Antihyperglycemic Effect of Lavandula pedunculata: In Vivo, In Vitro and Ex Vivo Approaches
Abstract
:1. Introduction
2. Materials and Methods
2.1. Chemicals and Reagents
2.2. Plant Material
2.2.1. Preparation of the Aqueous Extracts
2.2.2. UHPLC Analysis of Aqueous Extracts
2.3. Animals
2.4. Pharmacological Studies
2.4.1. Inhibition Assay of Pancreatic α-Amylase Enzyme Activity
2.4.2. Inhibition Assay of Intestinal α-Glucosidase Enzyme Activity
2.4.3. Intestinal Glucose Absorption
2.4.4. Antihyperglycemic Study in Healthy Rats
Acute Oral Glucose Tolerance Test
Chronic Oral Glucose Tolerance Test
Acute Oral Glucose Tolerance Test for Plant Mixtures
2.5. Toxicological Studies
2.5.1. Acute Toxicity
2.5.2. Subchronic Toxicity
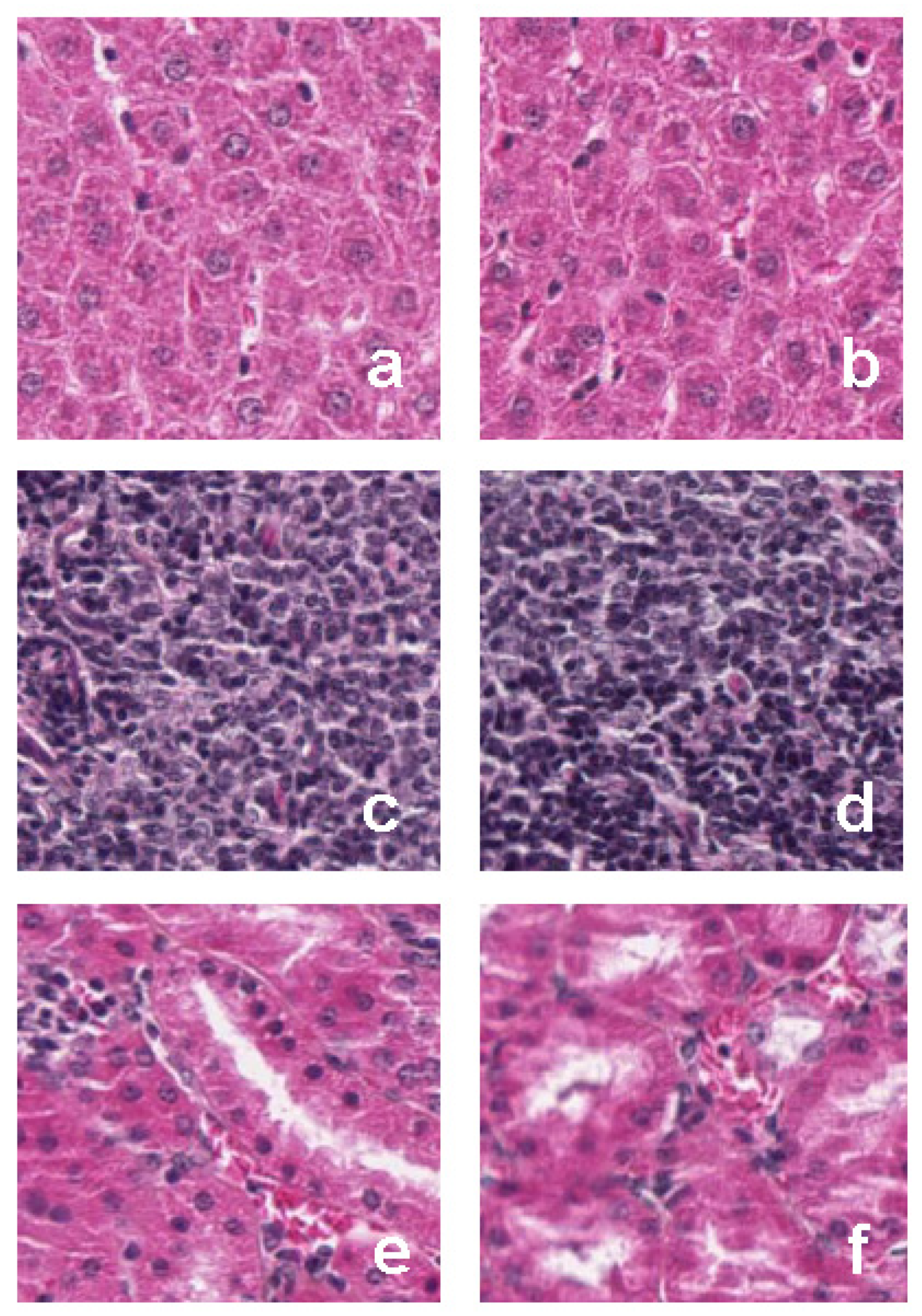
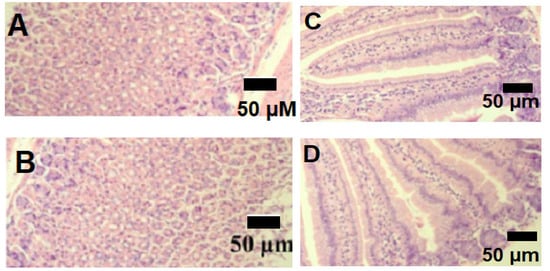
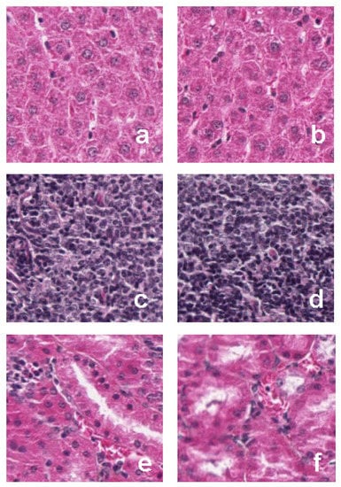
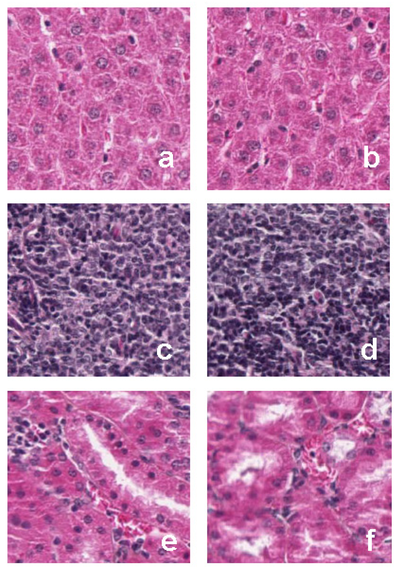
2.5.3. Histology
2.6. Statistical Analysis
3. Results
3.1. UHPLC Analysis
3.2. Antihyperglycemic Study in Healthy Rats
3.2.1. Oral Glucose Tolerance Test
3.2.2. Oral Glucose Tolerance Test with Combinations of Plants
3.3. Inhibition of Pancreatic α-Amylase Activity
3.4. Inhibition of Intestinal α-Glucosidase Activity
3.5. Lavandula Pedunculata Inhibits Absorption of Sodium-Dependent D-Glucose
3.6. Toxicological Studies
3.6.1. Acute Toxicity
3.6.2. Subchronic Toxicity
Effect on Body Weights and Relative Weights of Livers and Kidneys
Effect on the Blood Biochemical Parameters
3.6.3. Histology
4. Discussion
- Reducing the glycemic index: in addition to their improving effect on the glycemic control, some SGLT inhibitors, like Boscia senegalensis (Boscisucrophage) and Nigella sativa (Biodiabétine), have been shown to prevent diabetic nephropathy by lowering glycosylated hemoglobin (HbAlC) levels in experimental animals [32].
- Limited action on renal SGLT1: plasma glucose levels are maintained near normal thanks to SGLT1 that has the ability to reabsorb glucose in the proximal tubule, preventing thereby the fasting hypoglycemia [38].
- Furthermore, the aim of SGLT inhibitor therapy is to lowering postprandial blood glucose levels [39].
