The Role of Sublobar Resection for the Surgical Treatment of Non-Small Cell Lung Cancer
Abstract
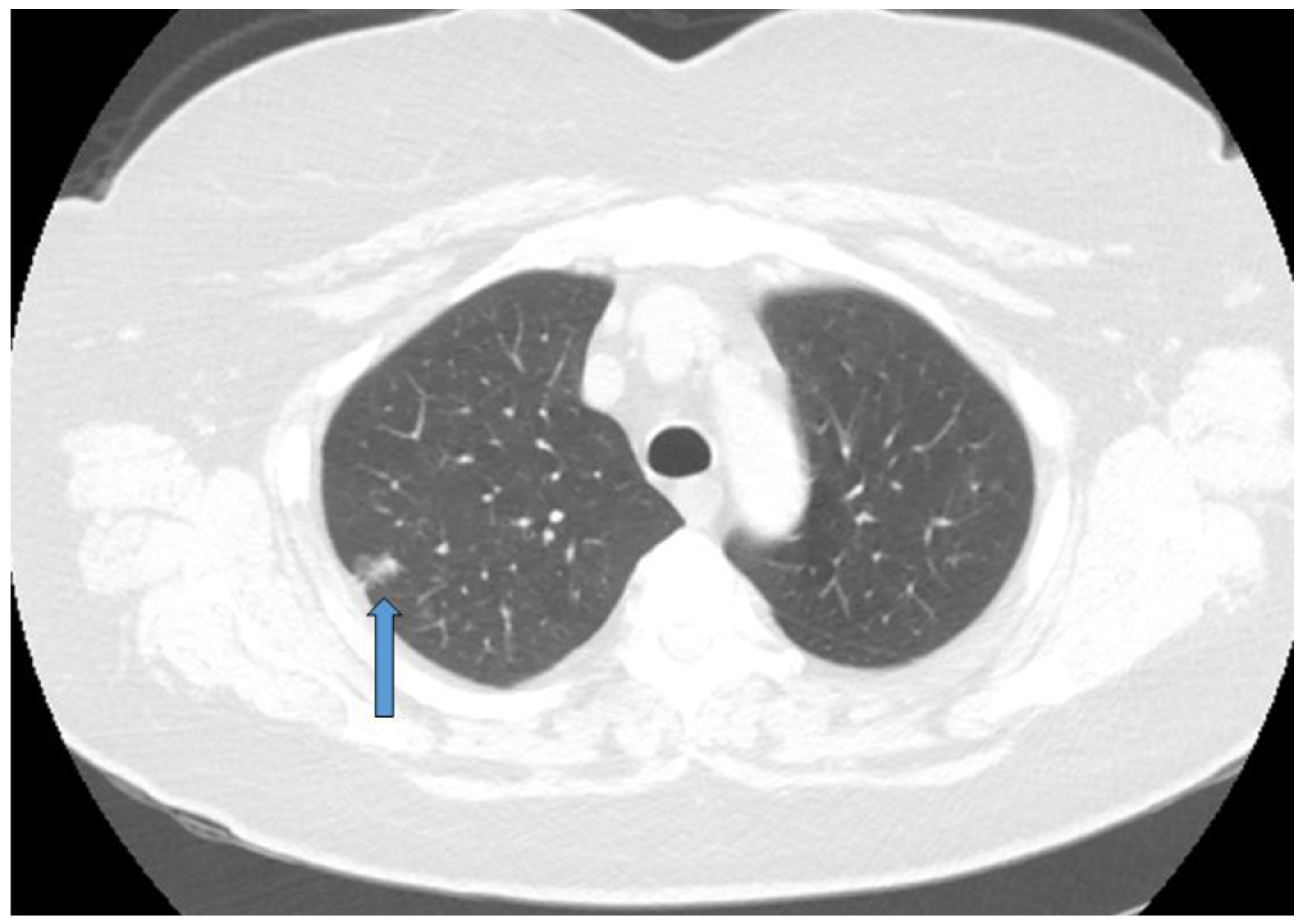
1. Introduction
1.1. Incidence
1.2. Mortality
1.3. Staging
1.4. Workup
2. Discussion
2.1. Historical Treatment Patterns
2.2. Newer Evidence Supporting Segmentectomy for Small Cancers
2.3. Challenges of Segmentectomy
2.4. Disparities in Lung Cancer Treatment
2.5. Potential Negative Consequences of Widespread Segmentectomy Adoption
2.6. Outcomes to Assess in the Future
2.7. Limitations
3. Conclusions
4. Future Directions
Author Contributions
Funding
Conflicts of Interest
References
- Siegel, R.L.; Miller, K.D.; Wagle, N.S.; Jemal, A. Cancer statistics, 2023. CA Cancer J. Clin. 2023, 73, 17–48. [Google Scholar] [CrossRef]
- Kohler, B.A.; Ward, E.; McCarthy, B.J.; Schymura, M.J.; Ries, L.A.; Eheman, C.; Jemal, A.; Anderson, R.N.; Ajani, U.A.; Edwards, B.K. Annual report to the nation on the status of cancer, 1975–2007, featuring tumors of the brain and other nervous system. J. Natl. Cancer Inst. 2011, 103, 714–736. [Google Scholar] [CrossRef]
- Jeon, J.; Holford, T.R.; Levy, D.T.; Feuer, E.J.; Cao, P.; Tam, J.; Clarke, L.; Clarke, J.; Kong, C.Y.; Meza, R. Smoking and lung cancer mortality in the United States from 2015 to 2065: A comparative modeling approach. Ann. Intern. Med. 2018, 169, 684–693. [Google Scholar] [CrossRef]
- Steinkamp, L.; Deuel, D.; Lucre, M.; Zavala, P. The interplay of diversity, equity and inclusion in addressing health inequities. WMJ 2021, 120, S54–S58. [Google Scholar]
