Abstract
Reduction of a fracture may be relatively easy with a simple, noncomminuted fracture along the zygomaticofrontal suture, zygomaticomaxillary buttress, or the inferior rim of the orbit. When one or more of these key landmarks is comminuted, it becomes more important to confirm that the fracture commonly seen between the greater wing of the sphenoid and the zygoma is properly repositioned. The zygomaticosphenoidal suture is an excellent landmark with a simple lateral orbital wall fracture (LOWF), but it may not be reliable in patients with a comminuted fracture. The purpose of this study is to determine the frequency that the lateral orbital wall (LOW) is a reliable landmark in the reduction of a zygoma fracture by determining the ratio between simple versus comminuted LOWF. To identify 100 patients with a LOWF, the authors reviewed consecutive midface computed tomography images of 877 patients performed over a 25-month period from one of our city’s primary Level I trauma and teaching hospitals. A total of 121 LOWF were identified in 100 patients. In 60.3% of cases the facture was a simple, noncomminuted LOWF. In 39.7% of cases the fracture was comminuted (p ¼ 0.023). Simple LOWF are significantly more common than comminuted fractures. In 39.7% of fractures the LOW is comminuted. This suggests that there are many fractures in which other modalities may be much more important to use to confirm the proper reduction of the zygoma.
Facial fractures are a common result of trauma, with the leading causes being assault, motor vehicle collisions, falls, and sports [1,2]. The zygoma is one of the most common bones fractured in the face; second only to nasal fractures. Extensive literature exists discussing the incidence, evaluation, and treatment of zygoma fractures. The zygoma plays a crucial role in the anterior-posterior projection and width of the face and composes a significant portion of the lateral wall of the orbit; making it imperative to confirm accurate reduction and alignment of the zygoma to ensure a good aesthetic and functional outcome. Proper reduction of the zygoma is also important for restoration of the proper orbital volume [3].
A thorough knowledge of the anatomic landmarks surrounding the zygoma is necessary to understand how to confirm the proper reduction of zygoma fractures. The zygoma is bound by the maxilla, frontal, sphenoid, and temporal bones. Its relationship to the surrounding craniofacial skeleton creates the three dimensional structure of the orbit and defines the malar prominence. Accurate positioning of the zygoma can be achieved by confirming the alignment of the three buttresses; the zygomaticofrontal suture, the zygomaticomaxillary buttress, and the inferior rim of the orbit. The reduction and alignment of the zygomatic arch can be very helpful in assuring the proper anterior-posterior position of the zygoma, as well as the width of the midface, but generally requires a coronal incision, which can be associated with scar alopecia, temporal hollowing, and possible injury to the frontal branch of the facial nerve.
The single most important landmark to observe in the reduction of a zygoma fracture is to confirm the alignment of the lateral wall of the orbit. Reducing a zygoma fracture may be relatively easy when there is a simple, noncomminuted fracture line along the zygomaticofrontal suture, the zygomaticomaxillary prominences of the lateral midface column (zygomaticomaxillary buttress) or the inferior rim of the orbit. When one or more of these key landmarks is comminuted it becomes more important to visualize the lateral orbital wall (LOW) and confirm that the common fracture between the greater wing of the sphenoid and the zygoma is properly reduced to ensure that the zygoma has been properly repositioned.
The zygoma and greater wing of the sphenoid interface represents a large surface that defines the lateral wall and part of the lateral floor of the orbit. Fractures commonly occur along a somewhat curvilinear line near the articulation between the zygoma and the greater wing of the sphenoid. Proper repositioning of a displaced zygoma with the proper realignment of the lateral wall and orbital floor is of the utmost importance in defining the orbital volume. In patients with comminuted fractures of the other key landmarks along the orbital aperture and the anterior malar area, it is particularly important to confirm that this fracture line between the greater wing of the sphenoid and the zygoma is properly reduced [4,5].
In patients with simple, noncomminuted fractures of the LOW, the zygomaticosphenoidal suture line is an excellent landmark for confirming the reduction of the zygoma. This reference point is less reliable in patients who have comminuted factures of the lateral wall. The surgeon must then focus on other means to confirm a satisfactory reduction of the zygoma.
