A Novel Iodine–Dextrin Complex Exhibits No Acute or Subacute Toxicity and Enhances Azithromycin Efficacy in an LPS-Induced Sepsis Model
Abstract
1. Introduction
2. Materials and Methods
2.1. Chemical Studies
2.1.1. Synthesis and Structural Formula
2.1.2. UV–Vis Spectroscopy
2.1.3. Determination of the Iodine Content
2.1.4. 1H NMR-Spectroscopy
2.2. In Vivo Studies and Bioethics
2.2.1. Acute Toxicity Study
2.2.2. Subacute Toxicity Study
2.2.3. Pharmacokinetic Study
2.2.4. LPS-Induced Abdominal Sepsis Model
2.3. Euthanasia and Sample Collection
2.4. Statistical Analysis
3. Results
3.1. Physicochemical Analysis of PA
3.1.1. Properties and Stability
3.1.2. UV–Vis Spectral Analysis
3.1.3. 1H-NMR Spectroscopic Characterization
3.2. Toxicity Studies
3.2.1. Acute Toxicity Test
3.2.2. Subacute Toxicity Test
3.3. ICP-MS and Pharmacokinetic Parameters
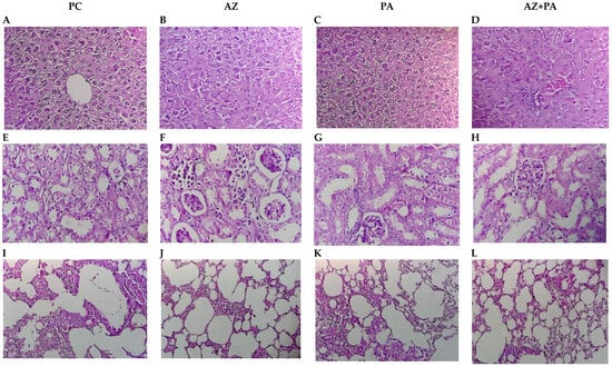
3.4. Effect on LPS-Induced Sepsis
4. Conclusions
Supplementary Materials
Author Contributions
Funding
Institutional Review Board Statement
Data Availability Statement
Conflicts of Interest
Abbreviations
| PA | Iodine–dextrin complex |
| AZ | Azithromycin |
| AZ+PA | Combined treatment |
References
- Ardal, C.; Balasegaram, M.; Laxminarayan, R.; McAdams, D.; Outterson, K.; Rex, J.H.; Sumpradit, N. Antibiotic development—Economic, regulatory and societal challenges. Nat. Rev. Microbiol. 2020, 18, 267–274. [Google Scholar] [CrossRef]
- Laxminarayan, R. Antibiotic effectiveness: Balancing conservation against innovation. Science 2014, 345, 1299–1301. [Google Scholar] [CrossRef] [PubMed]
- Wei, X.; Chen, X.; Wang, X.; Zheng, W.; Zhang, D.; Tian, D.; Jiang, S.; Ong, C.N.; He, G.; Qu, W. Occurrence of regulated and emerging iodinated DBPs in the Shanghai drinking water. PLoS ONE 2013, 8, e59677. [Google Scholar] [CrossRef] [PubMed]
- Navikaitė, V.; Danilovas, P.P.; Klimavičiūtė, R.; Bendoraitienė, J. The stability of water-soluble modified starch iodophors. Chem. Technol. 2013, 63, 34–41. [Google Scholar] [CrossRef]
- Zhou, Y.; Yang, D.; Ren, J.; Zhang, Y. Dextran-based materials for biomedical applications. Carbohydrate Polymers 2016, 143, 318–335. [Google Scholar]
- Umoren, S.A.; Eduok, U.M. Application of carbohydrate polymers as corrosion inhibitors for metal substrates in different media: A review. Carbohydr. Polym. 2016, 140, 314–341. [Google Scholar] [CrossRef]
- Lungu, I.; Potlog, T.; Airinei, A.; Tigoianu, R.; Gherasim, C. Exploring the Photophysical Properties of Some Dextran-Iron Oxide Nanoparticle Composites. Molecules 2025, 30, 2290. [Google Scholar] [CrossRef]
- Delvart, A.; Moreau, C.; Cathala, B. Dextrans and dextran derivatives as polyelectrolytes in layer-by-layer processing materials—A review. Carbohydr. Polym. 2022, 293, 119700. [Google Scholar] [CrossRef]
