Dentin-Derived-Barrier Membrane in Guided Bone Regeneration: A Case Report
Abstract
1. Introduction
2. Materials and Methods
2.1. Preparation of Dentin-Derived-Barrier Membrane (DDB)
2.2. Surgical Procedure (Application of a DDB)
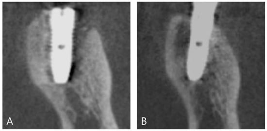
3. Results
4. Discussion
5. Conclusions
Author Contributions
Funding
Institutional Review Board Statement
Informed Consent Statement
Data Availability Statement
Conflicts of Interest
References
- Elgali, I.; Omar, O.; Dahlin, C.; Thomsen, P. Guided bone regeneration: Materials and biological mechanisms revisited. Eur. J. Oral Sci. 2017, 125, 315–337. [Google Scholar] [CrossRef] [PubMed]
- Kim, Y.-K.; Ku, J.-K. Fibcoms Guided bone regeneration. J. Korean Assoc. Oral Maxillofac. Surg. 2020, 46, 361–366. [Google Scholar] [CrossRef]
- Omar, O.; Elgali, I.; Dahlin, C.; Thomsen, P. Barrier membranes: More than the barrier effect? J. Clin. Periodontol. 2019, 46, 103–123. [Google Scholar] [CrossRef]
- Murata, M. Collagen biology for bone regenerative surgery. J. Korean Assoc. Oral Maxillofac. Surg. 2012, 38, 321–325. [Google Scholar] [CrossRef]
- Turri, A.; Elgali, I.; Vazirisani, F.; Johansson, A.; Emanuelsson, L.; Dahlin, C.; Thomsen, P.; Omar, O. Guided bone regeneration is promoted by the molecular events in the membrane compartment. Biomaterials 2016, 84, 167–183. [Google Scholar] [CrossRef]
- Li, W.; Ma, G.; Brazile, B.; Li, N.; Dai, W.; Butler, J.R.; Claude, A.A.; Wertheim, J.A.; Liao, J.; Wang, B. Investigating the Potential of Amnion-Based Scaffolds as a Barrier Membrane for Guided Bone Regeneration. Langmuir 2015, 31, 8642–8653. [Google Scholar] [CrossRef] [PubMed]
- Goldberg, M.; Kulkarni, A.B.; Young, M.; Boskey, A. Dentin: Structure, composition and mineralization. Front. Biosci. (Elite Ed). 2011, 3, 711–735. [Google Scholar] [CrossRef] [PubMed]
- Um, I.-W.; Ku, J.-K.; Lee, B.K.; Yun, P.-Y.; Lee, J.K.; Nam, J.-H. Postulated release profile of recombinant human bone morphogenetic protein-2 (rhBMP-2) from demineralized dentin matrix. J. Korean Assoc. Oral Maxillofac. Surg. 2019, 45, 123–128. [Google Scholar] [CrossRef] [PubMed]
- Kim, K.-W. Bone Induction by Demineralized Dentin Matrix in Nude Mouse Muscles. Maxillofac. Plast. Reconstr. Surg. 2014, 36, 50–56. [Google Scholar] [CrossRef]
- Kim, Y.K.; Kim, S.G.; Um, I.W.; Kim, K.W. Bone grafts using autogenous tooth blocks: A case series. Implant Dent. 2013, 22, 584–589. [Google Scholar] [CrossRef] [PubMed]
- Um, I.-W.; Ku, J.-K.; Kim, Y.-K.; Lee, B.-K.; Leem, D.H. Histological Review of Demineralized Dentin Matrix as a Carrier of rhBMP-2. Tissue Eng. Part. B Rev. 2020, 26, 284–293. [Google Scholar] [CrossRef]
- Kim, Y.K.; Fajardo, K.R.R.; Valera, A.J.O.; Um, I.W. Autogenous Tooth Bone Graft Block For Socket Preservation: A One-Stage Technique. Dentistry 2017, 07, 1–5. [Google Scholar] [CrossRef]
- Kim, Y.-K.; Pang, K.-M.; Yun, P.-Y.; Leem, D.-H.; Um, I.-W. Long-term follow-up of autogenous tooth bone graft blocks with dental implants. Clin. Case Rep. 2017, 5, 108–118. [Google Scholar] [CrossRef]
- Um, I.-W.; Ku, J.-K.; Kim, Y.-M.; Yun, P.-Y.; Chang, N.-H.; Kim, Y.-K.; Choi, Y. Allogeneic Demineralized Dentin Matrix Graft for Guided Bone Regeneration in Dental Implants. Appl. Sci. 2020, 10, 4661. [Google Scholar] [CrossRef]
