You are currently viewing a new version of our website. To view the old version click .
Microbiology Research
  • Article
  • Open Access

6 January 2025

Detection of Mycotoxins and Aflatoxigenic Fungi Associated with Compound Poultry Feedstuffs in Saudi Arabia

,
,
,
and
1
Botany and Microbiology Department, Faculty of Science, South Valley University, Qena 83523, Egypt
2
Applied and Environmental Microbiology Center, Faculty of Science, South Valley University, Qena 83523, Egypt
3
Department of Biology, College of Science, Taif University, P.O. Box 11099, Taif 21944, Saudi Arabia
4
Biotechnology Department, Faculty of Bioengineering and Animal Resources, University of Life Sciences “King Mihai I” from Timisoara, Calea Aradului, No. 119, 300645 Timisoara, Romania

Abstract

Poultry feeds with cereal grain-based constituents are vulnerable to fungal contamination during the processing and storage stages. A total of 100 samples of compound poultry feedstuffs were collected from the cities of Riyadh, Alhassa, Qassim, and Jeddah in Saudi Arabia. A quantitative enumeration of fungal colony-forming units (CFUs) was performed on Dichloran Rose Bengal Chloramphenicol Agar (DRBC) and Czapek Iprodione Dichloran Agar (CZID) media. Aspergillus flavus was the most predominant species, accounting for 18.714 × 103 and 3.956 × 103 CFU/g, with frequencies of 84 and 42% in the feed samples on DRBC and CZID media, respectively. The levels of different mycotoxins were estimated by the HPLC technique. One hundred percent of the compound poultry feedstuff samples were contaminated by mycotoxins such as AFB1, AFB2, AFG1, AFG2, FB1, DON, T2, OTA, and ZEN. Aflatoxins were recorded in 84% of the tested samples, of which 70 samples were contaminated by AFB1, ranging from 0.03 to 0.40 μg/kg. The aflatoxin analysis of the fungal species revealed that 89% and 100% of A. flavus and A. parasiticus isolates were aflatoxigenic, and all of them exhibited the presence of the aflR, omt-1, ver-1, and nor-1 genes. According to the PCR protocol based on FLA1, two primers were successful in directly and rapidly detecting A. flavus in the poultry feedstuff samples.

1. Introduction

The major ingredients in poultry feed are cereals, cereal byproducts, oilseed meal, and livestock feed. Cereals are added to poultry feed as a source of energy, while proteins may originate from plant sources, such as soybean and peanut, or animal sources, such as fish and bone meal [1]. Cereals and forage are more susceptible to fungal contamination in the field and during processing, storage, and transportation when environmental conditions are appropriate for fungal growth [2]. Fungal contamination affects the quality of feeds, causes infectious diseases in birds, and reduces their ability to consume feed, resulting in a decline in productivity [3]. Aspergillus, Eurotium, Fusarium, and Penicillium are considered the main agents responsible for poultry feed contamination, which subsequently leads to the presence of various mycotoxins [4]. Aflatoxins (AFs), fumonisins (FBs), and trichothecenes, mainly deoxynivalenol (DON), zearalenone (ZEN), ochratoxins (OTAs), and patulin, are considered the most common mycotoxins found in feed and food [5,6].
Among Aspergillus sp., A. flavus and A. parasiticus receive significant attention in relation to poultry contamination due to their potential for aflatoxin production [7,8]. Poultry are highly susceptible to mycotoxicoses caused by aflatoxins and ochratoxins [9]. Toxigenic Aspergillus flavus isolates generally produce aflatoxins B1 and B2 [10]. The major AFs often detected in food and feed are AFB1, AFB2, AFG1, and AFG2. They are mainly produced by A. flavus and A. parasiticus under poor storage conditions coupled with warm and humid weather [11,12]. Aflatoxin B1 has been reported to be the most prevalent AF in Kenyan poultry feeds [13]. Most mycotoxicosis cases in poultry are caused by the intake of low concentrations of contaminants over a long period of time, which leads to the typical chronic symptoms of poor growth, poor feed efficiency, and suboptimal production [14]. Ochratoxins are another group of mycotoxins that are produced by several species of Aspergillus and Penicillium; these include certain members of the Aspergillus niger and Aspergillus ochraceus group and Penicillium verrucosum [15,16,17]. According to several authors, other mycotoxins, such as zearalenone, T2-toxin, deoxynivalenol, fumonisins, and patulin, can be considered commonly found in feed and food and are produced by fungal species attributed to Fusarium, Aspergillus, and Penicillium [18,19,20].
A PCR-based protocol is the most accurate and rapid diagnostic method for fungal detection [21]. Several attempts have been made at achieving the specific detection of aflatoxigenic species in food and feed. Amplified fragment length polymorphism (RFLP) has been successfully employed for the detection and differentiation of A. flavus and A. parasiticus in contaminated peanuts [22]. However, a primer-specific technique remains the best choice for fungal detection. To date, the sensitivity of different primer pairs has been evaluated for the detection of A. flavus to determine the best primers for the specific diagnosis of A. flavus [23,24].
Our work aimed to determine the fungal load and mycotoxin concentrations in compound feed poultry samples collected from different areas in Saudi Arabia. The quantitative exploration of the aflatoxin potential in aflatoxigenic species was conducted using molecular tools for the direct detection of A. flavus in feed samples.

2. Materials and Methods

2.1. Sample Collection and Handling Strategy

Qassim Province (25°48′23″ N 42°52′24″ E) accounts for about 33 percent of the total Saudi chicken meat production, followed by Riyadh (24°38′ N 46°43′ E) at 15 percent and Alhassa (25°25′46″ N 49°37′19″ E) and Jeddah (21°32′36″ N 39°10′22″ E) at less than 2%. One hundred samples (each about 5 Kg) of compound poultry foodstuffs (domestically produced) were gathered from feed factories and fodder markets in the Riyadh, Alhassa, Qassim, and Jeddah regions, Saudi Arabia (25 samples from each region).
Each sample was homogenized, milled, and partitioned into 1 kg laboratory samples. The analysis and identification of natural mycobiota were conducted the day after collection. Another portion of the samples was stored at −20 °C for up to one week for mycotoxin analysis [25].

2.2. Enumeration, Isolation, and Identification of Fungi

Quantitative enumeration of fungal colony-forming units (CFUs) was performed on two different media by the surface-spread Twenty grams of ground sample was soaked in 100 mL of sterile saline water method [26,27]. (0.9%) containing 0.02% Tween 80 and shaken for 30 min. From the serial dilutions (from 101 to 105), 100 µL aliquots were inoculated onto three plates of Dichloran Rose Bengal Chloramphenicol Agar (DRBC) and Czapek Iprodione Dichloran Agar (CZID). The plates were then incubated at 28 °C for 7 days. Plates with 10–100 CFU were used for enumeration, and the results are expressed as CFUs per gram of sample. However, in samples with a low level of fungal contamination, plates with less than 10 CFUs at the lowest tested dilution (10−1) were recorded.
Pure cultures were obtained by transferring hyphal tips to Malt extract agar with penicillin G and chloramphenicol (MEApc, 75 mg/L MEA). Isolates were maintained on MEApc at 4 °C and were identified by macroscopic and microscopic observations. For the identification of the isolated fungi, the book by Pitt and Hoching [28] was used.

