Next Issue
Volume 18, 11
Previous Issue
Volume 18, 09
 
 
cardiovascmed-logo

Journal Browser

Journal Browser
Cardiovascular Medicine is published by MDPI from Volume 28 Issue 1 (2025). Previous articles were published by another publisher in Open Access under a CC-BY (or CC-BY-NC-ND) licence, and they are hosted by MDPI on mdpi.com as a courtesy and upon agreement with Editores Medicorum Helveticorum (EMH).

Cardiovasc. Med., Volume 18, Issue 10 (10 2015) – 6 articles

  • Issues are regarded as officially published after their release is announced to the table of contents alert mailing list.
  • You may sign up for e-mail alerts to receive table of contents of newly released issues.
  • PDF is the official format for papers published in both, html and pdf forms. To view the papers in pdf format, click on the "PDF Full-text" link, and use the free Adobe Reader to open them.
Order results
Result details
Select all
Export citation of selected articles as:
6 pages, 1220 KB  
Article
Regelmässige Breitkomplextachykardie bei Dekrementaler Präexzitation
by Ardan M. Sagunera, Andreas Metzner, Sebastian Deiss, Tilman Maurer, Christine Lemes, Kentaro Hayashi, Christian Heeger, Karl-Heinz Kuck, Feifan Ouyang and Erik Wissner
Cardiovasc. Med. 2015, 18(10), 4; https://doi.org/10.4414/cvm.2015.00353 - 21 Oct 2015
Viewed by 51
Abstract
Ein 46-jähriger Mann stellte sich aufgrund von wöchentlich auftretenden Palpitationen mit plötzlichem Beginn und abruptem Ende (on–off) in unserer Ambulanz vor. Diese bestünden seit dem 15­. Lebensjahr, hätten jedoch in den letzten Monaten an Häufigkeit und Dauer zugenommen und würden sowohl in Ruhe [...] Read more.
Ein 46-jähriger Mann stellte sich aufgrund von wöchentlich auftretenden Palpitationen mit plötzlichem Beginn und abruptem Ende (on–off) in unserer Ambulanz vor. Diese bestünden seit dem 15­. Lebensjahr, hätten jedoch in den letzten Monaten an Häufigkeit und Dauer zugenommen und würden sowohl in Ruhe als auch unter Belastung aureten. Vagale Manöver habe er nicht versucht, da die Palpitationen jeweils spontan nach wenigen Minuten terminierten. Full article
1 pages, 97 KB  
Editorial
20. Zürcher HerzKreislauftag
by Ruth Amstein
Cardiovasc. Med. 2015, 18(10), 294; https://doi.org/10.4414/cvm.2015.00365 - 21 Oct 2015
Viewed by 67
Abstract
Ein Jahresrückblick bietet Gelegenheit für eine Standortbestimmung [...] Full article
3 pages, 1115 KB  
Case Report
Prolonged Complete AV Block After Balloon Aortic Valvuloplasty in a Child
by Dina-Maria Jakob, Sabine Pallivathukal, Bernhard Meier and Jean-Pierre Pfammatter
Cardiovasc. Med. 2015, 18(10), 285; https://doi.org/10.4414/cvm.2015.00357 - 21 Oct 2015
Viewed by 62
Abstract
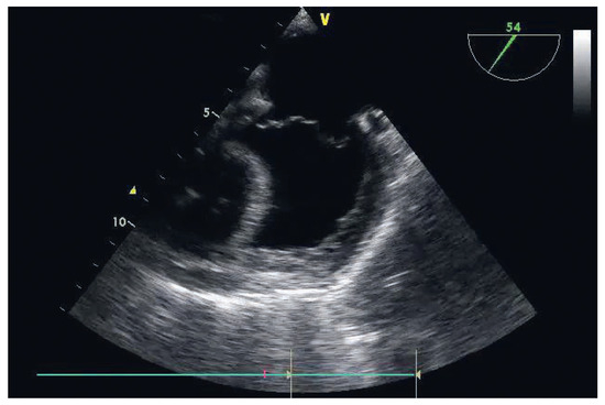
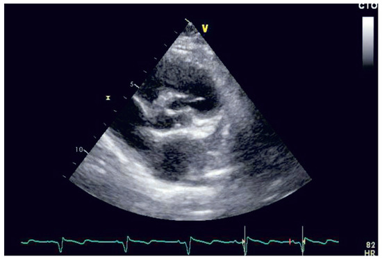
A case is presented of prolonged complete atrioventricular block after elective balloon aortic valvuloplasty (BAV) of a congenital aortic stenosis in a 10-year-old patient. Implantation of a transient transvenous pacemaker for hemodynamic stabilization was required. Stable sinus rhythm reoccurred 72 hours after BAV. [...] Read more.
A case is presented of prolonged complete atrioventricular block after elective balloon aortic valvuloplasty (BAV) of a congenital aortic stenosis in a 10-year-old patient. Implantation of a transient transvenous pacemaker for hemodynamic stabilization was required. Stable sinus rhythm reoccurred 72 hours after BAV. Full article
Show Figures

