Next Issue
Volume 10, 02
Previous Issue
Volume 9, 12
 
 
cardiovascmed-logo

Journal Browser

Journal Browser
Cardiovascular Medicine is published by MDPI from Volume 28 Issue 1 (2025). Previous articles were published by another publisher in Open Access under a CC-BY (or CC-BY-NC-ND) licence, and they are hosted by MDPI on mdpi.com as a courtesy and upon agreement with Editores Medicorum Helveticorum (EMH).

Cardiovasc. Med., Volume 10, Issue 1 (01 2007) – 7 articles

  • Issues are regarded as officially published after their release is announced to the table of contents alert mailing list.
  • You may sign up for e-mail alerts to receive table of contents of newly released issues.
  • PDF is the official format for papers published in both, html and pdf forms. To view the papers in pdf format, click on the "PDF Full-text" link, and use the free Adobe Reader to open them.
Order results
Result details
Select all
Export citation of selected articles as:
4 pages, 392 KB  
Editorial
Herzinsuffizienz 2007: Was Bleibt Noch Zu Tun?
by Georg Noll, Matthias Hermann, René Lerch and Thomas F. Lüscher
Cardiovasc. Med. 2007, 10(1), 5; https://doi.org/10.4414/cvm.2007.01225 (registering DOI) - 26 Jan 2007
Viewed by 126
Abstract
Die Herzinsuffizienz ist keine neue Erkrankung: Bereits vor Jahrhunderten war sie als Krankheitsbild bekannt, wenn auch kaum verstanden. [...] Full article
Show Figures

Figure 1

4 pages, 879 KB  
Communication
CARTA 06, 3. «Cardiovascular Roundtable»
by Frank Enseleit, Thomas F. Lüscher and Ruth Amstein
Cardiovasc. Med. 2007, 10(1), 38; https://doi.org/10.4414/cvm.2007.01226 - 26 Jan 2007
Cited by 4 | Viewed by 135
Abstract
CARTA oder «Cardiovascular Roundtable» wurde von der Stiftung für Herz- und Kreislaufforschung und der Kardiologie am Universitätsspital Zürich ins Leben gerufen, mit dem Ziel, kardiovaskulär tätige Ärzte, führende Industriepartner sowie Gesundheitspolitiker aus der Schweiz in regelmässigen Abständen am runden Tisch zu einem Dialog [...] Read more.
CARTA oder «Cardiovascular Roundtable» wurde von der Stiftung für Herz- und Kreislaufforschung und der Kardiologie am Universitätsspital Zürich ins Leben gerufen, mit dem Ziel, kardiovaskulär tätige Ärzte, führende Industriepartner sowie Gesundheitspolitiker aus der Schweiz in regelmässigen Abständen am runden Tisch zu einem Dialog zusammenzubringen. [...] Full article
Show Figures

Figure 1

2 pages, 384 KB  
Interesting Images
M. Ormond (retroperitoneale Fibrose)
by Y. Suter, A. Cornelius and D. Conen
Cardiovasc. Med. 2007, 10(1), 36; https://doi.org/10.4414/cvm.2007.01224 - 26 Jan 2007
Viewed by 308
Abstract
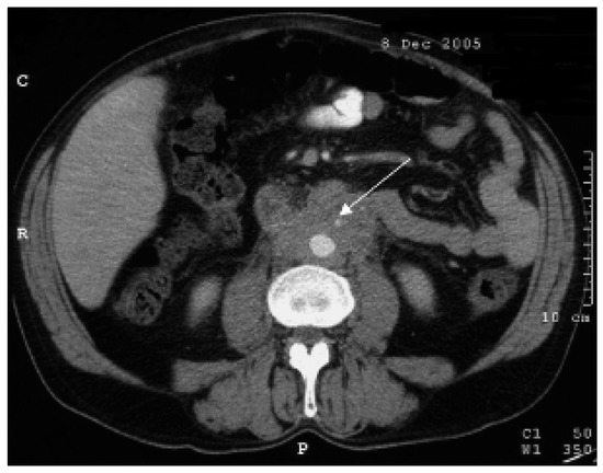
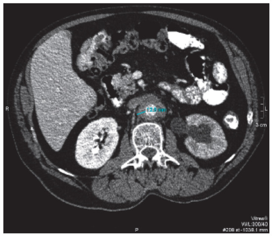
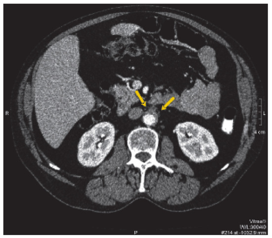
Ein 49jähriger Patient stellte sich mit seit zwei Monaten anhaltenden rezidivierenden kolikartigen Oberbauchschmerzen vor. Es wurde bei Cholezystolithiasis eine Cholezystektomie durchgeführt. Während der Hospitalisation fiel eine Erhöhung der Transaminasen ohne sonographisches Korrelat auf. Eine postoperative Computertomographie des Abdomens liess ein retroperitoneales Hämatom vermuten [...] Read more.
Ein 49jähriger Patient stellte sich mit seit zwei Monaten anhaltenden rezidivierenden kolikartigen Oberbauchschmerzen vor. Es wurde bei Cholezystolithiasis eine Cholezystektomie durchgeführt. Während der Hospitalisation fiel eine Erhöhung der Transaminasen ohne sonographisches Korrelat auf. Eine postoperative Computertomographie des Abdomens liess ein retroperitoneales Hämatom vermuten (Abb. 1). [...] Full article
Show Figures