2.3. Molecular Identification of Fungal Isolates

2.3.1. DNA Isolation

Fungal inoculum was mixed in a tube with 2 mL of potato dextrose broth (PDB), vortexed for spore dispersal, and used to inoculate flasks containing 100 mL PDB. Flasks were incubated at room temperature without shaking for 2 to 3 days. The mycelium was harvested by filtration, lyophilized, and stored at −80 °C. The mycelium was ground in liquid nitrogen in a sterile mortar to obtain a mycelium powder. DNA was extracted from 20 mg of mycelium powder using a DNeasy plant mini kit, Qiagen Company (Hilden, Germany). The quality and quantity of DNA were checked by electrophoresis on a 0.8% agarose gel, revealed with ethidium bromide, and visualized by UV trans-illumination [29].

2.3.2. ITS Region Sequencing

To confirm morphological identity, representative strains belonging to Aspergilli and its teleomorph species were subjected for molecular identification by amplifying the internal transcribed spacer (ITS) region with the primers ITS1-F (CTTGGTCATTTAGAGGAAGTAA) and ITS4 (TCCTCCGCTTATTGATATGC) [30,31]. PCRs were conducted in a final volume of 50 μL by mixing 2 μL of DNA with 0.5 μM of each primer, 150 μM of dNTP, 1 U of Taq DNA polymerase (Promega), and PCR buffer, and the final volume was completed with PCR water. PCR was conducted with the following conditions; 3 min at 94 °C as initial denaturation, followed by 35 cycles at 94 °C for 1 min, 50 °C for 1 min, 72 °C for 1 min, and a final extension of 10 min at 72 °C. Electrophoresis with 1.2% agarose gel revealed with ethidium bromide was used to check the PCR products. The PCR products were purified by ExoSAP-IT (USB Corporation, under license from GE Healthcare, Cleveland, OH, USA) based on the manufacturer’s instructions. The purified products were sequenced using an automated DNA sequencer (ABI PRISM 3700) using the Big Dye Deoxy Terminator cycle-sequencing kit (Applied Biosystems, Foster City, CA, USA) following the manufacturer’s instructions.
To compare the resulting sequences, the obtained sequences were blasted against the GenBank database using the BLAST software on the NCBI website (http://www.ncbi.nlm.nih.gov/BLAST/, accessed on 15 October 2023). The sequences obtained in this study were deposited in GenBank with the accession numbers indicated in Table 1.
Table 1. Mycotoxin potential of fungal species isolated from compound poultry feedstuff samples collected from Riyadh, Alhassa, Qassim, and Jeddah areas.

2.3.3. Determining Mycotoxins in the Collected Samples

All mycotoxin standards (>99% purity) were from Sigma Aldrich (St. Louis, MO, USA). HPLC-grade water was obtained from water passed through a MilliQ water purification system (Millipore Ltd., Bedford, MA, USA) [32]. Whole samples were thoroughly triturated using a homogenizer. After that, 2.5 g of triturated samples was accurately weighed (precision 0.1 mg) and transferred to centrifuge tubes (50 mL). Samples were extracted by shaking with 10 mL ACN/water (80:20) on a mechanical shaker for 90 min and then centrifuged at 4000 rpm for 10 min. Afterwards, the supernatant extract was diluted two-fold with HPLC-grade water, taking an aliquot of 5 mL and diluting it to 10 mL. After filtration through a 0.22 µm syringe nylon filter (Iso-disc, Supelco), 20 µL was directly injected into the LC/ESI-MS system. Calibration was performed using matrix-matched standards prepared from a two-fold diluted blank extract. Fortification of samples for recovery experiments was performed by delivering 1 mL of 1.25, 5, 50, 500 µg/L mixture of standard solutions to 2.5 g homogenized blank sample in order to yield fortification levels of 0.5, 2, 20, and 200 µg/kg, respectively. These fortified samples were equilibrated for 1 h prior to extraction [33]. A standard curve was constructed using HPLC absorbance readings of the total aflatoxin standards (0, 2, 0.06, 0.2, 0.6, and 1.5 ng/mL) to determine aflatoxin concentrations in ppb. Absorbance readings and concentrations of the standard solutions were entered into a Microsoft Excel 2016 spreadsheet, and a standard curve was generated (Supplementary Data). From this standard curve, concentrations of aflatoxins in the corresponding samples were calculated using the equation of the line: y = 6.9843x − 18.03 (for B1), y = 3.6042x + 24.259 (B2), y = 6.0604x − 127.98 (G1), and y = 5.9011x + 14.716 (G2), where y = optical density and x = aflatoxin concentration. The limit of detection (LOD) was 0.02 µg/kg.

2.4. Detection and Quantification of Mycotoxins in Fungal Isolates

All tested isolates were grown on SKMY medium (200 g sucrose, 0.5 g magnesium sulfate, 3 g potassium nitrate, 7 g yeast extract, and 1 L of distilled water) for 10 days at 25 ± 2 °C [34]. After incubation, the whole flask content was placed in a high-speed blender containing 5 g sodium chloride, blended for 2–3 min, and then filtered through a glass filter paper. A total of 100 mL of the filtered fungal isolate was centrifuged at 3500× g for 10 min at 4 °C. The upper layer was removed and discarded samples were further diluted 20 times (v/v) with deionized water. The suspension was filtered using a Millipore (0.45 μm in diameter) and the filtrate was centrifuged at 2700× g for 15 min at 15 °C. The upper layer was removed and the aqueous–methanol layer (100 μL) was added to 0.01 M PBS (900 μL, dilution 1:10). The content of aflatoxins was analytically determined by HPLC using 100 μL of this solution.

2.5. Molecular Detection of Aflatoxin-Producing Genes in Aspergillus flavus

The isolation of DNA from mycelia was performed according to the method described by [35]. Four published primer sets were used for the specific detection of the nor-1, ver-1, omt-A, and aflR genes [36]. The 400, 537, 797, and 1032 bp fragments were amplified, respectively. A typical PCR was carried out under the following conditions: 5 μL of genomic DNA was used as template (2 μg ml−1) with 0.5U EuroTaq polymerase (Euroclone, Pero-Milan, Italy), 1x reaction buffer, 2.5 mM MgCl2, 200 μM each dNTP, and 7.5 pmol each primer in a total reaction volume of 50 μL. A total of 35 PCR cycles were performed, with the following temperature regimen: 95 °C,1 min; 65 °C, 30 s; 72 °C, 30 s for the first cycle; and 94 °C, 30 s; 65 °C, 30 s; 72 °C, 30 s for the 34 remaining cycles [36]. PCR products were separated on a 1.3% (wt/vol) agarose gel stained with ethidium bromide.