Figure 1

3 pages, 85 KB  
Article
Timely Diagnosis of Congenital Heart Disease–Did We Improve?
by Andrea Keuffer and Jean-Pierre Pfammatter
Cardiovasc. Med. 2015, 18(10), 282; https://doi.org/10.4414/cvm.2015.00363 - 21 Oct 2015
Cited by 1 | Viewed by 204
Abstract
Introduction: Delayed recognition of congenital heart disease (CHD) is not infrequent and may have a negative impact on the child’s prognosis. A study from our institution published in 2001 showed a rate of late diagnosis as high as 10% of all relevant [...] Read more.
Introduction: Delayed recognition of congenital heart disease (CHD) is not infrequent and may have a negative impact on the child’s prognosis. A study from our institution published in 2001 showed a rate of late diagnosis as high as 10% of all relevant CHD requiring therapy, and this rate was equal in cyanotic and acyanotic CHD. Methods: A study identical to the one 12 years ago was performed with prospective evaluation of the time of first diagnosis of CHD during a 3-year period ending in June 2011. Only CHD that required surgical or catheterbased treatment was included. Late diagnosis was defined as diagnosis of CHD after discharge from the birth hospital for cyanotic CHD; for acyanotic CHD it was defined as first diagnosis at a time when therapy should already have taken place in accordance with recommended standards or if immediate treatment was necessary at the time of CHD recognition. In between the two studies came the recommendation of a nationwide neonatal pulse oximetry screening, starting in 2006. Results: A total of 209 patients were included, 41% of these had cyanotic and 59% had acyanotic CHD. According to the entry criteria, late diagnosis was observed in 21 patients (10% of total population); 6% of cyanotic CHD patients (5 of 85) and 13% of acyanotic CHD patients (16 of 124). The two most frequently missed CHDs were atrial septal defect and coarctation (seven and six patients, respectively). Delayed diagnosis resulted in one death (unrecognised interrupted aortic arch in one neonate). Compared with the historical study in our referral population the main finding was that the total number of late diagnoses remained stable at 10%, with a slight decrease only in the rate of late diagnosed cyanotic CHD (from 10 to 6%) but with a rise in late diagnosed acyanotic CHD from 10 to 13% of all patients observed. Conclusions: After 12 years of referring physician education and the implementation of a nationwide neonatal pulse oximetry screening, the rate of late diagnosis of CHD remained unchanged at 10% of all patients with only the rate of cyanotic CHD showing a slight decline. Full article
9 pages, 208 KB  
Review
The Weak Heart: Perioperative Management
by Dominique Anne Bettex, Pierre-Guy Chassot and Alain Rudiger
Cardiovasc. Med. 2015, 18(10), 273; https://doi.org/10.4414/cvm.2015.00362 - 21 Oct 2015
Viewed by 91
Abstract
Heart failure (HF) is known to be a major risk factor in perioperative care. It should be subdivided into systolic or diastolic dysfunction as well as left or right ventricular failure. The perioperative management of HF patients is complex, consisting of prevention, diagnosis [...] Read more.
Heart failure (HF) is known to be a major risk factor in perioperative care. It should be subdivided into systolic or diastolic dysfunction as well as left or right ventricular failure. The perioperative management of HF patients is complex, consisting of prevention, diagnosis and therapy. The adequacy of the perioperative management determines the late postoperative outcome and will be presented in this review. Full article
Show Figures

Figure 1

6 pages, 3307 KB  
Viewpoint
Percutaneous Coronary Intervention, Not All Roads Lead to Rome
by Bernhard Meier
Cardiovasc. Med. 2015, 18(10), 267; https://doi.org/10.4414/cvm.2015.00364 - 21 Oct 2015
Viewed by 84
Abstract
Percutaneous coronary intervention (PCI) started with a first patient in Zurich, Switzerland, treated by Andreas Grüntzig on September 16, 1977. Having been part of that intervention, I enjoy the privilege of taking care of this patient since. He is still enjoying excellent health [...] Read more.
Percutaneous coronary intervention (PCI) started with a first patient in Zurich, Switzerland, treated by Andreas Grüntzig on September 16, 1977. Having been part of that intervention, I enjoy the privilege of taking care of this patient since. He is still enjoying excellent health and needed only two additional percutaneous interventions in his coronary arteries after 23 and 37 years, respectively. PCI saw an unprecedented evolution to today’s role as the most common major medical intervention around the globe. As is typical for a success story, many people have been co-builders. Even more people have tried to contribute to PCI or even replace it with modifications or alternatives that do not benefit patients. This was not always recognised immediately but the only real breakthrough, the coronary stent, was finally recognised by all as the only necessary adjunct to the initial balloon. The achieved degree of perfection of PCI will make it hard, if not impossible, to improve upon it by a change of paradigm, while small adaptations will continue to be introduced because they do not need randomised trials for approval. Full article
Show Figures

Graphical abstract

Previous Issue
Next Issue
Back to TopTop