A Subunit Vaccine Harboring the Fusion Capsid Proteins of Porcine Circovirus Types 2, 3, and 4 Induces Protective Immune Responses in a Mouse Model
Abstract
1. Introduction
2. Materials and Methods
2.1. Viruses and Cells
2.2. Screening of Antigenic Epitopes in the Cap Proteins of PCV2, PCV3, and PCV4
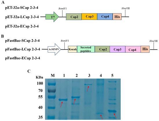
2.3. Plasmid Construction
2.4. Protein Expression and Purification
2.5. Animal Experiment
2.6. Enzyme-Linked Immunosorbent Assay
2.7. Virus Neutralization Test
2.8. Spleen Lymphocyte Proliferation Assay
2.9. Pathological Histology
2.10. Statistical Analysis
3. Results
3.1. Prediction and Screening of Antigenic Epitopes in Cap Proteins
3.2. Plasmid Construction and Protein Purification
3.3. pSCap 2-3-4 Activated Higher Humoral Immune Responses than the Other Inoculated Groups
3.4. pSCap 2-3-4 Activated Higher Cellular Immune Responses than the Other Inoculation Groups
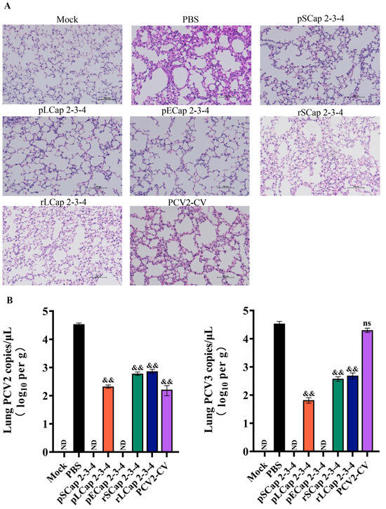
3.5. The Viral Load Was Reduced and Lung Pathology Was Less Severe in Mice Vaccinated with pSCap 2-3-4 Compared to Other Groups
4. Discussion
5. Conclusions
Supplementary Materials
Author Contributions
Funding
Institutional Review Board Statement
Informed Consent Statement
Data Availability Statement
Conflicts of Interest
References
- Finsterbusch, T.; Mankertz, A. Porcine circoviruses—Small but powerful. Virus Res. 2009, 143, 177–183. [Google Scholar] [CrossRef] [PubMed]
- Ma, Z.; Liu, M.; Liu, Z.; Meng, F.; Wang, H.; Cao, L.; Li, Y.; Jiao, Q.; Han, Z.; Liu, S. Epidemiological investigation of porcine circovirus type 2 and its coinfection rate in Shandong province in China from 2015 to 2018. BMC Vet. Res. 2021, 17, 17. [Google Scholar] [CrossRef] [PubMed]
- Ouyang, T.; Zhang, X.; Liu, X.; Ren, L. Co-Infection of Swine with Porcine Circovirus Type 2 and Other Swine Viruses. Viruses 2019, 11, 185. [Google Scholar] [CrossRef]
- Chen, N.; Huang, Y.; Ye, M.; Li, S.; Xiao, Y.; Cui, B.; Zhu, J. Co-infection status of classical swine fever virus (CSFV), porcine reproductive and respiratory syndrome virus (PRRSV) and porcine circoviruses (PCV2 and PCV3) in eight regions of China from 2016 to 2018. Infect. Genet. Evol. 2019, 68, 127–135. [Google Scholar] [CrossRef] [PubMed]
- Tan, C.Y.; Lin, C.N.; Ooi, P.T. What do we know about porcine circovirus 3 (PCV3) diagnosis so far?: A review. Transbound. Emerg. Dis. 2021, 68, 2915–2935. [Google Scholar] [CrossRef]
- Kedkovid, R.; Woonwong, Y.; Arunorat, J.; Sirisereewan, C.; Sangpratum, N.; Kesdangsakonwut, S.; Tummaruk, P.; Teankum, K.; Assavacheep, P.; Jittimanee, S.; et al. Porcine circovirus type 3 (PCV3) shedding in sow colostrum. Vet. Microbiol. 2018, 220, 12–17. [Google Scholar] [CrossRef]
- Chen, X.M.; Zhao, Y.Y.; Liu, X.C.; Han, Y.Y.; Zhang, Y.H.; Hou, C.Y.; Zheng, L.L.; Ma, S.J.; Chen, H.Y. Molecular detection and genetic characteristics of a novel porcine circovirus (porcine circovirus 4) and porcine reproductive and respiratory syndrome virus in Shaanxi and Henan Provinces of China. Comp. Immunol. Microbiol. Infect. Dis. 2023, 98, 102009. [Google Scholar] [CrossRef] [PubMed]
- Sirisereewan, C.; Nguyen, T.C.; Piewbang, C.; Jittimanee, S.; Kedkovid, R.; Thanawongnuwech, R. Molecular detection and genetic characterization of porcine circovirus 4 (PCV4) in Thailand during 2019–2020. Sci. Rep. 2023, 13, 5168. [Google Scholar] [CrossRef] [PubMed]