2.6. Molecular Detection of Aspergillus flavus in Compound Poultry Foodstuff Samples

Fungal DNA was isolated from compound poultry foodstuff samples ready for feeding by enrichment technique. One gram of the sample was cultured in Erlenmeyer flasks containing 50 mL of Potato Dextrose Broth (PDB) tubes, which were incubated at 30 °C for 24 h in an orbital shaker (140 rpm). DNA extraction was carried out starting from 200 mg of filtered culture frozen with liquid nitrogen and ground using a mortar and a pestle. All extractions were carried out in triplicate [37]. Elution was carried out in one step by adding 100 μL of elution buffer (TE). Specific PCR assays were carried out using the primers FLA1 (5′-GTAGGGTTCCTAGCGAGCC-3′) and FLA2 (5′-GGAAAAAGATTGATTTGCGTTC-3′) for A. flavus. The PCR amplification protocol for A. flavus was as follows: 1 cycle of 5 min at 95 °C, 26 cycles of 30 s at 95 °C, 30 s at 58 °C, 45 s at 72 °C and, finally, 1 cycle of 5 min at 72 °C. PCR products were separated on 1.3% (wt/vol) agarose gel stained with ethidium bromide. Samples positive for Aspergillus flavus showed 500 bp size PCR products [38].

3. Results

3.1. Mycobiota of Various Compound Poultry Feedstuff Samples

The isolation of fungal species was carried on DRBC and CZID media. The isolated fungi were identified based on morphological criteria and the identification was confirmed molecularly by sequencing internal transcribed spacer (ITS) regions of representative samples of the collected fungal species. The resulting sequences were deposited in GenBank with the accession numbers shown in Table 1. Samples from Riyadh were more contaminated than those from other regions on DRBC media (7.485 × 103 CFU/g) and Jeddah samples on CZID media (1.421 × 103 CFU/g). Fifteen fungal species attributed to two genera were recovered from 100 samples of compound poultry feedstuffs gathered from four regions in Saudi Arabia. Aspergillus, represented by 11 species, was the most common genus isolated from the different compound poultry feedstuff samples, with average total counts of 18.714 × 103 and 3.956 × 103 CFU/g on DRBC and CZID media, respectively. Aspergillus flavus was the predominant species isolated from 84% and 42% of the samples on DRBC and CZID media, respectively. In the second place came A. niger, isolated from 44% and 17% of the samples on the same media. The frequencies of A. candidus, E. amstelodami, and E. chevalieri isolated from the tested samples fluctuated in the ranges of 42–50% and 5–12% on DRBC and CZID media, respectively. The remaining species were isolated in low or rare frequencies of occurrence (Figure 1 and Figure 2).
Figure 1. Heatmap of CFUs, calculated per g dry feedstuff sample, of fungal species isolated from compound poultry feed samples (n = 100) collected from Riyadh, Alhassa, Qassim, and Jeddah cities on (a) DRBC and (b) CZID media at 27 °C.
Figure 2. Number of cases of isolation (NCI) of fungal species isolated from compound poultry feedstuff (n = 100) gathered from Riyadh, Alhassa, Qassim, and Jeddah cities on (a) DRBC and (b) CZID media at 27 °C.

3.2. Naturally Occurring Mycotoxins in Compound Poultry Feedstuff Samples

The contamination of poultry feedstuff samples with AFB1, AFB2, AFG1, AFG2, FB1, DON, T-2, OTA, and ZEN mycotoxins was evaluated (Table 2). Data indicated that 100% of the tested feedstuff samples were contaminated with mycotoxins, and at least two mycotoxins were detected in each sample. Also, the data clarified that aflatoxin (B1) was the most frequent mycotoxin, followed by ochratoxin A and fumonisins (FB1), whereas T-2 came in the last place (Figure 3).
Table 2. Mycotoxin analysis (µg/kg−1) in 100 compound poultry feedstuff samples collected from Riyadh, Alhassa, Qassim, and Jeddah areas.
Figure 3. Positive samples from mycotoxin analysis (μg/kg−1) of 100 compound poultry feedstuff samples collected from Riyadh, Alhassa, Qassim, and Jeddah areas.
Aflatoxins were recorded in 84% of feedstuff samples, of which seventy samples (70%) were contaminated with AFB1, in amounts ranging from 0.03 to 0.40 μg/kg. Twenty samples contained AFB2, at levels of 0.33–0.55 μg/kg; on the other hand, seventeen samples were contaminated with AFG1, at estimated levels of 0.45–0.99 μg/kg. AFG2 was detected in twenty-two samples, with a concentration of 2.43–4.88 μg/kg. Ochratoxin A and fumonisins (FB1) were identified in 62% and 56% samples, with average amounts of 12.32 and 461.75 μg/kg, respectively. In addition, 38 and 41 samples were contaminated with deoxynivalenol and zearalenone, with levels ranging from 240 to 49,380 and 22 to 57 μg/kg, respectively. Further, T-2 was detected in six of the collected specimens, with average amounts equal to 40.91 μg/kg−1 (Table 2).

3.3. Detection of Aflatoxin Potentials for Isolated Fungal Species

The mycotoxin potential of the collected isolates, belonging to 16 species of Aspergillus and its teleomorph species, was studied (Table 1). The data indicated that the isolates belonging to A. clavatus, A. fumigatus, A. sydowii, A.ustus, A. versicolor, E. nidulans, E. repens, and E. rubrum failed to give any detectable amounts of the tested mycotoxins (Table 1).
Among the fungal isolates collected from the Riyadh area, 18 out of 23 Aspergillus flavus isolates were aflatoxigenic (Table 3). Fourteen isolates were able to produce AFB1, with levels ranging from 8.5 to 20.5 PPb. Eleven isolates showed AFB2 production abilities, with levels ranging from 3.6 to 12.4 PPb. Only one isolate showed the ability to produce AFG1 and AFG2. Among the tested A. parasiticus, 100% showed different aflatoxin (AFB1,2, AFG1,2) potentials with amounts of 0.3–34.5 PPb. A total of 11.7–50% of A. candidus, A. niger, A. terreus, E. amstelodami, and E. chevalieri isolates were AFB1 (1.1–0.4 PPb).
Table 3. Different aflatoxin potentials of fungal species isolated from compound poultry feedstuff samples collected from Riyadh, Alhassa, Qassim, and Jeddah areas.
Among isolates collected from the Alhassa region, 18 isolates of Aspergillus flavus were aflatoxigenic and produced AFB1, at levels ranging from 5.5 to 21.5 PPb, while only 4 of the positive isolates were AFB2 producers (4.2–8.3 PPb). Aspergillus parasiticus was represented by a single isolate; this isolate produced AFB1 (20.5 PPb), AFB2 (15.4), AFG1 (2.5), and AFG2 (1.5). Half of the isolates belonging to Aspergillus candidus, 25% to A. niger, 33.3% to Eurotium amstelodami, and 22.2% to E. chevalieri only produced AFB1 at very low levels (Table 3).
Sixteen isolates of A. flavus collected from Qassim were able to produce AFB1 at levels from 10.5 to 20.4 PPb, and seven isolates were AFB2 producers (4.3 to 10.5 PPb). The tested isolates of A. parasiticus exhibited different aflatoxin potentials, with amounts of 20.6 PPb for AFB1, 15.5 PPb for AFB2, 11.3 PPb for AFG1, and 18.4 PPb for AFG2. Six isolates of Aspergillus candidus, three of A. niger, two of A. terreus, six of Eurotium amstelodami, and seven of E. chevalieri showed a capacity for AFB1 production with amounts 0.1 to 0.6 PPb (Table 3).
Concerning the fungal isolates belonging to the Jeddah region, 20 isolates of Aspergillus flavus were aflatoxigenic and showed AFB1 potential, with amounts ranging from 25.5 to 43.5 PPb, while 13 isolates were AFB2 producers (8.5 to 15.6 PPb). A. parasiticus, represented by three isolates, produced the four tested aflatoxins with the following amounts: AFB1 (41.5 to 53.5 PPb); AFB2 (18.5 to 24.5); AFG1 (5.5 to 11.3); and AFG2 (4.3 to 8.5). The remaining tested isolates—Aspergillus candidus (7 isolates), A. niger (4), A. terreus (2), Eurotium amstelodami (9), and E. chevalieri (7)—exhibited AFB1 production abilities with quantities ranging from 0.1 to 0.6 PPb (Table 3).