Figure 1

2 pages, 256 KB  
Interesting Images
'Torsades de Pointes' in a Patient with History of Epilepsy"
by Dagmar I. Keller, Peter Rickenbacher and Stefan Osswald
Cardiovasc. Med. 2007, 10(1), 34; https://doi.org/10.4414/cvm.2007.01220 - 26 Jan 2007
Viewed by 177
Abstract
Case report. A female Caucasian patient, born 1930, was admitted to hospital for reposition of a broken arm [...] Full article
Show Figures

Figure 1

7 pages, 271 KB  
Article
N-Terminal pro-Brain Natriuretic Peptide Plasma Levels in Healthy Subjects and Patients with Heart Diseases
by Michaela Toma, Isabella Sudano, Andreas Flammer, Frank Hermann, Christophe Wyss, Urs Hufschmid, Valeriu Toma, Roberto Corti, Frank Ruschitzka, Thomas F. Lüschera and Georg Noll
Cardiovasc. Med. 2007, 10(1), 27; https://doi.org/10.4414/cvm.2007.01223 - 26 Jan 2007
Viewed by 189
Abstract
Purpose: N-terminal pro-Brain Natriuretic Peptide (NT-proBNP) was recently introduced as a simple tool for the diagnosis of congestive heart failure (CHF). The aim of this study was primarily to evaluate NT-proBNP as a marker of CHF in a large, unselected population and in [...] Read more.
Purpose: N-terminal pro-Brain Natriuretic Peptide (NT-proBNP) was recently introduced as a simple tool for the diagnosis of congestive heart failure (CHF). The aim of this study was primarily to evaluate NT-proBNP as a marker of CHF in a large, unselected population and in addition to investigate the relationship between NT-proBNP and clinical parameters such as age, gender, body mass index, exercise parameters, chest pain, blood pressure, heart rate, comorbidities, any therapy. Methods: The studied population consisted of 432 subjects undergoing a cardiological workup in a large cruise ship’s medical center, during a 7-day sea voyage in May 2003 and May 2004. Designed as a cross sectional study, the subjects filled in a medical questionnaire, underwent a physical examination, were assessed for NT-proBNP plasma levels and performed a bicycle exercise test. Furthermore, in a subgroup of 88 subjects an echocardiographic examination was performed. Results: Of the 432 subjects (mean age 66 ± 10 years; 48.8% male) 8.3% were clinically healthy, whereas 71.2% were hypertensive and 46.8% had symptoms of CHF. Median NT-proBNP levels increased from 78.8 ng/l in subjects without CHF to 87.1 ng/l in subjects with NYHA-class I, to 121.6 ng/l in subjects with NYHA-class II and to 157.2 ng/l in subjects with NYHA-class III CHF. The association of NT-proBNP with NYHA-classes was highly significant (p = 0.0001). Furthermore, NT-proBNP was an independent predictor of NYHA class II chronic heart failure (p = 0.02). There were significant positive correlations of the natural logarithm of NT-proBNP with age and pulse pressure and significant inverse correlations with Body Mass Index, maximum exercise level, left ventricular ejection fraction, heart rate and diastolic blood pressure. Strong independent predictors of NT-proBNP were age (p <0.0001), betablocker therapy (p = 0.02), gender (p <0.0001), angiotensinconverting- enzyme (ACE) inhibitor therapy (p = 0.02), heart rate (p = 0.006), chest pain (p = 0.02). Conclusions: This study confirms NT-proBNP as a valuable diagnostic tool for CHF in an unselected population. Several physiological and clinical parameters were found to be significantly related to NT-proBNP levels, the strongest being age, betablocker therapy, gender, ACE inhibitor therapy. Full article
Show Figures

