ST-Elevation Myocardial Infarction Due to Marantic Endocarditis
Abstract
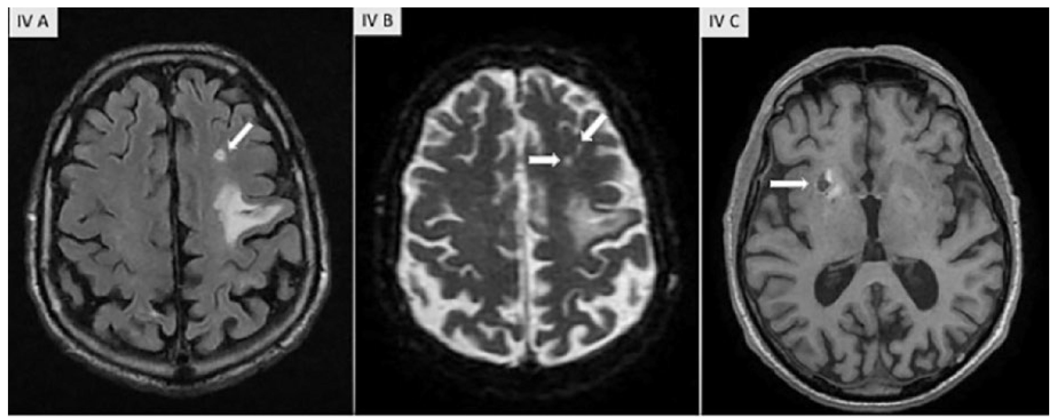
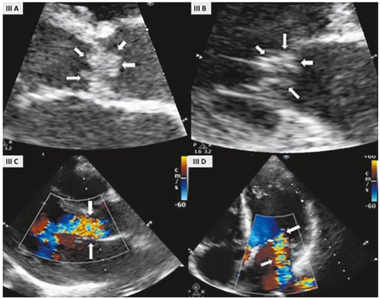
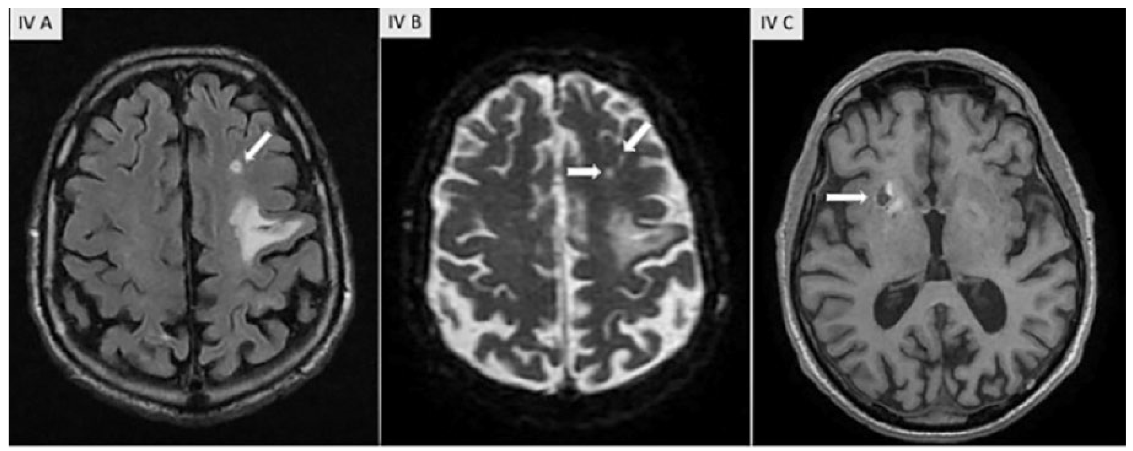
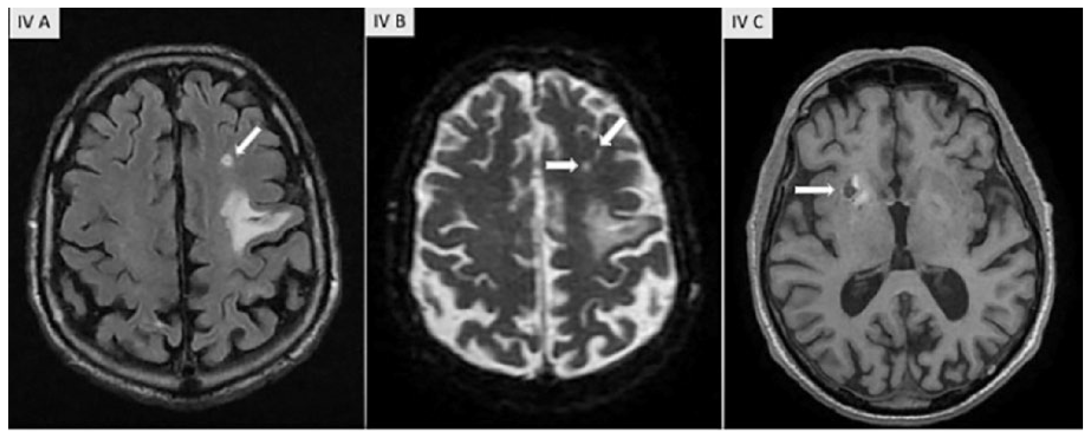
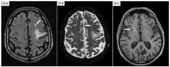
Case report
Discussion
Conflicts of Interest
References
- Lopez, J.A.; Ross, R.S.; Fishbein, M.C.; Siegel, R.J. Non bacterial thrombotic endocarditis: A review. Am Heart J. 1987, 113, 773–784. [Google Scholar] [CrossRef] [PubMed]
- El-Shami, K.; Griffiths, E.; Streiff, M. Non bacterial thrombotic endocarditis in cancer patients: Pathogenesis, diagnosis and treatment. Oncologist. 2007, 12, 518–523. [Google Scholar] [CrossRef] [PubMed]
- Roldan, C.A.; Shively, B.K.; Crawford, M.H. An echocardiographic study of valvular heart disease associated with systemic lupus erythematosus. N Engl J Med. 1996, 335, 1424–1430. [Google Scholar] [CrossRef] [PubMed]
- Eiken, P.W.; Edwards, W.D.; Tazelaar, H.D.; McBane, R.D.; Zehr, K.J. Surgical pathology of non bacterial thrombotic endocarditis in 30 patients, 1985–2000. Mayo Clinic Proc. 2001, 76, 1204–1212. [Google Scholar] [CrossRef] [PubMed]
- Roldan, C.A.; Sibbit, W.L., Jr.; Qualls, C.R.; Jung, R.E.; Greene, E.R.; Gasparovic, C.M.; et al. Libman-Sacks endocarditis and embolic cerebrovascular disease. JACC Cardiovasc Imaging. 2013, 6, 973–983. [Google Scholar] [CrossRef] [PubMed]
- Borowski, A.; Ghodsizad, A.; Cohnen, M.; Gams, E. Recurrent embolism in the course of marantic endocarditis. Ann Thorac Surg. 2005, 79, 2145–2147. [Google Scholar] [CrossRef] [PubMed]
- Graus, F.; Rogers, L.R.; Posner, J.B. Cerebrovascular complications in patients with cancer. Medicine (Baltimore) 1985, 64, 16–35. [Google Scholar] [CrossRef] [PubMed]
- Tiong, I.S.; William, M.J.; Perez, D.J. Non bacterial thrombotic endocarditis with ST-elevation myocardial infarction treated with percutaneous coronary aspiration thrombectomy. Heart Lung Circ. 2013, 22, 386–389. [Google Scholar] [CrossRef] [PubMed]
- Arroyo, D.; Cook, S.; Hayoz, D.; Togni, M. “The plug and the bug” – a case of coronary embolism in bacterial endocarditis. Cardiovascular Medicine. 2014, 17, 24–26. [Google Scholar]
- De Bruijn, S.F.; Agema, W.R.; Lammers, G.J.; van der Wall, E.E.; Wolterbeek, R.; Holman ERet, a.l. Transesophageal echocardiography is superior to transthoracic echocardiography in management of patients of any age with transient ischemic attack or stroke. Stroke. 2006, 37, 2531–2534. [Google Scholar] [CrossRef] [PubMed]