- Li, H.X.; Chen, X.M.; Zhao, Y.Y.; Zhang, H.L.; Zheng, L.L.; Wang, L.Q.; Ma, S.J.; Chen, H.Y. Simultaneous detection and phylogenetic analysis of porcine epidemic diarrhea virus and porcine circovirus 4 in Henan province, China. Arch. Virol. 2023, 168, 161. [Google Scholar] [CrossRef]
- Lv, Q.Z.; Guo, K.K.; Zhang, Y.M. Current understanding of genomic DNA of porcine circovirus type 2. Virus Genes 2014, 49, 1–10. [Google Scholar] [CrossRef]
- Dei Giudici, S.; Mura, L.; Bonelli, P.; Hawko, S.; Angioi, P.P.; Sechi, A.M.; Denti, S.; Sulas, A.; Burrai, G.P.; Madrau, M.P.; et al. Evidence of Porcine Circovirus Type 2 (PCV2) Genetic Shift from PCV2b to PCV2d Genotype in Sardinia, Italy. Viruses 2023, 15, 2157. [Google Scholar] [CrossRef]
- Mengfan, Q.; Xifeng, W.; Guowu, Z.; Qingling, M.; Jun, Q.; Lixia, W.; Kuojun, C.; Jinsheng, Z.; Zaichao, Z.; Weiwei, Y.; et al. Molecular Detection and Genetic Diversity of porcine Circovirus Type 3 in Commercial Pig Farms in Xinjiang Province, China. J. Vet. Res. 2019, 63, 481–488. [Google Scholar] [CrossRef]
- Kim, S.H.; Park, J.Y.; Jung, J.Y.; Kim, H.Y.; Park, Y.R.; Lee, K.K.; Lyoo, Y.S.; Yeo, S.G.; Park, C.K. Detection and genetic characterization of porcine circovirus 3 from aborted fetuses and pigs with respiratory disease in Korea. J. Vet. Sci. 2018, 19, 721–724. [Google Scholar] [CrossRef]
- Kim, D.Y.; Kim, H.R.; Park, J.H.; Kwon, N.Y.; Kim, J.M.; Kim, J.K.; Park, J.H.; Lee, K.K.; Kim, S.H.; Kim, W.I.; et al. Detection of a novel porcine circovirus 4 in Korean pig herds using a loop-mediated isothermal amplification assay. J. Virol. Methods 2022, 299, 114350. [Google Scholar] [CrossRef] [PubMed]
- Meng, X.J. Porcine circovirus type 2 (PCV2): Pathogenesis and interaction with the immune system. Annu. Rev. Anim. Biosci. 2013, 1, 43–64. [Google Scholar] [CrossRef]
- Ji, W.; Zhang, X.; Niu, G.; Chen, S.; Li, X.; Yang, L.; Zhang, L.; Ren, L. Expression and immunogenicity analysis of the capsid proteins of porcine circovirus types 2 to 4. Int. J. Biol. Macromol. 2022, 218, 828–838. [Google Scholar] [CrossRef]
- Nawagitgul, P.; Morozov, I.; Bolin, S.R.; Harms, P.A.; Sorden, S.D.; Paul, P.S. Open reading frame 2 of porcine circovirus type 2 encodes a major capsid protein. J. Gen. Virol. 2000, 81, 2281–2287. [Google Scholar] [CrossRef] [PubMed]
- Chavda, V.P.; Ghali, E.; Balar, P.C.; Chauhan, S.C.; Tiwari, N.; Shukla, S.; Athalye, M.; Patravale, V.; Apostolopoulos, V.; Yallapu, M.M. Protein subunit vaccines: Promising frontiers against COVID-19. J. Control. Release 2024, 366, 761–782. [Google Scholar] [CrossRef]
- Li, T.; Qian, C.; Gu, Y.; Zhang, J.; Li, S.; Xia, N. Current progress in the development of prophylactic and therapeutic vaccines. Sci. China Life Sci. 2023, 66, 679–710. [Google Scholar] [CrossRef] [PubMed]
- Masuda, A.; Lee, J.M.; Miyata, T.; Sato, T.; Hayashi, S.; Hino, M.; Morokuma, D.; Karasaki, N.; Mon, H.; Kusakabe, T. Purification and characterization of immunogenic recombinant virus-like particles of porcine circovirus type 2 expressed in silkworm pupae. J. Gen. Virol. 2018, 99, 917–926. [Google Scholar] [CrossRef] [PubMed]