- Kurani, S.S.; McCoy, R.G.; Lampman, M.A.; Doubeni, C.A.; Rutten, L.J.F.; Inselman, J.W.; Giblon, R.E.; Bunkers, K.S.; Stroebel, R.J.; Rushlow, D.; et al. Association of neighborhood measures of social determinants of health with breast, cervical and colorectal cancer screening rates in the US Midwest. JAMA Netw. Open 2020, 3, e200618. [Google Scholar] [CrossRef]
- Sartorius, B.; Sartorius, K. How much incident lung cancer was missed globally in 2012? An ecological country-level study. Geospat. Health 2016, 11, 396. [Google Scholar] [CrossRef]
- Alberg, A.J.; Samet, J.M. Epidemiology of lung cancer. Chest 2003, 123 (Suppl. S1), 21S–49S. [Google Scholar] [CrossRef] [PubMed]
- Wakelee, H.A.; Chang, E.T.; Gomez, S.L.; Keegan, T.H.; Feskanich, D.; Clarke, C.A.; Holmberg, L.; Yong, L.C.; Kolonel, L.N.; Gould, M.K.; et al. Lung cancer incidence in never smokers. J. Clin. Oncol. 2007, 25, 472–478. [Google Scholar] [CrossRef]
- Malvezzi, M.; Bertuccio, P.; Levi, F.; La Vecchia, C.; Negri, E. European cancer mortality predictions for the year 2012. Ann. Oncol. 2012, 23, 1044–1052. [Google Scholar] [CrossRef] [PubMed]
- Siegel, R.L.; Miller, K.D.; Jemal, A. Cancer statistics, 2018. CA Cancer J. Clin. 2018, 68, 7–30. [Google Scholar] [CrossRef] [PubMed]
- Goldstraw, P.; Chansky, K.; Crowley, J.; Rami-Porta, R.; Asamura, H.; Eberhardt, W.E.; Nicholson, A.G.; Groome, P.; Mitchell, A.; Bolejack, V.; et al. The IASLC Lung Cancer Staging Project: Proposals for Revision of the TNM Stage Groupings in the Forthcoming (Eighth) Edition of the TNM Classification for Lung Cancer. J. Thorac. Oncol. 2016, 11, 39–51. [Google Scholar] [CrossRef]
- American Cancer Society. Cancer Facts & Figures 2023. Available online: https://www.cancer.org/research/cancer-facts-statistics/all-cancer-facts-figures/2023-cancer-facts-figures.html (accessed on 18 May 2023).