3.4. Survey of Aflatoxin Biosynthetis Genes

Eighty-three isolates of Aspergillus flavus and nine of Aspergillus parasiticus were isolated from different feedstuff samples and tested for the presence of aflatoxin biosynthesis genes (aflR, omt-A, ver-1, and nor-1) (Table 4). Out of the 83 isolates belonging to A. flavus, 74 (89%) were able to produce aflatoxins, while all Aspergillus parasiticus isolates were aflatoxigenic. Polymerase chain reaction (PCR) was applied using four sets of primers for different genes involved in the aflatoxin biosynthetic pathway. Bands of fragments of aflR, omt-1, ver-1, and nor-1 genes were visualized at 1032, 797, 537, and 400 bp, respectively. All aflatoxigenic producers among Aspergillus flavus and A. parasiticus isolates showed the presence of the complete set of the examined aflatoxin biosynthesis genes, while the non-aflatoxigenic isolates showed different patterns of DNA, indicating that at least one gene was missing (Table 4).
Table 4. Frequency of aflatoxin biosynthesis genes in Aspergillus flavus and Aspergillus parasiticus isolated from different compound poultry feedstuff samples collected from Riyadh, Alhassa, Qassim, and Jeddah areas.

3.5. Molecular Detection of Aspergillus flavus in Compound Poultry Feedstuff Samples

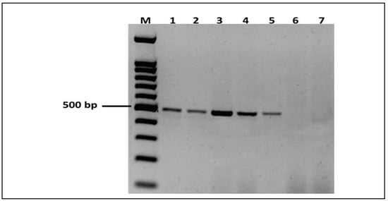
The most heavily contaminated samples and some Aspergillus flavus-free samples were subjected to enrichment techniques to isolate the total genomic DNA of contaminating fungal species. The collected DNA samples were amplified by FLA1 and FLA2 primers to detect the presence of Aspergillus flavus in the tested samples. The heavily contaminated samples showed PCR products at 500 bp, indicating the presence of the tested fungus, while no amplicon was scored for A. flavus-free samples (Figure 4).
Figure 4. Agarose gel electrophoresis of PCR products of DNA fragments specific for Aspergillus flavus using FLA1 and FLA2 primers. Lane 1: representative sample collected from Riyadh; lane 2: representative sample from Alhassa; lane 3: positive control; lane 4: representative sample from Qassim; lane 5: representative sample from Jeddah; lane 6: Aspergillus flavus-free sample; lane 7: negative control. M: DNA marker.

