Tissue and Time Optimization for Real-Time Detection of Apple Mosaic Virus and Apple Necrotic Mosaic Virus Associated with Mosaic Disease of Apple (Malus domestica)
Abstract
1. Introduction
2. Materials and Methods
2.1. Field Sampling for Tissue Selection and Processing
2.2. Total Ribonucleic Acid (RNA) Extraction and cDNA Synthesis
2.3. Reverse Transcriptase-PCR (RT-PCR)
2.4. Quantitative Real-Time PCR Analysis (qRT-PCR)
2.5. Validation of Tissue and Time
2.6. Data Analysis
3. Results
3.1. Symptomatology of Mosaic Disease on Different Plant Parts
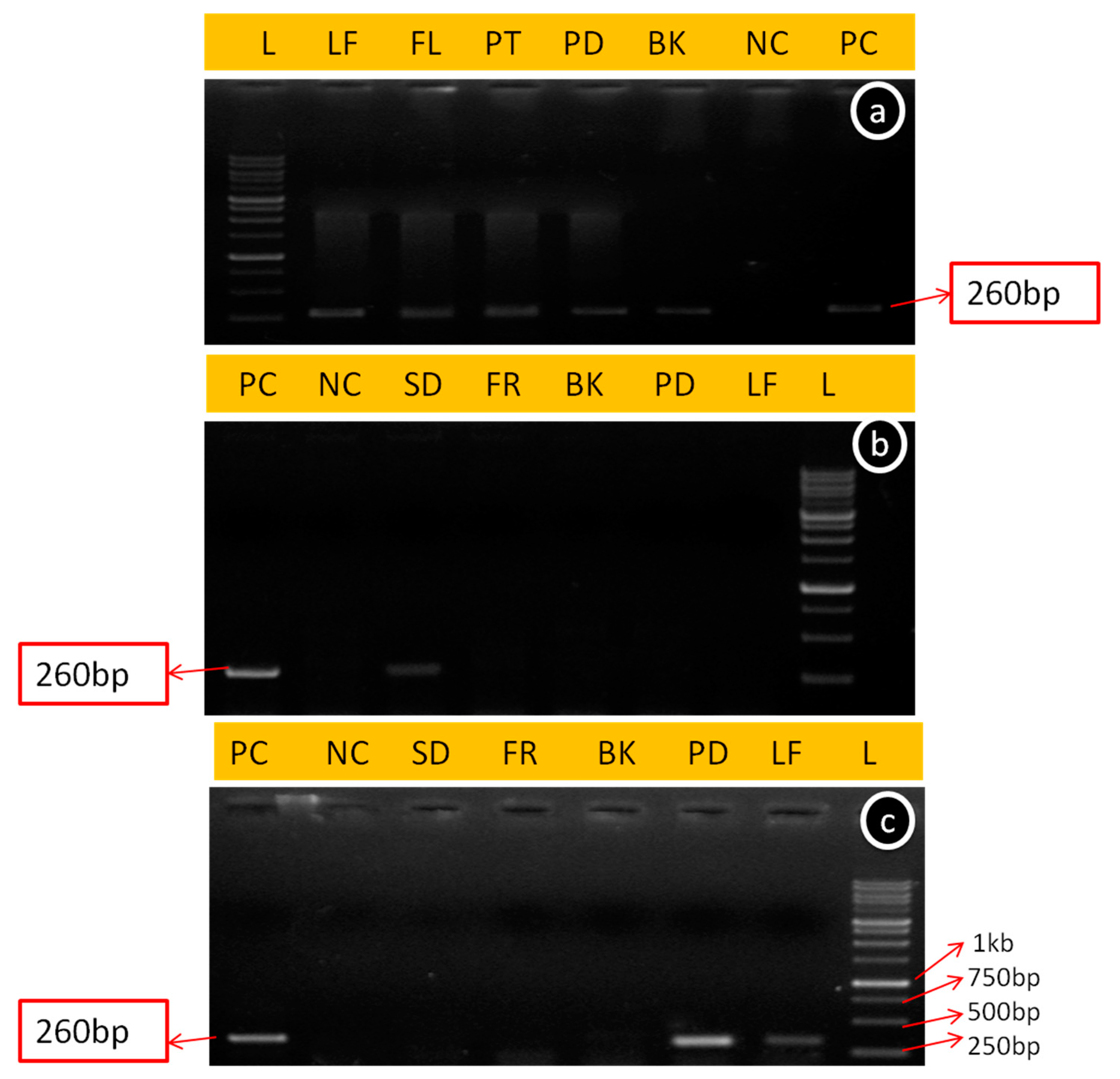
3.2. Detection of ApMV and ApNMV Using RT-PCR
3.2.1. Detection of ApMV
3.2.2. Detection of ApNMV
3.3. Relative Quantification of ApMV and ApNMV through Real-Time PCR in Different Tissues during Three Seasons
3.3.1. Relative Quantification of ApMV and ApNMV during the Spring Season
3.3.2. Relative Quantification of ApMV and ApNMV during the Summer Season
3.3.3. Relative Quantification of ApMV and ApNMV during the Autumn Season
3.4. Validation of Optimized Tissue and Time in Various Apple Cultivars
4. Discussion
5. Conclusions
Author Contributions
Funding
Institutional Review Board Statement
Informed Consent Statement
Data Availability Statement
Acknowledgments
Conflicts of Interest
References
- Ferree, D.C.; Warrington, I.J. Apples: Botany Production and Uses; CABI Publications: Wallingford, UK, 2003. [Google Scholar]
- Nabi, S.U.; Manoj, Y.; Nida, Y.; Wasim, H.R.; Kavi, S.; Saurabh, D.; Damini, J. Apple mosaic disease: Potential threat to apple productivity. EC Agric. 2019, 5, 614–618. [Google Scholar]
- Petrzik, K.; Lenz, O. Apple mosaic virus in pome fruits. In Virus and Virus Like Diseases of Pome and Stone Fruits; Hadidi, A., Barba, M., Candresse, T., Jelkmann, W., Eds.; APS Press: St. Paul, MN, USA, 2011; pp. 25–28. [Google Scholar]
- Chai, G.Z.; Song, L.Q.; Jiang, Z.W.; Zhang, X.Y.; Zhang, S.; Liu, M.Y.; Tang, Y.; Sun, Y.X.; Zhao, L.L. The effect of apple mosaic on photosynthesis of different varieties of apple. Yantai Fruits 2017, 3, 8–9. [Google Scholar]
- Cembali, T.R.; Folwell, J.; Wand-Schneider, P.; Eastwell, K.C.; Howell, W.E. Economic implications of a virus prevention program in deciduous tree fruits in the US. Crop Prot. 2003, 22, 1149–1156. [Google Scholar] [CrossRef]
- Hadidi, A.; Barba, M.; Candresse, T.; Jelkmann, W. Virus and Virus-Like Diseases of Pome and Stone Fruits; American Phytopathological Society: St. Paul, MN, USA, 2011; ISBN 0-89054-396-8. [Google Scholar]
