- Case Report
Roboter-Assistierte Plazierung Einer Linksventrikulären Elektrode
- O. Reuthebuch,
- J. Grünenfelder,
- J. Holzmeister,
- M. Rahn,
- U. Schurr,
- G. Zünd and
- M. Genoni
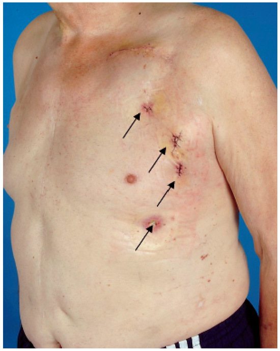
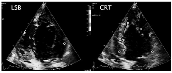
Biventricular pacing is an accepted therapy in patients suffering from terminal heart failure. Main obstacle however is the positioning of the left ventricular electrode via coronary sinus as well as its reliable fixation. This article describes in a...