- Pesek, S.; Silaghi-Dumitrescu, R. The Iodine/Iodide/Starch Supramolecular Complex. Molecules 2024, 29, 641. [Google Scholar] [CrossRef]
- Melkonian, A.K.; Hakobyan, G.V. Study of the Antiviral Activity and Toxicity of Dextrin. In Vitro Study. J. Biomed. Allied Res. 2023, 5, 10–18. [Google Scholar]
- Reimer, K.; Wichelhaus, T.A.; Schäfer, V.; Rudolph, P.; Kramer, A.; Wutzler, P.; Ganzer, D.; Fleischer, W. Antimicrobial effectiveness of povidone-iodine and consequences for new application areas. Dermatology 2002, 204 (Suppl. S1), 114–120. [Google Scholar] [CrossRef] [PubMed]
- Moulay, S. Molecular iodine/polymer complexes. J. Polym. Eng. 2013, 33, 389–443. [Google Scholar] [CrossRef]
- Lanker Klossner, B.; Widmer, H.R.; Frey, F. Nondevelopment of resistance by bacteria during hospital use of povidone-iodine. Dermatology 1997, 195 (Suppl. S2), 10–13. [Google Scholar] [CrossRef]
- Yuldasheva, G.A.; Argirova, R.; Ilin, A.I. Molecular Modeling of the Anti-HIV Activity Mechanism of Iodine-Containing Drugs Armenicum and FS-1. ACS Omega 2023, 8, 8617–8624. [Google Scholar] [CrossRef]
- Brisson, J.; Chanzy, H.; Winter, W.T. The crystal and molecular structure of VH amylose by electron diffraction analysis. Int. J. Biol. Macromol. 1991, 13, 31–39. [Google Scholar] [CrossRef]
- Yu, X.; Houtman, C.; Atalla, R.H. The Complex of Amylose and Iodine. Carbohydr. Res. 1996, 292, 129–141. [Google Scholar] [CrossRef]
- Immel, S.; Lichtenthaler, F.W. The Hydrophobic Topographies of Amylose and Its Blue Iodine Complex. Starch-Stärke 2000, 52, 1–8. [Google Scholar] [CrossRef]
- Bilal, M.Y.; Dambaeva, S.; Kwak-Kim, J.; Gilman-Sachs, A.; Beaman, K.D. A role for iodide and thyroglobulin in modulating the function of human immune cells. Front. Immunol. 2017, 8, 1573–1587. [Google Scholar] [CrossRef] [PubMed]
- Wang, Y.; Xu, C.; Wang, P.; Lin, X.; Yang, Y.; Li, D.; Li, H.; Wu, X.; Liu, H. Pharmacokinetic Comparisons of Different Combinations of Shaoyao-Gancao-Decoction in Rats: Simultaneous Determination of Ten Active Constituents by HPLC-MS/MS. J. Chromatogr. B Anal. Technol. Biomed. Life Sci. 2013, 932, 76–87. [Google Scholar] [CrossRef]
- Zhang, M.; Lin, L.; Lin, H.; Qu, C.; Yan, L.; Ni, J. Interpretation the Hepatotoxicity Based on Pharmacokinetics Investigated through Oral Administrated Different Extraction Parts of Polygonum Multiflorum on Rats. Front. Pharmacol. 2018, 9, 505–513. [Google Scholar] [CrossRef] [PubMed]
- Cecconi, M.; Evans, L.; Levy, M.; Rhodes, A. Sepsis and septic shock. Lancet 2018, 392, 75–87. [Google Scholar] [CrossRef] [PubMed]
- Hu, J.J.; Liu, X.; Xia, S.; Zhang, Z.; Zhang, Y.; Zhao, J.; Ruan, J.; Luo, X.; Lou, X.; Bai, Y.; et al. FDA-approved disulfiram inhibits pyroptosis by blocking gasdermin D pore formation. Nat. Immunol. 2020, 21, 736–745. [Google Scholar] [CrossRef]