- Li, D.H.; Zhao, H.Y.; Hu, Z.Q.; Hu, X.S.; Zhang, Y.H. Studies on the damage, loss of production and control to apple mosaic disease. J. Northwest Sci.-Tech. Univ. Agric. 2002, 30, 77–80. [Google Scholar]
- Nabi, S.U.; Baranwal, V.K.; Rao, G.P.; Mansoor, S.; Vladulescu, C.; Raja, W.H.; Jan, B.; Alansi, S. High-Throughput RNA Sequencing of Mosaic Infected and Non-Infected Apple (Malus × domestica Borkh.) Cultivars: From Detection to the Reconstruction of Whole Genome of Viruses and Viroid. Plants 2022, 11, 675. [Google Scholar] [CrossRef]
- Tombisana, T.; Tanuja, R.; Vipin, H.; Raja, R.; Zaidi, A.A. Molecular characterization of the Indian strain of Apple mosaic virus isolated from apple (Malus domestica). Phytoparasitica 2009, 37, 375–379. [Google Scholar] [CrossRef]
- Bradford, F.C.; Joley, L. Infectious variegation in the apple. J. Agric. Res. 1933, 46, 901–908. [Google Scholar]
- Hu, G.J.; Dong, Y.F.; Zhang, Z.P.; Fan, X.D.; Ren, F.; Li, Z.N.; Zhou, J. First report of Prunus necrotic ringspot virus infection of apple in China. Plant Dis. 2016, 100, 1955. [Google Scholar] [CrossRef]
- Hu, Y.; Shi, H.W.; Jing, C.C.; Li, K.; Sun, X.C.; Zhou, C.Y.; Qing, L. First report of Cucumber mosaic virus infecting apple in China. J. Plant Pathol. 2016, 98, 181. [Google Scholar]
- Noda, H.; Yamagishi, N.; Yaegashi, H.; Xing, F.; Xie, J.P.; Li, S.F.; Zhou, T.; Ito, T.; Yoshikawa, N. Apple necrotic mosaic virus, a novel ilarvirus from mosaic diseased apple trees in Japan and China. J. Gen. Plant Pathol. 2017, 83, 83–90. [Google Scholar] [CrossRef]
- Lakshmi, V.; Hallan, V.; Ram, R.; Ahmed, N.; Zaidi, A.A.; Verma, A. Diversity of Apple mosaic virus Isolates in India Based on Coat Protein and Movement Protein Genes. Indian J. Virol. 2011, 22, 44. [Google Scholar] [CrossRef] [PubMed]
- Padder, B.A.; Shah, M.D.; Mushtaq, A.; Aflaq, H.; Sofi, T.A.; Ahanger, F.A.; Sahar, S. Status of apple mosaic virus in Kashmir valley. Appl. Biol. Res. 2011, 13, 117–120. [Google Scholar]
- Verma, R.K.; Ahmed, N.; Mir, J.I.; Verma, M.K.; Srivastava, K.K.; Focktoo, S.Z.; Rashid, R.; Andrabi, M.; Shafi, W. Detection of apple mosaic and chlorotic leaf spot viruses by DAS-ELISA from farmers orchards of Kashmir valley. Indian J. Hort. 2014, 71, 567–570. [Google Scholar]
- Katwal, V.S.; Handa, A.; Thakur, P.D.; Tomar, M. Prevalence and serological detection of apple viruses in Himachal Pradesh. Plant Pathol. J. 2016, 15, 40–48. [Google Scholar] [CrossRef]
