Prolonged Complete AV Block After Balloon Aortic Valvuloplasty in a Child
Abstract
Introduction
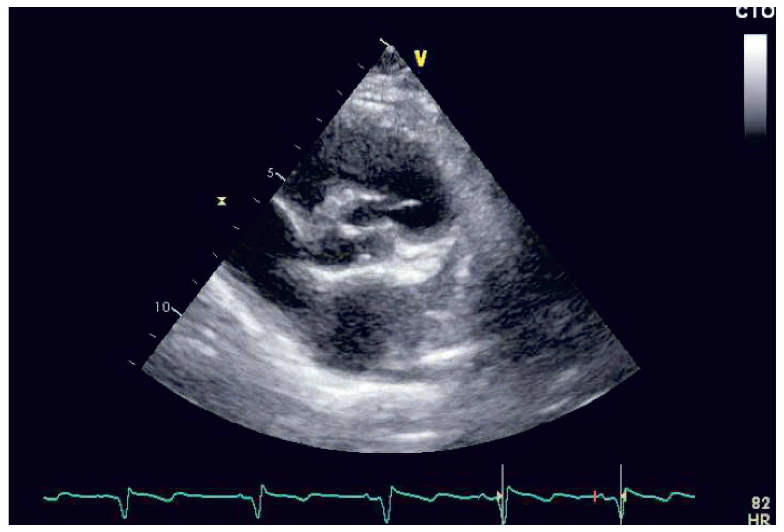
Case report
Discussion
Conflicts of Interest
References
- Ewert, P.; Bertram, H.; Breuer, J.; Dähnert, I.; Dittrich, S.; Eicken, A.; et al. Balloon valvuloplasty in the treatment of congenital aortic valve stenosis—A retrospective multicenter survey of more than 1000 patients. Int J Cardiol. 2011, 149, 182–185. [Google Scholar] [CrossRef] [PubMed]
- Siontis, G.C.; Jüni, P.; Pilgrim, T.; Stortecky, S.; Büllesfeld, L.; Meier, B.; et al. Predictors of permanent pacemaker implantation in patients with severe aortic stenosis undergoing TAVR: A meta-analysis. J Am Coll Cardiol. 2014, 15, 129–140. [Google Scholar] [CrossRef] [PubMed]
- Laynez, A.; Ben-Dor, I.; Hauville, C.; Xue, Z.; Satler, L.; Kent, K.; et al. Frequency of Cardiac Conduction Disturbances After Balloon Aortic Valvuloplasty. Am J Cardiol. 2011, 108, 1311–1315. [Google Scholar] [CrossRef] [PubMed]
- Erkapic, D.; De Rosa, S.; Kelava, A.; Lehmann, R.; Fichtlscherer, S.; Hohnloser, S. Risk for Permanent Pacemaker After Transcatheter Aortic Valve Implantation: A Comprehensive Analysis of the Literature. J Cardiovasc Electrophysiol. 2012, 23, 391–397. [Google Scholar] [CrossRef] [PubMed]




© 2015 by the authors. Licensee MDPI, Basel, Switzerland. This article is an open access article distributed under the terms and conditions of the Creative Commons Attribution (CC BY) license (https://creativecommons.org/licenses/by/4.0/).
Share and Cite
Jakob, D.-M.; Pallivathukal, S.; Meier, B.; Pfammatter, J.-P. Prolonged Complete AV Block After Balloon Aortic Valvuloplasty in a Child. Cardiovasc. Med. 2015, 18, 285. https://doi.org/10.4414/cvm.2015.00357
Jakob D-M, Pallivathukal S, Meier B, Pfammatter J-P. Prolonged Complete AV Block After Balloon Aortic Valvuloplasty in a Child. Cardiovascular Medicine. 2015; 18(10):285. https://doi.org/10.4414/cvm.2015.00357
Chicago/Turabian StyleJakob, Dina-Maria, Sabine Pallivathukal, Bernhard Meier, and Jean-Pierre Pfammatter. 2015. "Prolonged Complete AV Block After Balloon Aortic Valvuloplasty in a Child" Cardiovascular Medicine 18, no. 10: 285. https://doi.org/10.4414/cvm.2015.00357
APA StyleJakob, D.-M., Pallivathukal, S., Meier, B., & Pfammatter, J.-P. (2015). Prolonged Complete AV Block After Balloon Aortic Valvuloplasty in a Child. Cardiovascular Medicine, 18(10), 285. https://doi.org/10.4414/cvm.2015.00357