- Yu, B.; Choudhury, M.R.; Yang, X.; Benoit, S.L.; Womack, E.; Lyles, K.V.M.; Acharya, A.; Kumar, A.; Yang, C.; Pavlova, A.; et al. Restoring and Enhancing the Potency of Existing Antibiotics against Drug-Resistant Gram-Negative Bacteria through the Development of Potent Small-Molecule Adjuvants. ACS Infect. Dis. 2022, 8, 1491–1508. [Google Scholar] [CrossRef]
- Turganbay, S.; Atageldiyeva, N.; Jumagaziyeva, A.; Kenesheva, S.; Baigaipova, G.; Mun, S. Synthesis, structure characterization, and antimicrobial activity of 2-amino-3-[(2-amino-2-carboxyethyl) disulfanyl] propanoic acid dihydrogen triiodide coordina-tion compound. Eng. Sci. 2023, 25, 956. [Google Scholar]
- Turganbay, S.; Kenesheva, S.; Jumagaziyeva, A.; Ilin, A.; Askarova, D.; Azembayev, A.; Kurmanaliyeva, A. Synthesis, physicochemical properties and antimicrobial activity of a di-aminopropionic acid hydrogen triiodide coordination compound. BMC Res. Notes 2024, 17, 384. [Google Scholar] [CrossRef] [PubMed]
- Organization for Economic Co-operation and Development (OECD/OCDE). Test. No. 425: Acute Oral Toxicity: Up-and-Down. Procedure; OECD Guidelines for the Testing of Chemicals; OECD: Paris, France, 2008; pp. 1–27. [Google Scholar]
- Organization for Economic Co-operation and Development (OECD/OCDE). Test. No. 407: Repeated Dose 28-Day Oral Toxicity Study in Rodents; OECD Guidelines for the Testing of Chemicals; OECD: Paris, France, 2008; pp. 1–13. [Google Scholar]
- Raduolovic, K.; Mak’Anyengo, R.; Kaya, B.; Steinert, A.; Niess, J.H. Injections of Lipopolysaccharide into Mice to Mimic Entrance of Microbial-derived Products After Intestinal Barrier Breach. J. Vis. Exp. 2018, 135, 57610. [Google Scholar]
- Azoulay-Dupuis, E.; Vallée, E.; Bedos, J.P.; Muffat-Joly, M.; Pocidalo, J.J. Prophylactic and therapeutic activities of azithromycin in a mouse model of pneumococcal pneumonia. Antimicrob. Agents Chemother. 1991, 35, 1024–1028. [Google Scholar] [CrossRef]
- Rodríguez-Moreno, C.B.; Cañeque-Rufo, H.; Flor-García, M.; Terreros-Roncal, J.; Moreno-Jiménez, E.P.; Pallas-Bazarra, N.; Bressa, C.; Larrosa, M.; Cafini, F.; Llorens-Martín, M. Azithromycin preserves adult hippocampal neurogenesis and behavior in a mouse model of sepsis. Brain Behav. Immun. 2024, 117, 135–148. [Google Scholar] [CrossRef]
- Shrum, B.; Anantha, R.V.; Xu, S.X.; Donnelly, M.; Haeryfar, S.M.; McCormick, J.K.; Mele, T. A robust scoring system to evaluate sepsis severity in an animal model. BMC Res. Notes 2024, 7, 233. [Google Scholar] [CrossRef] [PubMed]
- Onyeocha, V.O.; Ikejiofor, O.A. A Review of the Essence of Stability Constants in the Thermodynamic Assessments of Chemical Compounds. J. Mater. Sci. Manuf. Res. 2023, 4, 1–8. [Google Scholar] [CrossRef]