- Nabi, S.U.; Baranwal, V.K.; Yadav, M.K.; Rao, G.P. Association of apple necrotic mosaic virus (ApNMV) with mosaic disease in commercially grown cultivars of apple (Malus domestica) in India. 3 Biotech 2020, 10, 122. [Google Scholar] [CrossRef] [PubMed]
- Akbas, B.; Degirmenci, K. Simultaneous detection of Apple mosaic virus in cultivated hazelnuts by one-tube RT-PCR. Afr. J. Biotechnol. 2010, 9, 1753–1757. [Google Scholar]
- Nabi, S.U.; Madhu, G.S.; Rao, G.P.; Baranwal, V.K. Development of multiplex RT-PCR assay for simultaneous detection of four viruses infecting apple (Malus domestica). Lett. Appl. Microbiol. 2021, 74, 586–592. [Google Scholar] [CrossRef]
- Yanase, H.; Sawamura, K.; Mink, G.I.; Yamaguchi, A. Viruses causing apple top-working disease (Taka tsugibyo) in Japan. IX International Symposium on Fruit Tree. Virus Dis. 1973, 44, 221–230. [Google Scholar]
- Desvignes, J.C.; Boye, R. Different diseases caused by the chlorotic leaf spot virus on the fruit trees. Acta Hortic. 1988, 235, 31–38. [Google Scholar] [CrossRef]
- Alfredo, D.L.; Kristian, S.; Vicki, K.; Deborah, G.; Al Rwahnih, M. Comprehensive Real-Time RT-PCR Assays for the Detection of Fifteen Viruses Infecting Prunus spp. Plants 2020, 9, 273. [Google Scholar]
- Kinard, G.R.; Scot, S.W.; Barnett, O.W. Detection of apple chlorotic leaf spot and apple stem grooving virus using RT-PCR. Plant Dis. 1996, 80, 616–621. [Google Scholar] [CrossRef]
- Grimova, L.; Winkowska, L.; Konrady, M.; Rysanek, P. Apple mosaic virus. Phytopathol. Mediterr. 2016, 55, 1–19. [Google Scholar]
- Cho, I.; Kwon, S.; Yoon, J.; Chung, B.; Hammond, J.; Lim, H. First report of apple necrotic mosaic virus infecting apple trees in korea. J. Plant Pathol. 2017, 99, 815. [Google Scholar]
- Livak, K.J.; Schmittgen, T.D. Analysis of relative gene expression data using real-time quantitative PCR and the 2(−Delta Delta C (T)) method. Methods 2001, 25, 402–408. [Google Scholar] [CrossRef]
- Way, R.D.; Aldwinckle, H.S.; Lamb, R.C.; Rejman, A.; Sansavini, S.; Shen, T.; Watkins, R.; Westwood, M.N.; Yoshida, Y. Apples (Malus). In Genetic Resources of Temperate Fruit and Nut Crops; Moore, J.N., Balington, J.R., Jr., Eds.; International Society of Horticultural Science: Wageningen, The Netherlands, 1990. [Google Scholar]
- Hu, Y.; Chen, J.; Fang, L.; Zhang, Z.; Ma, W.; Niu, Y. Gossypium barbadense and Gossypium hirsutum genomes provide insights into the origin and evolution of allotetraploid cotton. Nat. Genet. 2019, 51, 739–748. [Google Scholar] [CrossRef]