5. Conclusions
Author Contributions
Funding
Institutional Review Board Statement
Informed Consent Statement
Data Availability Statement
Acknowledgments
Conflicts of Interest
References
- American Diabetes Association. Diagnosis and Classification of Diabetes Mellitus. Diabetes Care 2014, 37, S81–S90. [Google Scholar] [CrossRef] [PubMed] [Green Version]
- International Diabetes Federation Worldwide Toll of Diabetes. Available online: https://www.diabetesatlas.org/en/sections/worldwide-toll-of-diabetes.html (accessed on 2 May 2021).
- Verma, S.; Gupta, M.; Popli, H.; Aggarwal, G. Diabetes Mellitus Treatment Using Herbal Drugs. Int. J. Phytomedicine 2018, 10, 1–10. [Google Scholar] [CrossRef]
- American Diabetes Association. Classification and Diagnosis of Diabetes: Standards of Medical Care in Diabetes. Diabetes Care 2021, 44, S15–S33. [Google Scholar] [CrossRef]
- Padhi, S.; Nayak, A.K.; Behera, A. Type II Diabetes Mellitus: A Review on Recent Drug Based Therapeutics. Biomed. Pharmacother. 2020, 131, 110708. [Google Scholar] [CrossRef] [PubMed]
- Es-safi, I.; Mechchate, H.; Amaghnouje, A.; Elbouzidi, A.; Bouhrim, M.; Bencheikh, N.; Hano, C.; Bousta, D. Assessment of Antidepressant-Like, Anxiolytic Effects and Impact on Memory of Pimpinella anisum L. Total Extract on Swiss Albino Mice. Plants 2021, 10, 1573. [Google Scholar] [CrossRef]
- Mechchate, H.; Es-safi, I.; Mohamed Al kamaly, O.; Bousta, D. Insight into Gentisic Acid Antidiabetic Potential Using In Vitro and In Silico Approaches. Molecules 2021, 26, 1932. [Google Scholar] [CrossRef]
- Bouhrim, M.; Boutahiri, S.; Kharchoufa, L.; Mechchate, H.; Mohamed Al Kamaly, O.; Berraaouan, A.; Eto, B.; Ziyyat, A.; Mekhfi, H.; Legssyer, A.; et al. Acute and Subacute Toxicity and Cytotoxicity of Opuntia Dillenii (Ker-Gawl) Haw. Seed Oil and Its Impact on the Isolated Rat Diaphragm Glucose Absorption. Molecules 2021, 26, 2172. [Google Scholar] [CrossRef]
- Barkaoui, M.; Katiri, A.; Boubaker, H.; Msanda, F. Ethnobotanical Survey of Medicinal Plants Used in the Traditional Treatment of Diabetes in Chtouka Ait Baha and Tiznit (Western Anti-Atlas), Morocco. J. Ethnopharmacol. 2017, 198, 338–350. [Google Scholar] [CrossRef]
- Benkhnigue, O.; Ben Akka, F.; Salhi, S.; Fadli, M.; Douira, A.; Zidane, L. Catalogue des plantes médicinales utilisées dans le traitement du diabète dans la région d’Al Haouz-Rhamna (Maroc). J. Anim. Plant Sci. 2014, 23, 3539–3568. [Google Scholar]
- Orch, H.; Douira, A.; Zidane, L. Étude Ethnobotanique Des Plantes Médicinales Utilisées Dans Le Traitement Du Diabète, et Des Maladies Cardiaques Dans La Région d’Izarène (Nord Du Maroc). J. Appl. Biosci. 2015, 86, 7940–7956. [Google Scholar] [CrossRef]
- Almohawes, Z.N.; Alruhaimi, H.S. Effect of Lavandula dentata Extract on Ovalbumin-Induced Asthma in Male Guinea Pigs. Braz. J. Biol. 2019, 80, 87–96. [Google Scholar] [CrossRef]