- Zhang, Z.; Weng, B.; Hu, Z.; Si, Z.; Li, L.; Yang, Z.; Cheng, Y. Chitosan iodine complexes: Preparation, characterization, and antibacterial activity. Int. J. Biol. Macromol. 2024, 260, 129598. [Google Scholar] [CrossRef]
- Lee, J.; Isobe, T.; Senna, M. Preparation of ultrafine Fe3O4 particles by precipitation in the presence of PVA at high Ph. J. Colloid Interface Sci. 1996, 177, 490–494. [Google Scholar] [CrossRef]
- Turganbay, S.; Sabitov, A.; Askarova, D.; Jumagaziyeva, A.; Iskakbayeva, Z.; Seisembekova, A.; Bukeyeva, T.; Azembayev, A. Dextrin/Polyvinyl Alcohol/Iodine Complexes: Preparation, Characterization, and Antibacterial, Cytotoxic Activity. Eng. Sci. 2025, 35, 1595. [Google Scholar]
- Paul, T.; Meyers, B.; Witorsch, R.J. Iodine kinetics in man. Endocrinol. Rev. 1986, 7, 89–105. [Google Scholar]
- James, L.P.; Mayeux, P.R.; Hinson, J.A.; Blieden, M.; Lee, W.M.; Farrell, D.E.; Lancaster, E.; Hart, J.; Shaver, R.; Holubkov, R.; et al. Acetaminophen hepatotoxicity and analysis of liver injury. Clin. Liver Dis. 2003, 7, 341–360. [Google Scholar]
- Aillon, K.L.; El-Gendy, N.; Norenberg, J.P.; McDonald, J.; Dennis, C.; Berkland, C. Iodinated NanoClusters as an Inhaled CT Contrast Agent for Lung Visualization. Mol. Pharm. 2010, 7, 1274–1282. [Google Scholar] [CrossRef] [PubMed]
- Winship, K.A. Toxicity of iodine and its compounds. Advers. Drug React. Acute Poisoning Rev. 1987, 6, 41–66. [Google Scholar]
- Patrono, C.; Rocca, B. The spleen and immune modulation in drug development. Curr. Opin. Investig. Drugs 2009, 10, 245–253. [Google Scholar]
- Bürgi, H.; Supersaxo, Z.; Selz, B.; Wiederkehr, J.; Huber, D.; Bürgi, U.; Studer, H.; Harder, M.; Ramuz, M.; Bürgi, W.; et al. Iodine excess and the thyroid: Physiology and pathophysiology. Annu. Rev. Nutr. 1990, 10, 371–391. [Google Scholar]
- Silva, J.E. The thermogenic effect of thyroid hormone and its clinical implications. Ann. Intern. Med. 2003, 139, 205–213. [Google Scholar] [CrossRef]
- Rousset, B.; Dupuy, C.; Miot, F.; Dumont, J. Chapter 2 Thyroid Hormone Synthesis And Secretion. In Endotext [Internet]; Feingold, K.R., Ahmed, S.F., Anawalt, B., Blackman, M.R., Boyce, A., Chrousos, G., Corpas, E., de Herder, W.W., Dhatariya, K., Dungan, K., et al., Eds.; MDText.com, Inc.: South Dartmouth, MA, USA, 2015. [Google Scholar]
- Brent, G.A. Mechanisms of thyroid hormone action. J. Clin. Investig. 2012, 122, 3035–3043. [Google Scholar] [CrossRef]
- Piantanida, E.; Ippolito, S.; Gallo, D.; Masiello, E.; Premoli, P.; Cusini, C.; Rosetti, S.; Sabatino, J.; Segato, S.; Trimarchi, F.; et al. The interplay between thyroid and liver: Implications for clinical practice. J. Endocrinol. Investig. 2020, 43, 885–899. [Google Scholar] [CrossRef]
- Physiology, Thyroid Function. Available online: https://www.ncbi.nlm.nih.gov/books/NBK537039/ (accessed on 2 June 2025).