- Kokane, A.D.; Lawrence, K.; Kokane, S.B.; Gubyad, M.G.; Misra, P.; Reddy, M.K. Development of a SYBR Green-based RT-qPCR assay for the detection of Indian citrus ringspot virus. 3 Biotech 2021, 11, 359. [Google Scholar] [CrossRef]
- Ertunc, F.; Topkaya, S.; Sezer, A. Distribution and molecular detection of apple mosaic virus in apple and hazelnut in Turkey. Afr. J. Biotechnol. 2014, 13, 3144–3149. [Google Scholar]
- Boonham, N.; Kreuze, J.; Winter, S.; Van der Vlugt, R.; Bergervoet, J.; Tomilinson, J.; Mumford, R. Methods in virus diagnostics: From ELISA to next generation sequencing. Virus Res. 2014, 186, 20–31. [Google Scholar] [CrossRef] [PubMed]
- Kundu, J.K.; Svoboda, J.; Polak, J. Detection of apple stem grooving virus in different tissues of apple trees throughout the year. Plant Prot. Sci. 2003, 39, 93–96. [Google Scholar] [CrossRef]
- Fuchs, E.D.; Merker, D.; Kegler, G. Detection of apple chlorotic leaf spot virus, apple stem grooving virus and tomato bushy stunt virus with ELISA. Arch. Phytopathol. Plant Protect. 1979, 15, 421–424. [Google Scholar] [CrossRef]
- Nabi, S.U.; Mir, J.I.; Sharma, O.C.; Singh, D.B.; Zaffer, S.; Sheikh, M.A.; Masoodi, L.; Khan, K.A. Optimization of tissue and time for rapid serological and molecular detection of Apple stem pitting virus and Apple stem grooving virus in apple. Phytoparasitica 2018, 46, 705–713. [Google Scholar] [CrossRef]
- Tuttle, J.R.; Idris, A.M.; Brown, J.K.; Haigler, C.H.; Robertson, R. Geminivirus-mediated gene silencing from cotton leaf crumple virus is enhanced by low temperature in Gossypium hirsutum. Plant Physiol. 2008, 148, 41–50. [Google Scholar] [CrossRef] [PubMed]
- Mitra, D.; Kootstra, A. Isolation of RNA from apple skin. Plant Mol. Biol. Rep. 1993, 11, 326–332. [Google Scholar] [CrossRef]
- Menzel, W.; Jelkmann, W.; Maiss, E. Detection of four apple viruses by multiplex RT-PCR assays with coamplification of plant mRNA as internal control. J. Virol. Methods 2002, 99, 81–92. [Google Scholar] [CrossRef]
- Demeke, T.; Adams, R.P. The effect of plant polysaccharides and buffer additives on PCR. Biotechniques 1992, 12, 332–334. [Google Scholar] [PubMed]
- Pandey, R.N.; Adams, R.P.; Flournoy, L.E. Inhibition of random amplified polymorphic DNAs (RAPDs) by plant polysaccharides. Plant Mol. Biol. Rep. 1996, 14, 17–22. [Google Scholar] [CrossRef]
