Next Issue
Volume 8, 10
Previous Issue
Volume 8, 08
 
 
cardiovascmed-logo

Journal Browser

Journal Browser
Cardiovascular Medicine is published by MDPI from Volume 28 Issue 1 (2025). Previous articles were published by another publisher in Open Access under a CC-BY (or CC-BY-NC-ND) licence, and they are hosted by MDPI on mdpi.com as a courtesy and upon agreement with Editores Medicorum Helveticorum (EMH).

Cardiovasc. Med., Volume 8, Issue 9 (09 2005) – 7 articles

  • Issues are regarded as officially published after their release is announced to the table of contents alert mailing list.
  • You may sign up for e-mail alerts to receive table of contents of newly released issues.
  • PDF is the official format for papers published in both, html and pdf forms. To view the papers in pdf format, click on the "PDF Full-text" link, and use the free Adobe Reader to open them.
Order results
Result details
Select all
Export citation of selected articles as:
4 pages, 167 KB  
Abstract
Herbsttagung Schweizerische Gesellschaft für Kardiologie, Bern, 27. 10. 2005
by Schweizerische Gesellschaft für Kardiologie
Cardiovasc. Med. 2005, 8(9), 335; https://doi.org/10.4414/cvm.2005.01125 - 30 Sep 2005
Viewed by 98
Abstract
Rehabilitation für die Praxis. Artur Bernardo, Gais / Paul Dubach, Chur Hintergrund: Die Rehabilitation ist eine anerkannte Intervention bei Patienten mit kardialen Erkrankungen [...] Full article
2 pages, 139 KB  
Editorial
Nachruf «In Memoriam Professor Paul Robert Lichtlen»
by Thomas F. Lüscher, Ruth Amstein and Wolf Rafflenbeul
Cardiovasc. Med. 2005, 8(9), 333; https://doi.org/10.4414/cvm.2005.01124 - 30 Sep 2005
Viewed by 88
Abstract
Einer der bekanntesten Schweizer Kardiologen der letzten 30 Jahre ist am 13 [...] Full article
1 pages, 142 KB  
Interesting Images
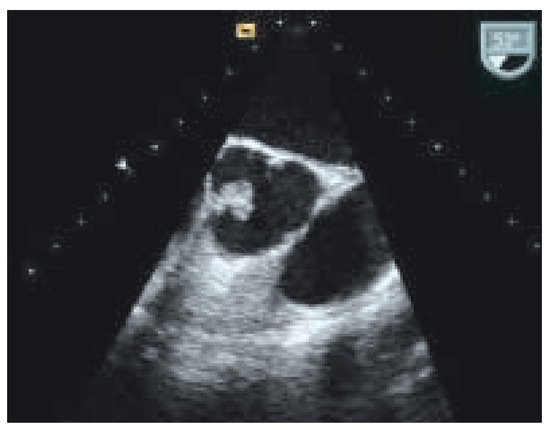
Kardiales Papilläres Fibroelastom
by Thomas Largiadèr, Michele Genoni and Rolf Jenni
Cardiovasc. Med. 2005, 8(9), 332; https://doi.org/10.4414/cvm.2005.01122 - 30 Sep 2005
Viewed by 142
Abstract
Fallbeschreibung. Eine 73jährige Patientin ohne weitere kardiovaskuläre Risikofaktoren wurde zur Abklärung mit der Fragestellung «kardiale Emboliequelle » nach zerebrovaskulärem Insult mit kompletter Remission zugewiesen [...] Full article
Show Figures

Figure 1

1 pages, 136 KB  
Interesting Images
Eigenartiger AV-Block bei Einem Frisch Herztransplantierten Patienten
by Jens Seiler and Michele Martinelli
Cardiovasc. Med. 2005, 8(9), 330; https://doi.org/10.4414/cvm.2005.01123 - 30 Sep 2005
Viewed by 90
Abstract
Fallbeschreibung. Ein 49jähriger Patient wurde wegen terminaler Herzinsuffizienz bei koronarer Herzkrankheit mit Status nach Vorderwandinfarkt orthotop herztransplantiert [...] Full article
Show Figures