- Xi, X.; Mo, X.; Xiao, Y.; Yin, B.; Lv, C.; Wang, Y.; Sun, Z.; Yang, Q.; Yao, Y.; Xuan, Y.; et al. Production of Escherichia coli-based virus-like particle vaccine against porcine circovirus type 2 challenge in piglets: Structure characterization and protective efficacy validation. J. Biotechnol. 2016, 223, 8–12. [Google Scholar] [CrossRef] [PubMed]
- Fort, M.; Sibila, M.; Pérez-Martín, E.; Nofrarías, M.; Mateu, E.; Segalés, J. One dose of a porcine circovirus 2 (PCV2) sub-unit vaccine administered to 3-week-old conventional piglets elicits cell-mediated immunity and significantly reduces PCV2 viremia in an experimental model. Vaccine 2009, 27, 4031–4037. [Google Scholar] [CrossRef]
- Ouyang, T.; Liu, X.H.; Ouyang, H.S.; Ren, L.Z. Mouse models of porcine circovirus 2 infection. Anim. Models Exp. Med. 2018, 1, 23–28. [Google Scholar] [CrossRef]
- Yang, X.; Ma, T.; Ouyang, H.; Chen, F.; Peng, Z.; Li, C.; Ma, Y.; Chen, X.; Li, B.; Pang, D.; et al. Effect of atovastatin treatment on porcine circovirus 2 infection in BALB/c mice. Clin. Exp. Pharmacol. Physiol. 2015, 42, 817–821. [Google Scholar] [CrossRef] [PubMed]
- Kiupel, M.; Stevenson, G.W.; Galbreath, E.J.; North, A.; HogenEsch, H.; Mittal, S.K. Porcine circovirus type 2 (PCV2) causes apoptosis in experimentally inoculated BALB/c mice. BMC Vet. Res. 2005, 1, 7. [Google Scholar] [CrossRef] [PubMed]
- Li, D.L.; Huang, Y.; Chang, L.L.; Du, Q.; Chen, Y.; Wang, T.T.; Luo, X.M.; Zhao, X.M.; Tong, D.W. Modified recombinant adenoviruses increase porcine circovirus 2 capsid protein expression and induce enhanced immune responses in mice. Acta Virol. 2016, 60, 271–280. [Google Scholar] [CrossRef][Green Version]
- Liu, J.; You, J.; Zhang, X.; Ma, C.; Dong, M.; Chen, L.; Jiang, P.; Yun, S. The Hsp90 inhibitor 17-DMAG decreases infection of porcine circovirus type 2 in mice. Microb. Pathog. 2017, 109, 248–252. [Google Scholar] [CrossRef]
- Li, D.; Du, Q.; Wu, B.; Li, J.; Chang, L.; Zhao, X.; Huang, Y.; Tong, D. Immunogenicity of adenovirus vaccines expressing the PCV2 capsid protein in pigs. Vaccine 2017, 35, 4722–4729. [Google Scholar] [CrossRef]
- Kroeger, M.; Vargas-Bermudez, D.S.; Jaime, J.; Parada, J.; Groeltz, J.; Gauger, P.; Piñeyro, P. First detection of PCV4 in swine in the United States: Codetection with PCV2 and PCV3 and direct detection within tissues. Sci. Rep. 2024, 14, 15535. [Google Scholar] [CrossRef]
- Ha, Z.; Yu, C.; Xie, C.; Wang, G.; Zhang, Y.; Hao, P.; Li, J.; Li, Z.; Li, Y.; Rong, F.; et al. Retrospective surveillance of porcine circovirus 4 in pigs in Inner Mongolia, China, from 2016 to 2018. Arch. Virol. 2021, 166, 1951–1959. [Google Scholar] [CrossRef]
- Xu, T.; Hou, C.Y.; Zhang, Y.H.; Li, H.X.; Chen, X.M.; Pan, J.J.; Chen, H.Y. Simultaneous detection and genetic characterization of porcine circovirus 2 and 4 in Henan province of China. Gene 2022, 808, 145991. [Google Scholar] [CrossRef] [PubMed]
- Wang, D.; Mai, J.; Yang, Y.; Xiao, C.T.; Wang, N. Current knowledge on epidemiology and evolution of novel porcine circovirus 4. Vet. Res. 2022, 53, 38. [Google Scholar] [CrossRef]
- Liu, C.; Liu, Y.; Feng, H.; Zhao, B.; Chen, Y.; Huang, H.; Wang, P.; Deng, R.; Zhang, G. PCV cap proteins fused with calreticulin expressed into polymers in Escherichia coli with high immunogenicity in mice. BMC Vet. Res. 2020, 16, 313. [Google Scholar] [CrossRef]
