoral head into the posterior wall. (B) Anterior-to-posterior radiograph of the pelvis post-reduction film demonstrating the suspected left femoral head and/or a posterior wall of the acetabulum fracture.
Figure 1. (A) Anterior-to-posterior radiograph of the pelvis demonstrating left posterior hip dislocation with impaction of the femoral head into the posterior wall. (B) Anterior-to-posterior radiograph of the pelvis post-reduction film demonstrating the suspected left femoral head and/or a posterior wall of the acetabulum fracture.
Std 13 00032 g001
Figure 2. Intraoperative images of the large osteochondral defect and the definitive osteochondral allograft transplant. (A) The 5 × 4 cm impacted osteochondral lesion of the femoral head with a small surface of the weightbearing surface intact superior to the fovea. (B) Reduction and fixation of the inferior portion of the weight–bearing surface with two 2.5 mm headless compression screws. (C) Surface area demonstration of the proximal humerus osteochondral allograft (OAT) plug. (D) Placement of the 22 × 8 and 15 × 9 mm OAT plugs.
Figure 2. Intraoperative images of the large osteochondral defect and the definitive osteochondral allograft transplant. (A) The 5 × 4 cm impacted osteochondral lesion of the femoral head with a small surface of the weightbearing surface intact superior to the fovea. (B) Reduction and fixation of the inferior portion of the weight–bearing surface with two 2.5 mm headless compression screws. (C) Surface area demonstration of the proximal humerus osteochondral allograft (OAT) plug. (D) Placement of the 22 × 8 and 15 × 9 mm OAT plugs.
Std 13 00032 g002
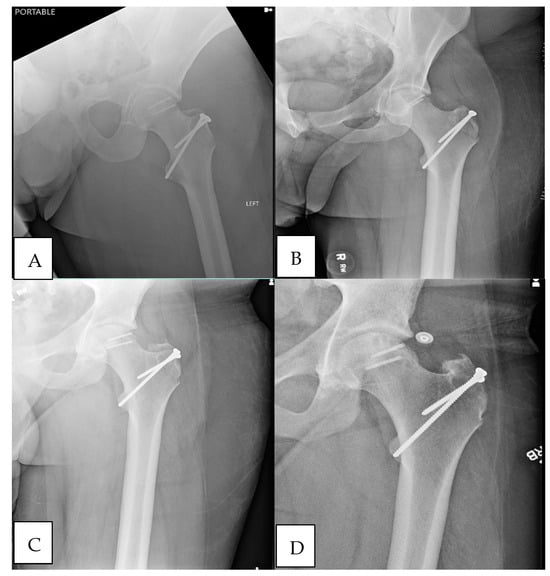
Figure 3. (A) Anterior-to-posterior radiograph of the left hip after open reduction internal fixation of the left femoral head osteochondral lesion. (B) Anterior-to-posterior radiograph of the left hip at 2 weeks following open reduction internal fixation of the left femoral head osteochondral lesion. (C) Anterior-to-posterior radiograph of the left hip at 8 weeks following open reduction internal fixation of the left femoral head osteochondral lesion. (D) Anterior-to-posterior radiograph of the left hip at 2 years following open reduction internal fixation of the left femoral head osteochondral lesion.
Figure 3. (A) Anterior-to-posterior radiograph of the left hip after open reduction internal fixation of the left femoral head osteochondral lesion. (B) Anterior-to-posterior radiograph of the left hip at 2 weeks following open reduction internal fixation of the left femoral head osteochondral lesion. (C) Anterior-to-posterior radiograph of the left hip at 8 weeks following open reduction internal fixation of the left femoral head osteochondral lesion. (D) Anterior-to-posterior radiograph of the left hip at 2 years following open reduction internal fixation of the left femoral head osteochondral lesion.
Std 13 00032 g003
Disclaimer/Publisher’s Note: The statements, opinions and data contained in all publications are solely those of the individual author(s) and contributor(s) and not of MDPI and/or the editor(s). MDPI and/or the editor(s) disclaim responsibility for any injury to people or property resulting from any ideas, methods, instructions or products referred to in the content.

Share and Cite

MDPI and ACS Style

Turnow, M.; Davis, T.; Seebacher, T.; Chudik, G.; Manes, T.; Pharis, H.; Degenova, D.; Mehta, S. Osteochondral Allograft Transplant in a Young Patient with a Traumatic Hip Fracture Dislocation: A Case Report. Surg. Tech. Dev. 2024, 13, 402-408. https://doi.org/10.3390/std13040032

AMA Style

Turnow M, Davis T, Seebacher T, Chudik G, Manes T, Pharis H, Degenova D, Mehta S. Osteochondral Allograft Transplant in a Young Patient with a Traumatic Hip Fracture Dislocation: A Case Report. Surgical Techniques Development. 2024; 13(4):402-408. https://doi.org/10.3390/std13040032

Chicago/Turabian Style

Turnow, Morgan, Trent Davis, Thomas Seebacher, Grant Chudik, Taylor Manes, Hunter Pharis, Daniel Degenova, and Sanjay Mehta. 2024. "Osteochondral Allograft Transplant in a Young Patient with a Traumatic Hip Fracture Dislocation: A Case Report" Surgical Techniques Development 13, no. 4: 402-408. https://doi.org/10.3390/std13040032

APA Style

Turnow, M., Davis, T., Seebacher, T., Chudik, G., Manes, T., Pharis, H., Degenova, D., & Mehta, S. (2024). Osteochondral Allograft Transplant in a Young Patient with a Traumatic Hip Fracture Dislocation: A Case Report. Surgical Techniques Development, 13(4), 402-408. https://doi.org/10.3390/std13040032

Article Metrics

Back to TopTop