- Mumford, R.A.; Walsh, K.; Barker, I.; Boonham, N. Detection of potato mop top virus and tobacco rattle virus using a multiplex real-time fluorescent reverse-transcription polymerase chain reaction assay. Phytopathology 2000, 90, 448–453. [Google Scholar] [CrossRef] [PubMed]
- Weller, S.; Elphinstone, J.; Boonham, N.; Stead, D. Detection of Ralstonia solanacearum strains with a quantitative, multiplex, realtime, fluorogenic PCR (TaqMan) assay. Appl. Environ. Microbiol. 2000, 66, 2853–2858. [Google Scholar] [CrossRef]







| S. No. | Tissue | ApMV in Spring | ApNMV in Spring | ApMV in Summer | ApNMV in Summer | ApMV in Autumn | ApNMV in Autumn |
|---|---|---|---|---|---|---|---|
| 1 | Leaf | + | + | - | - | + | + |
| 2 | Flowers without petals | + | + | NA | NA | NA | NA |
| 3 | Petal | + | + | NA | NA | NA | NA |
| 4 | Pedicel | + | + | - | - | + | + |
| 5 | Bark | + | + | - | - | - | - |
| 6 | Fruit | NA | NA | - | - | - | - |
| 7 | Seed | NA | NA | + | + | - | - |
| Tissue | Virus | Average Relative Quantification of CP Gene (Spring Season) | Average Relative Quantification of CP Gene (Summer Season) | Average Relative Quantification of CP Gene (Autumn Season) | |||
|---|---|---|---|---|---|---|---|
| GD | OS | GD | OS | GD | OS | ||
| Leaf | ApMV | 100(PC) | 100(PC) | 25.8 | 9.18 | 100(PC) | 100(PC) |
| ApNMV | 100(PC) | 100(PC) | 26.4 | 7.4 | 100(PC) | 100(PC) | |
| Flower | ApMV | 15.8 | 113 | - | - | - | - |
| ApNMV | 0.05 | 27.1 | - | - | - | - | |
| Petal | ApMV | 4 | 82 | - | - | - | - |
| ApNMV | 23.9 | 54.3 | - | - | - | - | |
| Bark | ApMV | 24.4 | 71 | - | - | 2 | 1.5 |
| ApNMV | 42.6 | 102 | - | - | 11.5 | 10.35 | |
| Pedicel | ApMV | 1.3 | 6 | - | - | - | - |
| ApNMV | 34.3 | 51 | - | - | - | - | |
| Fruit | ApMV | - | - | 7.9 | 5.4 | 53.5 | 51.4 |
| ApNMV | - | - | 3.0 | 2.7 | 92 | 88.5 | |
| Seed | ApMV | - | - | 40 | 44.0 | 38.9 | 37.6 |
| ApNMV | - | - | 100(PC) | 100(PC) | 2 | 1.95 | |
| C.D. | 1.25 | 1.53 | 1.46 | 1.04 | 1.5 | 1.5 | |
| C.V. | 2.11 | 1.26 | 1.59 | 1.341 | 1.7 | 1.7 | |
| Detection of ApMV Using RT-PCR during Spring Season in Various Cultivars | Detection of ApNMV Using RT-PCR during Spring Season in Various Cultivars | |||||||||||||
|---|---|---|---|---|---|---|---|---|---|---|---|---|---|---|
| Tissues | OS | WRJ | GD | SE | GM | JE | A | OS | WRJ | GD | SE | GM | JE | A |
| Leaf | + | + | + | + | + | + | + | + | + | + | + | + | + | + |
| Flower | + | + | + | + | + | + | + | + | + | + | + | + | + | + |