- Mao, Q.; Zhang, W.; Ma, S.; Qiu, Z.; Li, B.; Xu, C.; He, H.; Fan, S.; Wu, K.; Chen, J.; et al. Fusion Expression and Immune Effect of PCV2 Cap Protein Tandem Multiantigen Epitopes with CD154/GM-CSF. Vet. Sci. 2021, 8, 211. [Google Scholar] [CrossRef]
- He, Q.; Cao, Z.; Wang, P.; Lu, Q.; Zheng, H.; Sun, J. Efficient application of a baculovirus-silkworm larvae expression system for obtaining porcine circovirus type 2 virus-like particles for a vaccine. Arch. Virol. 2020, 165, 2301–2309. [Google Scholar] [CrossRef]
- Porowińska, D.; Wujak, M.; Roszek, K.; Komoszyński, M. Prokaryotic expression systems. Postep. Hig. I Med. Dosw. 2013, 67, 119–129. [Google Scholar] [CrossRef]
- Van Oers, M.M.; Pijlman, G.P.; Vlak, J.M. Thirty years of baculovirus-insect cell protein expression: From dark horse to mainstream technology. J. Gen. Virol. 2015, 96, 6–23. [Google Scholar] [CrossRef]
- Hitchman, R.B.; Locanto, E.; Possee, R.D.; King, L.A. Optimizing the baculovirus expression vector system. Methods 2011, 55, 52–57. [Google Scholar] [CrossRef]
- Mehalko, J.L.; Esposito, D. Engineering the transposition-based baculovirus expression vector system for higher efficiency protein production from insect cells. J. Biotechnol. 2016, 238, 1–8. [Google Scholar] [CrossRef]
- Rcheulishvili, N.; Mao, J.; Papukashvili, D.; Feng, S.; Liu, C.; Yang, X.; Lin, J.; He, Y.; Wang, P.G. Development of a Multi-Epitope Universal mRNA Vaccine Candidate for Monkeypox, Smallpox, and Vaccinia Viruses: Design and In Silico Analyses. Viruses 2023, 15, 1120. [Google Scholar] [CrossRef] [PubMed]
- Lennerz, V.; Gross, S.; Gallerani, E.; Sessa, C.; Mach, N.; Boehm, S.; Hess, D.; von Boehmer, L.; Knuth, A.; Ochsenbein, A.F.; et al. Immunologic response to the survivin-derived multi-epitope vaccine EMD640744 in patients with advanced solid tumors. Cancer Immunol. Immunother. CII 2014, 63, 381–394. [Google Scholar] [CrossRef] [PubMed]
- Zhang, F.; Zhang, Z.; Li, X.; Li, J.; Lv, J.; Ma, Z.; Pan, L. Immune Responses to Orally Administered Recombinant Lactococcus lactis Expressing Multi-Epitope Proteins Targeting M Cells of Foot-and-Mouth Disease Virus. Viruses 2021, 13, 2036. [Google Scholar] [CrossRef] [PubMed]
- Tada, T.; Peng, J.Y.; Dcosta, B.M.; Landau, N.R. Single-epitope T cell-based vaccine protects against SARS-CoV-2 infection in a preclinical animal model. JCI Insight 2023, 8, e167306. [Google Scholar] [CrossRef]
- Zhang, L. Multi-epitope vaccines: A promising strategy against tumors and viral infections. Cell. Mol. Immunol. 2018, 15, 182–184. [Google Scholar] [CrossRef] [PubMed]
- Huang, X.J.; Lü, X.; Lei, Y.F.; Yang, J.; Yao, M.; Lan, H.Y.; Zhang, J.M.; Jia, Z.S.; Yin, W.; Xu, Z.K. Cellular immunogenicity of a multi-epitope peptide vaccine candidate based on hepatitis C virus NS5A, NS4B and core proteins in HHD-2 mice. J. Virol. Methods 2013, 189, 47–52. [Google Scholar] [CrossRef]
- Cságola, A.; Cadar, D.; Tuboly, T. Replication and transmission of porcine circovirus type 2 in mice. Acta Vet. Hung. 2008, 56, 421–427. [Google Scholar] [CrossRef]
- Li, J.; Yuan, X.; Zhang, C.; Miao, L.; Wu, J.; Shi, J.; Xu, S.; Cui, S.; Wang, J.; Ai, H. A mouse model to study infection against porcine circovirus type 2: Viral distribution and lesions in mouse. Virol. J. 2010, 7, 158. [Google Scholar] [CrossRef]