- US Preventive Services Task Force. Screening for Lung Cancer: US Preventive Services Task Force Recommendation Statement. JAMA 2021, 325, 962–970. [Google Scholar] [CrossRef]
- Raman, V.; Jawitz, O.K.; Voigt, S.L.; Rhodin, K.E.; D’Amico, T.A.; Harpole, D.H.; Yang, C.F.J.; Tong, B.C. The Effect of Tumor Size and Histologic Findings on Outcomes After Segmentectomy vs Lobectomy for Clinically Node-Negative Non-Small Cell Lung Cancer. CHEST 2021, 159, 390–400. [Google Scholar] [CrossRef]
- Pennathur, A.; Brunelli, A.; Criner, G.J.; Keshavarz, H.; Mazzone, P.; Walsh, G.; Luketich, J.; Liptay, M.; Wafford, Q.E.; Murthy, S.; et al. Definition and assessment of high risk in patients considered for lobectomy for stage I non-small cell lung cancer: The American Association for Thoracic Surgery expert panel consensus document. J. Thorac. Cardiovasc. Surg. 2021, 162, 1605–1618.e6. [Google Scholar] [CrossRef]
- Cao, C.; Louie, B.E.; Melfi, F.; Veronesi, G.; Razzak, R.; Romano, G.; Novellis, P.; Ranganath, N.K.; Park, B.J. Impact of pulmonary function on pulmonary complications after robotic-assisted thoracoscopic lobectomy. Eur. J. Cardiothorac. Surg. 2020, 57, 338–342. [Google Scholar] [CrossRef]
- Altorki, N.; Kent, M.; Pasmantier, M. Detection of early-stage lung cancer: Computed tomographic scan or chest radiograph? J. Thorac. Cardiovasc. Surg. 2001, 121, 1053–1057. [Google Scholar] [CrossRef]
- Zhou, H.; Dong, D.; Chen, B.; Fang, M.; Cheng, Y.; Gan, Y.; Zhang, R.; Zhang, L.; Zang, Y.; Liu, Z.; et al. Diagnosis of Distant Metastasis of Lung Cancer: Based on Clinical and Radiomic Features. Transl. Oncol. 2018, 11, 31–36. [Google Scholar] [CrossRef]
- Kramer, H.; Groen, H.J. Current concepts in the mediastinal lymph node staging of non-small cell lung cancer. Ann. Surg. 2003, 238, 180–188. [Google Scholar] [CrossRef]
- Czarnecka-Kujawa, K.; Yasufuku, K. The role of endobronchial ultrasound versus mediastinoscopy for non-small cell lung cancer. J. Thorac. Dis. 2017, 9, S83–S97. [Google Scholar] [CrossRef]
- Liptay, M.J.; Basu, S.; Hoaglin, M.C.; Freedman, N.; Faber, L.P.; Warren, W.H.; Hammoud, Z.T.; Kim, A.W. Diffusion lung capacity for carbon monoxide (DLCO) is an independent prognostic factor for long-term survival after curative lung resection for cancer. J. Surg. Oncol. 2009, 100, 703–707. [Google Scholar] [CrossRef]
- Kamel, M.K.; Lee, B.; Harrison, S.W.; Port, J.L.; Altorki, N.K.; Stiles, B.M. Sublobar resection is comparable to lobectomy for screen-detected lung cancer. J. Thorac. Cardiovasc. Surg. 2022, 163, 1907–1915. [Google Scholar] [CrossRef]
- Divisi, D.; De Vico, A.; Zaccagna, G.; Crisci, R. Lobectomy versus sublobar resection in patients with non-small cell lung cancer: A systematic review. J. Thorac. Dis. 2020, 12, 3357–3362. [Google Scholar] [CrossRef]
- National Lung Screening Trial Research Team. Reduced lung-cancer mortality with low-dose computed tomography screening. N. Engl. J. Med. 2011, 365, 395–409. [Google Scholar] [CrossRef]
- Lee, E.; Kazerooni, E.A. Lung cancer screening. Semin. Respir. Crit. Care Med. 2022, 43, 839–850. [Google Scholar] [CrossRef]
- Okereke, I.C.; Bates, M.F.; Jankowich, M.D.; Rounds, S.I.; Kimble, B.A.; Baptiste, J.V.; Ng, T.T.; Nici, L.L. Effects of implementation of lung cancer screening at one veterans affairs medical center. Chest 2016, 150, 1023–1029. [Google Scholar] [CrossRef]
- Rudin, C.M.; Brambilla, E.; Faivre-Finn, C.; Sage, J. Small-cell lung cancer. Nat. Rev. Dis. Primers 2021, 7, 3. [Google Scholar] [CrossRef]
- Altorki, N.; Wang, X.; Kozono, D.; Watt, C.; Landrenau, R.; Wigle, D.; Port, J.; Jones, D.R.; Conti, M.; Ashrafi, A.S.; et al. Lobar or Sublobar Resection for Peripheral Stage IA Non-Small-Cell Lung Cancer. N. Engl. J. Med. 2023, 388, 489–498. [Google Scholar] [CrossRef]