4. Discussion

Fifteen fungal species attributed to Aspergillus and its teleomorph species were isolated from different compound poultry feedstuff samples collected from Riyadh, Alhassa, Qassim, and Jeddah areas. Aspergillus was the most frequent genus, with counts of 1.8 × 103 and 3.9 × 102 CFU/g on DRBC and CZID media, respectively. Magnoli et al. [39] enumerated Aspergillus groups in poultry feeds from Argentina. Their results showed that the mean value counts of Aspergillus ranged from 1 × 103 to 9.5 × 104 CFU/g. Dalcero et al. [40] isolated Apergillus from 85% of poultry feedstuff samples. In Spain, Accensi et al. [41] reported that Aspergillus spp. (including teleomorphs) were isolated from 77.7% of poultry feedstuff samples and ranged from non-detectable to 5.3 × 106 CFU/g, with a mean value of 2.2 × 104 CFU/g. On average, Aspergillus spp. comprised 15.6% of the total fungal population. Total counts of the genus Aspergillus were 4.05 × 105 CFU/g in poultry feedstuff samples collected in Brazil [42]. Aspergillus’ occurrence in our compound feed samples is in agreement with the results reported by other authors [40,43,44].
Aspergillus flavus, followed by A. niger, were the most prevalent species of aspergilli and its teleomorph species in the investigated samples, and Jeddah samples were the most contaminated with those species. Aspergillus candidus, Eurotium amstelodami, and E. chevalieri were recovered with moderate frequencies, and other fungal species were isolated with low or rare frequencies. This finding is agreement with Viegas et al. [45], who indicated that A. flavus was recovered in 90% of samples from poultry farms and feed manufacturers. In different countries, A. flavus was the most contaminating fungus for poultry feed samples [42,46,47]. Magnoli et al. [39] reported that the predominant species of Aspergillus isolated from poultry feeds were A. flavus and A. parasiticus, while A. candidus, A. fumigatus, A. niger, A. orizae, A. parvulus, A. tamari, and A. terreus were less frequently isolated. They showed that total counts for A. candidus, A. flavus, A. fumigates, A. niger, A. parasiticus, and A. terreus ranged from 1 × 103–1.2 × 105. Accensi et al. [41] isolated E. amstelodami and E. chevalieri from compound poultry feedstuff samples with occurrences of 45.6 and 51.7%, respectively. In many other studies, Eurotium spp. were the most abundant species in compound feed samples [39,43,47].
The contamination of agriculture commodities used in the preparation of poultry feed with toxigenic fungi may lead to mycotoxins increasing and reaching harmful levels for farm animals and consequently for humans. Poultry feed is frequently contaminated by mycotoxins. For this reason, poultry could be subject to mycotoxicoses [18,48]. Our results showed that all samples of compound poultry feedstuffs were contaminated by mycotoxins and all the tested specimens contained at least two mycotoxins. The co-occurrence of mycotoxins in feed was observed in the current study, with major and regulated mycotoxins (AFs, FBs, DON, and ZEN). The contamination of agricultural products by more than one mycotoxin has been reported in various studies conducted in Sub-Saharan Africa [49,50]. Our results indicated that aflatoxins were also predominant in poultry feed samples, occurring in 84% of the samples, with the most prevalent AF being aflatoxin B1, occurring in 70% of poultry feed samples and ranging from 0.03 to 0.40 µg/kg−1. This was in agreement with studies conducted in Uganda, Rwanda, and Cameroon, where high incidences of over 80% were reported [51,52,53]. In Saudi Arabia, the limit of aflatoxins in grains and their products is 20 ppd, but in Hong Kong, it is equal to 15 ppd [54]. Fumonisins (FB1) were detected in fifty-six of the collected samples at an average concentration range between 10.34 and 1043 ppb. Ochieng et al. [55] noted in their review that poultry feeds from Sub-Saharan Africa were frequently contaminated by more than one mycotoxin, with AFs and FBs co-occurring the most. Mokubedi et al. [50] reported the occurrence of FBs in all poultry feed samples from South Africa, with a maximum level of FB1 (7.125 µg/kg). Ochratoxin A was present in sixty-two samples at a concentration ranging from 6.8 to 14.8 µg/kg−1. These results are in agreement with Schiavone et al. [56], who found that OTA in poultry feed samples ranged between 0.04 and 6.5 μg/kg in Italy. Also, Jaimez et al. [57] found that the level of OTA in feed samples in Spain was 1.53 μg/kg. DON was detected in about 38% of the collected specimens at an average concentration range from 240 to 49,380 μg/kg. In Sweden, the limit of ochratoxin A in feedstuff for poultry is 15 ppd [54]. Many studies have been conducted worldwide on the level of DON contamination in feeds. In a previous study in South Korea, Park et al. [58] monitored 653 feed samples collected from 2009 to 2016 and found that 79.7% had DON contamination, ranging from 1 to 8480 μg/kg. Zhao et al. [59] analyzed 3507 feed samples collected from 2018 to 2020 and DON contamination was detected in 96.4% of the samples, with levels in the range of 458–9186 μg/kg; they also detected ZEN in 96.9% of the samples, with levels ranging from 31 to 1599 μg/kg. Bilal et al. [60] examined 106 feed samples sourced from Turkey and confirmed that 43.4% of total feeds were contaminated with ZEN, at a range from 3 to 97 μg/kg. Of a total of 100 samples, T-2 toxins were detected in 6 of the collected specimens at an average concentration of 48.3 μg/kg. In a similar study, Ok et al. [61] carried out an analysis on T-2 and HT-2 toxin levels in 214 grain feed samples obtained from grocery markets in South Korea and found a contamination range of 6–207 μg/kg. Kim et al. [62] analyzed 507 grain feed samples, and 2.0% was found to be contaminated with T-2 and HT-2 toxins. The recommended mycotoxin limits for aflatoxin, ochratoxin A, deoxynivalenol, and fumonisin B1 are 10, 5, 2000, and 1000 μg/kg [63]. The higher incidence of fungi and mycotoxins in feed samples may be attributed to the difficulty in achieving adequate control and good storage conditions [52,64]. The climatic conditions in Saudi Arabia are characterized by high temperature and little aeration. These conditions make the feed more susceptible to fungal contamination and mycotoxin biosynthesis.
In our results, out of 83 isolates, 74 (89%) A. falvus samples were able to produce aflatoxins, while all Aspergillus parasiticus isolates were aflatoxigenic, and all of them showed the presence of the aflR, omt-1, ver-1, and nor-1 genes. This result is in agreement with Scherm et al. [65], who indicated the presence of a complete set of genes (aflR, omt-1, ver-1, and nor-1 genes) in three isolates of A. parasiticus. Also regarding this, Oloo et al. [11] reported that the aflotoxin potential of A. flavus and A. minisclerotigenes was associated with the aflD and aflS genes. On the other hand, El-dawy et al. [12] indicated that 91.3% of aflatoxin-producing strains were linked to the presence of the aflR1 and aflR2 genes. A multiplex polymerase chain reaction (PCR) strategy was established for the rapid identification of mycotoxigenic fungi [66]. A number of studies have demonstrated the significance of PCR-based techniques to detect the aflatoxigenic potential of Aspergillus strains [67,68].
In this work, the presence of A. flavus was detected in heavily contaminated samples. PCR tests resulted in 500 bp amplicons indicating the presence of A. flavus. This result is identical with that of Okayo et al. [24], who reported that 500 pb amplicons were obtained from A. flavus by FLA1 and FLA2. PCR using FLA primers is an optimal choice for the specific detection of A. flavus [23].

5. Conclusions

In conclusion, A. flavus was recovered from 84% of poultry feed samples, and 70% of the samples were contaminated with AFB1, with amounts in the range of 0.03–0.4 µg/kg−1. This heavy contamination could lead to a significant decrease in poultry production. The success of the direct detection of A. flavus in feed samples using FLA1 and FLA2 primers can be considered a crucial epidemiological step which will reduce the levels of aflatoxins in poultry feeds.

Supplementary Materials

The following supporting information can be downloaded at: https://www.mdpi.com/article/10.3390/microbiolres16010011/s1, Figure S1. From right to left: aflatoxins G2, G1, B2 and B1 chromatogram obtained from a mixed standard solution at 5 ng of each toxin per 1 mL of solvent that is injected as 1 µL with mobile phase flow rate of 0.2 mL per minute with positive ionization mode and mass to charge ratio related to each toxin as show in the next graph. Figure S2. Mass to charge ratio of the aflatoxins B1:313, B2:315, G2:329 and G1:331. Figure S3. Standard calibration curves of B1, B2, G1 and G2 respectively.

Author Contributions

Conceptualization, Y.A.G.; Funding acquisition, P.I.; Software, K.E.A.F.; Writing—original draft, Y.A.G.; Writing—review and editing, A.A. and M.A.H. All authors have read and agreed to the published version of the manuscript.

Funding

This research received no external funding.

Institutional Review Board Statement

Not applicable.

Data Availability Statement

All data supporting the findings of this study are available within the paper and in the Supplementary Data.

Conflicts of Interest

The authors declare no conflict of interest.