- Saini, V.; Yadav, A.; Arora, M.K.; Arora, S.; Singh, R.; Bhattacharjee, J. Correlation of creatinine with TSH levels in overt hypothyroidism—A requirement for monitoring of renal function in hypothyroid patients? Clin. Biochem. 2012, 45, 212–214. [Google Scholar] [CrossRef]
- Kimmel, M.; Braun, N.; Alscher, M.D. Influence of thyroid function on different kidney function tests. Kidney Blood Press. Res. 2012, 35, 17. [Google Scholar] [CrossRef]
- Böck, J.C.; Barker, B.C.; Federle, M.P.; Lewis, F.R. Iodinated contrast media effects on extravascular lung water, central blood volume, and cardiac output in humans. Invest. Radiol. 1990, 25, 938–941. [Google Scholar]
- Luster, M.I.; Germolec, D.R.; Rosenthal, G.J. Immunotoxicology: Toxic effects on the immune system. Casarett Doull’s Toxicol. Basic Sci. Poisons 1993, 5, 617–660. [Google Scholar]
- Hou, X.; Jones, B.T. Inductively coupled plasma/optical emission spectrometry and mass spectrometry. Anal. Chem. 2000, 72, 70R–79R. [Google Scholar]
- Shen, D.D.; Artru, A.A. Pharmacokinetics of iodine-containing contrast agents: Basis for dosage strategies. Pharm. Res. 1991, 8, 928–935. [Google Scholar]
- Costello, P.; Barish, M.A.; Federle, M.P. Nonionic iodinated contrast agents: Physical and chemical characteristics. Radiol. Clin. North Am. 1999, 37, 1109–1125. [Google Scholar]
- Winkler, C.; Wirsing, C.; Wirth, E.K.; Gottschalk, S.; Fechner, A.; Voss, L.; Schomburg, L.; Renko, K.; Rijntjes, E.; Köhrle, J.; et al. Trace element analysis in biological systems using ICP-MS: A focus on iodine quantification. Biometals 2018, 31, 705–715. [Google Scholar]
- Mai, S.H.C.; Sharma, N.; Kwong, A.C.; Dwivedi, D.J.; Khan, M.; Grin, P.M.; Fox-Robichaud, A.E.; Liaw, P.C. Body temperature and mouse scoring systems as surrogate markers of death in cecal ligation and puncture sepsis. ICMx 2018, 6, 20. [Google Scholar] [CrossRef]
- Hotchkiss, R.S.; Karl, I.E. The pathophysiology and treatment of sepsis. N. Engl. J. Med. 2003, 348, 138–150. [Google Scholar] [CrossRef]
- Venugopalan Pathiyil, D.; Henry, R.A.; Joseph, J.; Oomen, A.T.; Janardhanan Kakkra, J. Severe Iron Deficiency Anemia Leading to Thrombocytosis with Arterial and Venous Thrombosis. Cureus 2021, 13, e17893. [Google Scholar] [CrossRef]
- Venet, F.; Monneret, G. Advances in understanding and treating sepsis-induced immunosuppression. Nat. Rev. Nephrol. 2018, 14, 121–137. [Google Scholar] [CrossRef]
- Kanoh, S.; Rubin, B.K. Mechanisms of action and clinical application of macrolides as immunomodulatory medications. Clin. Microbiol. Rev. 2010, 23, 590–615. [Google Scholar] [CrossRef] [PubMed]
- Sun, Z.; Wang, X.; Chen, J.; Duan, P.; Wang, J.; Liu, Y.; Guo, H. Iodine impacts obesity, lipid metabolism, and glucose metabolism. Iodine’s antioxidant, immunomodulatory, gut-restoring, and antimicrobial effects explain the mineral’s effects. Front. Nutr. 2024, 11, 1346452. [Google Scholar]