- Baptista, R.; Madureira, A.M.; Jorge, R.; Adão, R.; Duarte, A.; Duarte, N.; Lopes, M.M.; Teixeira, G. Antioxidant and Antimycotic Activities of Two Native Lavandula Species from Portugal. Evid. Based Complement. Alternat. Med. 2015, 2015, 1–10. [Google Scholar] [CrossRef] [PubMed] [Green Version]
- Kulabas, S.S.; Ipek, H.; Tufekci, A.R.; Arslan, S.; Demirtas, I.; Ekren, R.; Sezerman, U.; Tumer, T.B. Ameliorative Potential of Lavandula Stoechas in Metabolic Syndrome via Multitarget Interactions. J. Ethnopharmacol. 2018, 223, 88–98. [Google Scholar] [CrossRef] [PubMed]
- Bint Mustafa, S.; Akram, M.; Muhammad Asif, H.; Qayyum, I.; Mehmood Hashmi, A.; Munir, N.; Said Khan, F.; Riaz, M.; Ahmad, S. Antihyperglycemic Activity of Hydroalcoholic Extracts of Selective Medicinal Plants Curcuma longa, Lavandula stoechas, Aegle marmelos, and Glycyrrhiza glabra and Their Polyherbal Preparation in Alloxan-Induced Diabetic Mice. Dose-Response Int. J. 2019, 17, 1–6. [Google Scholar] [CrossRef] [Green Version]
- Rahmati, B.; Kiasalari, Z.; Roghani, M.; Khalili, M.; Ansari, F. Antidepressant and Anxiolytic Activity of Lavandula officinalis Aerial Parts Hydroalcoholic Extract in Scopolamine-Treated Rats. Pharm. Biol. 2017, 55, 958–965. [Google Scholar] [CrossRef] [PubMed] [Green Version]
- Sadraei, H.; Asghari, G.; Rahmati, M. Study of Antispasmodic Action of Lavandula angustifolia Mill Hydroalcoholic Extract on Rat Ileum. J. Herbmed Pharmacol. 2019, 8, 56–63. [Google Scholar] [CrossRef] [Green Version]
- Shahdadi, H.; Bahador, R.S.; Eteghadi, A.; Boraiinejad, S. Lavender a Plant for Medical Uses: A Literature Review. Indian J. Public Health Res. Dev. 2017, 8, 328–332. [Google Scholar] [CrossRef]
- Chaachouay, N.; Benkhnigue, O.; Fadli, M.; El Ibaoui, H.; El Ayadi, R.; Zidane, L. Ethnobotanical and Ethnopharmacological Study of Medicinal and Aromatic Plants Used in the Treatment of Respiratory System Disorders in the Moroccan Rif. Ethnobot. Res. Appl. 2019, 18, 1–17. [Google Scholar] [CrossRef] [Green Version]
- Teixidor-Toneu, I.; Martin, G.J.; Ouhammou, A.; Puri, R.K.; Hawkins, J.A. An Ethnomedicinal Survey of a Tashelhit-Speaking Community in the High Atlas, Morocco. J. Ethnopharmacol. 2016, 188, 96–110. [Google Scholar] [CrossRef]
- Ghourri, M.; Zidane, L.; Douira, A. Usage des plantes médicinales dans le traitement du Diabète Au Sahara marocain (Tan-Tan). J. Anim. Plant Sci. 2013, 17, 2388–2411. [Google Scholar]
- National Research Council. Guide for the Care and Use of Laboratory Animals, 8th ed.; The National Academies Press: Washington, DC, USA, 2011. [Google Scholar]
- Bouhrim, M.; Ouassou, H.; Boutahiri, S.; Daoudi, N.E.; Mechchate, H.; Gressier, B.; Eto, B.; Imtara, H.; Alotaibi, A.A.; Al-zharani, M.; et al. Opuntia dillenii (Ker Gawl.) Haw., Seeds Oil Antidiabetic Potential Using In Vivo, In Vitro, In Situ, and Ex Vivo Approaches to Reveal Its Underlying Mechanism of Action. Molecules 2021, 26, 1677. [Google Scholar] [CrossRef]