References

  1. Ssepuuya, G.; Namulawa, V.; Mbabazi, D.; Mugerwa, S.; Fuuna, P.; Nampijja, Z.; Ekesi, S.; Fiaboe, K.K.M.; Nakimbugwe, D. Use of insects for fish and poultry compound feed in sub-Saharan Africa—A systematic review. J. Insects Food Feed 2017, 3, 289–302. [Google Scholar] [CrossRef]
  2. Blaha, J.; Jíčínská, E.; Veselý, D.; Jelínek, R. The effect of moulds on the nutritional value of wheat. Anim. Feed Sci. Technol. 1990, 28, 315–324. [Google Scholar] [CrossRef]
  3. Magnoli, C.; Astoreca, A.; Chiacchiera, S.M.; Dalcero, A. Occurrence of ochratoxin A and ochratoxigenic mycoflora in corn and corn based foods and feeds in some South American countries. Mycopathologia 2007, 163, 249–260. [Google Scholar] [CrossRef] [PubMed]
  4. Greco, M.V.; Franchi, M.L.; Golba, S.L.R.; Pardo, A.G.; Pose, G.N. Mycotoxins and mycotoxigenic fungi in poultry feed for food-producing animals. Sci. World J. 2014, 968215. [Google Scholar] [CrossRef]
  5. Guerre, P. Worldwide mycotoxins exposure in pig and poultry feed formulations. Toxins 2016, 8, 350. [Google Scholar] [CrossRef] [PubMed]
  6. Kolawole, O.; Graham, A.; Donaldson, C.; Owens, B.; Abia, W.A.; Meneely, J.; Alcorn, M.J.; Connolly, L.; Elliott, C.T. Low doses of mycotoxin mixtures below eu regulatory limits can negatively affect the performance of broiler chickens: A Longitudinal Study. Toxins 2020, 12, 433. [Google Scholar] [CrossRef] [PubMed]
  7. Magnoli, A.P.; Monge, M.P.; Miazzo, R.D.; Cavaglieri, L.R.; Magnoli, C.E.; Merkis, C.I.; Cristofolini, A.L.; Dalcero, A.M.; Chiacchiera, S.M. Effect of low levels of aflatoxin B1 on performance, biochemical parameters, and aflatoxin B1 in broiler liver tissues in the presence of monensin and sodium bentonite. Poult. Sci. 2011, 90, 48–58. [Google Scholar] [CrossRef]
  8. Ghadeer, A.O.; Al-delamiy, K.S. Aflatoxin B1 production by Aspergillus flavus in different media and containers and the antifungal activity of garlic and black cumin. Res. J. Eng. Appl. Sci. 2012, 1, 117–121. [Google Scholar]
  9. Anjum, M.A.; Sahota, A.W.; Akram, M.; Ali, I. Prevalence of mycotoxins in poultry feeds and feed ingriedents in Punjab (Pakistan). J. Anim. Plant Sci. 2011, 2, 117–120. [Google Scholar]
  10. Davis, N.D.; Diener, V.L. Some characteristics of toxigenic and non-toxigenic isolates of A. flavus and A. parasiticus. Southern Coop. Series Bull. 1983, 279, 112. [Google Scholar]
  11. Oloo, R.D.; Okoth, S.; Wachira, P.; Mutiga, S.; Ochieng, P.; Kago, L.; Nganga, F.; Entfellner, J.D.; Ghimire, S. Genetic profiling of Aspergillus isolates with varying aflatoxin production potential from different maize growing regions of Kenya. Toxins 2019, 11, 467. [Google Scholar] [CrossRef] [PubMed]
  12. El-Dawy, E.G.A.M.; Gherbawy, Y.A.; Hussein, M.A. Characterization of Aspergillus section Flavi associated with stored grains. Mycotoxin Res. 2024, 40, 187–202. [Google Scholar] [CrossRef] [PubMed]
  13. Kemboi, D.C.; Ochieng, P.E.; Antonissen, G.; Croubels, S.; Scippo, M.L.; Okoth, S.; Kangethe, E.K.; Faas, J.; Doupovec, B.; Lindahl, J.F.; et al. Multi-mycotoxin occurrence in dairy cattle and poultry feeds and feed ingredients from Machakos town, Kenya. Toxins 2020, 12, 762. [Google Scholar] [CrossRef]
  14. Mabbett, T. Keep feeds free from fungi. Afr. Farming 2004, 15–16. [Google Scholar]
  15. Hussein, M.A.; Gherbawy, Y. Genotypic identification of ochratoxigenic Aspergilli that contaminated beef luncheon and their protease activity. Rend. Lincei Sci. Fis. Nat. 2019, 30, 767–773. [Google Scholar] [CrossRef]
  16. Reverberi, M.; Punelli, F.; Scarpari, M.; Camera, E.; Zjalic, S.; Ricelli, A. Lipoperoxidation affects ochratoxin A biosynthesis in Aspergillus ochraceus and its interaction with wheat seeds. Appl. Microbiol. Biotechnol. 2010, 85, 1935–1946. [Google Scholar] [CrossRef]
  17. Hussein, M.A.; Gherbawy, Y.A.; Abd El-sadek, M.S.; Al-Harthi, H.F.; El-Dawy, E.G.A.M. Phylogeny of Aspergillus section Circumdati and inhibition of ochratoxins potential by green synthesised ZnO nanoparticles. Mycology 2024. Accepted. [Google Scholar] [CrossRef]
  18. Hussein, H.S.; Brasel, J.M. Toxicity, metabolism, and impact of mycotoxins on humans and animals. Toxicology 2001, 167, 101–134. [Google Scholar] [CrossRef]
  19. Firdous, S. Effect of storage, temperature and moisture on the total aflatoxin growth in indigenous feed ingredients by HPLC. M. Phil. Thesis, GC University, Lahore, Pakistan, 2003; pp. 30–39. [Google Scholar]
  20. Navale, V.; Penugonda, S.; Vamkudoth, K.R. Prevalence of zearalenone producing Fusarium species associated with finger millet. Indian Phytopathol. 2022, 75, 367–375. [Google Scholar] [CrossRef]
  21. Perrone, G.; Susca, A.; Stea, G.; Mulè, G. PCR assay for identification of Aspergillus carbonarius and Aspergillus japonicus. Eur. J. Plant Pathol. 2004, 110, 641–649. [Google Scholar] [CrossRef]
  22. Ahmad, M.M.; Ahmad, M.; Ali, A.; Hamid, R.; Javed, S.; Abdin, M.Z. Detection of Aspergillus flavus and Aspergillus parasiticus from aflatoxin-contaminated peanuts and their differentiation using PCR-RFLP. Ann. Microbiol. 2014, 64, 1597–1605. [Google Scholar] [CrossRef]
  23. Al-Shuhaib, M.B.S.; Albakri, A.H.; Alwan, S.H.; Almandil, N.B.; AbdulAzeezd, S.; Borgio, J.F. Optimal PCR primers for rapid and accurate detection of Aspergillus flavus isolates. Microb. Pathog. 2018, 116, 351–353. [Google Scholar] [CrossRef]
  24. Okayo, R.O.; Andika, D.O.; Dida, M.M.; K’Otuto, G.O.; Gichimu, B.M. Morphological and molecular characterization of toxigenic Aspergillus flavus from groundnut kernels in Kenya. Int. J. Microbiol. 2020, 1, 8854718. [Google Scholar] [CrossRef] [PubMed]