- Levi, M.; van der Poll, T. Inflammation and coagulation. Crit. Care Med. 2010, 38 (Suppl. S2), S26–S34. [Google Scholar] [CrossRef]
- van der Poll, T.; van de Veerdonk, F.L.; Scicluna, B.P.; Netea, M.G. The immunopathology of sepsis and potential therapeutic targets. Nat. Rev. Immunol. 2017, 17, 407–420. [Google Scholar] [CrossRef] [PubMed]
- Tanaka, T.; Narazaki, M.; Kishimoto, T. IL-6 in inflammation, immunity, and disease. Cold Spring Harb. Perspect. Biol. 2014, 6, a016295. [Google Scholar] [CrossRef]
- Culic, O.; Erakovic, V.; Parnham, M.J. Anti-inflammatory effects of macrolide antibiotics. Eur. J. Pharmacol. 2001, 429, 209–229. [Google Scholar] [CrossRef] [PubMed]
- Carrasco, A.E.; Orizaga-Osti, G.A.; Juvera, E.R.; Aceves, C. Molecular iodine exerts antineoplastic effects by diminishing proliferation and invasive potential and activating the immune response in mammary cancer xenografts. BMC Cancer 2019, 19, 261. [Google Scholar] [CrossRef]
- Rosner, H.; Müller, G.; Salmons, B.; Gunzburg, W.H. Molecular iodine modulates immune responses through PPARγ. Front. Biosci. 2012, 17, 203–212. [Google Scholar]
- Shinkai, M.; Henke, M.O.; Rubin, B.K. Macrolide antibiotics as immunomodulatory medications: Proposed mechanisms of action. Pharmacotherapy 2008, 28, 1259–1270. [Google Scholar] [CrossRef]
- Venturi, S. Evolutionary significance of iodine. Curr. Chem. Biol. 2001, 5, 163–170. [Google Scholar]
- Martínez-González, O.; Escobedo, G.; Pedraza-Chaverri, J.; Ramírez-Herrera, M.A.; Luna-López, A.; Gutiérrez-Ruiz, M.C.; Chirino, Y.I.; Sánchez-González, D.J.; Ortiz-Avila, O.; Rubio-Osornio, M.; et al. Azithromycin modulates inflammation and improves survival in experimental sepsis. Front. Pharmacol. 2020, 11, 721. [Google Scholar]
- Huttner, A.; Von Dach, E.; Vervoort, J.; Andremont, A.; Monneret, G.; Dauby, N.; Harbarth, S.; Battegay, M.; Bassetti, M.; Rello, J.; et al. Azithromycin in sepsis: More than an antibiotic? Lancet Infect. Dis. 2019, 19, 127–128. [Google Scholar]
- Shah, S.A.; Yoon, G.H.; Chung, J.; Kim, M.O. Iodine attenuates lipopolysaccharide-induced neuroinflammation by suppressing TLR4/MyD88/NF-κB signaling pathways in the mouse brain. Mol. Neurobiol. 2017, 54, 4951–4967. [Google Scholar]
- Aceves, C.; Anguiano, B.; Delgado, G. The extrathyronine actions of iodine as antioxidant, apoptotic, and differentiation factor in various tissues. Thyroid 2013, 23, 938–946. [Google Scholar] [CrossRef]
- Aceves, C.; Mendieta, I.; Anguiano, B.; Delgado-González, E. Molecular Iodine Has Extrathyroidal Effects as an Antioxidant, Differentiator, and Immunomodulator. Int. J. Mol. Sci. 2021, 22, 1228. [Google Scholar] [CrossRef]
- Granger, J.I.; Ratti, P.L.; Datta, S.C.; Raymond, R.M.; Opp, M.R. Sepsis-induced morbidity in mice: Effects on body temperature, body weight, cage activity, social behavior and cytokines in brain. Psychoneuroendocrinology 2013, 38, 1047–1057. [Google Scholar] [CrossRef] [PubMed]