The purpose of this study was to determine the frequency that the LOW can be used as a reliable landmark in the reduction of a zygoma fracture by determining the ratio between simple lateral orbital wall fractures (LOWFs) and comminuted LOWF. The goal of this study was to compare the ratio of simple LOWF to comminuted LOWF in 100 patients.
Materials and Methods
Approval for this study was obtained from the institutional review board. A list was compiled of patients who had mid-face computed tomography (CT) imaging done at one of the primary Level I trauma and surgical teaching hospitals in the city. These images were then retrieved from the Department of Radiology and reviewed retrospectively.
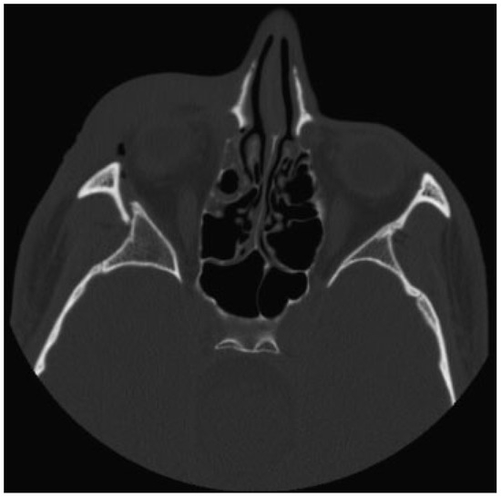
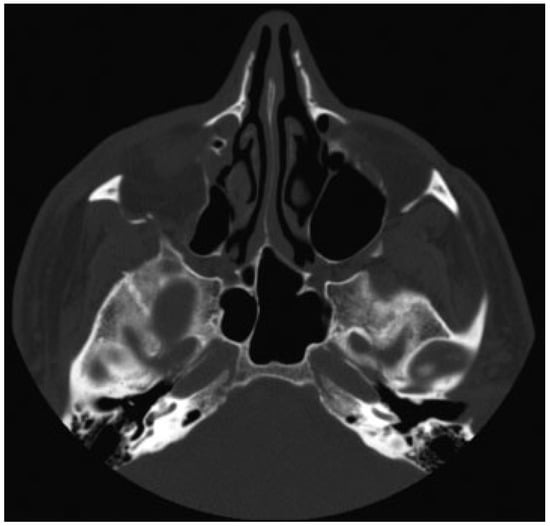
The authors defined simple LOWF as any fracture consisting of two boney pieces (Figure 1) and comminuted fractures as any fracture consisting of three or more pieces (Figure 2). Only patients who sustained fractures through primary trauma were included in this study. This excluded patients whose fractures were due to tumor resection or patients with a history of previous fractures of the lateral orbit. The senior investigator (W.S.) of this study identified the presence of all fractures, which were also confirmed upon review of the official radiology report.
Figure 1.
Simple lateral orbital wall fracture.
Figure 2.
Comminuted lateral orbital wall fracture.
To meet the goal of comparing 100 patients with facial fractures, the authors retrospectively reviewed consecutive midface CT images of 877 patients performed over a 25-month period. Patients were assigned to one of the three categories: no fracture, simple fracture, or comminuted fracture of the LOW. The ratio of fracture type between male and female patients was also compared, with the hypothesis that there would be a higher rate of LOWF in males compared with females. At last, the authors assessed if there was any association between the side of the face and type of fracture. Results were analyzed using the chi squared and binomial test (SPSS statistics 18, IBM, Armonk, New York). A p value ≤ 0.05 was considered significant.
Results
In the 100 patients identified with a LOWF there were a total of 121 fractures (Table 1). Out of which 73 fractures (60.3%) were simple and 48 fractures (39.7%) were comminuted (p ¼ 0.023). In the authors patient group 82 patients were male and 18 were female. Simple fractures were more common than comminuted fractures in males and females, 59/38 and 14/10, respectively, but this was not significantly different (p ¼ 0.823). The right and left side of the face had almost an equal incidence of simple and comminuted fractures (p ¼ 0.998, confidence interval 95%). When analyzing each side respectively, simple fractures were still more common than comminuted fractures.
Table 1.
Ratio of fracture type and comparison between sex and side of fracture.