  25. Pereyra, C.M.; Cavaglieri, L.R.; Chiacchiera, S.M.; Dalcero, A.M. Fungi and mycotoxins in feed intended for sows at different reproductive stages in Argentina. Vet. Med. Int. 2010, 18, 31–36. [Google Scholar] [CrossRef] [PubMed]
  26. Kacàniovà, M. Feeding soybean colonization by microscopic fungi. Trakya University. J. Nat. Sci. 2003, 4, 165–168. [Google Scholar]
  27. Bokhari, F.M. Implications of fungal infections and mycotoxins in camel diseases in Saudi Arabia. Saudi. J. Biol. Sci. 2010, 17, 73–81. [Google Scholar] [CrossRef] [PubMed]
  28. Pitt, J.I.; Hocking, A.D. Fungi and Food Spoilage, 2nd ed.; Chapman & Hall: London, UK, 1998. [Google Scholar]
  29. Gherbawy, Y.A.; Gashgari, R.M. Mycobiota associated with superficial blemishes of potato tubers. Food Biotechnol. 2013, 27, 137–151. [Google Scholar] [CrossRef]
  30. White, T.J.; Bruns, T.; Lee, S.; Taylor, J. Amplification and direct sequencing of fungal ribosomal RNA genes for phylogenetics. In PCR Protocols. A Guide to Methods and Applications; Innis, M.A., Gelfand, D.H., Sninsky, J.J., White, T.J., Eds.; Academic Press: San Diego, CA, USA, 1990; pp. 315–322. [Google Scholar]
  31. Gardes, M.; Bruns, T.D. ITS primers with enhanced specificity for Basidiomycetes-Application to the identification of mycorrhizae and rusts. Molecul. Ecol. 1993, 2, 113–118. [Google Scholar] [CrossRef]
  32. Cavaliere, C.; Foglia, P.; Pastorini, E.; Samperi, R.; Lagana, A. Liquid chromatography/tandem mass spectrometric confirmatory method for determining aflatoxin M1 in cow milk: Comparison between electrospray and atmospheric pressure photoionization sources. J. Chromatogr. A 2006, 1101, 69–78. [Google Scholar] [CrossRef]
  33. Beltrán, E.; Ibáñez, M.; Sancho, J.V.; Hernández, F. Determination of mycotoxins in different food commodities by ultra-high-pressure liquid chromatography coupled to triple quadrupole mass spectrometry. Rapid Commun. Mass Spectrom. 2009, 23, 1801–1809. [Google Scholar] [CrossRef]
  34. Diener, U.L.; Davis, N.D. Aflatoxin Production by Isolates of Aspergillus flavus. Phytopathology 1966, 56, 1390–1393. [Google Scholar]
  35. Farber, P.; Geisen, R.; Holzapfel, W.H. Detection of aflatoxigenic fungi in figs by a PCR reaction. Int. J. Food Microbiol. 1997, 36, 215–220. [Google Scholar] [CrossRef] [PubMed]
  36. Criseo, G.; Racco, C.; Romeo, O. High genetic variability in non-aflatoxigenic A. flavus strains by using Quadruplex PCR-based assay. Int. J. Food Microbiol. 2008, 125, 341–343. [Google Scholar] [CrossRef]
  37. Gherbawy, Y.A.; Yassmin, Y.M.; Alharthy, H. Molecular characterization of aflatoxigenic aspergilli-contaminated poultry and animal feedstuff samples from the western region of Saudi Arabia. Ital. J. Food Sci. 2016, 28, 32–42. [Google Scholar]
  38. González-Salgado, A.; González-Jaén, M.T.; Vázquez, C.; Patiño, B. Highly sensitive PCR-based detection method specific for Aspergillus flavus in wheat flour. Food Addit. Contam. 2005, 25, 758–764. [Google Scholar] [CrossRef]
  39. Magnoli, C.; Dalcero, A.M.; Chiacchiera, S.M.; Miazoo, R.; Saenz, M.A. Enumeration and identification of Aspergillus group and Penicillium species in poultry feeds from Argentina. Mycopathologia 1998, 142, 27–32. [Google Scholar] [CrossRef] [PubMed]
  40. Dalcero, A.; Magnoli, C.; Luna, M.; Ancasi, G.; Reynoso, M.M.; Chiacchiera, S. Mycoflora and naturally occurring mycotoxins in poultry feeds in Argentina. Mycopathologia 1998, 141, 37–43. [Google Scholar] [CrossRef] [PubMed]
  41. Accensi, F.; Abarca, M.L.; Cabanes, F.J. Occurrence of Aspergillus species in mixed feeds and component raw materials and their ability to produce ochratoxin A. Food Microbiol. 2004, 21, 623–637. [Google Scholar] [CrossRef]
  42. Rosa, C.A.R.; Riberio, J.M.M.; Fraga, M.J.; Gatti, M.; Cavaglieri, L.R.; Magnoli, C.E. Mycoflora of poultry feed and ochratoxin-producing ability of isolated Aspergillus and Penicillium species. Vet. Microbiol. 2006, 113, 89–96. [Google Scholar] [CrossRef] [PubMed]
  43. Abarca, M.L.; Bragulat, M.R.; Castella, G.; Cabanes, F.J. Mycobiota and aflatoxin-producing strains in animal mixed feeds. J. Food Prot. 1994, 57, 256–258. [Google Scholar] [CrossRef] [PubMed]
  44. Viegas, C.; Faria, T.; Caetano, L.A.; Carolino, E.; Gomes, A.Q.; Viegas, S. Aspergillus spp. prevalence in different Portuguese occupational environments: What is the real scenario in high load settings? J. Occup. Environ. Hyg. 2017, 14, 771–785. [Google Scholar] [CrossRef] [PubMed]
  45. Oliveira, R.; Ribeiro, J.M.; Fraga, M.E. Mycobiota inpoultry feeds and natural occurrence of aflatoxins, fumonisinsand zearalenone in the Rio de Janeiro State, Brazil. Mycopathologia 2006, 162, 355–362. [Google Scholar] [CrossRef]
  46. Astoreca, A.L.; Dalcero, A.M.; Pinto, V.F.; Vaamonde, G.v. A survey on distribution and toxigenicity of Aspergillus section Flavi in poultry feeds. Int. J. Food Microbiol. 2011, 146, 38–43. [Google Scholar] [CrossRef] [PubMed]
  47. Bragulat, M.R.; Abarca, M.L.; Castella, O.; Cabanes, J. Mycological survey on mixed poultry feeds and mixed rabbit feeds. J. Sci. Food Agric. 1995, 67, 215–220. [Google Scholar] [CrossRef]
  48. Smith, E.S.; Solomons, G.; Lewis, C.; Anderson, O. Role of mycotoxins in human and animal nutrition and health. Nat.Toxins 1995, 3, 187–192. [Google Scholar] [CrossRef]
  49. Akinmusire, O.O.; El-Yuguda, A.D.; Musa, J.A.; Oyedele, O.A.; Sulyok, M.; Somorin, Y.M.; Ezekiel, C.N.; Krska, R. Mycotoxins in poultry feed and feed ingredients in Nigeria. Mycotoxin Res. 2018, 35, 149–155. [Google Scholar] [CrossRef]