- Bateman, R.M.; Sharpe, M.D.; Singer, M.; Ellis, C.G. The Effect of Sepsis on the Erythrocyte. Int. J. Mol. Sci. 2017, 18, 1932. [Google Scholar] [CrossRef] [PubMed]
- Brauckmann, S.; Effenberger-Neidnicht, K.; de Groot, H.; Nagel, M.; Mayer, C.; Peters, J.; Hartmann, M. Lipopolysaccharide-induced hemolysis: Evidence for direct membrane interactions. Sci. Rep. 2016, 6, 35508. [Google Scholar] [CrossRef]
- Skirecki, T.; Drechsler, S.; Hoser, G.; Jafarmadar, M.; Siennicka, K.; Pojda, Z.; Kawiak, J.; Osuchowski, M.F. The Fluctuations of Leukocytes and Circulating Cytokines in Septic Humanized Mice Vary with Outcome. Front. Immunol. 2019, 10, 1427. [Google Scholar] [CrossRef] [PubMed]
- Beurel, E.; Jope, R.S. Lipopolysaccharide-induced interleukin-6 production is controlled by glycogen synthase kinase-3 and STAT3 in the brain. J. Neuroinflamm. 2009, 6, 9. [Google Scholar] [CrossRef] [PubMed]
- DeForge, L.E.; Remick, D.G. Kinetics of TNF, IL-6, and IL-8 gene expression in LPS-stimulated human whole blood. Biochem. Biophys. Res. Commun. 1991, 174, 18–24. [Google Scholar] [CrossRef] [PubMed]













| Chemical Characteristics | Result |
|---|---|
| Empirical formula | C124H248O122NI4K2 |
| Molecular Weight, g/mol | 4288 |
| pH | 4.10 |
| Solubility in water, g/100 mL | 5 g (at 25 °C) |
| Kinematic viscosity, mm2/s | 1.172 |
| Melting temperature (°C) | 168–172 |
| Color | Dark gray |
| Iodine content, (g/kg) | 54.65 |
| Iodide content | 82.45 |
| Yield (%) | 92 |
| Index Quality | Requirement R D | Storage Interval, Months | ||||
|---|---|---|---|---|---|---|
| 0 | 3 | 6 | 9 | 12 | ||
| Description | Dark brown | Dark brown | Dark brown | Dark brown | Dark brown | Dark brown |
| Solubility in water, g/100 mL (at 25 °C) | 4.5–5.0 g | 4.8 g | 4.7 g | 5.0 g | 5.0 g | 5.0 g |
| pH | 3.5–5.5 | 4.34 | 4.50 | 4.36 | 4.29 | 4.33 |
| Melting point, °C | 140–160 | 150–159 | 150–159 | 150–159 | 150–159 | 150–159 |
| Iodine content, (g/kg) | 48.96–59.84 | 50.65 | 50.63 | 50.49 | 50.43 | 50.45 |
| Iodide content | 71.64–87.56 | 79.45 | 77.93 | 79.38 | 78.81 | 79.40 |
| Day | Sex | Control | PA 2000 mg/kg | PA 5000 mg/kg |
|---|---|---|---|---|
| 0 | ♂ | 29.72 ± 0.19 | 29.66 ± 0.21 | 29.68 ± 0.20 |
| ♀ | 28.68 ± 0.43 | 28.76 ± 0.23 | 28.55 ± 0.31 | |
| 3 | ♂ | 29.80 ± 0.16 | 29.72 ± 0.16 | 29.73 ± 0.19 |
| ♀ | 28.76 ± 0.41 | 28.84 ± 0.25 | 28.74 ± 0.29 | |
| 7 | ♂ | 29.86 ± 0.15 | 29.84 ± 0.17 | 29.81 ± 0.21 |
| ♀ | 28.82 ± 0.44 | 28.96 ± 0.27 | 28.85 ± 0.25 | |
| 10 | ♂ | 29.97 ± 0.12 | 29.90 ± 0.16 | 29.87 ± 0.16 |
| ♀ | 28.90 ± 0.37 | 29.08 ± 0.30 | 28.98 ± 0.28 |
| Day | Sex | Control | PA 62.5 mg/kg | PA 125 mg/kg |
|---|---|---|---|---|
| 0 | ♂ | 25.7 ± 0.16 | 25.64 ± 0.22 | 25.68 ± 0.15 |
| ♀ | 24.36 ± 0.33 | 24.18 ± 0.08 | 24.38 ± 0.30 | |
| 7 | ♂ | 25.78 ± 0.16 | 25.74 ± 0.18 | 25.78 ± 0.08 |
| ♀ | 24.44 ± 0.30 | 24.28 ± 0.08 | 24.52 ± 0.22 | |
| 14 | ♂ | 25.9 ± 0.14 | 25.88 ± 0.16 | 25.92 ± 0.11 |
| ♀ | 24.54 ± 0.24 | 24.40 ± 0.12 | 24.62 ± 0.16 | |
| 21 | ♂ | 26.06 ± 0.13 | 26.08 ± 0.16 | 26.14 ± 0.11 |
