Next Issue
Volume 8, 11
Previous Issue
Volume 8, 09
 
 
cardiovascmed-logo

Journal Browser

Journal Browser
Cardiovascular Medicine is published by MDPI from Volume 28 Issue 1 (2025). Previous articles were published by another publisher in Open Access under a CC-BY (or CC-BY-NC-ND) licence, and they are hosted by MDPI on mdpi.com as a courtesy and upon agreement with Editores Medicorum Helveticorum (EMH).

Cardiovasc. Med., Volume 8, Issue 10 (10 2005) – 5 articles

  • Issues are regarded as officially published after their release is announced to the table of contents alert mailing list.
  • You may sign up for e-mail alerts to receive table of contents of newly released issues.
  • PDF is the official format for papers published in both, html and pdf forms. To view the papers in pdf format, click on the "PDF Full-text" link, and use the free Adobe Reader to open them.
Order results
Result details
Select all
Export citation of selected articles as:
1 pages, 152 KB  
Interesting Images
Subclavian and Axillary Giant Cell Arteritis After Influenza Vaccine
by Marcello Di Valentino, Rolf Wyttenbach, Mario Alerci, Jeanne-Marie Segatto, Felix Mahler, Guido Mariotti and Augusto Gallino
Cardiovasc. Med. 2005, 8(10), 378; https://doi.org/10.4414/cvm.2005.01128 - 28 Oct 2005
Viewed by 55
Abstract
Case report A 64-years-old women with history of rheumatic polymyalgia 11 years before developed sub-acute bilateral claudicatio at both arms few days after injection of influenza vaccine (Fluvarix®) [...] Full article
Show Figures

Figure 1

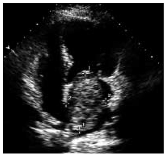
2 pages, 212 KB  
Interesting Images
Epanchement Péricardique
by Jürg Schläpfer
Cardiovasc. Med. 2005, 8(10), 376; https://doi.org/10.4414/cvm.2005.01129 - 28 Oct 2005
Viewed by 59
Abstract
Description du cas Patiente de 48 ans, éthylo-tabagique, présentant un état grippal récent avec exacerbation d’une toux chronique qui motive l’hospitalisation [...] Full article
Show Figures

Figure 1

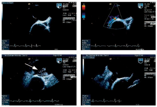
6 pages, 241 KB  
Case Report
Platypnoe—Orthodeoxie: Eine Seltene Ursache Einer Lageabhängigen Dyspnoe und Arteriellen Hypoxämie
by Urs N. Dürst, Manfred Ritter, Beat Walder and Franz R. Eberli
Cardiovasc. Med. 2005, 8(10), 370; https://doi.org/10.4414/cvm.2005.01130 - 28 Oct 2005
Viewed by 70
Abstract
Platypnea—orthodeoxia: a rare cause of positional dyspnea and arterial hypoxaemia. We report a case of an 83-year-old female patient, that developed positional dyspnea after a fall complicated by a thoracic spine compression fracture. In upright position the dyspnea was disabling occurring already with [...] Read more.
Platypnea—orthodeoxia: a rare cause of positional dyspnea and arterial hypoxaemia. We report a case of an 83-year-old female patient, that developed positional dyspnea after a fall complicated by a thoracic spine compression fracture. In upright position the dyspnea was disabling occurring already with normal daily activities, such as dressing. The dyspnea could be relieved by recumbancy. In supine position the patient’s arterial saturation was 94% and decreased to 86% in upright position. Transoesophageal echocardiography revealed an atrial septal defect with bi-directional shunt. The atrial septal defect was closed percutaneously with an Amplatzer-Septal-Occluder® 20 mm. Following the occlusion of the atrial septal defect, arterial oxygen saturation remained stable and the positional dyspnea disappeared. Full article
Show Figures