- Zhang, B.; Liu, R.; Ren, D.; Li, X.; Wang, Y.; Huo, H.; Zhu, S.; Chen, J.; Song, Z.; Xu, S. Comparison of Lobectomy and Sublobar Resection for Stage IA Elderly NSCLC Patients (≥70 Years): A Population-Based Propensity Score Matching’s Study. Front. Oncol. 2021, 11, 610638. [Google Scholar] [CrossRef]
- Ginsberg, R.J.; Rubinstein, L.V.; Lung Cancer Study Group. Randomized trial of lobectomy versus limited resection for T1 N0 non-small cell lung cancer. Ann. Thorac. Surg. 1995, 60, 615–623. [Google Scholar] [CrossRef]
- Berry, M.F.; D’Amico, T.A.; Onaitis, M.W.; Kelsey, C.R. Thoracoscopic approach to lobectomy for lung cancer does not compromise oncologic efficacy. Ann. Thorac. Surg. 2014, 98, 197–202. [Google Scholar] [CrossRef]
- Saji, H.; Okada, M.; Tsuboi, M.; Nakajima, R.; Suzuki, K.; Aokage, K.; Aoki, T.; Okami, J.; Yoshino, I.; Ito, H.; et al. Segmentectomy versus lobectomy in small-sized peripheral non-small-cell lung cancer (JCOG0802/WJOG4607L): A multicentre, open-label, phase 3, randomised, controlled, non-inferiority trial. Lancet 2022, 399, 1607–1617. [Google Scholar] [CrossRef]
- Stamatis, G.; Leschber, G.; Schwarz, B.; Brintrup, D.L.; Flossdorf, S.; Passlick, B.; Hecker, E.; Kugler, C.; Eichhorn, M.; Krbek, T.; et al. Survival outcomes in a prospective randomized multicenter Phase III trial comparing patients undergoing anatomical segmentectomy versus standard lobectomy for non-small cell lung cancer up to 2 cm. Lung Cancer 2022, 172, 108–116. [Google Scholar] [CrossRef]
- Onaitis, M.W.; Furnary, A.P.; Kosinski, A.S.; Feng, L.; Boffa, D.; Tong, B.C.; Cowper, P.; Jacobs, J.P.; Wright, C.D.; Habib, R.; et al. Equivalent Survival Between Lobectomy and Segmentectomy for Clinical Stage IA Lung Cancer. Ann. Thorac. Surg. 2020, 110, 1882–1891. [Google Scholar] [CrossRef]
- Landreneau, R.J.; Normolle, D.P.; Christie, N.A.; Awais, O.; Wizorek, J.J.; Abbas, G.; Pennathur, A.; Shende, M.; Weksler, B.; Luketich, J.D.; et al. Recurrence and Survival Outcomes After Anatomic Segmentectomy Versus Lobectomy for Clinical Stage I Non–Small-Cell Lung Cancer: A Propensity-Matched Analysis. J. Clin. Oncol. 2014, 32, 2449–2455. [Google Scholar] [CrossRef]
- Fiorelli, A.; Caronia, F.P.; Daddi, N.; Loizzi, D.; Ampollini, L.; Ardò, N.; Ventura, L.; Carbognani, P.; Potenza, R.; Ardissone, F.; et al. Sublobar resection versus lobectomy for stage I non-small cell lung cancer: An appropriate choice in elderly patients? Surg. Today 2016, 46, 1370–1382. [Google Scholar] [CrossRef]
- Razi, S.S.; John, M.M.; Sainathan, S.; Stavropoulos, C. Sublobar resection is equivalent to lobectomy for T1a non-small cell lung cancer in the elderly: A Surveillance, Epidemiology and End Results database analysis. J. Surg. Res. 2016, 200, 683–689. [Google Scholar] [CrossRef]
- Dell’Amore, A.; Monteverde, M.; Martucci, N.; Sanna, S.; Caroli, G.; Dolci, G.; Dell’Amore, D.; Rocco, G. Lobar and sub-lobar resection in octogenarians with early stage non-small cell lung cancer: Factors affecting surgical outcomes and long-term results. Gen. Thorac. Cardiovasc. Surg. 2015, 63, 222–230. [Google Scholar] [CrossRef]
- Liu, T.; Liu, H.; Li, Y. Early lung cancer in the elderly: Sublobar resection provides equivalent long-term survival in comparison with lobectomy. Contemp. Oncol. 2014, 18, 111–115. [Google Scholar] [CrossRef]
- Zhang, Z.; Feng, H.; Zhao, H.; Hu, J.; Liu, L.; Liu, Y.; Li, X.; Xu, L.; Li, Y.; Lu, X.; et al. Sublobar resection is associated with better postoperative outcomes in elderly patients with clinical stage I non-small cell lung cancer: A multicenter retrospective cohort study. J. Thorac. Dis. 2019, 11, 1838–1848. [Google Scholar] [CrossRef]
- Forster, C.; Abdelnour-Berchtold, E.; Bédat, B.; Perentes, J.Y.; Zellweger, M.; Sauvain, M.O.; Christodoulou, M.; Triponez, F.; Karenovics, W.; Krueger, T.; et al. Local control and short-term outcomes after video-assisted thoracoscopic surgery segmentectomy versus lobectomy for pT1c pN0 non-small-cell lung cancer. Interdiscip. Cardiovasc. Thorac. Surg. 2023, 36, ivad037. [Google Scholar] [CrossRef]