| ♀ | 24.74 ± 0.15 | 24.56 ± 0.11 | 24.8 ± 0.19 | |
| 28 | ♂ | 26.22 ± 0.08 | 26.30 ± 0.14 | 26.30 ± 0.10 |
| ♀ | 24.74 ± 0.15 | 24.74 ± 0.11 | 24.88 ± 0.26 |
| Parameter | Result |
|---|---|
| AUCtotal | 20,943.7 μg/mL |
| Cmax | 2437.8 μg/mL |
| tmax | 4 h |
| t1/2 | 21.1 h |
| Cls | 0.26 L/kg |
| Vβ | 7.8 L/kg |
| ke | 0.03 h−1 |
| Fabs | 91.96% |
| Frel | 37.5% |
| Day | NC (n = 10) | PC (n = 20) | AZ (n = 10) | PA (n = 10) | AZ+PA (n = 10) |
|---|---|---|---|---|---|
| 0 | 22.7 ± 1.1 | 21.8 ± 0.7 | 21.5 ± 0.9 | 21.3 ± 0.9 | 22.1 ± 0.9 |
| 3 | 22.9 ± 1.0 | 17.3 ± 0.7 # | 18.4 ± 0.8 * | 18.5 ± 1.0 * | 22.0 ± 0.7 * |
| 7 | 24.1 ± 1.0 | 16.0 ± 0.2 # | 17.2 ± 0.8 * | 18.3 ± 1.1 * | 22.2 ± 1.0 * |
| 10 | 25.1 ± 1.0 | 15.1 ± 0.2 # | 17.4 ± 0.8 * | 18.5 ± 0.9 * | 22.5 ± 1.1 * |
Disclaimer/Publisher’s Note: The statements, opinions and data contained in all publications are solely those of the individual author(s) and contributor(s) and not of MDPI and/or the editor(s). MDPI and/or the editor(s) disclaim responsibility for any injury to people or property resulting from any ideas, methods, instructions or products referred to in the content. |
© 2025 by the authors. Licensee MDPI, Basel, Switzerland. This article is an open access article distributed under the terms and conditions of the Creative Commons Attribution (CC BY) license (https://creativecommons.org/licenses/by/4.0/).
Share and Cite
Ibragimova, N.; Aitynova, A.; Turganbay, S.; Lyu, M.; Ilin, A.; Vassilyeva, K.; Issayeva, D.; Gapurkhaeva, T.; Krasnoshtanov, A.; Ponomareva, G.; et al. A Novel Iodine–Dextrin Complex Exhibits No Acute or Subacute Toxicity and Enhances Azithromycin Efficacy in an LPS-Induced Sepsis Model. Pharmaceutics 2025, 17, 1040. https://doi.org/10.3390/pharmaceutics17081040
Ibragimova N, Aitynova A, Turganbay S, Lyu M, Ilin A, Vassilyeva K, Issayeva D, Gapurkhaeva T, Krasnoshtanov A, Ponomareva G, et al. A Novel Iodine–Dextrin Complex Exhibits No Acute or Subacute Toxicity and Enhances Azithromycin Efficacy in an LPS-Induced Sepsis Model. Pharmaceutics. 2025; 17(8):1040. https://doi.org/10.3390/pharmaceutics17081040
Chicago/Turabian StyleIbragimova, Nailya, Arailym Aitynova, Seitzhan Turganbay, Marina Lyu, Alexander Ilin, Karina Vassilyeva, Diana Issayeva, Tamari Gapurkhaeva, Arkadiy Krasnoshtanov, Galina Ponomareva, and et al. 2025. "A Novel Iodine–Dextrin Complex Exhibits No Acute or Subacute Toxicity and Enhances Azithromycin Efficacy in an LPS-Induced Sepsis Model" Pharmaceutics 17, no. 8: 1040. https://doi.org/10.3390/pharmaceutics17081040
APA StyleIbragimova, N., Aitynova, A., Turganbay, S., Lyu, M., Ilin, A., Vassilyeva, K., Issayeva, D., Gapurkhaeva, T., Krasnoshtanov, A., Ponomareva, G., & Azembayev, A. (2025). A Novel Iodine–Dextrin Complex Exhibits No Acute or Subacute Toxicity and Enhances Azithromycin Efficacy in an LPS-Induced Sepsis Model. Pharmaceutics, 17(8), 1040. https://doi.org/10.3390/pharmaceutics17081040