| Petal | + | + | + | + | + | + | + | + | + | + | + | + | + | + |
| Pedicel | + | - | + | + | + | + | + | + | + | + | + | + | + | + |
| Bark | + | + | + | + | + | + | + | + | + | + | + | + | + | + |
| Detection of ApMV Using RT-PCR during Summer Season in Various Cultivars | Detection of ApMV Using RT-PCR during Summer Season in Various Cultivars | |||||||||||||
| Seed | + | + | + | + | + | + | + | + | + | + | + | + | + | - |
| Detection of ApMV Using RT-PCR during Autumn Season in Various Cultivars | Detection of ApMV Using RT-PCR during Autumn Season in Various Cultivars | |||||||||||||
| Leaf | + | + | + | + | + | + | + | + | + | + | + | + | + | + |
| Pedicel | + | + | + | + | + | + | + | + | + | + | + | + | + | + |
| Percent CP Expression of ApMV Using RT-qPCR during Spring Season in Various Cultivars | Percent CP Expression of ApNMV Using RT-qPCR during Spring Season in Various Cultivars | |||||||||||||
| Tissues | OS | WRJ | GD | SE | GM | JE | A | OS | WRJ | GD | SE | GM | JE | A |
| Leaf | 100(1) | 100(1) | 100(1) | 100(1) | 100(1) | 100(1) | 100(1) | 100(1) | 100(1) | 100(1) | 100(1) | 100(1) | 100(1) | 100(1) |
| Flower | 45.5(0.45) | 19.5(0.19) | 16.3(0.16) | 15.7(0.15) | 15.9(0.15) | 12.5(0.12) | 24.5(0.24) | 27.20(0.27) | 17.56(0.17) | 17.3(0.17) | 19.7(0.2) | 12.9(0.2) | 12.5(0.1) | 16.5(0.16) |
| Petal | 15.5(0.15) | 11.6(0.11) | 10.3(0.1) | 11.1(0.11) | 7.1(0.07) | 9.50(0.09) | 10.4(0.10) | 17.20(0.17) | 10.60(0.10) | 11.3(0.11) | 16.2(0.16) | 7.19(0.07) | 9.50(0.09) | 10.5(0.1) |
| Pedicel | 35.2(0.35) | 23.5(0.23) | 23.2(0.2) | 35.7(0.35) | 31.9(0.31) | 31.5(0.31) | 39.9(0.39) | 32.81(0.32) | 27.43(0.27) | 33.2(0.33) | 31.45(0.3) | 37.23(0.37) | 35.3(0.35) | 40.50(0.4) |
| Bark | 12.3(0.12) | 10.5(0.10) | 6.4(0.06) | 5.71(0.57) | 9.7(0.09) | 11.7(0.11) | 13.3(0.13) | 11.78(0.12) | 11.76(0.12) | 6.4(0.06) | 7.87(0.07) | 7.72(0.07) | 10.73(0.1) | 12.13(0.1) |
| Percent CP Expression of ApMV Using RT-qPCR during Summer Season in Various Cultivars | Percent CP Expression of ApNMV Using RT-qPCR during Summer Season in Various Cultivars | |||||||||||||
| Seed | 100(1) | 100(1) | 100(1) | 100(1) | 100(1) | 100(1) | 100(1) | 100(1) | 100(1) | 100(1) | 100(1) | 100(1) | 100(1) | 100(1) |
| Percent CP Expression of ApMV Using RT-qPCR during Autumn Season in Various Cultivars | Percent CP Expression of ApNMV Using RT-qPCR during Autumn Season in Various Cultivars | |||||||||||||
