Effect of Different Austempering Heat Treatments on Corrosion Properties of High Silicon Steel
Abstract
1. Introduction
2. Materials and Methods
- Normalizing: heating at 900 °C at 1 °C/s, 30 min holding time and air-cooling (10 °C/s);
- Austempering (Route 1): Pre-normalization treatment from 900 °C (30 min) and water-cooling. Heating at 780, 830, 850 °C for 30 min at 1 °C/s, air cooling at 10 °C/s to 350 °C and holding for 30 min followed by water-cooling to room temperature at 40 °C/s (Figure 1a);
- Austempering (Route 2): pre-normalization treatment from 900 °C (30 min) and water-cooling. Heating at 900 °C for 30 min at 1 °C/s, air cooling at 10 °C/s to 300, 350 and 400 °C and holding for 30 min followed by water-cooling to room temperature at 40 °C/s (Figure 1b).
3. Results and Discussion
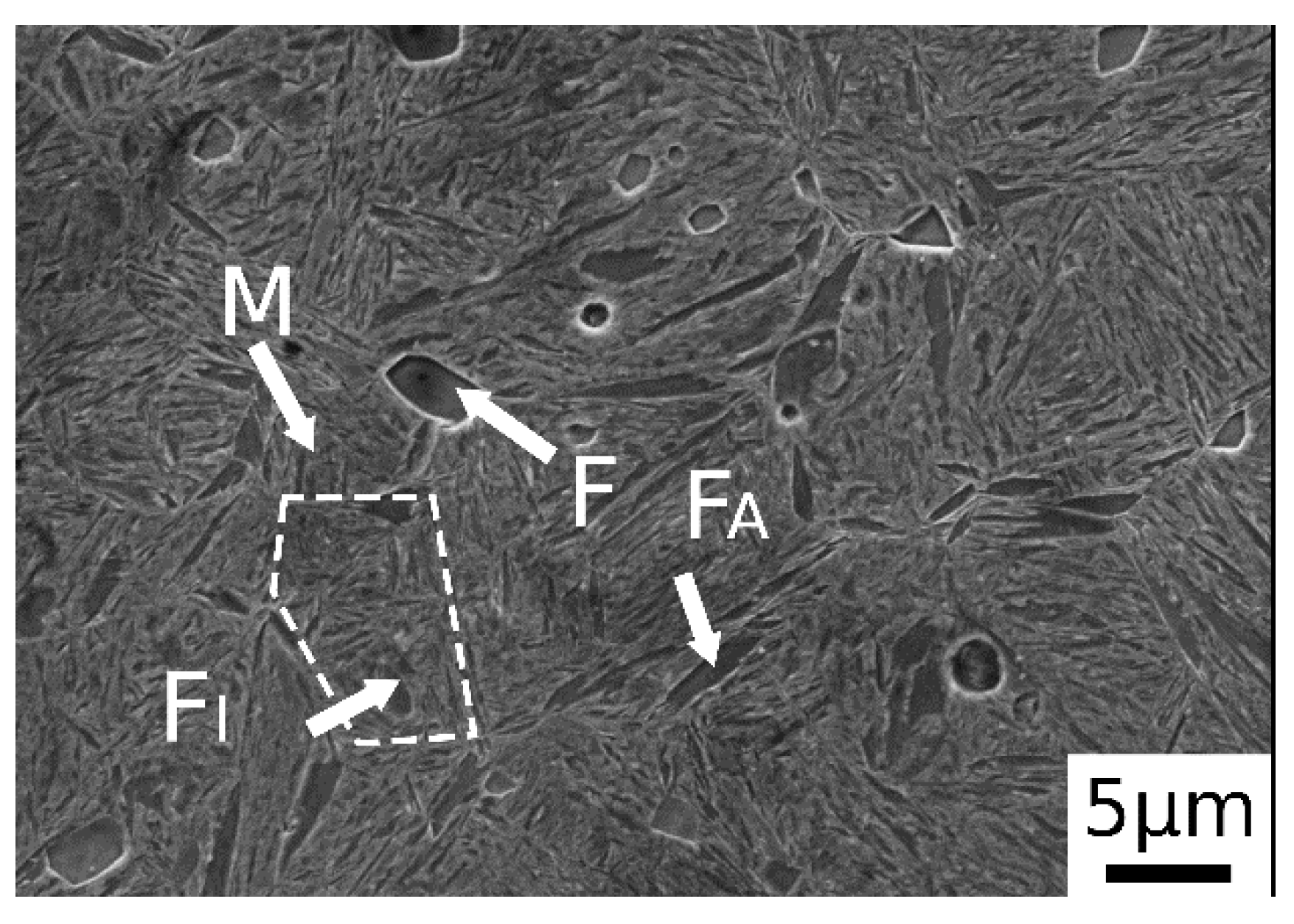
3.1. Microstructural Characterization
3.2. X-ray Diffraction
3.3. Corrosion Resistance
- (a)
- CR is the corrosion rate (mm/year);
- (b)
- Ki is a constant equal to 3.27 × 10−3;
- (c)
- Icorr is the current density (µA/cm2);
- (d)
- ρ is the material density, assumed equal to 7.8 g/cm3;
- (e)
- EW is the so-called equivalent weight, calculated according to (2),
4. Conclusions
- Austenitizing at 780 °C and austempering at 350 °C produced a dual-phase, ferritic-martensitic microstructure. By increasing the austempering temperature carbide-free bainite was formed, and, as the temperature increased, a coarsening of the bainitic sheaves was observed;
- Increasing the austenitizing temperature from 780 to 850 °C led to an increase in the retained austenite volume fraction, thanks to the increase in bainite amount, which favors carbon partitioning;
- At fixed austenitizing condition (900 °C), the bainite and RA amount increased with the austempering temperature up to 350 °C, whereas at 400 °C no bainite was found due to the absence of bainitic transformation, because 400 °C is above Bs;
- The corrosion resistance of the samples increased with the volume fraction of retained austenite;
- The variation in the corrosion properties, at 30 min of immersion in borate buffer solution, was not linked with variations in the protective properties of the oxide layer (Which did not change from EIS tests), but with the lower amount of residual stresses in the samples with higher amounts of retained austenite;
- The EIS tests, after 24 h of immersion in borate buffer solution, showed that the differences in the RA volume fraction did not produce differences in term of the polarization resistance of the oxide layer even after immersion. The polarization resistance, Ro, of the sample immersed for 24 h was higher than that of the sample after 30 min of immersion, due to the growth of a thicker passive film.
Author Contributions
Funding