Discussion
Zygoma fractures are a common result of facial trauma. Even a minor inaccurate reduction of the craniofacial skeleton can have a significant aesthetic, and in the case of the orbit walls, functional impact. The goal should be to perform a proper open reduction and internal fixation, and not an opening and internal fixation without reduction. As the zygoma is part of a three dimensional structure, its relationship to the other bones of the orbit, specifically in the lateral wall, helps confirm proper reduction in simple zygoma fractures.
The number of exposures needed to confirm the proper reduction of a zygoma fracture, and the number of plates or points of fixation needed to hold the reduction is controversial. Unlike mandible fractures, the stability of the reduction of the zygoma may be more dependent on the fracture patterns and the degree of comminution of these fractures, rather than the muscle forces pulling on the zygoma.
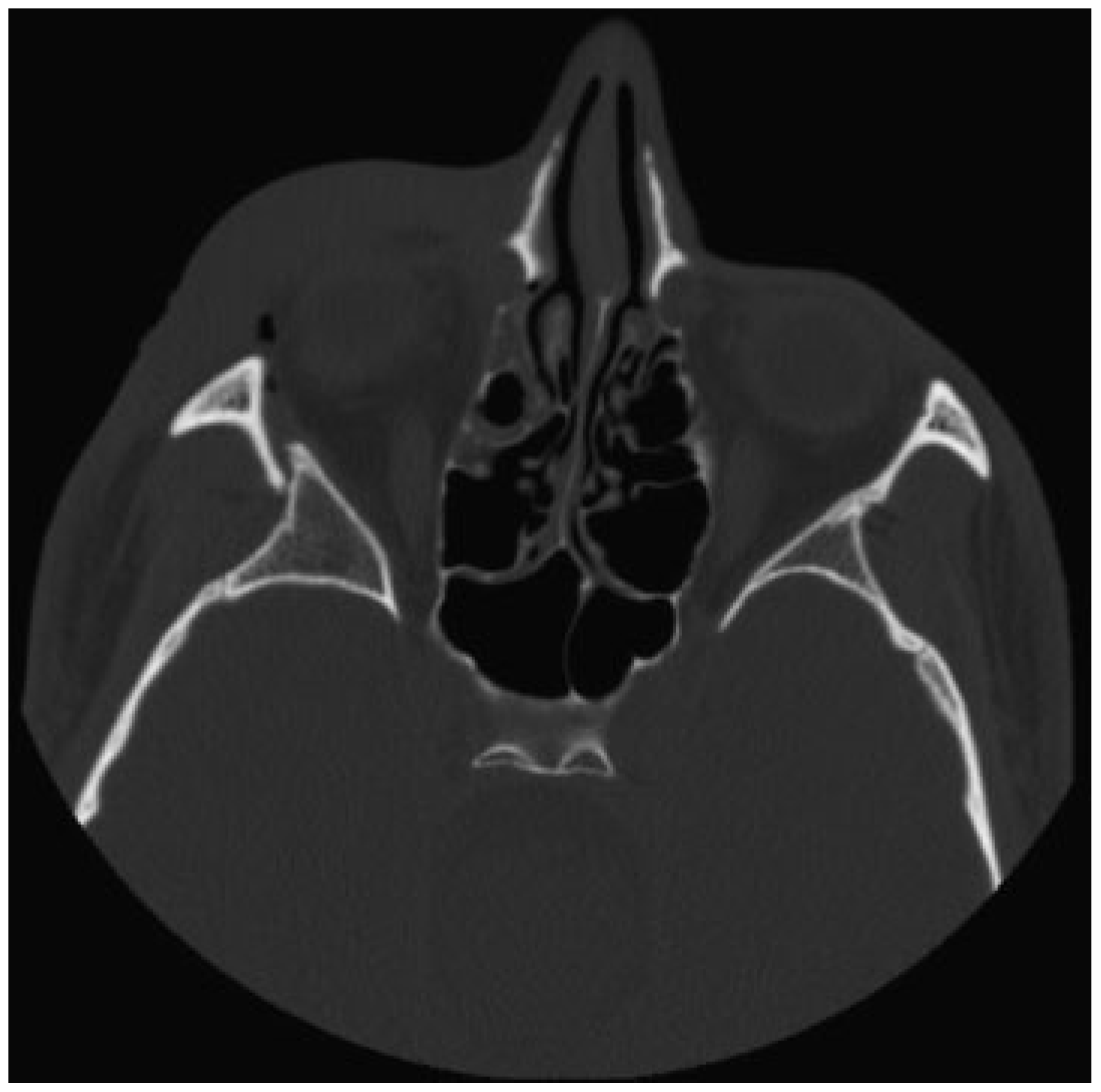
In cases where there is a simple fracture of the zygoma, and no comminution of the various zygomatic processes, the surgeon may be fairly certain of attaining a proper reduction of the zygoma without exploring the LOW (Figure 3). In cases where the zygomatic processes are comminuted, it will be much more difficult in assuring the three dimensional reduction of the zygoma and reduction will be less exact [6]. In these patients, dissection of the LOW, to confirm the proper alignment of the greater wing of the sphenoid and the zygoma, may be much more important (Figure 4).