- Tonetti, M.S.; Jung, R.E.; Avila-Ortiz, G.; Blanco, J.; Cosyn, J.; Fickl, S.; Figuero, E.; Goldstein, M.; Graziani, F.; Madianos, P.; et al. Management of the extraction socket and timing of implant placement: Consensus report and clinical recommendations of group 3 of the XV European Workshop in Periodontology. J. Clin. Periodontol. 2019, 46, 183–194. [Google Scholar] [CrossRef]
- Bessho, K.; Tanaka, N.; Matsumoto, J.; Tagawa, T.; Murata, M. Human Dentin-matrix-derived Bone Morphogenetic Protein. J. Dent. Res. 1991, 70, 171–175. [Google Scholar] [CrossRef] [PubMed]
- Avery, S.; Sadaghiani, L.; Sloan, A.; Waddington, R. Analysing the bioactive makeup of demineralised dentine matrix on bone marrow mesenchymal stem cells for enhanced bone repair. eCM 2017, 34, 1–14. [Google Scholar] [CrossRef] [PubMed]
- Kim, Y.-K.; Um, I.-W.; An, H.-J.; Kim, K.-W.; Hong, K.-S.; Murata, M. Effects of Demineralized Dentin Matrix Used as an rhBMP-2 Carrier for Bone Regeneration. J. Hard Tissue Biol. 2014, 23, 415–422. [Google Scholar] [CrossRef]
- Murata, M.; Akazawa, T.; Mitsugi, M.; Um, I.-W.; Kim, K.-W.; Kim, Y.-K. Human Dentin as Novel Biomaterial for Bone Regeneration; IntechOpen: London, UK, 2011; pp. 127–140. [Google Scholar]
- Register, A.A.; Scopp, I.W.; Kassouny, D.Y.; Pfau, F.R.; Peskin, D. Human Bone Induction by Allogeneic Dentin Matrix. J. Periodontol. 1972, 43, 459–467. [Google Scholar] [CrossRef]
- Knudsen, G.E.; Bang, G.; Kristoffersen, T. Implanting of allogenic demineralized dentin in human gingival tissue. J. Clin. Periodontol. 1974, 1, 153–159. [Google Scholar] [CrossRef] [PubMed]
- Morris, M.L. The Submucosal Implantation of Human Allogeneic Decalcified Dentin. J. Periodontol. 1978, 49, 36–38. [Google Scholar] [CrossRef] [PubMed]
- Nordenram, Å.; Bang, G. Reconstruction of the alveolar process by implantation of allogenic demineralized dentin. Oral Surg. Oral Med. Oral Pathol. 1975, 40, 48–50. [Google Scholar] [CrossRef]
- Nordenram, A.; Bang, G.; Bernhoft, C.H. A clinical-radiographic study of allogenic demineralized dentin implants in cystic jaw cavities. Int. J. Oral Surg. 1975, 4, 61–64. [Google Scholar] [CrossRef]
- Movin, S.; Borring-Moller, G. Regeneration of infrabony periodontal defects in humans after implantation of allogenic demineralized dentin. J. Clin. Periodontol. 1982, 9, 141–147. [Google Scholar] [CrossRef] [PubMed]
- Schwartz, O. Cell-mediated and humoral alloimmunreactions after subperiostal implantation of allogenic demineralized dentin in humans. Int. J. Oral Surg. 1983, 12, 95–105. [Google Scholar] [CrossRef]
- Fugazzotto, P.A.; De Paoli, S.; Benfenati, S.P. The use of allogenic freeze-dried dentin in the repair of periodontal osseous defects in humans. Quintessence Int. (Berlin Ger. 1985) 1986, 17, 461–477. [Google Scholar]
- Kim, Y.-K.; Kim, S.-G.; Lim, S.-C. Familial tooth bone graft for ridge and sinus augmentation: A report of two cases. J. Korean Assoc. Oral Maxillofac. Surg. 2014, 40, 37–42. [Google Scholar] [CrossRef]
- Kim, S.Y.; Kim, Y.K.; Um, I.W. Family tooth bone graft: Case observational study. J. Dent. Res. 2017, 36, 14–18. [Google Scholar]