Institutional Review Board Statement
Informed Consent Statement
Data Availability Statement
Conflicts of Interest
References
- Putatunda, S.K.; Singar, A.V.; Tackett, R.; Lawes, G. Development of a high strength high toughness ausferritic steel. Mater. Sci. Eng. A 2009, 513–514, 329–339. [Google Scholar] [CrossRef]
- Putatunda, S.K. Fracture toughness of a high carbon and high silicon steel. Mater. Sci. Eng. A 2001, 297, 31–43. [Google Scholar] [CrossRef]
- Changlea, Z.; Shouhai, L.; Hanguanga, F.; Yinghua, L. Microstructure evolution and wear resistance of high silicon bainitic steel after austempering. J. Mater. Res. Technol. 2020, 9, 4826–4839. [Google Scholar] [CrossRef]
- Fonstein, N. Advanced High Strength Sheet Steels: Physical Metallurgy, Design, Processing, and Properties; Springer: Cham, Switzerland, 2015; ISBN 9783319191652. [Google Scholar]
- Qian, L.; Zhou, Q.; Zhang, F.; Meng, J.; Zhang, M.; Tian, Y. Microstructure and mechanical properties of a low carbon carbide-free bainitic steel co-alloyed with Al and Si. Mater. Des. 2012, 39, 264–268. [Google Scholar] [CrossRef]
- Zhu, L.J.; Wu, D.; Zhao, X.M. Effect of silicon addition on recrystallization and phase transformation behavior of high-strength hot-rolled trip steel. Acta Metall. Sin. Engl. Lett. 2008, 21, 163–168. [Google Scholar] [CrossRef]
- de Oliveira, P.G.B.; Mariani, F.E.; Casteletti, L.C.; Itman Filho, A.; Neto, A.L.; Totten, G.E. Boro-Austempering Treatment of High-Strength Bainitic Steels. J. Mater. Eng. Perform. 2020, 29, 3486–3493. [Google Scholar] [CrossRef]
- Bahadur, S.; State, I.; Verhoeven, J.D.; State, I. Friction and wear behavior of high silicon bainitic structures in austempered cast iron and steel. Wear 1990, 138, 269–284. [Google Scholar]
- Pezzato, L.; Gennari, C.; Chukin, D.; Toldo, M.; Sella, F.; Toniolo, M.; Zambon, A.; Brunelli, K.; Dabalà, M. Study of the effect of multiple tempering on the impact toughness of forged s690 structural steel. Metals 2020, 10, 507. [Google Scholar] [CrossRef]
- Konstantinov, D.V.; Bzowski, K.; Korchunov, A.G.; Kuziak, R.; Pietrzyk, M.; Shiryaev, O.P. Multiscale Modelling of Structural and Phase Transformations in Steel During Drawing. Vestn. Nosov Magnitogorsk State Tech. Univ. 2016, 14, 90–98. [Google Scholar] [CrossRef]
- Konstantinov, D.V.; Korchunov, A.G. Multi-Scale Computer Simulation of Metal Forming Processes. Vestn. Nosov Magnitogorsk State Tech. Univ. 2015, 1, 36–43. [Google Scholar]
- Sherif, M.Y.; Mateo, C.G.; Sourmail, T.; Bhadeshia, H.K.D.H. Stability of retained austenite in TRIP-assisted steels. Mater. Sci. Technol. 2004, 20, 319–322. [Google Scholar] [CrossRef]
- Pereloma, E.V.; Gazder, A.A.; Timokhina, I.B. Addressing retained austenite stability in advanced high strength steels. In Proceedings of the Materials Science Forum, Saint-Petersburg, Russia, 9−16 September 2013; Volume 738–739, pp. 212–216. [Google Scholar]