Figure 3.
Simple fractures at the zygomatico processes and lateral orbital wall.
Figure 4.
Comminuted fracture at the zygomatico processes with simple lateral orbital wall fracture.
The results indicate that simple LOWF are significantly more common than comminuted fractures. Around 60% of the time proper reduction of the zygoma can be achieved by confirming reduction of the zygomaticosphenoidal suture line. In 40% of traumatic fracture, LOWF are comminuted and this simple landmark is destroyed (Figure 5). Comminuted fractures often require greater exposure than simple fractures to confirm a proper reduction, and the use of other modalities may also help in confirming a proper reduction.
Figure 5.
Comminuted fracture at the zyogmtico processes with comminuted lateral orbital wall fracture.
CT imaging is the preferred radiological method for assessing facial trauma [7,8] and is routinely used before surgery to assess the extent of injury. Computer aided design/modeling technology allows one to construct a three dimensional representation of the injury using the two dimensional CT images. This gives the surgeon a better representation of the extent of injury and helps determine a course of reconstruction.
Several studies suggest that postoperative radiography is not indicated and that clinical judgment and evaluation is superior for confirming zygoma reduction [9,10]. The best alternative is to confirm reduction before leaving the operating theater. Newer radiographic technology has made intraoperative imaging more convenient. Pohlenz et al. found that a C-arm prototype for intraoperative CT imaging is useful for confirming reduction of complex facial fractures [11]. The C-arm CT, or O-arm CT, is fairly simple to operative and is now readily available in most large institutions. Stanley showed that intraoperative imaging can guide the surgeon on necessary adjustments during the initial fracture repair [12]. The use of intraoperative imaging allowed them to perform adequate reduction of zygoma fractures using only a small lateral brow and upper buccal sulcus incision instead of the usual coronal incision with extended exposure. More advanced three dimensional imaging modalities such as the Stealth Station TREON (Medtronic, Minneapolis, Minnesota), VectorVision (Brain-LABORATORY, Heimstetten, Germany), and TBNavis surgical navigation system (Shanghai, China) have been used to confirm proper reduction intraoperatively [13,14,15]. These are significantly more advanced radiographic tools than a mobile C- or O-arm CT but they demonstrate an intraoperative means to confirm proper reduction of the zygomatic complex.
Intraoperative imaging and surgical navigation are likely to have a profound impact on our practice of surgery, and our abilities to consider performing fewer incisions for exposures to assure the proper reduction of various fractures. For those who do not have these technologies, taking advantage of dissection and exposure of the LOW to confirm the proper reduction of zygoma fractures is likely to be helpful in 60% of cases of significant zygomatic trauma where the zygomatic processes are also comminuted.
Conclusions
In approximately 60% of cases of fractures of the LOW, the fractures are simple, and it is possible to use this landmark to align the greater wing of the sphenoid with the zygoma to help confirm the proper reduction of a zygoma fracture. In approximately 40% of cases, the fractures of the LOW are comminuted. In these cases, observation of this landmark is less reliable in determining the proper reduction of the zygoma. In these cases, the use of other modalities such as the visualization of multiple other key landmarks to confirm a proper reduction is much more important. Helpful modalities could include visualization of the proper alignment and reduction of the zygomatic arch, intraoperative imaging, or the use of navigation. Confirming the proper reduction of the LOW will better reassure the proper repositioning of the zygoma and malar prominence, and the proper restoration of the orbital volume.