- Okami, J.; Ito, Y.; Higashiyama, M.; Nakayama, T.; Tokunaga, T.; Maeda, J.; Kodama, K. Sublobar resection provides an equivalent survival after lobectomy in elderly patients with early lung cancer. Ann. Thorac. Surg. 2010, 90, 1651–1656. [Google Scholar] [CrossRef]
- Altorki, N.K.; Wang, X.; Wigle, D.; Gu, L.; Darling, G.; Ashrafi, A.S.; Landrenau, R.; Miller, D.; Liberman, M.; Jones, D.R.; et al. Perioperative mortality and morbidity after sublobar versus lobar resection for early-stage non-small-cell lung cancer: Post-hoc analysis of an international, randomised, phase 3 trial (CALGB/Alliance 140503). Lancet Respir. Med. 2018, 6, 915–924. [Google Scholar]
- Okami, J. Treatment strategy and decision-making for elderly surgical candidates with early lung cancer. J. Thorac. Dis. 2018, 11, S987–S997. [Google Scholar] [CrossRef]
- Liu, Y.; Shen, J.; Liu, L.; Shan, L.; He, J.; He, Q.; Jiang, L.; Guo, M.; Chen, X.; Pan, H.; et al. Impact of examined lymph node counts on survival of patients with stage IA non-small cell lung cancer undergoing sublobar resection. J. Thorac. Dis. 2018, 10, 6569–6577. [Google Scholar] [CrossRef]
- Shiono, S.; Okumura, T.; Boku, N.; Hishida, T.; Ohde, Y.; Sakao, Y.; Yoshiya, K.; Hyodo, I.; Mori, K.; Kondo, H. Outcomes of segmentectomy and wedge resection for pulmonary metastases from colorectal cancer. Eur. J. Cardiothorac. Surg. 2017, 51, 504–510. [Google Scholar] [CrossRef]
- Zhao, M.; Lu, T.; Huang, Y.; Yin, J.; Jiang, T.; Li, M.; Yang, X.; Zhan, C.; Feng, M.; Wang, Q. Survival and long-term cause-specific mortality associated with stage IA lung adenocarcinoma after wedge resection vs. segmentectomy: A population-based propensity score matching and competing risk analysis. Front. Oncol. 2019, 9, 593. [Google Scholar] [CrossRef]
- Yendamuri, S.; Sharma, R.; Demmy, M.; Groman, A.; Hennon, M.; Dexter, E.; Nwogu, C.; Miller, A.; Demmy, T. Temporal trends in outcomes following sublobar and lobar resections for small (≤2 cm) non-small cell lung cancers—a Surveillance Epidemiology End Results database analysis. J. Surg. Res. 2013, 183, 27–32. [Google Scholar] [CrossRef]
- Schuchert, M.J.; Kilic, A.; Pennathur, A.; Nason, K.S.; Wilson, D.O.; Luketich, J.D.; Landreneau, R.J. Oncologic outcomes after surgical resection of subcentimeter non-small cell lung cancer. Ann. Thorac. Surg. 2011, 91, 1681–1688. [Google Scholar] [CrossRef]
- Keenan, R.J.; Landreneau, R.J.; Maley, R.H., Jr.; Singh, D.; Macherey, R.; Bartley, S.; Santucci, T. Segmental resection spares pulmonary function in patients with stage I lung cancer. Ann. Thorac. Surg. 2004, 78, 228–233. [Google Scholar] [CrossRef]
- Okada, M.; Yoshikawa, K.; Hatta, T.; Tsubota, N. Is segmentectomy with lymph node assessment an alternative to lobectomy for non-small cell lung cancer of 2 cm or smaller? Ann. Thorac. Surg. 2001, 71, 956–960. [Google Scholar] [CrossRef]
- Altorki, N.K.; Yip, R.; Hanaoka, T.; Bauer, T.; Aye, R.; Kohman, L.; Sheppard, B.; Thurer, R.; Andaz, S.; Smith, M.; et al. Sublobar resection is equivalent to lobectomy for clinical stage 1A lung cancer in solid nodules. J. Thorac. Cardiovasc. Surg. 2014, 147, 754–764. [Google Scholar] [CrossRef]
- Li, C.; Zheng, B.; Yu, Q.; Yang, B.; Liang, C.; Liu, Y. Augmented reality and 3-dimensional printing technologies for guiding complex thoracoscopic surgery. Ann. Thorac. Surg. 2021, 112, 1624–1631. [Google Scholar] [CrossRef]
- Motono, N.; Iwai, S.; Funasaki, A.; Sekimura, A.; Usuda, K.; Uramoto, H. Low-dose indocyanine green fluorescence-navigated segmentectomy: Prospective analysis of 20 cases and reviews of previous reports. J. Thorac. Dis. 2019, 11, 702–707. [Google Scholar] [CrossRef]
- Harrison, S.; Judd, J.; Chin, S.; Ragin, C. Disparities in lung cancer treatment. Curr. Oncol. Rep. 2022, 24, 241–248. [Google Scholar] [CrossRef]