- Du, Q.; Shi, T.; Wang, H.; Zhu, C.; Yang, N.; Tong, D.; Huang, Y. The ultrasonically treated nanoliposomes containing PCV2 DNA vaccine expressing gC1qR binding site mutant Cap is efficient in mice. Front. Microbiol. 2022, 13, 1077026. [Google Scholar] [CrossRef]
- Jung, B.K.; Kim, H.R.; Lee, Y.H.; Jang, H.; Chang, K.S. Comparison of Immune Responses to the PCV2 Replicase-Capsid and Capsid Virus-Like Particle Vaccines in Mice. J. Microbiol. Biotechnol. 2019, 29, 482–488. [Google Scholar] [CrossRef]
- Trible, B.R.; Rowland, R.R. Genetic variation of porcine circovirus type 2 (PCV2) and its relevance to vaccination, pathogenesis and diagnosis. Virus Res. 2012, 164, 68–77. [Google Scholar] [CrossRef] [PubMed]
- Gao, Z.; Chen, L.; Song, T.; Pan, X.; Li, X.; Lu, G.; Tang, Y.; Wu, X.; Zhao, B.; Zhang, R. A candidate multi-epitope vaccine against porcine reproductive and respiratory syndrome virus and Mycoplasma hyopneumoniae induces robust humoral and cellular response in mice. Vaccine 2022, 40, 2370–2378. [Google Scholar] [CrossRef] [PubMed]




| Cap2 | Cap3 | Cap4 | |
|---|---|---|---|
| SCap 2-3-4 | 69-82, 90-104, 121-131, 159-173, 220-234 aa | 51-64, 94-107, 120-134 aa | 106-178 aa |
| LCap 2-3-4 | 65-93, 117-131, 169-183, 175-195, 224-233 aa | 42-62, 94-105, 118-139, 147-166, 190-204 aa | 106-122, 125-178 aa |
| ECap 2-3-4 | 42-234 aa | 37-214 aa | 38-228 aa |
Disclaimer/Publisher’s Note: The statements, opinions and data contained in all publications are solely those of the individual author(s) and contributor(s) and not of MDPI and/or the editor(s). MDPI and/or the editor(s) disclaim responsibility for any injury to people or property resulting from any ideas, methods, instructions or products referred to in the content. |
© 2024 by the authors. Licensee MDPI, Basel, Switzerland. This article is an open access article distributed under the terms and conditions of the Creative Commons Attribution (CC BY) license (https://creativecommons.org/licenses/by/4.0/).
Share and Cite
Wang, Q.; Zhang, R.; Wang, Y.; Wang, Y.; Liang, L.; Ma, H.; Wang, H.; Si, L.; Wu, X. A Subunit Vaccine Harboring the Fusion Capsid Proteins of Porcine Circovirus Types 2, 3, and 4 Induces Protective Immune Responses in a Mouse Model. Viruses 2024, 16, 1964. https://doi.org/10.3390/v16121964
Wang Q, Zhang R, Wang Y, Wang Y, Liang L, Ma H, Wang H, Si L, Wu X. A Subunit Vaccine Harboring the Fusion Capsid Proteins of Porcine Circovirus Types 2, 3, and 4 Induces Protective Immune Responses in a Mouse Model. Viruses. 2024; 16(12):1964. https://doi.org/10.3390/v16121964
Chicago/Turabian StyleWang, Qikai, Ran Zhang, Yue Wang, Ying Wang, Libin Liang, Haili Ma, Haidong Wang, Longlong Si, and Xingchen Wu. 2024. "A Subunit Vaccine Harboring the Fusion Capsid Proteins of Porcine Circovirus Types 2, 3, and 4 Induces Protective Immune Responses in a Mouse Model" Viruses 16, no. 12: 1964. https://doi.org/10.3390/v16121964
APA StyleWang, Q., Zhang, R., Wang, Y., Wang, Y., Liang, L., Ma, H., Wang, H., Si, L., & Wu, X. (2024). A Subunit Vaccine Harboring the Fusion Capsid Proteins of Porcine Circovirus Types 2, 3, and 4 Induces Protective Immune Responses in a Mouse Model. Viruses, 16(12), 1964. https://doi.org/10.3390/v16121964