- Eto, B.; Boisset, M.; Griesmar, B.; Desjeux, J.-F. Effect of Sorbin on Electrolyte Transport in Rat and Human Intestine. Am. J. Physiol. 1999, 276, G107–G114. [Google Scholar] [CrossRef]
- Mathieu, J.; Mammar, S.; Eto, B. Automated Measurement of Intestinal Mucosa Electrical Parameters Using a New Digital Clamp. Methods Find. Exp. Clin. Pharmacol. 2008, 30, 591–598. [Google Scholar] [CrossRef]
- Lopes, C.L.; Pereira, E.; Soković, M.; Carvalho, A.M.; Barata, A.M.; Lopes, V.; Rocha, F.; Calhelha, R.C.; Barros, L.; Ferreira, I.C.F.R. Phenolic Composition and Bioactivity of Lavandula pedunculata (Mill.) Cav. Samples from Different Geographical Origin. Molecules 2018, 23, 1037. [Google Scholar] [CrossRef] [Green Version]
- Costa, P.; Gonçalves, S.; Valentão, P.; Andrade, P.B.; Almeida, C.; Nogueira, J.M.F.; Romano, A. Metabolic Profile and Biological Activities of Lavandula pedunculata Subsp. Lusitanica (Chaytor) Franco: Studies on the Essential Oil and Polar Extracts. Food Chem. 2013, 141, 2501–2506. [Google Scholar] [CrossRef]
- Ngo, Y.L.; Lau, C.H.; Chua, L.S. Review on Rosmarinic Acid Extraction, Fractionation and Its Anti-Diabetic Potential. Food Chem. Toxicol. 2018, 121, 687–700. [Google Scholar] [CrossRef]
- Tolmie, M.; Bester, M.J.; Apostolides, Z. Inhibition of α-Glucosidase and α-Amylase by Herbal Compounds for the Treatment of Type 2 Diabetes: A Validation of in Silico Reverse Docking with in Vitro Enzyme Assays. J. Diabetes 2021, 13, 779–791. [Google Scholar] [CrossRef]
- Zang, Y.; Igarashi, K.; Li, Y. Anti-Diabetic Effects of Luteolin and Luteolin-7-O-Glucoside on KK-A(y) Mice. Biosci. Biotechnol. Biochem. 2016, 80, 1580–1586. [Google Scholar] [CrossRef] [PubMed] [Green Version]
- Naceiri Mrabti, H.; Faouzi, M.E.A.; Massako Mayuk, F.; Makrane, H.; Limas-Nzouzi, N.; Dibong, S.D.; Cherrah, Y.; Kouoh Elombo, F.; Gressier, B.; Desjeux, J.-F.; et al. Arbutus unedo L., (Ericaceae) Inhibits Intestinal Glucose Absorption and Improves Glucose Tolerance in Rodents. J. Ethnopharmacol. 2019, 235, 385–391. [Google Scholar] [CrossRef] [PubMed]
- Eto, B. Clinical Phytopharmacology Improving Health Care in Developing Countries; LAP LAMBERT Academic Publishing: Paris, France, 2019. [Google Scholar]
- Crane, R.K. Intestinal Absorption of Sugars. Physiol. Rev. 1960, 40, 789–825. [Google Scholar] [CrossRef] [PubMed]
- Ríos, J.L.; Francini, F.; Schinella, G.R. Natural Products for the Treatment of Type 2 Diabetes Mellitus. Planta Med. 2015, 81, 975–994. [Google Scholar] [CrossRef] [PubMed] [Green Version]
- Sebai, H.; Selmi, S.; Rtibi, K.; Souli, A.; Gharbi, N.; Sakly, M. Lavender (Lavandula stoechas L.) Essential Oils Attenuate Hyperglycemia and Protect against Oxidative Stress in Alloxan-Induced Diabetic Rats. Lipids Health Dis. 2013, 12. [Google Scholar] [CrossRef] [PubMed] [Green Version]