- Podder, A.S.; Lonardelli, I.; Molinari, A.; Bhadeshia, H.K.D.H. Thermal stability of retained austenite in bainitic steel: An in situ study. R. Soc. A Math. Phys. Eng. Sci. 2011, 467, 3141–3156. [Google Scholar] [CrossRef]
- Efremenko, V.G.; Hesse, O.; Friedrich, T.; Kunert, M.; Brykov, M.N.; Shimizu, K.; Zurnadzhy, V.I.; Šuchmann, P. Two-body abrasion resistance of high-carbon high-silicon steel: Metastable austenite vs nanostructured bainite. Wear 2019, 418–419, 24–35. [Google Scholar] [CrossRef]
- Zhao, J.; Lv, B.; Zhang, F.; Yang, Z.; Qian, L.; Chen, C.; Long, X. Effects of austempering temperature on bainitic microstructure and mechanical properties of a high-C high-Si steel. Mater. Sci. Eng. A 2019, 742, 179–189. [Google Scholar] [CrossRef]
- Changle, Z.; Hanguang, F.; Shengqiang, M.; Jian, L.; Yongping, L. Microstructure and properties of high-Si high-Mn bainitic steel after heat treatment. Mater. Res. Express 2019, 6. [Google Scholar] [CrossRef]
- Palaksha, P.A.; Ravishankar, K.S. Influence of Austempering Heat Treatment on Microstructure and Mechanical Properties of Medium Carbon High Silicon Steel. IOP Conf. Ser. Mater. Sci. Eng. 2017, 225. [Google Scholar] [CrossRef]
- Son, J.Y.; Kim, J.H.; Kim, W.B.; Ye, B.J. Effects of austempering conditions on the microstructures and mechanical properties in Fe-0.9%C-2.3%Si-0.3%Mn steel. Met. Mater. Int. 2010, 16, 357–361. [Google Scholar] [CrossRef]
- Kumar, R.; Dwivedi, R.K.; Ahmed, S. Stability of Retained Austenite in Carbide Free Bainite during the Austempering Temperature and its Influence on Sliding Wear of High Silicon Steel. Silicon 2020. [Google Scholar] [CrossRef]
- Acharya, P.P.; Udupa, R.; Bhat, R. Microstructure and mechanical properties of austempered AISI 9255 high-silicon steel. Mater. Sci. Technol. 2018, 34, 355–365. [Google Scholar] [CrossRef]
- Zhao, J.; Li, J.; Ji, H.; Wang, T. Effect of austenitising temperature on mechanical properties of nanostructured bainitic steel. Materials 2017, 10, 874. [Google Scholar] [CrossRef] [PubMed]
- Franceschi, M.; Pezzato, L.; Gennari, C.; Fabrizi, A.; Polyakova, M.; Konstantinov, D.; Brunelli, K.; Dabalà, M. Effect of intercritical annealing and austempering on the microstructure and mechanical properties of a high silicon manganese steel. Metals 2020, 10, 1448. [Google Scholar] [CrossRef]
- Lucio-Garcia, M.A.; Gonzalez-Rodriguez, J.G.; Casales, M.; Martinez, L.; Chacon-Nava, J.G.; Neri-Flores, M.A.; Martinez-Villafañe, A. Effect of heat treatment on H2S corrosion of a micro-alloyed C-Mn steel. Corros. Sci. 2009, 51, 2380–2386. [Google Scholar] [CrossRef]