- Ryan, B.M. Lung cancer health disparities. Carcinogenesis 2018, 39, 741–751. [Google Scholar] [CrossRef] [PubMed]
- Ou, S.H.; Ziogas, A.; Zell, J.A. Prognostic factors for survival in extensive stage small cell lung cancer (ED-SCLC): The importance of smoking history, socioeconomic status and marital statuses and ethnicity. J. Thorac. Oncol. 2009, 4, 37–43. [Google Scholar] [CrossRef]
- Greenwald, H.P.; Polissar, N.L.; Borgatta, E.F.; McCorkle, R.; Goodman, G. Social factors, treatment and survival in early-stage non-small cell lung cancer. Am. J. Public Health 1998, 88, 1681–1684. [Google Scholar] [CrossRef]
- Finke, I.; Behrens, G.; Weisser, L.; Brenner, H.; Jansen, L. Socioeconomic differences and lung cancer survival-systematic review and meta-analysis. Front. Oncol. 2018, 8, 536. [Google Scholar] [CrossRef]
- Groth, S.S.; Al-Refaie, W.B.; Zhong, W.; Vickers, S.M.; Maddaus, M.A.; D’Cunha, J.; Habermann, E.B. Effect of insurance status on the surgical treatment of early-stage non-small cell lung cancer. Ann. Thorac. Surg. 2013, 95, 1221–1226. [Google Scholar] [CrossRef] [PubMed]
- Herndon, J.E.; Kornblith, A.B.; Holland, J.C.; Paskett, E.D. Patient education level as a predictor of survival in lung cancer clinical trials. J. Clin. Oncol. 2008, 26, 4116–4123. [Google Scholar] [CrossRef] [PubMed]
- Narayan, A.K.; Chowdhry, D.N.; Fintelmann, F.J.; Little, B.P.; Shepard, J.A.O.; Flores, E.J. Racial and ethnic disparities in lung cancer screening eligibility. Radiology 2021, 301, 712–720. [Google Scholar] [CrossRef]
- Tannenbaum, S.L.; Koru-Sengul, T.; Zhao, W.; Miao, F.; Byrne, M.M. Survival disparities in non-small cell lung cancer by race, ethnicity and socioeconomic status. Cancer J. 2014, 20, 37–45. [Google Scholar] [CrossRef]
- Soneji, S.; Tanner, N.T.; Silvestri, G.A.; Lathan, C.S.; Black, W. Racial and ethnic disparities in early-stage lung cancer survival. CHEST 2017, 152, 587–597. [Google Scholar] [CrossRef] [PubMed]
- Sesti, J.; Sikora, T.J.; Turner, D.S.; Turner, A.L.; Langan, R.C.; Nguyen, A.B.; Paul, S. Disparities in follow-up after low-dose lung cancer screening. Semin. Thorac. Cardiovasc. Surg. 2020, 32, 1058–1063. [Google Scholar] [CrossRef] [PubMed]
- Shin, D.; Fishman, M.D.; Ngo, M.; Wang, J.; LeBedis, C.A. The impact of social determinants of health on lung cancer screening utilization. J. Am. Coll. Radiol. 2022, 19, 122–130. [Google Scholar] [CrossRef] [PubMed]
- Balekian, A.A.; Wisnivesky, J.P.; Gould, M.K. Surgical disparities among patients with stage I lung cancer in the National Lung Screening Trial. CHEST 2019, 155, 44–52. [Google Scholar] [CrossRef]
- Namburi, N.; Timsina, L.; Ninad, N.; Ceppa, D.; Birdas, T. The impact of social determinants of health on management of stage I non-small cell lung cancer. Am. J. Surg. 2022, 223, 1063–1066. [Google Scholar] [CrossRef]
- Heiden, B.T.; Eaton, D.B., Jr.; Chang, S.H.; Yan, Y.; Baumann, A.A.; Schoen, M.W.; Patel, M.R.; Kreisel, D.; Nava, R.G.; Meyers, B.F.; et al. Racial disparities in the surgical treatment of clinical stage I non-small cell lung cancer among veterans. CHEST 2022, 162, 920–929. [Google Scholar] [CrossRef]
- Osarogiagbon, R.U.; Sineshaw, H.M.; Lin, C.C.; Jemal, A. Institutional-Level Differences in Quality and Outcomes of Lung Cancer Resections in the United States. CHEST 2021, 159, 1630–1641. [Google Scholar] [CrossRef] [PubMed]
- Toubat, O.; Farias, A.J.; Atay, S.M.; McFadden, P.M.; Kim, A.W.; David, E.A. Disparities in the surgical management of early stage non-small cell lung cancer: How far have we come? J. Thorac. Dis. 2019, 11, S596–S611. [Google Scholar] [CrossRef]
- Mack, S.J.; Till, B.M.; Huang, C.; Yang, C.F.J.; Grenda, T.; Evans, N.R.; Okusanya, O. Characteristics of High-Volume Lung Segmentectomy Hospitals: A Propensity Score-Matched Analysis. Clin. Lung Cancer 2022, 23, 600–607. [Google Scholar] [CrossRef] [PubMed]