- Azarmi, M.; Saei, H.; Zehtab Salmasi, S.; Dehghan, G. Investigating the Treatable Effect of Lavandula officinalis L. Ethanolic Extract in Alloxan-Induced Male Diabetic Rats. Pharmacol. Line 2016, 1, 53–63. [Google Scholar]
- Meddah, B.; Ducroc, R.; Faouzi, M.E.A.; Eto, B.; Mahraoui, L.; Benhaddou-Andaloussi, A.; Martineau, L.C.; Cherrah, Y.; Haddad, P.S. Nigella Sativa Inhibits Intestinal Glucose Absorption and Improves Glucose Tolerance in Rats. J. Ethnopharmacol. 2009, 121, 419–424. [Google Scholar] [CrossRef]
- Katsuno, K.; Fujimori, Y.; Takemura, Y.; Hiratochi, M.; Itoh, F.; Komatsu, Y.; Fujikura, H.; Isaji, M. Sergliflozin, a Novel Selective Inhibitor of Low-Affinity Sodium Glucose Cotransporter (SGLT2), Validates the Critical Role of SGLT2 in Renal Glucose Reabsorption and Modulates Plasma Glucose Level. J. Pharmacol. Exp. Ther. 2007, 320, 323–330. [Google Scholar] [CrossRef] [Green Version]
- Du, F.; Hinke, S.A.; Cavanaugh, C.; Polidori, D.; Wallace, N.; Kirchner, T.; Jennis, M.; Lang, W.; Kuo, G.-H.; Gaul, M.D.; et al. Potent Sodium/Glucose Cotransporter SGLT1/2 Dual Inhibition Improves Glycemic Control Without Marked Gastrointestinal Adaptation or Colonic Microbiota Changes in Rodents. J. Pharmacol. Exp. Ther. 2018, 365, 676–687. [Google Scholar] [CrossRef]











| Rt (min) | λmax (nm) | [M − H]− (m/z) | [M + H]+ (m/z) | Compounds | LP |
|---|---|---|---|---|---|
| 6.869 | 278.1 | WD | 147 | Coumarin | + |
| 8.259 | 255.5, 297.2 | 147 | 149 | Cinnamic acid | T |
| 2.697 | 259.1, 293.6 | 153 | 155 | Protocatechuic acid | + |
| 3.923 | 260.3, 292.4 | 167 | 169 | Vanillic acid | − |
| 1.518 | 371.0 | 169 | 171 | Gallic acid | T |
| 7.761 | 307.9 | WD | 177 | Herniarin | + |
| 3.976 | 324.7 | 179 | 181 | Caffeic acid | + |
| 6.536 | 322.3 | 193 | 195 | Ferulic acid | − |
| 8.606 | 338.8 | 269 | 271 | Apigenin | + |
| 8.368 | 254.3, 350.4 | 285 | 287 | Luteolin | + |
| 7.792 | 253.2, 372.1 | 317 | 319 | Myricetin | + |
| 3.680 | 240.1, 325.8 | 353 | 355 | Chlorogenic acid | + |
| 7.831 | 329.4 | 359 | WD | Rosmarinic acid | ++ |
| Extracts | Liver | Left Kidney | Right Kidney |
|---|---|---|---|
| Control | 5.08 ± 0.40 | 0.65 ± 0.06 | 0.69 ± 0.07 |
| LP | 5.83 ± 0.62 | 0.54 ± 0.11 | 0.61 ± 0.11 |
| FGK | 5.98 ± 0.52 | 0.59 ± 0.07 | 0.66 ± 0.12 |
| PG | 6.75 ± 0.72 | 0.57 ± 0.07 | 0.61 ± 0.05 |
| GO | 4.92 ± 0.61 | 0.53 ± 0.04 | 0.53 ± 0.05 |
| Biochemistry | Control | LP | FGK | PG | GO |
|---|---|---|---|---|---|
| ALT (UI/L) | 18.33 ± 5.86 | 17.33 ± 0.59 | 25.33 ± 4.73 | 20.33 ± 3.79 | 11.00 ± 2.65 |
| AST (UI/L) | 59.33 ± 28.38 | 55.67 ± 24.83 | 63.67 ± 16.92 | 59.33 ± 19.35 | 50.00 ± 14.53 |
| Direct bilirubin (mg/mL) | 1.00 ± 0.00 | 1.00 ± 0.00 | 1.00 ± 0.00 | 1.00 ± 0.00 | 1.00 ± 0.00 |
| Total bilirubin (mg/mL) | 1.43 ± 0.49 | 1.45 ± 0.49 | 1.27 ± 0.06 | 1.45 ± 0.07 | 1.30 ± 0.42 |