- Isfahany, A.N.; Saghafian, H.; Borhani, G. The effect of heat treatment on mechanical properties and corrosion behavior of AISI420 martensitic stainless steel. J. Alloys Compd. 2011, 509, 3931–3936. [Google Scholar] [CrossRef]
- Pezzato, L.; Lago, M.; Brunelli, K.; Breda, M.; Calliari, I. Effect of the Heat Treatment on the Corrosion Resistance of Duplex Stainless Steels. J. Mater. Eng. Perform. 2018, 27, 3859–3868. [Google Scholar] [CrossRef]
- Bignozzi, M.C.; Calcinelli, L.; Carati, M.; Ceschini, L.; Chiavari, C.; Masi, G.; Morri, A. Effect of Heat Treatment Conditions on Retained Austenite and Corrosion Resistance of the X190CrVMo20-4-1 Stainless Steel. Met. Mater. Int. 2019, 26, 1318–1328. [Google Scholar] [CrossRef]
- Hill, H.; Raab, U.; Weber, S.; Theisen, W.; Wollmann, M.; Wagner, L. Influence of heat treatment on the performance characteristics of a plastic mold steel. Steel Res. Int. 2011, 82, 1290–1296. [Google Scholar] [CrossRef]
- Candelária, A.F.; Pinedo, C.E. Influence of the heat treatment on the corrosion resistance of the martensitic stainless steel type AISI 420. J. Mater. Sci. Lett. 2003, 22, 1151–1153. [Google Scholar] [CrossRef]
- Han, C.F.; Wang, Q.Q.; Sun, Y.F.; Li, J. Effects of Molybdenum on the Wear Resistance and Corrosion Resistance of Carbidic Austempered Ductile Iron. Metallogr. Microstruct. Anal. 2015, 4, 298–304. [Google Scholar] [CrossRef]
- Modiano, S.; Fugivara, C.S.; Benedetti, A.V. Effect of citrate ions on the electrochemical behaviour of low-carbon steel in borate buffer solutions. Corros. Sci. 2004, 46, 529–545. [Google Scholar] [CrossRef]
- Yuan, L.; Liu, Q.; Li, H.; Gao, B. Effect of Austenitizing Temperature on the Bainitic Transformation in a High-Carbon High-Silicon Steel. Met. Sci. Heat Treat. 2015, 57, 156–160. [Google Scholar] [CrossRef]
- Podder, A.S.; Bhadeshia, H.K.D.H. Thermal Stability of Austenite Retained in Bainitic Steels. Mater. Sci. Eng. A 2010, 527, 2121–2128. [Google Scholar] [CrossRef]
- Putatunda, S.K. Influence of austempering temperature on microstructure and fracture toughness of a high-carbon, high-silicon and high-manganese cast steel. Mater. Des. 2003, 24, 435–443. [Google Scholar] [CrossRef]
- Moghaddam, P.V.; Hardell, J.; Vuorinen, E.; Prakash, B. Effect of retained austenite on adhesion-dominated wear of nanostructured carbide-free bainitic steel. Tribol. Int. 2020, 150, 106348. [Google Scholar] [CrossRef]
- Luo, Q. A new XRD method to quantify plate and lath martensites of hardened medium-carbon steel. J. Mater. Eng. Perform. 2016, 25, 2170–2179. [Google Scholar] [CrossRef]
- Hill, H.; Huth, S.; Weber, S.; Theisen, W. Corrosion properties of a plastic mould steel with special focus on the processing route. Mater. Corros. 2011, 62, 436–443. [Google Scholar] [CrossRef]
- Hsu, C.H.; Chen, M.L. Corrosion behavior of nickel alloyed and austempered ductile irons in 3.5% sodium chloride. Corros. Sci. 2010, 52, 2945–2949. [Google Scholar] [CrossRef]