  50. Mokubedi, S.M.; Phoku, J.Z.; Changwa, R.N.; Gbashi, S.; Njobeh, P.B. Analysis of mycotoxins contamination in poultry feeds manufactured in selected provinces of South Africa using UHPLC-MS/MS. Toxins 2019, 11, 452. [Google Scholar] [CrossRef] [PubMed]
  51. Kana, J.; Gnonlonfin, B.; Harvey, J.; Wainaina, J.; Wanjuki, I.; Skilton, R.; Teguia, A. Assessment of aflatoxin contamination of maize, peanut meal and poultry feed mixtures from different agroecological zones in cameroon. Toxins 2013, 5, 884–894. [Google Scholar] [CrossRef]
  52. Nakavuma, J.L.; Kirabo, A.; Bogere, P.; Nabulime, M.M.; Kaaya, A.N.; Gnonlonfin, B. Awareness of mycotoxins and occurrence of aflatoxins in poultry feeds and feed ingredients in selected regions of Uganda. Int. J. Food Contam. 2020, 7, 2–10. [Google Scholar] [CrossRef]
  53. Nishimwe, K.; Bowers, E.; Ayabagabo, J.d.D.; Habimana, R.; Mutiga, S.; Maier, D. Assessment of aflatoxin and fumonisin contamination and associated risk factors in feed and feed ingredients in Rwanda. Toxins 2019, 11, 270. [Google Scholar] [CrossRef] [PubMed]
  54. Mazumder, P.M.; SasmaL, D. Mycotoxins limits and regulations. Anc. Sci. Life 2001, 20, 1–19. [Google Scholar]
  55. Ochieng, P.E.; Scippo, M.L.; Kemboi, D.C.; Croubels, S.; Okoth, S.; Kang’ethe, E.K.; Doupovec, B.; Gathumbi, J.K.; Lindahl, J.F.; Antonissen, G. Mycotoxins in poultry feed and feed ingredients from sub-saharan africa and their impact on the production of broiler and layer Chickens: A Review. Toxins 2021, 13, 633. [Google Scholar] [CrossRef] [PubMed]
  56. Schiavone, A.; Cavallero, L.; Girotto, L.; Pozzo, S.; Antoniazzi, L.; Cavallarin, L. A survey on the occurrence of ochratoxin A in feeds and sera collected in conventional and organic poultry farms in Northern Italy. Ital. J. Anim. Sci. 2008, 7, 495–503. [Google Scholar] [CrossRef]
  57. Jaimez, J.; Fente, C.A.; Franco, C.M.; Cepeda, A.; Vazquez, B.I. A survey on the fungal contamination and presence of ochratoxin A and zearalenone on Spanish feed and raw materials. J. Sci. Food Agric. 2004, 84, 832–840. [Google Scholar] [CrossRef]
  58. Park, J.; Chang, H.; Kim, D.; Chung, S.; Lee, C. Long-Term Occurrence of Deoxynivalenol in Feed and Feed Raw Materials with a Special Focus on South Korea. Toxins 2018, 10, 127. [Google Scholar] [CrossRef] [PubMed]
  59. Zhao, L.; Zhang, L.; Xu, Z.; Liu, X.; Chen, L.; Dai, J.; Karrow, N.A.; Sun, L. Occurrence of Aflatoxin B1, deoxynivalenol and zearalenone in feeds in China during 2018–2020. J. Anim. Sci. Biotechnol. 2021, 12, 74. [Google Scholar] [CrossRef] [PubMed]
  60. Bilal, T.; Aksakal, D.H.; Sünnetci, S.; Keser, O.; Eseceli, H. Detection of aflatoxin, zearalenone and deoxynivalenol in some feed and feedstuffs in Turkey. Pak. Vet. J. 2014, 34, 459–463. [Google Scholar]
  61. Ok, H.E.; Kang, Y.W.; Kim, M.; Chun, H.S. T-2 and HT-2 toxins in cereals and cereal-based products in South Korea. Food Addit. Contam. Part B Surveill. 2013, 6, 103–109. [Google Scholar] [CrossRef] [PubMed]
  62. Kim, D.H.; Hong, S.Y.; Kang, J.W.; Cho, S.M.; Lee, K.R.; An, T.K.; Lee, C.; Chung, S.H. Simultaneous determination of multi-mycotoxins in cereal grains collected from South Korea by LC/MS/MS. Toxins 2017, 9, 106. [Google Scholar] [CrossRef]
  63. FAO. Codex Alimentarius: General Standard for Contaminants and Toxins in Food and Feed CXS 193-1995; FAO: Rome, Italy, 1995. [Google Scholar]
  64. Okoth, S.; De Boevre, M.; Vidal, A.; Di Mavungu, J.D.; Landschoot, S.; Kyallo, M.; Njuguna, J.; Harvey, J.; De Saeger, S. Genetic and toxigenic variability within Aspergillus flavus population isolated from Maize in two diverse environments in Kenya. Front. Microbiol. 2018, 9, 57. [Google Scholar] [CrossRef]
  65. Scherm, B.; Palomba, M.; Serra, O.; Marcello, A.; Migheli, Q. Detection of transcripts of the aflatoxin genes aflD, aflO, and aflP by reverse transcription-polymerase chain reaction allows differentiation of aflatoxin-producing and non-producing isolates of Aspergillus flavus and Aspergillus parasiticus. Int. J. Food. Microbiol. 2005, 98, 201–210. [Google Scholar] [CrossRef] [PubMed]
  66. Sadhasivam, S.; Britzi, M.; Zakin, V.; Kostyukovsky, M.; Trostanetsky, A.; Quinn, E.; Sionov, E. Rapid Detection and Identification of Mycotoxigenic Fungi and Mycotoxins in Stored Wheat Grain. Toxins 2017, 9, 302. [Google Scholar] [CrossRef] [PubMed]
  67. Chen, R.S.; Tsay, J.G.; Huang, Y.F.; Robin, C.Y. Polymerase chain reaction mediated characterization of molds belonging to Aspergillus flavus group and detection of Aspergillus parasitictus in peanut kernels by a multiplex polymerase chain reaction. J. Food Prot. 2002, 65, 840–844. [Google Scholar] [CrossRef]
  68. Mayer, Z.; Bagnara, A.; Färber, P.; Geisen, R. Quantification of the copy number of nor-1, a gene of the aflatoxin biosynthetic pathway by real-time PCR, and its correlation to the CFU of Aspergillus flavus in foods. Int. J. Food Microbiol. 2003, 82, 143–151. [Google Scholar] [CrossRef]
Disclaimer/Publisher’s Note: The statements, opinions and data contained in all publications are solely those of the individual author(s) and contributor(s) and not of MDPI and/or the editor(s). MDPI and/or the editor(s) disclaim responsibility for any injury to people or property resulting from any ideas, methods, instructions or products referred to in the content.

Article Metrics

Citations

Article Access Statistics

Multiple requests from the same IP address are counted as one view.