- Kim, Y.-K.; Bang, K.-M.; Murata, M.; Mitsugi, M.; Um, I.-W. Retrospective Clinical Study of Allogenic Demineralized Dentin Matrix for Alveolar Bone Repair. J. Hard Tissue Biol. 2017, 26, 95–102. [Google Scholar] [CrossRef]
- Joshi, C.P.; D’Lima, C.B.; Samat, U.C.; Karde, P.A.; Patil, A.G.; Dani, N.H. Comparative alveolar ridge preservation using allogenous tooth graft versus free-dried bone allograft: A randomized, controlled, prospective, clinical pilot study. Contemp. Clin. Dent. 2017, 8, 211–217. [Google Scholar] [CrossRef]
- Joshi, C.P.; D’Lima, C.B.; Karde, P.A.; Mamajiwala, A.S. Ridge augmentation using sticky bone: A combination of human tooth allograft and autologous fibrin glue. J. Indian Soc. Periodontol. 2019, 23, 493–496. [Google Scholar] [PubMed]
- Butera, A.; Gallo, S.; Maiorani, C.; Molino, D.; Chiesa, A.; Preda, C.; Esposito, F.; Scribante, A. Probiotic Alternative to Chlorhexidine in Periodontal Therapy: Evaluation of Clinical and Microbiological Parameters. Microorganisms 2020, 9, 69. [Google Scholar] [CrossRef] [PubMed]
- Costa-Pinto, A.; Lemos, A.; Tavaria, F.; Pintado, M. Chitosan and Hydroxyapatite Based Biomaterials to Circumvent Periprosthetic Joint Infections. Materials 2021, 14, 804. [Google Scholar] [CrossRef] [PubMed]
- Tatullo, M.; Spagnuolo, G.; Codispoti, B.; Zamparini, F.; Zhang, A.; Degli Esposti, M.; Aparicio, C.; Rengo, C.; Nuzzolese, M.; Manzoli, L.; et al. PLA-Based Mineral-Doped Scaffolds Seeded with Human Periapical Cyst-Derived MSCs: A Promising Tool for Regenerative Healing in Dentistry. Materials 2019, 12, 597. [Google Scholar] [CrossRef]
- Marrelli, M.; Codispoti, B.; Shelton, R.M.; Scheven, B.A.; Cooper, P.R.; Tatullo, M.; Paduano, F. Dental Pulp Stem Cell Mechanoresponsiveness: Effects of Mechanical Stimuli on Dental Pulp Stem Cell Behavior. Front. Physiol. 2018, 9, 1685. [Google Scholar] [CrossRef] [PubMed]
- Ballini, A.; Boccaccio, A.; Saini, R.; Van Pham, P.; Tatullo, M. Dental-Derived Stem Cells and Their Secretome and Interactions with Bioscaffolds/Biomaterials in Regenerative Medicine: From the In Vitro Research to Translational Applications. Stem Cells Int. 2017, 2017, 1–3. [Google Scholar] [CrossRef]



Publisher’s Note: MDPI stays neutral with regard to jurisdictional claims in published maps and institutional affiliations. |
© 2021 by the authors. Licensee MDPI, Basel, Switzerland. This article is an open access article distributed under the terms and conditions of the Creative Commons Attribution (CC BY) license (https://creativecommons.org/licenses/by/4.0/).
Share and Cite
Ku, J.-K.; Um, I.-W.; Jun, M.-K.; Kim, I.-h. Dentin-Derived-Barrier Membrane in Guided Bone Regeneration: A Case Report. Materials 2021, 14, 2166. https://doi.org/10.3390/ma14092166
Ku J-K, Um I-W, Jun M-K, Kim I-h. Dentin-Derived-Barrier Membrane in Guided Bone Regeneration: A Case Report. Materials. 2021; 14(9):2166. https://doi.org/10.3390/ma14092166
Chicago/Turabian StyleKu, Jeong-Kui, In-Woong Um, Mi-Kyoung Jun, and Il-hyung Kim. 2021. "Dentin-Derived-Barrier Membrane in Guided Bone Regeneration: A Case Report" Materials 14, no. 9: 2166. https://doi.org/10.3390/ma14092166
APA StyleKu, J.-K., Um, I.-W., Jun, M.-K., & Kim, I.-h. (2021). Dentin-Derived-Barrier Membrane in Guided Bone Regeneration: A Case Report. Materials, 14(9), 2166. https://doi.org/10.3390/ma14092166