Figure 1

5 pages, 242 KB  
Case Report
Transient Complete Nodal Atrioventricular Block and Left Bundle Branch Block During Radiofrequency Catheter Ablation of a Left Free Wall Accessory Pathway
by Piero O. Bonetti, Marc Gutmann, Thomas A. Cron, Beat Schaer and Stefan Osswald
Cardiovasc. Med. 2005, 8(9), 324; https://doi.org/10.4414/cvm.2005.01120 - 30 Sep 2005
Viewed by 271
Abstract
We report the unusual case of a 15-year-old male who experienced transient complete nodal atrioventricular block in combination with left bundle branch block during radiofrequency catheter ablation of a left free wall accessory pathway via a transaortic approach. Full article
Show Figures

Figure 1

8 pages, 181 KB  
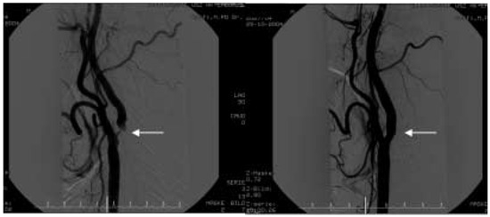
Editorial
Die Behandlung der Karotisstenose: Die Sicht des Mikroneurochirurgen
by Luigi Mariani and Alain Barth
Cardiovasc. Med. 2005, 8(9), 315; https://doi.org/10.4414/cvm.2005.01119 - 30 Sep 2005
Viewed by 108
Abstract
According to the large, randomised, multicentric trials of the 1990’s, carotid-endarterectomy (CEA) is the «gold standard» of treatment for most patients with a proximal stenosis of the internal carotid artery (ACI), especially for those with a high-grade (70–99%), symptomatic stenosis. During the last [...] Read more.
According to the large, randomised, multicentric trials of the 1990’s, carotid-endarterectomy (CEA) is the «gold standard» of treatment for most patients with a proximal stenosis of the internal carotid artery (ACI), especially for those with a high-grade (70–99%), symptomatic stenosis. During the last years CEA has been further refined and standardised. Its results in terms of stroke risk and mortality are so good, that CEAcan be recommended as the prophylactic treatment of choice even in patients with an asymptomatic, highgrade ACI-stenosis and in patients with a 50–69%, evidently symptomatic stenosis, provided that their approximate life expectancy exceeds five years. Today’s scientific evidence, the current results of CEA, but also the analysis of the relevant, known pro’s and con’s of CEA and of the current endovascular treatment options, e.g. carotid angioplasty and stenting (CAS) support the view of CEA being the first option for ACI-stenosis. Full article
Show Figures

Figure 1

8 pages, 245 KB  
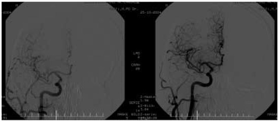
Editorial
Die Behandlung der Karotisstenose aus der Sicht des Interventionalisten
by Marco Roffi and Franz R. Eberli
Cardiovasc. Med. 2005, 8(9), 306; https://doi.org/10.4414/cvm.2005.01121 - 30 Sep 2005
Viewed by 100
Abstract
In the hand of experienced interventionalists carotid stenting is a valuable alternative to endarterectomy for patients with carotid stenosis. Mechanical emboli-protection systems have been a major advance in the field by reducing the incidence of periprocedural neurologic events. The greatest advantage of carotid [...] Read more.
In the hand of experienced interventionalists carotid stenting is a valuable alternative to endarterectomy for patients with carotid stenosis. Mechanical emboli-protection systems have been a major advance in the field by reducing the incidence of periprocedural neurologic events. The greatest advantage of carotid stenting over endarterectomy is that the outcomes are far less influenced by the comorbidities of the patients. Therefore, the endovascular treatment of carotid disease is particularly suitable for patients at high-risk for surgery. The SAPPHIRE study, which randomised patients at high-risk for surgery to endarterectomy or carotid stenting with filter-emboli protection, demonstrated that patients allocated to carotid stenting had significantly less adverse events. Advantages of carotid stenting over endarterectomy include the reduction of periprocedural myocardial infarctions, the lack of general anesthesia and of neck complications such as cranial nerve lesions. In addition, patients are generally discharged the day following stenting, which leads to a reduction in costs. Patients particularly suitable for carotid stenting are elderly (≥75 years of age), with restenosis following surgery, with stenosis/ occlusion of the contralateral carotid, and those requiring coronary bypass surgery. The only large-scale randomised trial published in non-high risk patients (CAVATAS) showed similar results in patients treated surgically or with balloon angioplasty. The results of ongoing trials should be awaited before expanding the indication of carotid stenting to this patient population off-protocol and in non-specialised centers. Full article
Show Figures

Figure 1

Previous Issue
Next Issue
Back to TopTop