Note
This study was approved by the Region’s Hospital Institutional Review Board.
Financial Disclosures
None of the authors have any financial interests to disclose.
References
- Erdmann, D.; Follmar, K.E.; Debruijn, M.; et al. A retrospective analysis of facial fracture etiologies. Ann Plast Surg 2008, 60, 398–403. [Google Scholar] [CrossRef]
- Iida, S.; Kogo, M.; Sugiura, T.; Mima, T.; Matsuya, T. Retrospective analysis of 1502 patients with facial fractures. Int J Oral Maxillofac Surg 2001, 30, 286–290. [Google Scholar] [CrossRef]
- Gruss, J.S.; Van Wyck, L.; Phillips, J.H.; Antonyshyn, O. The importance of the zygomatic arch in complex midfacial fracture repair and correction of posttraumatic orbitozygomatic deformities. Plast Reconstr Surg 1990, 85, 878–890. [Google Scholar] [CrossRef] [PubMed]
- Kelly, K.J.; Manson, P.N.; Vander Kolk, C.A.; et al. Sequencing LeFort fracture treatment (Organization of treatment for a panfacial fracture). J Craniofac Surg 1990, 1, 168–178. [Google Scholar] [CrossRef] [PubMed]
- Zingg, M.; Laedrach, K.; Chen, J.; et al. Classification and treatment of zygomatic fractures: A review of 1025 cases. J Oral Maxillofac Surg 1992, 50, 778–790. [Google Scholar] [CrossRef] [PubMed]
- Stanley, R.B., Jr. The zygomatic arch as a guide to reconstruction of comminuted malar fractures. Arch Otolaryngol Head Neck Surg 1989, 115, 1459–1462. [Google Scholar] [CrossRef] [PubMed]
- Kaufman, Y.; Stal, D.; Cole, P.; Hollier, L., Jr. Orbitozygomatic fracture management. Plast Reconstr Surg 2008, 121, 1370–1374. [Google Scholar] [CrossRef] [PubMed]
- Kubal, W.S. Imaging of orbital trauma. Radiographics 2008, 28, 1729–1739. [Google Scholar] [CrossRef] [PubMed]
- Crighton, L.A.; Koppel, D.A. The value of postoperative radiographs in the management of zygomatic fractures: Prospective study. Br J Oral Maxillofac Surg 2007, 45, 51–53. [Google Scholar] [CrossRef] [PubMed]
- Bali, N.; Lopes, V. An audit of the effectiveness of postoperative radiographs—Do they make a difference? Br J Oral Maxillofac Surg 2004, 42, 331–334. [Google Scholar] [CrossRef] [PubMed]
- Pohlenz, P.; Blake, F.; Blessmann, M.; et al. Intraoperative cone-beam computed tomography in oral and maxillofacial surgery using a C-arm prototype: First clinical experiences after treatment of zygomaticomaxillary complex fractures. J Oral Maxillofac Surg 2009, 67, 515–521. [Google Scholar] [CrossRef] [PubMed]
- Stanley, R.B., Jr. Use of intraoperative computed tomography during repair of orbitozygomatic fractures. Arch Facial Plast Surg 1999, 1, 19–24. [Google Scholar] [CrossRef] [PubMed]
- Ogino, A.; Onishi, K.; Maruyama, Y. Intraoperative repositioning assessment using navigation system in zygomatic fracture. J Craniofac Surg 2009, 20, 1061–1065. [Google Scholar] [CrossRef] [PubMed]
- Westendorff, C.; Gülicher, D.; Dammann, F.; Reinert, S.; Hoffmann, J. Computer-assisted surgical treatment of orbitozygomatic fractures. J Craniofac Surg 2006, 17, 837–842. [Google Scholar] [CrossRef] [PubMed]
- Yu, H.; Shen, G.; Wang, X.; Zhang, S. Navigation-guided reduction and orbital floor reconstruction in the treatment of zygomatic-orbital-maxillary complex fractures. J Oral Maxillofac Surg 2010, 68, 28–34. [Google Scholar] [CrossRef] [PubMed]
© 2013 by the author. The Author(s) 2013.