- von Itzstein, M.S.; Lu, R.; Kernstine, K.H.; Halm, E.A.; Wang, S.; Xie, Y.; Gerber, D.E. Closing the gap: Contribution of surgical best practices to outcome differences between high- and low-volume centers for lung cancer resection. Cancer Med. 2020, 9, 4137–4147. [Google Scholar] [CrossRef] [PubMed]
- Choe, G.; Carr, R.; Molena, D. New Surgical Approaches in the Treatment of Non-Small Cell Lung Cancer. Clin. Chest Med. 2020, 41, 175–183. [Google Scholar] [CrossRef]
- Logan, C.D.; Ellis, R.J.; Feinglass, J.; Halverson, A.L.; Avella, D.; Lung, K.; Kim, S.; Bharat, A.; Merkow, R.P.; Bentrem, D.J.; et al. Association of travel distance, surgical volume, and receipt of adjuvant chemotherapy with survival among patients with resectable lung cancer. JTCVS Open 2022, 13, 357–358. [Google Scholar] [CrossRef]
- Detterbeck, F.C.; Blasberg, J.D.; Woodard, G.A.; Decker, R.H.; Kumbasar, U.; Park, H.S.; Mase Jr, V.J.; Bade, B.C.; Li, A.X.; Brandt, W.S.; et al. A guide for managing patients with stage I NSCLC: Deciding between lobectomy, segmentectomy, wedge, SBRT and ablation-part 1: A guide to decision-making. J. Thorac. Dis. 2022, 14, 2340–2356. [Google Scholar] [CrossRef]
- Veronesi, G.; Novellis, P.; Perroni, G. Overview of the outcomes of robotic segmentectomy and lobectomy. J. Thorac. Dis. 2021, 13, 6155–6162. [Google Scholar] [CrossRef] [PubMed]
- Handa, Y.; Tsutani, Y.; Mimae, T.; Miyata, Y.; Imai, K.; Ito, H.; Nakayama, H.; Ikeda, N. Oncologic Outcomes of Complex Segmentectomy: A Multicenter Propensity Score-Matched Analysis. Ann. Thorac. Surg. 2021, 111, 1044–1051. [Google Scholar] [CrossRef]
- Suzuki, K.; Saji, H.; Aokage, K.; Watanabe, S.I.; Okada, M.; Mizusawa, J.; Nakajima, R.; Tsuboi, M.; Nakamura, S.; Nakamura, K.; et al. Comparison of pulmonary segmentectomy and lobectomy: Safety results of a randomized trial. J. Thorac. Cardiovasc. Surg. 2019, 158, 895–907. [Google Scholar] [CrossRef]
- Brunelli, A.; Chapman, K.; Pompili, C.; Chaudhuri, N.; Kefaloyannis, E.; Milton, R.; Tcherveniakov, P.; Papagiannopoulos, K.; Mitchell, T.; Bassi, V. Ninety-day hospital costs associated with prolonged air leak following lung resection. Interact. Cardiovasc. Thorac. Surg. 2020, 31, 507–512. [Google Scholar] [CrossRef]
- Razi, S.S.; Nguyen, D.; Villamizar, N. Lobectomy does not confer survival advantage over segmentectomy for non-small cell lung cancer with unsuspected nodal disease. J. Thorac. Cardiovasc. Surg. 2020, 159, 2469–2483. [Google Scholar] [CrossRef]
- Whitson, B.A.; Groth, S.S.; Andrade, R.S.; Maddaus, M.A.; Habermann, E.B.; D’Cunha, J. Survival after lobectomy versus segmentectomy for stage I non-small cell lung cancer: A population-based analysis. Ann. Thorac. Surg. 2011, 92, 1943–1950. [Google Scholar] [CrossRef] [PubMed]
- Xu, Y.; Qin, Y.; Ma, D.; Liu, H. The impact of segmentectomy versus lobectomy on pulmonary function in patients with non-small-cell lung cancer: A meta-analysis. J. Cardiothorac. Surg. 2022, 17, 107. [Google Scholar] [CrossRef] [PubMed]
- Wasserman, J.; Palmer, R.C.; Gomez, M.M.; Berzon, R.; Ibrahim, S.A.; Ayanian, J.Z. Advancing Health Services Research to Eliminate Health Care Disparities. Am. J. Public Health 2019, 109, S64–S69. [Google Scholar] [CrossRef] [PubMed]
- Salles, A.; Milam, L.; Sevdalis, N.; Alseidi, A.; Mellinger, J.; Stefanidis, D.; Nahmias, J.; Kulaylat, A.N.; Kim, R.H.; Falcone, J.L.; et al. Multi-institutional Surgical Education Interventions: A Scoping Review. Ann. Surg. 2019, 270, 257–269. [Google Scholar] [CrossRef] [PubMed]
Title | Authors | Year |
---|---|---|
Lobar or Sublobar Resection for Peripheral Stage IA Non–Small-Cell Lung Cancer | Altorki et al. [28] | 2023 |
Segmentectomy versus lobectomy in small-sized peripheral non-small-cell lung cancer (JCOG0802/WJOG4607L): a multicentre, open-label, phase 3, randomised, controlled, non-inferiority trial | Saji et al. [32] | 2022 |