- Yang, J.; Lu, Y.; Guo, Z.; Gu, J.; Gu, C. Corrosion behaviour of a quenched and partitioned medium carbon steel in 3.5 wt.% NaCl solution. Corros. Sci. 2018, 130, 64–75. [Google Scholar] [CrossRef]
- Aithal, P.M.; Vijayan, V.; Surendranathan, A.O.; Udupa, K.R.; Samuel, K.G. Corrosion behavior of high and low temperature austempered ductile iron (ADI) in iron ore slurry. Mater. Perform. Charact. 2017, 6, 369–378. [Google Scholar] [CrossRef]
- ASTM G102 Standard Practice for from Electrochemical Measurements. Astm 2015, 89, 1–7. [CrossRef]
- Pezzato, L.; Brunelli, K.; Dolcet, P.; Dabalà, M. Plasma electrolytic oxidation coating produced on 39NiCrMo3 steel. Surf. Coat. Technol. 2016, 307, 73–80. [Google Scholar] [CrossRef]
- Hamadou, L.; Kadri, A.; Benbrahim, N. Characterisation of passive films formed on low carbon steel in borate buffer solution (pH 9.2) by electrochemical impedance spectroscopy. Appl. Surf. Sci. 2005, 252, 1510–1519. [Google Scholar] [CrossRef]
- Oblonsky, L.J. A surfave enhanced Raman spectroscopic study of the passive films formed in borate buffer of iron, nickel, chromium and stainless steel. Science 1995, 37, 17–41. [Google Scholar]














| Fe | C | Si | Mn | P | S | Cr | Ni | Cu | Mo | Ti | V | Al |
|---|---|---|---|---|---|---|---|---|---|---|---|---|
| Balance | 0.430 | 3.260 | 2.720 | 0.010 | 0.008 | 0.043 | 0.074 | 0.060 | 0.022 | 0.001 | 0.005 | 0.105 |
| Heat Treatment Route | Treatment | Austenitizing (°C) (30 min) | Austempering (°C) (30 min) |
|---|---|---|---|
| - | Normalizing | 900 | - |
| 1 | 780 + 350 | 780 | 350 |
| 830 + 350 | 830 | 350 | |
| 850 + 350 | 850 | 350 | |
| 2 | 900 + 300 | 900 | 300 |
| 900 + 350 | 900 | 350 | |
| 900 + 400 | 900 | 400 |
| Heat Treatment | Retained Austenite (vol%) | Bainite/Ferrite (vol%) | Martensite (vol%) |
|---|---|---|---|
| 780 (30 min)+ air-cooling (10 °C/s) + 350 (30 min) (40 °C/s) water-cooling | 6.2 ± 0.3 | 45.8 ± 0.3 | 48.1 ± 0.3 |
| 830 (30 min)+ air-cooling (10 °C/s) + 350 (30 min) (40 °C/s) water-cooling | 8.7 ± 0.3 | 36.4 ± 0.3 | 54.9 ± 0.3 |
| 850 (30 min)+ air-cooling (10 °C/s) + 350 (30 min) (40 °C/s) water-cooling | 10.7 ± 0.3 | 40.2 ± 0.3 | 49.1 ± 0.3 |
| 900 (30 min)+ air cooling (10 °C/s) + 300 (30 min) (40 °C/s) water cooling | 2.7 ± 0.3 | 43 ± 0.3 | 54.3 ± 0.3 |
| 900 (30 min)+ air-cooling (10 °C/s) + 350 (30 min) (40 °C/s) water-cooling | 5.2 ± 0.3 | 24.4 ± 0.3 | 70.4 ± 0.3 |
| 900 (30 min)+ air-cooling (10 °C/s) + 400 (30 min) (40 °C/s) water-cooling | 1.2 ± 0.3 | 42.8 ± 0.3 | 56 ± 0.3 |
| Heat Treatment | Ecorr (V) | Icorr (µA/cm2) | Corrosion Rate (g/s × cm2) | Corrosion Rate (mm/year) |
|---|---|---|---|---|
| 780 (30 min)+ air-cooling (10 °C/s) + 350 (30 min) (40 °C/s) water-cooling | −0.63 | 3.5 ± 5% | 1.01 × 10−9 | 4.09 × 10−2 ± 5% |