Figure 1

8 pages, 281 KB  
Article
Usefulness of Serum Interleukin-6 to Discriminate Between Cardiac Myxomas and Non-Myxomatous Cardiac Masses
by Ilker Uçkay, Urs Widmer, Christine Attenhofer Jost, Burkhardt Seifert and Rolf Jenni
Cardiovasc. Med. 2005, 8(10), 361; https://doi.org/10.4414/cvm.2005.01126 - 28 Oct 2005
Viewed by 98
Abstract
Background: An elevated interleukin-6 (IL-6) serum level was described as a diagnostic marker for a myxoma. This study tried to assess the value of IL-6 determination to differentiate myxomas from non-myxomatous tumours in patients with an intracardiac mass. Methods: From 1993 [...] Read more.
Background: An elevated interleukin-6 (IL-6) serum level was described as a diagnostic marker for a myxoma. This study tried to assess the value of IL-6 determination to differentiate myxomas from non-myxomatous tumours in patients with an intracardiac mass. Methods: From 1993 to 2001, patients with an intracardiac mass by echocardiography were prospectively included. There were 32 patients: 19 consecutive patients with a cardiac myxoma (all histologically confirmed), and 13 randomly selected patients with non-myxomatous cardiac masses including seven with a cardiac tumour and six with an intracardiac thrombus. Serum IL-6 and C-reactive protein (CRP) levels were compared between groups and correlated with tumour size measured by 2D echocardiography. Additionally, two patients with relapsing myxomas were studied with serial IL-6 determinations and echocardiography. Results: There was no difference in tumour size between myxomas (57 ± 55 ml) and nonmyxomatous masses (50 ± 116 ml; p = 0.83). Average IL-6 levels were 11.6 ± 7.9 pg/ml (range: 0.3–29.5) in 19 patients with myxomas and 16.2 ± 15.5 pg/ml (range: 0–43.7) in 13 with a non-myxomatous heart tumour (p = 0.28). IL-6 levels were elevated in 15 patients with myxomas resulting in a sensitivity of 79% (95% confidence interval CI 54–94%) and in 10 with non-myxomatous tumours resulting in a specificity of 23% (95% confidence interval 5–54%; p = 0.67). There was no significant difference between CRP levels between the different groups (p = 0.77). There was no correlation between serum IL-6 or CRP with tumour size in any of the groups (p > 0.05). ROC analysis showed an area under the curve for IL-6 of 0.47 (95% CI 0.24–0.70) and for CRP 0.50 (95% CI 0.26–0.74). In the two patients with relapsing myxomas, however, there was no relapse without an increase in IL-6. Conclusions: An elevated IL-6 or CRP serum level in a patient with an intracardiac mass is not specific for myxoma or another type of intracardiac tumour. The value of IL-6 as an additive marker to echocardiography in the detection and follow-up of patients with suspected or resected myxomas has yet to be proven. Full article
Show Figures

Figure 1

11 pages, 236 KB  
Editorial
Das Phänomen der Aspirin-Resistenz: Eine Kritische Beurteilung der Vorliegenden Evidenz
by Tina Svenstrup Poulsen, Søren Risom Kristensen, Dan Atar and Hans Mickley
Cardiovasc. Med. 2005, 8(10), 346; https://doi.org/10.4414/cvm.2005.01127 - 28 Oct 2005
Viewed by 58
Abstract
Aspirin is the mainstay antiplatelet treatment in patients with high risk of cardiovascular atherothrombotic events, and its beneficial effect is documented in several clinical trials. Nevertheless, the effectiveness of aspirin has been questioned by the emergence of the concept of “aspirin resistance” (AR). [...] Read more.
Aspirin is the mainstay antiplatelet treatment in patients with high risk of cardiovascular atherothrombotic events, and its beneficial effect is documented in several clinical trials. Nevertheless, the effectiveness of aspirin has been questioned by the emergence of the concept of “aspirin resistance” (AR). This phenomenon, although lacking a precise definition, covers the fact that some patients do not exhibit the expected platelet inhibition by use of various techniques for measuring platelet function. In this critical review, we evaluate the methods used for measuring AR. We will discuss the available data regarding the prevalence and the clinical importance of the phenomenon. Finally, the potential mechanisms underlying AR are considered. Full article
Show Figures

Figure 1

Previous Issue
Next Issue
Back to TopTop