Survival outcomes in a prospective randomized multicenter Phase III trial comparing patients undergoing anatomical segmentectomy versus standard lobectomy for non-small cell lung cancer up to 2 cm | Stamatis et al. [33] | 2022 |
Equivalent Survival Between Lobectomy and Segmentectomy for Clinical Stage IA Lung Cancer | Onaitis et al. [34] | 2020 |
Sublobar resection is comparable to lobectomy for screen-detected lung cancer | Kamel et al. [22] | 2021 |
Recurrence and Survival Outcomes After Anatomic Segmentectomy Versus Lobectomy for Clinical Stage I Non– Small-Cell Lung Cancer: A Propensity-Matched Analysis | Landreneau et al. [35] | 2014 |
Comparison of Lobectomy and Sublobar Resection for Stage IA Elderly NSCLC Patients (≥70 Years): A Population-Based Propensity Score Matching’s Study | Zhang et al. [29] | 2021 |
Sublobar resection versus lobectomy for stage I non-small cell lung cancer: an appropriate choice in elderly patients? | Fiorelli et al. [36] | 2016 |
Sublobar resection is equivalent to lobectomy for T1a non-small cell lung cancer in the elderly: a Surveillance, Epidemiology, and End Results database analysis | Razi et al. [37] | 2016 |
Lobar and sub-lobar lung resection in octogenarians with early stage non-small cell lung cancer: factors affecting surgical outcomes and long-term results | Dell’Amore et al. [38] | 2015 |
Early lung cancer in the elderly: sublobar resection provides equivalent long-term survival in comparison with lobectomy | Liu et al. [39] | 2014 |
Sublobar resection is associated with better perioperative outcomes in elderly patients with clinical stage I non-small cell lung cancer: a multicenter retrospective cohort study | Zhang et al. [40] | 2019 |
Local control and short-term outcomes after video-assisted thoracoscopic surgery segmentectomy versus lobectomy for pT1c pN0 non-small-cell lung cancer | Forster et al. [41] | 2023 |
Sublobar resection provides an equivalent survival after lobectomy in elderly patients with early lung cancer | Okami et al. [42] | 2010 |
Perioperative mortality and morbidity after sublobar versus lobar resection for early-stage non-small-cell lung cancer: post-hoc analysis of an international, randomised, phase 3 trial (CALGB/Alliance 140503) | Altorki et al. [43] | 2018 |
Disclaimer/Publisher’s Note: The statements, opinions and data contained in all publications are solely those of the individual author(s) and contributor(s) and not of MDPI and/or the editor(s). MDPI and/or the editor(s) disclaim responsibility for any injury to people or property resulting from any ideas, methods, instructions or products referred to in the content. |
© 2023 by the authors. Licensee MDPI, Basel, Switzerland. This article is an open access article distributed under the terms and conditions of the Creative Commons Attribution (CC BY) license (https://creativecommons.org/licenses/by/4.0/).
Share and Cite
Behinaein, P.; Treffalls, J.; Hutchings, H.; Okereke, I.C. The Role of Sublobar Resection for the Surgical Treatment of Non-Small Cell Lung Cancer. Curr. Oncol. 2023, 30, 7019-7030. https://doi.org/10.3390/curroncol30070509
Behinaein P, Treffalls J, Hutchings H, Okereke IC. The Role of Sublobar Resection for the Surgical Treatment of Non-Small Cell Lung Cancer. Current Oncology. 2023; 30(7):7019-7030. https://doi.org/10.3390/curroncol30070509
Chicago/Turabian StyleBehinaein, Parnia, John Treffalls, Hollis Hutchings, and Ikenna C. Okereke. 2023. "The Role of Sublobar Resection for the Surgical Treatment of Non-Small Cell Lung Cancer" Current Oncology 30, no. 7: 7019-7030. https://doi.org/10.3390/curroncol30070509
APA StyleBehinaein, P., Treffalls, J., Hutchings, H., & Okereke, I. C. (2023). The Role of Sublobar Resection for the Surgical Treatment of Non-Small Cell Lung Cancer. Current Oncology, 30(7), 7019-7030. https://doi.org/10.3390/curroncol30070509