| 830 (30 min)+ air-cooling (10 °C/s) + 350 (30 min) (40 °C/s) water-cooling | −0.35 | 2.5 ± 5% | 7.24 × 10−10 | 2.92 × 10−2 ± 5% |
| 850 (30 min)+ air-cooling (10 °C/s) + 350 (30 min) (40 °C/s) water-cooling | −0.47 | 2.3 ± 5% | 6.66 × 10−10 | 2.69 × 10−2 ± 5% |
| 900 (30 min)+ air-cooling (10 °C/s) + 300 (30 min) (40 °C/s) water-cooling | −0.56 | 5.0 ± 5% | 1.45 × 10−9 | 5.84 × 10−2 ± 5% |
| 900 (30 min)+ air-cooling (10 °C/s) + 350 (30 min) (40 °C/s) water-cooling | −0.48 | 4.6 ± 5% | 1.33 × 10−9 | 5.38 × 10−2 ± 5% |
| 900 (30 min)+ air-cooling (10 °C/s) + 400 (30 min) (40 °C/s) water-cooling | −0.65 | 3.2 ± 5% | 9.26 × 10−10 | 3.74 × 10−2 ± 5% |
| Normalized 900 (30 min), air-cooling | −0.87 | 18.0 ± 5% | 5.21 × 10−9 | 2.10 × 10−1 ± 5% |
| Equivalent Circuit Values | 850 °C 30 min-350 °C 30 min (30 min) | Normalized (30 min) | 850 °C 30 min-350 °C 30 min (24 h) | Normalized (24 h) |
|---|---|---|---|---|
| Rs (Ωcm2) | 57.81 | 54.40 | 86.38 | 86.40 |
| Q0 (F × Hz1-n) | 1.3 × 10−4 | 1.2 × 10−4 | 2.4 × 10−4 | 2.8 × 10−4 |
| nO | 0.74 | 0.69 | 0.70 | 0.68 |
| R0 (Ωcm2) | 286.90 | 290.70 | 3223 | 3210 |
| Χ2 | 1 × 10−3 | 1 × 10−3 | 1 × 10−3 | 1 × 10−3 |
Publisher’s Note: MDPI stays neutral with regard to jurisdictional claims in published maps and institutional affiliations. |
© 2021 by the authors. Licensee MDPI, Basel, Switzerland. This article is an open access article distributed under the terms and conditions of the Creative Commons Attribution (CC BY) license (http://creativecommons.org/licenses/by/4.0/).
Share and Cite
Franceschi, M.; Pezzato, L.; Settimi, A.G.; Gennari, C.; Pigato, M.; Polyakova, M.; Konstantinov, D.; Brunelli, K.; Dabalà, M. Effect of Different Austempering Heat Treatments on Corrosion Properties of High Silicon Steel. Materials 2021, 14, 288. https://doi.org/10.3390/ma14020288
Franceschi M, Pezzato L, Settimi AG, Gennari C, Pigato M, Polyakova M, Konstantinov D, Brunelli K, Dabalà M. Effect of Different Austempering Heat Treatments on Corrosion Properties of High Silicon Steel. Materials. 2021; 14(2):288. https://doi.org/10.3390/ma14020288
Chicago/Turabian StyleFranceschi, Mattia, Luca Pezzato, Alessio Giorgio Settimi, Claudio Gennari, Mirko Pigato, Marina Polyakova, Dmitry Konstantinov, Katya Brunelli, and Manuele Dabalà. 2021. "Effect of Different Austempering Heat Treatments on Corrosion Properties of High Silicon Steel" Materials 14, no. 2: 288. https://doi.org/10.3390/ma14020288
APA StyleFranceschi, M., Pezzato, L., Settimi, A. G., Gennari, C., Pigato, M., Polyakova, M., Konstantinov, D., Brunelli, K., & Dabalà, M. (2021). Effect of Different Austempering Heat Treatments on Corrosion Properties of High Silicon Steel. Materials, 14(2), 288. https://doi.org/10.3390/ma14020288