| Leaf | 100(1) | 100(1) | 100(1) | 100(1) | 100(1) | 100(1) | 100(1) | 100(1) | 100(1) | 100(1) | 100(1) | 100(1) | 100(1) | 100(1) |
| Pedicel | 20.10(0.2) | 23.5(0.23) | 22.8(0.2) | 19.8(0.2) | 21.5(0.2) | 18.9(0.19) | 18.8(0.19) | 26.10(0.26) | 29.6(0.3) | 27.8(0.28) | 29.8(0.3) | 22.5 | 28.9(0.29) | 25.8(0.26) |
Disclaimer/Publisher’s Note: The statements, opinions and data contained in all publications are solely those of the individual author(s) and contributor(s) and not of MDPI and/or the editor(s). MDPI and/or the editor(s) disclaim responsibility for any injury to people or property resulting from any ideas, methods, instructions or products referred to in the content. |
© 2023 by the authors. Licensee MDPI, Basel, Switzerland. This article is an open access article distributed under the terms and conditions of the Creative Commons Attribution (CC BY) license (https://creativecommons.org/licenses/by/4.0/).
Share and Cite
Nabi, S.U.; Mir, J.I.; Yasmin, S.; Din, A.; Raja, W.H.; Madhu, G.S.; Parveen, S.; Mansoor, S.; Chung, Y.S.; Sharma, O.C.; et al. Tissue and Time Optimization for Real-Time Detection of Apple Mosaic Virus and Apple Necrotic Mosaic Virus Associated with Mosaic Disease of Apple (Malus domestica). Viruses 2023, 15, 795. https://doi.org/10.3390/v15030795
Nabi SU, Mir JI, Yasmin S, Din A, Raja WH, Madhu GS, Parveen S, Mansoor S, Chung YS, Sharma OC, et al. Tissue and Time Optimization for Real-Time Detection of Apple Mosaic Virus and Apple Necrotic Mosaic Virus Associated with Mosaic Disease of Apple (Malus domestica). Viruses. 2023; 15(3):795. https://doi.org/10.3390/v15030795
Chicago/Turabian StyleNabi, Sajad Un, Javid Iqbal Mir, Salwee Yasmin, Ambreena Din, Wasim H. Raja, G. S. Madhu, Shugufta Parveen, Sheikh Mansoor, Yong Suk Chung, Om Chand Sharma, and et al. 2023. "Tissue and Time Optimization for Real-Time Detection of Apple Mosaic Virus and Apple Necrotic Mosaic Virus Associated with Mosaic Disease of Apple (Malus domestica)" Viruses 15, no. 3: 795. https://doi.org/10.3390/v15030795
APA StyleNabi, S. U., Mir, J. I., Yasmin, S., Din, A., Raja, W. H., Madhu, G. S., Parveen, S., Mansoor, S., Chung, Y. S., Sharma, O. C., Sheikh, M. A., Al-Misned, F. A., & El-Serehy, H. A. (2023). Tissue and Time Optimization for Real-Time Detection of Apple Mosaic Virus and Apple Necrotic Mosaic Virus Associated with Mosaic Disease of Apple (Malus domestica). Viruses, 15(3), 795. https://doi.org/10.3390/v15030795