- Dutta, T.; Karas, M.G.; Segal, A.Z.; Kizer, J.R. Yield of transoesophageal echocardiography for non bacterial thrombotic endocarditis and other cardiac sources of embolism in cancer patients with cerebral ischemia. Am J Cardiol. 2006, 97, 894–898. [Google Scholar] [CrossRef] [PubMed]
- Habib, G.; Lancelotti, P.; Antunes, M.J.; Bongiorni, M.G.; Casalta, J.P.; Del Zotti, F.; et al. 2015 ESC guidelines for the management of infective endocarditis. The Task Force for the Management of Infective Endocarditis of the European Society of Cardiology (ESC). Eur Heart J. 2015, 36, 3075–3128. [Google Scholar] [CrossRef] [PubMed]
- Hughson, M.D.; McCarty, G.A.; Sholer, C.M.; Brumback, R.A. Thrombotic cerebral arteriopathy in patients with the antiphospholipid syndrome. Mod Pathol. 1993, 6, 644–653. [Google Scholar] [PubMed]
- Whitlock, R.P.; Sun, J.C.; Fremes, S.E.; Rubens, F.D.; Teoh, K.H. Antithrombotic and thrombolytic therapy for valvular disease: Antithrombotic therapy and prevention of thrombosis, 9th ed: American College of Chest Physicians Evidence-Based Clinical Prcatice Guidelines. Chest. 2012, 141 (Suppl. 2), e576S–e600S. [Google Scholar] [CrossRef] [PubMed]
- Rabinstein, A.A.; Giovanelli, C.; Romano, J.G.; Koch, S.; Forteza, A.M.; Ricci, M. Surgical treatment of non bacterial thrombotic endocarditis presenting with stroke. J Neurol. 2005, 252, 352. [Google Scholar] [CrossRef] [PubMed]




© 2018 by the author. Attribution - Non-Commercial - NoDerivatives 4.0.
Share and Cite
Adjibodou, B.; Ayer, A.; Baeriswyl, G.; Cook, S.; Arroyo, D. ST-Elevation Myocardial Infarction Due to Marantic Endocarditis. Cardiovasc. Med. 2018, 21, 166. https://doi.org/10.4414/cvm.2018.00563
Adjibodou B, Ayer A, Baeriswyl G, Cook S, Arroyo D. ST-Elevation Myocardial Infarction Due to Marantic Endocarditis. Cardiovascular Medicine. 2018; 21(6):166. https://doi.org/10.4414/cvm.2018.00563
Chicago/Turabian StyleAdjibodou, Boris, Antoine Ayer, Gérard Baeriswyl, Stéphane Cook, and Diego Arroyo. 2018. "ST-Elevation Myocardial Infarction Due to Marantic Endocarditis" Cardiovascular Medicine 21, no. 6: 166. https://doi.org/10.4414/cvm.2018.00563
APA StyleAdjibodou, B., Ayer, A., Baeriswyl, G., Cook, S., & Arroyo, D. (2018). ST-Elevation Myocardial Infarction Due to Marantic Endocarditis. Cardiovascular Medicine, 21(6), 166. https://doi.org/10.4414/cvm.2018.00563