| Albumin (g/L) | 28.00 ± 2.00 | 25.00 ± 9.64 | 22.33 ± 2.08 | 24.67 ± 6.11 | 19.30 ± 6.51 |
| Cholesterol (g/L) | 0.79 ± 0.07 | 0.66 ± 0.25 | 0.86 ± 0.04 | 0.91 ± 0.26 | 0.71 ± 0.18 |
| Triglyceride (g/L) | 0.45 ± 0.12 | 0.40 ± 0.25 | 0.38 ± 0.17 | 0.40 ± 0.10 | 0.26 ± 0.04 |
| HDL (g/L) | 0.21 ± 0.04 | 0.23 ± 0.09 | 0.26 ± 0.07 | 0.24 ± 0.05 | 0.20 ±0.03 |
| LDL (g/L) | 0.11 ± 0.02 | 0.10 ± 0.04 | 0.13 ± 0.05 | 0.14 ± 0.04 | 0.10 ± 0.06 |
| Glucose (g/L) | 1.58 ± 0.30 | 1.93 ± 0.80 | 1.85 ± 0.09 | 1.63 ± 0.33 | 1.41 ± 0.62 |
| Lipase (UI/L) | 9.67 ± 3.06 | 7.33 ± 2.89 | 11.50 ± 2.12 | 11.00 ± 6.24 | 5.67 ± 2.08 |
| Protein (g/L) | 55.00 ± 16.55 | 44.85 ± 25.39 | 58.83 ± 7.26 | 58.23 ± 16.39 | 31.50 ± 7.78 |
| Creatinine (mg/L) | 6.37 ± 1.13 | 5.45 ± 1.95 | 6.19 ± 0.68 | 5.98 ± 1.29 | 4.53 ± 1.68 |
| Urea (g/L) | 0.23 ± 0.06 | 0.16 ± 0.06 | 0.23 ± 0.05 | 0.18 ± 0.03 | 0.17 ± 0.03 |
| Uric acid (mg/L) | 17.70 ± 9.72 | 16.33 ± 8.20 | 14.83 ± 2.81 | 23.03 ± 11.57 | 16.77 ± 11.72 |
| Calcium (mg/L) | 88.23 ± 15.03 | 84.87 ± 26.58 | 88.20 ± 7.62 | 86.80 ± 20.78 | 50.50 ± 5.23 |
| Phosphate (mg/L) | 52.50 ± 8.92 | 70.15 ± 7.71 | 62.65 ± 12.52 | 53.10 ± 18.10 | 59.20 ± 27.72 |
Publisher’s Note: MDPI stays neutral with regard to jurisdictional claims in published maps and institutional affiliations. |
© 2021 by the authors. Licensee MDPI, Basel, Switzerland. This article is an open access article distributed under the terms and conditions of the Creative Commons Attribution (CC BY) license (https://creativecommons.org/licenses/by/4.0/).
Share and Cite
Boutahiri, S.; Bouhrim, M.; Abidi, C.; Mechchate, H.; Alqahtani, A.S.; Noman, O.M.; Elombo, F.K.; Gressier, B.; Sahpaz, S.; Bnouham, M.; et al. Antihyperglycemic Effect of Lavandula pedunculata: In Vivo, In Vitro and Ex Vivo Approaches. Pharmaceutics 2021, 13, 2019. https://doi.org/10.3390/pharmaceutics13122019
Boutahiri S, Bouhrim M, Abidi C, Mechchate H, Alqahtani AS, Noman OM, Elombo FK, Gressier B, Sahpaz S, Bnouham M, et al. Antihyperglycemic Effect of Lavandula pedunculata: In Vivo, In Vitro and Ex Vivo Approaches. Pharmaceutics. 2021; 13(12):2019. https://doi.org/10.3390/pharmaceutics13122019
Chicago/Turabian StyleBoutahiri, Salima, Mohamed Bouhrim, Chayma Abidi, Hamza Mechchate, Ali S. Alqahtani, Omar M. Noman, Ferdinand Kouoh Elombo, Bernard Gressier, Sevser Sahpaz, Mohamed Bnouham, and et al. 2021. "Antihyperglycemic Effect of Lavandula pedunculata: In Vivo, In Vitro and Ex Vivo Approaches" Pharmaceutics 13, no. 12: 2019. https://doi.org/10.3390/pharmaceutics13122019
APA StyleBoutahiri, S., Bouhrim, M., Abidi, C., Mechchate, H., Alqahtani, A. S., Noman, O. M., Elombo, F. K., Gressier, B., Sahpaz, S., Bnouham, M., Desjeux, J.-F., Zair, T., & Eto, B. (2021). Antihyperglycemic Effect of Lavandula pedunculata: In Vivo, In Vitro and Ex Vivo Approaches. Pharmaceutics, 13(12), 2019. https://doi.org/10.3390/pharmaceutics13122019