Figure 1

6 pages, 264 KB  
Proceeding Paper
Die Nichtinvasive Beatmung als Therapie der Akut Respiratorischen Insuffizienz
by Adam Ogna and Guido Domenighetti
Cardiovasc. Med. 2007, 10(1), 21; https://doi.org/10.4414/cvm.2007.01221 - 26 Jan 2007
Viewed by 199
Abstract
Noninvasive ventilation in acute respiratory failure
Over the past few years, noninvasive ventilation (NIV) with only PEEP (CPAP) or pressure support with PEEP has been increasingly applied during various episodes of acute respiratory failure. This led to a relevant number of published clinical [...] Read more.
Noninvasive ventilation in acute respiratory failure
Over the past few years, noninvasive ventilation (NIV) with only PEEP (CPAP) or pressure support with PEEP has been increasingly applied during various episodes of acute respiratory failure. This led to a relevant number of published clinical studies dealing with the application of this technique in the different varieties of an acute respiratory insufficiency, particularly in patients with an acute exacerbation of COPD and in those presenting with an acute cardiogenic pulmonary oedema. Strongly supported through pathophysiological, clinical and epidemiological data, NIV is currently considered an evidence-based applied treatment in both conditions. Considering the encouraging consequences on the decline of hospital-acquired infections (ventilator-associated pneumonia) through the reduction of intubation rate and the potential positive effects on lung tissue recruitment, NIV has become an attractive option in other acute respiratory failures like severe diffuse pneumonia, ALI (acute lung injury) or even ARDS. However, in spite of recent promising results, the application of noninvasive pressure support ventilation in patients with severe hypoxaemic non-hypercapnic acute respiratory failure still remains controversial and potentially predictive of a high failure rate predominantly in patients with a coexisting bacteraemia associated with distant organ dysfunction. Full article
Show Figures

Figure 1

8 pages, 311 KB  
Proceeding Paper
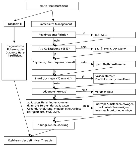
Intensiv-Medizinische Behandlung der Fortgeschrittenen Herzinsuffizienz
by H. P. Brunner-La Rocca and G. Leibundgut
Cardiovasc. Med. 2007, 10(1), 11; https://doi.org/10.4414/cvm.2007.01222 - 26 Jan 2007
Viewed by 155
Abstract
Acute heart failure is not a uniform disease. It ranges from slight acute decompensated heart failure to prolonged cardiogenic shock with high mortality. Additionally, the underlying causes are diverse, but play an important role since rapid causative therapy may be crucial. The present [...] Read more.
Acute heart failure is not a uniform disease. It ranges from slight acute decompensated heart failure to prolonged cardiogenic shock with high mortality. Additionally, the underlying causes are diverse, but play an important role since rapid causative therapy may be crucial. The present review focuses on therapeutic options of severe decompensation. Medical therapy remains basically unchanged despite various new substances and studies. It encompasses nitrates and loop diuretics of which nitrates are most important. Alternatively, recombinant BNP, nesiritide, may be used in some circumstances, although it is expensive and its superiority over standard therapy remains to be clearly shown. In case of severe hypotension or cardiogenic shock, positive inotropes may be used. Of these, the calcium sensitizer levosimendan provided encouraging results. Still, recent studies were not able to confirm initially seen positive effects on long-term prognosis. In case of severe heart failure refractory to therapy, mechanical support of the left ventricle may be useful. Intra-aortic balloon pump (IABP) is best studied, which could show improved prognosis in acute myocardial infarction complicated by cardiogenic shock in prospective trials. Rapid aggressive action is most important in these severely sick patients. Newer percutaneously implantable devices (TandemHeart®, Impella) are attractive alternatives to IABP, but present limited experience failed to show clear superiority. If (left)ventricular support is required for longer period of time, surgically implantable devices are of use. However, they should only be used as bridge to transplant or less often to recovery, since as destination therapy they are controversial and showed disappointing results so far. Full article
Show Figures

Figure 1

Previous Issue
Next Issue
Back to TopTop